فشل تثبيت كسور الورك: الأسباب، الأعراض، العلاج، والوقاية مع الأستاذ الدكتور محمد هطيف

الخلاصة الطبية
فشل تثبيت كسور الورك هو عدم قدرة الغرسة الجراحية على الحفاظ على استقرار الكسر، مما يؤدي إلى مضاعفات مثل عدم الالتئام أو خروج الغرسة. يتضمن العلاج مراجعة جراحية غالبًا مع تغيير طريقة التثبيت أو استبدال المفصل.
الخلاصة الطبية السريعة: فشل تثبيت كسور الورك هو عدم قدرة الغرسة الجراحية على الحفاظ على استقرار الكسر، مما يؤدي إلى مضاعفات مثل عدم الالتئام أو خروج الغرسة. يتضمن العلاج مراجعة جراحية غالبًا مع تغيير طريقة التثبيت أو استبدال المفصل.
مقدمة عن كسور الورك وفشل تثبيتها
تُعد كسور الورك من الإصابات الخطيرة التي تؤثر بشكل كبير على كبار السن في جميع أنحاء العالم، وتُشكل عبئًا صحيًا واقتصاديًا كبيرًا. مع تزايد أعداد السكان المسنين، من المتوقع أن تزداد حالات كسور الورك، مما يجعل إدارتها الفعالة تحديًا طبيًا رئيسيًا. على الرغم من أن التثبيت الداخلي يظل الخيار المفضل لعلاج العديد من أنماط كسور الورك، خاصة لدى المرضى الأصغر سنًا وفي بعض أنواع الكسور المستقرة لدى كبار السن، إلا أن فشل التثبيت يظل من المضاعفات الحرجة التي تتطلب جراحة مراجعة، وتؤدي إلى فترة تعافٍ أطول، وتكاليف رعاية صحية متزايدة.
يُعرف فشل التثبيت بأنه عدم قدرة الغرسة الجراحية (المسامير، الشرائح، المسامير النخاعية) على الحفاظ على استقرار الكسر، مما يؤدي إلى مضاعفات مثل خروج الغرسة من مكانها، أو هجرتها، أو عدم التئام الكسر (الالتئام الكاذب)، أو الالتئام الخاطئ، أو النخر اللاوعائي لرأس الفخذ. كل هذه المضاعفات تُعيق الهدف الأساسي من الجراحة وهو استعادة الشكل التشريحي الطبيعي للورك والوظيفة الحركية المستقلة للمريض.
يُعد فهم وتحديد العوامل المتعددة التي تزيد من خطر فشل التثبيت أمرًا بالغ الأهمية لتحسين اختيار المريض، وصقل التقنيات الجراحية، وتوجيه استراتيجيات إدارة ما بعد الجراحة. يهدف هذا الدليل الشامل إلى تجميع المعرفة الحالية حول الطبيعة المتعددة العوامل لهذه التنبؤات، والتي تتراوح من العوامل البيولوجية الخاصة بالمريض إلى الجوانب الميكانيكية الحيوية للكسر والتفاصيل الفنية للتثبيت الجراحي.
في صنعاء واليمن، يُعتبر الأستاذ الدكتور محمد هطيف ، استشاري جراحة العظام والعمود الفقري، من أبرز المراجع في علاج كسور الورك المعقدة وإدارة حالات فشل التثبيت. بفضل خبرته الواسعة ومعرفته العميقة بأحدث التقنيات الجراحية، يقدم الدكتور هطيف رعاية متكاملة تهدف إلى تحقيق أفضل النتائج الممكنة للمرضى، مع التركيز على الوقاية من المضاعفات وتوفير حلول فعالة عند حدوثها.
تشريح مفصل الورك ووظيفته
لفهم كسور الورك وفشل تثبيتها، من الضروري الإلمام بالتشريح الدقيق للجزء العلوي من عظم الفخذ وخصائصه الميكانيكية الحيوية، خاصة في سياق ضعف جودة العظام.
التشريح الدقيق لعظم الفخذ العلوي
يتكون الجزء العلوي من عظم الفخذ من الرأس والعنق والمنطقة المدورية، وكل جزء له دور حيوي:
- رأس الفخذ: هو الجزء الكروي الذي يتمفصل مع التجويف الحقي في عظم الحوض. يتلقى إمداده الدموي بشكل أساسي من الأوعية الشبكية. أي إصابة تؤثر على هذا الإمداد الدموي يمكن أن تؤدي إلى مضاعفات خطيرة.
