استئصال أورام الشظية: دليل شامل للعلاج الحديث والحفاظ على الأطراف مع الأستاذ الدكتور محمد هطيف

الخلاصة الطبية
استئصال أورام الشظية هو إجراء جراحي دقيق يهدف إلى إزالة الأورام من عظم الشظية مع الحفاظ على الطرف. يشمل العلاج الحديث خيارات مثل الكشط والاستئصال من النوع الأول والثاني، مما يقلل الحاجة للبتر ويضمن تعافيًا وظيفيًا بفضل خبرة الأستاذ الدكتور محمد هطيف في صنعاء.
الخلاصة الطبية السريعة: استئصال أورام الشظية هو إجراء جراحي دقيق ومتخصص يهدف إلى إزالة الأورام من عظم الشظية مع الحفاظ على الطرف ووظيفته. يمثل العلاج الحديث، الذي يشمل خيارات متقدمة مثل الكشط والاستئصال الهامشي (النوع الأول) والاستئصال الواسع، ثورة حقيقية في هذا المجال، حيث يقلل بشكل كبير الحاجة إلى البتر ويضمن تعافيًا وظيفيًا ممتازًا. بفضل الخبرة الطويلة والريادة في مجال جراحة العظام والأورام، يقدم الأستاذ الدكتور محمد هطيف في صنعاء أحدث التقنيات والبروتوكولات العلاجية لمرضاه، مع التزام راسخ بالحفاظ على الأطراف وجودة الحياة.

مقدمة: ثورة في علاج أورام الشظية والحفاظ على الأطراف
تُعد أورام العظام، وخاصة تلك التي تصيب عظم الشظية، من الحالات النادرة التي تتطلب مقاربة علاجية متخصصة ودقيقة للغاية. في الماضي غير البعيد، كان بتر الطرف غالبًا هو الحل الوحيد المتاح للأورام الخبيثة، وحتى بعض الأورام الحميدة العدوانية في الشظية، مما كان يترك المرضى بتحديات جسدية ونفسية كبيرة. ومع ذلك، وبفضل التقدم الهائل في الجراحة العظمية، وتطور تقنيات التصوير والتشخيص، وظهور بروتوكولات علاجية مبتكرة، أصبح الحفاظ على الطرف خيارًا ممكنًا وفعالًا بل ومفضلًا في غالبية الحالات اليوم. يهدف هذا الدليل الشامل إلى تقديم فهم معمق لأورام الشظية، وكيفية تشخيصها، وخيارات علاجها الجراحي المتقدمة، مع التركيز بشكل خاص على تقنيات الحفاظ على الطرف التي تمثل ثورة في علاج هذه الأورام المعقدة.
يبرز الأستاذ الدكتور محمد هطيف، بصفته أحد أبرز خبراء جراحة العظام والأورام في اليمن والمنطقة، رائدًا في تطبيق هذه التقنيات المتقدمة في صنعاء. يتمتع الدكتور هطيف، وهو أستاذ في جامعة صنعاء، بخبرة تمتد لأكثر من 20 عامًا في مجال جراحة العظام، وهو ملتزم بتقديم رعاية شاملة ومتطورة لمرضى أورام الشظية. يعتمد الدكتور هطيف على أحدث البروتوكولات الجراحية العالمية، بما في ذلك تقنيات الجراحة المجهرية (Microsurgery) والتنظير المفصلي عالي الدقة (Arthroscopy 4K) وجراحة استبدال المفاصل (Arthroplasty) عند الحاجة، لضمان أفضل النتائج الوظيفية والجمالية للمرضى، مع الحفاظ على جودة حياتهم والتزامه الصارم بالأمانة الطبية.
إن فهم تشريح الشظية، وأنواع الأورام التي قد تصيبها، وكيفية تشخيصها وعلاجها، أمر بالغ الأهمية لكل مريض وعائلته. سيستعرض هذا الدليل كل هذه الجوانب بتفصيل، مسلطًا الضوء على الإجراءات الجراحية المختلفة، والرعاية بعد الجراحة، والنتائج المتوقعة، والمضاعفات المحتملة، مع التأكيد على الدور المحوري للخبرة الجراحية في تحقيق أفضل النتائج.


