أكياس العظام الحميدة: دليل شامل للتشخيص والعلاج الجراحي مع الأستاذ الدكتور محمد هطيف في صنعاء

الخلاصة الطبية
أكياس العظام الحميدة هي آفات عظمية غير سرطانية، مثل كيس العظم أحادي الغرفة (UBC) وكيس العظم المتمدد (ABC)، تتطلب تشخيصًا دقيقًا وعلاجًا جراحيًا متخصصًا. يقدم الأستاذ الدكتور محمد هطيف في صنعاء أحدث التقنيات الجراحية لإدارة هذه الحالات، بما في ذلك الكشط والتطعيم، لضمان أفضل النتائج للمرضى.
مقدمة شاملة: فهم أكياس العظام الحميدة والرعاية الفائقة في صنعاء
مرحباً بكم في هذا الدليل الطبي الشامل والمرجعي حول أكياس العظام الحميدة (Benign Bone Cysts)، وهي من الحالات العظمية الشائعة التي تثير قلق الكثير من الآباء والأمهات، نظراً لأنها تصيب الأطفال والشباب في مقتبل العمر بشكل رئيسي. إن تشخيص وجود "كيس" أو "آفة" في العظم قد يبدو مخيفاً للوهلة الأولى، ولكن مع الفهم الدقيق والرعاية الطبية المتخصصة، تُعد هذه الحالات قابلة للعلاج بشكل كامل، وتسمح للمريض بالعودة إلى حياته الطبيعية ونشاطه الرياضي دون أي إعاقات.
في عالم جراحة العظام الحديث، لا يقتصر الأمر على تشخيص الحالة فحسب، بل يتطلب فهماً عميقاً لسلوك هذه الأكياس، مثل كيس العظم أحادي الغرفة (UBC) وكيس العظم المتمدد (ABC). فكل نوع يختلف جذرياً في طبيعته المرضية، وسرعة نموه، ومدى تأثيره على الهيكل العظمي، والأهم من ذلك: الخطة الجراحية أو التحفظية المثلى لإدارته. هدفنا من هذا الدليل هو تفكيك هذه المصطلحات الطبية المعقدة، وتقديم خريطة طريق واضحة للمرضى وذويهم، بدءاً من لحظة التشخيص وحتى التعافي التام.
في العاصمة اليمنية صنعاء، يبرز اسم الأستاذ الدكتور محمد هطيف، أستاذ جراحة العظام والمفاصل والعمود الفقري بجامعة صنعاء، كمرجعية طبية عليا والوجهة الأولى للتعامل مع أعقد حالات أكياس وأورام العظام الحميدة. بفضل خبرة تمتد لأكثر من 20 عاماً، والتزامه الصارم بـ "الأمانة الطبية"، واعتماده على أحدث التقنيات الجراحية العالمية (مثل الجراحة المجهرية، ومناظير المفاصل بتقنية 4K، وتقنيات التطعيم العظمي المتقدمة)، يضمن الدكتور هطيف تقديم رعاية استثنائية تضع سلامة المريض ومستقبله الحركي فوق كل اعتبار.


نظرة تشريحية: كيف وأين تتكون أكياس العظام؟
لفهم أكياس العظام الحميدة، يجب أولاً إلقاء نظرة مبسطة على تشريح العظام الطويلة (مثل عظم الفخذ، القصبة، والعضد) لدى الأطفال والمراهقين. يتكون العظم الطويل من ثلاثة أجزاء رئيسية:
1. المشاشة (Epiphysis): نهاية العظم، والتي تشكل المفصل.
2. صفيحة النمو (Physis أو Growth Plate): طبقة غضروفية مسؤولة عن النمو الطولي للعظم.
3. الكردوس (Metaphysis): الجزء المتسع من العظم أسفل صفيحة النمو مباشرة، وهو المنطقة الأكثر نشاطاً في بناء العظم، وهنا تتكون معظم أكياس العظام.
4. الجسم أو الجدل (Diaphysis): الجزء الأوسط الأنبوبي من العظم.
تنشأ أكياس العظام عادة في منطقة الكردوس (Metaphysis) بسبب النشاط الخلوي العالي فيها. ومع نمو الطفل، قد "تبتعد" بعض هذه الأكياس عن صفيحة النمو لتستقر في جسم العظم (Diaphysis)، وهو ما يُعرف بالكيس "الكامن".

