علاج كسور الورك المدورية: دليل شامل للمرضى مع الأستاذ الدكتور محمد هطيف في صنعاء

الخلاصة الطبية
كسور الورك المدورية هي كسور خارج المحفظة المفصلية لعظم الفخذ العلوي، تتميز بتدفق دم قوي يضمن التئامها، ولكنها تتطلب تدخلًا جراحيًا لتجنب التشوه والألم المزمن. يعتمد العلاج الأمثل على التثبيت الداخلي للجزء المكسور لاستعادة المحاذاة التشريحية وتمكين الحركة المبكرة.
الخلاصة الطبية السريعة حول كسور الورك المدورية:
كسور الورك المدورية (Trochanteric Hip Fractures) هي كسور خطيرة تحدث خارج المحفظة المفصلية لعظم الفخذ العلوي. تتميز هذه المنطقة بتدفق دموي قوي وغزير يضمن التئامها بيولوجياً، ولكنها تتطلب تدخلاً جراحياً عاجلاً ودقيقاً لتجنب التشوهات الحركية والألم المزمن والمضاعفات القاتلة الناتجة عن البقاء في الفراش. يعتمد العلاج الأمثل والحديث على التثبيت الداخلي للجزء المكسور باستخدام أحدث التقنيات الطبية لاستعادة المحاذاة التشريحية وتمكين المريض من الحركة والمشي في أسرع وقت ممكن.
مقدمة شاملة إلى كسور الورك المدورية: التحدي والحل
أهلاً بكم في هذا الدليل الطبي الموسع والشامل حول "كسور الورك المدورية"، والتي تُعد واحدة من أكثر إصابات العظام شيوعاً وخطورة، حيث تؤثر بشكل جذري على جودة حياة المرضى، وتحديداً كبار السن والمصابين بهشاشة العظام، فضلاً عن الشباب الذين يتعرضون لحوادث عالية الطاقة. إن فهم طبيعة هذه الكسور، ميكانيكية حدوثها، وطرق علاجها الحديثة يُعد أمراً بالغ الأهمية لكل مريض وعائلته لضمان اتخاذ القرارات الطبية السليمة في الوقت المناسب.
في هذا الدليل المرجعي، سنغوص بعمق في كل التفاصيل التي تحتاج لمعرفتها، بدءاً من التشريح الدقيق لمفصل الورك، مروراً بالأسباب والأعراض، وصولاً إلى الخيارات الجراحية المتطورة وبرامج التأهيل المعقدة. يتم تقديم هذا المحتوى بالاستناد إلى الخبرة السريرية والأكاديمية المتميزة التي يقدمها الأستاذ الدكتور محمد هطيف، أستاذ جراحة العظام والمفاصل بجامعة صنعاء، وأحد أبرز وأمهر خبراء جراحة العظام في اليمن.

التشريح الدقيق لمنطقة الورك والمدورين
لفهم طبيعة الكسر، يجب أولاً فهم البنية الهندسية والبيولوجية المذهلة لمفصل الورك. يتكون مفصل الورك من التقاء رأس عظم الفخذ الكروي مع التجويف الحقي في الحوض. أسفل عنق الفخذ مباشرة، توجد منطقة بارزة تُعرف بمنطقة المدورين (Trochanteric Region).
المدور الكبير والمدور الصغير
- المدور الكبير (Greater Trochanter): هو بروز عظمي كبير يقع في الجزء الخارجي العلوي من عظم الفخذ. يعمل كنقطة ارتكاز حيوية لارتباط العضلات القوية المسؤولة عن إبعاد الفخذ (Abductors) مثل العضلة الألوية الوسطى والصغرى.
- المدور الصغير (Lesser Trochanter): بروز أصغر يقع في الجزء الداخلي والخلفي، وهو نقطة اتصال العضلة الحرقفية القطنية (Iliopsoas)، وهي العضلة الرئيسية المسؤولة عن ثني الورك.

أهمية موقع الكسر (خارج المحفظة المفصلية)
تُصنف كسور الورك المدورية على أنها "خارج المحفظة المفصلية" (Extracapsular). هذا التمييز التشريحي ليس مجرد مصطلح طبي، بل له دلالات علاجية هائلة. على عكس كسور عنق الفخذ (داخل المحفظة) التي تعاني من ضعف شديد في التروية الدموية مما يهدد بموت رأس العظم (Avascular Necrosis)، تتمتع منطقة المدورين بشبكة دموية غنية جداً. هذا يعني أن العظم المكسور هنا لديه قدرة بيولوجية ممتازة على الالتئام إذا تم تثبيته ميكانيكياً بشكل صحيح.

