استبدال عظم الفخذ البعيد: مفتاح إنقاذ الأطراف الحديث في جراحة الأورام العظمية

الخلاصة الطبية
استبدال عظم الفخذ البعيد هو إجراء جراحي متقدم لإنقاذ الأطراف بعد استئصال الأورام العظمية الخبيثة، خاصة في منطقة الركبة. يعتمد على زرع طرف صناعي معياري لتعويض الجزء المستأصل، مما يحافظ على وظيفة الطرف ويجنب البتر.
الخلاصة الطبية السريعة: استبدال عظم الفخذ البعيد هو إجراء جراحي متقدم لإنقاذ الأطراف بعد استئصال الأورام العظمية الخبيثة، خاصة في منطقة الركبة. يعتمد على زرع طرف صناعي معياري لتعويض الجزء المستأصل، مما يحافظ على وظيفة الطرف ويجنب البتر.
مقدمة
لطالما كانت الأورام الخبيثة التي تصيب الأطراف تحديًا كبيرًا في عالم الطب، حيث كان البتر هو الحل الجراحي التقليدي لضمان السيطرة على المرض. لكن بفضل التطورات الهائلة في جراحة العظام والأورام، شهدنا تحولًا جذريًا نحو مفهوم "إنقاذ الأطراف" (Limb Salvage)، وهو نهج يهدف إلى استئصال الورم مع الحفاظ على الطرف المصاب ووظيفته قدر الإمكان. يُعد استبدال عظم الفخذ البعيد أحد أبرز هذه التطورات، خاصة وأن عظم الفخذ البعيد هو الموقع الأكثر شيوعًا للأورام العظمية الأولية.
في السنوات الأخيرة، أصبحت جراحة إنقاذ الأطراف خيارًا متاحًا لأكثر من 90-95% من مرضى الأورام الذين يتلقون العلاج في المراكز المتخصصة في أورام الجهاز العضلي الهيكلي. هذا التقدم المذهل لم يكن ليتحقق لولا تضافر جهود عديدة، بما في ذلك الفهم الأعمق لنمو الأورام وانتشارها، وتحديد الهوامش الجراحية المناسبة، واستخدام العلاج الكيميائي الفعال قبل الجراحة، وتطوير تقنيات هندسية ومواد متقدمة للأطراف الصناعية.
يُقدم الأستاذ الدكتور محمد هطيف، بصفته أحد أبرز خبراء جراحة العظام والأورام في صنعاء واليمن، حلولًا متكاملة ومبتكرة في مجال استبدال عظم الفخذ البعيد وعمليات إنقاذ الأطراف الأخرى. يحرص الدكتور هطيف على تطبيق أحدث التقنيات العالمية لضمان أفضل النتائج الوظيفية والسريرية لمرضاه، مع التركيز على الجودة والدقة في كل خطوة من خطوات العلاج.
يهدف هذا الدليل الشامل إلى تزويد المرضى وعائلاتهم بمعلومات مفصلة حول استبدال عظم الفخذ البعيد، تاريخه، أنواعه، معايير اختيار المرضى، الإرشادات الجراحية، النتائج المتوقعة، والمضاعفات المحتملة، مع تسليط الضوء على الدور الريادي للأستاذ الدكتور محمد هطيف في هذا المجال الحيوي.
تطور جراحة إنقاذ الأطراف
شهدت جراحة إنقاذ الأطراف تطورًا ملحوظًا في فترة زمنية قصيرة نسبيًا. في ستينيات وسبعينيات القرن الماضي، كان النهج التقليدي لعلاج الساركوما (الأورام اللحمية) هو البتر الفوري للطرف لضمان السيطرة المحلية على المرض. عمل الرواد الأوائل في جراحة أورام العظام بجد لتحديد المستوى الأمثل للبتر وتطوير تقنيات لإدارة الجروح بعد عمليات البتر الكبيرة.
