الدليل الشامل لتشخيص وعلاج إصابات الركبة بالرنين المغناطيسي والجراحة

الخلاصة الطبية
إصابات الركبة تشمل تمزق الأربطة، وتلف الغضاريف الهلالية، والآفات العظمية. يتم التشخيص الدقيق باستخدام الرنين المغناطيسي المتقدم لتحديد حجم الضرر. يعتمد العلاج على شدة الإصابة، بدءاً من العلاج التحفظي وصولاً إلى التدخل الجراحي بالمناظير لإصلاح الأنسجة واستعادة وظيفة المفصل الطبيعية.
الخلاصة الطبية السريعة: إصابات الركبة تشمل تمزق الأربطة، وتلف الغضاريف الهلالية، والآفات العظمية. يتم التشخيص الدقيق باستخدام الرنين المغناطيسي المتقدم لتحديد حجم الضرر. يعتمد العلاج على شدة الإصابة، بدءاً من العلاج التحفظي وصولاً إلى التدخل الجراحي بالمناظير لإصلاح الأنسجة واستعادة وظيفة المفصل الطبيعية.
مقدمة شاملة عن تشخيص وعلاج إصابات الركبة
تعتبر الركبة من أهم المفاصل في جسم الإنسان وأكثرها تعقيدا، وهي تتحمل وزن الجسم وتلعب دورا حيويا في حركتنا اليومية، من المشي والجري إلى القفز والانحناء. نظرا لهذا العبء الكبير، فإن الركبة هي المنطقة الأكثر عرضة للإصابة والدراسة في الجهاز الهيكلي. إن فهم الميكانيكا الحيوية المعقدة لهذا المفصل، إلى جانب استخدام تقنيات التصوير المتقدمة، يعد أمرا بالغ الأهمية لتقديم الرعاية الطبية المثلى.
نحن ندرك تماما أن المعاناة من ألم الركبة أو التعرض لإصابة يمكن أن يكون أمرا مقلقا ومقيدا للحياة الطبيعية. لذلك، تم إعداد هذا الدليل الطبي الشامل ليكون مرجعك الموثوق، حيث نأخذك في رحلة مفصلة لفهم تشريح ركبتك، وكيفية حدوث الإصابات، وأهمية التشخيص الدقيق باستخدام جهاز الرنين المغناطيسي، وصولا إلى أحدث الخيارات الجراحية وغير الجراحية المتاحة لاستعادة صحتك وحيويتك.
التشريح الحيوي لمفصل الركبة
لفهم كيف تحدث الإصابات، يجب أولا أن نتعرف على المكونات الأساسية التي تجعل ركبتك تعمل بكفاءة. من الناحية الميكانيكية الحيوية، تعمل الركبة كمفصل مفصلي معدل، وتعتمد بشكل كبير في استقرارها على غلاف من الأنسجة الرخوة المحيطة بها.
يتكون مفصل الركبة من التقاء ثلاث عظام رئيسية وهي عظمة الفخذ، وعظمة القصبة، والرضفة. لضمان عدم احتكاك هذه العظام ببعضها البعض وتوفير حركة سلسة، يحتوي المفصل على مكونات حيوية تشمل:
- الغضاريف الهلالية: يوجد غضروفان هلاليان في كل ركبة داخلي وخارجي. يعملان كوسائد لامتصاص الصدمات وتوزيع الحمل على المفصل.
- الأربطة الصليبية: الرباط الصليبي الأمامي والرباط الصليبي الخلفي يتقاطعان داخل الركبة، ويمنعان عظمة القصبة من الانزلاق للأمام أو للخلف بشكل مفرط.
- الأربطة الجانبية: الرباط الجانبي الداخلي والرباط الجانبي الخارجي يوفران الاستقرار الجانبي ويمنعان الركبة من الانحناء للداخل أو للخارج بشكل غير طبيعي.
