إعادة بناء الرباط الدالي للكاحل: دليل شامل للمرضى مع الأستاذ الدكتور محمد هطيف

الخلاصة الطبية
إعادة بناء الرباط الدالي هي عملية جراحية حاسمة لاستعادة استقرار الكاحل الداخلي، خاصة في حالات القدم المسطحة الشديدة. تهدف إلى إصلاح الأربطة الضعيفة أو المتمزقة باستخدام طعم لتعزيز الثبات وتقليل الألم، ويُعد الأستاذ الدكتور محمد هطيف الرائد في هذا المجال بصنعاء.
الخلاصة الطبية السريعة: تُعد عملية إعادة بناء الرباط الدالي (Deltoid Ligament Reconstruction) واحدة من أهم العمليات الجراحية المعقدة والحاسمة في مجال جراحة العظام والقدم والكاحل. تهدف هذه الجراحة الدقيقة إلى استعادة الاستقرار الميكانيكي والوظيفي للكاحل الداخلي، وتحديداً في الحالات المتقدمة من القدم المسطحة الشديدة أو الإصابات الرياضية المزمنة. تعتمد العملية على إصلاح الأربطة المتمزقة أو المتهالكة باستخدام طعم وتري (Graft) لتعزيز الثبات، القضاء على الألم المزمن، ومنع تدهور المفاصل المحيطة. وفي اليمن، يبرز اسم الأستاذ الدكتور محمد هطيف، أستاذ جراحة العظام والمفاصل بجامعة صنعاء، كمرجعية طبية أولى ورائد بلا منازع في هذا التخصص الدقيق، بفضل خبرته التي تتجاوز العشرين عاماً واستخدامه لأحدث تقنيات الجراحة الميكروسكوبية ومناظير 4K.

مقدمة شاملة: لماذا يعتبر الرباط الدالي حجر الزاوية في استقرار الكاحل؟
هل تعاني من ألم مزمن ومستمر في الجانب الداخلي للكاحل؟ هل تشعر بعدم استقرار مفاجئ أو تلاحظ ميلاً تدريجياً في قدمك نحو الخارج؟ إذا كانت إجابتك بنعم، فقد تكون تواجه مشكلة طبية معقدة تُعرف باسم "قصور أو تمزق الرباط الدالي".
الرباط الدالي (Deltoid Ligament) ليس مجرد نسيج ضام بسيط، بل هو شبكة هندسية معقدة من الأربطة القوية الموجودة على الجانب الإنسي (الداخلي) للكاحل. يلعب هذا الرباط دوراً ميكانيكياً حيوياً لا غنى عنه في الحفاظ على استقرار مفصل الكاحل والقدم الخلفية، حيث يتحمل ضغوطاً هائلة مع كل خطوة تخطوها. عندما يتعرض هذا الرباط للإجهاد المستمر، التمزق، أو الضعف التدريجي، تتولد حالة طبية تُعرف بـ "قصور الرباط الدالي" (Deltoid Ligament Insufficiency). هذه الحالة لا تسبب ألماً مبرحاً فحسب، بل تؤدي إلى انهيار تدريجي في قوس القدم، مما يساهم بشكل مباشر في تطور حالة "القدم المسطحة المكتسبة لدى البالغين" (Adult Acquired Flatfoot Deformity) في مراحلها المتأخرة.
إن تجاهل هذه المشكلة لا يؤدي إلى تحسنها، بل على العكس، فإن استمرار الضغط الميكانيكي الخاطئ يؤدي إلى تآكل غضاريف الكاحل، مما يمهد الطريق لخشونة المفاصل المبكرة (Osteoarthritis). وهنا يأتي دور التدخل الجراحي المتقدم. تُعد عملية إعادة بناء الرباط الدالي إجراءً جراحياً دقيقاً للغاية يهدف إلى استعادة القوة الميكانيكية والوظيفة الفسيولوجية لهذا الرباط الحيوي. إنها ليست مجرد عملية خياطة لرباط مقطوع، بل هي إعادة هندسة حيوية لاستعادة التوازن الميكانيكي الكامل للكاحل والقدم.
في العاصمة اليمنية صنعاء، يُعتبر الأستاذ الدكتور محمد هطيف الوجهة الطبية والملاذ الآمن للمرضى الذين يعانون من هذه الحالات المعقدة. بفضل التزامه الصارم بالأمانة الطبية، واعتماده على أحدث التقنيات العالمية، يضمن الدكتور هطيف تقديم تقييم دقيق وخطط علاجية مخصصة تعيد للمريض قدرته على المشي بثبات وبدون ألم.


