الدليل الشامل لعلاج التئام كسور الكاحل والقدم الخلفية بشكل خاطئ

الخلاصة الطبية
يحدث التئام كسور الكاحل الخاطئ عندما تلتئم العظام في وضع غير طبيعي بعد التعرض لإصابة، مما يسبب ألماً مزمناً وصعوبة في المشي. يعتمد العلاج على جراحات تقويم العظام المتقدمة، مثل قص العظم التعديلي لإعادة المحاذاة، أو دمج المفاصل المتضررة لتخفيف الألم واستعادة وظيفة القدم.
الخلاصة الطبية السريعة: يحدث التئام كسور الكاحل الخاطئ عندما تلتئم العظام في وضع غير طبيعي بعد التعرض لإصابة، مما يسبب ألماً مزمناً وصعوبة في المشي. يعتمد العلاج على جراحات تقويم العظام المتقدمة، مثل قص العظم التعديلي لإعادة المحاذاة، أو دمج المفاصل المتضررة لتخفيف الألم واستعادة وظيفة القدم.
مقدمة عن التئام كسور الكاحل والقدم الخلفية بشكل خاطئ
يعد تعرض الإنسان لكسر في منطقة الكاحل أو القدم الخلفية تجربة مؤلمة بحد ذاتها، ولكن التحدي الأكبر يظهر عندما تلتئم هذه الكسور في وضع غير تشريحي صحيح، وهو ما يُعرف طبياً بمصطلح التئام الكسور الخاطئ. تمثل إدارة هذه الحالات واحدة من أعقد التحديات في جراحة العظام التقويمية، نظراً للتعقيد التشريحي لهذه المنطقة التي تحمل وزن الجسم كاملاً أثناء الوقوف والمشي.
عندما تلتئم عظام الكاحل أو الكعب بشكل معوج أو قصير، فإن ذلك يؤدي حتماً إلى تغيير في ميكانيكا حركة المفاصل، مما يسبب ضغطاً هائلاً على الغضاريف. هذا الضغط غير المتكافئ يؤدي بمرور الوقت إلى تآكل الغضاريف، وتطور التهاب المفاصل الرضحي، مصحوباً بألم مزمن وإعاقة وظيفية شديدة تمنع المريض من ممارسة حياته الطبيعية.
الهدف الأساسي من التدخل الجراحي في هذه الحالات ليس مجرد تحسين المظهر الخارجي للقدم، بل هو الاستعادة الدقيقة للمحور الميكانيكي، وتطابق أسطح المفاصل، واستقرار الأربطة. هذه الإجراءات الدقيقة تهدف إلى إيقاف سلسلة التدهور في المفصل وتخفيف الألم بشكل جذري، مما يمنح المريض فرصة جديدة للعودة إلى نشاطه المعتاد.
التشريح الحيوي وتأثير التشوهات على مفصل الكاحل
لفهم خطورة الالتئام الخاطئ، يجب أن ننظر إلى الكاحل كآلة هندسية بالغة الدقة. يتكون مفصل الكاحل بشكل أساسي من التقاء عظمة القصبة وعظمة الشظية مع عظمة الكاحل. تاريخياً، كان يُعتقد أن مقدار الضغط الطبيعي هو العامل الأساسي في صحة المفصل، ولكن النماذج الميكانيكية الحيوية الحديثة أثبتت أن حتى الانحرافات المكانية الطفيفة جداً لها تأثير مدمر.
أظهرت الدراسات الطبية المتقدمة أن قصر عظمة الشظية أو إزاحتها الجانبية بمقدار ملليمترين فقط، أو دورانها للخارج بمقدار خمس درجات، يؤدي إلى زيادة هائلة في ضغط التلامس على أجزاء معينة من سطح المفصل. هذا التغير الطفيف يُخل بتوزيع وزن الجسم، مما يجعل أجزاء صغيرة من الغضروف تتحمل أضعاف طاقتها، وتكون النتيجة الحتمية هي التآكل السريع والتهاب المفاصل. لذلك، تعتبر الإعادة التشريحية الدقيقة لعظمة الشظية أمراً بالغ الأهمية لتقليل خطر الإصابة بخشونة المفاصل المستقبلية.