- الغضروف المفصلي: طبقة ملساء تغطي نهايات العظام لتسهيل الانزلاق وتقليل الاحتكاك.
الأسباب الشائعة وعوامل الخطر
تتعدد الأسباب التي قد تؤدي إلى إصابات الركبة، وتختلف باختلاف الفئة العمرية وطبيعة النشاط اليومي. من أهم هذه الأسباب:
- الإصابات الرياضية: الحركات المفاجئة، التوقف السريع، أو تغيير الاتجاه بقوة أثناء ممارسة رياضات مثل كرة القدم أو كرة السلة، غالبا ما تؤدي إلى تمزق الأربطة الصليبية أو الغضاريف الهلالية.
- التقدم في العمر: مع مرور الزمن، تفقد الأنسجة مرونتها وقوتها، مما يجعل الغضاريف أكثر عرضة للتآكل والتمزق التنكسي.
- الحوادث والصدمات المباشرة: التعرض لضربة قوية على الركبة نتيجة حادث سيارة أو سقوط يمكن أن يسبب كسورا أو تمزقات شديدة في الأربطة.
- الوزن الزائد: كل كيلوجرام إضافي يضع ضغطا مضاعفا على مفصل الركبة، مما يسرع من عملية تآكل الغضاريف.
الأعراض التحذيرية لإصابات الركبة
تختلف الأعراض بناء على نوع الإصابة وشدتها، ولكن هناك علامات تحذيرية شائعة يجب ألا تتجاهلها، وتستدعي استشارة الطبيب المختص فورا:
- سماع صوت فرقعة أو طقطقة عالية وقت حدوث الإصابة.
- تورم سريع وملحوظ في الركبة خلال الساعات الأولى من الإصابة.
- ألم شديد يمنعك من تحميل وزنك على الساق المصابة.
- الشعور بعدم الاستقرار أو أن الركبة تخونك وتنهار تحتك.
- تصلب المفصل وعدم القدرة على فرد أو ثني الركبة بالكامل.
- انغلاق الركبة أو تعليقها في وضعية معينة.
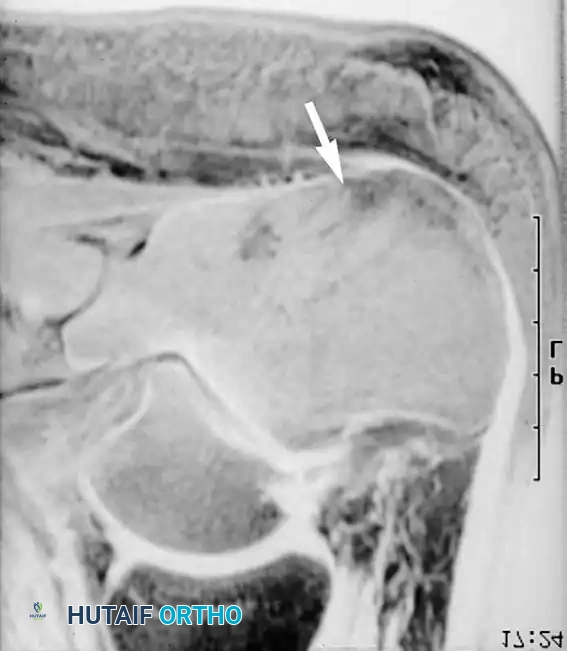
التشخيص الدقيق باستخدام الرنين المغناطيسي
يعد الفحص السريري الخطوة الأولى والأهم، ولكن التخطيط الجراحي الدقيق يعتمد بشكل كبير على تحديد مدى المرض من خلال التصوير المتقدم. يعتبر التصوير بالرنين المغناطيسي المعيار الذهبي في تقييم الأنسجة الرخوة داخل الركبة.
في الفحص الروتيني للركبة، يتم أخذ صور في مستويات مختلفة سهمية وإكليلية ومحورية. لضمان أفضل رؤية، يحرص أطباء الأشعة على توجيه الصور السهمية بزاوية مائلة قليلا تتوازى مع مسار الرباط الصليبي الأمامي. هذا الضبط الدقيق يمنع حدوث أخطاء تصويرية قد تبدو وكأنها تمزق جزئي بينما الرباط سليم تماما.
تشخيص آفات العظام ونخاع العظم
تلعب تسلسلات الرنين المغناطيسي المتقدمة دورا حاسما في التخطيط الجراحي من خلال تحديد الامتداد الدقيق للأمراض العظمية والغضروفية. بعض التسلسلات التي تقوم بقمع إشارة الدهون تكون حساسة للغاية، حيث يمكنها إظهار ارتشاح ونزيف نخاع العظم التفاعلي قبل وقت طويل من حدوث انهيار هيكلي في العظم.
هذه المبادئ التصويرية تنطبق على الطرف السفلي بأكمله. على سبيل المثال، حالات التهاب العظم والغضروف السالخ أو التهابات العظام في القدم والكاحل تظهر بوضوح عبر هذه التقنيات.



