كسر الرضفة المعقد دراسة حالة شاملة للعلاج الجراحي وإعادة التأهيل مع الأستاذ الدكتور محمد هطيف

الخلاصة الطبية
كسر الرضفة المعقد هو إصابة خطيرة تتطلب تدخلاً جراحيًا دقيقًا لإعادة بناء مفصل الركبة واستعادة وظيفة الساق. يشمل العلاج التثبيت الداخلي المفتوح وإعادة التأهيل المكثفة لضمان الشفاء الكامل والعودة للأنشطة الطبيعية.
الخلاصة الطبية السريعة: كسر الرضفة المعقد هو إصابة خطيرة تتطلب تدخلاً جراحيًا دقيقًا لإعادة بناء مفصل الركبة واستعادة وظيفة الساق. يشمل العلاج التثبيت الداخلي المفتوح وإعادة التأهيل المكثفة لضمان الشفاء الكامل والعودة للأنشطة الطبيعية.
مقدمة عن كسر الرضفة المعقد
صباح الخير أيها القراء الكرام. اليوم، سنتعمق في فهم حالة واقعية لكسر في الرضفة، وهي إصابة تتطلب اتخاذ قرارات حاسمة، وتقنيات جراحية دقيقة، وإدارة شاملة بعد الجراحة. الرضفة، أو "عظم الركبة" كما يعرفها الكثيرون، هي مكون محوري لآلية مد الركبة، وتلعب دورًا حيويًا في تعزيز الكفاءة الميكانيكية للعضلة الرباعية الفخذية (العضلة الأمامية للفخذ). ومع ذلك، فإن موقعها السطحي يجعلها عرضة بشكل كبير للإصابات المباشرة وغير المباشرة، مما يؤدي إلى مجموعة واسعة من أنماط الكسور.
في هذه المقالة الشاملة، سنستعرض حالة السيد أحمد، وهو رجل يبلغ من العمر 45 عامًا، تعرض لكسر معقد في الرضفة. ستسلط هذه الحالة الضوء على كيفية التعامل مع مثل هذه الإصابات المعقدة، بدءًا من لحظة الإصابة وحتى مرحلة التعافي الكامل. إن فهم تفاصيل هذه الرحلة العلاجية أمر بالغ الأهمية لكل من المرضى وأسرهم، لمساعدتهم على اتخاذ قرارات مستنيرة والتعاون بفعالية مع فريقهم الطبي.
يعد اختيار الجراح المناسب أمرًا حيويًا في حالات كسور الرضفة المعقدة. في صنعاء، يتميز الأستاذ الدكتور محمد هطيف ، استشاري جراحة العظام والعمود الفقري، بخبرة واسعة ومهارة عالية في التعامل مع هذه الإصابات الدقيقة، مستخدمًا أحدث التقنيات الجراحية لضمان أفضل النتائج الممكنة للمرضى.
فهم تشريح الركبة ووظيفة الرضفة
لفهم كسر الرضفة المعقد، من الضروري أولاً فهم تشريح الركبة ودور الرضفة الحيوي. الركبة هي أكبر مفصل في جسم الإنسان، وهي ضرورية للمشي، الجري، القفز، والعديد من الأنشطة اليومية. تتكون الركبة من ثلاثة عظام رئيسية: عظم الفخذ (الفخذ)، عظم الساق (القصبة)، والرضفة (عظم الركبة).
الرضفة هي عظمة صغيرة مسطحة مثلثة الشكل تقع أمام مفصل الركبة. إنها جزء لا يتجزأ من "آلية المد"، وهي النظام الذي يسمح لنا بمد ركبتنا. تتكون هذه الآلية من:
*
العضلة الرباعية الفخذية:
العضلة الكبيرة في مقدمة الفخذ.
*
وتر العضلة الرباعية:
يربط العضلة الرباعية بالجزء العلوي من الرضفة.
*
الرضفة:
تقع ضمن هذا الوتر.
*
الوتر الرضفي:
يربط الجزء السفلي من الرضفة بعظم الساق.
وظيفة الرضفة الرئيسية:
1.
