مخاطر اصابات عضه القتال: التشخيص والعلاج السريع يجنبك المضاعفات

الخلاصة الطبية
نقدم لك في هذا الدليل خلاصة الأبحاث حول مخاطر اصابات عضه القتال: التشخيص والعلاج السريع يجنبك المضاعفات، هذه الإصابات تمثل جروحًا خطيرة تنتج عن الاحتكاك المباشر بين اليد والفم. على الرغم من صغرها، فإنها تُعد عالية الخطورة للعدوى البكتيرية ومضاعفات كالتِهاب المفاصل الإنتاني، وتلف الأوتار، أو إصابات العظام. يتطلب التقييم والعلاج الفوري لمنع مضاعفات دائمة والحفاظ على وظيفة اليد، مؤكدة ضرورة عدم الاستهانة بها.
مخاطر اصابات عضه القتال التشخيص والعلاج السريع يجنبك المضاعفات
تُعتبر إصابات عضة القتال، أو ما يُعرف بـ "Fight Bite"، من الإصابات الشائعة التي تحدث نتيجة الاحتكاك المباشر بين اليد والفم، وغالبًا ما تكون مصاحبة للعنف الجسدي. هذه الإصابات، على الرغم من صغر حجمها الظاهري، تحمل في طياتها مخاطر جسيمة تتطلب تدخلًا طبيًا فوريًا ومتخصصًا. يمكن أن تؤدي إلى مضاعفات خطيرة مثل التهاب المفاصل الإنتاني، وتلف الأوتار الباسطة، وإصابات العظام والغضاريف، وحتى التهاب العظم والنقي في الحالات المهملة. لذا، فإن الفهم العميق لآلية حدوث هذه الإصابات، وكيفية تقييمها وعلاجها بشكل فعال، أمر بالغ الأهمية للحفاظ على وظيفة اليد وتجنب العواقب الوخيمة.
إن التعامل مع إصابات عضة القتال يتطلب خبرة جراحية دقيقة وفهمًا معمقًا للتشريح المعقد لليد وللكائنات الدقيقة المسببة للعدوى. في هذا السياق، يبرز اسم الأستاذ الدكتور محمد هطيف ، أستاذ جراحة العظام والعمود الفقري والمفاصل بجامعة صنعاء، كواحد من أبرز وأمهر الجراحين في اليمن والمنطقة. بفضل خبرته التي تتجاوز العشرين عامًا في هذا المجال واستخدامه لأحدث التقنيات الجراحية مثل الجراحة المجهرية (Microsurgery) وتنظير المفاصل 4K (Arthroscopy 4K) واستبدال المفاصل (Arthroplasty)، يقدم الدكتور هطيف رعاية طبية لا مثيل لها، مبنية على الدقة العلمية والنزاهة الطبية الصارمة، مما يجعله الخيار الأول والأمثل للتعامل مع مثل هذه الحالات المعقدة في صنعاء، اليمن.
تشريح اليد والفم وعلاقتها بإصابات عضة القتال
لفهم خطورة إصابات عضة القتال، يجب أولاً استعراض التشريح المعني. اليد، وهي أداة معقدة وحيوية، تتكون من 27 عظمة، العديد من المفاصل، الأربطة، الأوتار، الأعصاب، والأوعية الدموية. المنطقة الأكثر عرضة للإصابة في عضة القتال هي مفاصل السلاميات المشطية (MCP joints)، وهي المفاصل التي تربط عظام المشط بعظام السلاميات الأولى للأصابع. هذه المفاصل تغطيها طبقة رقيقة من الجلد ونسيج تحت جلدي، تحتها مباشرة تمر الأوتار الباسطة (Extensor Tendons) التي تسمح بفرد الأصابع.
عندما توجه لكمة إلى الفم، فإن الأسنان، التي تعتبر أدوات حادة، تصطدم بهذه المفاصل. تتسبب هذه الاصطدامات في جروح عميقة قد تمزق الجلد، وتخترق الكبسولة المفصلية، وتلحق الضرر بالأوتار الباسطة، أو حتى تكسر العظام. ما يزيد الأمر تعقيدًا هو أن الفم البشري بيئة غنية بمجموعة واسعة من البكتيريا اللاهوائية والهوائية، مثل المكورات العنقودية (Staphylococcus)، والمكورات العقدية (Streptococcus)، و Eikenella corrodens، بالإضافة إلى العديد من البكتيريا اللاهوائية. عندما تدخل هذه البكتيريا إلى الأنسجة العميقة نتيجة الجرح، فإنها تجد بيئة مثالية للنمو والتكاثر، مما يؤدي إلى عدوى سريعة ومدمرة.
آلية الإصابة والمخاطر المتعمقة
تحدث إصابات عضة القتال عادةً عندما يوجه شخص لكمة إلى فم شخص آخر، مما يؤدي إلى اصطدام مفاصل اليد (خاصة مفصل السلاميات المشطية) بالأسنان. هذا الاصطدام يتسبب في تمزق الجلد والأنسجة الرخوة، وقد يمتد إلى الأنسجة العميقة مثل الأوتار والمفاصل والعظام. ما يميز هذه الإصابات هو أنها تحدث في بيئة ملوثة للغاية، حيث يحتوي الفم البشري على مجموعة واسعة من البكتيريا اللاهوائية والهوائية، مما يزيد من خطر الإصابة بالعدوى.
