English
جزء من الدليل الشامل

أنواع كسور الكاحل: دليلك الشامل للعلاج والتعافي السريع

كسر البيلون المعقد (AO/OTA C3): دليل شامل للمرضى من الأستاذ الدكتور محمد هطيف

03 إبريل 2026 8 دقيقة قراءة 0 مشاهدة
صورة توضيحية لـ كسر البيلون المعقد (AO/OTA C3): دليل شامل للمرضى من الأستاذ الدكتور محمد هطيف

الخلاصة الطبية

كسر البيلون المعقد هو إصابة خطيرة في مفصل الكاحل تتطلب علاجًا جراحيًا دقيقًا على مراحل لاستعادة سطح المفصل ووظيفته. يركز العلاج على التثبيت المؤقت ثم إعادة بناء العظم المفصلي لضمان تعافٍ فعال وتجنب المضاعفات طويلة الأمد.

الخلاصة الطبية السريعة: كسر البيلون المعقد هو إصابة خطيرة في مفصل الكاحل تتطلب علاجًا جراحيًا دقيقًا على مراحل لاستعادة سطح المفصل ووظيفته. يركز العلاج على التثبيت المؤقت ثم إعادة بناء العظم المفصلي لضمان تعافٍ فعال وتجنب المضاعفات طويلة الأمد.

مقدمة عن كسر البيلون المعقد

يُعد كسر البيلون إصابة خطيرة ومعقدة في مفصل الكاحل، تحدث عادة نتيجة لقوة عالية ومباشرة على الجزء السفلي من عظم الساق (القصبة) عند منطقة الكاحل. هذا النوع من الكسور يؤثر بشكل مباشر على السطح المفصلي الذي يلامس عظم الكاحل (الكاحل)، مما يجعله تحديًا كبيرًا للجراح ويتطلب خبرة ودقة فائقة في التشخيص والعلاج.

في هذا الدليل الشامل، سنتعمق في فهم كسر البيلون المعقد، من أسبابه وأعراضه وصولاً إلى أحدث طرق التشخيص والعلاج، مع التركيز على أهمية النهج المرحلي في التدخل الجراحي لضمان أفضل النتائج الممكنة للمرضى. إن الهدف الأساسي هو استعادة الوظيفة الكاملة للمفصل وتقليل مخاطر المضاعفات على المدى الطويل.

يُعد الأستاذ الدكتور محمد هطيف ، استشاري جراحة العظام والعمود الفقري، من أبرز الخبراء في علاج كسور البيلون المعقدة في صنعاء واليمن. بخبرته الواسعة ونهجه المتقدم في التعامل مع هذه الحالات المعقدة، يقدم الدكتور هطيف رعاية متكاملة تبدأ من التشخيص الدقيق وصولاً إلى إعادة التأهيل، مستخدمًا أحدث التقنيات الجراحية لضمان تعافي المرضى بأمان وفعالية. نفخر في مركز الدكتور هطيف بتقديم حلول متطورة لمثل هذه الإصابات التي تغير حياة المرضى، مع التزامنا بأعلى معايير الجودة والرعاية.

صورة توضيحية لـ كسر البيلون المعقد (AO/OTA C3): دليل شامل للمرضى من الأستاذ الدكتور محمد هطيف

فهم تشريح مفصل الكاحل

لفهم كسر البيلون، من الضروري أن نتعرف على التركيب المعقد لمفصل الكاحل وكيفية عمله. مفصل الكاحل هو مفصل محوري يربط الساق بالقدم، ويتحمل وزن الجسم بالكامل، مما يجعله عرضة للإصابات الشديدة.

مكونات مفصل الكاحل الرئيسية

يتكون مفصل الكاحل بشكل أساسي من ثلاثة عظام:
* عظم القصبة (Tibia): هو العظم الأكبر في الساق، ويشكل الجزء العلوي من مفصل الكاحل. الجزء السفلي من القصبة، والذي يسمى "السطح المفصلي للقصبة" أو "سقف الكاحل" (Tibial Plafond)، هو السطح الذي يتأثر بشكل مباشر في كسور البيلون. هذا السطح مغطى بغضروف أملس يسمح بحركة سلسة للمفصل.
* عظم الشظية (Fibula): هو العظم الأصغر في الساق، ويقع بجانب القصبة. يشكل الجزء الخارجي من مفصل الكاحل ويساعد على استقراره. غالبًا ما يتأثر عظم الشظية أيضًا في كسور البيلون المعقدة.
* عظم الكاحل (Talus): هو العظم الذي يقع مباشرة تحت القصبة والشظية، ويشكل الجزء السفلي من مفصل الكاحل. يتحرك عظم الكاحل داخل "الشوكة الكاحلية" التي تشكلها القصبة والشظية.