زيادة القوة الميكانيكية:
تعمل الرضفة كبكرة، مما يزيد من قوة العضلة الرباعية الفخذية بنسبة تصل إلى 30%، مما يجعل مد الركبة أكثر كفاءة.
2.
الحماية:
تحمي الرضفة مفصل الركبة من الصدمات المباشرة.
3.
توجيه الوتر:
تساعد في توجيه وتر العضلة الرباعية والوتر الرضفي، مما يضمن حركة سلسة للركبة.
نظرًا لموقعها السطحي، فإن الرضفة معرضة بشكل كبير للإصابات المباشرة، مثل السقوط عليها مباشرة، أو الإصابات غير المباشرة، مثل الانقباض المفاجئ والقوي للعضلة الرباعية أثناء محاولة منع السقوط. عندما تتعرض الرضفة لكسر، يمكن أن يؤثر ذلك بشكل كبير على قدرة الشخص على مد ركبته والمشي بشكل طبيعي.
الأسباب وعوامل الخطر لكسور الرضفة
تحدث كسور الرضفة عادة نتيجة لصدمة قوية على الركبة. يمكن تقسيم هذه الأسباب إلى فئتين رئيسيتين:
الصدمة المباشرة
هذا هو السبب الأكثر شيوعًا لكسور الرضفة، وينطبق على حالة السيد أحمد. يحدث عندما يصطدم الجزء الأمامي من الرضفة بقوة بسطح صلب.
*
أمثلة:
* السقوط مباشرة على الركبة المثنية (كما حدث للسيد أحمد).
* الاصطدام بلوحة القيادة في حادث سيارة.
* التعرض لضربة مباشرة على الركبة أثناء الأنشطة الرياضية.
*
نمط الكسر:
غالبًا ما تؤدي الصدمة المباشرة إلى كسور مفتتة (متعددة الشظايا) أو كسور عرضية.
الصدمة غير المباشرة
تحدث هذه الإصابات عندما تنقبض العضلة الرباعية الفخذية بقوة وعنف شديدين، مما يولد قوة سحب هائلة على الرضفة يمكن أن تتجاوز قدرة العظم على التحمل.
*
أمثلة:
* السقوط من مكان مرتفع مع محاولة منع السقوط بمد الركبة بقوة.
* التعثر المفاجئ مع محاولة استعادة التوازن.
*
نمط الكسر:
غالبًا ما تؤدي الصدمة غير المباشرة إلى كسور عرضية أو تمزق في وتر العضلة الرباعية أو الوتر الرضفي.
عوامل الخطر المهنية واليومية
بعض المهن والأنشطة تزيد من خطر التعرض لكسور الرضفة:
*
النجارة وأعمال البناء:
كما في حالة السيد أحمد، حيث تتطلب هذه المهن تسلق السلالم والسقالات، والركوع المتكرر، ورفع المواد الثقيلة، والوقوف لفترات طويلة، مما يزيد من خطر السقوط والإصابات المباشرة.
*
الرياضات عالية التأثير:
مثل كرة القدم، كرة السلة، التزلج، حيث تكون الركبة عرضة للصدمات.
*
البيئات غير الآمنة:
أماكن العمل غير المستقرة، أو الأسطح الزلقة، أو عدم استخدام معدات السلامة المناسبة.
في حالة السيد أحمد، فقد تعرض لإصابة شديدة أثناء عمله كنجار ماهر، حيث سقط من سقالة بارتفاع حوالي 1.5 متر، وهبط بقوة مباشرة على ركبته اليسرى المثنية، مما أدى إلى كسر معقد في الرضفة. هذا يوضح كيف أن طبيعة المهنة يمكن أن تزيد من خطر مثل هذه الإصابات، ويؤكد على أهمية استعادة وظيفة الركبة بشكل كامل لتمكينه من العودة إلى عمله.
أعراض كسر الرضفة وكيفية التعرف عليها
عندما تتعرض الرضفة للكسر، تظهر مجموعة من الأعراض الواضحة التي تشير إلى خطورة الإصابة وتتطلب عناية طبية فورية. في حالة السيد أحمد، ظهرت هذه الأعراض بسرعة وشدة:
الألم الشديد والتورم
- ألم حاد وموضعي: شعر السيد أحمد بألم مبرح، حاد ومتركز في ركبته اليسرى فورًا بعد السقوط.