الأسباب وعوامل الخطر المؤدية للالتئام الخاطئ
تتعدد الأسباب التي قد تؤدي إلى التئام كسور الكاحل والقدم الخلفية في وضع غير صحيح، وتتضمن هذه العوامل ما يلي
- إهمال العلاج الطبي المبدئي أو التأخر في زيارة الطبيب المختص بعد الإصابة
- عدم تثبيت الكسر بشكل كافٍ سواء بالجبس أو بالتدخل الجراحي الأولي
- التحميل المبكر للوزن على القدم المصابة قبل اكتمال التئام العظام
- شدة الإصابة الأولية وتفتت العظام بشكل يجعل التثبيت الأولي معقداً
- هشاشة العظام التي تضعف من قوة تثبيت الشرائح والمسامير وتؤدي إلى تحركها
- حدوث التهابات أو مضاعفات في الجرح بعد الجراحة الأولى مما يؤثر على عملية الالتئام
الأعراض والعلامات السريرية للالتئام الخاطئ
تختلف الأعراض التي يواجهها المريض بناءً على نوع التشوه وموقعه، ولكن هناك علامات عامة تشير إلى وجود التئام خاطئ يجب الانتباه إليها.
التشوه الواضح مقابل التشوه الخفي
صنف أطباء العظام الالتئام الخاطئ لعظمة الشظية الجانبية إلى فئتين سريريتين متميزتين
التشوه الواضح يتميز هذا النوع بوجود إزاحة واضحة لعظمة الكاحل داخل المفصل، مصحوباً باعوجاج ظاهر للعين المجردة في شكل القدم والكاحل. يعاني المريض هنا من ألم مباشر وصعوبة ملحوظة في المشي.
التشوه الخفي يتميز هذا النوع بقصر معزول ودوران خارجي لعظمة الشظية دون وجود إزاحة كبيرة واضحة في صور الأشعة السينية العادية. غالباً ما يعمل الكاحل بشكل معقول لعدة سنوات قبل أن يبدأ المريض في الشعور بألم منتشر وغير محدد يرتبط بالنشاط المجهد، يتبعه تورم مستمر.

التشخيص والتقييم الطبي الشامل
يعد اتخاذ القرار الجراحي عملية فردية للغاية، حيث يقوم جراح العظام المتخصص بتقييم حالة المريض من عدة زوايا. يتم الأخذ في الاعتبار عمر المريض، ومتطلباته الوظيفية، وطبيعة عمله، وشدة التشوه، ومدة الالتئام الخاطئ، ونطاق الحركة الحالي، ووجود تغيرات التهابية أو خشونة في المفاصل.
يعتبر التصوير الطبي المتقدم، وخاصة التصوير المقطعي المحوسب، أمراً إلزامياً لتقييم حالات الالتئام الخاطئ المشتبه بها، خاصة النوع الخفي. اتساع المفصل الليفي الظنبوبي الشظوي في المقاطع المحورية هو علامة مميزة على قصر الشظية والدوران الخارجي، وهي تفاصيل قد لا تظهر بوضوح في الأشعة السينية التقليدية.
الخيارات العلاجية والجراحية المتاحة
عندما يقرر الطبيب ضرورة التدخل الجراحي، فإن الخيار الأساسي يكمن بين إجراء جراحة تحافظ على المفصل من خلال قص العظم التعديلي، أو إجراء جراحة إنقاذية تعتمد على دمج المفصل. في كثير من الأحيان، يمكن لعملية قص العظم المنفذة بدقة متناهية أن تحقق كلاً من استعادة استقامة تحميل الوزن وتخفيف أعراض التهاب المفاصل المبكر.
الإدارة الجراحية للالتئام الخاطئ لعظمة الكعب
غالباً ما يظهر الالتئام الخاطئ لعظمة الكعب مع فقدان في ارتفاع الكعب، وزيادة في عرضه، واحتكاك أسفل الشظية، والتهاب المفصل تحت الكعب. يتم تحديد نوع الجراحة بناءً على درجة التشوه وحالة المفصل.