كما أن الرنين المغناطيسي له دور فعال في تشخيص التهابات العظام العميقة، مثل تلك التي قد تصيب مرضى السكري، حيث تظهر التغيرات في نخاع العظم بوضوح فائق.


تقييم الغضاريف الهلالية
تتسبب الحالات المرضية للغضروف الهلالي في نسبة كبيرة من آلام الركبة والإعاقة الحركية. تظهر الغضاريف الهلالية الطبيعية في الرنين المغناطيسي كأشكال مثلثة داكنة اللون. عندما يحدث تغير في هذا اللون الداكن وتظهر إشارات مضيئة داخله، يصنف أطباء الأشعة هذه التغيرات إلى ثلاث درجات:
- الدرجة الأولى: مناطق دائرية من الإشارة المتزايدة داخل الغضروف.
- الدرجة الثانية: مناطق خطية من الإشارة المتزايدة لا تصل إلى السطح.
- الدرجة الثالثة: خط غير طبيعي يمتد ليصل إلى السطح المفصلي العلوي أو السفلي.
من المهم جدا للمرضى أن يعرفوا أن الدرجة الأولى والثانية لا تمثل تمزقا حقيقيا، بل هي مجرد تغيرات تنكسية طبيعية لا تحتاج لتدخل جراحي. فقط الدرجة الثالثة هي التي تعبر عن تمزق حقيقي في الغضروف.
يجب تحديد التمزق بدقة من حيث موقعه وشكله سواء كان أفقيا، عموديا، معقدا، أو شعاعيا.


الأكياس الغضروفية والغضروف القرصي
في بعض الأحيان، يصاحب تمزق الغضروف الهلالي تكون أكياس مليئة بالسوائل تسمى الأكياس الغضروفية، والتي تظهر بوضوح في الرنين المغناطيسي.

هناك أيضا تشوهات خلقية مثل الغضروف الهلالي القرصي، حيث يكون الغضروف سميكا ومسطحا بدلا من شكله الهلالي الطبيعي، وهو أكثر شيوعا في الجهة الخارجية للركبة.


التمزقات المعقدة والمزاحة
بعض التمزقات تكون شديدة لدرجة أن جزءا من الغضروف ينفصل وينزاح من مكانه الأصلي ليستقر في منتصف المفصل، مثل تمزق يد الدلو، مما يسبب انغلاق الركبة الميكانيكي.


في حالات أخرى، قد ينزاح الجزء الممزق إلى الأسفل تحت الأربطة الجانبية.

تشخيص إصابات الرباط الصليبي
الرباط الصليبي الأمامي هو المانع الرئيسي لانزلاق عظمة القصبة للأمام. يصور الرنين المغناطيسي بدقة التمزقات الحادة في هذا الرباط، والتي غالبا ما تظهر باتجاه أفقي غير طبيعي للألياف، مع وجود كدمات عظمية مميزة في عظمة الفخذ والقصبة نتيجة اصطدامهما وقت الإصابة.


كما يستخدم الرنين المغناطيسي لتقييم الأربطة الصليبية الخلفية والأربطة الجانبية لضمان سلامتها، وهو أمر حيوي قبل التخطيط لأي جراحة معقدة.