- تورم سريع: تبع الألم تورم كبير وسريع في منطقة الركبة، ناتج عن النزيف داخل المفصل (تجمع الدم داخل المفصل).
عدم القدرة على الحركة وتحمل الوزن
- عدم القدرة على مد الركبة: من الأعراض الحاسمة لكسر الرضفة هو عدم القدرة الكاملة على مد الركبة بشكل فعال ضد الجاذبية. هذا ما يسمى بـ "تأخر العضلة الرباعية" (Quadriceps Lag)، حيث لا يستطيع المريض رفع ساقه بشكل مستقيم عن السرير حتى مع بذل أقصى جهد. هذا يشير بوضوح إلى انقطاع في آلية المد.
- عدم القدرة على تحمل الوزن: لم يتمكن السيد أحمد من تحمل أي وزن على ساقه المصابة، مما جعله غير قادر على المشي والحركة دون مساعدة.
علامات مرئية وملموسة
- كدمات: ظهرت كدمات واضحة حول الركبة، تمتد إلى الجزء العلوي من الساق، مما يدل على نزيف كبير تحت الجلد.
- فجوة ملموسة أو مرئية: في بعض الحالات، وخاصة في الكسور المتباعدة، يمكن ملاحظة أو لمس فجوة واضحة أو انخفاض عبر منتصف الرضفة، مما يؤكد وجود انقطاع في العظم.
- وضع الركبة: غالبًا ما يميل المريض إلى إبقاء الركبة في وضعية انثناء خفيف (حوالي 25-30 درجة) لأنه الوضع الأكثر راحة.
أعراض أخرى
- صعوبة في ثني الركبة: حتى الثني السلبي للركبة يكون محدودًا ومؤلمًا للغاية.
- لا توجد إصابات أخرى: نفى السيد أحمد فقدان الوعي أو إصابات في الرأس أو أي إصابات أخرى مصاحبة، مما ساعد في تركيز التشخيص على الركبة.
إذا تعرضت لإصابة في الركبة وواجهت أيًا من هذه الأعراض، فمن الضروري طلب العناية الطبية الطارئة فورًا. التشخيص والعلاج المبكران هما مفتاح الحصول على أفضل النتائج.
تشخيص كسر الرضفة المعقد
يعتمد تشخيص كسر الرضفة المعقد على مزيج من الفحص السريري الدقيق والتصوير الإشعاعي المتقدم. يهدف التشخيص إلى تحديد نمط الكسر، درجة الإزاحة، ومدى تأثيره على سطح المفصل.
الفحص السريري الدقيق
عند وصول السيد أحمد إلى قسم الطوارئ، قام الفريق الطبي بإجراء فحص شامل:
- الحالة العامة: كان السيد أحمد يقظًا ومتعاونًا، على الرغم من شعوره بألم شديد (9/10 على مقياس الألم البصري). كانت علاماته الحيوية مستقرة.
-
الفحص البصري:
- لوحظ أن الساق اليسرى كانت في وضعية انثناء خفيف (حوالي 25-30 درجة)، وهو ما قد يكون وضع الراحة أو بسبب قيود ميكانيكية.
- كان هناك تورم واضح ومنتشر حول مفصل الركبة بأكمله، يمتد إلى الأعلى فوق الرضفة وإلى الأسفل فوق الوتر الرضفي.
- ظهرت كدمات كبيرة حول الركبة، مما يشير إلى نزيف حاد في الأنسجة الرخوة.
- لوحظ انخفاض أو "أخدود" مميز عبر منتصف السطح الأمامي للرضفة، مما يشير بقوة إلى وجود فجوة ملموسة وانقطاع في العظم.
- كان الجلد فوق الرضفة سليمًا تمامًا، مما صنف الإصابة على أنها كسر مغلق (غير مفتوح على الخارج).
-
الجس (اللمس):
- الألم: ألم شديد عند لمس الرضفة والأنسجة الرخوة المحيطة.
- الارتشاح: تم الشعور بارتشاح كبير ومتوتر فوق الرضفة وأمامها، متوافق مع تجمع دموي حاد داخل المفصل.
