علاج كسور الأطراف السفلية المعقدة في صنعاء مع الأستاذ الدكتور محمد هطيف

الخلاصة الطبية
تُعد كسور الأطراف السفلية المعقدة إصابات خطيرة تتطلب تشخيصًا دقيقًا وعلاجًا متخصصًا، وغالبًا ما يشمل التدخل الجراحي. يبدأ العلاج بتثبيت الإصابة والتحكم في المضاعفات، ثم يتبع ذلك جراحة دقيقة وإعادة تأهيل مكثفة لاستعادة الوظيفة الكاملة. الأستاذ الدكتور محمد هطيف هو الخيار الأمثل في صنعاء لهذه الحالات.
الخلاصة الطبية السريعة: تُعد كسور الأطراف السفلية المعقدة إصابات خطيرة تتطلب تشخيصًا دقيقًا وعلاجًا متخصصًا، وغالبًا ما يشمل التدخل الجراحي. يبدأ العلاج بتثبيت الإصابة والتحكم في المضاعفات، ثم يتبع ذلك جراحة دقيقة وإعادة تأهيل مكثفة لاستعادة الوظيفة الكاملة. الأستاذ الدكتور محمد هطيف هو الخيار الأمثل في صنعاء لهذه الحالات.
مقدمة: كسور الأطراف السفلية المعقدة
تُعتبر إصابات وكسور الأطراف السفلية المعقدة من الحالات الطبية الطارئة التي تتطلب عناية فائقة وخبرة متخصصة لضمان أفضل النتائج الوظيفية للمريض. هذه الكسور، التي قد تنتج عن حوادث السيارات عالية السرعة، السقوط من ارتفاعات شاهقة، أو الإصابات الرياضية الشديدة، لا تؤثر فقط على العظام، بل قد تمتد لتشمل الأنسجة الرخوة، الأوعية الدموية، والأعصاب، مما يجعلها تحديًا علاجيًا كبيرًا يتطلب مقاربة شاملة ومتعددة التخصصات. إن الفشل في علاج هذه الكسور بشكل صحيح قد يؤدي إلى مضاعفات خطيرة مثل عدم التئام الكسر، التشوه الدائم، العدوى المزمنة، أو حتى فقدان الطرف.
إن التعامل مع هذه الإصابات يتطلب فهمًا عميقًا للتشريح، تقنيات جراحية متقدمة، وخطة إعادة تأهيل شاملة ومكثفة. في صنعاء، يقف الأستاذ الدكتور محمد هطيف كمرجع أول في جراحة العظام والإصابات المعقدة، بخبرته الواسعة التي تتجاوز العقدين وسجله الحافل في علاج أصعب حالات كسور الأطراف السفلية، مستخدمًا أحدث التقنيات والبروتوكولات العلاجية العالمية. بصفته أستاذًا متميزًا في جامعة صنعاء، يجمع الدكتور هطيف بين الخبرة السريرية والأكاديمية، مما يمكنه من تقديم أعلى مستويات الرعاية بناءً على أحدث الأبحاث وأفضل الممارسات العالمية. يهدف هذا الدليل الشامل إلى تزويد المرضى وعائلاتهم بمعلومات مفصلة وموثوقة حول هذه الإصابات، بدءًا من أسبابها وتشخيصها وصولاً إلى خيارات العلاج المتاحة وعملية التعافي المتكاملة، مع التأكيد على الدور المحوري لخبرة الأستاذ الدكتور محمد هطيف في تحقيق أفضل النتائج الممكنة.
تشريح الطرف السفلي
لفهم كسور الأطراف السفلية المعقدة، من الضروري الإلمام بالتشريح الأساسي لهذه المنطقة الحيوية من الجسم. يتكون الطرف السفلي من مجموعة معقدة من العظام، المفاصل، الأربطة، العضلات، الأوعية الدموية، والأعصاب، التي تعمل بتناغم لتمكين الحركة، المشي، وتحمل وزن الجسم. أي إصابة تؤثر على هذه المكونات قد يكون لها عواقب وخيمة على الوظيفة العامة للطرف.
عظام الطرف السفلي الرئيسية
- عظم الفخذ (Femur): أطول وأقوى عظم في الجسم، يمتد من مفصل الورك إلى مفصل الركبة. كسوره عادة ما تكون نتيجة طاقات عالية جدًا.
- الرضفة (Patella): العظمة الصغيرة المثلثة التي تغطي مقدمة مفصل الركبة، وتلعب دورًا في وظيفة العضلات الرباعية.
- القصبة (Tibia): العظم الأكبر والأكثر حملًا للوزن في الساق، يمتد من الركبة إلى الكاحل. كسورها شائعة ومعقدة.
- الشظية (Fibula): العظم الأصغر في الساق، يقع بجانب القصبة، ويدعم استقرار مفصل الكاحل.
- عظام رسغ القدم (Tarsals): سبع عظام تشكل الجزء الخلفي من القدم (الكاحل)، بما في ذلك الكاحل والقدم.
- عظام مشط القدم (Metatarsals): خمس عظام طويلة في منتصف القدم.
- سلاميات الأصابع (Phalanges): عظام الأصابع في القدم.
المفاصل الرئيسية
- مفصل الورك (Hip Joint): مفصل كروي حقي يربط الفخذ بالحوض، ويسمح بنطاق واسع من الحركة.
- مفصل الركبة (Knee Joint): مفصل مفصلي يربط الفخذ بالقصبة والرضفة، مسؤول عن الثني والمد.
- مفصل الكاحل (Ankle Joint): مفصل مفصلي يربط القصبة والشظية بعظام رسغ القدم (خاصة الكاحل)، ويسمح بحركة القدم لأعلى ولأسفل.
الأنسجة الرخوة الحيوية
- الأربطة (Ligaments): أنسجة ضامة قوية تربط العظام ببعضها البعض وتوفر الاستقرار للمفاصل. إصابات الأربطة المصاحبة للكسور تزيد من تعقيد الحالة.
- الأوتار (Tendons): أنسجة تربط العضلات بالعظام، وتساعد في نقل القوة لإنتاج الحركة.
- العضلات (Muscles): مجموعات عضلية قوية تحيط بالعظام وتوفر القوة للحركة والثبات.
- الأوعية الدموية (Blood Vessels): شبكة معقدة من الشرايين والأوردة التي تغذي الطرف السفلي بالدم والمغذيات. إصابتها يمكن أن تؤدي إلى نزيف حاد أو فقدان الإمداد الدموي للطرف.
- الأعصاب (Nerves): شبكة الأعصاب التي تنقل الإشارات الحسية والحركية من وإلى الدماغ، مما يسمح بالإحساس والحركة. إصابات الأعصاب يمكن أن تسبب شللًا أو فقدانًا للإحساس.