- عنق الفخذ: يربط رأس الفخذ بالجسم الرئيسي للعظم، ويتميز بقشرة كثيفة وشبكة معقدة من العظام الإسفنجية (التربيقية). تُعد زاوية الميل الأمامي وزاوية الانحراف (التقوس) من السمات الميكانيكية الحيوية الحرجة. كسور هذه المنطقة تُعطل الأنسجة العظمية الرئيسية الحاملة للوزن (الضغط الإنسي والشد الوحشي) وكذلك الإمداد الدموي الحيوي.
- المنطقة المدورية: تتكون من المدور الكبير والمدور الصغير، وهما نقطتا ارتباط للعديد من عضلات الورك القوية. المنطقة بين المدورين تتكون إلى حد كبير من العظم الإسفنجي، مما يجعلها عرضة للتفتت، خاصة في العظام المصابة بهشاشة العظام.
الإمداد الدموي لرأس الفخذ
تُعد الأوعية الدموية المغذية لرأس الفخذ حاسمة، خاصة في حالات كسور عنق الفخذ. يأتي الإمداد الرئيسي من الشرايين المنعطفة الفخذية الإنسية والوحشية، والتي تُنتج أوعية شبكية تصعد على طول عنق الفخذ داخل المحفظة المفصلية. يمكن أن يؤدي إزاحة كسور عنق الفخذ إلى تعطيل هذه الأوعية، مما يُعرض رأس الفخذ لخطر النخر اللاوعائي (موت الخلايا العظمية بسبب نقص الدم) وما يتبعه من انهيار أو عدم التئام.
الميكانيكا الحيوية للتثبيت
يتعرض الجزء العلوي من عظم الفخذ لقوى كبيرة من الانحناء والقص والضغط أثناء تحمل الوزن. تُصمم هياكل التثبيت الداخلي لمواجهة هذه القوى، مما يوفر الاستقرار حتى يحدث الالتئام البيولوجي للعظم.
- مشاركة الحمل: تُعزز الهياكل المثالية مشاركة الحمل بين الغرسة والعظم، مما يقلل من حجب الإجهاد ويسمح بتحفيز الإجهاد الفسيولوجي لتكوين الكالس (نسيج العظم الجديد).
- جودة العظام: تُقلل هشاشة العظام بشكل كبير من كثافة المعادن في العظام وسلامتها المعمارية، مما يُقلل من قوة سحب المسامير وتثبيت المسامير النخاعية. تُعد هذه الجودة أحد العوامل الرئيسية للتنبؤ بخروج الغرسة وفشل التثبيت.
-
استقرار نمط الكسر:
- كسور عنق الفخذ: غالبًا ما يرتبط عدم الاستقرار بالإزاحة وتفتت القشرة الخلفية. تُعد تصنيفات باولز (زاوية خط الكسر بالنسبة للأفق) وغاردن (درجة الإزاحة والدوران) حاسمة. كسور باولز ذات الزوايا العالية (النوع الثالث) وكسور غاردن من النوع الثالث/الرابع المزاحة، تُظهر قوى قص أعلى بطبيعتها وتزيد من خطر عدم الالتئام أو النخر اللاوعائي.
- كسور ما بين المدورين: يتحدد الاستقرار بسلامة القشرة الخلفية الإنسية والمدور الصغير. التفتت في هذه المناطق، وخاصة أنماط الانحراف العكسي، يُحول قوى الضغط الأساسية إلى قوى قص شديدة زعزعة للاستقرار، مما يجعل المسامير المنزلقة التقليدية عرضة للفشل وغالبًا ما يتطلب تثبيتًا بمسمار نخاعي.
الأسباب وعوامل الخطر لفشل تثبيت كسور الورك
يُعد فشل تثبيت كسور الورك نتيجة لتفاعل معقد بين عدة عوامل. فهم هذه العوامل يُساعد الأستاذ الدكتور محمد هطيف وفريقه في صنعاء على اتخاذ قرارات علاجية مستنيرة لتقليل هذا الخطر.