ومع ذلك، فشلت هذه الإدارة الجراحية العدوانية في التأثير على معدل بقاء المرضى الإجمالي، حيث توفي معظمهم بسبب المرض المنتشر (النقائل). لم تظهر بدائل للبتر إلا بعد إدخال بروتوكولات العلاج الكيميائي الفعالة القائمة على الدوكسوروبيسين والميثوتريكسات في أوائل السبعينيات. بدأ عدد قليل من الجراحين في تحدي فكرة البتر في الأطفال والبالغين المصابين بساركوما العظام. كان ماركوف، فرانسيس، وإينيكينج من بين الرواد الذين طوروا الأساس المنطقي والتقنيات الأساسية المستخدمة في جراحة إنقاذ الأطراف.
كان فرانسيس وماركوف أول من طور أطرافًا صناعية داخلية لتعويض العظام المستأصلة لمرضى الأورام في الولايات المتحدة. بدأت جراحة إنقاذ الأطراف بعدد قليل جدًا من المرضى المختارين بعناية ممن يعانون من الساركوما العظمية في الأطراف، واليوم أصبحت خيارًا علاجيًا لمعظم ساركوما العظام والأنسجة الرخوة، ليس فقط في الأطراف ولكن أيضًا في الحوض وحزام الكتف.
تطلب هذا التغيير الدراماتيكي في رعاية المرضى تقدمًا كبيرًا على جبهات عديدة، بما في ذلك:
* فهم أفضل لنمو الورم وانتشاره.
* تحديد الهوامش الجراحية المناسبة.
* استخدام العلاج الكيميائي التحفيزي الفعال (المساعد الجديد أو قبل الجراحة).
* تطوير طرق محسنة للحفاظ على الأوعية الدموية للأنسجة الرخوة.
* فهم أعمق للميكانيكا الحيوية الهيكلية.
* هندسة المواد وتقنيات التصنيع المتقدمة.
* تطوير أطراف صناعية معيارية مستقرة بطبيعتها.
تتضمن جراحة إنقاذ الأطراف الناجحة ثلاث مراحل مترابطة تُنفذ بالتسلسل:
1.
استئصال الورم بهوامش أورام مناسبة.
2.
إعادة بناء وتثبيت العظم والمفاصل المتضررة.
3.
استعادة الغلاف النسيجي الرخو لتغطية الطرف الصناعي ووظيفته.
تاريخ إعادة بناء الأطراف الصناعية الداخلية
في عام 1943، كان أوستن مور وهارولد بولمان أول من نشر مثالًا لإعادة بناء طرف صناعي داخلي لورم عظمي، يتكون من عظم فخذ قريب فيتاليم مصمم خصيصًا لمريض مصاب بورم الخلايا العملاقة في العظم. في أوائل السبعينيات، دشّن فرانسيس وماركوف العصر الحالي لإعادة بناء الأطراف الصناعية الداخلية من خلال تطوير أطراف صناعية لتحل محل عظم الفخذ البعيد وعظم الفخذ بالكامل بعد الاستئصال الجذري للساركوما العظمية.
كان أحد العيوب الرئيسية لهذه الزرعات المخصصة هو الوقت الطويل اللازم لتصنيعها، والذي كان يتراوح من 6 إلى 12 أسبوعًا، وخلال هذه الفترة يمكن أن يتطور ورم المريض بشكل كبير. أدى ذلك إلى تطوير مفهوم العلاج الكيميائي التحفيزي (الذي كان يسمى في البداية "قبل الجراحة" أو "المساعد الجديد")، حيث كانت العقاقير التي أثبتت فعاليتها حديثًا، الدوكسوروبيسين والميثوتريكسات، تُعطى خلال الفترة الفاصلة بين التشخيص وتسليم الزرعة المخصصة المصنعة. وقد أثبت كلا العقارين للتو نشاطهما ضد ساركوما العظام. ومنذ ذلك الحين، تم اعتماد العلاج الكيميائي التحفيزي في إدارة مجموعة متزايدة من أنواع السرطان الأخرى.