الأسباب وعوامل الخطر المؤدية لكسور الورك المدورية
لا تحدث هذه الكسور من فراغ، بل هي غالباً نتيجة لتفاعل بين قوة الصدمة وحالة العظام. يمكن تقسيم المرضى المعرضين لهذه الكسور إلى فئتين رئيسيتين:
1. كبار السن (الصدمات منخفضة الطاقة)
تُشكل هذه الفئة الغالبية العظمى من حالات كسور الورك المدورية. مع التقدم في العمر، تفقد العظام كثافتها وتصبح أكثر هشاشة (Osteoporosis). في هذه الحالة، يمكن لسقوط بسيط في المنزل—مثل التعثر بسجادة، أو الانزلاق في الحمام، أو حتى مجرد فقدان التوازن—أن يولد قوة كافية لكسر منطقة المدورين.
2. الشباب والبالغين (الصدمات عالية الطاقة)
لدى الأفراد الأصغر سناً الذين يمتلكون عظاماً قوية وكثيفة، يتطلب إحداث كسر في هذه المنطقة قوة هائلة. غالباً ما تنتج هذه الكسور عن:
* حوادث السيارات والدراجات النارية المروعة.
* السقوط من ارتفاعات شاهقة (مثل حوادث العمل في مواقع البناء).
* الإصابات الرياضية العنيفة.

عوامل الخطر الإضافية
- الجنس: النساء أكثر عرضة للإصابة بمعدل ثلاثة أضعاف مقارنة بالرجال، ويرجع ذلك أساساً إلى الانخفاض الحاد في مستويات هرمون الاستروجين بعد انقطاع الطمث، مما يسرع من فقدان كثافة العظام.
- الحالات الطبية الكامنة: الأمراض التي تؤثر على التوازن (مثل مرض باركنسون، الجلطات الدماغية السابقة)، أو الأمراض التي تسبب الدوار (مثل انخفاض ضغط الدم الانتصابي).
- الأدوية: بعض الأدوية المهدئة أو أدوية ضغط الدم قد تزيد من خطر السقوط.
- نقص التغذية: نقص الكالسيوم وفيتامين د يضعف البنية العظمية بشكل كبير.

الأعراض والعلامات السريرية: كيف تتعرف على الكسر؟
عند حدوث كسر في الورك المدوري، تكون الأعراض فورية وشديدة الوضوح. لا يمكن للمريض عادة تجاهل الإصابة أو الاستمرار في نشاطه.
العلامات الجسدية الكلاسيكية (التشوه المميز)
العلامة السريرية الأبرز والأكثر كلاسيكية في المريض المصاب بكسر في الورك المدوري هي قصر في الطرف المصاب ودورانه للخارج (Shortening and External Rotation).
لماذا يحدث هذا التشوه؟ إنه نتيجة مباشرة للصراع الميكانيكي بين شظايا العظم المكسور وقوى العضلات القوية المحيطة بها:
* تسحب عضلات ثني الورك (مثل العضلة الحرقفية القطنية) الجزء العلوي من العظم إلى وضع الثني والدوران الخارجي.
* تسحب العضلات المقربة (Adductors) في الفخذ الجزء السفلي من العظم إلى الأعلى.
* النتيجة النهائية هي تداخل العظام (مما يسبب القصر) واستدارة القدم نحو الخارج بشكل غير طبيعي.

الأعراض الشائعة الأخرى
- ألم مبرح: ألم حاد ومفاجئ في منطقة الورك أو الفخذ أو حتى الركبة (ألم رجيع). يزداد الألم بشكل لا يطاق عند أي محاولة لتحريك الساق.
- عدم القدرة على تحمل الوزن: العجز التام عن الوقوف أو المشي على الساق المصابة.
- التورم والكدمات: ظهور تورم سريع حول منطقة الورك، وقد تظهر كدمات (تغير في لون الجلد إلى الأزرق أو البنفسجي) تمتد إلى أسفل الفخذ، وذلك بسبب النزيف الداخلي الغزير من العظم المكسور (نظراً لغزارة التروية الدموية في هذه المنطقة).
- تشنجات عضلية: تقلصات عضلية مؤلمة جداً في الفخذ كمحاولة من الجسم لتثبيت الكسر.

