English
جزء من الدليل الشامل

كسور وخلوع الأطفال: دليل شامل للآباء نحو التعافي التام مع الأستاذ الدكتور محمد هطيف

كسر الالتواء (Torus) عند الأطفال: دليل شامل لجبيرة المعصم اللاصقة والعلاج الأمثل مع الأستاذ الدكتور محمد هطيف في صنعاء

03 إبريل 2026 11 دقيقة قراءة 0 مشاهدة
صورة توضيحية لـ كسر الالتواء (Torus) عند الأطفال: دليل شامل لجبيرة المعصم اللاصقة والعلاج الأمثل مع الأستاذ الدكتور محمد هطيف في صنعاء

الخلاصة الطبية

كسر الالتواء لدى الأطفال هو كسر مستقر وغير كامل في عظم الساعد، يُعالج بفعالية بجبيرة المعصم اللاصقة بدلاً من الجبس التقليدي. هذا النهج يقلل الألم ويسهل التعافي السريع، مع نتائج ممتازة. الأستاذ الدكتور محمد هطيف في صنعاء يقدم أحدث طرق العلاج وأكثرها راحة لطفلك.

الخلاصة الطبية السريعة: كسر الالتواء لدى الأطفال هو كسر مستقر وغير كامل في عظم الساعد، يُعالج بفعالية بجبيرة المعصم اللاصقة بدلاً من الجبس التقليدي. هذا النهج يقلل الألم ويسهل التعافي السريع، مع نتائج ممتازة. الأستاذ الدكتور محمد هطيف في صنعاء يقدم أحدث طرق العلاج وأكثرها راحة لطفلك.

مقدمة حول كسور الالتواء (Torus) لدى الأطفال

كسور الالتواء، أو ما يُعرف طبيًا بـ "كسور التورس" (Torus fractures)، هي إصابات شائعة جدًا تصيب عظام الأطفال، خاصة في منطقة الرسغ. تُعتبر هذه الكسور مستقرة وغير كاملة، مما يعني أن العظم ينضغط ويتجعد بدلاً من أن ينكسر تمامًا عبر كلتا قشرتيه. غالبًا ما تحدث هذه الكسور في المنطقة القريبة من نهاية العظم الطويل، وبالتحديد في الجزء السفلي من عظم الكعبرة في الساعد، وذلك نتيجة لقوة ضغط محورية أو صدمة مباشرة.

يُشير مصطلح "الالتواء" إلى الطريقة التي تنضغط بها قشرة العظم، مما يؤدي إلى انتفاخ أو تجعد موضعي بدلاً من كسر كامل. هذه الكسور تمثل نسبة كبيرة من إصابات الطرف العلوي لدى الأطفال، حيث تتجاوز أحيانًا 50% من جميع كسور الساعد السفلية عند الأطفال، خاصة الفئة العمرية بين 6 و10 سنوات. إنها إصابة شائعة جدًا لدرجة أن العديد من الأطفال قد يمرون بها في مرحلة ما من طفولتهم النشطة.

يُعد الجزء السفلي من عظم الكعبرة (الساعد) عرضة بشكل خاص لهذا النوع من الكسور بسبب بنيته العظمية الإسفنجية في منطقة الميتافيز (المنطقة بين مفصل النمو وجسم العظم)، والتي تكون أقل صلابة من العظم القشري الخارجي. هذا يجعلها أكثر عرضة للضغط تحت قوة محورية، مثل السقوط على يد ممدودة. تحدث الآلية عندما تتجاوز قوة الضغط المحوري المرونة الطبيعية للعظم، لكنها لا تكون كافية لإحداث كسر كامل في القشرة العظمية.

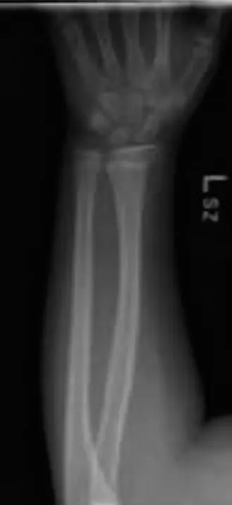
من الناحية السريرية، يشتكي الأطفال المصابون بكسر الالتواء من ألم موضعي وتورم وحساسية عند اللمس، ولكن عادةً لا توجد تشوهات واضحة أو مشاكل في الأعصاب أو الأوعية الدموية. عند التصوير بالأشعة السينية، تتميز هذه الكسور بانتفاخ طفيف أو انحناء في القشرة العظمية، ويُرى غالبًا بوضوح أكبر في الصور الجانبية لعظم الكعبرة السفلي.

