استئصال أورام العضلات المقربة في الفخذ: الحفاظ على الطرف بتقنيات متقدمة مع الأستاذ الدكتور محمد هطيف في صنعاء

الخلاصة الطبية
استئصال أورام العضلات المقربة هو إجراء جراحي حيوي للحفاظ على الطرف، ويعالج الأورام الشحمية والساركوما في الفخذ. يعتمد العلاج على استئصال الورم بدقة مع الحفاظ على الأوعية والأعصاب، ويضمن الأستاذ الدكتور محمد هطيف في صنعاء نتائج ممتازة وتقليل المضاعفات.
الخلاصة الطبية الشاملة: يُعد استئصال أورام العضلات المقربة في الفخذ إجراءً جراحيًا دقيقًا ومتقدمًا يهدف إلى الحفاظ على الطرف، معالجة الأورام الحميدة والخبيثة (الساركوما). يتطلب هذا الإجراء خبرة جراحية فائقة لضمان استئصال الورم بالكامل مع الحفاظ على الأوعية الدموية والأعصاب الحيوية في منطقة الفخذ الداخلية. في صنعاء، يقدم الأستاذ الدكتور محمد هطيف، بخبرته التي تتجاوز عقدين من الزمن، وشهاداته الأكاديمية الرفيعة كأستاذ في جامعة صنعاء، أحدث التقنيات الجراحية مثل المايكروسيرجري والمناظير 4K، لضمان أعلى معدلات النجاح في الحفاظ على الأطراف، تقليل المضاعفات، وتحقيق أفضل النتائج الوظيفية للمرضى، كل ذلك في إطار من النزاهة الطبية والمصداقية المطلقة.

مقدمة شاملة: ثورة في علاج أورام الفخذ المقربة والحفاظ على الطرف
لطالما شكلت أورام الأنسجة الرخوة في الفخذ تحديًا كبيرًا للأطباء والمرضى على حد سواء، خاصة تلك التي تنمو في منطقة العضلات المقربة الحساسة. هذه المنطقة، التي تقع في الجزء الداخلي من الفخذ، هي ثاني أكثر المواقع شيوعًا لظهور هذه الأورام بعد الجزء الأمامي، وتتسم بقربها الشديد من الحزمة العصبية الوعائية الرئيسية (الشريان الفخذي، الوريد الفخذي، العصب الفخذي)، مما يجعل أي تدخل جراحي فيها محفوفًا بالمخاطر ويتطلب دقة متناهية وخبرة جراحية استثنائية.
في عقود مضت، كان التعامل مع الأورام الكبيرة أو المعقدة في هذه المنطقة غالبًا ما ينتهي بالبتر، مما كان يترك أثرًا نفسيًا ووظيفيًا عميقًا على حياة المريض. لكن بفضل التطورات المتسارعة في عالم الطب والجراحة، لم يعد البتر هو الخيار الوحيد. لقد شهدت التقنيات الجراحية تطورًا مذهلاً، مدعومة بتقدم هائل في التشخيص التصويري والعلاجات المساعدة مثل العلاج الكيميائي والإشعاعي، مما فتح آفاقًا جديدة أمام الحفاظ على الطرف المصاب. أصبح الهدف الأسمى هو استئصال الورم بالكامل مع الحفاظ على أكبر قدر ممكن من وظيفة الطرف، مع تقليل معدلات تكرار الورم وتحسين جودة حياة المريض بشكل جذري.
في قلب اليمن، وتحديدًا في صنعاء، يقف الأستاذ الدكتور محمد هطيف كعلم بارز في هذا المجال. بصفته أستاذًا في جامعة صنعاء واستشاريًا لجراحة العظام والأورام بخبرة تتجاوز 20 عامًا، يُعد الدكتور هطيف مرجعًا طبيًا لا يضاهى. لقد كرس حياته لتقديم أحدث وأدق التقنيات الجراحية، بما في ذلك المايكروسيرجري (الجراحة المجهرية) التي تتيح له التعامل مع أدق الأوعية والأعصاب، والمناظير الجراحية بتقنية 4K للحصول على رؤية فائقة الوضوح، بالإضافة إلى خبرته العميقة في جراحات استبدال المفاصل (Arthroplasty) التي قد تكون جزءًا من خطة إعادة الإعمار المعقدة. يلتزم الدكتور هطيف بأعلى معايير النزاهة الطبية والمصداقية، ويضع مصلحة المريض في المقام الأول، مقدمًا حلولًا علاجية شاملة ومخصصة تضمن أفضل النتائج الجراحية والوظيفية.
