دليلك الشامل لإصابات مفصل الترقوة الأخرمي: الأسباب، الأعراض، والخيارات العلاجية مع الأستاذ الدكتور محمد هطيف

الخلاصة الطبية
إصابات مفصل الترقوة الأخرمي هي إصابات شائعة في الكتف تتراوح من الالتواء البسيط إلى الخلع الكامل، وتحدث عادة بسبب ضربة مباشرة للكتف. يعتمد العلاج على شدة الإصابة، ويتضمن الراحة والعلاج الطبيعي للحالات الخفيفة، وقد يتطلب تدخلًا جراحيًا للحالات الأكثر خطورة لاستعادة الثبات والوظيفة.
الخلاصة الطبية السريعة: إصابات مفصل الترقوة الأخرمي هي إصابات شائعة في الكتف تتراوح من الالتواء البسيط إلى الخلع الكامل، وتحدث عادة بسبب ضربة مباشرة للكتف. يعتمد العلاج على شدة الإصابة، ويتضمن الراحة والعلاج الطبيعي للحالات الخفيفة، وقد يتطلب تدخلًا جراحيًا للحالات الأكثر خطورة لاستعادة الثبات والوظيفة.
مقدمة عن إصابات مفصل الترقوة الأخرمي
يُعد مفصل الترقوة الأخرمي (AC Joint) جزءًا حيويًا من الكتف، يربط عظم الترقوة (الترقوة) بالنتوء الأخرمي (جزء من لوح الكتف). على الرغم من صغر حجمه، إلا أنه يلعب دورًا أساسيًا في حركة الذراع والكتف بشكل سلس وفعال. تُعد إصابات هذا المفصل شائعة جدًا، خاصة بين الأفراد النشطين والرياضيين، حيث تشكل حوالي 10-12% من جميع إصابات حزام الكتف.
تتراوح هذه الإصابات في شدتها من التواء بسيط في الأربطة إلى خلع كامل للمفصل، مما قد يؤثر بشكل كبير على قدرة الشخص على أداء الأنشطة اليومية والرياضية. غالبًا ما تحدث الإصابة نتيجة لضربة مباشرة قوية على الجزء العلوي من الكتف، مثل السقوط على الكتف أثناء ممارسة الرياضات الاحتكاكية (مثل كرة القدم والرجبي) أو أثناء ركوب الدراجات والتزلج. في بعض الأحيان، قد تنتج الإصابة عن قوة غير مباشرة تنتقل عبر الذراع.
تُظهر الدراسات الوبائية أن الرجال، خاصة في الفئة العمرية 20-30 عامًا، هم الأكثر عرضة لهذه الإصابات، ويرجع ذلك إلى مشاركتهم المتكررة في الأنشطة والرياضات عالية المخاطر. بينما تُصنف بعض إصابات مفصل الترقوة الأخرمي على أنها بسيطة، فإن الخلع الشديد قد يؤدي إلى ضعف وظيفي كبير، ألم مزمن، وتشوّه جمالي إذا لم يتم علاجه بشكل صحيح.
يُعد فهم طبيعة هذه الإصابات، وتشريح المفصل، وآلياته الحيوية أمرًا بالغ الأهمية للتشخيص الدقيق، وتصنيف الإصابة، ووضع خطة علاجية فعالة. في هذا الدليل الشامل، سنستعرض كل ما تحتاج لمعرفته حول إصابات مفصل الترقوة الأخرمي، بدءًا من التشريح والأسباب وصولًا إلى خيارات العلاج المتاحة وطرق التعافي، مع التركيز على الخبرة المتميزة للأستاذ الدكتور محمد هطيف، استشاري جراحة العظام والعمود الفقري في صنعاء.
فهم تشريح مفصل الترقوة الأخرمي ووظيفته
لتقدير مدى تعقيد إصابات مفصل الترقوة الأخرمي، يجب أولاً فهم التركيب التشريحي الدقيق للمفصل وكيفية عمله. هذا المفصل هو مفصل زلالي (ديارثروزي) يحتوي على قرص داخل المفصل، ويربط الطرف الجانبي لعظم الترقوة بالحافة الإنسية للنتوء الأخرمي في لوح الكتف. على الرغم من صغر حجمه، إلا أنه حاسم للحركة المعقدة لحزام الكتف.