الخطر الأكبر يكمن في تأخر التشخيص والعلاج. غالبًا ما يقلل المصابون من أهمية هذه الجروح الصغيرة، خاصةً إذا كانت سطحية وغير مؤلمة بشكل كبير في البداية. ومع ذلك، فإن هذه الجروح تخفي وراءها خطرًا حقيقيًا للعدوى العميقة التي يمكن أن تنتشر بسرعة وتسبب تلفًا دائمًا. بالإضافة إلى ذلك، قد تكون هناك إصابات أخرى مصاحبة، مثل كسور العظام أو تلف الأوتار، والتي تتطلب علاجًا خاصًا.
- ظاهرة "الجرح المخفي": عند لكم الفم، تكون الأصابع في وضع الثني. يتمزق الجلد وتخترق البكتيريا الأنسجة العميقة. عندما يعود الإصبع إلى وضع الاستقامة، تتحرك طبقات الجلد والأنسجة، مما يؤدي إلى إغلاق الجرح السطحي ظاهريًا، ولكنه يحبس البكتيريا داخل الأنسجة العميقة (المفصل، الوتر، العظم)، مما يخلق بيئة لاهوائية مثالية لنمو البكتيريا وتطور العدوى. هذا هو السبب الرئيسي لانتشار العدوى بسرعة وصعوبة تشخيصها مبكرًا.
- التهاب المفاصل الإنتاني (Septic Arthritis): إذا اخترقت البكتيريا الكبسولة المفصلية، فإنها تستقر داخل المفصل وتسبب التهابًا صديديًا يمكن أن يدمر الغضروف المفصلي في غضون أيام قليلة، مما يؤدي إلى تيبس المفصل أو تآكله الدائم.
- التهاب الأوتار الباسطة وغمادها (Extensor Tenosynovitis): العدوى يمكن أن تنتشر على طول غمد الوتر الباسط، مما يعيق حركة الوتر ويسبب ألمًا شديدًا وتورمًا وتقييدًا لحركة الإصبع. في الحالات الشديدة، قد يؤدي ذلك إلى تمزق الوتر.
- التهاب العظم والنقي (Osteomyelitis): إذا وصلت العدوى إلى العظم، فإنها تسبب التهابًا مزمنًا يصعب علاجه وقد يتطلب استئصال جزء من العظم المصاب، مما يؤثر بشكل كبير على وظيفة اليد.
- الإصابات العظمية: قد تتسبب الأسنان في كسور صغيرة في رؤوس المشط أو السلاميات، أو حتى فقدان أجزاء عظمية صغيرة (كسور قصفية). هذه الكسور قد تكون مفتوحة وملوثة.
- تشكيل الخراج (Abscess Formation): قد تتجمع البكتيريا والخلايا الالتهابية لتشكل خراجًا صديديًا داخل الأنسجة الرخوة أو حول المفصل، مما يزيد الضغط والألم ويتطلب تصريفًا جراحيًا.
- العواقب طويلة الأمد: تشمل تيبس المفاصل، ضعف القوة، الألم المزمن، تشوهات الأصابع، وفي أشد الحالات، قد تتطلب بتر الإصبع المصاب لإنقاذ بقية اليد.
الأعراض والعلامات التحذيرية
التشخيص المبكر ضروري للغاية، ويتطلب معرفة دقيقة بالأعراض والعلامات التي قد تشير إلى وجود عدوى عميقة أو إصابة خطيرة. يجب على أي شخص يعاني من جرح في اليد ناتج عن لكمة تعرضت للفم أن يطلب الرعاية الطبية الفورية، حتى لو كان الجرح يبدو بسيطًا.
الأعراض الشائعة:
- الألم: قد يكون خفيفًا في البداية ولكنه غالبًا ما يتفاقم بمرور الوقت، خاصة عند محاولة تحريك الإصبع.
- التورم: حول المفصل المصاب أو على طول ظهر اليد.
- الاحمرار والدفء: علامات كلاسيكية للالتهاب والعدوى.
- إفرازات من الجرح: قد تكون صديدية أو دموية، وتشير إلى وجود عدوى نشطة.
- تقييد حركة الإصبع: صعوبة في فرد أو ثني الإصبع بالكامل، خاصة في المفصل المصاب.
- الحمى والقشعريرة: تشير إلى عدوى جهازية أشد.
- رائحة كريهة من الجرح: قد تشير إلى وجود بكتيريا لاهوائية.
جدول 1: الأعراض المحتملة ودلالاتها في إصابات عضة القتال
| العرض/العلامة | الدلالة المحتملة |
|---|---|
| ألم متزايد وتورم | علامة على الالتهاب والعدوى، قد يشير إلى إصابة مفصلية أو وترية عميقة. |
| احمرار ودفء في المنطقة | مؤشر كلاسيكي على الالتهاب الخلوي (Cellulitis) أو عدوى عميقة. |
| صعوبة في فرد الإصبع (Active Extension Lag) | قد يشير إلى تمزق جزئي أو كلي للوتر الباسط، أو التهاب غمد الوتر، أو التهاب مفصلي يمنع الحركة. |
| ألم عند الضغط على المفصل (Joint Tenderness) | دلالة قوية على التهاب المفصل الإنتاني (Septic Arthritis) إذا كان الألم مركزًا على خط المفصل. |
| إفرازات صديدية من الجرح | دليل قاطع على وجود عدوى بكتيرية، وقد تتطلب تنظيفًا جراحيًا فوريًا. |
| حمى وقشعريرة وتوعك عام | تشير إلى عدوى جهازية قد تكون شديدة (Sepsis) وتتطلب علاجًا عاجلاً بالمضادات الحيوية الوريدية. |
| وجود كسور أو شظايا أسنان | يمكن الكشف عنها بالأشعة السينية، وتزيد من تعقيد الإصابة وخطر العدوى وتتطلب إزالة الشظايا وتنظيف الكسر. |
| تصلب أو تيبس في المفصل (Stiffness) | يحدث مع مرور الوقت نتيجة لتلف الغضروف المفصلي أو تليف الأنسجة بعد العدوى، مما يؤثر على وظيفة اليد على المدى الطويل. |
| خدر أو تنميل | نادر الحدوث ولكنه قد يشير إلى إصابة عصبية مصاحبة، أو ضغط على الأعصاب بسبب التورم الشديد. |
التقييم الأولي في قسم الطوارئ والتشخيص الدقيق
عند استقبال مريض مصاب بعضة قتال في قسم الطوارئ، يجب إجراء تقييم شامل لتقدير مدى الإصابة. يبدأ هذا التقييم بأخذ تاريخ مرضي مفصل:
*
آلية الإصابة:
كيف حدثت الإصابة بالضبط؟ (وضعية اليد، قوة اللكمة، مكان الاصطدام).