تهدف هذه المقالة الشاملة إلى تسليط الضوء على كل جانب من جوانب استئصال أورام العضلات المقربة في الفخذ، بدءًا من فهم التشريح المعقد لهذه المنطقة، مرورًا بأنواع الأورام وأسبابها وأعراضها، وصولًا إلى أدق تفاصيل التشخيص والعلاج الجراحي المتقدم، والرعاية ما بعد الجراحة، وصولًا إلى قصص النجاح الملهمة. سنستكشف كيف يجمع الأستاذ الدكتور محمد هطيف بين الخبرة العميقة والتقنيات المتطورة ليقدم للمرضى في صنعاء والمناطق المحيطة الأمل في الشفاء الكامل والحفاظ على أطرافهم ووظائفها الطبيعية.


التشريح الوظيفي لمجموعة العضلات المقربة في الفخذ: تعقيد يتطلب خبرة
لفهم تعقيدات أورام العضلات المقربة وكيفية التعامل معها جراحيًا، من الضروري التعمق في التشريح الوظيفي لهذه المنطقة الحيوية. تقع مجموعة العضلات المقربة في الجزء الإنسي (الداخلي) من الفخذ، وهي مسؤولة بشكل أساسي عن تقريب الفخذ (تحريكه نحو خط منتصف الجسم)، بالإضافة إلى دورها في ثني ودوران الورك.
مكونات مجموعة العضلات المقربة:
تتكون هذه المجموعة من خمس عضلات رئيسية، تعمل بتنسيق دقيق:
- العضلة العانية (Pectineus): عضلة قصيرة ومسطحة، تقع في الجزء العلوي الإنسي من الفخذ.
- العضلة المقربة القصيرة (Adductor Brevis): تقع تحت العضلة العانية.
- العضلة المقربة الطويلة (Adductor Longus): عضلة كبيرة وبارزة، تقع سطحيًا للعضلتين السابقتين.
- العضلة المقربة الكبيرة (Adductor Magnus): أكبر عضلات المجموعة، وهي عضلة سميكة ومثلثة الشكل، ولها جزء عضلي وجزء وتري.
- العضلة الرشيقة (Gracilis): عضلة طويلة ورفيعة، تمتد على طول الجانب الإنسي للفخذ من الحوض إلى الساق.
الأهمية الوظيفية:
على الرغم من أن هذه العضلات ليست "حيوية بشكل مطلق" لوظيفة الطرف السفلية بالمعنى الحركي الشامل مثل العضلة الرباعية أو عضلات الألوية، إلا أن ضعفها أو فقدانها يؤثر بشكل كبير على:
- ثبات الحوض: خاصة أثناء المشي والجري.
- القدرة على تغيير الاتجاه: حركات التقريب ضرورية للرياضيين.
- التوازن: الحفاظ على استقامة الجسم.
- الأنشطة اليومية: مثل صعود الدرج والجلوس.
العلاقات التشريحية الحرجة:
ما يجعل هذه المنطقة صعبة ومعقدة جراحيًا هو قربها الشديد من الهياكل التشريحية الحيوية:
- الحزمة العصبية الوعائية الفخذية (Femoral Neurovascular Bundle): يمر الشريان الفخذي والوريد الفخذي والعصب الفخذي (الذي يعصب الجزء الأمامي من الفخذ) بالقرب من هذه العضلات، مما يجعل استئصال الأورام في هذه المنطقة يتطلب دقة فائقة لتجنب إصابة هذه الأوعية والأعصاب الحيوية.