تتطلب كسور الأطراف السفلية المعقدة فهمًا دقيقًا لكل هذه المكونات، حيث يمكن أن يؤدي أي ضرر فيها إلى تبعات خطيرة على المدى القصير والطويل. خبرة الأستاذ الدكتور محمد هطيف تمكنه من تقييم هذه الإصابات بدقة والتعامل مع جميع جوانبها الجراحية والتأهيلية.
أسباب وعوامل خطر كسور الأطراف السفلية
تحدث كسور الأطراف السفلية المعقدة عادةً نتيجة قوى خارجية شديدة تتجاوز قدرة العظم على تحملها، أو بسبب هشاشة العظام التي تجعلها عرضة للكسر حتى مع صدمات بسيطة. فهم الأسباب وعوامل الخطر يساعد في الوقاية والتعامل الأمثل مع هذه الحالات.
الأسباب الرئيسية
- حوادث السير عالية السرعة: تُعد السبب الأكثر شيوعًا للإصابات المعقدة، حيث تسبب قوى الصدمة المباشرة وغير المباشرة كسورًا متعددة وتلفًا واسع النطاق للأنسجة الرخوة.
- السقوط من ارتفاعات شاهقة: مثل السقوط من الأسطح أو السلالم، مما يولد قوة تأثير كبيرة على العظام السفلية.
- الإصابات الرياضية الشديدة: خاصة في الرياضات التي تتضمن السرعة العالية، التصادم، أو القفز والهبوط غير الصحيح.
- الإصابات المباشرة والقوية: مثل التعرض لضربة قوية مباشرة على الطرف السفلي.
- حوادث العمل: في البيئات الصناعية أو الإنشائية التي قد تتضمن سقوط أجسام ثقيلة أو انحشار الأطراف.
- الكسور الإجهادية (Stress Fractures): قد تتحول إلى كسور كاملة معقدة إذا استمر الضغط ولم يتم علاجها.
- الكسور المرضية (Pathological Fractures): تحدث في العظام الضعيفة بسبب أمراض مثل هشاشة العظام الشديدة، الأورام السرطانية (الابتدائية أو النقائل)، أو بعض الاضطرابات الأيضية. هذه الكسور قد تكون معقدة بسبب ضعف جودة العظم الأساسية.
عوامل الخطر
- العمر: كبار السن أكثر عرضة لهشاشة العظام وبالتالي للكسور المعقدة من السقوط البسيط.
- الجنس: النساء بعد سن اليأس أكثر عرضة لهشاشة العظام.
- الأمراض المزمنة: مثل السكري الذي يؤثر على التئام الجروح، وأمراض الكلى التي تؤثر على كثافة العظام.
- الاضطرابات العصبية: التي تؤثر على التوازن وتزيد من خطر السقوط (مثل مرض باركنسون والسكتة الدماغية).
- نقص التغذية: نقص الكالسيوم وفيتامين د يضعف العظام.
- نمط الحياة: قلة النشاط البدني، التدخين، والإفراط في استهلاك الكحول يساهم في ضعف العظام.
- بعض الأدوية: الكورتيكوستيرويدات لفترات طويلة تزيد من خطر هشاشة العظام.
- طبيعة الكسر السابق: الكسر السابق يزيد من احتمالية حدوث كسور أخرى في نفس العظم أو العظام المجاورة.
الأستاذ الدكتور محمد هطيف، بخبرته الواسعة، قادر على تحديد الأسباب الكامنة وراء هذه الكسور وتقييم جميع عوامل الخطر ذات الصلة لوضع خطة علاجية مخصصة لكل مريض، مع الأخذ في الاعتبار الظروف الصحية العامة ونمط الحياة.
أعراض وعلامات كسور الأطراف السفلية
تتطلب كسور الأطراف السفلية المعقدة اهتمامًا فوريًا بسبب شدة الأعراض وتأثيرها المحتمل على حياة المريض. التعرف المبكر على هذه الأعراض يمكن أن يحدد الفارق في نتائج العلاج.
الأعراض الشائعة
- ألم شديد ومفاجئ: وهو العرض الأكثر شيوعًا، ويزداد سوءًا مع أي محاولة لتحريك الطرف المصاب أو لمسه.
- تورم حاد وكدمات: يتطور سريعًا حول منطقة الكسر بسبب النزيف الداخلي وتجمع السوائل.
- تشوه واضح في الطرف: قد يبدو الطرف بزاوية غير طبيعية، أقصر أو أطول من الطرف المقابل، أو قد يكون هناك انحراف واضح في محوره.
- عدم القدرة على تحمل الوزن أو تحريك الطرف: يفقد المريض القدرة على الوقوف أو المشي على الطرف المصاب، ويكون أي تحريك مؤلمًا للغاية أو مستحيلاً.
- وجود جرح مفتوح (كسر مفتوح): عندما يخترق العظم الجلد، مما يعرضه للعدوى ويزيد من تعقيد الحالة. هذه تعتبر حالة طارئة للغاية.
- تغير في الإحساس أو ضعف عضلي: قد يشير إلى إصابة الأعصاب المجاورة، مما يسبب خدرًا، تنميلًا، أو فقدانًا للإحساس في أجزاء من القدم أو الساق، أو ضعفًا في القدرة على تحريك الأصابع أو القدم.
- شحوب أو برودة الطرف: يشير إلى احتمال تضرر الأوعية الدموية الرئيسية، مما يؤدي إلى نقص الإمداد الدموي للطرف (إقفار). هذه أيضًا حالة طارئة تستدعي تدخلًا فوريًا للحفاظ على الطرف.
- ظهور صوت فرقعة أو طقطقة عند الإصابة: قد يكون سمع المريض صوت "فرقعة" لحظة وقوع الكسر.
متى تطلب المساعدة الطبية الفورية
أي من الأعراض المذكورة أعلاه، خاصة بعد صدمة شديدة أو سقوط، يستدعي تقييمًا طبيًا فوريًا. يجب عدم محاولة تحريك الطرف المصاب أو محاولة تعديل التشوه، بل يجب تثبيت الطرف قدر الإمكان والتوجه إلى أقرب منشأة طبية.
يُعد التشخيص الدقيق هو الخطوة الأولى في خطة العلاج، ويعتمد الأستاذ الدكتور محمد هطيف على الفحص السريري الشامل، ومهارته في تقييم الأعراض والعلامات، بالإضافة إلى مجموعة متكاملة من أدوات التصوير لتأكيد التشخيص وتحديد مدى تعقيد الكسر.
تشخيص كسور الأطراف السفلية المعقدة
يتطلب التشخيص الدقيق لكسور الأطراف السفلية المعقدة خبرة كبيرة ومعرفة عميقة بالتشريح والفيزيولوجيا المرضية. يتبع الأستاذ الدكتور محمد هطيف نهجًا منهجيًا وشاملًا لضمان فهم كامل للإصابة وتخطيط العلاج الأمثل.