ما هي أكياس العظام الحميدة؟ (التصنيف الدقيق)
أكياس العظام الحميدة هي تجاويف أو آفات غير سرطانية تتطور داخل النسيج العظمي. على الرغم من أنها ليست خبيثة (لا تنتشر إلى أعضاء أخرى)، إلا أن نموها داخل العظم يؤدي إلى تآكل القشرة العظمية الصلبة، مما يجعل العظم رقيقاً وهشاً، وعرضة لما يُسمى بـ "الكسر المرضي" (Pathological Fracture) حتى مع الإصابات الطفيفة.
1. كيس العظم أحادي الغرفة (Unicameral Bone Cyst - UBC)
يُعرف أيضاً بالكيس العظمي البسيط (Simple Bone Cyst). وهو عبارة عن تجويف حميد، مفرد (غرفة واحدة)، مملوء بسائل صافٍ يميل لونه إلى الأصفر (مصلّي).
* الفئة العمرية: يصيب غالباً الأطفال والمراهقين (90% من الحالات تحت سن 20 عاماً).
* المواقع الشائعة: الجزء القريب من عظم العضد (الكتف) والجزء القريب من عظم الفخذ (الورك) يمثلان حوالي 40% إلى 80% من الحالات.
* النشاط: يُصنف إلى "نشط" إذا كان ملامساً لصفيحة النمو (مما قد يهدد نمو العظم)، أو "كامن" إذا ابتعد عن صفيحة النمو مع استطالة العظم. الجدار المبطن لهذا الكيس عبارة عن غشاء ليفي رقيق جداً.
2. كيس العظم المتمدد (Aneurysmal Bone Cyst - ABC)
على النقيض تماماً من الـ UBC، يُعد كيس العظم المتمدد آفة حميدة ولكنها نشطة جداً وأحياناً عدوانية موضعياً. سمي بـ "المتمدد" لأنه يسبب انتفاخاً وتوسعاً ملحوظاً في العظم المصاب، وكأنه بالون ينتفخ داخل العظم.
* الفئة العمرية: يظهر غالباً في العقدين الأول والثاني من العمر.
* المواقع الشائعة: العظام الطويلة (حول الركبة) والعمود الفقري والحوض.
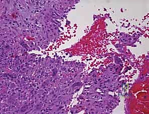
* التكوين النسيجي: لا يحتوي على سائل صافٍ، بل يحتوي على مساحات كيسية متعددة مملوءة بالدم. من الناحية المجهرية، هذه المساحات ليست أوعية دموية حقيقية (تفتقر للبطانة الوعائية)، بل تفصلها حواجز ليفية تحتوي على خلايا عملاقة (Giant Cells) وعظم غير ناضج. هذا التمييز النسيجي حاسم لفهم سبب نزيفها الشديد أثناء الجراحة وطبيعتها العدوانية.

صورة مجهرية توضح الفحص النسيجي لكيس العظم المتمدد (ABC)، حيث تظهر الحواجز الليفية والخلايا العملاقة التي تحيط بالمساحات المليئة بالدم، وهو ما يفسر السلوك العدواني الموضعي لهذا النوع من الأكياس.

الأسباب وعوامل الخطر: لماذا تتكون هذه الأكياس؟
رغم التقدم الطبي الهائل، لا يزال السبب الدقيق والمباشر لتكون أكياس العظام قيد البحث المستمر، ولكن هناك نظريات علمية قوية يتبناها المجتمع الطبي:
أسباب كيس العظم أحادي الغرفة (UBC):
* نظرية الانسداد الوريدي: تُعد النظرية الأكثر قبولاً. تقترح أن هناك انسداداً في الأوردة الصغيرة التي تصرف الدم من منطقة نمو العظم (الكردوس). هذا الانسداد يؤدي إلى تراكم السوائل الخلالية، مما يزيد الضغط داخل العظم، ويؤدي إلى ارتشاف (تآكل) النسيج العظمي وتكوين الكيس.
* الخلل التنموي: خلل مؤقت في تكوين العظم الغضروفي في صفيحة النمو.
أسباب كيس العظم المتمدد (ABC):
* الخلل الوعائي الديناميكي: تشوه في الأوعية الدموية داخل العظم يؤدي إلى زيادة هائلة في الضغط الوريدي، مما يسبب توسعاً سريعاً وتآكلاً للعظم المحيط.
* عوامل وراثية وجينية: أثبتت الدراسات الحديثة وجود طفرات جينية معينة (مثل إعادة ترتيب جين USP6) في الأكياس المتمددة الأولية، مما يشير إلى أنها قد تكون أوراماً حقيقية (Neoplasms) وليست مجرد رد فعل تفاعلي.
* كيس ثانوي: في حوالي 30% من الحالات، ينشأ كيس العظم المتمدد فوق ورم عظمي آخر موجود مسبقاً (مثل الورم الأرومي الغضروفي أو ورم الخلايا العملاقة).