- العصب الوركي (Sciatic Nerve): يمر أيضًا بالقرب من الجزء الخلفي من مجموعة العضلات المقربة، خاصة العضلة المقربة الكبيرة، مما يزيد من تعقيد الجراحة.
- مفصل الورك: تقع هذه العضلات بالقرب من مفصل الورك، وقد تؤثر الأورام الكبيرة على وظيفته أو تمتد إليه.
- العظم: قد تمتد بعض الأورام إلى عظم الفخذ أو الحوض.
إن فهم هذه العلاقات التشريحية الدقيقة هو حجر الزاوية في التخطيط الجراحي الناجح. إن خبرة جراح مثل الأستاذ الدكتور محمد هطيف في التعامل مع هذه التعقيدات التشريحية هي ما يميزه ويضمن للمريض أفضل النتائج الممكنة، مع الحفاظ على وظيفة الطرف وتقليل المضاعفات إلى أدنى حد.


أنواع أورام الفخذ المقربة وأسبابها المحتملة
تُعد أورام الأنسجة الرخوة في منطقة الفخذ المقربة متنوعة بشكل كبير، وتتراوح بين الأورام الحميدة التي لا تشكل تهديدًا للحياة، والأورام الخبيثة (الساركوما) التي تتطلب تدخلًا طبيًا عاجلًا وشاملاً. إن التمييز بين هذه الأنواع أمر حيوي لتحديد خطة العلاج الأنسب.
الأورام الحميدة الشائعة في الفخذ المقربة:
على الرغم من أنها غير سرطانية، إلا أن الأورام الحميدة قد تسبب الألم، الضغط، أو مشاكل وظيفية إذا كبر حجمها.
- الأورام الشحمية (Lipomas):
- الوصف: هي الأورام الحميدة الأكثر شيوعًا في الأنسجة الرخوة. تتكون من خلايا دهنية ناضجة.
- الخصائص: عادة ما تكون لينة الملمس، متحركة، وغير مؤلمة. تنمو ببطء.
- التشخيص: غالبًا ما يتم تشخيصها بالفحص السريري والتصوير (الموجات فوق الصوتية والرنين المغناطيسي).
- العلاج: غالبًا ما تكون المراقبة كافية، ولكن قد يلزم الاستئصال الجراحي إذا كانت كبيرة، مؤلمة، أو تسبب ضغطًا على الهياكل المحيطة، أو لأسباب تجميلية.
- أورام الأوعية الدموية (Hemangiomas):
- الوصف: أورام تتكون من أوعية دموية غير طبيعية.
- الخصائص: قد تكون سطحية (حمراء أو زرقاء اللون) أو عميقة داخل العضلات.
- العلاج: يعتمد على الحجم والموقع، وقد يشمل المراقبة، العلاج بالليزر، التصلب، أو الاستئصال الجراحي.
- الأورام الليفية (Fibromas):
- الوصف: أورام تتكون من أنسجة ليفية.
- الخصائص: غالبًا ما تكون صلبة ومحددة.
- العلاج: الاستئصال الجراحي هو الخيار المفضل إذا كانت تسبب أعراضًا.
- الكيسات العضلية (Myxomas):
- الوصف: أورام نادرة حميدة تتكون من أنسجة مخاطية.
- الخصائص: غالبًا ما تكون لينة وغير مؤلمة، ولكن يمكن أن تسبب الضغط.
- العلاج: الاستئصال الجراحي.
الأورام الخبيثة (الساركوما) في الفخذ المقربة:
تُعد ساركوما الأنسجة الرخوة مجموعة نادرة ولكنها عدوانية من الأورام التي تنشأ من الأنسجة الداعمة للجسم.
- ساركوما الأنسجة الرخوة (Soft Tissue Sarcoma):
- الوصف: هي مجموعة واسعة من الأورام الخبيثة التي يمكن أن تصيب العضلات، الأوتار، الدهون، الأوعية الدموية، والأعصاب.
- الأنواع الشائعة في الفخذ المقربة:
- الورم الشحمي الخبيث (Liposarcoma): ينشأ من الخلايا الدهنية، وهو أحد أكثر أنواع الساركوما شيوعًا في هذه المنطقة.