مع تزايد الطلب على إعادة بناء الأطراف الصناعية الداخلية، توفرت مجموعة واسعة من الزرعات المخصصة من عدد من الشركات المصنعة لتقويم العظام. ومع ذلك، عانى العديد من هذه الزرعات المبكرة من عيوب في التصميم وأخطاء في التصنيع، مما أدى إلى مشاكل كبيرة في فشل الزرعات.
ولكن، تم تطبيق تقنيات المواد والتصنيع المحسنة التي طُورت لسوق استبدال المفاصل الكلي المربح والمتوسع باستمرار على هذه الأطراف الصناعية "العملاقة". تبع اعتماد المفصل الدوار للزرعات حول الركبة والرؤوس ثنائية القطب للورك الاستخدام الناجح لهذه التصميمات في استبدال المفاصل الكلي. على الرغم من أن هذه التطورات حسنت بشكل كبير أداء الزرعات المخصصة، إلا أن المشاكل المتعلقة بالوقت المطلوب للتصنيع ونقص المرونة وقت الزرع أعاقت القبول الواسع لإعادة بناء الأطراف الصناعية الداخلية المخصصة.
استجابت الشركات المصنعة لهذه المشكلة من خلال دمج مفهوم الوحدات المعيارية، وتكييف المفاهيم والتصميمات من أطراف الورك والركبة الكلية المعيارية لتطوير أنظمة أطراف صناعية داخلية قابلة للتبديل وسهلة التجميع. على الرغم من أن الوحدات المعيارية زادت من تعقيد التركيب الميكانيكي وحملت خطر الفشل المرتبط بمجموع جميع المكونات، إلا أن هذه المشاكل المحتملة كانت تفوقها بسهولة الفوائد الكبيرة.
الميزة الأساسية للطرف الصناعي الداخلي المعياري هي مرونة النظام: يمكن للجراح التركيز على إجراء أفضل استئصال للأورام ممكن مع العلم أن أي تغييرات في خطة ما قبل الجراحة يمكن استيعابها عن طريق اختيار المكونات التي تتناسب بشكل أمثل مع تشريح المريض وعيوبه الهيكلية الفعلية. تسمح المكونات التجريبية المعيارية للجراح بخلط القطع ومطابقتها واختبار إعادة البناء قبل اختيار وتجميع الطرف الصناعي النهائي الفعلي.
يسمح توحيد المكونات للشركة المصنعة للزرعات بزيادة مستوى مراقبة الجودة بشكل كبير مع تقليل التكلفة الإجمالية للتصنيع من خلال وفورات الحجم. تقلل الأنظمة المعيارية من المخزون الإجمالي ووقت التسليم مع توفير مجموعة كبيرة من أشكال وأحجام الأطراف الصناعية. تسمح الأنظمة المعيارية للمستشفيات بالحفاظ على مخزون في الموقع مما أتاح توفر هذه الأنظمة على الفور كخيار احتياطي للمرضى غير المصابين بالأورام، مثل أولئك الذين يخضعون لجراحة مراجعة مفصل صعبة أو المرضى الذين يعانون من كسور كبيرة حول المفصل.
كان نظام الأطراف الصناعية الداخلية المعياري من الجيل الأول هو نظام Howmedica Modular Replacement System (HMRS)، المصمم والمصنع في أوروبا. تميز هذا النظام بسيقان داخل النخاع مثبتة بالضغط بدون أسمنت مدعومة بفلنجات خارجية ومسامير تثبيت قشرية، بينما كانت آلية الركبة تتكون من تصميم مفصلي بسيط. على الرغم من أن النظام كان معياريًا حقًا، إلا أن النتائج طويلة الأمد في الممارسة السريرية كانت مخيبة للآمال. تضمنت المشاكل الكبيرة التي واجهت هذا الجهاز ارتخاء الساق غير المعدي (تحلل العظم)، وتغطية إجهاد كبيرة مع ارتشاف العظم، وكسر المسمار وهجرته، ومعدل فشل بوليمر أعلى من 40% لآلية الركبة. ونتيجة لذلك، نادرًا ما استخدم هذا النظام في الولايات المتحدة.