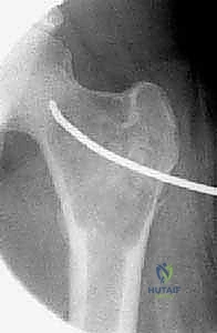
تُظهر هذه الأشعة السينية (X-ray) كيس عظم أحادي الغرفة (UBC) في الجزء العلوي من عظم العضد. لاحظ كيف أن الكيس يسبب ترققاً في قشرة العظم دون أن يخترقها.

الأعراض السريرية: متى يجب زيارة طبيب العظام؟
في كثير من الأحيان، تنمو أكياس العظام في صمت تام، ولا تسبب أي أعراض. ولكن عندما تظهر الأعراض، فإنها تختلف بناءً على نوع الكيس وحجمه:
أعراض كيس العظم أحادي الغرفة (UBC):
- الكسور المرضية (العرَض الأكثر شيوعاً): في 70% من الحالات، يكون العرَض الأول هو كسر مفاجئ في العظم بعد إصابة بسيطة جداً (مثل سقوط خفيف أثناء اللعب). يحدث هذا لأن الكيس قد أضعف العظم تماماً.
- ألم خفيف: نادراً ما يسبب الـ UBC ألماً إلا إذا كان هناك كسر دقيق (Microfracture) غير مرئي.
- اكتشاف عرضي: يتم اكتشاف العديد من الحالات بالصدفة عند إجراء أشعة سينية لسبب آخر.
أعراض كيس العظم المتمدد (ABC):
- ألم متزايد: على عكس الـ UBC، يسبب الـ ABC ألماً مستمراً يزداد سوءاً مع مرور الوقت، وقد يوقظ المريض من النوم.
- تورم وانتفاخ ملحوظ: بسبب طبيعته المتمددة، قد يلاحظ المريض أو الأهل كتلة صلبة أو انتفاخاً محسوساً تحت الجلد، خاصة في العظام السطحية مثل القصبة.
- تحدد الحركة: إذا كان الكيس قريباً من المفصل.
- أعراض عصبية: إذا نشأ الكيس في العمود الفقري، فقد يضغط على الحبل الشوكي أو الأعصاب، مما يسبب تنميلاً، ضعفاً في الأطراف، أو حتى شللاً في الحالات المتأخرة.

صورة الرنين المغناطيسي (MRI) توضح بوضوح السائل المتجانس داخل كيس العظم أحادي الغرفة، مما يساعد الأستاذ الدكتور محمد هطيف في استبعاد الأورام الصلبة.

