تثبيت مفصل الكاحل والقدم الخلفية بالمسمار النخاعي: استعادة الحياة بدون ألم وثبات دائم

الخلاصة الطبية
تثبيت مفصل الكاحل والقدم الخلفية بالمسمار النخاعي هو إجراء جراحي حيوي لدمج مفصلي الكاحل وتحت الكاحل، بهدف تخفيف الألم الشديد واستعادة استقرار القدم ووظيفتها. يعالج هذا الإجراء حالات التهاب المفاصل المتقدمة والتشوهات المعقدة، ويتم إجراؤه باستخدام مسمار نخاعي لتوفير دعم داخلي قوي.
مقدمة: نهاية الألم وبداية حياة جديدة ومستقرة
هل تعاني من آلام مبرحة ومستمرة في الكاحل والقدم الخلفية تمنعك من النوم ليلاً وتعيق حركتك نهاراً؟ هل أصبحت خطواتك محدودة، وأثرت هذه الآلام بشكل جذري على جودة حياتك اليومية، مما جعلك تعتمد على المسكنات أو العكازات بشكل دائم؟ إذا كانت الإجابة نعم، ولم تعد العلاجات التحفظية تجدي نفعاً، فقد تكون عملية تثبيت مفصل الكاحل والقدم الخلفية بالمسمار النخاعي (Tibiotalocalcaneal Arthrodesis) هي الحل الجذري والنهائي الذي تبحث عنه.

هذه العملية الجراحية المتقدمة لا تعتبر مجرد تدخل طبي عادي، بل هي بمثابة "طوق نجاة" وبصيص أمل للكثيرين ممن فقدوا القدرة على المشي السليم. فهي تهدف بشكل أساسي إلى تخليصك من الألم المستعصي، واستعادة الثبات الميكانيكي لقدمك، وتصحيح التشوهات المعقدة، وتمكينك من استعادة استقلاليتك والمشي بشكل طبيعي وثابت مرة أخرى.

في هذا الدليل الطبي الشامل والموسع، سنتعمق في كل التفاصيل الدقيقة التي تحتاج لمعرفتها عن هذا الإجراء الحيوي. سنأخذك في رحلة معرفية تبدأ من فهم التشريح المعقد لقدمك، مروراً بالأسباب التي تستدعي الجراحة، وخطوات العملية بالتفصيل، وصولاً إلى برامج التأهيل الشاملة وما يمكنك توقعه خلال فترة التعافي الطويلة. نحن نؤمن إيماناً راسخاً بأن المعرفة الطبية الدقيقة هي مفتاح اتخاذ القرارات الصحية الصائبة والمطمئنة.

ما هي عملية تثبيت مفصل الكاحل والقدم الخلفية (TTC Arthrodesis)؟
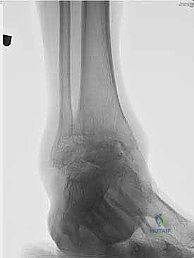
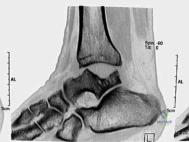
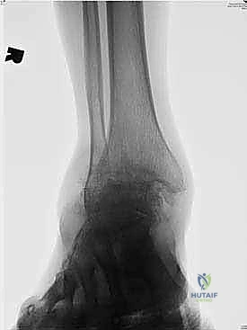
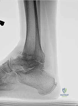
عملية تثبيت مفصل الكاحل والقدم الخلفية، والمعروفة طبياً بـ (Tibiotalocalcaneal Arthrodesis)، هي إجراء جراحي معقد يهدف إلى دمج (لحام) ثلاثة عظام رئيسية معاً لتكوين كتلة عظمية واحدة صلبة وغير متحركة. هذه العظام هي: عظمة الساق الكبرى (Tibia)، وعظمة الكاحل (Talus)، وعظمة الكعب (Calcaneus).