- سلامة الرضفة: تم الشعور بفجوة عرضية واضحة عبر جسم الرضفة. لوحظ أن الشظية العلوية للرضفة قد انسحبت إلى الأعلى بفعل سحب العضلة الرباعية، بينما بقيت الشظية السفلية ثابتة نسبيًا أو مزاحة قليلاً إلى الأسفل بفعل الوتر الرضفي.
- آلية المد: كانت أوتار العضلة الرباعية والرضفة سليمة في مواقعها، لكن استمرارية الرضفة نفسها كانت منقطعة بوضوح.
- الهياكل المحيطة: لم يكن هناك ألم كبير فوق خطوط المفصل أو عظام الفخذ والساق المحيطة، مما استبعد إصابات عظمية كبيرة أخرى.
-
مدى الحركة:
- الحركة النشطة: عدم القدرة الكاملة على مد الركبة ضد الجاذبية أو رفع الساق بشكل مستقيم، مما يؤكد انقطاع آلية المد.
- الحركة السلبية: كانت حركة ثني الركبة السلبية محدودة بشدة بسبب الألم (حوالي 35 درجة فقط).
-
التقييم العصبي والوعائي:
- عصبيًا: لم يتم الكشف عن أي عجز عصبي بؤري في الساق، وكانت وظيفة العضلات البعيدة والإحساس سليمين. كان رد الفعل الرضفي غائبًا في الجانب المصاب، وهو أمر متوقع في حالة انقطاع آلية المد.
- وعائيًا: كانت النبضات الشريانية في القدم قوية ومتماثلة، مما يشير إلى تدفق دم ممتاز وعدم وجود إصابة وعائية خطيرة.
التصوير الإشعاعي لتحديد مدى الإصابة
بعد الفحص السريري، تم إجراء فحوصات التصوير لتأكيد التشخيص وتحديد تفاصيل الكسر.
-
الأشعة السينية الأولية (X-rays):
- تم الحصول على صور بالأشعة السينية للركبة اليسرى من الأمام والخلف (AP)، ومن الجانب (Lateral)، ومنظر شروق الشمس (Merchant view).
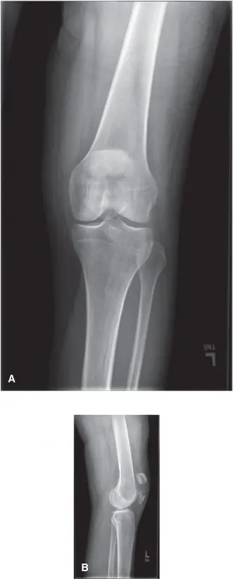
- منظر AP: أظهر كسرًا رضفيًا مفتتًا للغاية، مع خطوط كسر متعددة وفجوات كبيرة بين الشظايا.
- المنظر الجانبي (Lateral View): قدم معلومات حاسمة حول الإزاحة في المستوى السهمي وتأثر السطح المفصلي. أكد هذا المنظر التفتت الشديد والإزاحة الواضحة للشظايا. انسحبت الشظية العلوية بشكل ملحوظ إلى الأعلى بفعل سحب العضلة الرباعية، بينما بقيت الشظية السفلية ثابتة نسبيًا. لوحظ وجود "درجة" أو فجوة كبيرة، تشير إلى عدم تطابق شديد في السطح المفصلي الخلفي للرضفة.
-
الصورة التالية تمثل بشكل كبير المنظر الجانبي الذي تم الحصول عليه للسيد أحمد، وتظهر بوضوح التفتت الكبير وانسحاب القطب العلوي.
- منظر Merchant (Sunrise View): أظهر اضطرابًا كبيرًا في السطح المفصلي للرضفة داخل التلم البكري، مؤكدًا وجود شظايا متعددة داخل المفصل.
-
التصوير المقطعي المحوسب (CT Scan):
- نظرًا للتفتت الشديد وتأثر السطح المفصلي الواضح في الأشعة السينية، تم إجراء فحص CT للركبة اليسرى.
- يوفر التصوير المقطعي رؤية ثلاثية الأبعاد متفوقة لأنماط الكسور المعقدة، ويوفر تفاصيل دقيقة عن شكل الشظايا، ودرجة "الدرجة" المفصلية والفجوة، والموقع الدقيق حتى لأصغر الشظايا.