عوامل الخطر المتعلقة بالمريض
تؤثر الخصائص الفردية للمريض بشكل كبير على قدرة العظم على الالتئام وقوة التثبيت الجراحي:
- هشاشة العظام (Osteoporosis) أو انخفاض كثافة العظام: تُعتبر العامل الأكثر أهمية المرتبط بالمريض. العظام الهشة لا توفر تثبيتًا قويًا للمسامير أو المسامير النخاعية، مما يزيد من خطر خروج الغرسة وعدم الالتئام.
- العمر المتقدم: يرتبط العمر بضعف جودة العظام وزيادة الأمراض المصاحبة، مما يؤدي إلى ارتفاع معدلات الفشل.
- الأمراض المصاحبة: حالات مثل داء السكري غير المتحكم به، الفشل الكلوي المزمن، سوء التغذية (انخفاض الألبومين)، التدخين، والاستخدام المزمن للكورتيكوستيرويدات، تُضعف قدرة العظم على الالتئام وتزيد من خطر العدوى، مما يُساهم في فشل التثبيت.
- الضعف الإدراكي: يؤثر على التزام المريض بتعليمات تحمل الوزن وبروتوكولات إعادة التأهيل، مما يزيد بشكل غير مباشر من خطر الفشل.
- السمنة المفرطة: يمكن أن تزيد من الإجهاد الميكانيكي على الغرسة وتُصعب الجراحة.
عوامل الخطر المتعلقة بالكسر
تُحدد طبيعة الكسر نفسه مدى صعوبة تثبيته وقابليته للالتئام:
-
عدم استقرار نمط الكسر:
- كسور عنق الفخذ: الكسور المزاحة (تصنيف غاردن III/IV)، والكسور ذات الزاوية العالية (تصنيف باولز > 50-70 درجة)، والتفتت الخلفي، وأنماط القص العمودي، كلها تزيد بشكل كبير من خطر عدم الالتئام والنخر اللاوعائي، مما يؤدي إلى فشل التثبيت.
- كسور ما بين المدورين: تفتت القشرة الخلفية الإنسية، وتأثر المدور الصغير، وأنماط الانحراف العكسي (تصنيف AO/OTA 31-A3) تُنشئ عدم استقرار جوهريًا، مما يُعرض الكسر للانهيار في وضع التقوس (Varus collapse) وخروج الغرسة، خاصة عند استخدام مسمار الورك المنزلق (SHS). تُعد المسامير النخاعية (IMN) عمومًا أفضل لهذه الأنماط غير المستقرة.
- درجة الإزاحة: تؤثر بشكل مباشر على تعطيل الإمداد الدموي (في كسور عنق الفخذ) وعلى صعوبة تحقيق رد الكسر المستقر.
- التفتت الشديد: كلما زاد تفتت العظم، قلت نقاط التثبيت المتاحة وزادت صعوبة استعادة الشكل التشريحي.
عوامل الخطر المتعلقة بالتقنية الجراحية
حتى مع وجود مريض وعظم جيدين، يمكن أن تؤدي الأخطاء الجراحية إلى فشل التثبيت:
- جودة رد الكسر (Reduction Quality): يُعد رد الكسر غير الجيد، وخاصة وجود انحراف تقوسي متبقي (Varus angulation)، عاملًا حاسمًا في فشل التثبيت بجميع أنواع كسور الورك. يرتبط الرد التشريحي أو الرد المقبول (مثل الاندكاك التقوسي Valgus impaction) بمعدلات فشل أقل بكثير.
-
وضع الغرسة (Implant Position):
- مسافة الرأس-الطرف (Tip-Apex Distance - TAD): تُعد العامل الجراحي الأكثر شيوعًا للتنبؤ بفشل مسمار الورك المنزلق (SHS) والمسامير النخاعية (IMN). تُشير مسافة TAD أكبر من 25 ملم (بعض الأدبيات تُشير إلى >20 ملم) إلى ارتباط قوي بخروج الغرسة. يُعد الوضع الأمثل هو في المنتصف أو المنتصف السفلي لرأس الفخذ.
- وضع المسمار اللولبي/الرأسي غير المركزي: يؤدي وضع المسامير بشكل مفرط في الجزء العلوي أو السفلي، أو الأمامي/الخلفي من رأس الفخذ إلى ضعف التثبيت وزيادة تركيز الإجهاد، مما يؤدي إلى خروج الغرسة.