تشريح مفصل الترقوة الأخرمي
- الأسطح المفصلية: الأسطح المفصلية عادة ما تكون غير متطابقة، حيث غالبًا ما يتراكب الطرف البعيد للترقوة فوق الأخرم. كلا السطحين مغطيان بغضروف زجاجي، والذي يمكن أن يتدهور بمرور الوقت، مما يؤدي إلى التهاب مفصل الترقوة الأخرمي. يوجد قرص ليفي غضروفي (غضروف هلالي) متغير داخل المفصل، قد يكون كاملاً أو غير كامل، وقد يتعرض لتغيرات تنكسية أو تمزقات.
- المحفظة والأربطة الأخرمية الترقوية (AC Ligaments): يحيط بالمفصل محفظة ليفية، يتم تقويتها علويًا وسفليًا بواسطة الأربطة الأخرمية الترقوية العلوية والسفلية. هذه الأربطة هي المثبتات الأفقية الأساسية لمفصل الترقوة الأخرمي، وتقاوم حركة الترقوة الخلفية والأمامية بالنسبة للأخرم. الرباط الأخرمي الترقوي العلوي أقوى وأكثر تحديدًا بكثير من الجانب السفلي، ويتلقى مساهمات من ألياف العضلة الدالية وشبه المنحرفة.
-
الأربطة الغرابية الترقوية (CC Ligaments):
تُعد هذه الأربطة المثبتات الرأسية الأساسية لمفصل الترقوة الأخرمي، وهي حاسمة لمنع الإزاحة العلوية للترقوة. تتكون من حزمتين متميزتين:
- الرباط شبه المنحرف (Trapezoid Ligament): يقع في الجزء الأمامي الجانبي، وينشأ من السطح العلوي للناتئ الغرابي ويدخل في الخط شبه المنحرف على الحديبة المخروطية للترقوة. وهو رباعي الشكل وأكثر ميلًا، ويقاوم الإزاحة الخلفية والعلوية، بالإضافة إلى الضغط المحوري.
- الرباط المخروطي (Conoid Ligament): يقع في الجزء الخلفي الإنسي، وينشأ من القاعدة الخلفية الإنسية للناتئ الغرابي ويدخل في الحديبة المخروطية على السطح السفلي الخلفي للترقوة. وهو مخروطي الشكل وأكثر عمودية، ويقاوم الإزاحة العلوية والدوران.
- المسافة المتوسطة بين الناتئ الغرابي والسطح السفلي للترقوة (الفترة الغرابية الترقوية) تتراوح عادة بين 11-13 ملم في البالغين.
- المرفقات العضلية: تنشأ العضلة الدالية من الثلث الجانبي للترقوة والأخرم، بينما تدخل العضلة شبه المنحرفة في الثلث الجانبي للترقوة والأخرم. تساهم سلامة هذه المرفقات العضلية الوترية، وخاصة الأغلفة اللفافية، بشكل كبير في الاستقرار الكلي للترقوة البعيدة. يؤدي تمزق هذه المرفقات، خاصة في الإصابات عالية الدرجة (النوع الخامس من روكوود)، إلى عدم استقرار شديد.
- الهياكل العصبية الوعائية: تمر الأعصاب فوق الترقوية (فروع الضفيرة العنقية) فوق مفصل الترقوة الأخرمي والترقوة، مما يجعلها عرضة للإصابة أثناء العمليات الجراحية. يمر الوريد الرأسي في التلم الدالية الصدرية، والذي يقع إنسيًا للمجال الجراحي الأساسي ولكنه يمكن أن يكون علامة تشريحية أو قد يتأثر في العمليات الأكثر شمولاً. تقع الضفيرة العضدية والأوعية تحت الترقوية أسفل الترقوة، مما يؤكد الحاجة إلى تشريح دقيق، خاصة حول الناتئ الغرابي.
الميكانيكا الحيوية لمفصل الترقوة الأخرمي
يسمح مفصل الترقوة الأخرمي بحركة محدودة في جميع المستويات الثلاثة، مما يساهم في الحركة الكلية لحزام الكتف. يسمح بدوران لوح الكتف على الترقوة، مما يتيح نطاقًا أكبر لحركة مفصل الحقاني العضدي.