الخطوات التشخيصية
-
التاريخ المرضي المفصل:
- يستمع الدكتور هطيف بعناية إلى وصف المريض للحادث: كيف حدثت الإصابة، نوع القوة التي تعرض لها الطرف، الأعراض الأولية، وأي محاولات للعلاج الأولي.
- يسأل عن التاريخ الطبي للمريض، بما في ذلك الأمراض المزمنة (مثل السكري، هشاشة العظام)، الأدوية التي يتناولها، والحساسية، حيث يمكن أن تؤثر هذه العوامل على خيارات العلاج ونتائج الشفاء.
-
الفحص السريري الشامل:
- تقييم الألم والتورم والتشوه: يتم فحص المنطقة المصابة بحذر شديد لتقييم مدى الألم، وجود تورم أو كدمات، وأي تشوه مرئي أو ملموس في العظم.
- تقييم الأوعية الدموية والأعصاب (Neurovascular Examination): يُعد هذا الجانب حيويًا. يقوم الدكتور هطيف بفحص النبضات في الطرف السفلي، ولون الجلد، ودرجة حرارته للتأكد من سلامة الإمداد الدموي. كما يختبر الإحساس والحركة في القدم والأصابع لتقييم أي ضرر عصبي محتمل. هذا الفحص المتعمق ضروري لاستبعاد المضاعفات الخطيرة مثل متلازمة الحجرات (Compartment Syndrome) أو تلف الأوعية الدموية الذي قد يهدد الطرف.
- البحث عن الجروح المفتوحة: يتم فحص الجلد بعناية للتأكد من عدم وجود جروح مفتوحة تشير إلى كسر مفتوح، وهو ما يتطلب تدخلًا جراحيًا عاجلاً لمنع العدوى.
-
الفحوصات التصويرية المتقدمة:
- الأشعة السينية (X-rays): هي الفحص الأولي والأكثر شيوعًا لتأكيد وجود الكسر وتحديد موقعه ونوعه العام. يتم أخذ صور من زوايا متعددة (عادة أمامية وجانبية) للحصول على رؤية ثلاثية الأبعاد للكسر.
- التصوير المقطعي المحوسب (CT Scan): لا غنى عنه في الكسور المعقدة. يوفر صورًا مقطعية مفصلة للعظم، ويسمح بإنشاء نماذج ثلاثية الأبعاد (3D reconstruction) للكسر. هذا يساعد الأستاذ الدكتور محمد هطيف على فهم دقيق لعدد الشظايا، مدى تفتت الكسر، ومدى امتداد الكسر إلى المفاصل، مما يسهل تخطيط الجراحة بدقة متناهية.
- التصوير بالرنين المغناطيسي (MRI): يُستخدم لتقييم الأنسجة الرخوة المحيطة بالكسر، مثل الأربطة، الأوتار، العضلات، والغضاريف. وهو مفيد بشكل خاص إذا كان هناك اشتباه في إصابات مصاحبة للمفصل أو تلف في الأنسجة الرخوة الذي قد يؤثر على خطة العلاج أو التعافي.
- تصوير الأوعية الدموية (Angiography): إذا كان هناك اشتباه كبير في إصابة الأوعية الدموية الرئيسية (بناءً على الفحص السريري أو CT Scan)، قد يتم إجراء هذا الفحص لتحديد مدى الضرر وتخطيط الإصلاح الوعائي اللازم.
من خلال هذه المقاربة الشاملة والدقيقة للتشخيص، يضمن الأستاذ الدكتور محمد هطيف الحصول على صورة كاملة للإصابة، مما يمهد الطريق لتقديم خطة علاجية مخصصة وفعالة تحقق أفضل النتائج للمرضى في صنعاء واليمن.
خيارات علاج كسور الأطراف السفلية المعقدة
تتطلب كسور الأطراف السفلية المعقدة عادةً تدخلًا جراحيًا لضمان استعادة الوظيفة الكاملة وتجنب المضاعفات طويلة الأمد. ومع ذلك، يتم النظر في العلاج التحفظي في حالات نادرة جدًا أو كخطوة أولية. يقدم الأستاذ الدكتور محمد هطيف تقييمًا شاملاً لتحديد النهج الأمثل لكل مريض، مستندًا إلى خبرته العميقة وأحدث التقنيات.
العلاج التحفظي
يُعتبر العلاج التحفظي خيارًا محدودًا للغاية في حالات كسور الأطراف السفلية المعقدة، ويقتصر عادةً على:
* الكسور غير المزاحة (Undisplaced Fractures): حيث تظل شظايا العظم في محاذاتها الطبيعية.
* المرضى الذين لا يمكنهم تحمل الجراحة: بسبب حالات صحية حرجة جدًا.
طرق العلاج التحفظي:
- التجبير (Casting): يتم وضع جبيرة من الجبس أو الألياف الزجاجية لتثبيت العظم ومنع الحركة، مما يسمح له بالالتئام.
- الجبائر الجاهزة (Braces): تُستخدم لتوفير الدعم والثبات مع السماح ببعض الحركة الخاضعة للرقابة.
- الراحة وتعديل النشاط: تقييد حركة الطرف المصاب لتجنب تفاقم الكسر.
- مسكنات الألم: للتحكم في الألم المصاحب للكسر.
ملاحظة هامة من الأستاذ الدكتور محمد هطيف: "على الرغم من أن العلاج التحفظي قد يكون كافيًا لبعض الكسور البسيطة، إلا أن كسور الأطراف السفلية المعقدة غالبًا ما تتطلب تدخلًا جراحيًا دقيقًا لاستعادة التشريح الطبيعي وتجنب التشوهات والوظيفة السيئة على المدى الطويل."
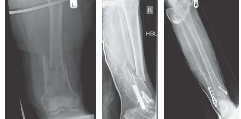
العلاج الجراحي
يهدف العلاج الجراحي إلى استعادة المحاذاة التشريحية للعظم، تثبيته بقوة، وتمكين إعادة التأهيل المبكر لاستعادة الوظيفة الكاملة للطرف. يمتلك الأستاذ الدكتور محمد هطيف خبرة استثنائية في إجراء هذه الجراحات المعقدة، مستخدمًا أحدث التقنيات لضمان أفضل النتائج.
أهداف الجراحة:
- رد الكسر (Reduction): إعادة شظايا العظم إلى وضعها التشريحي الصحيح.
- تثبيت الكسر (Fixation): استخدام وسائل تثبيت داخلية أو خارجية للحفاظ على شظايا العظم في مكانها حتى تلتئم.
- استعادة وظيفة المفصل (إن وجدت): إذا كان الكسر يمتد إلى مفصل، فإن الهدف هو استعادة سطح المفصل الأملس لمنع التهاب المفاصل ما بعد الصدمة.