*
الجدول الزمني:
متى حدثت الإصابة؟ (كلما طالت المدة، زاد خطر العدوى).
*
الأعراض الحالية:
الألم، التورم، القدرة على تحريك الإصبع.
*
التاريخ المرضي للمريض:
أمراض مزمنة (سكري، نقص مناعة)، حساسية، أدوية يتناولها.
*
اللقاحات:
وخاصة لقاح الكزاز.
بعد ذلك، يتم إجراء
فحص سريري دقيق
يتضمن:
*
فحص الجرح:
يتم فحص الجرح بعناية، ليس فقط في وضع استقامة الإصبع، ولكن الأهم في وضع الثني الكامل للمفصل المشط السلامي، حيث تكون الأسنان قد اخترقت اليد. هذا يكشف عن الامتداد الحقيقي للجرح المخفي.
*
تقييم الأوتار:
فحص القدرة على فرد وثني الأصابع لتقييم سلامة الأوتار الباسطة والقابضة.
*
فحص المفاصل:
تقييم وجود ألم عند الحركة، مدى الحركة، وجود تورم مفصلي.
*
التقييم العصبي الوعائي:
فحص الإحساس والدورة الدموية في الإصبع.
الفحوصات التصويرية:
*
الأشعة السينية (X-rays):
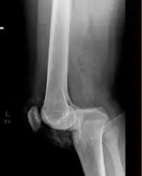
ضرورية للكشف عن كسور العظام، وجود شظايا أسنان متبقية داخل الجرح (الأسنان تظهر بوضوح في الأشعة)، أو وجود غاز في الأنسجة الرخوة أو داخل المفصل (مؤشر لعدوى بكتيرية منتجة للغاز).
*
الموجات فوق الصوتية (Ultrasound):
قد تكون مفيدة لتقييم الأوتار، الكشف عن تجمعات السوائل (الخراجات)، أو لتقييم الأنسجة الرخوة.
*
الرنين المغناطيسي (MRI):
في الحالات المعقدة أو المتأخرة، قد يكون ضروريًا لتقييم الأنسجة الرخوة بشكل أدق، ومدى إصابة الغضاريف، والكشف المبكر عن التهاب العظم والنقي.
الفحوصات المخبرية:
*
تعداد الدم الكامل (CBC):
للكشف عن ارتفاع كريات الدم البيضاء كعلامة للعدوى.
*
سرعة الترسيب (ESR) والبروتين التفاعلي C (CRP):
مؤشرات للالتهاب في الجسم.
*
مزارع الجرح والسوائل المفصلية:
إذا تم الحصول على سائل من المفصل أو خراج، يجب إرساله للزراعة لتحديد نوع البكتيريا ومضاداتها الحيوية المناسبة.
يتمتع الأستاذ الدكتور محمد هطيف بخبرة واسعة في تفسير هذه الفحوصات وتطبيقها لتشخيص حالات عضة القتال بدقة متناهية. بفضل معرفته العميقة بالتشريح البشري والفيزيولوجيا المرضية للعدوى، يستطيع الدكتور هطيف تحديد مدى الإصابة ونوع التدخل الأنسب في كل حالة، مما يضمن أفضل النتائج للمرضى.
خيارات العلاج الشاملة
يعتمد علاج إصابات عضة القتال على عدة عوامل، بما في ذلك عمق الجرح، مدى تلوثه، وجود إصابة مفصلية أو وترية أو عظمية، والوقت المنقضي منذ الإصابة. الهدف الأساسي هو القضاء على العدوى، استعادة وظيفة اليد، ومنع المضاعفات طويلة الأمد.
المبادئ العامة للعلاج
- التدخل الفوري: كل ساعة تأخير تزيد من خطر العدوى وتدمير الأنسجة.
- التنظيف الجراحي (Debridement): إزالة الأنسجة الميتة أو المتضررة والمواد الغريبة (مثل شظايا الأسنان) ضرورية للقضاء على مصدر العدوى.
- السيطرة على العدوى: استخدام المضادات الحيوية المناسبة، والتي غالبًا ما تكون وريدية في البداية.
- حماية الوظيفة: الحفاظ على حركة المفاصل والأوتار من خلال الجراحة وإعادة التأهيل.
العلاج غير الجراحي (Conservative Treatment)
يُعتبر العلاج التحفظي خيارًا نادرًا جدًا ومحدودًا للغاية في حالات عضة القتال، ولا يُنصح به إلا في ظروف استثنائية وبشروط صارمة:
*
دواعي الاستعمال:
فقط في حالات الجروح السطحية للغاية (التي لا تتجاوز الجلد)، والتي تم تقييمها مبكرًا جدًا (خلال ساعات قليلة من الإصابة)، ولا يوجد أي دليل على اختراق المفصل، أو إصابة وترية، أو كسر، أو علامات عدوى عميقة.