أهمية السطح المفصلي للقصبة (البيلون)

السطح المفصلي للقصبة (البيلون) هو منطقة حيوية ومحورية في مفصل الكاحل. عندما يتعرض هذا السطح للكسر، فإنه يؤثر بشكل مباشر على قدرة المفصل على تحمل الوزن والحركة بسلاسة. الكسور في هذه المنطقة غالبًا ما تكون شديدة التعقيد لأنها تشمل تفتتًا في الغضروف والعظم أسفله، مما يزيد من خطر الإصابة بالتهاب المفاصل ما بعد الصدمة إذا لم يتم علاجه بدقة متناهية.

صورة توضيحية لـ كسر البيلون المعقد (AO/OTA C3): دليل شامل للمرضى من الأستاذ الدكتور محمد هطيف

أسباب وعوامل خطر كسر البيلون

كسور البيلون هي إصابات تحدث عادة نتيجة لقوى عالية جدًا، مما يعكس شدة الصدمة التي يتعرض لها مفصل الكاحل.

الأسباب الرئيسية لكسر البيلون

  • حوادث المركبات عالية الطاقة: تُعد حوادث السيارات والدراجات النارية من الأسباب الشائعة لكسور البيلون. في هذه الحالات، غالبًا ما يتعرض الكاحل لقوة محورية مباشرة (محور طولي) تضغط على عظم الكاحل باتجاه عظم القصبة، مما يؤدي إلى تفتت السطح المفصلي.
  • السقوط من ارتفاعات عالية: يمكن أن يؤدي السقوط من سلالم أو أسطح مرتفعة إلى هبوط الجسم بقوة على القدم، مما يسبب ضغطًا مشابهًا لقوة الاصطدام المحوري على مفصل الكاحل.
  • الإصابات الرياضية الشديدة: على الرغم من أنها أقل شيوعًا، إلا أن بعض الإصابات الرياضية عالية التأثير، مثل تلك التي تحدث في الرياضات القتالية أو القفز، يمكن أن تسبب كسور البيلون.

عوامل الخطر التي تزيد من احتمالية حدوث كسر البيلون ومضاعفاته

  • العمر: كبار السن قد يكونون أكثر عرضة للإصابة بسبب ضعف العظام (هشاشة العظام)، ولكن كسور البيلون تحدث في جميع الفئات العمرية.
  • المهن التي تتطلب جهدًا بدنيًا عاليًا: مثل عمال البناء، الذين يتعرضون لمخاطر أكبر للسقوط أو الإصابات المباشرة. المريض في هذه الحالة كان يعمل في مجال البناء، مما يجعله أكثر عرضة لمثل هذه الإصابات.
  • الأمراض المزمنة: بعض الحالات الصحية يمكن أن تؤثر على عملية الشفاء وتزيد من مخاطر المضاعفات:
    • داء السكري: يمكن أن يؤثر على الدورة الدموية وقدرة الجسم على الشفاء، ويزيد من خطر العدوى. كان المريض يعاني من داء السكري من النوع الثاني، مما يتطلب إدارة دقيقة لمستويات السكر في الدم قبل وأثناء وبعد الجراحة.
    • التدخين: يؤثر التدخين سلبًا على تدفق الدم إلى الأنسجة والعظام، مما يعيق عملية الشفاء ويزيد من خطر عدم الالتئام أو المضاعفات الجراحية. على الرغم من أن المريض توقف عن التدخين قبل 5 سنوات، إلا أن تاريخ التدخين الطويل قد يكون له تأثيرات متبقية.
  • عدم استخدام وسائل الأمان: في حوادث السيارات، عدم استخدام حزام الأمان يزيد بشكل كبير من خطر الإصابات الشديدة، بما في ذلك كسور الأطراف السفلية.

الأعراض والعلامات الدالة على كسر البيلون

تظهر أعراض كسر البيلون عادة بشكل حاد ومفاجئ بعد التعرض لإصابة عالية الطاقة. من المهم التعرف على هذه الأعراض لطلب الرعاية الطبية الفورية.

الأعراض التي يبلغ عنها المريض

  • ألم شديد ومبرح: غالبًا ما يكون الألم في الكاحل المصاب لا يطاق، ويمنع المريض من تحريك القدم أو تحمل أي وزن عليها.
  • تورم سريع وكبير: يحدث تورم شديد وسريع في منطقة الكاحل والقدم، وقد يمتد إلى منتصف الساق. هذا التورم قد يكون مصحوبًا بشد في الجلد.
  • تشوه واضح: قد يلاحظ المريض تشوهًا مرئيًا في شكل الكاحل، مما يشير إلى خروج العظام عن مكانها الطبيعي.
  • عدم القدرة على تحمل الوزن: يستحيل على المريض الوقوف أو المشي على القدم المصابة بسبب الألم الشديد وعدم استقرار المفصل.
  • إحساس بالتشوه أو الالتواء: قد يصف المريض شعورًا بأن الكاحل "غير مكانه" أو "ملتوي".

