دليلك الشامل لكسر مونتيجيا عند البالغين: الأسباب، التشخيص، والعلاج الفعال مع الأستاذ الدكتور محمد هطيف

الخلاصة الطبية
كسر مونتيجيا عند البالغين هو إصابة معقدة في الساعد تتضمن كسرًا في عظم الزند وخلعًا في رأس الكعبرة. يتطلب علاجه الجراحي الدقيق لاستعادة وظيفة الذراع وتجنب المضاعفات، وهو ما يقدمه الأستاذ الدكتور محمد هطيف بخبرة عالية في صنعاء.
الخلاصة الطبية السريعة: كسر مونتيجيا عند البالغين هو إصابة معقدة في الساعد تتضمن كسرًا في عظم الزند وخلعًا في رأس الكعبرة. يتطلب علاجه الجراحي الدقيق لاستعادة وظيفة الذراع وتجنب المضاعفات، وهو ما يقدمه الأستاذ الدكتور محمد هطيف بخبرة عالية في صنعاء.
مقدمة عن كسر مونتيجيا عند البالغين
يُعد كسر مونتيجيا (Monteggia fracture-dislocation) إصابة معقدة ونادرة نسبيًا تصيب منطقة الساعد والمرفق، وتتطلب فهمًا عميقًا وتشخيصًا دقيقًا وعلاجًا متخصصًا لضمان أفضل النتائج للمرضى. هذه الإصابة، التي وصفها الجراح الإيطالي جيوفاني باتيستا مونتيجيا لأول مرة عام 1814، تتميز بوجود كسر في عظم الزند (الذي يمتد من المرفق إلى الرسغ) مصحوبًا بخلع في رأس عظم الكعبرة (الذي يقع عند المرفق).
على الرغم من أن كسور مونتيجيا أكثر شيوعًا عند الأطفال، إلا أنها عندما تحدث عند البالغين، فإنها غالبًا ما تكون نتيجة لصدمات عالية الطاقة، مما يجعلها أكثر تعقيدًا وتحديًا في العلاج. تشكل هذه الإصابات تحديًا كبيرًا للأطباء بسبب طبيعتها غير المستقرة وميلها الكبير إلى النتائج السيئة إذا لم يتم التعامل معها بشكل صحيح وفوري. في صنعاء، يقدم الأستاذ الدكتور محمد هطيف ، استشاري جراحة العظام والعمود الفقري، خبرته الواسعة في تشخيص وعلاج حالات كسر مونتيجيا المعقدة، مستخدمًا أحدث التقنيات لضمان أفضل فرص الشفاء للمرضى.
يُسهم التشخيص المبكر والدقيق، يليه التدخل الجراحي المتقن، بشكل حاسم في منع المضاعفات المزمنة مثل عدم الاستقرار الدائم، الألم المستمر، تكوّن العظم المغاير، والضعف الوظيفي الشديد في الذراع المصابة. هذا الدليل الشامل يهدف إلى تزويد المرضى بالمعلومات الأساسية حول كسر مونتيجيا، بدءًا من أسبابه وتشريحه، وصولًا إلى خيارات العلاج، والتعافي، والمضاعفات المحتملة.
التشريح الحيوي ووظيفة المرفق والساعد
لفهم كسر مونتيجيا وتأثيره، من الضروري الإلمام بالتشريح المعقد لمفصل المرفق والساعد. المرفق هو مفصل محوري معقد يربط عظم العضد (في الجزء العلوي من الذراع) بعظمي الساعد وهما الزند والكعبرة. يتكون هذا المفصل من ثلاثة مفاصل فرعية تعمل معًا لتوفير نطاق واسع من الحركة والثبات:
- المفصل العضدي الزندي: يربط عظم العضد بالزند.
- المفصل العضدي الكعبري: يربط عظم العضد بالكعبرة.
- المفصل الكعبري الزندي القريب (PRUJ): يربط رأس الكعبرة بالزند. هذا المفصل الأخير هو الأكثر أهمية في سياق كسر مونتيجيا، حيث يعتمد استقراره بشكل حاسم على سلامة عظم الزند، والرباط الحلقي، والغشاء بين العظمين.
العظام الرئيسية في الساعد والمرفق
- عظم الزند (Ulna): يُعتبر عظم الزند المثبت الأساسي للساعد، ويوفر محورًا ثابتًا لدوران الساعد. نتوءا الزج (Olecranon) والناتئ الإكليلي (Coronoid process) حيويان لمفصل العضد والزند. إن طول ومحاذاة ودوران الزند ضرورية للحفاظ على العلاقة الصحيحة بين رأس الكعبرة وعظم العضد. أي كسور تؤثر على طول الزند أو زاويته أو دورانه تؤدي حتمًا إلى عدم استقرار رأس الكعبرة.