*
الإجراءات:
*
تنظيف الجرح:
غسل الجرح بشكل متكرر بمحلول ملحي معقم (Saline Irrigation).
*
المضادات الحيوية الوقائية:
وصف مضادات حيوية واسعة الطيف، وغالبًا ما تكون عن طريق الفم، لتغطية البكتيريا الهوائية واللاهوائية المتوقعة. يجب مراقبة المريض عن كثب.
*
تجبير (Splinting):
وضع جبيرة لتثبيت الإصبع والمفصل المصاب في وضع وظيفي (غالبًا ما يكون المفصل المشط السلامي مثنيًا قليلاً) لتقليل الألم والحركة التي قد تزيد من انتشار العدوى.
*
المراقبة اللصيقة:
يجب على المريض مراجعة الطبيب بشكل يومي أو كل 24 ساعة على الأقل لمراقبة أي علامات تدهور أو انتشار للعدوى.
*
ملاحظة هامة:
نظرًا للمخاطر العالية لانتشار العدوى، يفضل العديد من الجراحين، بما فيهم
الأستاذ الدكتور محمد هطيف
، التدخل الجراحي حتى في الحالات التي تبدو سطحية إذا كان هناك أدنى شك في اختراق المفصل أو عمق الجرح. النزاهة الطبية تحتم اختيار الخيار الأكثر أمانًا وفعالية للمريض.
العلاج الجراحي (Surgical Treatment)
هو الخيار الأكثر شيوعًا وفعالية لإصابات عضة القتال، خاصة تلك التي تشمل المفاصل أو الأوتار أو العظام، أو التي تظهر عليها علامات العدوى.
دواعي الاستعمال:
* جميع الجروح التي تخترق المفصل أو يشتبه في اختراقها.
* وجود إصابة وترية (تمزق جزئي أو كلي).
* وجود كسر عظمي.
* وجود أجسام غريبة (شظايا أسنان).
* علامات العدوى (ألم شديد، تورم، احمرار، إفرازات صديدية، حمى).
* تأخر التشخيص والعلاج (أكثر من 6-12 ساعة من الإصابة).
* عدم الاستجابة للعلاج التحفظي الأولي.
جدول 2: مقارنة بين العلاج التحفظي والجراحي لإصابات عضة القتال
| الميزة | العلاج التحفظي | العلاج الجراحي |
|---|---|---|
| دواعي الاستخدام | نادر جدًا؛ جروح سطحية جدًا، تقييم مبكر جدًا (خلال ساعات)، لا يوجد دليل على اختراق المفصل أو إصابة عميقة. | غالبًا ما يكون الخيار المفضل؛ اختراق المفصل المشتبه به أو المؤكد، إصابة وترية، كسور، أجسام غريبة، علامات عدوى، تأخر في التقييم. |
| الإجراءات الرئيسية | تنظيف الجرح (غسل)، مضادات حيوية فموية، تجبير، مراقبة لصيقة. | تنظيف جراحي دقيق (Debridement)، غسل المفصل والأنسجة، إزالة الأجسام الغريبة، إصلاح الأوتار/الكبسولة، تصريف الخراجات، مضادات حيوية وريدية. |
| المدة العلاجية | أسبوع إلى أسبوعين من المراقبة والمضادات الحيوية، مع خطر كبير للفشل. | يتبع الجراحة دورة مكثفة من المضادات الحيوية (وريدية ثم فموية) قد تمتد لأسابيع، ثم برنامج إعادة تأهيل. |
| مخاطر الفشل | عالية جدًا؛ قد تتطور العدوى إلى التهاب مفصلي إنتاني، أو التهاب عظم ونقي، مما يتطلب جراحة طارئة لاحقًا ونتائج أسوأ. | أقل بكثير عند إجرائه بشكل صحيح من قبل جراح خبير؛ يهدف إلى القضاء على العدوى ومنع المضاعفات الخطيرة. |
| التكلفة | قد تبدو أقل في البداية، لكن تكلفة المضاعفات والفشل اللاحق يمكن أن تكون أعلى بكثير (جراحات متعددة، علاج طويل الأمد). | أعلى في البداية بسبب الإجراء الجراحي والإقامة في المستشفى، لكنها استثمار لمنع مضاعفات أكثر خطورة ومكلفة على المدى الطويل. |
| النتائج المتوقعة | في أفضل الأحوال، شفاء مع خطر تيبس بسيط. في أسوأ الأحوال، تفاقم العدوى وفقدان دائم لوظيفة اليد. | فرصة عالية للشفاء الكامل أو استعادة وظيفة جيدة لليد عند إجرائه مبكرًا وبشكل سليم. |
| دور الأستاذ الدكتور محمد هطيف | قد ينصح به بحذر شديد في حالات محددة جدًا مع مراقبة صارمة، ولكن غالبًا ما يميل للتدخل الجراحي لضمان أفضل النتائج. | يمتلك خبرة وكفاءة عالية في إجراء هذه الجراحات باستخدام أحدث التقنيات، ويضمن التشخيص الدقيق والعلاج الفعال لتقليل المخاطر والمضاعفات. |
إجراءات التدخل الجراحي تحت إشراف الأستاذ الدكتور محمد هطيف
تتطلب جراحة عضة القتال مهارة ودقة عالية لضمان إزالة جميع الأنسجة المصابة وتنظيف المنطقة بشكل كامل، مع الحفاظ على الهياكل الحيوية لليد. الأستاذ الدكتور محمد هطيف ، بصفته جراحًا رائدًا في جراحة اليد، يتبع بروتوكولات صارمة لضمان أعلى مستويات الأمان والفعالية:
- التخدير: تُجرى الجراحة عادة تحت تخدير موضعي (منطقة الذراع) أو تخدير عام، حسب حالة المريض ومدى تعقيد الإصابة.