التشريح المعقد للرباط الدالي: هندسة إلهية دقيقة
لفهم مدى تعقيد وأهمية عملية إعادة بناء الرباط الدالي، يجب علينا أولاً الغوص في التفاصيل التشريحية الدقيقة لهذا الهيكل الحيوي. الجراح الماهر، مثل الأستاذ الدكتور محمد هطيف، لا ينظر إلى الكاحل كعظام فحسب، بل كنظام متكامل من الروافع والأربطة والأوتار التي تعمل بتناغم تام.
الرباط الدالي يتخذ شكل مروحة أو مثلث (ومن هنا جاءت تسميته "الدالي" نسبة لحرف الدلتا اليوناني)، وهو يربط الكعب الإنسي (الجزء السفلي البارز من عظمة قصبة الساق - الظنبوب) بعظام القدم (الكاحل، العقب، والزورقي). ينقسم هذا الرباط تشريحياً ووظيفياً إلى طبقتين رئيسيتين:
1. الأربطة الدالية العميقة (Deep Deltoid Ligaments)
تُعد هذه الطبقة هي حجر الأساس والمثبت الرئيسي لمفصل الكاحل الحقيقي (المفصل الظنبوبي الكاحلي - Tibiotalar Joint).
* المنشأ والارتكاز: تنشأ هذه الأربطة من السطح الداخلي والخلفي للكعب الإنسي (عظمة الساق) وتتصل مباشرة بالسطح الداخلي للعظم الكاحلي (Talus).
* الوظيفة الميكانيكية: تتميز ألياف هذه الطبقة بقصرها الشديد وسماكتها وقوتها الهائلة. دورها الرئيسي هو منع العظم الكاحلي من الانزلاق للخارج أو الميلان بشكل غير طبيعي داخل تجويف الكاحل. أي تمزق أو ارتخاء في هذه الأربطة العميقة يؤدي بشكل مباشر وفوري إلى عدم استقرار الكاحل وميلان القدم للخارج (Valgus Tilt).

2. الأربطة الدالية السطحية (Superficial Deltoid Ligaments)
تتكون هذه الطبقة من مجموعة واسعة ومتشعبة من الألياف التي تمتد كالمروحة لتغطي مساحة أكبر من القدم الخلفية والوسطى. تنشأ من الحافة الأمامية والسفلية للكعب الإنسي وتتفرع إلى عدة أربطة فرعية:
* الرباط الظنبوبي الزورقي (Tibionavicular Ligament): يمتد للأمام ليتصل بالعظم الزورقي، ويلعب دوراً هاماً في دعم قوس القدم الداخلي.
* الرباط الظنبوبي العقبي (Tibiocalcaneal Ligament): ينزل عمودياً ليتصل بالدعامة الكاحلية (Sustentaculum Tali) لعظمة الكعب (العقب).
* الرباط الظنبوبي الكاحلي السطحي (Superficial Tibiotalar Ligament): يتصل بالجزء الخلفي من العظم الكاحلي.
تعمل هذه الأربطة السطحية كوحدة واحدة لمقاومة قوى الانقلاب الخارجي (Eversion) وتوفر دعماً إضافياً للجانب الداخلي للكاحل.