الخيارات المتاحة في العلاج
يعتمد قرار العلاج على عوامل متعددة منها نوع الإصابة، عمر المريض، مستوى نشاطه البدني، وما إذا كانت الإصابة تعيق حياته اليومية. تتجاوز دقة الرنين المغناطيسي في اكتشاف الإصابات نسبة التسعين بالمائة، لكن التأكيد النهائي والعلاج يتمان غالبا عبر تنظير المفصل الجراحي.
العلاج التحفظي غير الجراحي
في حالات التمزقات البسيطة، أو التغيرات التنكسية من الدرجة الأولى والثانية، أو التهابات الأوتار، يكون العلاج التحفظي هو الخيار الأمثل. يشمل هذا العلاج:
* الراحة وتعديل النشاط البدني.
* استخدام الكمادات الباردة لتقليل التورم.
* الأدوية المضادة للالتهابات لتخفيف الألم.
* العلاج الطبيعي لتقوية العضلات المحيطة بالركبة وتحسين استقرارها.
التدخل الجراحي بالمنظار
إذا لم يستجب المريض للعلاج التحفظي، أو في حالات التمزقات الكبيرة المعيقة للحركة، نلجأ إلى جراحة المنظار. تتم الجراحة تحت التخدير العام أو النصفي، حيث يتم عمل ثقوب صغيرة جدا حول الركبة لإدخال كاميرا دقيقة وأدوات جراحية.
جراحات الغضروف الهلالي
الهدف الأساسي في جراحات الغضروف هو الحفاظ على أكبر قدر ممكن من نسيج الغضروف السليم لمنع حدوث خشونة مبكرة في المفصل.
* الاستئصال الجزئي للغضروف: يتم إجراؤه للتمزقات المعقدة أو التنكسية الموجودة في المنطقة غير الدموية من الغضروف المنطقة البيضاء، حيث يتم إزالة الأجزاء المتهتكة فقط وتنعيم الحواف.
* إصلاح وخياطة الغضروف: يفضل هذا الخيار للتمزقات الطولية الموجودة في المنطقة الغنية بالتروية الدموية المنطقة الحمراء، حيث يتم استخدام خيوط أو مثبتات دقيقة لضم حواف التمزق والسماح لها بالالتئام الطبيعي.
بناء الرباط الصليبي الأمامي
لا يمكن خياطة الرباط الصليبي الأمامي الممزق، بل يجب إعادة بنائه باستخدام رقعة نسيجية بديلة.
* اختيار الرقعة: يمكن أخذ الرقعة من جسم المريض نفسه مثل وتر الرضفة أو أوتار المأبض، أو استخدام رقعة من متبرع.
* التقنية الجراحية: يتم حفر أنفاق دقيقة في عظمة القصبة وعظمة الفخذ في المواقع التشريحية الدقيقة للرباط الأصلي، ثم يتم تمرير الرقعة وتثبيتها باستخدام مسامير تداخلية أو أزرار تعليق قشرية.
علاج عيوب الغضروف المفصلي والعظام
في حالات التهاب العظم والغضروف السالخ، يتدخل الجراح عندما يظهر الرنين المغناطيسي وجود سوائل خلف القطعة العظمية مما يدل على عدم استقرارها. تتراوح الخيارات الجراحية بين التثقيب بالمنظار لتحفيز النخاع العظمي على الشفاء، إلى تثبيت القطعة المنفصلة، أو زراعة غضروف ذاتي في حالات العيوب الكبيرة.
التعافي وإعادة التأهيل
تعتبر مرحلة ما بعد الجراحة بنفس أهمية الجراحة ذاتها. يعتمد نجاح العلاج بشكل كبير على التزام المريض ببرنامج إعادة التأهيل.
- في الأيام الأولى: يتم التركيز على تقليل التورم، استعادة القدرة على الفرد الكامل للركبة، وتنشيط عضلات الفخذ الأمامية.
- الأسابيع التالية: يبدأ المريض في استعادة المدى الحركي الكامل للثني، مع التدرج في تحميل الوزن بناء على تعليمات الجراح خاصة بعد عمليات خياطة الغضروف.
- العودة للرياضة: بعد جراحات الرباط الصليبي، يحتاج المريض عادة من تسعة إلى اثني عشر شهرا من التأهيل المكثف قبل العودة الآمنة للرياضات التنافسية، وذلك للسماح للرقعة المزروعة بالاندماج واكتساب قوة الرباط الطبيعي.
