جراحة أورام العجز: الحفاظ على وظائف الأمعاء والمثانة مع الأستاذ الدكتور محمد هطيف في صنعاء

الخلاصة الطبية
جراحة أورام العجز هي إجراء دقيق لإزالة الأورام في عظم العجز، مع التركيز الأساسي على الحفاظ على وظائف الأمعاء والمثانة الحيوية. يقدم الأستاذ الدكتور محمد هطيف في صنعاء خبرة متقدمة في هذه الجراحات المعقدة، باستخدام أحدث التقنيات لضمان أفضل النتائج للمرضى وتقليل المضاعفات.
الخلاصة الطبية السريعة: جراحة أورام العجز هي إجراء دقيق لإزالة الأورام في عظم العجز، مع التركيز الأساسي على الحفاظ على وظائف الأمعاء والمثانة الحيوية. يقدم الأستاذ الدكتور محمد هطيف في صنعاء خبرة متقدمة في هذه الجراحات المعقدة، باستخدام أحدث التقنيات لضمان أفضل النتائج للمرضى وتقليل المضاعفات.
تُعد جراحة أورام العجز من الإجراءات الطبية المعقدة التي تتطلب دقة فائقة وخبرة واسعة، نظرًا لحساسية المنطقة التشريحية التي يقع فيها عظم العجز. يقع عظم العجز في قاعدة العمود الفقري، وهو محاط بشبكة معقدة من الأعصاب والأوعية الدموية والأربطة التي تتحكم في وظائف حيوية مثل حركة الأطراف السفلية، والتحكم في الأمعاء والمثانة. عندما تتطور الأورام في هذه المنطقة، فإنها لا تشكل تهديدًا للحياة فحسب، بل يمكن أن تؤثر بشكل كبير على جودة حياة المريض من خلال الضغط على هذه الهياكل الحيوية.
في صنعاء، يُعتبر الأستاذ الدكتور محمد هطيف رائدًا في مجال جراحة العظام والعمود الفقري، ويقدم خبرة لا مثيل لها في التعامل مع أورام العجز المعقدة. يلتزم الدكتور هطيف بأعلى معايير الرعاية، مع التركيز الشديد على الحفاظ على وظائف الأمعاء والمثانة والوظائف العصبية الأخرى، وهو ما يمثل تحديًا كبيرًا في هذا النوع من الجراحات. يهدف هذا الدليل الشامل إلى تزويد المرضى وعائلاتهم بفهم عميق لأورام العجز، وخيارات العلاج المتاحة، وكيفية ضمان أفضل النتائج الممكنة.

مقدمة عن أورام العجز
أورام العجز هي نمو غير طبيعي للخلايا يتطور في عظم العجز. يمكن أن تكون هذه الأورام حميدة (غير سرطانية) أو خبيثة (سرطانية). تُعد الأورام النقيلية (التي تنتشر من جزء آخر من الجسم) أكثر شيوعًا من الأورام الأولية (التي تنشأ في العجز نفسه). بغض النظر عن نوعها، تتطلب أورام العجز تقييمًا دقيقًا وعلاجًا متخصصًا بسبب موقعها الحساس.
تنمو هذه الأورام غالبًا بشكل خفي لشهور أو حتى سنوات قبل أن يتم تشخيصها، وذلك بسبب المساحة الكبيرة أمام العجز (المساحة أمام العجز) التي تسمح لها بالوصول إلى أحجام كبيرة قبل ظهور الأعراض الواضحة. يمكن أن تكون الأعراض في البداية غير محددة أو مشابهة لأعراض الانزلاق الغضروفي القطني، مما يؤخر التشخيص.
تتسم جراحة أورام العجز بتحديات كبيرة نظرًا لغزارة الإمداد الدموي للمنطقة وتعقيد الهياكل التشريحية المحيطة، بما في ذلك الأعصاب والأوعية الدموية. لذا، فإن الخبرة الجراحية تلعب دورًا حاسمًا في تحقيق الاستئصال الكامل للورم مع الحفاظ على الوظائف العصبية الحيوية.