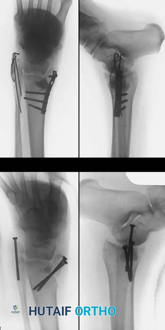
في حالات التشوه من الدرجة الثانية والتي تتضمن التهاب المفصل تحت الكعب مع احتفاظ الكعب بشكله العام، يُنصح بإجراء دمج للمفصل تحت الكعب مع استخدام رقعة عظمية هيكلية. الهدف هنا هو استعادة ارتفاع الكعب ودمج المفصل المتآكل لتخفيف الألم. يتم استخدام نهج جراحي جانبي موسع، ويتم وضع كتلة عظمية مأخوذة من المريض نفسه داخل المفصل لزيادة الارتفاع، مع تثبيت دقيق باستخدام مسامير مجوفة قوية لضمان الانضغاط والالتئام التام.
أما في حالات التشوه من الدرجة الثالثة والتي تتضمن انحرافاً محورياً شديداً، فإن تصحيح المحور يعد شرطاً أساسياً قبل الدمج. قد يتطلب الأمر إجراء قص عظمي لإغلاق الزاوية الجانبية في حالات الانحراف للداخل، أو قص عظمي مع إزاحة وسطية ودوران في حالات الانحراف للخارج. يتم استكمال قص العظم وتعديل المحور قبل وضع مسامير تثبيت دمج المفصل.
إدارة مشاكل الأوتار الشظوية المصاحبة
غالباً ما يؤدي بروز الجدار الجانبي لعظمة الكعب بعد الكسور إلى خلع الأوتار الشظوية أو التهاب الغمد الوتري التضيقي. يتطلب هذا تدخلاً جراحياً دقيقاً يتضمن إزالة الضغط عن الأوتار من خلال إزالة النتوء العظمي الجانبي، وتحرير الأوتار من الالتصاقات، وفي بعض الحالات إعادة بناء القيد الشظوي العلوي لضمان الاستقرار الديناميكي للأوتار أثناء الحركة.
جراحات قص العظم التعديلي للكاحل
يعتمد قرار إجراء قص العظم التعديلي للحفاظ على المفصل مقابل دمج الكاحل على حالة الغضروف المفصلي. تشير الأدبيات الطبية المعاصرة إلى أنه إذا تم استعادة محاذاة تحمل الوزن الطبيعية والعلاقات المفصلية الدقيقة، فيمكن تحقيق وظيفة ممتازة حتى في الحالات المتأخرة. لا يمنع المظهر غير الطبيعي للغضروف بالضرورة الحصول على نتيجة جيدة، ويُحتفظ بقرار الدمج لحالات الفقدان الكامل للغضروف المفصلي.
تقنية إطالة عظمة الشظية
يعد قصر عظمة الشظية هو التشوه الأكثر شيوعاً في حالات الالتئام الخاطئ للكاحل. تعتبر عملية إطالة الشظية وتدويرها داخلياً خطوة حاسمة لاستعادة شكل المفصل الطبيعي.
تبدأ الجراحة بعمل شق طولي فوق موقع الكسر القديم. يتم استخدام منشار متذبذب لعمل قطع عرضي أو مائل في العظم عند قمة التشوه.

من أهم خطوات الجراحة هي الإزالة الجذرية لجميع الأنسجة الليفية المتندبة بين الشظية والقصبة للسماح بحرية حركة الجزء السفلي من الشظية. بعد ذلك، يتم تثبيت شريحة معدنية قوية على الجزء السفلي من العظم.
يتم استخدام جهاز شد مفصلي دقيق يتم توصيله بالشريحة لسحب الجزء السفلي من الشظية للأسفل وتدويره للداخل بشكل متحكم به، وذلك لاستعادة الطول الطبيعي والمحاذاة الصحيحة للمفصل تحت توجيه الأشعة السينية داخل غرفة العمليات.

بمجرد تحقيق الطول والدوران التشريحي الصحيح، يتم قياس الفجوة العظمية الناتجة عن الإطالة. يتم أخذ رقعة عظمية مطابقة بدقة من عظمة الحوض أو أعلى الساق للمريض، ويتم حشرها في الفجوة.