العلامات التي يلاحظها الأطباء خلال الفحص السريري

عند فحص الكاحل المصاب، يلاحظ الأطباء عدة علامات حاسمة:

  • التورم والشد: يكون الكاحل متورمًا بشدة ومشدودًا، وقد يمتد التورم إلى القدم والساق.
  • الكدمات (Ecchymosis): ظهور كدمات واسعة النطاق بسبب نزيف تحت الجلد.
  • التشوه الواضح: غالبًا ما يكون هناك تشوه مرئي في منطقة الكاحل والجزء السفلي من عظم القصبة.
  • النفطات أو الفقاعات الجلدية (Blistering): قد تظهر فقاعات مملوءة بالسوائل على الجلد، خاصة في الأجزاء الأمامية والداخلية من الكاحل. هذه الفقاعات هي علامة على إصابة شديدة في الأنسجة الرخوة بسبب التورم الشديد، وتدل على خطر تعرض الجلد للتلف (نخر الجلد).
  • غياب "علامة التجعد" (Wrinkle Sign): عند محاولة قرص الجلد بلطف حول الكاحل، إذا لم تتشكل تجاعيد، فهذا يشير إلى تورم شديد جدًا في الأنسجة الرخوة، مما يؤثر على الدورة الدموية للجلد ويزيد من خطر مضاعفات الجروح.
  • الاحساس بالفرقعة (Crepitus): عند لمس أو تحريك الكاحل بلطف، قد يسمع الطبيب أو يشعر بفرقعة، وهي علامة على وجود شظايا عظمية تتحرك ضد بعضها البعض.
  • شد في حجرات الساق: قد تكون العضلات في حجرات الساق (خاصة الحجرة الأمامية والخلفية العميقة) متوترة ومشدودة، مما يثير القلق بشأن متلازمة الحيز (Compartment Syndrome)، وهي حالة طارئة تتطلب تدخلاً فوريًا لإنقاذ الطرف.
  • ضعف النبضات البعيدة: قد تكون النبضات في القدم (مثل نبض الشريان الظهري للقدم والشريان الخلفي للساق) ضعيفة أو بالكاد محسوسة، وقد يكون زمن إعادة امتلاء الشعيرات الدموية بطيئًا (أكثر من 2-3 ثوانٍ). هذه علامات على احتمال تأثر الدورة الدموية.
  • محدودية الحركة: تكون حركة الكاحل مؤلمة جدًا ومحدودة للغاية، سواء كانت حركة إرادية أو بمساعدة الطبيب.
  • التقييم العصبي: على الرغم من أن الألم الشديد قد يجعل التقييم الدقيق صعبًا، إلا أن الطبيب يحاول تقييم وظيفة الأعصاب في القدم لضمان عدم وجود تلف عصبي كبير.

نظرًا لشدة الأعراض والعلامات، فإن أي اشتباه في كسر البيلون يتطلب تقييمًا طبيًا طارئًا وعاجلاً.

التشخيص الدقيق لكسر البيلون

يعتمد التشخيص الدقيق لكسر البيلون على مزيج من الفحص السريري الشامل والتصوير الطبي المتقدم. يهدف التشخيص إلى تحديد نمط الكسر، ومدى تفتت السطح المفصلي، وأي إصابات مصاحبة للأنسجة الرخوة أو الأوعية الدموية.

الفحص السريري الأولي

كما ذكرنا سابقًا، يبدأ التشخيص بالفحص السريري الذي يجريه الطبيب في قسم الطوارئ. هذا الفحص يشمل:
* المعاينة: للبحث عن التورم، التشوه، الكدمات، والفقاعات الجلدية.
* الجس: لتقييم الألم، وجود الفرقعة، وشد حجرات الساق.
* تقييم الدورة الدموية والأعصاب: للتحقق من وجود نبضات قوية وحس سليم في القدم.

التصوير الطبي المتقدم

التصوير هو حجر الزاوية في تشخيص كسور البيلون.

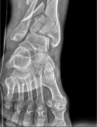
الأشعة السينية (X-rays)

هي أول خطوة في التصوير وتُجرى فورًا في قسم الطوارئ.
* اللقطات المطلوبة: تُؤخذ صور بالأشعة السينية من عدة زوايا (أمامية خلفية، جانبية، ولقطة الكاحل المائلة).
* ما تظهره الأشعة السينية:
* تُظهر كسرًا شديد التفتت ومزاحًا داخل المفصل في الجزء السفلي من عظم القصبة (كسر البيلون).
* تُظهر تضررًا كبيرًا في السطح المفصلي لسقف الكاحل.
* قد يظهر تفتت في الجزء العلوي من عظم القصبة (Metaphysis) وقصر في طول القصبة.
* غالبًا ما يُلاحظ كسر في الجزء السفلي من عظم الشظية أيضًا، مما يزيد من عدم استقرار المفصل.
* قد يظهر عظم الكاحل مزاحًا للأعلى، وهو ما يتوافق مع آلية الإصابة بالضغط المحوري.