مثال على نظام معياري من الجيل الثاني هو الطرف الصناعي الداخلي السرج (Waldemar-Link Mark II Endo-Model Modular Saddle Prosthesis). تم تعديل هذا الطرف الصناعي، الذي صُمم في الأصل لعلاج بدائل مفصل الورك الكلي الفاشلة المصابة، للسماح بإعادة بناء الورك بعد استئصال الحوض. الميزة الفريدة لهذا النظام هي السرج نفسه، وهو مكون على شكل حرف U يلتف حول الحرقفة، مما يسمح بالحركة في الثني والتمديد والتبعيد والتقريب في المستويين الأمامي الخلفي والجانبي مقابل العظم. يتم ربط السرج بحلقة دوارة مبطنة بالبوليمر، مما يزيد من درجة الحرية ويسمح بدوران الورك. يتم ربط هذه المكونات بسلسلة من الأجسام المعيارية القابلة للتبديل التي تتصل بدورها بساق فخذي قياسي مثبت بالأسمنت. يحافظ هذا الجهاز على طول الطرف بعد استئصال المنطقة المحيطة بالحُق (على سبيل المثال، استئصال الحوض من النوع الثاني، استئصال نصف الحوض الداخلي المعدل) بينما يعمل كطرف صناعي لمفصل الورك الكلي. كانت النتائج السريرية والوظيفية بعد إعادة بناء السرج للحوض بهذا النظام واعدة.
تم إدخال أول نظام معياري عالمي ناجح في عام 1988 كنظام الاستبدال القطاعي المعياري (MSRS)، والذي أعيد تسميته لاحقًا إلى نظام الاستبدال المعياري (MRS) وهو متاح الآن كنظام الاستبدال المعياري العالمي المحدث (GMRS). تم تصميم هذا النظام لتوفير بدائل معيارية لعظم العضد القريب، وعظم الفخذ القريب، وعظم الفخذ الكلي، وعظم الفخذ البعيد، وقصبة الساق القريبة، وكان له دور فعال في الاعتماد الواسع النطاق لإعادة بناء الأطراف الصناعية الداخلية بعد استئصال العظام القطاعي. أدت الشعبية المتزايدة لإعادة بناء الأطراف الصناعية الداخلية إلى إدخال أنظمة معيارية مماثلة من العديد من الشركات المصنعة لتقويم العظام. ومع ذلك، لا تزال الشركات المصنعة للأطراف الصناعية الحالية تقدم حلولًا مخصصة للمشاكل التشريحية الصعبة. غالبًا ما تتكون هذه الأطراف الصناعية المخصصة من وحدة مخصصة متصلة بنظام معياري موجود لضمان أقصى قدر من المرونة.
أنواع عمليات استبدال الأطراف الصناعية
يقدم الأستاذ الدكتور محمد هطيف في عيادته في صنعاء مجموعة واسعة من عمليات استبدال الأطراف الصناعية الداخلية، والتي تُصمم خصيصًا لتلبية احتياجات كل مريض بناءً على موقع الورم وحجمه. فيما يلي أمثلة محددة لإعادة بناء الأطراف الصناعية الداخلية:
أورام مفصل الورك
تعد الأورام التي تصيب عظم الفخذ القريب شائعة للغاية وتشمل كلاً من الساركوما الأولية والسرطانات النقيلية. يمكن بسهولة استبدال عظم الفخذ القريب بعد استئصال ورم أولي أو كسر في آفة نقيلية تحت المدور. يُستخدم مفصل الورك الجزئي ثنائي القطب (bipolar hemiarthroplasty) لمفصل الورك، مع إعادة بناء الأنسجة الرخوة لمحفظة الورك لتقليل خطر الخلع. يتم إعادة بناء عضلات الورك المبعدة مباشرة عبر ثقوب أو حلقات موضوعة جانبيًا، أو إذا تم حفظ جزء من المدور، باستخدام مخلب مدوري مع كابلات تثبيت.