التقنيات التشخيصية المتقدمة مع الأستاذ الدكتور محمد هطيف
يؤمن الأستاذ الدكتور محمد هطيف بأن "التشخيص الدقيق هو نصف العلاج". لتحديد نوع الكيس بدقة واستبعاد أي أورام خبيثة (مثل الساركوما العظمية)، يتم اتباع بروتوكول تشخيصي صارم في عيادته بصنعاء:
- الأشعة السينية (X-rays):
- هي الخطوة الأولى والأساسية.
- في الـ UBC، تظهر الآفة كمنطقة شفافة (سوداء) مركزية داخل العظم. وهناك علامة مميزة تُسمى "علامة الورقة المتساقطة" (Fallen Leaf Sign)، حيث تسقط قطعة صغيرة من قشرة العظم المكسورة داخل الكيس المملوء بالسائل، وهي علامة مؤكدة بنسبة 100% تقريباً على الـ UBC.
-
في الـ ABC، تظهر الآفة غير مركزية، متمددة، وتدفع قشرة العظم للخارج لتصبح رقيقة جداً مثل "قشرة البيضة".
-
التصوير بالرنين المغناطيسي (MRI):
- ضروري لتقييم محتوى الكيس وتأثيره على الأنسجة الرخوة المحيطة وصفيحة النمو.
-
في الـ ABC، يُظهر الرنين المغناطيسي علامة كلاسيكية تُعرف بـ "مستويات السائل-السائل" (Fluid-Fluid Levels)، والتي تنتج عن ترسب خلايا الدم الحمراء وانفصالها عن مصل الدم داخل تجاويف الكيس.
-
التصوير المقطعي المحوسب (CT Scan):
-
ممتاز لتقييم سلامة القشرة العظمية بدقة ثلاثية الأبعاد، ويساعد الدكتور هطيف في التخطيط الجراحي وتحديد المناطق التي تحتاج إلى تدعيم ميكانيكي.
-
الخزعة العظمية (Bone Biopsy):
- في الحالات التي يكون فيها التشخيص غير مؤكد، أو للتمييز بين الـ ABC والأورام الخبيثة ذات التوسع الوعائي (Telangiectatic Osteosarcoma)، يقوم الدكتور هطيف بأخذ خزعة (عينة) بإبرة دقيقة أو جراحياً لتحليلها نسيجياً في المختبر قبل اتخاذ أي قرار جراحي كبير.

تُظهر هذه الأشعة السينية كيس عظم متمدد (ABC). لاحظ التوسع الكبير في العظم وترقق القشرة العظمية مقارنة بالكيس أحادي الغرفة.

صور الرنين المغناطيسي والأشعة المقطعية المتطورة توضح "مستويات السائل-السائل" المميزة لكيس العظم المتمدد، بالإضافة إلى التخطيط الدقيق لحدود الآفة قبل التدخل الجراحي.
جدول 1: مقارنة شاملة بين كيس العظم أحادي الغرفة (UBC) وكيس العظم المتمدد (ABC)
| وجه المقارنة | كيس العظم أحادي الغرفة (UBC) | كيس العظم المتمدد (ABC) |
|---|---|---|
| الطبيعة المرضية | تجويف ممتلئ بسائل مصلّي أصفر | تجاويف متعددة ممتلئة بالدم |
| الموقع داخل العظم | مركزي (في وسط العظم) | غير مركزي (على جانب العظم)، متمدد |
| الأعراض الشائعة | غالباً بدون ألم، يُكتشف بكسر مرضي | ألم متزايد، تورم، انتفاخ ملحوظ |
| العلامة الشعاعية المميزة | علامة الورقة المتساقطة (Fallen Leaf Sign) | مستويات السائل-السائل (Fluid-Fluid Levels) |
| السلوك والنمو | بطيء، يتوقف غالباً عند البلوغ | سريع، عدواني موضعياً، يوسع العظم |
| معدل الانتكاس (العودة) | متوسط إلى منخفض (حسب العلاج) | أعلى نسبياً (يتطلب كشطاً جراحياً عنيفاً) |

الأستاذ الدكتور محمد هطيف يقوم بدراسة دقيقة لصور الأشعة وتخطيط مسار العلاج الأمثل لكل مريض بناءً على المعطيات السريرية والشعاعية.

الخيارات العلاجية الشاملة: من المراقبة إلى الجراحة المتقدمة
لا يوجد نهج واحد يناسب الجميع في علاج أكياس العظام. يعتمد الأستاذ الدكتور محمد هطيف في اختياره للعلاج على عدة عوامل: نوع الكيس، حجمه، موقعه، عمر المريض، والأهم: خطر حدوث كسر مرضي.
أولاً: العلاج التحفظي (المراقبة والانتظار)
- دواعي الاستعمال: الأكياس الصغيرة جداً، الأكياس الكامنة (التي ابتعدت عن صفيحة النمو)، والتي لا تسبب ألماً ولا تشكل خطراً بحدوث كسر.
- النهج: متابعة دورية بالأشعة السينية كل 4 إلى 6 أشهر. العديد من أكياس UBC تُشفى تلقائياً وتتعظم مع وصول المريض لسن البلوغ.
ثانياً: التدخلات طفيفة التوغل (الحقن)
يُفضل هذا الخيار غالباً لحالات كيس العظم أحادي الغرفة (UBC) لتجنب الجراحة المفتوحة، خاصة عند الأطفال الصغار.
* حقن الكورتيكوستيرويد (Steroid Injections): يتم إدخال إبرتين تحت توجيه الأشعة السينية (Fluoroscopy). تُستخدم الإبرة الأولى لشفط السائل الكيسي، والإبرة الثانية لحقن مادة الكورتيزون (Methylprednisolone). يعمل الكورتيزون على تثبيط الخلايا المسببة لتآكل العظم، مما يسمح للعظم بالشفاء. قد يتطلب الأمر تكرار الحقن 2-3 مرات بفاصل بضعة أشهر.
* حقن نخاع العظم الذاتي (Bone Marrow Aspirate): تقنية حديثة يقوم فيها الدكتور هطيف بسحب نخاع عظم من حوض المريض (الغني بالخلايا الجذعية وعوامل النمو) وحقنه داخل الكيس لتحفيز بناء عظم جديد.
* حقن المواد المصلبة (Sclerotherapy): تُستخدم أحياناً في حالات كيس العظم المتمدد (ABC)، حيث تُحقن مواد (مثل Polidocanol) لتدمير الأوعية الدموية المغذية للكيس، مما يؤدي إلى انكماشه.