التشريح المعقد لمنطقة العجز
لفهم تعقيدات جراحة أورام العجز، من الضروري الإلمام بالتشريح الدقيق لهذه المنطقة. يقع عظم العجز بين الفقرات القطنية والعمود الفقري، ويتصل بعظام الحوض عبر المفاصل العجزية الحرقفية. يحتوي العجز على قنوات عصبية مهمة تُعرف باسم الضفائر العجزية والعصعصية، والتي تتحكم في العديد من الوظائف الحسية والحركية في الحوض والأطراف السفلية.
الضفيرة العجزية والعصعصية
تتكون الضفيرة العجزية من الأعصاب الشوكية L4 و L5 و S1 و S2 و S3 وجزء من S4. تُعد هذه الضفيرة مسؤولة عن تزويد الأعصاب الحركية والحسية لمنطقة الحوض والأرداف والعجان والفخذ الخلفي ومعظم الجزء السفلي من الساق والقدم بالكامل وجزء من مفصل الورك. من أهم الأعصاب المتفرعة منها:
- العصب الألوي العلوي: يغذي عضلات الألوية الصغرى والمتوسطة والعضلة الموترة للفافة العريضة.
- العصب الألوي السفلي: يغذي العضلة الألوية الكبرى.
- الضفيرة الفرجية (Pudendal Plexus): تتكون من S3 و S4 وأجزاء من S1 و S2. يُعد العصب الفرجي (Pudendal nerve) حيويًا للتحكم في وظائف الأمعاء والمثانة والوظيفة الجنسية. يجب الحفاظ عليه بدقة أثناء الجراحة. تُعطي هذه الضفيرة فروعًا عضلية للعضلة الرافعة للشرج والعضلة العصعصية والعضلة العاصرة الشرجية الخارجية، وفروعًا حشوية للمثانة والمستقيم والمهبل (لدى الإناث).
- العصب الوركي (Sciatic nerve): هو أطول وأوسع عصب في جسم الإنسان، ويغذي عضلات الفخذ الخلفية ومعظم الساق والقدم.



التشريح الوعائي
تُعد المنطقة العجزية غنية بالإمداد الدموي، وتشمل الشرايين الرئيسية التي تغذي أورام العجز الشريان الحرقفي الداخلي، الشريان الفرجي الداخلي، الشريان الألوي العلوي، الشريان الألوي السفلي، الشريان المثاني، الشريان المستقيمي، الشريان الحرقفي القطني، والشريان العجزي الجانبي. يجب التعامل مع هذه الأوعية الدموية بحذر شديد أثناء الجراحة لتقليل فقدان الدم.






مفصل العجز الحرقفي
هو مفصل زلالي يربط العجز بعظم الحرقفة. تتميز أسطح المفصل بتعقيدات تمنحه استقرارًا ميكانيكيًا. تُعد الأربطة العجزية الحرقفية بين العظام والأمامية والخلفية هي الأقوى في هذه المنطقة وتعمل على تقوية المفصل. قد يؤثر استئصال جزء من العجز على قدرة تحمل المفصل، مما يستدعي أحيانًا إعادة البناء.
العضلات والأربطة
تشمل العضلات والأربطة الهامة في منطقة العجز:
* العضلة الألوية الكبرى: تنشأ من العجز والعصعص وتغطي مفصل العجز الحرقفي.
* العضلة الكمثرية (Piriformis): تنشأ من الجزء الأمامي للعجز وتمر عبر الثقبة الوركية الكبرى.
* الرباط العجزي الحدبي والرباط العجزي الشوكي: يلعبان دورًا في تكوين الثقبتين الوركيتين الكبرى والصغرى.
يُظهر هذا التعقيد التشريحي لماذا تتطلب جراحة أورام العجز جراحًا ذا خبرة عالية مثل الأستاذ الدكتور محمد هطيف، الذي يمتلك المعرفة الدقيقة بهذه الهياكل ويطبق مبادئ التشريح الدقيقة لضمان سلامة المريض والحفاظ على وظائفه الحيوية.