- نتائج CT: أكدت وجود كسر رضفي مفتت للغاية ومتعدد الشظايا، يشمل القطبين العلوي والسفلي، مع تفتت كبير في جسم الرضفة. الأهم من ذلك، تم تحديد شظايا مفصلية متعددة، مع "درجة" مفصلية تزيد عن 4 ملم وفجوات كسر تتجاوز 6 ملم في مناطق تحمل الوزن الرئيسية للرضفة. لم يتم تحديد أي كسور مصاحبة في عظم الفخذ أو الساق. كانت إعادة البناء ثلاثية الأبعاد من بيانات CT لا تقدر بثمن في تصور بنية الكسر الشاملة وتوجيه التخطيط الجراحي.
-
التصوير بالرنين المغناطيسي (MRI):
- لم يكن التصوير بالرنين المغناطيسي ضروريًا في حالة السيد أحمد الحادة، حيث تم تأكيد تشخيص كسر الرضفة المزاح والمفتت بشدة مع دليل سريري وإشعاعي واضح على انقطاع آلية المد من خلال الفحص السريري والأشعة السينية والتصوير المقطعي.
- عادة ما يستخدم التصوير بالرنين المغناطيسي في حالات أكثر دقة، مثل تقييم إصابات الأربطة المصاحبة أو تمزق الأوتار عندما تكون الأشعة السينية غير حاسمة.
-
التخطيط الجراحي المسبق:
- تم إجراء تخطيط جراحي دقيق ومفصل باستخدام صور CT ثلاثية الأبعاد. تضمن ذلك تحديد جميع شظايا الكسر المهمة، ووضع خطة خطوة بخطوة لتسلسل إعادة التجميع داخل غرفة العمليات، واختيار الغرسات المناسبة (الصفائح والمسامير والأسلاك) لضمان تثبيت قوي ومستقر.
هذا النهج الشامل في التشخيص يضمن فهمًا كاملاً للإصابة، مما يسمح للأستاذ الدكتور محمد هطيف وفريقه بوضع خطة علاجية مخصصة وفعالة.
خيارات علاج كسر الرضفة المعقد
يعتمد قرار علاج كسر الرضفة على عدة عوامل رئيسية، بما في ذلك نمط الكسر، درجة الإزاحة، سلامة آلية مد الركبة، والحالة الصحية العامة للمريض.
متى يكون العلاج غير الجراحي ممكنًا
يُفضل العلاج غير الجراحي لبعض أنواع كسور الرضفة، ولكنها ليست خيارًا للكسور المعقدة مثل حالة السيد أحمد.
*
شروط العلاج غير الجراحي:
*
كسور غير مزاحة أو مزاحة بشكل طفيف:
تُعرف عادةً بأن الفجوة بين شظايا الكسر أقل من 2-3 ملم، و"الدرجة" المفصلية أقل من 2 ملم.
*
آلية مد سليمة:
الأهم من ذلك، يجب أن يكون المريض قادرًا على مد ركبته بنشاط ضد الجاذبية ورفع ساقه بشكل مستقيم دون تأخر.
*
طرق العلاج غير الجراحي:
*
التثبيت:
يتم تثبيت الركبة في وضعية مد كامل (0 درجة) باستخدام جبيرة أو دعامة لمدة 4-6 أسابيع.
*
إعادة التأهيل التدريجية:
بعد فترة التثبيت، يتم البدء في بروتوكول إعادة تأهيل تدريجي ومحمي لاستعادة مدى الحركة والقوة.
التدخل الجراحي الحل الأمثل للكسور المعقدة
في حالات مثل كسر الرضفة المعقد للسيد أحمد، يكون التدخل الجراحي ضروريًا وحتميًا. هناك عدة أسباب قوية لذلك:
- انقطاع كامل في آلية المد: أظهر السيد أحمد عدم قدرة كاملة على مد ركبته بنشاط، مما يعني أن الركبة أصبحت غير وظيفية. الجراحة هي الطريقة الوحيدة لاستعادة هذه الوظيفة.