- اختيار الغرسة غير المناسب: استخدام غرسة غير مناسبة لنمط الكسر (مثل استخدام مسمار الورك المنزلق لكسور ما بين المدورين ذات الانحراف العكسي، أو المسامير المجوفة لكسور عنق الفخذ المزاحة بشدة لدى كبار السن ذوي العظام الهشة) يُعد من العوامل المعروفة للفشل.
- الخبرة الجراحية: على الرغم من أنها لا تُقاس رسميًا، إلا أن خبرة الجراح والتزامه بالمبادئ المعمول بها تُعد عوامل ضمنية في تحقيق الرد الأمثل والتثبيت الفعال.
أعراض كسر الورك
تظهر أعراض كسر الورك عادة بشكل مفاجئ وواضح، وتستدعي عناية طبية فورية. معرفة هذه الأعراض مهمة للمريض وذويه لطلب المساعدة الطبية بسرعة:
- ألم شديد ومفاجئ في منطقة الورك أو الفخذ: يُعد الألم هو العرض الرئيسي، ويزداد سوءًا عند محاولة تحريك الساق أو الوقوف.
- عدم القدرة على الوقوف أو تحمل الوزن على الساق المصابة: غالبًا ما يجد المريض نفسه غير قادر على النهوض بعد السقوط أو الوقوف على الساق المكسورة.
- تشوه في الساق المصابة: قد تبدو الساق أقصر من الساق الأخرى أو قد تكون ملتفة إلى الخارج (دوران خارجي).
- تورم وكدمات: قد تظهر في منطقة الورك والفخذ بعد الكسر.
- عدم القدرة على تحريك الساق المصابة: صعوبة أو استحالة تحريك الورك أو الركبة في الساق المتضررة.
إذا ظهرت أي من هذه الأعراض بعد سقوط أو إصابة، فمن الضروري طلب الرعاية الطبية الطارئة فورًا.
تشخيص كسر الورك وفشل تثبيته
يعتمد تشخيص كسر الورك وفشل تثبيته على تقييم شامل يشمل الفحص السريري والتصوير الإشعاعي.
تقييم المريض قبل الجراحة (في حالة الكسر الأولي)
يُعد التخطيط الشامل قبل الجراحة حجر الزاوية في منع فشل التثبيت. يتضمن تقييمًا منهجيًا للمريض، والكسر، والاستراتيجية الجراحية.
- التقييم الطبي: تُقيّم الأمراض المصاحبة (القلب، الرئة، الكلى، الغدد الصماء، الحالة الغذائية). يُعد سوء التغذية، فقر الدم، السكري غير المتحكم به، والفشل الكلوي من العوامل المعروفة التي تُؤثر سلبًا على التئام العظام وتزيد من معدلات المضاعفات.
- تقييم صحة العظام: تُراجع السيرة المرضية للمريض بحثًا عن هشاشة العظام، أو كسور سابقة ناتجة عن هشاشة، أو أدوية تؤثر على استقلاب العظام. على الرغم من أن اختبارات كثافة العظام الرسمية نادرًا ما تُجرى بشكل حاد، إلا أن الشك السريري بوجود هشاشة عظام شديدة يؤثر على اختيار الغرسة والتقنية الجراحية.
- الحالة الوظيفية: تُقيّم قدرة المريض على المشي قبل الإصابة، الوظيفة الإدراكية، والدعم الاجتماعي. تؤثر هذه العوامل على إمكانية إعادة التأهيل والامتثال، مما يؤثر بشكل غير مباشر على بقاء الغرسة.
تقييم الكسر بالتصوير الإشعاعي
-
الأشعة السينية العادية (X-rays):
تُعد صور الأشعة السينية الأمامية الخلفية للحوض والأمامية الخلفية/الجانبية للورك المصاب هي المعيار.
- تُقيّم نمط الكسر، الإزاحة، التفتت، والانحراف.
- في كسور عنق الفخذ: تُعد تصنيفات غاردن (I-IV) وزاوية باولز (I-III) حاسمة للتكهن واختيار الغرسة.
- في كسور ما بين المدورين: يُستخدم تصنيف AO/OTA (31-A1, A2, A3). تُقيّم سلامة القشرة الخلفية الإنسية، المدور الصغير، ووجود الانحراف العكسي.
- التصوير المقطعي المحوسب (CT): يُستخدم بشكل متزايد للكسور المعقدة، خاصة لتقييم التفتت، وتأثر المفصل، وتوجيه اختيار الغرسة. يمكنه تحديد جودة العظام (مثل وحدات هاونسفيلد) التي ترتبط بهشاشة العظام.