أنواع أورام العجز
يمكن تصنيف أورام العجز إلى عدة أنواع، بناءً على طبيعتها (حميدة أو خبيثة) ومصدرها (أولية أو نقيلية).
الأورام الأولية
تنقسم الأورام الأولية التي تنشأ في العجز نفسه إلى:
- الأورام الحميدة:
- الورم الأرومي العملاق (Giant cell tumor): هو الورم الحميد الأكثر شيوعًا في العجز.
- الورم الشفاني (Schwannoma): ينشأ من العناصر العصبية وليس من العجز نفسه، ولكنه يُصنف ضمن أورام العجز لتشابهه السريري وطرق علاجه.
- الأورام الخبيثة:
- الورم الحبلي (Chordoma): هو الورم الخبيث الأولي الأكثر شيوعًا في العجز، وغالبًا ما يكون منخفض الدرجة وغير مرجح أن يؤدي إلى انتشار ورمي بعيد.
- الورم الغضروفي (Chondrosarcoma): يأتي في المرتبة الثانية بعد الورم الحبلي.
- ورم إيوينغ (Ewing sarcoma): نوع آخر من الأورام الخبيثة الأولية.
الأورام النقيلية
تُعد الأورام النقيلية، التي تنتشر إلى العجز من سرطانات أخرى في الجسم (مثل سرطان الثدي، الرئة، البروستاتا، الكلى)، أكثر شيوعًا من الأورام الأولية. يتطلب علاجها تقييمًا فرديًا لكل حالة.

الأسباب وعوامل الخطر
بالنسبة للأورام الأولية في العجز، غالبًا ما تكون الأسباب الدقيقة غير معروفة. يُعتقد أن بعضها قد يكون مرتبطًا بتغيرات جينية أو عوامل بيئية، ولكن الأبحاث لا تزال جارية في هذا المجال. أما الأورام النقيلية، فسببها واضح وهو انتشار الخلايا السرطانية من ورم خبيث في جزء آخر من الجسم عبر مجرى الدم أو الجهاز اللمفاوي.

الأعراض والعلامات التحذيرية لأورام العجز
تتطور أعراض أورام العجز عادةً بشكل تدريجي على مدى شهور أو سنوات، وقد تكون غير محددة في البداية، مما يجعل التشخيص المبكر تحديًا. من الأعراض الشائعة التي يجب الانتباه إليها:
- ألم أسفل الظهر أو العصعص المزمن: غالبًا ما يكون ألمًا خفيفًا ومستمرًا، وقد يُشخص خطأً على أنه انزلاق غضروفي قطني.
- تغيرات في عادات الأمعاء أو التبول: قد يلاحظ المرضى صعوبة في التحكم في البراز (سلس البراز) أو البول (سلس البول)، أو تغيرات في وتيرة التبرز أو التبول، وذلك بسبب ضغط الورم على الأعصاب المسؤولة عن هذه الوظائف.
- صعوبة في المشي (Ambulation dysfunction): في حالات نادرة، قد يؤدي الورم إلى ضعف في الساقين أو صعوبة في المشي.
- كتلة محسوسة: في بعض الحالات، وخاصة الأورام الكبيرة مثل الورم الحبلي أو الورم الغضروفي، قد تكون هناك كتلة محسوسة في الأرداف أو يمكن جسها أثناء الفحص الشرجي.
- ألم شديد: قد يعاني المرضى المصابون بأورام خبيثة عالية الدرجة من ألم شديد ومستمر لأسابيع أو شهور، مما يجبرهم على اتخاذ وضعيات معينة لتخفيف الألم.
إذا كنت تعاني من أي من هذه الأعراض، خاصةً الألم المزمن في أسفل الظهر المصحوب بتغيرات في وظائف الأمعاء أو المثانة، فمن الضروري استشارة طبيب متخصص على الفور. الأستاذ الدكتور محمد هطيف في صنعاء يقدم تقييمًا دقيقًا وشاملاً لتشخيص هذه الحالات المعقدة.