- التطهير والتحضير: يتم تطهير اليد والساعد بالكامل بمحاليل معقمة، ثم توضع قطعة قماش معقمة حول المنطقة، ويتم وضع رباط ضاغط على الذراع لتقليل تدفق الدم (Tourniquet) مما يوفر رؤية أوضح للمنطقة الجراحية.
- الشق الجراحي: غالبًا ما يقوم الدكتور هطيف بتوسيع الجرح الأصلي، أو عمل شق جراحي جديد على ظهر المفصل المشط السلامي المصاب. في بعض الحالات، قد يحتاج إلى شقوق إضافية لاستكشاف كامل لمدى الإصابة.
-
التنظيف الجراحي (Debridement) والاستكشاف:
- يتم استكشاف جميع طبقات الأنسجة بعناية تحت تكبير، عادة باستخدام عدسات مكبرة أو تحت الجراحة المجهرية (Microsurgery) التي تميز الدكتور هطيف، مما يسمح بالرؤية الدقيقة للأنسجة الصغيرة.
- يتم إزالة جميع الأنسجة النخرية (الميتة) أو الملتهبة، وشظايا الأسنان، وأي أجسام غريبة أخرى بعناية فائقة.
- يتم فحص الوتر الباسط بشكل دقيق. في حال وجود تمزق، يتم إصلاحه باستخدام تقنيات جراحية دقيقة لضمان استعادة الوظيفة.
- يتم فتح الكبسولة المفصلية إذا كانت مخترقة، ويتم غسل المفصل بشكل مكثف بمحلول ملحي معقم (Joint Lavage).
- تنظير المفاصل (Arthroscopy 4K): في بعض الحالات، قد يستخدم الدكتور هطيف تقنية تنظير المفاصل 4K للكشف عن الأنسجة داخل المفصل بدقة فائقة. هذه التقنية تتيح رؤية محسّنة للغضروف والمفصل من الداخل، وتساعد في إزالة أي بقايا أو تنظيف التهابات داخلية دون الحاجة لشق جراحي كبير، وهو ما يقلل من فترة التعافي.
- إصلاح الكسور: إذا كانت هناك كسور، يتم تقييمها وإصلاحها حسب الحاجة، وقد تتطلب تثبيتًا داخليًا بأسلاك صغيرة أو براغي دقيقة.
- الإغلاق الجراحي: غالبًا ما يتم ترك الجرح مفتوحًا جزئيًا أو بالكامل (Delayed Primary Closure) في البداية للسماح بالتصريف ومنع حبس العدوى. بعد أيام قليلة، إذا بدت المنطقة نظيفة وخالية من العدوى، يمكن إغلاق الجرح. في بعض الحالات، يمكن إغلاق الجرح بعد الجراحة مباشرة إذا كان التنظيف شاملاً ولم يكن هناك قلق كبير من العدوى المتبقية.
- التصريف (Drainage): قد يتم وضع أنبوب تصريف رفيع داخل الجرح للسماح بتصريف أي سوائل أو صديد.
- المضادات الحيوية بعد الجراحة: يتم إعطاء المريض مضادات حيوية وريدية واسعة الطيف فورًا بعد الجراحة، وعادة ما تستمر لعدة أيام في المستشفى، ثم تتحول إلى مضادات حيوية فموية لمدة تتراوح بين أسبوعين إلى ستة أسابيع، حسب شدة العدوى واستجابة المريض.
تعتبر الخبرة الواسعة لـ الأستاذ الدكتور محمد هطيف والتزامه بالمعايير العالمية في الجراحة، بالإضافة إلى استخدامه لأحدث التقنيات مثل الجراحة المجهرية وتنظير المفاصل، عوامل حاسمة في تحقيق أفضل النتائج الممكنة لمرضى إصابات عضة القتال، وتقليل مخاطر المضاعفات التي قد تؤدي إلى إعاقة دائمة.
إعادة التأهيل والعلاج الطبيعي
بعد العلاج الجراحي، أو حتى في حالات العلاج التحفظي النادرة، تلعب إعادة التأهيل دورًا حيويًا في استعادة وظيفة اليد بالكامل ومنع التيبس. هذا الجزء لا يقل أهمية عن الجراحة نفسها ويتطلب التزامًا من المريض وإشرافًا متخصصًا.
-
الأهداف الرئيسية لإعادة التأهيل:
- تقليل التورم والألم.
- استعادة نطاق الحركة الكامل للمفصل المصاب والأصابع المحيطة.
- تقوية العضلات والأوتار.
- العودة إلى الأنشطة اليومية والوظيفية.
-
برنامج إعادة التأهيل تحت إشراف فريق الدكتور هطيف:
- التثبيت (Immobilization): بعد الجراحة مباشرة، قد يتم تثبيت اليد أو الإصبع المصاب بجبيرة أو ضمادة خاصة لفترة قصيرة للسماح بشفاء الأنسجة وحماية الإصلاحات الجراحية (خاصة إصلاح الأوتار). يعتمد هذا على نوع الإصابة والإجراء الجراحي.
-
العلاج الطبيعي المبكر المتحكم به:
- تمارين نطاق الحركة اللطيفة: تبدأ هذه التمارين عادة بعد أيام قليلة من الجراحة، بمجرد أن يسمح بها الجراح (الأستاذ الدكتور محمد هطيف). يتم التركيز على حركات سلبية (بمساعدة المعالج) ونشطة (بواسطة المريض نفسه) للأصابع والمفاصل لتجنب التيبس.