تشخيص فشل التثبيت بعد الجراحة
إذا كان هناك شك في فشل التثبيت بعد الجراحة، فسيقوم الدكتور محمد هطيف بإجراء تقييم شامل:
- الفحص السريري: لتقييم الألم، الوظيفة، أي تشوهات جديدة، أو علامات عدوى.
- الأشعة السينية المتكررة: لمراقبة وضع الغرسة، أي تغيير في موضعها، علامات عدم الالتئام، أو انهيار العظم حول الغرسة.
- التصوير المقطعي المحوسب (CT): قد يُطلب لتقييم أدق لتفتت العظم، مدى الالتئام، أو تحديد موقع الغرسة بشكل ثلاثي الأبعاد.
- التصوير بالرنين المغناطيسي (MRI): قد يُستخدم لتشخيص النخر اللاوعائي لرأس الفخذ أو لتقييم الأنسجة الرخوة.
- فحوصات الدم: قد تُطلب للكشف عن علامات العدوى أو سوء التغذية.
خيارات علاج كسور الورك
يعتمد قرار العلاج، سواء كان جراحيًا أو غير جراحي، واختيار الغرسة المناسبة، على عوامل متعددة ويؤثر بشكل كبير على خطر فشل التثبيت. يُعد الأستاذ الدكتور محمد هطيف خبيرًا في اتخاذ هذه القرارات المعقدة لمرضاه في صنعاء.
دواعي التثبيت الداخلي
يُشار إلى التثبيت الداخلي بشكل عام في الحالات التالية:
- الكسور المزاحة أو غير المستقرة: حيث يؤدي العلاج غير الجراحي إلى تشوه غير مقبول، أو ألم، أو عدم التئام.
- الكسور لدى المرضى النشطين: الأفراد الأصغر سنًا والنشطون الذين تُعد استعادة وظيفتهم التشريحية شبه الكاملة أمرًا بالغ الأهمية بالنسبة لهم.
- بعض الكسور المرضية: لتوفير الاستقرار وتخفيف الألم.
موانع التثبيت الداخلي (أو الاعتبارات البديلة)
تتضمن موانع التثبيت الداخلي، والتي غالبًا ما تكون نسبية:
- الكسور المفتتة بشدة/غير القابلة لإعادة البناء: حيث من غير المرجح أن يُحقق التثبيت الداخلي ردًا مستقرًا أو تثبيتًا كافيًا.
- التهاب المفاصل التنكسي الشديد الموجود مسبقًا: قد يُفضل استبدال المفصل (الرأب المفصلي).
- الأمراض المصاحبة الهامة الموجودة مسبقًا: التي تجعل إجراء التثبيت الطويل أو المعقد غير آمن، أو تُحد من قدرة المريض على إعادة التأهيل بعد الجراحة، وبالتالي تزيد من خطر الفشل.
- المرضى غير القادرين على المشي والذين يعانون من ألم بسيط: في بعض الأحيان، قد يُنظر في العلاج غير الجراحي أو إجراءات أبسط، على الرغم من أنها أقل شيوعًا لكسور الورك.
| دواعي التثبيت الجراحي | موانع/اعتبارات للعلاج غير الجراحي أو الرأب المفصلي |
|---|---|
| كسور عنق الفخذ: | |
| كسور مزاحة (غاردن III/IV) لدى المرضى الأصغر سنًا (<60-65 عامًا) | كسر عنق الفخذ مفتت بشدة/غير قابل لإعادة البناء |
| كسور غير مزاحة/منغرسة (غاردن I/II) في جميع الأعمار | التهاب المفاصل الوركي الشديد الموجود مسبقًا (يُفضل الرأب المفصلي) |
| باولز من النوع I/II | كبار السن، ذوو المتطلبات الوظيفية المنخفضة، غير مستقرين طبيًا مع كسر غير مزاح (نادر) |
| كسور ما بين المدورين: | |
| جميع الأنماط المزاحة أو غير المستقرة (AO/OTA 31-A2, 31-A3) | مفتت بشدة، غير قابل للتثبيت (يُفضل الرأب المفصلي إن أمكن) |
| الأنماط المستقرة (AO/OTA 31-A1) | هشاشة طبية شديدة، غير قادر على المشي، ألم بسيط (نادر) |
| الانحراف العكسي (يُشار إلى المسمار النخاعي) | |
| كسور تحت المدورين: | |
| جميع الأنماط المزاحة أو غير المستقرة | فقدان عظمي شديد، كسر مرضي لا يستجيب للتثبيت |
التقنيات الجراحية التفصيلية
يتطلب تحقيق تثبيت مستقر ودائم تقنية جراحية دقيقة، مع التركيز على الرد التشريحي ووضع الغرسة الأمثل. بينما تختلف التقنيات المحددة حسب نوع الكسر والغرسة، تُطبق بعض المبادئ عالميًا لتقليل فشل التثبيت. يُعد الأستاذ الدكتور محمد هطيف من جراحي العظام الذين يلتزمون بأعلى معايير الدقة والخبرة في صنعاء.