التشخيص الدقيق لأورام العجز
يعتمد التشخيص الدقيق لأورام العجز على مجموعة من الفحوصات التصويرية والخزعات. يضمن الأستاذ الدكتور محمد هطيف استخدام أحدث التقنيات التشخيصية لتحديد طبيعة الورم وحجمه وموقعه بدقة، وهو أمر بالغ الأهمية لتخطيط العلاج الأمثل.
التصوير بالأشعة السينية العادية
قد تكون صور الأشعة السينية العادية غير واضحة في المراحل المبكرة من المرض. ومع ذلك، يمكن أن تساعد في تشخيص بعض الأورام، مثل الورم الحبلي الذي غالبًا ما يقع في الجزء السفلي من العجز، أو الأورام الكبيرة والمحللة تمامًا مثل ورم الخلايا العملاقة أو الكيس العظمي المتمدد في الجزء العلوي من العجز. تُعد الأشعة السينية ضرورية لإعطاء نظرة عامة ومتابعة ما بعد الجراحة.




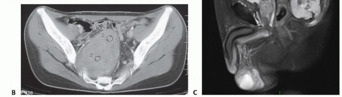
التصوير المقطعي المحوسب والرنين المغناطيسي
- التصوير المقطعي المحوسب (CT): يُعد بتقنية التباين الوريدي الأسلوب الأمثل لتقييم مدى انتشار الورم في العظم وتدميره، والتكلسات المحتملة، والموقع التشريحي، والإمداد الدموي، وعلاقة الورم بالأعضاء الحشوية. يساعد في التفريق بين الأورام الحميدة والخبيثة.
- التصوير بالرنين المغناطيسي (MRI): بتقنية التباين، يُعد حاسمًا لتصوير الأنسجة الرخوة ومدى انتشار الورم فيها، وعلاقته بالأنسجة المحيطة (مثل الأوعية الدموية والأعصاب والعضلات والأعضاء الحشوية). يُعتبر الأسلوب الأمثل لتصوير الأنسجة الرخوة نظرًا لقدرته الفائقة على التمييز مقارنةً بالتصوير المقطعي.




مسح العظام
قد يكشف مسح العظام أحيانًا عن آفات عجزية صغيرة لا تظهر بوضوح في الأشعة الأخرى، ويُستخدم عادة لاستبعاد الأمراض الجهازية (مثل النقائل).
تصوير الأوعية الدموية
ضروري للأورام العجزية الخبيثة. يساعد في تحديد الإمداد الدموي للورم والهياكل الوعائية المحيطة لتقييم مخاطر الجراحة. يُعد الانصمام الانتقائي للأوعية الدموية المغذية للورم قبل الجراحة أمرًا بالغ الأهمية لتقليل فقدان الدم أثناء العملية.


التصوير المقطعي بالإصدار البوزيتروني
يمكن استخدامه لتقييم أورام العجز الخبيثة، وخاصة الأمراض النقيلية، وللكشف عن الآفات متعددة البؤر ومراقبة تكرار الورم الموضعي.
الخزعة
تُعد الخزعة ذات قيمة كبيرة للتدخل الجراحي النهائي. الغرض منها هو الحصول على تشخيص دقيق للورم (حميد مقابل خبيث)، ودرجة الورم (عالية مقابل منخفضة)، ونوع الورم المحدد. تُعد خزعة الإبرة الأساسية هي التقنية الأكثر شيوعًا. يجب تخطيط الخزعة جيدًا واتباع الإرشادات المعمول بها لتقليل تلوث الأنسجة السليمة.