أقل شيوعًا هي عمليات استئصال مفصل الورك بالكامل (على سبيل المثال، استئصال الحوض من النوع الثاني وتعديلاته). يمكن إعادة بناء هذا العيب باستخدام طرف صناعي سرجي أو باستخدام الأطراف الصناعية الحوضية الجزئية المصممة حديثًا والتي تتصل بالحرقفة المتبقية. يتم تحقيق الثبات عن طريق موازنة توتر العضلات بين العضلة الحرقفية القطنية الإنسية والعضلات المبعدة للورك الجانبية.
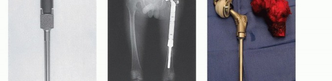
استبدال عظم الفخذ البعيد
يُعد عظم الفخذ البعيد هو الموقع الأكثر شيوعًا للأورام العظمية الأولية. تتطلب إعادة بناء الطرف الصناعي الداخلي في هذه المنطقة (شكل 5) مزيجًا فريدًا من المرونة والاستقرار الكلي، حيث يتم إزالة محفظة الركبة والأربطة الصليبية والجانبية أثناء الاستئصال. يسمح مفصل الركبة المفصلي الدوار الحركي (Kinematic rotating hinge knee) والتصميمات المفصلية المماثلة المقيدة جزئيًا بمدى كبير من الثني والتمديد، بالإضافة إلى الدوران حول المحور التشريحي للركبة، مع توفير استقرار متأصل في المستويين الفاروس-فالجوس والأمامي الخلفي. نادرًا ما تكون إعادة بناء آلية الباسطة ضرورية، حيث يمكن غالبًا إنقاذ الرضفة أثناء الاستئصال. يمكن إعادة تسطيح الرضفة ولكنها غالبًا ما تكون غير ضرورية.
يُعتبر الأستاذ الدكتور محمد هطيف رائدًا في إجراءات استبدال عظم الفخذ البعيد في صنعاء، مستخدمًا أحدث الأنظمة المعيارية لضمان أفضل النتائج الوظيفية للمرضى.
استبدال عظم الفخذ بالكامل
يمكن علاج المرضى الذين يعانون من أورام داخل النخاع واسعة النطاق (مثل ساركوما إيوينج أو الساركوما العظمية النادرة في جسم العظم)، وكذلك المرضى الذين يعانون من فشل متعدد في المفاصل الكلية وقلة مخزون العظام المتبقي، باستبدال عظم الفخذ بالكامل (شكل 6). توفر الأنظمة المعيارية حلاً متاحًا بسهولة من خلال الجمع بين مكونات عظم الفخذ البعيد والقريب بواسطة أجزاء داخلية. أثبت هذا النوع من إعادة البناء أنه متين للغاية نظرًا للجمع بين درجة الحرية العالية المرتبطة بالمفصلين المنفصلين ولكن المترابطين.
استبدال قصبة الساق القريبة
تتميز قصبة الساق تشريحيًا بحدها الأمامي تحت الجلد ورباط الرضفة. أدى الاستخدام الروتيني لرفرفة عضلية من الساق (gastrocnemius rotation flap) إلى تقليل كبير في حدوث المضاعفات بعد الجراحة، ويمكن أن تؤدي إعادة بناء مركب لوصلة الوتر والعناية الدقيقة بإعادة التأهيل بعد الجراحة إلى الحد الأدنى من تأخر الباسطة. يتم ضمان استقرار المفصل في الركبة باستخدام نفس تصميم المفصل الدوار المستخدم في استبدال عظم الفخذ البعيد (شكل 7).
استبدال عظم العضد القريب
تتطلب الساركوما عالية الدرجة في عظم العضد القريب استئصالًا خارج المفصل، بما في ذلك الكفة المدورة وعضلات الدالية بالكامل، لتقليل خطر تكرار الورم محليًا (شكل 8). وفقًا لذلك، قد تكون النتيجة الوظيفية النهائية مقيدة بشكل كبير. يثبت مزيج من التعليق الساكن والديناميكي، بما في ذلك نقل العضلة الصدرية، عظم العضد القريب إلى لوح الكتف، مما يسمح باستخدام الكوع والمعصم واليد بدون ألم وبشكل وظيفي.