فهم عظم الشظية ووظائفه الحيوية
الشظية هو عظم طويل ورفيع يقع في الجزء السفلي من الساق، بالتوازي مع عظم الظنبوب (القصبة). على الرغم من أنه ليس عظمًا رئيسيًا لتحمل الوزن مثل الظنبوب، إلا أن له دورًا حيويًا لا غنى عنه في استقرار مفصلي الركبة والكاحل، ويوفر نقاط ارتباط مهمة للعضلات والأربطة التي تتحكم في حركة القدم والساق. فهم هذا العظم ووظائفه أمر أساسي لتقدير تعقيد جراحة استئصال الأورام فيه وأهمية الحفاظ على الطرف.
التشريح الدقيق للشظية
يمكن تقسيم الشظية إلى ثلاثة أجزاء رئيسية:
-
الشظية القريبة (Proximal Fibula): تُعد الشظية القريبة (الرأس والجزء العلوي من العظم) موقعًا رئيسيًا لالتصاق الرباط الجانبي الوحشي (LCL) ووتر العضلة ذات الرأسين الفخذية. هذه الروابط ضرورية لاستقرار مفصل الركبة من الناحية الجانبية. كما أن الرأس الشظوي يتصل بالظنبوب القريب ليشكل المفصل الظنبوبي الشظوي القريب. يمر العصب الشظوي الشائع (Common Peroneal Nerve) خلف رأس الشظية مباشرة، مما يجعله عرضة للإصابة أثناء الجراحة في هذه المنطقة.

-
جسم الشظية (Fibula Shaft): هو الجزء الطويل والرفيع من العظم، ويوفر نقاط ارتباط للعديد من عضلات الساق التي تتحكم في حركة الكاحل والقدم، مثل العضلات الشظوية (Peroneal Muscles) التي تقوم ببسط القدم للخارج (eversion).
-
الشظية البعيدة (Distal Fibula): تُعرف أيضًا بالنتوء الكاحلي الوحشي (Lateral Malleolus)، وتشكل جزءًا أساسيًا من مفصل الكاحل، حيث توفر الاستقرار الجانبي وتمنع الإفراط في حركة الكاحل. الأربطة التي تربط الشظية البعيدة بالظنبوب وعظام القدم ضرورية لوظيفة الكاحل الطبيعية.

وظائف الشظية الرئيسية
- استقرار مفصل الركبة: من خلال ارتباط الأربطة الجانبية.
- استقرار مفصل الكاحل: تشكل النتوء الكاحلي الوحشي جزءًا حيويًا من مفصل الكاحل.
- دعم عضلات الساق: توفر نقاط ارتباط للعضلات التي تتحكم في حركة القدم والكاحل.
- حماية الأعصاب والأوعية الدموية: تعمل كدرع لبعض التراكيب الحيوية.
نظرًا لهذه الوظائف المتعددة، فإن أي إصابة أو ورم في الشظية يمكن أن يؤثر بشكل كبير على حركة واستقرار الطرف السفلي، مما يجعل التدخل الجراحي الدقيق والحفاظ على الأنسجة المحيطة أمرًا بالغ الأهمية.