يتم هذا الدمج باستخدام مسمار نخاعي (Intramedullary Nail) طويل وقوي يُدخل من أسفل الكعب ليخترق العظام الثلاثة، ويتم تثبيته ببراغي قفلية لضمان أقصى درجات الثبات. الهدف من إلغاء الحركة في هذه المفاصل التالفة هو القضاء التام على الاحتكاك العظمي الذي يسبب الألم المبرح، مما يوفر للمريض قاعدة ثابتة وقوية للمشي.


نظرة تشريحية: فهم ميكانيكية الكاحل والقدم
لفهم أهمية هذه الجراحة، يجب أولاً فهم التشريح المعقد لهذه المنطقة. يتكون الجزء الخلفي من القدم والكاحل من مفصلين رئيسيين:
- مفصل الكاحل (Tibiotalar Joint): وهو المفصل الذي يربط بين عظمة الساق وعظمة الكاحل، وهو المسؤول عن حركة القدم لأعلى ولأسفل.
- المفصل تحت القعب (Subtalar Joint): وهو المفصل الذي يقع أسفل عظمة الكاحل ويربطها بعظمة الكعب، وهو المسؤول عن حركة القدم للداخل والخارج (الانقلاب الداخلي والخارجي) ويساعد في التكيف مع الأسطح غير المستوية.

عندما تتعرض هذه المفاصل للتلف الشديد، سواء بسبب التهاب المفاصل أو الإصابات، تفقد الغضاريف الملساء التي تبطنها، مما يؤدي إلى احتكاك العظام ببعضها البعض، مسبباً ألماً شديداً وتشوهاً في شكل القدم.


لماذا الأستاذ الدكتور محمد هطيف هو الخيار الأول والموثوق في اليمن؟
عندما يتعلق الأمر بجراحات العظام المعقدة والدقيقة مثل تثبيت الكاحل بالمسمار النخاعي، فإن اختيار الجراح يحدد بشكل قاطع نسبة نجاح العملية ومستقبل حركتك. يُعد الأستاذ الدكتور محمد هطيف، أستاذ جراحة العظام والمفاصل بجامعة صنعاء، الخبير الأول والرائد محلياً وإقليمياً في هذا المجال.

بفضل خبرته التي تتجاوز العشرين عاماً، أجرى الدكتور هطيف مئات العمليات الناجحة التي أعادت الأمل للمرضى. يتميز الدكتور هطيف بـ:
* الدرجة العلمية الرفيعة: أستاذ أكاديمي في جامعة صنعاء، مما يجعله مطلعاً على أحدث الأبحاث والبروتوكولات الطبية العالمية.
* التقنيات الحديثة: استخدامه لتقنيات الجراحة الميكروسكوبية ومناظير المفاصل بدقة 4K (Arthroscopy 4K) وعمليات استبدال المفاصل (Arthroplasty).
* الأمانة الطبية الصارمة: يلتزم الدكتور هطيف بمبدأ الشفافية المطلقة مع مرضاه، فلا يوصي بالجراحة إلا إذا كانت هي الحل الأمثل والوحيد لحالة المريض.

إن تجهيزات غرف العمليات التي يشرف عليها الدكتور هطيف في صنعاء تضاهي أفضل المراكز العالمية، مما يضمن بيئة جراحية آمنة ومعقمة بالكامل.


الأسباب العميقة التي تستدعي جراحة تثبيت الكاحل
لا يتم اللجوء إلى هذا الإجراء الجراحي الكبير إلا في حالات التلف المفصلي الشديد الذي لا يستجيب لأي علاجات أخرى. تشمل الأسباب الرئيسية ما يلي:
1. الفصال العظمي (Osteoarthritis) المتقدم
تآكل الغضاريف التدريجي مع تقدم العمر أو بسبب إجهاد المفاصل المستمر، مما يؤدي إلى احتكاك العظم بالعظم.

2. اعتلال مفصل شاركو (Charcot Arthropathy)
وهو اختلاط خطير لمرض السكري المتقدم، حيث يؤدي تلف الأعصاب إلى فقدان الإحساس بالقدم، مما يسبب كسوراً دقيقة متكررة وانهياراً كاملاً في هيكل القدم والمفاصل.