- تمارين الانزلاق الوترية (Tendon Gliding Exercises): إذا كانت الأوتار قد تأثرت أو تم إصلاحها، فإن هذه التمارين تساعد على منع الالتصاقات وتسمح للأوتار بالانزلاق بحرية داخل غمدها.
- الكمادات الباردة والساخنة: تساعد في تقليل التورم والألم وتعزيز الدورة الدموية.
- العلاج الوظيفي (Occupational Therapy): يركز على مساعدة المريض على استعادة القدرة على أداء الأنشطة اليومية، مثل الكتابة، الإمساك بالأشياء، وارتداء الملابس. قد يشمل ذلك استخدام أدوات تكيفية.
- تقوية العضلات: بمجرد أن تسمح الأنسجة بالشفاء وتختفي علامات الالتهاب، يتم البدء بتمارين تقوية تدريجية للأصابع والمعصم والساعد لاستعادة القوة الكامنة.
- إدارة الندوب (Scar Management): قد تتشكل ندوب بعد الجراحة. يمكن استخدام التدليك، والضغط، وبعض الكريمات للمساعدة في تنعيم الندبة وتحسين مظهرها وتقليل تأثيرها على الحركة.
- الدعم النفسي: قد يكون التعافي طويلًا ومحبطًا. يتم توفير الدعم النفسي والإرشاد للمرضى للحفاظ على تحفيزهم والتزامهم ببرنامج العلاج.
يضمن فريق العلاج الطبيعي والتأهيل الذي يعمل تحت إشراف الأستاذ الدكتور محمد هطيف تصميم برامج إعادة تأهيل فردية ومخصصة لكل مريض، مع متابعة دقيقة ومستمرة لضمان تحقيق أقصى قدر من استعادة الوظيفة والعودة إلى الحياة الطبيعية.
قصص نجاح المرضى مع الأستاذ الدكتور محمد هطيف
تجسد قصص النجاح التالية كفاءة الأستاذ الدكتور محمد هطيف وخبرته العميقة في التعامل مع أصعب حالات إصابات عضة القتال، مما يثبت مكانته كمرجع موثوق به في صنعاء واليمن في جراحة العظام والمفاصل.
قصة نجاح 1: استعادة الأمل بعد يأس
"وصل الشاب أحمد (28 عامًا) إلى عيادة الأستاذ الدكتور محمد هطيف وهو يعاني من التهاب شديد في مفصل السلاميات المشطية لسبابته اليمنى، بعد أسبوعين من تعرضه لإصابة عضة قتال كان قد أهملها. كان الإصبع منتفخًا، أحمر اللون، ويفرز صديدًا، وكانت حركة المفصل شبه معدومة. كانت حالته متقدمة وتتطلب تدخلاً عاجلاً لمنع انتشار العدوى إلى العظم.
بعد تقييم شامل تضمن الأشعة السينية والرنين المغناطيسي، أظهرت النتائج وجود التهاب مفصلي إنتاني حاد وتآكل جزئي في غضروف المفصل. اتخذ الدكتور هطيف قرارًا فوريًا بالتدخل الجراحي. أجرى الدكتور عملية تنظيف جراحي دقيق (Debridement) باستخدام الجراحة المجهرية لإزالة جميع الأنسجة المصابة وتصريف الصديد. استخدم تقنية تنظير المفاصل 4K لغسل المفصل بشكل مكثف والتأكد من إزالة جميع البكتيريا والأنسجة المتضررة بدقة متناهية. بعد الجراحة، تلقى أحمد دورة مكثفة من المضادات الحيوية الوريدية وبرنامج إعادة تأهيل صارم.
بفضل دقة الجراحة وخبرة الدكتور هطيف ، بدأ أحمد يستجيب للعلاج بشكل ملحوظ. بعد ثلاثة أشهر من الجراحة والعلاج الطبيعي المستمر، استعاد أحمد أكثر من 80% من وظيفة إصبعه، وتمكن من العودة إلى عمله كمهندس. يذكر أحمد دائمًا: 'كنت قد فقدت الأمل في استعادة إصبعه، لكن براعة الأستاذ الدكتور محمد هطيف أنقذتني من إعاقة دائمة.'"
قصة نجاح 2: إنقاذ الوتر من التلف الكامل
"التقى علي (35 عامًا)، وهو عامل بناء، بـ الأستاذ الدكتور محمد هطيف بعد 48 ساعة من تعرضه لإصابة عضة قتال في إبهامه الأيسر. كان الجرح عميقًا وأظهر الفحص السريري صعوبة في فرد الإبهام، مما يشير إلى إصابة في الوتر الباسط. كانت الأشعة السينية نظيفة، لكن خطر العدوى وتهتك الوتر كان مرتفعًا.
أدرك الدكتور هطيف أن التأخير قد يؤدي إلى تلف دائم في الوتر وإعاقة في الإبهام، وهو أمر كارثي لعامل بناء. أجرى الدكتور جراحة استكشاف وتنظيف شاملة. خلال الجراحة، اكتشف تمزقًا جزئيًا في الوتر الباسط للإبهام مع تلوث عميق. باستخدام خبرته في الجراحة المجهرية، أصلح الدكتور هطيف الوتر بدقة فائقة، ثم قام بغسل الأنسجة المحيطة والمفصل بشكل مكثف. تم إغلاق الجرح بطريقة تسمح بالتصريف، وتم وضع جبيرة لتثبيت الإبهام في وضع وظيفي.