- تسهيل إعادة التأهيل المبكر: التثبيت الجراحي القوي يسمح ببدء العلاج الطبيعي مبكرًا، مما يقلل من تيبس المفاصل ويحسن من استعادة القوة.
أنواع الإجراءات الجراحية التي يقوم بها الأستاذ الدكتور محمد هطيف:
-
الرد المفتوح والتثبيت الداخلي (Open Reduction Internal Fixation - ORIF):
- يُعد هذا الإجراء هو الأكثر شيوعًا للكسور المعقدة.
- يتم إجراء شق جراحي للوصول مباشرة إلى الكسر.
- يقوم الأستاذ الدكتور محمد هطيف برد شظايا العظم يدويًا إلى مكانها التشريحي الصحيح.
- يتم تثبيت العظم باستخدام صفائح معدنية (plates) ومسامير (screws) خاصة، أو أسلاك (K-wires)، أو براغي (screws) منفردة. يتم اختيار نوع التثبيت بناءً على نوع الكسر ومكانه.
- تتميز هذه الصفائح والمسامير بتصميمها الحديث الذي يسمح بتثبيت قوي ومستقر.
-
المسامير النخاعية (Intramedullary Nailing):
- تُستخدم بشكل خاص لكسور العظام الطويلة مثل عظم الفخذ والقصبة.
- يتم إدخال قضيب معدني طويل (مسمار) داخل القناة النخاعية للعظم عبر شق صغير، ثم يتم تثبيته بمسامير في الأعلى والأسفل.
- هذه التقنية توفر تثبيتًا قويًا وتسمح بحمل الوزن المبكر في بعض الحالات.
- يستخدم الدكتور هطيف أحدث جيل من المسامير النخاعية لتوفير استقرار مثالي.
-
التثبيت الخارجي (External Fixation):
- يُستخدم عادة في حالات الكسور المفتوحة الشديدة، الكسور المصحوبة بإصابات واسعة للأنسجة الرخوة، أو كحل مؤقت لتثبيت الكسر قبل الجراحة النهائية.
- يتم إدخال دبابيس أو مسامير معدنية عبر الجلد إلى العظم فوق وتحت الكسر، ثم يتم توصيلها بإطار خارجي لتثبيت العظم.
- يتيح هذا الإجراء مراقبة الجرح وعلاج الأنسجة الرخوة المصابة، ويقلل من خطر العدوى.
-
تنظير المفاصل بتقنية 4K (Arthroscopy 4K):
- على الرغم من أنه ليس علاجًا مباشرًا للكسور المعقدة، إلا أن الأستاذ الدكتور محمد هطيف يستخدم تنظير المفاصل المتقدم بتقنية 4K لمعالجة أي تلف مصاحب داخل المفصل (مثل تلف الغضاريف أو الأربطة) الذي قد ينجم عن الكسر ويمتد إليه.
- هذه التقنية تسمح برؤية واضحة ودقيقة داخل المفصل عبر شقوق صغيرة، مما يقلل من الصدمة الجراحية ويسرع الشفاء.
-
جراحة المفاصل الدقيقة (Microsurgery):
- في حالات الكسور المعقدة التي تتضمن إصابات في الأعصاب أو الأوعية الدموية الدقيقة، يستخدم الأستاذ الدكتور محمد هطيف خبرته في الجراحة المجهرية لإصلاح هذه الهياكل الحيوية بدقة متناهية، مما يحافظ على حيوية الطرف ووظيفته العصبية.
-
استبدال المفاصل (Arthroplasty):
- في بعض الحالات النادرة والبالغة التعقيد، خاصة في كسور الجزء العلوي من عظم الفخذ أو الجزء السفلي من القصبة التي تمتد بشكل كبير داخل المفصل (مثل الورك أو الركبة أو الكاحل) وتكون شديدة التفتت لدرجة لا يمكن معها إصلاحها بشكل فعال، قد يكون استبدال المفصل جزئيًا أو كليًا هو الخيار الأفضل لاستعادة الوظيفة وتخفيف الألم على المدى الطويل. الأستاذ الدكتور محمد هطيف يمتلك خبرة واسعة في هذه الجراحات المعقدة.
جدول مقارنة بين العلاج التحفظي والجراحي لكسور الأطراف السفلية المعقدة:
| الميزة | العلاج التحفظي | العلاج الجراحي |
|---|---|---|
| دواعي الاستخدام | كسور بسيطة غير مزاحة، مرضى غير مؤهلين للجراحة. | كسور معقدة، مزاحة، مفتوحة، تتضمن المفاصل، إصابات عصبية/وعائية. |
| مدة الشفاء | قد تكون أطول، مع خطر عدم الالتئام أو الالتئام الخاطئ. | عادة أسرع وأكثر فعالية مع إعادة تأهيل مبكر. |
| النتائج الوظيفية | قد تكون محدودة، خطر التشوه أو الألم المزمن. | استعادة أفضل للمحاذاة والوظيفة، تقليل الألم. |
| المضاعفات | عدم الالتئام، الالتئام الخاطئ، تيبس المفصل، ضمور العضلات. | العدوى، النزيف، إصابة الأعصاب/الأوعية الدموية (نادرة مع الخبرة)، فشل الغرسات. |
| التكلفة الأولية | أقل (جبائر، أدوية). | أعلى (تكلفة الجراحة، الغرسات، المستشفى). |
| الألم | قد يستمر لفترة أطول. | يمكن التحكم فيه بفعالية بعد الجراحة، ويقل تدريجياً. |
| التأهيل | محدود خلال فترة التجبير. | ضروري ومكثف، يبدأ مبكرًا. |
"إن اختيار النهج العلاجي الأنسب يعتمد على عوامل متعددة، منها نوع الكسر، شدته، عمر المريض وصحته العامة، وتوقعاته. خبرتي التي تزيد عن 20 عامًا في جراحة العظام، بالإضافة إلى استخدامي لأحدث التقنيات الجراحية وتصنيفي كأستاذ في جامعة صنعاء، تمكنني من تقديم أعلى مستويات الرعاية واتخاذ القرارات العلاجية الأمثل لضمان أفضل النتائج لمرضاي، مع الالتزام التام بالأمانة الطبية." - الأستاذ الدكتور محمد هطيف.
الإجراء الجراحي لكسور الطرف السفلي المعقدة
عندما يكون العلاج الجراحي هو الخيار الأفضل لكسر معقد في الطرف السفلي، فإن إجراء الرد المفتوح والتثبيت الداخلي (ORIF) غالبًا ما يكون هو التقنية المفضلة. يتميز الأستاذ الدكتور محمد هطيف بمهارة عالية وخبرة واسعة في تنفيذ هذه الجراحات المعقدة بدقة متناهية لضمان استعادة التشريح الأمثل.