جراحات المراجعة المعقدة للكسور المزدوجة
في الحالات التي تشمل التئاماً خاطئاً في كل من الكعب الداخلي والخارجي، خاصة لدى المرضى الذين يعانون من هشاشة العظام، يتطلب الأمر استراتيجيات تثبيت قوية للغاية. قد يحتاج الكعب الداخلي إلى قص عظمي، وتنظيف الأنسجة الليفية، واستخدام رقع عظمية هيكلية مع شرائح داعمة.

مراحل التعافي وإعادة التأهيل بعد الجراحة
يعتمد نجاح الجراحة التقويمية بشكل كبير على الالتزام الصارم ببروتوكولات إعادة التأهيل بعد الجراحة لحماية مواقع قص العظم والدمج مع تعزيز الشفاء البيولوجي.
المرحلة الأولى من صفر إلى أسبوعين
يتم وضع الطرف المريض في جبيرة مبطنة جيداً أسفل الركبة. يُمنع منعاً باتاً تحميل أي وزن على القدم المصابة. يعد رفع القدم فوق مستوى القلب أمراً بالغ الأهمية للتحكم في التورم وحماية الأنسجة الرخوة. كما يتم إعطاء أدوية للوقاية من تجلط الأوردة العميقة وفقاً للإرشادات الطبية.
المرحلة الثانية من أسبوعين إلى ستة أسابيع
يتم إزالة الغرز الجراحية بعد التأكد من التئام الجروح تماماً. ينتقل المريض لاستخدام حذاء المشي الطبي المخصص مع الاستمرار في منع تحميل الوزن. في حالة إجراء قص عظمي بدون دمج للمفصل، قد يُسمح ببدء حركات لطيفة للكاحل خارج الحذاء الطبي إذا كان التثبيت الداخلي قوياً بما يكفي.
المرحلة الثالثة من ستة إلى اثني عشر أسبوعاً
يتم إجراء صور أشعة سينية لتقييم تكوين الدشبذ العظمي واندماج الرقعة العظمية. إذا كانت علامات الشفاء السريرية والشعاعية إيجابية، يتم البدء في التحميل الجزئي التدريجي للوزن، مع زيادة النسبة أسبوعياً. يركز العلاج الطبيعي في هذه المرحلة على استعادة حركة المفاصل، وتقوية العضلات المحيطة، وإعادة تدريب التوازن.
المرحلة الرابعة ما بعد اثني عشر أسبوعاً
ينتقل المريض تدريجياً لاستخدام الأحذية العادية، وغالباً ما يستعين بدعامات مخصصة للكاحل لتوفير دعم انتقالي. يتم تقييد الأنشطة عالية التأثير والرياضات العنيفة حتى يتم التأكد من الاندماج العظمي الكامل في صور الأشعة، والذي يحدث عادة بين أربعة إلى ستة أشهر بعد الجراحة.
الأسئلة الشائعة حول التئام كسور الكاحل الخاطئ
ما هو الالتئام الخاطئ للكسور وكيف يحدث
الالتئام الخاطئ هو التحام العظام المكسورة في وضع غير طبيعي أو معوج. يحدث هذا نتيجة عدم تثبيت الكسر بشكل صحيح في البداية، أو التحميل المبكر للوزن على القدم، أو بسبب شدة الإصابة التي تمنع العظام من العودة لمكانها الطبيعي.
هل يمكن علاج التئام الكسر الخاطئ بعد مرور سنوات
نعم، يمكن علاج الالتئام الخاطئ حتى بعد مرور سنوات على الإصابة الأولية. يعتمد نوع العلاج على حالة الغضاريف والمفاصل؛ فإذا كانت الغضاريف سليمة يمكن إجراء جراحة تقويمية، وإذا كانت متآكلة بشدة قد يكون دمج المفصل هو الحل الأمثل لتخفيف الألم.