- عظم الكعبرة (Radius): يتصل رأس الكعبرة باللقمة العضدية لعظم العضد وبالشق الكعبري لعظم الزند. يسمح شكله الفريد بحركات الكب (pronation) والبسط (supination) للساعد. يوفر عنق الكعبرة ونتوؤها نقاط ارتباط للعضلات والأربطة. في إصابات مونتيجيا، يعتمد وضع رأس الكعبرة على سلامة الزند وحالة الرباط الحلقي.
- عظم العضد (Humerus): يوفر الجزء السفلي من عظم العضد الأسطح المفصلية (البكرة واللقمة العضدية) للزند والكعبرة على التوالي.
الأربطة الهامة
تلعب الأربطة دورًا حيويًا في تثبيت مفصل المرفق والساعد، وأي إصابة بها تزيد من تعقيد كسر مونتيجيا:
- الرباط الحلقي (Annular Ligament): هو المثبت الأساسي لرأس الكعبرة داخل الشق الكعبري للزند. يشكل حلقة ليفية تحيط برأس وعنق الكعبرة، وتلتصق بالحواف الأمامية والخلفية للشق الكعبري. تُعد تمزقات أو انخلاعات الرباط الحلقي شائعة في إصابات مونتيجيا، وقد تمنع نجاح الرد المغلق أو تؤدي إلى خلع متكرر حتى بعد تثبيت الزند.
- الرباط الجانبي الإنسي (Medial Collateral Ligament - MCL): يتكون من حزم أمامية وخلفية ومستعرضة. يوفر الثبات ضد قوى الانحراف للداخل (valgus stability).
- مجمع الرباط الجانبي الوحشي (Lateral Collateral Ligament - LCL Complex): يشمل الرباط الجانبي الكعبري (RCL)، والرباط الجانبي الزندي (UCL) الذي ينشأ من اللقيمة الوحشية، والرباط الجانبي الإضافي (ACL). الرباط الجانبي الزندي الوحشي (LUCL) حاسم للاستقرار الدوراني الخلفي الوحشي. على الرغم من أن هذه الأربطة أقل مشاركة مباشرة في خلع رأس الكعبرة مقارنة بالرباط الحلقي، إلا أن الإصابات الرباطية المتزامنة الشديدة يمكن أن تزيد من تعقيد استقرار المرفق بشكل عام.
- الغشاء بين العظمين (Interosseous Membrane - IOM): صفيحة ليفية قوية تربط الزند والكعبرة، وتنقل الأحمال المحورية من اليد إلى المرفق. تساهم سلامتها بشكل كبير في استقرار الساعد وتساعد في منع هجرة الكعبرة نحو الأعلى. على الرغم من أنه لا يتم إصلاحه عادة بشكل مباشر، إلا أن توتره يُستعاد مع الرد التشريحي للزند.
الهياكل العصبية الوعائية
توجد أعصاب وأوعية دموية مهمة بالقرب من موقع الإصابة، مما يجعلها عرضة للتلف:
- العصب الخلفي بين العظمين (Posterior Interosseous Nerve - PIN): فرع عميق من العصب الكعبري، يمر عبر العضلة المبسّطة. يكون عرضة للإصابة بشكل خاص في كسور مونتيجيا من النوع الثالث وأثناء العمليات الجراحية التي تتضمن الجانب الوحشي للمرفق أو التشريح الواسع حول عنق الكعبرة.
- العصب الزندي (Ulnar Nerve): يقع في النفق المرفقي خلفيًا. يكون معرضًا للخطر أثناء العمليات الجراحية الخلفية أو في حالات الإزاحة الخلفية الشديدة للزند.
- العصب المتوسط (Median Nerve): يقع أماميًا في الحفرة المرفقية. إصابته أقل شيوعًا في كسور مونتيجيا ولكن يجب تقييمه.
- الشريان العضدي (Brachial Artery): يقع أماميًا، وإصابته أيضًا أقل شيوعًا ولكن تتطلب تقييمًا.
أسباب وعوامل الخطر لكسر مونتيجيا
تحدث كسور مونتيجيا عادة عندما تؤدي قوة كبيرة إلى إخلال العلاقة المعقدة بين الزند والكعبرة والعضد. في البالغين، غالبًا ما تكون هذه الإصابات نتيجة لصدمات عالية الطاقة، على عكس الأطفال حيث قد تحدث نتيجة إصابات أقل شدة. فهم آليات الإصابة يساعد في التشخيص والعلاج.