خطوات الإجراء الجراحي
-
التحضير قبل الجراحة:
- تقييم شامل: يُجري الأستاذ الدكتور محمد هطيف تقييمًا طبيًا كاملاً للمريض، بما في ذلك فحوصات الدم، تخطيط القلب، وصور الأشعة الإضافية للتأكد من جاهزية المريض للجراحة.
- تخطيط الجراحة: بناءً على صور الأشعة السينية والتصوير المقطعي ثلاثي الأبعاد (CT 3D)، يقوم الدكتور هطيف بوضع خطة جراحية دقيقة تتضمن نوع الشق، الأدوات المستخدمة، وكيفية إعادة تجميع وتثبيت شظايا العظم. هذا التخطيط المسبق يقلل من وقت الجراحة ويحسن النتائج.
- المناقشة مع المريض: يشرح الدكتور هطيف الإجراء للمريض وعائلته، بما في ذلك المخاطر والفوائد المتوقعة، ويجيب على جميع استفساراتهم.
- صيام المريض: يُطلب من المريض الصيام لعدة ساعات قبل الجراحة.
-
التهيئة في غرفة العمليات:
- التخدير: يُعطى المريض تخديرًا عامًا (لجعله نائمًا تمامًا) أو تخديرًا نصفيًا (مثل تخدير النخاع الشوكي) حسب تقدير طبيب التخدير وحالة المريض.
- التعقيم: يتم تنظيف منطقة الجراحة وتطهيرها بشكل صارم لتقليل خطر العدوى.
- التعقيم باللف (Draping): تُغطى بقية جسم المريض بأغطية معقمة، ويبقى الجزء المراد جراحته مكشوفًا.
- المضادات الحيوية الوقائية: تُعطى مضادات حيوية وريدية قبل الجراحة لمنع العدوى.
-
الوصول إلى موقع الكسر (Incision):
- يُجري الأستاذ الدكتور محمد هطيف شقًا جراحيًا في الجلد والأنسجة الرخوة للوصول إلى العظم المكسور. يتم اختيار موقع وحجم الشق بعناية لتقليل الأضرار على الأنسجة المحيطة ولضمان أفضل رؤية للكسر.
-
رد الكسر (Reduction):
- هذه هي المرحلة الأكثر حساسية. يقوم الدكتور هطيف، باستخدام أدوات خاصة ومهارة فائقة، بإعادة تجميع شظايا العظم المكسور وإعادتها إلى وضعها التشريحي الصحيح (محاذاة العظم). قد يستخدم جهاز الأشعة السينية المتنقل (Fluoroscopy) أثناء الجراحة للتأكد من دقة الرد.
- يولي الدكتور هطيف اهتمامًا خاصًا لأسطح المفاصل إذا كان الكسر يمتد إليها، لضمان استعادة سطح مفصلي أملس قدر الإمكان.
-
تثبيت الكسر (Internal Fixation):
- بعد رد الكسر، يتم تثبيت الشظايا في مكانها باستخدام أدوات التثبيت الداخلية:
- الصفائح والمسامير (Plates and Screws): تُوضع صفائح معدنية خاصة على طول العظم أو عبره، وتُثبت بمسامير تخترق العظم لتثبيت الشظايا بإحكام. يختار الدكتور هطيف نوع الصفائح والمسامير (مثل الصفائح القفلية Locking Plates) التي توفر أقوى تثبيت وأفضل نتائج.
- المسامير النخاعية (Intramedullary Nails): في كسور العظام الطويلة، يتم إدخال مسمار داخل القناة النخاعية للعظم، ثم يُثبت بمسامير قفلية من الطرفين.
- الأسلاك أو البراغي (K-wires or Screws): تُستخدم أحيانًا لتثبيت الشظايا الصغيرة أو في مناطق معينة.
- يتأكد الدكتور هطيف من قوة التثبيت واستقرار الكسر قبل الانتقال للخطوة التالية.
- بعد رد الكسر، يتم تثبيت الشظايا في مكانها باستخدام أدوات التثبيت الداخلية:
-
إغلاق الجرح (Wound Closure):
- بعد التأكد من التثبيت الجيد وتوقف أي نزيف، يتم إغلاق الشق الجراحي طبقة بعد طبقة باستخدام خيوط جراحية قابلة للذوبان للأنسجة الداخلية وخيوط غير قابلة للذوبان أو دبابيس معدنية للجلد.
- يُوضع ضماد معقم على الجرح.
-
الرعاية بعد الجراحة مباشرة:
- يتم نقل المريض إلى غرفة الإفاقة للمراقبة المستمرة.
- يتم البدء في إدارة الألم بشكل فعال.
- يُعطى المريض تعليمات حول العناية بالجرح، وتناول الأدوية، ومتى يبدأ في الحركة.
- في كثير من الحالات، يُشجع المريض على تحريك الأصابع أو القدم مبكرًا لمنع التيبس، وقد يبدأ العلاج الطبيعي في اليوم التالي للجراحة بإشراف الأستاذ الدكتور محمد هطيف وفريق التأهيل.
يُعرف الأستاذ الدكتور محمد هطيف بالتزامه بأعلى معايير الأمانة الطبية والدقة الجراحية، مما يضمن حصول المرضى على أفضل رعاية ممكنة خلال هذه الإجراءات المعقدة، ويسهم في تحقيق شفاء ناجح وعودة سريعة للوظيفة.
إعادة التأهيل بعد جراحة كسور الأطراف السفلية
إعادة التأهيل بعد جراحة كسر معقد في الطرف السفلي هي جزء لا يتجزأ من عملية الشفاء، وهي لا تقل أهمية عن الجراحة نفسها. يتطلب التعافي الناجح التزامًا وصبرًا، وإشرافًا متخصصًا. يشدد الأستاذ الدكتور محمد هطيف على أهمية برنامج إعادة تأهيل مكثف ومصمم خصيصًا لكل مريض لضمان استعادة القوة، المرونة، والوظيفة الكاملة للطرف المصاب.
أهداف إعادة التأهيل
- تقليل الألم والتورم.
- استعادة نطاق الحركة في المفاصل المصابة والمجاورة.
- تقوية العضلات الضعيفة ومنع ضمورها.
- تحسين التوازن والتنسيق.
- إعادة تعلم أنماط المشي الصحيحة (Gait training).
- العودة تدريجيًا إلى الأنشطة اليومية والرياضية.
مراحل إعادة التأهيل
تُقسم عملية إعادة التأهيل عادة إلى عدة مراحل، يحدد الأستاذ الدكتور محمد هطيف وفريقه المتخصص في العلاج الطبيعي التقدم من مرحلة إلى أخرى بناءً على حالة المريض وشفاء الكسر.