التشخيص الدقيق: خطوة حاسمة قبل العلاج
التشخيص السريع والدقيق هو حجر الزاوية في خطة العلاج الناجحة. يبدأ الأستاذ الدكتور محمد هطيف التقييم بأخذ تاريخ طبي مفصل لفهم آلية السقوط (وهو أمر حيوي لاستبعاد أي أسباب قلبية أو عصبية أدت للسقوط)، يليه فحص بدني شامل.
مناورات الفحص البدني
- تقييم دوران الورك: يستقر الطرف السفلي عادة في وضع الدوران الخارجي. يؤدي تحريك الساق بشكل سلبي (التدحرج)، وخاصة الدوران الداخلي، إلى ألم شديد بسبب شد محفظة الورك والنزيف داخل المفصل.
- فحص الإصابات المصاحبة: يُعد الفحص الشامل للجهاز العضلي الهيكلي ضرورياً، فقد يخفي الألم الشديد لكسر الورك إصابات أخرى مثل كسور الرسغ أو الكتف الناتجة عن محاولة المريض تفادي السقوط.

التصوير الطبي المتقدم
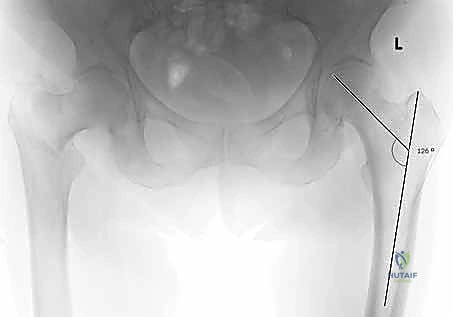
- الأشعة السينية (X-rays): هي المعيار الذهبي الأولي. يتم أخذ صور من الأمام للخلف (AP) وصور جانبية (Lateral) للحوض والورك المصاب. تكشف هذه الصور عن موقع الكسر، نوعه (بسيط أم مفتت)، ودرجة الإزاحة.
- التصوير المقطعي المحوسب (CT Scan): في الحالات المعقدة، أو عندما يكون الكسر مفتتاً بشدة ويمتد إلى مناطق أخرى، يطلب الدكتور هطيف صورة مقطعية ثلاثية الأبعاد لبناء خطة جراحية دقيقة للغاية.
- التصوير بالرنين المغناطيسي (MRI): يُستخدم نادراً في هذه الحالات، إلا إذا كان هناك شك في وجود "كسر خفي" (Occult Fracture) لم يظهر بوضوح في الأشعة السينية ولكن المريض يعاني من آلام شديدة متوافقة مع الكسر.

الأستاذ الدكتور محمد هطيف: الخبير الأول في جراحة العظام بصنعاء
عندما يتعلق الأمر بكسور الورك، فإن اختيار الجراح هو القرار الأهم الذي يحدد مسار حياة المريض المستقبلية. يُعتبر الأستاذ الدكتور محمد هطيف المرجعية الطبية الأولى والأكثر ثقة في العاصمة اليمنية صنعاء في مجال جراحة العظام والمفاصل.
لماذا يُعد الدكتور محمد هطيف الخيار الأمثل؟
- الرتبة الأكاديمية الرفيعة: يعمل كأستاذ (Professor) لجراحة العظام في جامعة صنعاء، مما يعني أنه ليس مجرد طبيب ممارس، بل باحث ومعلم للأجيال الجديدة من الأطباء، ومطلع على أحدث البروتوكولات الطبية العالمية.
- خبرة تتجاوز 20 عاماً: أجرى آلاف العمليات الجراحية المعقدة، مما منحه "حساً جراحياً" استثنائياً للتعامل مع أصعب الحالات وأكثرها تعقيداً.
- إتقان التكنولوجيا الحديثة: رائد في استخدام تقنيات الجراحة الميكروسكوبية، والمناظير بدقة 4K، وعمليات استبدال المفاصل المتقدمة.
- الأمانة الطبية الصارمة: يُعرف الدكتور هطيف في الأوساط الطبية وبين مرضاه بالشفافية المطلقة. فهو يضع مصلحة المريض فوق كل اعتبار، ويشرح بوضوح الخيارات المتاحة، المخاطر، والنتائج المتوقعة دون أي مبالغة.
- النهج متعدد التخصصات: يحرص دائماً على التنسيق مع أطباء الباطنية والقلب والتخدير لضمان استقرار حالة كبار السن قبل إدخالهم لغرفة العمليات، مما يقلل من نسب المضاعفات بشكل كبير.