تاريخيًا، كانت كسور الالتواء تُعالج بالتثبيت الصلب، مثل الجبائر الجبسية القصيرة. ومع ذلك، هناك مجموعة متزايدة من الأدلة، مدفوعة بمبادئ الاستخدام الحكيم للموارد وراحة المريض، تدعم أن جبيرة المعصم اللاصقة (Velcro wrist brace) تحقق نتائج فعالة بنفس القدر، بل وأفضل في كثير من الأحيان. يهدف هذا الدليل الشامل، الذي يقدمه لكم الأستاذ الدكتور محمد هطيف، استشاري جراحة العظام والعمود الفقري في صنعاء ، إلى توحيد الفهم الحالي والإرشادات العملية حول الإدارة المثلى لكسور الالتواء لدى الأطفال، مع التركيز على الدور المحوري لجبيرة المعصم اللاصقة كخيار علاجي حديث ومفضل.

صورة توضيحية لـ كسر الالتواء (Torus) عند الأطفال: دليل شامل لجبيرة المعصم اللاصقة والعلاج الأمثل مع الأستاذ الدكتور محمد هطيف في صنعاء

فهم تشريح عظام الأطفال: لماذا تختلف كسور الالتواء

إن فهم الخصائص الفريدة لعظام الأطفال أمر بالغ الأهمية عند مناقشة كسور الالتواء. تختلف عظام الأطفال بشكل كبير عن عظام البالغين في عدة جوانب رئيسية تجعلها أكثر عرضة لأنواع معينة من الكسور، مثل كسور الالتواء، وتؤثر على طريقة علاجها:

  • صفيحة النمو (Physis)

    توجد صفيحة النمو، أو "الغضروف النمائي"، في العظام غير المكتملة النمو، وهي المنطقة المسؤولة عن نمو العظم في الطول. عادةً ما تكون صفيحة النمو أضعف من الأربطة والعظام المحيطة بها، مما يجعلها موقعًا شائعًا لإصابات صفيحة النمو (كسور سالتر-هاريس). ومع ذلك، فإن كسور الالتواء تحدث عادةً في منطقة الميتافيز (المنطقة القريبة من صفيحة النمو ولكنها لا تتضمنها)، مما يحمي صفيحة النمو، على الرغم من أن الإصابات المجاورة ممكنة. هذا يعني أن كسور الالتواء عادة لا تؤثر على النمو المستقبلي للعظم.

  • السمحاق السميك والقوي (Thicker, Stronger Periosteum)

    يُعد السمحاق، وهو الغشاء الذي يغطي العظم، أكثر سمكًا وأكثر قدرة على تكوين العظم لدى الأطفال مقارنة بالبالغين. يساهم هذا السمحاق القوي في استقرار الكسر وشفائه السريع. غالبًا ما يبقى هذا الغلاف السمحاقي المتين سليمًا حتى في كسور الأطفال الأكثر تعقيدًا، مما يوفر استقرارًا طبيعيًا ويسهل تكوين الكالس (العظم الجديد الذي يلتئم الكسر) بسرعة. في كسور الالتواء، يظل السمحاق سليمًا تمامًا عادةً، ويعمل كجبيرة طبيعية تحافظ على استقرار الكسر.

  • زيادة المسامية والمرونة (Increased Porosity and Elasticity)

    تتميز عظام الأطفال بقدرة أكبر على إعادة التشكيل، وزيادة في المسامية، ومرونة أكبر مقارنة بعظام البالغين. تسمح هذه المرونة المتزايدة بتشوه أكبر قبل حدوث كسر كامل، مما يساهم في حدوث أنماط الكسور غير الكاملة مثل كسور الغصن الأخضر وكسور الالتواء. فبدلاً من أن ينكسر العظم بشكل حاد، فإنه ينثني ويتجعد تحت الضغط.