بعد الجراحة، اتبع علي برنامجًا مكثفًا من المضادات الحيوية الوريدية لمدة أسبوعين، ثم فموية لأربعة أسابيع، بالإضافة إلى برنامج تأهيل محكم صمم خصيصًا له من قبل فريق الدكتور هطيف . وبعد ستة أشهر، استعاد علي كامل قوة ووظيفة إبهامه، وتمكن من العودة إلى عمله الشاق دون أي قيود. عبر علي عن امتنانه العميق: 'الأستاذ الدكتور محمد هطيف ليس مجرد جراح، إنه فنان في عمله. لقد أنقذ يدي ومستقبلي بفضل خبرته الفائقة وتقنياته الحديثة.'"
قصة نجاح 3: التعامل مع العدوى المعقدة
"جاءت فاطمة (42 عامًا)، وهي معلمة، إلى الأستاذ الدكتور محمد هطيف بعد أن عانت من مضاعفات خطيرة لإصابة عضة قتال في إصبعها الأوسط الأيمن قبل شهرين. كانت قد تلقت علاجًا أوليًا في مكان آخر، لكن العدوى استمرت وتطورت إلى التهاب عظم ونقي مزمن في السلامية الدانية. كانت تعاني من ألم شديد وتورم وتيبس في الإصبع، وهدد الأطباء الآخرون ببتر الإصبع لإنقاذ بقية اليد.
أجرى الدكتور هطيف تقييمًا شاملاً باستخدام الرنين المغناطيسي المتقدم، والذي أكد وجود التهاب عظم ونقي واسع النطاق. قرر الدكتور هطيف، المعروف بنزاهته الطبية وسعيه لإنقاذ الأطراف كلما أمكن، إجراء عملية جراحية معقدة. تضمنت الجراحة إزالة الجزء المصاب من العظم بدقة فائقة، وتنظيف شامل للمنطقة المحيطة، ثم إعادة بناء العظم باستخدام ترقيع عظمي دقيق. استخدم الدكتور هطيف خبرته في الجراحة المجهرية لضمان الحفاظ على الأوعية الدموية والأعصاب الدقيقة.
كانت هذه الجراحة صعبة للغاية، لكن بفضل براعة الدكتور هطيف وخبرته الطويلة التي تتجاوز 20 عامًا، تكللت بالنجاح. بعد فترة طويلة من المضادات الحيوية الوريدية وإعادة التأهيل الشامل، تماثلت فاطمة للشفاء. على الرغم من أن إصبعها لم يستعد حركته بالكامل، إلا أنها تجنبت البتر وعادت إلى حياتها اليومية بقدرة وظيفية مقبولة. تقول فاطمة: 'الأستاذ الدكتور محمد هطيف هو أمل اليمنيين. لقد أثبت أن بالخبرة والتفاني، يمكن تحقيق المستحيل، وأنقذ إصبعي من البتر، وهو ما لم يتصوره أي طبيب آخر.'"
هذه القصص ليست مجرد حكايات، بل هي شهادات حية على التزام الأستاذ الدكتور محمد هطيف بتقديم أعلى مستويات الرعاية الصحية، مستخدمًا أحدث التقنيات الطبية ومعتمدًا على خبرة عميقة وواسعة في جراحة العظام والمفاصل، مما يجعله الاسم الأول في جراحة العظام في صنعاء، اليمن.
الوقاية من إصابات عضة القتال
على الرغم من أننا قد لا نتمكن دائمًا من تجنب المواقف التي قد تؤدي إلى إصابات، إلا أن هناك بعض الإجراءات التي يمكن أن تقلل من مخاطر التعرض لإصابات عضة القتال أو تقلل من شدتها:
- تجنب العنف الجسدي: بالطبع، أفضل طريقة لتجنب هذه الإصابات هي تجنب الدخول في نزاعات عنيفة أو مشاجرات.
- الوعي بالمخاطر: فهم أن لكم الفم البشري يحمل خطرًا كبيرًا للعدوى يمكن أن يكون رادعًا.
- طلب المساعدة المهنية: في حالة التعرض للعنف أو المشاجرات، يجب طلب المساعدة الطبية فورًا، حتى لو بدا الجرح بسيطًا. كلما كان التدخل مبكرًا، كانت النتائج أفضل.
- استخدام معدات الحماية: في بعض الرياضات القتالية، يمكن استخدام قفازات واقية لتقليل فرصة إصابة اليد.
الأسئلة الشائعة (FAQ)
معرفة الإجابات على الأسئلة المتكررة يمكن أن تساعد المرضى على فهم إصابات عضة القتال بشكل أفضل واتخاذ قرارات مستنيرة بشأن علاجهم.
1. ما هي "عضة القتال" ولماذا هي خطيرة؟
"عضة القتال" هي إصابة تحدث عادة عندما يوجه شخص لكمة إلى فم شخص آخر، مما يؤدي إلى جرح في اليد (غالبًا في مفاصل الأصابع). وهي خطيرة للغاية لأن فم الإنسان يحتوي على عدد كبير من البكتيريا التي يمكن أن تدخل إلى الجرح وتسبب عدوى عميقة ومدمرة للمفاصل والأوتار والعظام، مما قد يؤدي إلى إعاقة دائمة أو حتى بتر إذا لم يتم علاجها بسرعة وبشكل صحيح.
2. متى يجب أن أرى الطبيب بعد إصابة عضة القتال؟
يجب عليك رؤية الطبيب
فورًا
، في أقرب وقت ممكن بعد الإصابة. حتى الجروح التي تبدو بسيطة يمكن أن تخفي عدوى عميقة. كلما كان العلاج أسرع (في غضون ساعات قليلة)، كانت فرصة نجاح العلاج ومنع المضاعفات أفضل بكثير. لا تؤجل زيارة الطبيب أبدًا في هذه الحالات.