الهياكل الحيوية المحيطة: تحديات جراحية
أثناء إجراء الجراحة، يواجه الجراح هياكل عصبية ووعائية ووترية بالغة الأهمية يجب حمايتها بدقة متناهية. هذا هو المجال الذي تبرز فيه خبرة الأستاذ الدكتور محمد هطيف في الجراحة الميكروسكوبية:
* الوتر الظنبوبي الخلفي (Posterior Tibial Tendon - PTT): يمر هذا الوتر الحيوي خلف الكاحل الإنسي مباشرة. في حالات قصور الرباط الدالي المزمن، غالباً ما يكون هذا الوتر ملتهباً، ضعيفاً، أو متمزقاً، حيث أنه يعمل جنباً إلى جنب مع الرباط الدالي لدعم قوس القدم.
* العصب والوريد الصافن (Saphenous Nerve and Vein): يمران في الجزء الأمامي من الكاحل الإنسي. أي إصابة غير مقصودة لهما قد تؤدي إلى نزيف أو خدر مزمن في القدم.
* الحزمة الوعائية العصبية الخلفية: تقع خلف الكاحل وتغذي باطن القدم.
الأسباب العميقة وعوامل الخطر لتمزق الرباط الدالي
لا يحدث قصور الرباط الدالي من فراغ، بل هو نتيجة لتفاعل معقد بين عوامل ميكانيكية، بيولوجية، وحوادث طارئة. يمكن تقسيم الأسباب إلى فئتين رئيسيتين:
1. الإصابات الحادة (Acute Trauma)
رغم أن تمزق الرباط الدالي الحاد أقل شيوعاً من تمزق أربطة الكاحل الخارجية، إلا أنه يحدث عادة نتيجة حوادث عنيفة:
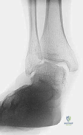
* الكسور المعقدة: يترافق تمزق الرباط الدالي غالباً مع كسور الكاحل المزدوجة أو كسور عظمة الشظية (Weber B or C fractures).
* الإصابات الرياضية العنيفة: الرياضات التي تتطلب تغيير اتجاه مفاجئ وقوي، أو هبوط خاطئ من قفزة (مثل كرة القدم، كرة السلة، الجمباز) حيث تلتوي القدم بقوة نحو الخارج (Eversion Sprain).
* حوادث السير أو السقوط من ارتفاع: والتي تولد قوة ميكانيكية تتجاوز قدرة الرباط على التحمل.
2. التدهور المزمن (Chronic Degeneration & Insufficiency)
هذا هو السبب الأكثر شيوعاً والذي يتطلب غالباً عمليات إعادة البناء المعقدة:
* القدم المسطحة المكتسبة (Adult Acquired Flatfoot): يبدأ الأمر عادة بضعف في الوتر الظنبوبي الخلفي. مع مرور الوقت، يفقد قوس القدم دعمه، مما ينقل كل الضغط والوزن إلى الرباط الدالي. بمرور الأشهر والسنوات، يتمدد الرباط الدالي، يضعف، ثم يتمزق تدريجياً، مما يؤدي إلى انهيار كامل للكاحل نحو الداخل.
* السمنة المفرطة: الوزن الزائد يضع ضغطاً ميكانيكياً مستمراً وغير طبيعي على أربطة الكاحل، مما يعجل بتآكلها.
* التهاب المفاصل الروماتويدي والأمراض المناعية: تؤدي هذه الأمراض إلى إضعاف الأنسجة الضامة والأربطة في جميع أنحاء الجسم، بما في ذلك الرباط الدالي.
* الحقن المتكرر للكورتيزون: قد يؤدي حقن الكورتيزون المتكرر في منطقة الكاحل إلى إضعاف بنية الأربطة والأوتار المحيطة.

الأعراض والعلامات السريرية: كيف تعرف أنك مصاب؟
الأعراض تختلف بشكل كبير بناءً على ما إذا كانت الإصابة حادة أم مزمنة. في عيادة الأستاذ الدكتور محمد هطيف، يتم الاستماع بعناية شديدة لتاريخ المريض المرضي، لأن الأعراض تروي القصة الكاملة للمرض.
جدول: تصنيف أعراض قصور الرباط الدالي حسب شدة الحالة
| مرحلة الإصابة / الشدة | الأعراض الرئيسية التي يشعر بها المريض | العلامات السريرية المرئية | تأثيرها على الحياة اليومية |
|---|---|---|---|
| المرحلة الأولى (تمزق خفيف / التهاب) | ألم خفيف إلى متوسط في الجزء الداخلي للكاحل، يزداد مع المشي الطويل. | تورم طفيف حول الكاحل الداخلي، لا يوجد تشوه واضح في القدم. | يمكن ممارسة الحياة اليومية مع بعض الانزعاج وتجنب الرياضات العنيفة. |
| المرحلة الثانية (قصور متوسط / تمدد الرباط) | ألم مستمر، شعور بـ "عدم الثبات" أو أن الكاحل "يخون" المريض أثناء المشي. | تورم مزمن، بداية تسطح قوس القدم، ميلان طفيف للكعب نحو الخارج. | صعوبة في المشي لمسافات طويلة، ألم عند الوقوف لفترات، صعوبة الوقوف على أطراف الأصابع. |
| المرحلة الثالثة (تمزق كامل / انهيار الكاحل) | ألم شديد ومبرح في الكاحل الداخلي، وأحياناً ألم في الجانب الخارجي نتيجة اصطدام العظام. | تشوه واضح جداً (قدم مسطحة شديدة)، الكعب يميل للخارج بشكل حاد، تورم دائم. | عجز كبير عن المشي الطبيعي، الحاجة إلى عكازات أو أحذية طبية خاصة، توقف النشاط الرياضي تماماً. |
| المرحلة الرابعة (خشونة المفاصل المتقدمة) | ألم صلب ومستمر حتى أثناء الراحة، تصلب في مفصل الكاحل. | تشوه ثابت لا يمكن تقويمه يدوياً، تيبس كامل في المفصل. | إعاقة حركية شديدة، تأثير نفسي وجسدي بالغ، تتطلب غالباً عمليات دمج المفاصل. |