  • الوصلة بين الميتافيز وجسم العظم (Metaphyseal-Diaphyseal Junction)

    يتكون الجزء السفلي من عظم الكعبرة، حيث تحدث كسور الالتواء بشكل شائع، بشكل أساسي من العظم الإسفنجي. تعمل هذه المنطقة "كمنطقة امتصاص للصدمات" تحت الحمل المحوري. عندما تُطبق قوة ضغط على طول المحور الطولي للعظم، ينضغط العظم الإسفنجي، مما يتسبب في التواء أو تجعد القشرة الخارجية، وغالبًا ما يكون ذلك على الجانب المقابل لنقطة التأثير بسبب التحميل اللامركزي.
    وصف طبي دقيق للمريض

تتضمن الميكانيكا الحيوية لكسر الالتواء ضغطًا محوريًا يتجاوز الحد المرن للعظم. وبدلاً من كسر حاد، يتشوه العظم بشكل بلاستيكي، مما يؤدي إلى التواء أو انغلاف موضعي في القشرة. تضمن هذه الآلية استقرارًا ذاتيًا حيث تظل القشرة المقابلة سليمة، ويكون أي تشوه زاوي ضئيلًا ومستقرًا. يساهم السمحاق السليم أيضًا في هذا الاستقرار، مما يمنع النزوح أو عدم الاستقرار الكبير. إن عدم وجود كسر كامل في القشرة والطبيعة المستقرة للتشوه هما أساس فهم نهج الإدارة غير الجراحية المناسب.

صورة توضيحية لـ كسر الالتواء (Torus) عند الأطفال: دليل شامل لجبيرة المعصم اللاصقة والعلاج الأمثل مع الأستاذ الدكتور محمد هطيف في صنعاء

أسباب وعوامل خطر كسور الالتواء الشائعة

كسور الالتواء، أو كسور التورس، هي من أكثر أنواع كسور الأطفال شيوعًا، وتحدث نتيجة لآليات محددة تستغل الخصائص الفريدة لعظام الأطفال. فهم هذه الأسباب والعوامل يساعد الآباء على اتخاذ الاحتياطات اللازمة، ولكنه أيضًا يوضح لماذا هذه الكسور غالبًا ما تكون حميدة ومستقرة.

الآلية الرئيسية للإصابة: السقوط على يد ممدودة (FOOSH)

السبب الأكثر شيوعًا لكسور الالتواء هو السقوط على يد ممدودة (FOOSH - Fall onto an Outstretched Hand). عندما يسقط الطفل ويحاول حماية نفسه بمد يده إلى الأمام، تنتقل قوة الصدمة من الأرض عبر اليد والمعصم إلى عظم الساعد. هذه القوة تكون:

  • قوة ضغط محورية: تتجه القوة بشكل مباشر على طول محور العظم.
  • غير كافية لإحداث كسر كامل: تكون القوة كافية لتجاوز مرونة العظم، لكنها ليست قوية بما يكفي لكسره بالكامل.

في عظم الطفل، الذي يتميز بمرونة ومسامية أكبر مقارنة بعظم البالغ، تؤدي هذه القوة إلى انضغاط العظم في منطقة الميتافيز (الجزء الإسفنجي من العظم القريب من المفصل)، مما يتسبب في "تجعد" أو "التواء" القشرة العظمية بدلاً من كسرها تمامًا. غالبًا ما يحدث هذا الالتواء في الجزء السفلي من عظم الكعبرة (الساعد) لأنه المنطقة الأكثر عرضة للصدمات عند السقوط على اليد.

عوامل الخطر التي تزيد من احتمالية حدوث كسور الالتواء

  1. العمر: الأطفال الذين تتراوح أعمارهم بين 6 و10 سنوات هم الأكثر عرضة للإصابة بكسور الالتواء. في هذه الفئة العمرية، تكون العظام في طور النمو السريع، وتكون منطقة الميتافيز غنية بالعظم الإسفنجي ومرنة، مما يجعلها عرضة لهذا النوع من الكسور.
  2. النشاط البدني العالي: الأطفال بطبيعتهم نشيطون ويلعبون بكثرة، مما يزيد من فرص السقوط. الأنشطة مثل ركوب الدراجات، اللعب في الملاعب، ممارسة الرياضات المختلفة، أو حتى الجري والقفز، كلها تزيد من خطر السقوط على اليد.
  3. بنية العظم الفريدة للأطفال: كما ذكرنا سابقًا، تتميز عظام الأطفال بـ:
    • المرونة العالية: تسمح للعظم بالانثناء والتشوه أكثر قبل الكسر الكامل.
    • المسامية الأكبر: تجعل العظم أكثر عرضة للانضغاط.
    • السمحاق القوي: الذي غالبًا ما يبقى سليمًا، مما يمنع الانزياح الكامل للكسر.
  4. نقص التنسيق: قد يفتقر الأطفال الأصغر سنًا إلى التنسيق الكامل والحس العميق (proprioception) اللازم لتجنب السقوط أو لامتصاص الصدمة بطريقة أكثر أمانًا.
  5. الأسطح الصلبة: السقوط على أسطح صلبة مثل الخرسانة أو الأرضيات الصلبة يزيد من شدة قوة الصدمة المنقولة إلى العظم، مما يزيد من احتمالية حدوث الكسر.