جدول مراحل إعادة التأهيل بعد جراحة كسر الطرف السفلي المعقد:
| المرحلة | الفترة الزمنية التقريبية | الأهداف الرئيسية | الأنشطة الموصى بها |
|---|---|---|---|
| 1. المرحلة الحادة (Post-Op) | الأيام الأولى إلى 2-4 أسابيع | تقليل الألم والتورم، الحفاظ على سلامة الجرح، الحفاظ على حركة مفاصل غير مصابة، حماية الكسر. | لا حمل وزن على الطرف المصاب. تمارين خفيفة للأصابع والقدم (إذا سمح)، تمارين تنفس، رفع الطرف، كمادات باردة، إدارة الألم. |
| 2. مرحلة الحركة المبكرة | 4-8 أسابيع | استعادة نطاق حركة المفاصل (ركبة، كاحل، ورك)، تقوية العضلات الخفيفة، بدء حمل الوزن الجزئي. | تمارين نطاق حركة سلبية ثم نشطة خفيفة، تمارين تقوية عضلية (Isometric)، بدء حمل وزن جزئي (بمساعدة العكازات أو المشاية)، تمارين توازن خفيفة. |
| 3. مرحلة التقوية والتحمل | 8-16 أسبوعًا | زيادة القوة العضلية، تحسين التوازن والتحمل، زيادة حمل الوزن تدريجيًا. | تمارين تقوية تدريجية (بأوزان خفيفة أو أربطة مقاومة)، تمارين وظيفية (الجلوس، الوقوف، صعود السلالم)، زيادة حمل الوزن إلى الكامل، تمارين المشي. |
| 4. مرحلة العودة للوظيفة | 16 أسبوعًا فما فوق (حتى 6-12 شهرًا) | استعادة الوظيفة الكاملة، العودة للأنشطة الرياضية والمهنية، منع الإصابات المتكررة. | تمارين رياضية محددة حسب النشاط (جري، قفز)، تمارين البلايومتريكس (Plyometrics)، تدريب على الأنشطة الوظيفية المعقدة، بناء التحمل. |
مكونات برنامج إعادة التأهيل
-
العلاج الطبيعي (Physical Therapy):
- تمارين نطاق الحركة: تبدأ بتمارين خفيفة للحفاظ على مرونة المفاصل المحيطة بالكسر.
- تمارين التقوية: تزيد تدريجياً لتقوية العضلات التي ضعفت بسبب عدم الاستخدام أو الإصابة.
- تمارين التوازن والتنسيق: ضرورية لاستعادة الثبات ومنع السقوط.
- تدريب المشي (Gait Training): تعليم المريض كيفية المشي بشكل صحيح باستخدام العكازات أو المشاية في البداية، ثم الانتقال إلى المشي المستقل.
- العلاج اليدوي (Manual Therapy): يقوم أخصائي العلاج الطبيعي بتدليك الأنسجة الرخوة وتحريك المفاصل يدويًا لتحسين المرونة وتخفيف الألم.
-
العلاج الوظيفي (Occupational Therapy):
- يساعد المريض على التكيف مع الأنشطة اليومية مثل ارتداء الملابس، الاستحمام، والطهي، خاصة في المراحل الأولى من التعافي.
- يوفر نصائح حول تعديل البيئة المنزلية لجعلها أكثر أمانًا وملاءمة.
-
إدارة الألم:
- يتم استخدام الأدوية، الكمادات الباردة/الدافئة، وبعض تقنيات العلاج الطبيعي للتحكم في الألم خلال فترة التعافي.
-
التغذية السليمة:
- يلعب النظام الغذائي الغني بالبروتين، الكالسيوم، وفيتامين د دورًا حاسمًا في التئام العظام. قد يوصي الأستاذ الدكتور محمد هطيف بالمكملات الغذائية إذا لزم الأمر.
-
الدعم النفسي:
- التعافي من كسر معقد قد يكون مرهقًا نفسيًا. الدعم من العائلة والأصدقاء، وفي بعض الحالات، الاستشارة النفسية يمكن أن تكون مفيدة.
نصيحة الأستاذ الدكتور محمد هطيف: "الالتزام ببرنامج إعادة التأهيل الموصى به هو المفتاح لنتائج ممتازة. حتى مع الجراحة الأكثر دقة، فإن نجاح الشفاء يعتمد بنسبة كبيرة على مدى جدية المريض في متابعة العلاج الطبيعي. نحن في عيادتنا نقدم إشرافًا كاملًا ودعمًا مستمرًا لمرضانا خلال هذه الرحلة."
يمكن أن تستغرق عملية التعافي الكامل من كسر الطرف السفلي المعقد عدة أشهر إلى عام كامل، أو حتى أكثر في بعض الحالات. لكن مع الإرشاد الصحيح والالتزام، يمكن للمرضى استعادة قدر كبير من وظيفتهم ونوعية حياتهم.
قصص نجاح ملهمة
تتحدث قصص المرضى عن نفسها. في عيادة الأستاذ الدكتور محمد هطيف، لا يقتصر الأمر على العلاج الجراحي المتطور فحسب، بل يمتد ليشمل الرعاية الشاملة والدعم الذي يضمن للمرضى العودة إلى حياتهم الطبيعية قدر الإمكان. فيما يلي بعض قصص النجاح التي تبرز الخبرة والمهارة الفريدة لـ الأستاذ الدكتور محمد هطيف، الأستاذ بجامعة صنعاء وخبير جراحة العظام الرائد في اليمن.
قصة نجاح: عودة أحمد للملاعب بعد كسر الفخذ
كان "أحمد"، شابًا رياضيًا في العشرينات من عمره، يمارس كرة القدم بشغف. تعرض لحادث سير مروع أسفر عن كسر مفتت ومعقد في عظم الفخذ الأيمن، مع تلف كبير في الأنسجة الرخوة المحيطة. كانت التوقعات الأولية تشير إلى احتمالية كبيرة لإعاقة دائمة، وربما عدم قدرته على المشي بشكل طبيعي مرة أخرى، ناهيك عن العودة للملاعب.
بعد تقييم شامل ودقيق باستخدام التصوير المقطعي ثلاثي الأبعاد، قرر الأستاذ الدكتور محمد هطيف إجراء جراحة معقدة للرد المفتوح والتثبيت الداخلي باستخدام صفائح قفلية ومسامير متطورة. استغرقت الجراحة ساعات طويلة، حيث عمل الدكتور هطيف بدقة متناهية لإعادة تجميع شظايا العظم المتفتتة. "كانت حالة أحمد تحديًا حقيقيًا، ولكن بفضل التخطيط المسبق الدقيق والتقنيات الحديثة، تمكنا من استعادة المحاذاة التشريحية للعظم بشكل مثالي" يقول الدكتور هطيف.