ما هي عملية إطالة عظمة الشظية
هي إجراء جراحي دقيق يهدف إلى تصحيح قصر عظمة الشظية الناتج عن التئام الكسر بشكل خاطئ. يتم قطع العظم في مكان التشوه، وسحبه للأسفل باستخدام جهاز خاص لاستعادة الطول الطبيعي، ثم يتم ملء الفراغ برقعة عظمية وتثبيته بشريحة معدنية.
هل سأتمكن من المشي بشكل طبيعي بعد الجراحة
الهدف الأساسي من الجراحة هو استعادة المحور الطبيعي للقدم وتخفيف الألم. معظم المرضى يلاحظون تحسناً كبيراً في قدرتهم على المشي وممارسة الأنشطة اليومية، ولكن النتيجة النهائية تعتمد على شدة التشوه الأولي ومدى التزام المريض ببرنامج العلاج الطبيعي.
ما هو دمج المفصل وهل سيجعل قدمي متصلبة
دمج المفصل هو جراحة يتم فيها إزالة الغضاريف التالفة وتثبيت العظام معاً لتلتحم كعظمة واحدة. يتم اللجوء إليه في حالات الخشونة الشديدة لتخفيف الألم. على الرغم من أنه يقلل من حركة المفصل المدمج، إلا أن المفاصل المجاورة تعوض جزءاً من الحركة، ويتمكن المريض من المشي بدون ألم.
من أين يتم أخذ الرقعة العظمية المستخدمة في الجراحة
غالباً ما يتم أخذ الرقعة العظمية من جسم المريض نفسه لضمان أفضل نسبة التئام. الأماكن الأكثر شيوعاً لأخذ الرقعة هي عظمة الحوض أو الجزء العلوي من عظمة الساق القصبة في نفس الجهة المصابة.
كم يستغرق التعافي الكامل بعد الجراحة
تختلف مدة التعافي من مريض لآخر، ولكن بشكل عام يحتاج المريض إلى فترة تتراوح بين 6 إلى 8 أسابيع بدون تحميل وزن على القدم، تليها أسابيع من العلاج الطبيعي. قد يستغرق التعافي الكامل والعودة للأنشطة الشاقة من 4 إلى 6 أشهر.
ما هي المخاطر والمضاعفات المحتملة لهذه الجراحة
مثل أي تدخل جراحي كبير، هناك مخاطر محتملة تشمل تأخر التئام الجروح، أو التهاب مكان الجراحة، أو عدم التئام العظام بشكل كامل، أو تضرر الأعصاب والأوعية الدموية الدقيقة. اختيار جراح عظام متخصص ذو خبرة يقلل من هذه المخاطر بشكل كبير.
هل أحتاج إلى إزالة الشرائح والمسامير لاحقاً
في معظم الحالات، لا يوجد ضرورة لإزالة الشرائح والمسامير المعدنية إلا إذا كانت تسبب إزعاجاً أو ألماً للمريض تحت الجلد، أو في حالة حدوث التهاب. إذا لزم الأمر، يتم إزالتها في جراحة بسيطة بعد التأكد من التئام العظام تماماً.
متى يمكنني قيادة السيارة بعد الجراحة
يُمنع قيادة السيارة طوال فترة وضع الجبيرة أو حذاء المشي الطبي، وطوال فترة استخدام الأدوية المسكنة القوية. عادة ما يُسمح بالقيادة بعد استعادة القوة العضلية الكاملة للقدم والقدرة على الضغط على الدواسات بقوة وبدون ألم، وهو ما يحدده الطبيب المعالج عادة بعد 10 إلى 12 أسبوعاً.
كسور العظام المعقدة وإصابات الحوادث ليس قدراً محتوماً! التشخيص الدقيق والعلاج المتخصص يمكن أن يعيد لك كامل وظيفتك وحريتك في الحركة بدون ألم.
للحصول على استشارة طبية دقيقة وخطة علاجية مخصصة لحالتك، تواصل فوراً مع العيادة المتخصصة:
رعاية صحية موثوقة بمعايير عالمية.. وجاهزية كاملة للتعامل مع جراحات الكسور المعقدة وإنقاذ الأطراف.
مواضيع أخرى قد تهمك