التشخيص الدقيق: الفن والعلم مع الأستاذ الدكتور محمد هطيف
التشخيص الدقيق هو حجر الأساس لأي خطة علاجية ناجحة. لا يعتمد الأستاذ الدكتور محمد هطيف على التخمين، بل يستخدم نهجاً علمياً صارماً يجمع بين الفحص السريري الدقيق وأحدث تقنيات التصوير الطبي.
1. الفحص السريري الشامل
يبدأ التقييم بفحص دقيق للقدم والكاحل أثناء الوقوف والمشي. يبحث الدكتور هطيف عن:
* علامة الأصابع المتعددة (Too Many Toes Sign): عند النظر إلى المريض من الخلف، إذا كان الرباط الدالي ضعيفاً والقدم مسطحة، يمكن رؤية عدد أكبر من أصابع القدم من الجانب الخارجي مقارنة بالقدم السليمة.
* اختبار الوقوف على كعب واحد (Single Heel Rise Test): يُطلب من المريض الوقوف على أطراف أصابع قدم واحدة. عدم القدرة على القيام بذلك أو الشعور بألم شديد يشير إلى ضعف في الوتر الظنبوبي الخلفي والرباط الدالي.
* اختبار عدم الاستقرار (Talar Tilt Test): يقوم الجراح بتحريك الكاحل يدوياً لتقييم مدى ارتخاء الأربطة.
2. التصوير الطبي المتقدم
للتأكد من التشخيص ورسم خريطة الجراحة، يتم استخدام:
* الأشعة السينية أثناء الوقوف (Weight-bearing X-rays): ضرورية جداً لتقييم الانهيار العظمي، زوايا المفاصل، ومدى ميلان العظم الكاحلي.
* التصوير بالرنين المغناطيسي (MRI): هو المعيار الذهبي لتقييم الأنسجة الرخوة. يوضح بدقة متناهية موقع التمزق في الرباط الدالي، حالته (هل هو قابل للإصلاح أم يحتاج لترقيع؟)، وكذلك حالة الأوتار والغضاريف المحيطة.
* الأشعة المقطعية (CT Scan): تُستخدم أحياناً في الحالات المعقدة لتقييم جودة العظام والتخطيط لعمليات قص العظام (Osteotomies) المصاحبة.

الخيارات العلاجية: متى نلجأ للجراحة؟
الأمانة الطبية هي الشعار الأول للأستاذ الدكتور محمد هطيف. لا يتم اللجوء إلى الجراحة إلا بعد استنفاذ كافة الخيارات التحفظية، أو إذا كانت الحالة متقدمة جداً ولا تستجيب للعلاج غير الجراحي.
جدول: مقارنة بين العلاج التحفظي والعلاج الجراحي لقصور الرباط الدالي
| وجه المقارنة | العلاج التحفظي (غير الجراحي) | العلاج الجراحي (إعادة البناء) |
|---|---|---|
| الحالات المناسبة | التمزقات الخفيفة، المراحل الأولى من القدم المسطحة، المرضى غير اللائقين صحياً للجراحة. | التمزقات الكاملة، الفشل في الاستجابة للعلاج التحفظي، التشوهات الشديدة، الرياضيين. |
| الأساليب المستخدمة | الأدوية المضادة للالتهابات، أحذية طبية مخصصة (Orthotics)، دعامات الكاحل، العلاج الطبيعي، الراحة. | إصلاح الأربطة، نقل الأوتار، إعادة بناء الرباط باستخدام طعم (Graft)، قص وتقويم العظام. |
| الهدف الرئيسي | تخفيف الألم، إبطاء تدهور الحالة، دعم ميكانيكي خارجي. | استعادة التشريح الطبيعي، تصحيح التشوه بشكل دائم، منع خشونة المفاصل المستقبلية. |
| فترة التعافي | مستمرة (تتطلب استخدام الدعامات بشكل دائم). | 3 إلى 6 أشهر للتعافي الكامل والعودة للنشاط الطبيعي. |
| نسبة النجاح على المدى الطويل | متوسطة (المرض قد يتطور تدريجياً). | عالية جداً (استقرار دائم وتحسن جذري في جودة الحياة). |

الدليل الجراحي الشامل: خطوات عملية إعادة بناء الرباط الدالي
عندما يصبح التدخل الجراحي أمراً حتمياً، فإنك تحتاج إلى جراح يتمتع بمهارة استثنائية. عملية إعادة بناء الرباط الدالي ليست إجراءً نمطياً، بل يتم تفصيلها خصيصاً لتناسب حالة كل مريض. الأستاذ الدكتور محمد هطيف يستخدم أحدث البروتوكولات العالمية في هذه الجراحات.
1. التحضير والتخدير
تبدأ العملية بتقييم شامل من طبيب التخدير. غالباً ما يُستخدم التخدير النصفي (الشوكي) مع تخدير موضعي للأعصاب الطرفية لتقليل الألم بعد العملية، أو التخدير العام. يتم تعقيم الساق بالكامل ووضع المريض في وضعية تسمح بالوصول المريح للكاحل الإنسي.