لماذا يُعد التدخل الجراحي المبكر أمراً حتمياً؟ (مخاطر العلاج التحفظي)
قد يتساءل البعض: "بما أن العظم في هذه المنطقة يمتلك تروية دموية ممتازة، فلماذا لا نتركه يلتئم وحده بالجبس أو الراحة؟". الإجابة تكمن في المخاطر الكارثية للعلاج التحفظي (غير الجراحي) في كسور الورك.
على الرغم من أن هذه الكسور لديها ميل كبير للالتئام بشكل طبيعي، إلا أن القوى الشديدة للعضلات المحيطة بالورك تسحب الشظايا المكسورة بطرق غير مرغوبة. هذا السحب يؤدي حتماً إلى تشوه كبير في العظم، مثل تقوس الساق (التقوس الفحجي)، وقصر الطرف المصاب، ودورانه للخارج. هذه التشوهات لا تسبب ألماً مزمناً فحسب، بل تؤدي أيضاً إلى قيود وظيفية شديدة وتدهور كبير في جودة حياة المريض.
المضاعفات القاتلة للبقاء في الفراش
إذا تم علاج المريض (خاصة كبير السن) بالبقاء في السرير لأسابيع حتى يلتئم الكسر، فإنه يتعرض لسلسلة من المضاعفات التي قد تكون مميتة، والتي تُعرف بـ "مضاعفات الاستلقاء الممتد":
1. تجلط الأوردة العميقة (DVT) والانسداد الرئوي (PE): ركود الدم في الساقين بسبب عدم الحركة يؤدي لتكون جلطات قد تنتقل للرئتين.
2. الالتهاب الرئوي الاحتقاني: عدم القدرة على التنفس العميق والسعال الفعال يؤدي لتراكم السوائل في الرئتين والتهابها.
3. تقرحات الفراش (Bedsores): تآكل الجلد والأنسجة بسبب الضغط المستمر، وهي صعبة العلاج جداً.
4. التهابات المسالك البولية وضعف العضلات العام.
لذلك، فإن الهدف الأساسي من التدخل الجراحي المبكر، الذي يتميز به الأستاذ الدكتور محمد هطيف، هو التثبيت القوي للكسر لتخفيف الألم فوراً، والسماح للمريض بالجلوس والمشي (بمساعدة) في اليوم التالي للعملية، مما ينقذ حياته من هذه المضاعفات.

الخيارات الجراحية الحديثة لعلاج كسور الورك المدورية
يعتمد اختيار نوع الجراحة على شكل الكسر، مدى تفتته، وجودة عظام المريض. يتقن الدكتور محمد هطيف أحدث تقنيات التثبيت الداخلي العالمية.
جدول مقارنة: أبرز تقنيات التثبيت الجراحي لكسور الورك
| وجه المقارنة | الشريحة والمسمار المنزلق (DHS - Dynamic Hip Screw) | المسمار النخاعي القريب (PFN - Proximal Femoral Nail) |
|---|---|---|
| آلية العمل | شريحة معدنية تُثبت على السطح الخارجي للعظم مع مسمار كبير يخترق عنق الفخذ. | مسمار من التيتانيوم يُدخل داخل التجويف النخاعي للعظم (من الأعلى) مع مسامير عرضية للتثبيت. |
| نوع الكسور المناسبة | الكسور المستقرة (Stable Fractures) ذات التفتت البسيط. | الكسور غير المستقرة (Unstable)، المفتتة بشدة، أو التي تمتد لأسفل العظم. |
| الشق الجراحي | شق جراحي جانبي أطول نسبياً (حوالي 10-15 سم). | جراحة طفيفة التوغل، شقوق صغيرة جداً (Minimally Invasive). |
| الميكانيكا الحيوية | يوفر ضغطاً ديناميكياً ممتازاً على موقع الكسر أثناء المشي. | يوفر دعماً ميكانيكياً أقوى لأنه يقع في مركز ثقل العظم (محور تحمل الوزن). |
| فقدان الدم | أكثر نسبياً مقارنة بالمسمار النخاعي. | أقل بكثير. |
| سرعة التعافي | ممتازة، ولكن قد تتطلب حذراً أكبر في الكسور غير المستقرة. | أسرع، ويسمح بتحميل الوزن في وقت أبكر في الحالات المعقدة. |