3. التهاب المفاصل الروماتويدي (Rheumatoid Arthritis)
مرض مناعي ذاتي يهاجم بطانة المفاصل، مسبباً التهاباً مزمناً وتدميراً للغضاريف والعظام المحيطة، وتشوهاً شديداً في القدم الخلفية.

4. الإصابات والكسور القديمة (Post-traumatic Arthritis)
الكسور الشديدة في الكاحل أو الكعب التي لم تلتئم بشكل صحيح، مما يسرع من عملية تآكل المفاصل.
5. فشل جراحات سابقة أو استبدال الكاحل
في حال فشل عملية استبدال مفصل الكاحل الصناعي أو جراحات تثبيت سابقة، يكون التثبيت بالمسمار النخاعي هو الحل الإنقاذي (Salvage Procedure).

قائمة الأعراض وتقييم التأثير على الحياة
كيف تعرف أن الوقت قد حان لاستشارة الأستاذ الدكتور محمد هطيف؟ إليك جدول يوضح الأعراض وتأثيرها:
| العَرَض الطبي | الوصف الدقيق | التأثير على جودة الحياة (Functional Impact) |
|---|---|---|
| الألم المزمن والمبرح | ألم لا يطاق في الكاحل والكعب، يزداد مع الوقوف ويستمر حتى أثناء الراحة. | يمنع النوم، يسبب اكتئاباً، ويتطلب استخداماً مفرطاً لمسكنات الألم القوية. |
| التيبس الشديد | فقدان القدرة على تحريك الكاحل أو القدم للداخل والخارج. | صعوبة بالغة في المشي على الأسطح غير المستوية، وصعوبة في ارتداء الأحذية. |
| التشوه البصري | انحراف ملحوظ في شكل القدم (ميلان للداخل أو الخارج) أو هبوط قوس القدم. | عدم التوازن، السقوط المتكرر، وتآكل الأحذية بشكل غير متساوٍ. |
| التورم المستمر | انتفاخ دائم حول الكاحل لا يزول مع رفع القدم أو وضع الثلج. | الشعور بثقل في القدم، وصعوبة الحركة، وضغط مستمر على الأنسجة المحيطة. |



الخيارات العلاجية: التحفظية مقابل الجراحية
قبل اتخاذ قرار الجراحة، يتم استنفاد كافة الخيارات التحفظية. إليك مقارنة شاملة بين المسارين:
جدول مقارنة: العلاج التحفظي مقابل الجراحي (التثبيت)
| وجه المقارنة | العلاج التحفظي (غير الجراحي) | العلاج الجراحي (تثبيت الكاحل بالمسمار) |
|---|---|---|
| الوسائل المستخدمة | الأدوية، الحقن الموضعية (الكورتيزون/البلازما)، الأحذية الطبية، العكازات. | تدخل جراحي، إزالة الغضاريف، دمج العظام، تثبيت بمسمار نخاعي وبراغي. |
| الهدف الأساسي | تخفيف مؤقت للألم وتأخير تدهور الحالة. | حل جذري للألم، وتصحيح التشوه، واستعادة ثبات القدم الدائم. |
| الفعالية على المدى الطويل | منخفضة في الحالات المتقدمة (حلول مؤقتة). | عالية جداً (نسبة نجاح تتجاوز 85-90% في التخلص من الألم). |
| فترة التعافي | لا يوجد (علاج مستمر للسيطرة على الأعراض). | طويلة (من 3 إلى 6 أشهر لالتئام العظام بالكامل). |
| لمن يُنصح به؟ | الحالات الخفيفة والمتوسطة، أو المرضى غير اللائقين صحياً للجراحة. | الحالات الشديدة، تلف المفاصل الكامل، فشل العلاجات التحفظية. |



التجهيز للعملية: التخطيط الجراحي الدقيق
تبدأ رحلة العلاج مع الأستاذ الدكتور محمد هطيف بتقييم شامل. يتم إجراء فحوصات دموية كاملة، وتخطيط للقلب، والأهم من ذلك: التصوير الطبي المتقدم.