3. ما هي المضادات الحيوية التي تستخدم لعلاج عضة القتال؟
عادةً ما يتم استخدام مضادات حيوية واسعة الطيف لتغطية مجموعة متنوعة من البكتيريا الهوائية واللاهوائية الموجودة في الفم البشري. قد تشمل المضادات الحيوية الشائعة الأمبيسلين-سولباكتام، أو أموكسيسيلين-كلافولانات، أو سيبروفلوكساسين بالإضافة إلى ميترونيدازول. في الحالات الشديدة أو المؤكدة العدوى، يتم البدء بالمضادات الحيوية الوريدية ثم التحول إلى الفموية بعد التحسن.
الأستاذ الدكتور محمد هطيف
سيحدد البروتوكول الأمثل بناءً على تقييم الحالة.
4. هل يمكن علاج عضة القتال بدون جراحة؟
العلاج غير الجراحي لإصابات عضة القتال نادر جدًا ولا يوصى به إلا في حالات الجروح السطحية جدًا التي يتم تقييمها مبكرًا جدًا (خلال ساعات قليلة) ولا يوجد أي دليل على اختراق المفصل أو إصابة الأوتار أو العظام. حتى في هذه الحالات، تكون المراقبة اللصيقة ضرورية. في معظم الحالات، تكون الجراحة ضرورية لتنظيف الجرح عميقًا وإزالة أي أنسجة ملوثة ومنع انتشار العدوى.
5. كم تستغرق فترة التعافي بعد جراحة عضة القتال؟
تختلف فترة التعافي بشكل كبير اعتمادًا على شدة الإصابة، مدى انتشار العدوى، والإجراء الجراحي الذي تم إجراؤه. قد تستغرق من بضعة أسابيع إلى عدة أشهر. يتطلب الأمر عادة فترة من المضادات الحيوية، يليها برنامج مكثف لإعادة التأهيل والعلاج الطبيعي. سيقدم
الأستاذ الدكتور محمد هطيف
وفريقه تقديرًا دقيقًا لخطتك الزمنية للتعافي.
6. هل يمكن أن تعود العدوى بعد العلاج؟
نعم، هناك دائمًا خطر معاودة العدوى، خاصة إذا لم يتم الالتزام بتعليمات الطبيب بدقة (مثل عدم إكمال دورة المضادات الحيوية) أو إذا كانت هناك بقايا بكتيرية لم يتم القضاء عليها بالكامل. لذلك، المتابعة الدقيقة مع الطبيب والإبلاغ عن أي علامات جديدة للعدوى أمر بالغ الأهمية.
7. ما هي العلامات التي تدل على أن الجرح ملتهب؟
تشمل علامات التهاب الجرح: زيادة الألم، تورم واحمرار حول الجرح، دفء في المنطقة، إفرازات صديدية (قيح) من الجرح، حمى أو قشعريرة، وصعوبة متزايدة في تحريك الإصبع. إذا لاحظت أيًا من هذه العلامات، يجب عليك الاتصال بـ
الأستاذ الدكتور محمد هطيف
أو طلب الرعاية الطبية فورًا.
8. هل يترك جرح عضة القتال ندبة؟
نعم، أي جرح عميق في الجلد سيترك ندبة. تعتمد شدة الندبة على عمق الجرح، طريقة الشفاء، العناية بالجرح، والوراثة الفردية. قد يقوم
الأستاذ الدكتور محمد هطيف
بتوجيهك حول طرق إدارة الندوب لتقليل ظهورها وتحسين وظيفة الجلد.
9. ما هو دور الأستاذ الدكتور محمد هطيف في علاج هذه الإصابات؟
الأستاذ الدكتور محمد هطيف
هو خبير جراحة عظام ذو خبرة تزيد عن 20 عامًا، ومتخصص في إصابات اليد. يقدم تشخيصًا دقيقًا وعلاجًا شاملًا لإصابات عضة القتال، بدءًا من التقييم الأولي وصولاً إلى الجراحة المتقدمة (باستخدام الجراحة المجهرية وتنظير المفاصل 4K) وبرامج إعادة التأهيل. يلتزم بالنزاهة الطبية الصارمة ويسعى دائمًا لتحقيق أفضل النتائج الممكنة للمرضى، مما يجعله الخيار الأول والأكثر موثوقية في صنعاء واليمن.
10. هل يمكن أن تؤثر هذه الإصابات على وظيفة يدي بشكل دائم؟
للأسف، إذا لم يتم علاج إصابات عضة القتال بشكل سريع وفعال، فإنها يمكن أن تؤدي إلى مضاعفات خطيرة تؤثر بشكل دائم على وظيفة اليد، مثل تيبس المفاصل، ضعف القوة، الألم المزمن، أو حتى الحاجة إلى بتر الإصبع في الحالات القصوى. التشخيص والعلاج المبكر والدقيق من قبل خبير مثل
الأستاذ الدكتور محمد هطيف
ضروريان لتقليل هذه المخاطر والحفاظ على وظيفة اليد.
آلام العظام والمفاصل وتقييد حركتها ليس قدراً محتوماً! التشخيص الدقيق والعلاج المتخصص يمكن أن يعيد لك كامل وظيفتك وحريتك في الحركة. لا تدع الألم يسيطر على حياتك.
للحصول على استشارة دقيقة وخطة علاجية مخصصة لحالتك، تواصل فوراً مع مركز الأستاذ الدكتور محمد هطيف:
الأستاذ الدكتور محمد هطيف - أفضل دكتور عظام في صنعاء، وخبير في جراحات العظام والمفاصل والعمود الفقري.. نلتزم بإعادتك لحياة خالية من الألم وحركة طبيعية.
مواضيع أخرى قد تهمك