أنواع أورام الشظية: حميدة وخبيثة
يمكن أن تتطور الأورام في أي جزء من عظم الشظية، وتتراوح هذه الأورام من حميدة وغير سرطانية إلى خبيثة وعدوانية. يختلف العلاج والتشخيص بشكل كبير بين هذه الأنواع، مما يستدعي تشخيصًا دقيقًا وفهمًا عميقًا لكل نوع.
الأورام الحميدة في الشظية
تُعد الأورام الحميدة أكثر شيوعًا من الخبيثة، وغالبًا ما تكون بطيئة النمو وقد لا تسبب أعراضًا إلا إذا أصبحت كبيرة الحجم أو ضغطت على الأعصاب المجاورة. من أبرز أنواع الأورام الحميدة:
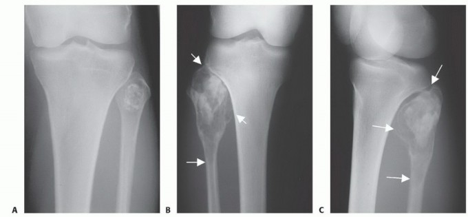
- الورم العظمي الغضروفي (Osteochondroma): هو الورم الحميد الأكثر شيوعًا في العظام، وينشأ عادةً بالقرب من نهايات العظام الطويلة، بما في ذلك الشظية القريبة. يتميز بوجود نتوء عظمي مغطى بغضروف.
- الورم الغضروفي الداخلي (Enchondroma): ورم حميد ينشأ داخل نخاع العظم، وغالبًا ما يكون بدون أعراض ويُكتشف بالصدفة.
- الخلل التنسجي الليفي (Fibrous Dysplasia): حالة يتطور فيها النسيج الليفي بدلاً من العظم الطبيعي، مما يجعل العظم ضعيفًا وعرضة للكسور.
- الكيس العظمي الأمدمي (Aneurysmal Bone Cyst - ABC): ورم حميد يتميز بوجود تجاويف مملوءة بالدم، ويمكن أن يكون عدوانيًا موضعيًا.
- ورم الخلايا العملاقة (Giant Cell Tumor - GCT): على الرغم من أنه حميد، إلا أنه قد يكون عدوانيًا موضعيًا ولديه ميل للانتكاس وحتى التحول الخبيث في حالات نادرة. غالبًا ما يصيب الشظية القريبة.
- الورم الليفي غير المتعظم (Non-ossifying Fibroma): آفة حميدة شائعة عند الأطفال والمراهقين، وعادة ما تُشفى تلقائيًا.

الأورام الخبيثة في الشظية
تُعد الأورام الخبيثة أقل شيوعًا ولكنها أكثر خطورة، وتتطلب تدخلًا علاجيًا فوريًا ومكثفًا. يمكن أن تكون أورامًا أولية تنشأ في الشظية نفسها، أو أورامًا ثانوية (نقائل) تنتشر من سرطان في جزء آخر من الجسم.
- الساركوما العظمية (Osteosarcoma): هي أكثر أنواع سرطان العظام الأولية شيوعًا، ويمكن أن تصيب الشظية، وغالبًا ما تكون عدوانية وتتطلب علاجًا متعدد الأوجه.
- ساركوما إوينغ (Ewing's Sarcoma): سرطان عدواني يصيب الأطفال والمراهقين، ويمكن أن يتطور في الشظية.
- الساركوما الغضروفية (Chondrosarcoma): سرطان ينشأ في الأنسجة الغضروفية، ويمكن أن يصيب الشظية، ويختلف في درجة عدوانيته.
- الأورام النقيلية (Metastatic Tumors): تنتشر إلى الشظية من سرطانات أخرى في الجسم، مثل سرطان الرئة، الثدي، البروستاتا، أو الكلى.

يعتمد تحديد نوع الورم على التقييم السريري، الأشعة التشخيصية، وأهمها أخذ خزعة (Biopsy) وتحليلها نسيجيًا، وهو ما يحدده الأستاذ الدكتور محمد هطيف بدقة لضمان اختيار خطة العلاج الأمثل.

الأعراض والعلامات: متى يجب عليك استشارة الخبير؟
إن التعرف المبكر على أعراض أورام الشظية يمكن أن يحدث فرقًا كبيرًا في نتائج العلاج. نظرًا لأن بعض الأورام قد تكون صامتة في مراحلها المبكرة، فمن الضروري الانتباه لأي تغييرات غير طبيعية في الساق أو القدم.
الأعراض الشائعة لأورام الشظية:
- الألم (Pain):
- هو العرض الأكثر شيوعًا.
- قد يكون خفيفًا في البداية ويزداد سوءًا مع مرور الوقت.
- غالبًا ما يكون ألمًا عميقًا أو مؤلمًا، وقد يزداد سوءًا في الليل أو أثناء الراحة.
- قد لا يستجيب للمسكنات الشائعة.
- التورم أو الكتلة الملموسة (Swelling or Palpable Mass):
- قد تظهر كتلة أو تورم حول منطقة الشظية المصابة.
- قد تكون الكتلة صلبة أو ناعمة، وقد تكون مؤلمة عند اللمس.
- قد تكون مرئية أو محسوسة تحت الجلد.
- الضعف أو العرج (Weakness or Limping):
- قد يؤثر الورم على قدرة الساق على تحمل الوزن أو على حركة القدم، مما يؤدي إلى ضعف في الساق أو عرج.
- الكسور المرضية (Pathological Fractures):
- في بعض الحالات، قد يضعف الورم العظم إلى درجة أنه ينكسر بسهولة مع إصابة طفيفة أو حتى بدونها.
- تقييد حركة المفصل (Limited Range of Motion):
- إذا كان الورم قريبًا من مفصل الركبة أو الكاحل، فقد يؤدي إلى صعوبة في تحريك المفصل المصاب.
- أعراض الضغط على الأعصاب (Nerve Compression Symptoms):
- إذا ضغط الورم على العصب الشظوي الشائع، فقد يسبب خدرًا، وخزًا، أو ضعفًا في القدم (مثل سقوط القدم).
- الأعراض الجهازية (Systemic Symptoms):
- في حالات الأورام الخبيثة، قد تظهر أعراض عامة مثل الحمى، فقدان الوزن غير المبرر، الإرهاق، أو التعرق الليلي.