آليات الإصابة الشائعة
-
آلية الكب المفرط (Hyperpronation Mechanism) - نوع بادو الأول:
- تحدث عادة نتيجة السقوط على يد ممدودة (FOOSH) مع الساعد في وضع الكب المفرط (تدوير الساعد بحيث تواجه راحة اليد الأسفل بقوة).
- تدفع قوة الكب رأس الكعبرة إلى الأمام، بينما يتسبب مزيج من الحمل المحوري (وزن الجسم) والضربة المباشرة (أو قوة الانحناء غير المباشرة) في كسر الزند، غالبًا مع انحراف أمامي. هذا هو النوع الأكثر شيوعًا، ويمثل حوالي 60% من حالات البالغين.
-
آلية فرط البسط (Hyperextension Mechanism) - نوع بادو الثاني:
- تحدث نتيجة السقوط على يد ممدودة مع المرفق في وضع فرط البسط.
- يمكن أن يؤدي ذلك إلى خلع خلفي لرأس الكعبرة وكسر في الزند مع انحراف خلفي. هذا النوع أقل شيوعًا ولكنه يحمل خطرًا أعلى لإصابة العصب الزندي.
-
الصدمة المباشرة (Direct Trauma) - نوع بادو الثالث والرابع:
- يمكن أن تؤدي الضربة المباشرة على الساعد إلى أنماط كسر معقدة وتلف كبير في الأنسجة الرخوة، غالبًا مع خلع جانبي أو أمامي لرأس الكعبرة.
- النوع الثالث: خلع جانبي أو أمامي جانبي لرأس الكعبرة مع كسر في الجزء القريب من الزند (فوق الناتئ الإكليلي). غالبًا ما يرتبط بتفتت شديد في الكسر.
- النوع الرابع: خلع أمامي لرأس الكعبرة مع كسور في كل من الزند والكعبرة عند نفس المستوى. يشير هذا النوع إلى إصابة واسعة النطاق في الأنسجة الرخوة وعدم استقرار شديد.
المبادئ الميكانيكية الحيوية الأساسية
المبدأ الميكانيكي الحيوي الأساسي في علاج إصابات مونتيجيا هو أن الزند يحدد استقرار الساعد بأكمله ورأس الكعبرة . الرد التشريحي والتثبيت الصلب للزند هما شرطان أساسيان لنجاح رد رأس الكعبرة والحفاظ على محاذاته المركزية مع اللقمة العضدية. أي فشل في استعادة طول الزند أو دورانه أو محاذاته سيؤدي حتمًا إلى خلع أو انزلاق جزئي مستمر لرأس الكعبرة، مما يسبب ألمًا مزمنًا وعدم استقرار وتغيرات تنكسية مبكرة.
الأعراض والعلامات لكسر مونتيجيا
عند الإصابة بكسر مونتيجيا، تظهر مجموعة من الأعراض والعلامات التي تدل على خطورة الإصابة وتتطلب عناية طبية فورية. نظرًا لأن هذه الإصابة غالبًا ما تكون ناتجة عن صدمة عالية الطاقة، فإن الأعراض تكون واضحة ومؤلمة جدًا.
الأعراض الشائعة التي قد يلاحظها المريض:
- ألم شديد: يُعد الألم الحاد والشديد في منطقة المرفق والساعد من الأعراض الرئيسية. يزداد الألم عند محاولة تحريك الذراع أو لمس المنطقة المصابة.
- تورم وكدمات: ستظهر منطقة المرفق والساعد تورمًا ملحوظًا وكدمات بسبب النزيف الداخلي وتلف الأنسجة الرخوة.
- تشوه واضح: قد يلاحظ المريض تشوهًا في شكل المرفق أو الساعد، حيث يبدو الذراع في وضع غير طبيعي أو ملتوي. قد يكون رأس الكعبرة المخلوع مرئيًا أو ملموسًا تحت الجلد في وضع غير طبيعي.
- عدم القدرة على تحريك المرفق أو الساعد: سيجد المريض صعوبة بالغة أو عدم قدرة تامة على ثني أو بسط المرفق، أو تدوير الساعد (حركات الكب والبسط). أي محاولة للحركة ستكون مؤلمة للغاية.
- تنميل أو خدر وضعف: نظرًا لقرب الأعصاب من موقع الإصابة، قد يعاني المريض من تنميل أو خدر أو ضعف في اليد أو الأصابع. هذا يشير إلى احتمال إصابة الأعصاب، وخاصة العصب الخلفي بين العظمين (PIN) أو العصب الزندي. يجب الإبلاغ عن هذه الأعراض فورًا للطبيب.