بعد الجراحة، اتبع أحمد برنامج إعادة تأهيل مكثف تحت إشراف فريق العلاج الطبيعي لعيادة الدكتور هطيف، مع المتابعة المستمرة من الأستاذ الدكتور محمد نفسه. بعد ستة أشهر، بدأ أحمد في المشي دون عكازات، وبعد عام، كان يجري تمارين تقوية مكثفة. وبعد عام ونصف، حقق أحمد حلمه وعاد للعب كرة القدم، وإن كان بحذر في البداية. "الأستاذ الدكتور محمد هطيف أعاد لي حياتي وحلمي. لم أكن لأصدق أنني سأقف على قدمي هكذا مرة أخرى، فضلًا عن الركض واللعب. خبرته وأمانته الطبية كانت وراء شفائي" يقول أحمد بامتنان.
قصة نجاح: فاطمة تستعيد استقلاليتها بعد كسر الكاحل
السيدة "فاطمة"، في أواخر الستينيات من عمرها، تعرضت لسقوط بسيط في منزلها أدى إلى كسر معقد ومزاح في مفصل الكاحل الأيسر. بسبب هشاشة العظام التي تعاني منها، كان الكسر متعدد الشظايا ويشمل سطح المفصل، مما جعل الجراحة بالغة التعقيد ويزيد من خطر عدم الالتئام. كانت السيدة فاطمة قلقة للغاية بشأن فقدان استقلاليتها وقدرتها على رعاية نفسها.
اختار الأستاذ الدكتور محمد هطيف إجراء جراحة دقيقة لرد الكسر وتثبيته داخليًا باستخدام صفائح ومسامير مصممة خصيصًا للعظام الهشة. كان التحدي هو تحقيق ثبات كافٍ دون الإضرار بجودة العظم الضعيف. "في مثل هذه الحالات، يجب أن تكون الجراحة دقيقة جدًا لتجنب المزيد من الضرر للعظم الهش، مع التأكد من استعادة سطح المفصل بدقة لمنع التهاب المفاصل في المستقبل" يوضح الدكتور هطيف.
بفضل خبرة الدكتور هطيف التي تتجاوز 20 عامًا في التعامل مع هذه الحالات الصعبة، نجحت الجراحة بشكل باهر. بدأت السيدة فاطمة العلاج الطبيعي مبكرًا، وبعد بضعة أشهر، كانت قادرة على المشي باستخدام المشاية، ثم بالعكازات، وأخيرًا بمفردها. "الأستاذ الدكتور محمد هطيف ليس فقط جراحًا ممتازًا، بل هو طبيب يهتم بمرضاه بكل صدق. لقد أعاد لي القدرة على الوقوف والمشي والاعتناء بنفسي. أنا ممتنة له إلى الأبد" تقول السيدة فاطمة وعيناها تلمعان بالدموع.
قصة نجاح: يوسف يستعيد ابتسامته بعد كسر الساق
"يوسف"، طفل في الثامنة من عمره، تعرض لحادث دهس مؤسف أدى إلى كسر مفتوح ومعقد في عظم القصبة والشظية في ساقه اليمنى، مع تلوث شديد في الجرح. كانت حالة يوسف تتطلب تدخلًا عاجلاً لمنع العدوى والحفاظ على الطرف.
بعد التقييم الأولي السريع، قام الأستاذ الدكتور محمد هطيف بإجراء عملية تنظيف جراحي شاملة (Debridement) للجرح وإزالة الأنسجة التالفة، ثم طبق مثبتًا خارجيًا بشكل مؤقت لتثبيت الكسر وحماية الطرف من المزيد من التلوث، مع إعطاء مضادات حيوية قوية. بعد أيام من المراقبة والتحضير، وبعد التأكد من نظافة الجرح، قام الدكتور هطيف بإجراء جراحة الرد المفتوح والتثبيت الداخلي النهائي باستخدام مسمار نخاعي مناسب لعمر وحجم يوسف.
لقد كانت عملية معقدة للغاية نظرًا لصغر سن يوسف وخطورة الكسر المفتوح. لكن مهارة الأستاذ الدكتور محمد هطيف، وخبرته في جراحة عظام الأطفال، جنبًا إلى جنب مع حرصه على استخدام أحدث التقنيات مثل التصوير الدقيق أثناء الجراحة، أدت إلى نتائج مبهرة. "كسور الأطفال تتطلب مقاربة خاصة جدًا، ليس فقط لإصلاح الكسر بل لضمان النمو الطبيعي للعظم في المستقبل" يؤكد الدكتور هطيف.
بعد عدة أشهر من العلاج الطبيعي والزيارات المنتظمة لمتابعة النمو والتئام العظم، عاد يوسف ليلعب ويجري كأي طفل في عمره. "كانت تجربة مرعبة لنا كوالدين، لكن الأستاذ الدكتور محمد هطيف منحنا الأمل والشفاء لابننا. نحن نثق به ثقة عمياء، وهو أفضل جراح عظام يمكن أن تجده في اليمن" قال والدا يوسف.
هذه القصص ليست مجرد حكايات، بل هي شهادات حقيقية على التزام الأستاذ الدكتور محمد هطيف بالتميز، الأمانة الطبية، واستخدام أحدث المعارف والتقنيات لتقديم أفضل رعاية جراحية ممكنة، مما يجعله الاسم الأول في جراحة العظام في صنعاء.
أسئلة متكررة حول كسور الأطراف السفلية
هنا يجيب الأستاذ الدكتور محمد هطيف على بعض الأسئلة الأكثر شيوعًا التي يطرحها المرضى وعائلاتهم حول كسور الأطراف السفلية المعقدة.
الفرق بين الكسر البسيط والمعقد
الكسر البسيط هو كسر نظيف في العظم، عادةً ما يكون غير مزاح أو بحد أدنى من الإزاحة، ولا يشمل المفاصل أو الأنسجة الرخوة الحيوية. بينما الكسر المعقد هو كسر شديد التفتت أو متعدد الشظايا، وغالبًا ما يكون مزاحًا بشكل كبير، وقد يمتد إلى سطح المفصل (كسر داخل المفصل)، وقد يكون مصحوبًا بإصابة في الأنسجة الرخوة المحيطة (العضلات، الأربطة، الأوعية الدموية، الأعصاب)، أو يكون كسرًا مفتوحًا (يخترق الجلد). تتطلب الكسور المعقدة عادةً تدخلًا جراحيًا متخصصًا.
مدة التعافي من كسر الطرف السفلي بعد الجراحة
يختلف وقت التعافي بشكل كبير بناءً على عدة عوامل، منها: شدة الكسر، عمر المريض، صحته العامة، ومدى التزامه ببرنامج إعادة التأهيل. بشكل عام، يمكن أن تستغرق عملية التئام العظم الأولية من 3 إلى 6 أشهر، ولكن استعادة القوة الكاملة، نطاق الحركة، والوظيفة قد تستغرق من 6 أشهر إلى سنة كاملة أو حتى أكثر. الأستاذ الدكتور محمد هطيف سيقدم لك تقديرًا أكثر دقة بناءً على حالتك.