جدول 1: قائمة فحص أعراض أورام الشظية
| العرض | الوصف | متى يجب القلق؟ |
|---|---|---|
| ألم مستمر في الساق | ألم عميق، لا يزول بالراحة، يزداد سوءًا في الليل، ولا يستجيب للمسكنات. | إذا استمر الألم لأكثر من أسبوعين أو ازداد شدة. |
| تورم أو كتلة مرئية/ملموسة | كتلة صلبة أو مؤلمة عند اللمس في منطقة الشظية. | إذا ظهر تورم جديد أو كتلة لا تختفي. |
| صعوبة في المشي أو العرج | ضعف في الساق، عدم القدرة على تحمل الوزن بشكل طبيعي، أو تغيير في طريقة المشي. | إذا ظهر العرج فجأة أو أصبح أسوأ تدريجيًا. |
| كسر عظمي غير مبرر | كسر يحدث نتيجة إصابة طفيفة جدًا لا تتناسب مع شدة الكسر. | عند حدوث كسر بعد صدمة بسيطة أو بدون صدمة واضحة. |
| خدر أو وخز في القدم/الساق | شعور بالخدر، الوخز، أو ضعف في عضلات القدم أو الساق. | إذا ظهرت هذه الأعراض دون سبب واضح. |
| أعراض جهازية (حمى، فقدان وزن) | حمى غير مبررة، فقدان وزن كبير، تعرق ليلي، إرهاق شديد. | إذا ظهرت هذه الأعراض، خاصة مع أي من الأعراض المذكورة أعلاه. |
إذا كنت تعاني من أي من هذه الأعراض، خاصةً إذا كانت مستمرة أو تتفاقم، فمن الضروري استشارة طبيب متخصص في أورام العظام مثل الأستاذ الدكتور محمد هطيف لتقييم حالتك بشكل دقيق وسريع. التشخيص المبكر هو مفتاح العلاج الناجح.

التشخيص الدقيق: خطوات أساسية نحو العلاج الفعال
يعتمد العلاج الناجح لأورام الشظية بشكل كبير على التشخيص الدقيق والشامل. يقوم الأستاذ الدكتور محمد هطيف باتباع بروتوكولات تشخيصية عالمية تبدأ من الفحص السريري الدقيق وصولاً إلى أحدث تقنيات التصوير والخزعات الموجهة.
1. الفحص السريري والتاريخ المرضي
يبدأ التقييم بفحص سريري شامل للمنطقة المصابة، بما في ذلك تقييم الألم، وجود أي كتل، مدى حركة المفاصل، وتقييم وظيفة الأعصاب والأوعية الدموية. يتم أخذ تاريخ مرضي مفصل يشمل الأعراض، مدة ظهورها، أي إصابات سابقة، والتاريخ العائلي للأورام.
2. التصوير التشخيصي (Imaging Studies)
تلعب تقنيات التصوير دورًا حيويًا في تحديد موقع الورم، حجمه، مدى انتشاره، وتأثيره على الأنسجة المحيطة.
-
الأشعة السينية (X-rays): هي الخطوة الأولى غالبًا. توفر صورًا للعظم وتكشف عن التغيرات في بنية العظم، مثل التآكل، التصلب، أو وجود كتلة. يمكن أن تعطي مؤشرات أولية حول طبيعة الورم (حميد أو خبيث).