العلاج الجراحي لأورام العجز
يُعد العلاج الجراحي هو الخيار الأساسي للعديد من أورام العجز. تتطلب هذه الجراحات تخطيطًا دقيقًا وخبرة جراحية عالية لضمان استئصال الورم بالكامل مع الحفاظ على وظائف الأعضاء الحيوية، خاصةً التحكم في الأمعاء والمثانة. يتميز الأستاذ الدكتور محمد هطيف في صنعاء بخبرته الواسعة في إجراء هذه العمليات المعقدة، مستخدمًا أحدث التقنيات لتقديم أفضل رعاية ممكنة لمرضاه.
دواعي الجراحة
- للأورام الحميدة/المتوسطة الأولية (مثل ورم الخلايا العملاقة، الورم الشفاني): يُوصى باستئصال الورم أو الكشط أو مزيج منهما. قد يكون الهامش داخل الآفة مقبولاً.
- للأورام الخبيثة الأولية (مثل الورم الحبلي، الورم الغضروفي، ورم إيوينغ): يتطلب استئصال الورم بهامش واسع أو هامش حافي.
- للأورام النقيلية: تُقيّم العلاجات الجراحية على أساس كل حالة على حدة، وتشمل الخيارات الاستئصال والكشط والاستئصال بالترددات الراديوية.
- للساركوما الأنسجة الرخوة المجاورة التي تشمل العجز: يُوصى باستئصال الورم والعجز المصاب بشكل كامل (en bloc).
التخطيط قبل الجراحة
يُعد التخطيط الدقيق قبل الجراحة أمرًا حاسمًا لنجاح العملية. يقوم الأستاذ الدكتور محمد هطيف بمراجعة شاملة لجميع صور ما قبل الجراحة (الأشعة السينية، التصوير المقطعي، الرنين المغناطيسي، تصوير الأوعية الدموية) لتحديد خطة جراحية واضحة وتقييم الدواعي والمخاطر.
- تحديد مدى الاستئصال: يجب تحديد المدى العلوي للاستئصال بدقة لتحقيق استئصال فعال. الهدف هو إنقاذ أكبر عدد ممكن من الأعصاب العجزية مع الحفاظ على هوامش جيدة.
- الانصمام الشرياني: يُوصى بالانصمام الشرياني (سد الأوعية الدموية المغذية للورم) قبل 12 إلى 24 ساعة من الجراحة لتقليل فقدان الدم.
- التحضير للدم: يجب تجهيز كميات كافية من الدم (خلايا الدم الحمراء، البلازما، الصفائح الدموية) قبل الجراحة.
- التحضير للمريض: تُعطى المضادات الحيوية الفموية قبل 24 ساعة من الجراحة، ويتم إجراء حقنة شرجية لتنظيف الأمعاء قبل 12 ساعة. يتم وضع قسطرة فولي وأنبوب مستقيمي لحماية الحالب والمثانة والمستقيم أثناء العملية.
- التنسيق مع الأقسام الأخرى: التنسيق المناسب مع أطباء المسالك البولية والجراحين العامين مهم إذا كان هناك تورط في القولون أو المثانة.
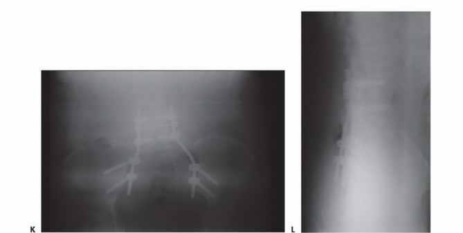
- التقنيات المتقدمة: في الحالات التي يتم فيها التخطيط لجراحة بمساعدة الملاحة الحاسوبية، يتم دمج صور التصوير المقطعي والرنين المغناطيسي وتصميم الجراحة بالتفصيل.