ملاحظة هامة: على الرغم من أن كسور الالتواء شائعة، إلا أنها ليست علامة على ضعف العظام أو نقص الكالسيوم لدى الطفل في معظم الحالات. إنها ببساطة نتيجة لتفاعل القوى الخارجية مع الخصائص الطبيعية لعظام الأطفال النامية.

صورة توضيحية لـ كسر الالتواء (Torus) عند الأطفال: دليل شامل لجبيرة المعصم اللاصقة والعلاج الأمثل مع الأستاذ الدكتور محمد هطيف في صنعاء

أعراض وعلامات كسر الالتواء: متى يجب زيارة الطبيب

بعد أي سقوط أو إصابة في الرسغ لدى طفلك، من الطبيعي أن تشعر بالقلق. معرفة الأعراض النموذجية لكسر الالتواء يمكن أن تساعدك في تحديد متى يجب عليك طلب المشورة الطبية. لحسن الحظ، غالبًا ما تكون أعراض كسور الالتواء أقل حدة مقارنة بأنواع الكسور الأخرى، مما يعكس طبيعتها المستقرة.

الأعراض الشائعة لكسر الالتواء

  1. الألم الموضعي

    الألم هو العرض الأكثر شيوعًا. يتركز الألم عادةً في منطقة الرسغ أو الساعد السفلي، وتحديدًا فوق المنطقة التي حدث فيها الكسر (الجزء السفلي من عظم الكعبرة). قد يصف الطفل الألم بأنه خفيف إلى متوسط، وقد يزداد عند محاولة تحريك الرسغ أو لمس المنطقة المصابة.

  2. التورم

    قد يلاحظ الوالدان تورمًا خفيفًا في منطقة الرسغ المصابة. هذا التورم عادة ما يكون موضعيًا وغير شديد، وقد لا يكون واضحًا للعيان في جميع الحالات، خاصة إذا كان الكسر طفيفًا جدًا.

  3. الحساسية عند اللمس

    عند لمس المنطقة المصابة بلطف، سيشعر الطفل بألم أو حساسية. هذه الحساسية تكون عادة في منطقة محددة فوق الكسر مباشرة.

  4. صعوبة أو ألم عند تحريك الرسغ

    قد يجد الطفل صعوبة في تحريك رسغه بالكامل أو قد يشعر بألم عند محاولة ذلك. ومع ذلك، غالبًا ما يكون قادرًا على تحريك أصابعه وإبهامه بحرية نسبية. قد يحاول الطفل تجنب استخدام اليد المصابة أو قد يحملها بالقرب من جسمه لتقليل الحركة.

أعراض غالبًا ما تكون غائبة في كسور الالتواء (مما يميزها عن الكسور الأكثر خطورة)

  • تشوه واضح: على عكس الكسور الكاملة، نادرًا ما تسبب كسور الالتواء تشوهًا مرئيًا في الرسغ أو الساعد. لن تلاحظ عادةً انحناءً غير طبيعيًا أو زاوية واضحة في الذراع.
  • مشاكل عصبية أو وعائية: من النادر جدًا أن تتسبب كسور الالتواء في أي ضرر للأعصاب أو الأوعية الدموية في اليد أو الأصابع. هذا يعني أن الإحساس ووظيفة الأصابع والدورة الدموية (لون الجلد ودفء الأصابع) عادة ما تكون سليمة.
  • صوت طقطقة (Crepitus): في الكسور الكاملة، قد يسمع الطبيب أو يشعر بصوت طقطقة عند تحريك العظم. هذا نادر جدًا في كسور الالتواء بسبب طبيعتها غير الكاملة والمستقرة.