يمكن علاج الأورام منخفضة الدرجة باستئصال داخل المفصل؛ يمكن أن يؤدي الحفاظ على الكفة المدورة والعضلة الدالية إلى وظيفة قابلة للمقارنة بتلك التي توفرها بدائل الكتف الكلية.
استبدال لوح الكتف
بعد استئصال لوح الكتف، يؤدي استبدال لوح الكتف ومفصل الكتف الكروي بعظم صناعي داخلي إلى إبعاد عظم العضد وتحسين استقرار ووظيفة الكتف (شكل 9). تتميز تصميمات لوح الكتف الجديدة بوجود مفصل قفل لتحسين الاستقرار، بينما يساعد استخدام طعم وعائي واسع القطر من Gore-Tex لإعادة بناء محفظة المفصل على ضمان الاستقرار الأمثل.
كما هو الحال مع استبدال عظم العضد القريب، تعتمد النتيجة الوظيفية النهائية على كمية العضلات التي يمكن الحفاظ عليها أثناء الاستئصال. تكون عمليات نقل العضلات المتعددة ضرورية لتثبيت وتزويد الطرف الصناعي بالطاقة، وكذلك لتوفير تغطية كافية.
استبدال مفصل المرفق
لا يتأثر مفصل المرفق غالبًا بالساركوما أو المرض النقيلي. يمكن استخدام أطراف صناعية مفصلية مخصصة ذات سيقان صغيرة لتناسب الزند شريطة أن تظل الأنسجة الرخوة كافية لتغطية الطرف الصناعي. تعتمد الوظيفة على الحفاظ على وتر العضلة ذات الرأسين.
استبدال عظم العضد بالكامل
كما هو الحال مع عظم الفخذ الكلي، فإن الطرف الصناعي لعظم العضد الكلي هو مزيج من طرف صناعي لعظم العضد القريب واستبدال للمرفق. تعتبر دواعي هذا الإجراء نادرة، لكن الحفاظ على يد حساسة ووظيفية يظل متفوقًا على أي طرف صناعي للبتر.
استبدال عظم الكعب
تم الإبلاغ عن حالة واحدة لاستبدال عظم الكعب بالكامل بطرف صناعي لعلاج ساركوما عظمية بدلاً من بتر تحت الركبة. بعد عشر سنوات من الجراحة، ظل المريض قادرًا على المشي بالكامل دون أجهزة مساعدة.
الأطراف الصناعية الداخلية بين العظام
يتميز استبدال الجزء المركزي من العظم الطويل بعد استئصال جزء من جسم العظم بسبب ورم بميزة كبيرة تتمثل في الحفاظ على المفاصل المجاورة الطبيعية للمريض في عظم العضد والفخذ وقصبة الساق. حدت الأطراف الصناعية التقليدية من مؤشر هذا النوع من إعادة البناء بسبب كمية العظام المتبقية المطلوبة لتثبيت سيقان الطرف الصناعي بشكل آمن. وقد أدت السيقان المخصصة التي تستخدم تثبيتًا متقاطعًا وطريقة تثبيت الضغط الأحدث (Compress fixation method) إلى توسيع نطاق دواعي هذا الإجراء بشكل كبير (شكل 10).
![وصف طبي دقيق للمريض](/media/upload/27ec0fcb-a831-4973-b2f1-b23
آلام الورك المبرحة ليس قدراً محتوماً! التشخيص الدقيق والعلاج المتخصص يمكن أن يعيد لك كامل وظيفتك وحريتك في الحركة بدون ألم.
للحصول على استشارة دقيقة وخطة علاجية مخصصة لحالتك، تواصل فوراً مع مركز الأستاذ الدكتور محمد هطيف:
الأستاذ الدكتور محمد هطيف - أفضل دكتور عظام في صنعاء، وخبير في جراحات استبدال مفصل الورك والمراجعة المعقدة.
مواضيع أخرى قد تهمك