وضعية المريض والأساليب الجراحية
- الوضع الخلفي: يُوضع المريض في وضعية الانبطاح (على البطن) للوصول الخلفي.
- الوضع الجانبي: يُوضع المريض في وضعية جانبية للوصول الأمامي الخلفي (الوصول البطني العجزي المشترك).
الوصول الخلفي: يتم إجراء شق طولي في خط الوسط من L5 إلى العصعص. إذا كان الورم كبيرًا جدًا، يمكن إضافة شقين عرضيين، ليُشكل الشق الكلي شكل حرف Y أو H عرضي.
الوصول الأمامي الخلفي (الوصول البطني العجزي المشترك): هو مزيج من الشق الخلفي وشق مكبرني الممتد، الذي يبدأ من أدنى ضلع جانبي وينتهي عند قمة الحديبة العانية.
تقنيات الاستئصال الجراحي
يقوم الأستاذ الدكتور محمد هطيف بتطبيق تقنيات جراحية متقدمة لضمان الاستئصال الآمن والفعال لأورام العجز، مع إيلاء اهتمام خاص للحفاظ على الأعصاب الحيوية.
استئصال ورم العجز عبر الوصول الأمامي الخلفي
يُوضع المريض في وضعية جانبية (وضعية البطن العجزية الجانبية المشتركة).
-
الوصول الأمامي: يتم إجراء شق مكبرني ممتد أولاً. من خلال هذا الشق، يتم استكشاف الفضاء خلف الصفاق عن طريق تشريح عضلات جدار البطن. يتم دفع محتويات البطن إلى الجانب المقابل من البطن، مع حماية الحالبين. ثم يتم كشف الشريان الأبهر البطني والأوعية الحرقفية والأوعية العجزية الوسطى. في معظم الحالات، يمكن استئصال الورم الشفاني بهذا الشق فقط. يقلل هذا الشق من خطر النزيف عن طريق ربط الشريان الحرقفي الداخلي من نفس الجانب وحجب الشريان الأبهر مؤقتًا.
- ربط الأوعية العجزية الوسطى: تُصاحب الأوردة الوسطى الأعصاب العجزية، وتتفاغر مع بعضها البعض أمام العجز لتشكيل الضفيرة الوريدية أمام العجز.
- التعامل مع الأورام الكبيرة: عندما تمتد الأورام الكبيرة أماميًا إلى الحوض، يكون التشريح الحذر للورم من الأوعية الحيوية ضروريًا لتجنب إصابات الأوعية غير الضرورية وفقدان الدم المفرط.
- استئصال العجز الكلي: لتحرير السطح الأمامي للفقرتين العجزيتين الأوليين، تُقطع جذور الأعصاب S1-S3 بطنيًا، ويجب ربط الشرايين والأوردة المصاحبة.
-
الوصول الخلفي: يبدأ الشق الخلفي من الناتئ الشوكي القطني ويمتد إلى 3 سم فوق العصعص. يمكن تعديل الشق إلى شكل H عرضي أو Y. في حالة وجود خزعة مفتوحة سابقة، يجب عمل شق بيضاوي لاستئصال مسار الخزعة بالكامل مع الورم.
قطع العظم العجزي
يتم تحديد مستوى قطع العظم العجزي بدقة باستخدام الكي الكهربائي، بقياس المسافة بين العصعص والمستوى المخطط له قبل الجراحة. تُقطع عضلات الألوية الكبرى على بعد 1 سم من نقطة ارتباطها بالعجز. تُربط الأوعية الدموية في عضلات الألوية بعناية. تُفصل عضلات الظهر المنتصبة إذا لم تكن متورطة.
بعد قطع الأربطة من الجوانب الأمامية والجانبية للعصعص، يتم دفع الأنسجة الدهنية الصفراء الموجودة أمام العجز أماميًا لخلق مساحة لقطع ارتباطات عضلات قاع الحوض في العجز. ثم يتم قطع الرباط العجزي الحدبي والرباط العجزي الشوكي.
يتم بعد ذلك كشف العضلة الكمثرية. تُطبق شاشات مبللة في الفضاء أمام العجز لتشريح كبسولة الورم الكاذبة من المستقيم. بعد تقسيم الرفاء العصعصي الشرجي، يتم إجراء تشريح لطيف بالأصابع لمسافة قصيرة على السطح الأمامي للأمعاء حتى يتم الوصول إلى مستوى التش
































آلام العظام والمفاصل المزمنة ليس قدراً محتوماً! التشخيص الدقيق والعلاج المتخصص يمكن أن يعيد لك كامل وظيفتك وحريتك في الحركة بدون ألم.
للحصول على استشارة دقيقة وخطة علاجية مخصصة لحالتك، تواصل فوراً مع مركز الأستاذ الدكتور محمد هطيف:
الأستاذ الدكتور محمد هطيف - أفضل دكتور عظام في صنعاء، وخبير في جراحات العظام والمفاصل المتقدمة.
مواضيع أخرى قد تهمك