-
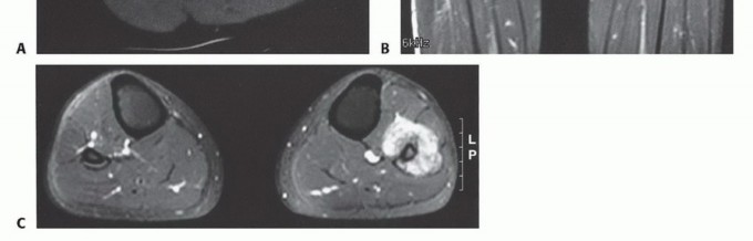
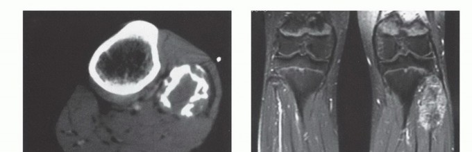
التصوير بالرنين المغناطيسي (MRI): يُعد MRI الأداة الأكثر قيمة لتقييم أورام العظام. يوفر صورًا مفصلة للأنسجة الرخوة المحيطة بالعظم (العضلات، الأوتار، الأعصاب، الأوعية الدموية)، ويحدد مدى انتشار الورم داخل العظم وإلى الأنسجة الرخوة المجاورة. وهو ضروري للتخطيط الجراحي للحفاظ على الطرف.

-
التصوير المقطعي المحوسب (CT Scan): يوفر صورًا تفصيلية لبنية العظم بدقة عالية، ويكشف عن تآكل القشرة العظمية، وتكوين العظم الجديد، وتكلسات الورم. كما يستخدم للكشف عن أي انتشار للورم إلى الرئتين (نقائل).

-
مسح العظام (Bone Scan): يستخدم لتحديد ما إذا كان هناك أي نشاط غير طبيعي في العظام الأخرى في الجسم، مما قد يشير إلى وجود نقائل.
-
التصوير المقطعي بالإصدار البوزيتروني (PET Scan): قد يستخدم لتقييم نشاط الأيض للورم وتحديد ما إذا كان خبيثًا، وكذلك للكشف عن النقائل البعيدة.
3. الخزعة (Biopsy): مفتاح التشخيص النهائي
الخزعة هي الإجراء الوحيد الذي يمكن أن يؤكد بشكل قاطع طبيعة الورم (حميد أو خبيث) ونوعه المحدد. يجب أن يتم إجراء الخزعة بواسطة جراح أورام عظام ذي خبرة مثل الأستاذ الدكتور محمد هطيف، حيث أن الخزعة غير الصحيحة يمكن أن تؤثر سلبًا على خيارات العلاج المستقبلية وتزيد من خطر انتشار الورم.
- الخزعة بالإبرة (Needle Biopsy):
- خزعة الإبرة الأساسية (Core Needle Biopsy): تستخدم إبرة سميكة لأخذ عينات نسيجية صغيرة من الورم. غالبًا ما تتم بتوجيه الأشعة السينية أو الأشعة المقطعية لضمان الدقة.
- الشفط بالإبرة الدقيقة (Fine Needle Aspiration - FNA): تستخدم إبرة رفيعة لشفط الخلايا، وهي أقل توفيرًا للمعلومات النسيجية ولكنها قد تكون مفيدة في بعض الحالات.
-
الخزعة المفتوحة (Open Biopsy): يتم إجراء شق جراحي صغير لأخذ قطعة أكبر من الورم. تُستخدم عندما تكون خزعة الإبرة غير حاسمة أو غير ممكنة.