- إزاحة كبيرة للشظايا: أكدت الأشعة السينية والتصوير المقطعي إزاحة كبيرة في شظايا الرضفة (فجوات تزيد عن 6 ملم وانسحاب الشظية العلوية). هذه الإزاحة تمنع الالتئام التلقائي في وضع مقبول وتؤدي حتمًا إلى عدم الالتئام أو التئام خاطئ ومؤلم.
- عدم تطابق واسع في السطح المفصلي: كشف التصوير المقطعي عن "درجة" مفصلية تزيد عن 4 ملم. تشير الدراسات إلى أن أي "درجة" تزيد عن 2 ملم في المفاصل التي تحمل الوزن تزيد بشكل كبير من خطر الإصابة بالتهاب المفاصل التنكسي ما بعد الصدمة. لذا، فإن إعادة التجميع التشريحي للسطح المفصلي أمر بالغ الأهمية للحفاظ على صحة المفصل على المدى الطويل.
- تفتت شديد وعدم استقرار ميكانيكي: كان الكسر مفتتًا للغاية (متعدد الشظايا). العلاج غير الجراحي لمثل هذه الأنماط غير المستقرة يؤدي غالبًا إلى التئام خاطئ، ألم مزمن، وعجز وظيفي كبير.
لهذه الأسباب الحاسمة، كان القرار بالإجماع هو إجراء جراحة عاجلة لـ الرد المفتوح والتثبيت الداخلي (ORIF) لكسر الرضفة اليسرى. الهدف هو استعادة المحاذاة التشريحية، وإعادة تأسيس سلامة آلية المد، وتسهيل التعافي الوظيفي الأمثل.
الأستاذ الدكتور محمد هطيف خبير جراحة الرضفة في صنعاء
في مثل هذه الحالات المعقدة، تعد خبرة الجراح هي العامل الأكثر أهمية. يشتهر الأستاذ الدكتور محمد هطيف في صنعاء بمهارته الفائقة في جراحة العظام، وخاصة في التعامل مع كسور الرضفة المعقدة. يعتمد على أحدث التقنيات والمعرفة لضمان إعادة بناء دقيقة للرضفة واستعادة وظيفتها، مما يمنح المرضى أفضل فرصة للعودة إلى حياتهم الطبيعية. يلتزم الدكتور هطيف بأعلى معايير الرعاية الجراحية، بدءًا من التخطيط المسبق الدقيق ووصولاً إلى المتابعة الشاملة بعد الجراحة.
تقنيات الجراحة المتبعة
خضع السيد أحمد لعملية جراحية عاجلة لكسر الرضفة. تضمنت العملية الخطوات التالية:
- وضع المريض: تم وضع المريض على ظهره على طاولة العمليات. تم تطبيق رباط ضاغط (تورنيكيه) على الفخذ الأيسر لضمان حقل جراحي خالٍ من الدم، وهو أمر بالغ الأهمية لتحديد الشظايا بدقة وإعادة تجميع السطح المفصلي.
- الوصول الجراحي: تم إجراء شق طولي أمامي قياسي ومخطط بعناية، يتمركز مباشرة فوق الرضفة ويمتد حوالي 5 سم لأعلى (في منطقة وتر العضلة الرباعية) و 5 سم لأسفل (فوق الوتر الرضفي). يوفر هذا الشق رؤية ممتازة ومباشرة لجميع شظايا الرضفة وآلية المد بأكملها.
- تنظيف المفصل: تم إخلاء التجمع الدموي المتوتر داخل مفصل الركبة بالكامل، وتم غسل المفصل بكميات وفيرة من محلول ملحي معقم لإزالة جلطات الدم وش
آلام العظام والمفاصل المزمنة ليس قدراً محتوماً! التشخيص الدقيق والعلاج المتخصص يمكن أن يعيد لك كامل وظيفتك وحريتك في الحركة بدون ألم.
للحصول على استشارة دقيقة وخطة علاجية مخصصة لحالتك، تواصل فوراً مع مركز الأستاذ الدكتور محمد هطيف:
الأستاذ الدكتور محمد هطيف - أفضل دكتور عظام في صنعاء، وخبير في جراحات العظام والمفاصل المتقدمة.
مواضيع أخرى قد تهمك