استخدام تقنيات الحقن طفيفة التوغل تحت توجيه الأشعة السينية المباشرة، وهي خطوة أولى فعالة في علاج أكياس العظام أحادية الغرفة (UBC) لتجنب الجراحة المفتوحة متى ما أمكن ذلك.
ثالثاً: العلاج الجراحي المتخصص (الكشط والتطعيم العظمي)
يُعد التدخل الجراحي هو المعيار الذهبي والعلاج الحاسم في الحالات التالية:
1. فشل العلاج بالحقن المتكرر.
2. الأكياس الكبيرة جداً التي تهدد بكسر محتم.
3. حدوث كسر مرضي بالفعل يحتاج إلى تثبيت.
4. معظم حالات كيس العظم المتمدد (ABC) نظراً لطبيعتها العدوانية واحتمالية الانتكاس العالية.

التخطيط الجراحي المسبق هو مفتاح النجاح. يقوم الدكتور هطيف بتحديد مكان الشق الجراحي وحجم النافذة العظمية المطلوبة للوصول إلى الكيس بأمان تام.
جدول 2: مقارنة بين الخيارات العلاجية لأكياس العظام
| الخيار العلاجي | المزايا (Pros) | العيوب (Cons) | الحالات الأنسب |
|---|---|---|---|
| المراقبة الطبية | لا تداخل جراحي، لا ألم | خطر الكسر المفاجئ، قلق الأهل | أكياس UBC الصغيرة الكامنة في الأطراف العلوية |
| حقن الكورتيزون/نخاع العظم | إجراء بسيط، ندبات صغيرة، تعافي سريع | قد يتطلب جلسات متعددة، نسبة نجاح 50-70% | أكياس UBC النشطة، المرضى صغار السن |
| الجراحة (الكشط والتطعيم) | إزالة الآفة بالكامل، تقوية العظم فوراً، نسبة نجاح عالية | يتطلب تخديراً عاماً، فترة تعافي أطول، ندبة جراحية | جميع حالات ABC، الأكياس الكبيرة المهددة بالكسر، فشل الحقن |

خطوة بخطوة: كيف يُجري الأستاذ الدكتور محمد هطيف جراحة الكشط والتطعيم العظمي؟
الجراحة في عيادة ومستشفيات الأستاذ الدكتور محمد هطيف في صنعاء ليست مجرد إجراء روتيني، بل هي عمل فني يجمع بين الدقة المتناهية واستخدام أحدث التقنيات الطبية



آلام العظام والمفاصل وتقييد حركتها ليس قدراً محتوماً! التشخيص الدقيق والعلاج المتخصص يمكن أن يعيد لك كامل وظيفتك وحريتك في الحركة. لا تدع الألم يسيطر على حياتك.
للحصول على استشارة دقيقة وخطة علاجية مخصصة لحالتك، تواصل فوراً مع مركز الأستاذ الدكتور محمد هطيف:
الأستاذ الدكتور محمد هطيف - أفضل دكتور عظام في صنعاء، وخبير في جراحات العظام والمفاصل والعمود الفقري.. نلتزم بإعادتك لحياة خالية من الألم وحركة طبيعية.
مواضيع أخرى قد تهمك