4. التحليل الباثولوجي (Pathological Analysis)
يتم فحص عينات الخزعة بواسطة أخصائي علم الأمراض لتحديد نوع الخلايا، درجة الورم (في حالة الأورام الخبيثة)، ومؤشرات أخرى تساعد في تحديد خطة العلاج.
5. تحديد مرحلة الورم (Staging)
بالنسبة للأورام الخبيثة، يتم تحديد مرحلة الورم (Staging) لتحديد مدى انتشاره. يعتمد هذا على حجم الورم، ما إذا كان قد انتشر إلى الغدد الليمفاوية، وما إذا كان قد انتشر إلى أجزاء أخرى من الجسم (النقائل). يساعد هذا التحديد في توجيه خطة العلاج وتقدير المآل.
من خلال هذا النهج التشخيصي المتكامل، يضمن الأستاذ الدكتور محمد هطيف الحصول على صورة كاملة ودقيقة لحالة المريض، مما يمكنه من وضع خطة علاجية مخصصة وفعالة تحقق أفضل النتائج الممكنة.

خيارات العلاج الشاملة لأورام الشظية: خبرة الأستاذ الدكتور محمد هطيف
يعتمد اختيار خطة العلاج لأورام الشظية على عدة عوامل حاسمة، بما في ذلك نوع الورم (حميد أو خبيث)، حجمه، موقعه، مرحلته، عمر المريض، وحالته الصحية العامة. يتبنى الأستاذ الدكتور محمد هطيف نهجًا علاجيًا متعدد التخصصات، يجمع بين خبرته الجراحية الواسعة وأحدث التقنيات الطبية لتقديم رعاية متكاملة ومصممة خصيصًا لكل مريض، مع التركيز على الحفاظ على الطرف ووظيفته قدر الإمكان.
1. الإدارة التحفظية (Conservative Management)
في بعض الحالات النادرة، خاصة مع الأورام الحميدة الصغيرة التي لا تسبب أعراضًا أو الأورام التي يُتوقع لها الشفاء الذاتي، قد يكون النهج التحفظي هو الخيار الأول.
- المراقبة النشطة (Active Surveillance): تتضمن متابعة دورية بالصور الشعاعية (X-rays أو MRI) لمراقبة نمو الورم أو تغيره.
-
علاج الأعراض: قد يشمل مسكنات الألم والعلاج الطبيعي لدعم وظيفة الطرف.

2. الإدارة الجراحية: محور العلاج مع الأستاذ الدكتور محمد هطيف
الجراحة هي حجر الزاوية في علاج معظم أورام الشظية، سواء كانت حميدة عدوانية أو خبيثة. يبرع الأستاذ الدكتور محمد هطيف في تقنيات الحفاظ على الطرف، والتي تهدف إلى إزالة الورم بالكامل مع الحفاظ على أكبر قدر ممكن من العظم والأنسجة السليمة المحيطة لضمان أفضل وظيفة ممكنة بعد الجراحة.
أ. أنواع الاستئصال الجراحي
تُصنف جراحات استئصال الأورام العظمية بناءً على مدى الإزالة:
- الاستئصال داخل الآفة / الكشط (Intralesional Excision / Curettage):
- يستخدم بشكل أساسي للأورام الحميدة التي تنمو داخل العظم.
- يتضمن كشط الورم من داخل العظم، مع ترك جدار العظم سليمًا.
- غالبًا ما يُتبع باستخدام مواد مساعدة (Adjuvants) لقتل أي خلايا ورمية متبقية، مثل:
- الكي بالتبريد (Cryotherapy): تجميد الخلايا الورمية.
- الفينول (Phenol): مادة كيميائية تقتل الخلايا.
- الأسمنت العظمي (Bone Cement): يملأ التجويف ويولد حرارة تقتل الخلايا المتبقية.
- الأستاذ الدكتور محمد هطيف يستخدم هذه التقني





























آلام العظام والمفاصل وتقييد حركتها ليس قدراً محتوماً! التشخيص الدقيق والعلاج المتخصص يمكن أن يعيد لك كامل وظيفتك وحريتك في الحركة. لا تدع الألم يسيطر على حياتك.
للحصول على استشارة دقيقة وخطة علاجية مخصصة لحالتك، تواصل فوراً مع مركز الأستاذ الدكتور محمد هطيف:
الأستاذ الدكتور محمد هطيف - أفضل دكتور عظام في صنعاء، وخبير في جراحات العظام والمفاصل والعمود الفقري.. نلتزم بإعادتك لحياة خالية من الألم وحركة طبيعية.
مواضيع أخرى قد تهمك