2. الفحص بالمنظار (Arthroscopy)
كخطوة أولى، ولضمان الدقة القصوى، غالباً ما يستخدم الدكتور هطيف منظار الكاحل عالي الدقة (4K Arthroscopy). يتم إدخال كاميرا دقيقة جداً عبر شقوق صغيرة (ثقوب) لفحص مفصل الكاحل من الداخل، تنظيف أي أنسجة ملتهبة، ومعالجة أي تلف في الغضاريف قد يكون مصاحباً للإصابة.
3. الشق الجراحي والوصول للرباط
يتم عمل شق جراحي دقيق ومدروس على الجانب الداخلي للكاحل، مع الحرص الشديد على حماية العصب الصافن والوتر الظنبوبي الخلفي. يتم كشف الكعب الإنسي والعظم الكاحلي للوصول إلى بقايا الرباط الدالي المتمزق.

4. تحضير الطعم (Graft Preparation)
في حالات التمزق الشديد أو المزمن، لا يكون النسيج الأصلي للرباط صالحاً للإصلاح المباشر (لأنه يكون قد ترهل وضعف). لذلك، يتم استخدام "طعم" لإنشاء رباط جديد. يمكن أن يكون هذا الطعم:
* طعم ذاتي (Autograft): يؤخذ من جسم المريض نفسه (مثل وتر العضلة الرقيقة - Gracilis tendon من الركبة).
* طعم صناعي أو من متبرع (Allograft): يتم تجهيزه طبياً.
يُفضل الدكتور هطيف اختيار النوع الأنسب بناءً على عمر المريض، نشاطه، وحالته الصحية، مع تجهيز الطعم وتدعيمه بخيوط جراحية فائقة القوة.

5. حفر الأنفاق العظمية وإعادة البناء (Bone Tunnels & Fixation)
هذه هي الخطوة الأكثر دقة هندسياً في الجراحة:
* يتم حفر أنفاق دقيقة جداً في عظمة الكعب الإنسي (قصبة الساق) وفي العظم الكاحلي وأحياناً العظم العقبي، وذلك في نفس نقاط الارتكاز التشريحية للرباط الدالي الأصلي.
* يتم تمرير الطعم الوتري عبر هذه الأنفاق بطريقة تحاكي تماماً شكل ووظيفة الأربطة العميقة والسطحية.
* يتم شد الطعم للدرجة الميكانيكية المثالية التي تضمن استقرار الكاحل دون تقييد حركته الطبيعية.
* يتم تثبيت الطعم بقوة داخل العظام باستخدام مسامير تداخلية (Interference Screws) أو خطاطيف معدنية/بلاستيكية قابلة للامتصاص (Suture Anchors) من أحدث الطرازات العالمية.

6. الإجراءات المصاحبة (إن لزم الأمر)
نظراً لأن قصور الرباط الدالي غالباً ما يترافق مع تشوهات أخرى، قد يقوم الدكتور هطيف في نفس العملية بإجراء:
* إصلاح الوتر الظنبوبي الخلفي.
* قص وتعديل عظمة الكعب (Calcaneal Osteotomy) لإعادة توجيه محور القدم وتخفيف الضغط عن الرباط الجديد.
7. الإغلاق
آلام العظام والمفاصل وتقييد حركتها ليس قدراً محتوماً! التشخيص الدقيق والعلاج المتخصص يمكن أن يعيد لك كامل وظيفتك وحريتك في الحركة. لا تدع الألم يسيطر على حياتك.
للحصول على استشارة دقيقة وخطة علاجية مخصصة لحالتك، تواصل فوراً مع مركز الأستاذ الدكتور محمد هطيف:
الأستاذ الدكتور محمد هطيف - أفضل دكتور عظام في صنعاء، وخبير في جراحات العظام والمفاصل والعمود الفقري.. نلتزم بإعادتك لحياة خالية من الألم وحركة طبيعية.
مواضيع أخرى قد تهمك