- صوت "طقطقة" أو إحساس بعدم الاستقرار: قد يصف بعض المرضى شعورًا بـ "طقطقة" أو "فرقعة" عند وقوع الإصابة، أو إحساسًا بأن المفصل "ليس في مكانه".
أهمية التقييم الفوري
نظرًا لخطورة كسر مونتيجيا واحتمال حدوث مضاعفات خطيرة إذا لم يتم علاجه بشكل صحيح، فمن الضروري طلب الرعاية الطبية الفورية عند ظهور أي من هذه الأعراض بعد إصابة في المرفق أو الساعد. إن التأخير في التشخيص والعلاج يمكن أن يؤدي إلى نتائج سلبية طويلة الأمد، بما في ذلك الألم المزمن وتقييد الحركة وعدم الاستقرار الدائم.
التشخيص الدقيق لكسر مونتيجيا
يعتمد التشخيص الدقيق لكسر مونتيجيا على مزيج من التقييم السريري الشامل والفحوصات التصويرية المتقدمة. يحرص الأستاذ الدكتور محمد هطيف على اتباع نهج دقيق لضمان تحديد طبيعة الإصابة ومدى تعقيدها بدقة، مما يمهد الطريق لخطة علاج فعالة.
التقييم السريري
يبدأ التشخيص بتاريخ مرضي مفصل وفحص بدني شامل:
- التاريخ المرضي: يسأل الطبيب عن كيفية حدوث الإصابة (آلية السقوط أو الصدمة)، ومدى الألم، وأي أعراض أخرى مثل التنميل أو الضعف. كما يستفسر عن أي حالات طبية سابقة أو أدوية يتناولها المريض.
- الفحص العصبي الوعائي: يُعد هذا الفحص ضروريًا لتقييم وظيفة الأعصاب الرئيسية (المتوسط، الزندي، الكعبري، وخاصة العصب الخلفي بين العظمين - PIN) وحالة الدورة الدموية في اليد والساعد. يتم التحقق من وجود نبض في الشرايين، ودرجة حرارة اليد، ووقت امتلاء الشعيرات الدموية، وأي ضعف في حركة الأصابع أو الرسغ، أو فقدان في الإحساس. توثيق هذه النتائج بدقة أمر بالغ الأهمية.
- تقييم الأنسجة الرخوة: يفحص الطبيب الجلد بحثًا عن أي جروح مفتوحة، أو تورم شديد، أو كدمات، أو علامات متلازمة الحيز المحتملة، والتي قد تتطلب تدخلًا عاجلاً.
الفحوصات التصويرية
تعتبر الفحوصات التصويرية حجر الزاوية في تشخيص كسر مونتيجيا:
-
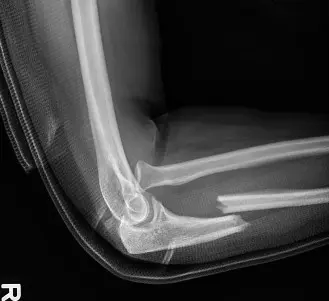
الأشعة السينية العادية (Plain Radiographs):
- الصور الأمامية والخلفية والجانبية للساعد بأكمله، بما في ذلك المرفق والرسغ: هذه الصور حاسمة للتشخيص. الصورة الجانبية ضرورية لتقييم العلاقة بين رأس الكعبرة واللقمة العضدية. يجب أن يقطع خط يمر عبر مركز رأس الكعبرة دائمًا اللقمة العضدية في جميع المناظر والأوضاع. الفشل في ذلك يشير إلى وجود خلع.
- الصور المائلة: يمكن أن تساعد في تحديد أنماط الكسر، خاصة التفتت.
- صور المرفق المقابل: مفيدة للمقارنة، خاصة في حالات الاشتباه في خلع خلقي لرأس الكعبرة أو إصابة سابقة.
-
التصوير المقطعي المحوسب (CT Scan):
-
دواعي الاستخدام:
يوصى به بشدة لإصابات مونتيجيا المعقدة. يوفر معلومات تفصيلية لا تقدر بثمن حول:
- شكل كسر الزند (التفتت، فقدان العظم).
- وجود ومدى كسور رأس أو عنق الكعبرة (غالبًا ما تكون خفية في الأشعة السينية العادية).
- كسور الناتئ الإكليلي (Coronoid process fractures) التي تعتبر حاسمة لاستقرار المرفق.
- تحديد الأجسام الحرة داخل المفصل أو الأنسجة الرخوة المحتجزة التي تمنع الرد.
- إعادة البناء ثلاثية الأبعاد (3D Reconstructions): تساعد في التخطيط الجراحي، خاصة للكسور التي تشمل السطح المفصلي.