1. المبادئ العامة
-
الرد التشريحي أو المقبول للكسر: يُعد هذا العامل الأكثر أهمية لنجاح التثبيت. يؤدي الرد السيئ إلى سوء المحاذاة، وزيادة الإجهاد على الغرسة، وضعف الالتئام.
- كسور عنق الفخذ: الهدف هو رد تشريحي. في الكسور المنغرسة أو المنغرسة تقوسيًا، يُحافظ على الاندكاك. في الكسور المزاحة، تُستخدم عمليات الجر اللطيف، والدوران الداخلي، وعمليات التبعيد/التقريب لاستعادة المحاذاة. غالبًا ما يُفضل الرد التقوسي (Valgus reduction) على الرد التقوسي (Varus reduction).
- كسور ما بين المدورين: يُحقق رد مستقر، ويفضل استعادة الدعامة الخلفية الإنسية. غالبًا ما يتضمن الرد المستقر انحرافًا تقوسيًا طفيفًا واستعادة كافية لطول الفخذ ودورانه. يجب تجنب الانهيار التقوسي.
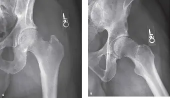
صورة توضح كسرًا بين المدورين مفتتًا مع إزاحة كبيرة. يُظهر الرد غير الأمثل، مثل التقوس المتبقي أو عدم استعادة الدعامة الخلفية الإنسية بشكل كافٍ، زيادة خطر فشل الغرسة بشكل كبير. -
اختيار الغرسة المناسبة: يُعد مطابقة الغرسة لنمط الكسر وجودة العظام أمرًا بالغ الأهمية.
- المسامير المجوفة (كسور عنق الفخذ): عادةً 3 مسامير متوازية. تُستخدم لكسور عنق الفخذ المستقرة، غير المزاحة، أو المنغرسة تقوسيًا. يجب أن تُعظم طريقة التثبيت (مثلثة مقلوبة، ماسية) من تثبيت المسامير.
- مسمار الورك المنزلق (SHS) (كسور ما بين المدورين): يتكون من مسمار تثبيت يُدخل في رأس الفخذ، وصفيحة جانبية، ومسامير قشرية في جسم الفخذ. يُستخدم لكسور ما بين المدورين المستقرة أو غير المستقرة القابلة للرد (مثل AO/OTA 31-A1, A2.1). يسمح مسمار التثبيت بالاندكاك المتحكم به في موقع الكسر.
- المسمار النخاعي (IMN) (كسور ما بين المدورين، تحت المدورين، الانحراف العكسي): يوفر هيكلًا أكثر ملاءمة ميكانيكيًا حيويًا لمشاركة الحمل، خاصة للكسور غير المستقرة، المفتتة، ذات الانحراف العكسي، أو كسور تحت المدورين. يعمل المسمار كجبيرة داخلية، ويقاوم الانحناء والدوران.
3.
آلام الورك المبرحة ليس قدراً محتوماً! التشخيص الدقيق والعلاج المتخصص يمكن أن يعيد لك كامل وظيفتك وحريتك في الحركة بدون ألم.
للحصول على استشارة دقيقة وخطة علاجية مخصصة لحالتك، تواصل فوراً مع مركز الأستاذ الدكتور محمد هطيف:
الأستاذ الدكتور محمد هطيف - أفضل دكتور عظام في صنعاء، وخبير في جراحات استبدال مفصل الورك والمراجعة المعقدة.
مواضيع أخرى قد تهمك