متى يجب زيارة الطبيب؟

إذا تعرض طفلك لسقوط أو إصابة في الرسغ وظهرت عليه أي من الأعراض المذكورة أعلاه (ألم، تورم، حساسية عند اللمس، صعوبة في الحركة)، فمن الضروري زيارة الطبيب المختص لتقييم الحالة. حتى لو كانت الأعراض خفيفة، فإن التشخيص الدقيق بواسطة الأستاذ الدكتور محمد هطيف أو طبيب عظام أطفال مؤهل أمر حيوي لضمان العلاج الصحيح ومنع أي مضاعفات. لا تحاول تشخيص الحالة بنفسك، فالأشعة السينية ضرورية لتأكيد نوع الكسر.

صورة توضيحية لـ كسر الالتواء (Torus) عند الأطفال: دليل شامل لجبيرة المعصم اللاصقة والعلاج الأمثل مع الأستاذ الدكتور محمد هطيف في صنعاء

تشخيص كسر الالتواء بدقة: الفحص والأشعة

يُعد التشخيص الدقيق لكسر الالتواء أمرًا بالغ الأهمية لضمان اختيار خطة العلاج المناسبة. على الرغم من أن هذه الكسور غالبًا ما تكون حميدة، إلا أن التقييم الشامل من قبل طبيب متخصص مثل الأستاذ الدكتور محمد هطيف هو الخطوة الأولى نحو التعافي السريع والفعال لطفلك.

1. التاريخ السريري المفصل

يبدأ التشخيص بأخذ تاريخ سريري دقيق وشامل من الوالدين أو الطفل (إذا كان كبيرًا بما يكفي لوصف ما حدث). سيقوم الطبيب بالاستفسار عن:

  • آلية الإصابة: كيف حدث السقوط أو الصدمة؟ (مثلاً، السقوط على يد ممدودة).
  • وقت الإصابة: متى حدثت الإصابة؟
  • الأعراض الأولية: ما هي الأعراض التي ظهرت مباشرة بعد الإصابة؟
  • الإصابات السابقة: هل تعرض الطفل لأي إصابات سابقة في الرسغ أو الساعد؟
  • اليد المهيمنة: هل اليد المصابة هي اليد التي يستخدمها الطفل للكتابة أو الأكل؟
  • مستوى النشاط: ما هو مستوى نشاط الطفل الرياضي واليومي؟

2. الفحص البدني الشامل

بعد أخذ التاريخ، سيقوم الطبيب بإجراء فحص بدني دقيق للذراع واليد المصابة. يشمل الفحص:

  • المعاينة (Inspection): البحث عن أي تورم، كدمات، أو تشوهات طفيفة. في كسور الالتواء، غالبًا ما تكون التشوهات الواضحة غائبة.
  • الجس (Palpation): سيلمس الطبيب الرسغ والساعد بلطف لتحديد موقع الألم والحساسية. عادة ما يتركز الألم فوق الجزء السفلي من عظم الكعبرة. سيتحقق أيضًا من عدم وجود طقطقة (Crepitus)، والتي تكون نادرة في كسور الالتواء.
  • التقييم العصبي الوعائي (Neurovascular Assessment): هذا جزء حيوي من الفحص. سيقوم الطبيب بتقييم الدورة الدموية في اليد والأصابع (عن طريق فحص سرعة امتلاء الشعيرات الدموية والنبضات الشعاعية والزندية)، والإحساس في جميع الأصابع (توزيع الأعصاب الوسطى والزندية والكعبرية)، والوظيفة الحركية للأصابع. هذا للتأكد من عدم وجود أي إصابة مصاحبة للأعصاب أو الأوعية الدموية، على الرغم من أنها نادرة جدًا مع كسور الالتواء.
  • نطاق الحركة (Range of Motion): سيُطلب من الطفل تحريك رسغه وأصابعه وإبهامه. قد يحد الألم من حركة الرسغ، ولكن يجب التفريق بين التقييد بسبب الألم والتقييد الحقيقي في المفصل. سيتم أيضًا فحص الكوع والكتف لاستبعاد أي إصابات قريبة.

3. التقييم بالأشعة السينية (Radiographic Evaluation)

تُعد الأشعة السينية هي الأداة التشخيصية الرئيسية لتأكيد كسر الالتواء وتحديد نوعه وموقعه.