صورة الأشعة السينية المبدئية لكسر بيلون معقد

الأشعة المقطعية (CT Scan)

تُعد الأشعة المقطعية ضرورية وحاسمة في تشخيص كسور البيلون المعقدة، وتُجرى بشكل عاجل بعد الأشعة السينية.
* أهميتها: توفر الأشعة المقطعية صورًا تفصيلية ثلاثية الأبعاد (3D reconstructions) لنمط الكسر، مما يساعد على:
* تحديد عدد الشظايا العظمية ومواقعها بدقة.
* تقييم مدى تضرر السطح المفصلي ومدى انغراسه.
* تحديد وجود أي فراغات في العظم (Metaphyseal void).
* المساعدة في التخطيط الجراحي الدقيق، وتحديد النهج الجراحي الأنسب.
* ما تظهره في هذه الحالة:
* أكدت وجود كسر بيلون معقد من النوع C3 وفقًا لتصنيف AO/OTA، وهو ما يشير إلى تفتت كبير في السطح المفصلي والجزء العلوي من القصبة.
* تم تحديد أربع شظايا مفصلية رئيسية: أمامية داخلية، أمامية خارجية، خلفية داخلية، وشظية خلفية خارجية كبيرة تشكل حوالي 30% من السطح المفصلي.
* وجود انغراس كبير في الجزء المركزي من السطح المفصلي.
* كسر متعدد الشظايا في الشظية السفلية مع قصر ودوران.
* ساعدت الأشعة المقطعية الأستاذ الدكتور محمد هطيف وفريقه في رسم خريطة للشظايا وتحديد الحاجة إلى نهج جراحي مزدوج (أمامية داخلية وخلفية خارجية).

الرنين المغناطيسي (MRI)

  • دوره: لا يُستخدم الرنين المغناطيسي عادة في المرحلة الحادة لتشخيص كسر البيلون الأولي، نظرًا لأن الإصابة العظمية هي الغالبة والحاجة إلى التدخل الجراحي الفوري.
  • متى يُستخدم: قد يُطلب لاحقًا لتقييم إصابات الأربطة الهامة (مثل الرباط الدالي)، أو الآفات الغضروفية الخفية، أو نخر الأوعية الدموية لعظم الكاحل إذا حدثت مضاعفات في وقت لاحق.

التخطيط الجراحي المسبق (Templating)

بناءً على صور الأشعة المقطعية، يقوم الأستاذ الدكتور محمد هطيف وفريقه بإجراء تخطيط جراحي مسبق دقيق. يتضمن ذلك:
* تقدير أحجام وأنواع الغرسات (الصفائح والمسامير) المطلوبة.
* اختيار المثبتات الخارجية المناسبة للتثبيت الأولي.
* تحديد أنواع الصفائح القفلية (Locking plates) المصممة خصيصًا لكسور البيلون.
* التفكير في استخدام مواد ترقيع عظمية لملء الفراغات في العظم.

التشخيص التفريقي لكسور الكاحل والساق السفلية

على الرغم من أن التصوير قد يوضح بشكل جلي وجود كسر بيلون، فمن المهم للأطباء النظر في تشخيصات أخرى محتملة في التقييم الأولي لإصابات الكاحل والساق السفلية، لضمان عدم تفويت أي إصابات متزامنة.

| الحالة | السمات الرئيسية (سريريًا) | السمات الرئيسية (تصويريًا) | عوامل التمييز (عن كسر البيلون)


آلام العظام والمفاصل المزمنة ليس قدراً محتوماً! التشخيص الدقيق والعلاج المتخصص يمكن أن يعيد لك كامل وظيفتك وحريتك في الحركة بدون ألم.

للحصول على استشارة دقيقة وخطة علاجية مخصصة لحالتك، تواصل فوراً مع مركز الأستاذ الدكتور محمد هطيف:

الأستاذ الدكتور محمد هطيف - أفضل دكتور عظام في صنعاء، وخبير في جراحات العظام والمفاصل المتقدمة.

مواضيع أخرى قد تهمك

Dr. Mohammed Hutaif
محتوى موثق طبياً بإشراف
أ.د. محمد هطيف
استشاري جراحة العظام والمفاصل والعمود الفقري
محتويات الفصل