- الورم العضلي الأملس الخبيث (Leiomyosarcoma): ينشأ من خلايا العضلات الملساء.
- الورم العضلي المخطط الخبيث (Rhabdomyosarcoma): ينشأ من خلايا العضلات الهيكلية، ويصيب الأطفال غالبًا.
- الورم الزليلي الخبيث (Synovial Sarcoma): غالبًا ما يوجد بالقرب من المفاصل والأوتار.
- الساركوما متعددة الأشكال غير المتمايزة (Undifferentiated Pleomorphic Sarcoma - UPS): كانت تُعرف سابقًا باسم الورم الليفي النسيجي الخبيث (MFH)، وهي ساركوما شائعة لدى البالغين.
- الخصائص: غالبًا ما تكون كتلًا صلبة، سريعة النمو، وقد تسبب الألم مع تقدمها في الحجم أو ضغطها على الأعصاب. لديها القدرة على الانتشار إلى أجزاء أخرى من الجسم (النقائل)، خاصة الرئتين.
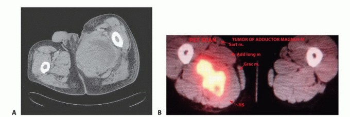
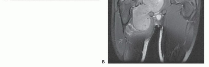
- التشخيص: يتطلب فحصًا شاملاً، تصويرًا متقدمًا (MRI، CT)، وخزعة نسيجية لتأكيد التشخيص وتحديد نوع ودرجة الورم.
- العلاج: يتضمن عادةً الجراحة (الاستئصال الواسع مع الحفاظ على الطرف)، وغالبًا ما يتبعها علاج إشعاعي أو كيميائي لتقليل خطر التكرار أو انتشار الورم.
عوامل الخطورة والأسباب المحتملة:
في معظم الحالات، لا يوجد سبب واضح ومباشر لظهور أورام الأنسجة الرخوة. ومع ذلك، هناك بعض عوامل الخطورة المعروفة:
- الاستعداد الوراثي: بعض المتلازمات الوراثية النادرة (مثل متلازمة لي-فراوميني Li-Fraumeni syndrome) تزيد من خطر الإصابة بالساركوما.
- التعرض للإشعاع: المرضى الذين تلقوا علاجًا إشعاعيًا سابقًا لمنطقة معينة قد يكونون أكثر عرضة لتطوير ساركوما في تلك المنطقة بعد سنوات.
- التعرض لبعض المواد الكيميائية: نادرًا ما ترتبط بعض المواد الكيميائية الصناعية بخطر الساركوما.
- إصابات سابقة: لا يوجد دليل قاطع على أن الإصابات المباشرة تسبب الساركوما، ولكن قد تُكتشف الأورام بعد إصابة طفيفة.
- العمر والجنس: الساركوما يمكن أن تحدث في أي عمر، ولكن بعض الأنواع أكثر شيوعًا في فئات عمرية معينة.
إن الفهم الدقيق لأنواع الأورام وعوامل الخطورة يوجه الأستاذ الدكتور محمد هطيف في عملية التشخيص ووضع خطة العلاج الأكثر فعالية، مؤكدًا على أهمية التشخيص المبكر والدقيق لتحقيق أفضل النتائج.

















آلام الورك وتقييد حركته ليس قدراً محتوماً! التشخيص الدقيق والعلاج المتخصص يمكن أن يعيد لك كامل وظيفتك وحريتك في الحركة. لا تدع الألم يسيطر على حياتك.
للحصول على استشارة دقيقة وخطة علاجية مخصصة لحالتك، تواصل فوراً مع مركز الأستاذ الدكتور محمد هطيف:
الأستاذ الدكتور محمد هطيف - أفضل دكتور عظام في صنعاء، وخبير في جراحات استبدال مفصل الورك.. نلتزم بإعادتك لحياة خالية من الألم وورك قوي ووظيفي.
مواضيع أخرى قد تهمك