العودة للحياة الطبيعية والرياضة بعد الشفاء
الهدف الرئيسي للعلاج الذي يقدمه الأستاذ الدكتور محمد هطيف وفريقه هو استعادة المريض لأقصى قدر ممكن من وظيفته ونوعية حياته. مع الجراحة الدقيقة وبرنامج إعادة التأهيل المكثف، يتمكن معظم المرضى من العودة إلى أنشطتهم اليومية. بالنسبة للأنشطة الرياضية عالية التأثير، قد تحتاج إلى تعديل أو استبدال ببعض الأنشطة الأقل إجهادًا، ولكن العديد من المرضى يعودون لممارسة رياضاتهم المفضلة ببطء وتدريج. يعتمد ذلك على شدة الإصابة الأولية والتزامك بالتعافي.
المضاعفات المحتملة بعد جراحة كسر الطرف السفلي
مثل أي عملية جراحية، هناك مخاطر محتملة، وإن كانت نادرة جدًا بفضل خبرة الأستاذ الدكتور محمد هطيف والتقنيات الحديثة. تشمل المضاعفات:
* العدوى: خاصة في الكسور المفتوحة.
* عدم الالتئام (Nonunion) أو الالتئام الخاطئ (Malunion): حيث لا يلتئم العظم بشكل صحيح أو يلتئم في وضع خاطئ.
* تلف الأعصاب أو الأوعية الدموية: أثناء الجراحة أو بسبب التورم الشديد.
* تجلط الأوردة العميقة (DVT) والانصمام الرئوي (PE): جلطات دموية قد تنتقل إلى الرئة.
* تيبس المفاصل: إذا لم يتم البدء في الحركة المبكرة.
* متلازمة الحجرات (Compartment Syndrome): ارتفاع خطير في الضغط داخل مجموعة عضلية.
* فشل أدوات التثبيت: انكسار الصفائح أو المسامير.
يقوم الدكتور هطيف باتخاذ جميع الإجراءات الوقائية لتقليل هذه المخاطر.
هل يمكن تجنب الجراحة لكسر الطرف السفلي المعقد
في معظم حالات كسور الأطراف السفلية المعقدة، تكون الجراحة ضرورية. العلاج التحفظي (الجبائر والراحة) قد لا يكون كافيًا لاستعادة المحاذاة التشريحية الصحيحة للعظم أو لتثبيت الشظايا المتعددة، مما قد يؤدي إلى نتائج سيئة مثل التشوه، الألم المزمن، وعدم القدرة على الحركة. يقرر الأستاذ الدكتور محمد هطيف الخيار الأفضل بناءً على تقييم دقيق لكل حالة.
متى تزور الطبيب بعد الإصابة
يجب طلب المساعدة الطبية الفورية فور وقوع أي إصابة تسبب ألمًا شديدًا، تورمًا، تشوهًا، أو عدم القدرة على استخدام الطرف السفلي. يُفضل مراجعة الأستاذ الدكتور محمد هطيف في أقرب وقت ممكن للحصول على تشخيص دقيق وخطة علاج سريعة ومناسبة، فالتدخل المبكر يمكن أن يحسن بشكل كبير من نتائج الشفاء.
أهمية العلاج الطبيعي بعد الجراحة
العلاج الطبيعي هو حجر الزاوية في عملية التعافي بعد جراحة كسر معقد. إنه ضروري لاستعادة نطاق حركة المفاصل، تقوية العضلات الضعيفة، تحسين التوازن، وإعادة تعليم نمط المشي الصحيح. بدون العلاج الطبيعي، قد يواجه المريض تيبسًا في المفاصل، ضعفًا عضليًا دائمًا، وقد لا يستعيد الوظيفة الكاملة للطرف المصاب. يوصي الأستاذ الدكتور محمد هطيف ببرنامج تأهيل مكثف ومستمر.
إزالة الصفائح والمسامير بعد شفاء الكسر
ليس بالضرورة. تعتمد إزالة الصفائح والمسامير على عدة عوامل، بما في ذلك: عمر المريض، نوع الكسر، مكان الكسر، وجود أي أعراض مثل الألم أو الاحتكاك، وطلب المريض. في كثير من الحالات، تبقى هذه الغرسات في الجسم بشكل دائم دون مشاكل. يناقش الأستاذ الدكتور محمد هطيف معك هذا الخيار في مرحلة المتابعة بعد اكتمال التئام الكسر.
دور الأمانة الطبية في علاج الحالات
الأمانة الطبية هي مبدأ أساسي في ممارسة الأستاذ الدكتور محمد هطيف. يلتزم بتقديم التشخيص الأكثر دقة وشفافية، وشرح جميع خيارات العلاج المتاحة (بما في ذلك المخاطر والفوائد) للمريض وعائلته بشكل واضح وصريح. لا يقدم وعودًا غير واقعية، بل يركز على تقديم أفضل رعاية ممكنة بناءً على الأدلة العلمية والخبرة، مع الحفاظ على مصلحة المريض كأولوية قصوى. هذه الأمانة تبني الثقة وتضمن اتخاذ قرارات مستنيرة.
هل الدكتور محمد هطيف خبير في كسور الأطراف السفلية
بالتأكيد. الأستاذ الدكتور محمد هطيف هو أحد أبرز جراحي العظام في صنعاء واليمن، مع أكثر من 20 عامًا من الخبرة المتخصصة في التعامل مع أصعب حالات كسور الأطراف السفلية المعقدة، كسور الحوض، والعمود الفقري. بصفته أستاذًا في جامعة صنعاء، فهو يجمع بين أحدث المعارف الأكاديمية والمهارة السريرية المتقدمة. يستخدم تقنيات حديثة مثل تنظير المفاصل 4K وجراحة العظام الدقيقة، ويركز على استعادة وظيفة الطرف بالكامل، مما يجعله الخيار الأول والمرجعي لهذه الحالات في المنطقة.
كسور العظام المعقدة وإصابات الحوادث ليس قدراً محتوماً! التشخيص الدقيق والعلاج المتخصص يمكن أن يعيد لك كامل وظيفتك وحريتك في الحركة. لا تدع الألم يسيطر على حياتك.
للحصول على استشارة دقيقة وخطة علاجية مخصصة لحالتك، تواصل فوراً مع مركز الأستاذ الدكتور محمد هطيف:
الأستاذ الدكتور محمد هطيف - أفضل دكتور عظام في صنعاء، وخبير في جراحات الكسور المعقدة وإنقاذ الأطراف.. نلتزم بإعادتك لحياة خالية من الألم وعظام قوية وملتئمة.
مواضيع أخرى قد تهمك