-
دواعي الاستخدام:
يوصى به بشدة لإصابات مونتيجيا المعقدة. يوفر معلومات تفصيلية لا تقدر بثمن حول:
-
التصوير بالرنين المغناطيسي (MRI):
- نادرًا ما يُشار إليه في الحالات الحادة إلا إذا كان هناك اشتباه في إصابة رباطية كبيرة (مثل تمزقات الرباط الجانبي الإنسي/الوحشي الشديدة) على الرغم من التثبيت المستقر للزند ورأس الكعبرة. يمكنه أيضًا تقييم سلامة الرباط الحلقي بشكل مباشر.
يضمن الأستاذ الدكتور محمد هطيف في عيادته بصنعاء استخدام أحدث تقنيات التشخيص لتقييم كل حالة كسر مونتيجيا بدقة، مما يسمح بوضع خطة علاج شخصية وفعالة للغاية.
خيارات العلاج المتاحة لكسر مونتيجيا عند البالغين
يُعد كسر مونتيجيا عند البالغين إصابة خطيرة تتطلب غالبًا التدخل الجراحي. على عكس الأطفال، حيث قد يكون الرد المغلق ناجحًا في بعض الحالات، فإن عدم الاستقرار المتأصل في هذه الإصابات عند البالغين، بالإضافة إلى القوى العضلية والتفتت المحتمل للكسر، يجعل العلاج غير الجراحي غير فعال إلى حد كبير ومحفوفًا بالمضاعفات. الهدف الأساسي للعلاج هو استعادة التشريح الطبيعي للزند، مما يؤدي عادةً إلى استقرار رأس الكعبرة.
دواعي التدخل الجراحي
في البالغين، تتطلب جميع أنواع كسور مونتيجيا تقريبًا إدارة جراحية. المؤشر الأساسي للجراحة هو عدم القدرة على تحقيق أو الحفاظ على رد تشريحي ومستقر لكل من كسر الزند وخلع رأس الكعبرة. هذا هو الحال عالميًا تقريبًا عند البالغين.
تشمل الدواعي المحددة ما يلي:
- جميع أنواع كسر مونتيجيا (بادو النوع الأول، الثاني، الثالث، والرابع) عند البالغين.
- كسور مونتيجيا المفتوحة: تتطلب إزالة الأنسجة التالفة جراحيًا وتثبيتًا فوريًا.
- تلف عصبي وعائي مصاحب: على الرغم من ندرته، قد تتطلب الإصابات الوعائية أو ضغط الأعصاب تدخلًا جراحيًا طارئًا.
- خلع رأس الكعبرة غير القابل للرد: إذا تعذر رد رأس الكعبرة بالكامل بعد تثبيت الزند، يُشار إلى الرد المفتوح لمعالجة أي أنسجة رخوة محتجزة (مثل الرباط الحلقي أو المحفظة المفصلية أو العضلات).
- الإصابات المصاحبة التي تؤثر على الاستقرار: مثل كسور الناتئ الإكليلي الكبيرة، والتي تزيد من عدم استقرار المرفق.
الأستاذ الدكتور محمد هطيف: رائد في علاج كسر مونتيجيا في صنعاء
يُعد الأستاذ الدكتور محمد هطيف ، استشاري جراحة العظام والعمود الفقري في صنعاء، من أبرز الجراحين المتخصصين في التعامل مع حالات كسر مونتيجيا المعقدة. بفضل خبرته الواسعة ومعرفته العميقة بالتشريح الدقيق للمرفق والساعد، يضمن الدكتور هطيف تطبيق أحدث وأدق التقنيات الجراحية لتحقيق أفضل النتائج الممكنة للمرضى. يعتمد نهجه على استعادة التشريح الطبيعي للزند بدقة متناهية، وهو ما يُعد المفتاح لنجاح علاج هذه الإصابات.
الجدول: دواعي وموانع الجراحة
| فئة الدواعي / الموانع | الأساس المنطقي / الوصف
آلام العظام والمفاصل المزمنة ليس قدراً محتوماً! التشخيص الدقيق والعلاج المتخصص يمكن أن يعيد لك كامل وظيفتك وحريتك في الحركة بدون ألم.
للحصول على استشارة دقيقة وخطة علاجية مخصصة لحالتك، تواصل فوراً مع مركز الأستاذ الدكتور محمد هطيف:
الأستاذ الدكتور محمد هطيف - أفضل دكتور عظام في صنعاء، وخبير في جراحات العظام والمفاصل المتقدمة.
مواضيع أخرى قد تهمك