الأسئلة الشائعة
هل تصوير الرنين المغناطيسي ضروري دائما لتشخيص ألم الركبة؟
ليس دائما. يبدأ الطبيب بالفحص السريري والأشعة السينية العادية. يطلب الرنين المغناطيسي إذا كان هناك اشتباه في إصابة الأربطة، الغضاريف الهلالية، أو وجود مشاكل خفية في العظام لا تظهر في الأشعة العادية.
ما الفرق بين الدرجة الثانية والدرجة الثالثة في تقرير الرنين المغناطيسي للغضروف؟
الدرجة الثانية تعني وجود تغيرات داخلية طبيعية أو تآكل بسيط لا يصل لسطح الغضروف ولا يعتبر تمزقا يحتاج لجراحة. أما الدرجة الثالثة فتعني وجود شق يمتد لسطح الغضروف، وهو ما يمثل تمزقا حقيقيا قد يتطلب تدخلا طبيا.
هل يمكن أن يلتئم تمزق الغضروف الهلالي بدون جراحة؟
يعتمد ذلك على موقع التمزق. إذا كان التمزق صغيرا ويقع في المنطقة الخارجية الغنية بالدم المنطقة الحمراء، فقد يلتئم بالراحة والعلاج الطبيعي. أما التمزقات في المنطقة الداخلية الخالية من الدم فغالبا لا تلتئم وتتطلب استئصالا جزئيا إذا تسببت في أعراض.
ما هو كيس بيكر وهل هو خطير؟
كيس بيكر هو تجمع للسوائل الزائدة في الجزء الخلفي من الركبة، وغالبا ما يكون نتيجة لمشكلة أخرى داخل المفصل مثل تمزق الغضروف أو الخشونة. هو ليس خطيرا، وعلاجه يعتمد على علاج المشكلة الأساسية المسببة له داخل الركبة.
كم تستغرق فترة التعافي بعد جراحة الرباط الصليبي؟
العودة للمشي والأنشطة اليومية البسيطة تتم خلال أسابيع قليلة، لكن العودة للرياضات العنيفة التي تتطلب تغيير اتجاه مفاجئ تستغرق عادة من 9 إلى 12 شهرا لضمان التئام الرقعة بالكامل.
ما هو الغضروف الهلالي القرصي؟
هو عيب خلقي يولد به الشخص، حيث يكون الغضروف الخارجي للركبة سميكا وعلى شكل قرص بدلا من شكل الهلال الطبيعي. قد لا يسبب أي مشكلة، ولكنه أكثر عرضة للتمزق مقارنة بالغضروف الطبيعي.
هل طقطقة الركبة تعني بالضرورة وجود إصابة؟
لا. طقطقة أو فرقعة الركبة بدون ألم أو تورم هي ظاهرة طبيعية غالبا ما تنتج عن حركة الأوتار أو فقاعات الهواء داخل سائل المفصل. لكن إذا صاحبتها آلام أو تورم، يجب استشارة الطبيب.
ما هي نسبة نجاح جراحات منظار الركبة؟
نسبة النجاح عالية جدا وتتجاوز 90% في معظم الحالات، خاصة عند دمجها مع التشخيص الدقيق بالرنين المغناطيسي والالتزام التام ببرنامج العلاج الطبيعي بعد الجراحة.
هل إزالة جزء من الغضروف الهلالي يؤدي إلى خشونة الركبة؟
الهدف من الجراحة الحديثة هو الحفاظ على أكبر قدر ممكن من الغضروف السليم وإزالة الجزء الممزق فقط. الإزالة الكاملة تزيد من خطر الخشونة، لذلك يحرص الجراحون على الاستئصال الجزئي المحدود أو الخياطة متى ما كان ذلك ممكنا.
كيف أستعد لجراحة منظار الركبة؟
يجب إيقاف الأدوية المسيلة للدم بعد استشارة طبيبك، الصيام لعدد ساعات محددة قبل العملية، وتجهيز المنزل ليكون آمنا وسهل الحركة فيه باستخدام العكازات، بالإضافة إلى الترتيب مع مرافق لمساعدتك في الأيام الأولى بعد الجراحة.
خشونة الركبة وتمزق الأربطة ليس قدراً محتوماً! التشخيص الدقيق والعلاج المتخصص يمكن أن يعيد لك كامل وظيفتك وحريتك في الحركة بدون ألم.
للحصول على استشارة طبية دقيقة وخطة علاجية مخصصة لحالتك، تواصل فوراً مع العيادة المتخصصة:
رعاية صحية موثوقة بمعايير عالمية.. وتميز في جراحات منظار الركبة والمفاصل الصناعية.
مواضيع أخرى قد تهمك