  • الصور القياسية: سيتم أخذ صورتين قياسيتين على الأقل للرسغ: صورة أمامية خلفية (AP) وصورة جانبية (Lateral). من المهم التأكد من أن الصور تشمل عظم الكعبرة والزند بالكامل.
    • علامات كسر الالتواء: غالبًا ما يكون الكسر دقيقًا ويظهر كـ "انتفاخ" أو "تجعد" طفيف في قشرة العظم، ويُرى غالبًا بشكل أوضح على القشرة الظهرية في الصورة الجانبية. قد تكون الصور المائلة مفيدة في الحالات غير الواضحة.
      وصف طبي دقيق للمريض
  • تقييم صفيحة النمو: يجب فحص صفيحة النمو بعناية فائقة، خاصة لدى الأطفال الأصغر سنًا، حيث يمكن أن تخفي خطوط صفيحة النمو الشفافة على الأشعة السينية إصابات سالتر-هاريس I الدقيقة.
  • الصور المقارنة للطرف الآخر: نادرًا ما تكون ضرورية لكسور الالتواء، ولكن يمكن أخذها في الاعتبار في الأطفال الصغار جدًا أو الحالات المعقدة لمقارنة صفائح النمو.

بعد الفحص السريري والأشعة السينية، سيتمكن الأستاذ الدكتور محمد هطيف من تأكيد تشخيص كسر الالتواء واستبعاد أي أنواع أخرى من الكسور التي قد تتطلب علاجًا مختلفًا. هذا التشخيص الدقيق هو أساس خطة العلاج الفعالة التي تركز على راحة الطفل وشفائه السريع.

صورة توضيحية لـ كسر الالتواء (Torus) عند الأطفال: دليل شامل لجبيرة المعصم اللاصقة والعلاج الأمثل مع الأستاذ الدكتور محمد هطيف في صنعاء

خطة العلاج لكسور الالتواء: جبيرة المعصم اللاصقة هي الأفضل

تُعد كسور الالتواء في الجزء السفلي من عظم الكعبرة لدى الأطفال من الكسور المستقرة بطبيعتها، وهذا يعني أن العلاج غير الجراحي هو الخيار الأمثل والوحيد في جميع الحالات تقريبًا. لا تتطلب هذه الكسور أي تدخل جراحي، ولا تحتاج إلى مناورات رد مغلق (إعادة العظم إلى مكانه) التي تُستخدم عادةً للكسور المنزاحة. إن "التقنية" المستخدمة في علاج كسر الالتواء هي تقنية غير جراحية بالكامل وتتركز على التثبيت المناسب وإدارة الأعراض.

يعتمد القرار بشأن استخدام جبيرة المعصم اللاصقة (Velcro wrist brace) بدلاً من الجبيرة الجبسية الأكثر صلابة على استقرار الكسر، وراحة المريض، والأدلة الطبية الراسخة.

دواعي استخدام جبيرة المعصم اللاصقة في كسور الالتواء

تُعد جبيرة المعصم اللاصقة مناسبة تقريبًا لجميع كسور الالتواء المؤكدة في الجزء السفلي من عظم

صورة طبية: كسر الالتواء (Torus) عند الأطفال: دليل شامل لجبيرة المعصم اللاصقة والعلاج الأمثل مع الأستاذ الدكتور محمد هطيف في صنعاء

صورة طبية: كسر الالتواء (Torus) عند الأطفال: دليل شامل لجبيرة المعصم اللاصقة والعلاج الأمثل مع الأستاذ الدكتور محمد هطيف في صنعاء

صورة طبية: كسر الالتواء (Torus) عند الأطفال: دليل شامل لجبيرة المعصم اللاصقة والعلاج الأمثل مع الأستاذ الدكتور محمد هطيف في صنعاء


آلام العظام والمفاصل المزمنة ليس قدراً محتوماً! التشخيص الدقيق والعلاج المتخصص يمكن أن يعيد لك كامل وظيفتك وحريتك في الحركة بدون ألم.

للحصول على استشارة دقيقة وخطة علاجية مخصصة لحالتك، تواصل فوراً مع مركز الأستاذ الدكتور محمد هطيف:

الأستاذ الدكتور محمد هطيف - أفضل دكتور عظام في صنعاء، وخبير في جراحات العظام والمفاصل المتقدمة.

مواضيع أخرى قد تهمك

Dr. Mohammed Hutaif
محتوى موثق طبياً بإشراف
أ.د. محمد هطيف
استشاري جراحة العظام والمفاصل والعمود الفقري
محتويات الفصل

العودة للدليل الرئيسي