يعتمد الدكتور هطيف على الأشعة السينية (X-rays) والأشعة المقطعية (CT Scans) ثلاثية الأبعاد لبناء خريطة دقيقة للتشوهات العظمية وتحديد حجم ومسار المسمار النخاعي المناسب لكل مريض بدقة متناهية. يتم مناقشة كل هذه التفاصيل بشفافية تامة مع المريض.


خطوات العملية الجراحية بالتفصيل (Step-by-Step)
تستغرق عملية تثبيت مفصل الكاحل والقدم الخلفية بالمسمار النخاعي عادةً من ساعتين إلى ثلاث ساعات، وتتم وفق الخطوات الدقيقة التالية:
1. التخدير والتعقيم
يتم إخضاع المريض للتخدير العام أو النصفي (حسب ما يقرره طبيب التخدير). يتم تعقيم الساق والقدم بالكامل وتجهيز المريض في وضعية تسمح بالوصول المريح للكاحل وأسفل الكعب.

2. الشق الجراحي وإزالة الغضاريف التالفة
يُجري الدكتور هطيف شقوقاً جراحية دقيقة للوصول إلى مفصل الكاحل والمفصل تحت القعب. الخطوة الأكثر أهمية هنا هي إزالة جميع الغضاريف التالفة والمريضة حتى يتم الوصول إلى العظم الحي السليم والنازف، وهي خطوة حاسمة لضمان التحام العظام لاحقاً.

3. تصحيح التشوهات وتعديل الاستقامة
إذا كان هناك أي اعوجاج أو تشوه في القدم، يقوم الجراح بتعديل وضعية العظام (الساق، الكاحل، الكعب) لتكوين زاوية مثالية للمشي (عادة 90 درجة مع الساق).

4. إدخال المسمار النخاعي
يتم عمل شق صغير أسفل الكعب. يتم إدخال سلك توجيهي، يتبعه إدخال المسمار النخاعي القوي المصنوع من التيتانيوم. يخترق المسمار عظمة الكعب، ثم يمر عبر عظمة الكاحل، ليستقر أخيراً داخل القناة النخاعية لعظمة الساق.

5. التثبيت بالبراغي القفلية (Locking Screws)
لضمان عدم تحرك المسمار أو دوران العظام حوله، يتم تثبيت المسمار ببراغي عرضية تخترق العظام والمسمار معاً من الأعلى (في الساق) ومن الأسفل (في الكعب والكاحل). يتم استخدام جهاز التصوير الإشعاعي (C-arm) داخل غرفة العمليات للتأكد من الموضع المثالي لكل مسمار.


6. إغلاق الجروح والتجبير
يتم إغلاق الشقوق الجراحية بعناية فائقة، وتوضع ضمادات معقمة، ثم يتم وضع الساق والقدم في جبيرة أو حذاء طبي صلب لحماية المنطقة ومنع أي حركة أثناء بداية الالتئام.

الدليل الشامل لفترة التأهيل والتعافي
النجاح الجراحي هو نصف المعركة فقط؛ النصف الآخر يعتمد كلياً على التزام المريض ببرنامج التأهيل. التئام العظام عملية بطيئة وتحتاج إلى صبر.
المرحلة الأولى: الأسابيع (0

آلام العظام والمفاصل وتقييد حركتها ليس قدراً محتوماً! التشخيص الدقيق والعلاج المتخصص يمكن أن يعيد لك كامل وظيفتك وحريتك في الحركة. لا تدع الألم يسيطر على حياتك.
للحصول على استشارة دقيقة وخطة علاجية مخصصة لحالتك، تواصل فوراً مع مركز الأستاذ الدكتور محمد هطيف:
الأستاذ الدكتور محمد هطيف - أفضل دكتور عظام في صنعاء، وخبير في جراحات العظام والمفاصل والعمود الفقري.. نلتزم بإعادتك لحياة خالية من الألم وحركة طبيعية.
مواضيع أخرى قد تهمك