خطوات العملية الجراحية: رحلة المريض داخل غرفة العمليات
يُولي الدكتور محمد هطيف اهتماماً فائقاً بكل تفصيلة داخل غرفة العمليات لضمان نجاح الجراحة بنسبة 100%. إليكم نظرة تفصيلية على الخطوات التي تتم:
1. التجهيز والتخدير
يبدأ الأمر باختيار نوع التخدير المناسب (غالباً تخدير نصفي/شوكي لكبار السن لتقليل العبء على القلب والرئتين). يتم وضع المريض على "طاولة الكسور الخاصة" (Fracture Table)، وهي طاولة جراحية متطورة تسمح بشد الساق وتدويرها للوصول إلى الوضع المثالي.

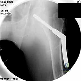
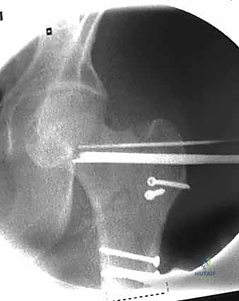
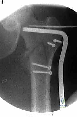
2. الرد المغلق تحت جهاز الأشعة (Closed Reduction)
قبل إجراء أي شق جراحي، يقوم الدكتور هطيف بسحب الساق وتدويرها بمهارة فائقة لإعادة العظام المكسورة إلى مكانها الطبيعي (المحاذاة التشريحية). يتم التأكد من ذلك باستخدام جهاز الأشعة السينية المتحرك داخل غرفة العمليات (C-Arm Fluoroscopy). هذه الخطوة حاسمة، فالرد الجيد يعني التئاماً ممتازاً.

3. الشق الجراحي والنهج الطبي
بناءً على التقنية المختارة (DHS أو PFN)، يقوم الجراح بعمل شق دقيق. في تقنية المسمار النخاعي، تكون الشقوق صغيرة جداً للحفاظ على الأنسجة الرخوة وتقليل النزيف.

4. إدخال السلك الدليلي (Guide Wire)
يتم إدخال سلك معدني رفيع جداً عبر العظم باتجاه رأس الفخذ تحت توجيه الأشعة المستمر. هذا السلك يعمل كمسار دقيق سيتبعه المسمار النهائي. يجب أن يكون السلك في الموضع الهندسي المثالي لتجنب اختراق مفصل الورك.

5. الحفر وتثبيت الغرسة (Reaming and Implantation)
يتم استخدام أداة حفر مجوفة تمر فوق السلك الدليلي لتوسيع مسار في العظم. بعد ذلك، يتم إدخال المسمار الرئيسي القوي (سواء المسمار المنزلق أو المسمار النخاعي).

6. التثبيت النهائي (Locking)
لضمان عدم تحرك الغرسة، يتم تثبيتها بمسامير إضافية أصغر في جسم عظم الفخذ. هذه المنظومة الميكانيكية توفر ثباتاً استثنائياً يسمح للمريض بتحريك ساقه فور استيقاظه من التخدير.

7. الإغلاق والعناية بالجرح
يتم غسل الجرح بمحاليل معقمة، ثم إغلاق الأنسجة والجلد بخياطة تجميلية دقيقة لتقليل الندبات، ووضع ضمادات معقمة.

مجموعة من الصور الإضافية التي توضح مراحل دقيقة من العمل الجراحي المعقد الذي يجريه الأستاذ الدكتور محمد هطيف لضمان أعلى درجات الدقة الميكانيكية الحيوية:















مرحلة ما بعد الجراحة: بروتوكول التأهيل والتعافي
الجراحة الناجحة هي نصف المعركة فقط؛ النصف الآخر يعتمد كلياً على برنامج العلاج الطبيعي والتأهيل. يضع الدكتور هطيف خط
آلام الورك وتقييد حركته ليس قدراً محتوماً! التشخيص الدقيق والعلاج المتخصص يمكن أن يعيد لك كامل وظيفتك وحريتك في الحركة. لا تدع الألم يسيطر على حياتك.
للحصول على استشارة دقيقة وخطة علاجية مخصصة لحالتك، تواصل فوراً مع مركز الأستاذ الدكتور محمد هطيف:
الأستاذ الدكتور محمد هطيف - أفضل دكتور عظام في صنعاء، وخبير في جراحات استبدال مفصل الورك.. نلتزم بإعادتك لحياة خالية من الألم وورك قوي ووظيفي.
مواضيع أخرى قد تهمك