- الاستقرار الأفقي: يتم الحفاظ عليه بشكل أساسي بواسطة الأربطة الأخرمية الترقوية العلوية والسفلية، التي تقاوم حركة الترقوة الأمامية-الخلفية على الأخرم.
- الاستقرار الرأسي: يتم الحفاظ عليه بشكل أساسي بواسطة الأربطة الغرابية الترقوية شبه المنحرفة والمخروطية، التي تمنع الإزاحة العلوية للترقوة. يساهم الرباط شبه المنحرف أيضًا بشكل كبير في الاستقرار الدوراني ويحد من الإزاحة الخلفية للترقوة، بينما يقاوم الرباط المخروطي بشكل أساسي الإزاحة العلوية.
- نقل الحمل: تنتقل القوى من الطرف العلوي عبر مفصل الترقوة الأخرمي إلى الترقوة والمفصل القصي الترقوي، وتتبدد في النهاية في الهيكل العظمي المحوري.
- آلية الإصابة: تؤدي القوة المباشرة على الأخرم، التي تدفعه إلى الأسفل، أولاً إلى تمزق الأربطة الأخرمية الترقوية، ثم بالتتابع الرباط شبه المنحرف، وأخيرًا الرباط المخروطي، مما يؤدي إلى عدم استقرار رأسي تدريجي وإزاحة علوية للترقوة. تحدد درجة التمزق تصنيف روكوود. عادة ما تنطوي الإزاحة الخلفية (النوع الرابع) على قوة تدفع الترقوة البعيدة خلفيًا تحت العضلة شبه المنحرفة. الإزاحة السفلية (النوع السادس) نادرة وغالبًا ما ترتبط بصدمة عالية الطاقة.
الأسباب الشائعة وعوامل خطر إصابات مفصل الترقوة الأخرمي
تُعد إصابات مفصل الترقوة الأخرمي من الإصابات الشائعة التي يمكن أن تؤثر على أي شخص، ولكن هناك أسباب وعوامل خطر محددة تزيد من احتمالية حدوثها. يُسلط الأستاذ الدكتور محمد هطيف الضوء على هذه الجوانب لمساعدة المرضى على فهم كيفية حدوث الإصابة وما يمكن فعله للوقاية منها.
الأسباب الرئيسية للإصابة
السبب الأكثر شيوعًا لإصابات مفصل الترقوة الأخرمي هو:
-
الضربة المباشرة على الكتف:
تحدث هذه الإصابة عادة عندما يتعرض الجزء العلوي من الكتف لضربة قوية ومباشرة، وغالبًا ما يكون الذراع مقربًا من الجسم. تدفع هذه القوة النتوء الأخرمي إلى الأسفل بالنسبة للترقوة. أمثلة على ذلك:
- السقوط على الكتف: هذا يحدث بشكل متكرر في الرياضات مثل ركوب الدراجات، التزلج، التزحلق على الجليد، أو حتى السقوط العرضي في المنزل أو في العمل.
- الرياضات الاحتكاكية: مثل كرة القدم الأمريكية، الرجبي، الهوكي، والفنون القتالية، حيث يكون هناك احتكاك مباشر وعنيف بين اللاعبين.
- القوة غير المباشرة: في حالات أقل شيوعًا، قد تنتقل القوة عبر الذراع بعد السقوط على اليد الممدودة، مما يؤدي إلى ضغط على مفصل الترقوة الأخرمي وإصابته.
عوامل الخطر
هناك عدة عوامل تزيد من خطر الإصابة بمفصل الترقوة الأخرمي:
- الرياضات عالية المخاطر: المشاركة في الرياضات التي تنطوي على احتكاك جسدي مباشر أو خطر السقوط المتكرر (مثل الرياضات المذكورة أعلاه) تزيد بشكل كبير من احتمالية الإصابة.
- الجنس والعمر: تظهر الإحصائيات أن الرجال، وخاصة الشباب في الفئة العمرية 20-30 عامًا، هم الأكثر عرضة لهذه الإصابات. يعزى ذلك غالبًا إلى مستويات النشاط البدني العالية والمشاركة في الرياضات الأكثر خطورة في هذه الفئة.
- المهن التي تتطلب جهدًا بدنيًا: الأفراد الذين يعملون في مهن تتطلب رفع أوزان ثقيلة، أو حركات متكررة للكتف، أو التعرض لخطر السقوط (مثل عمال البناء، رجال الإطفاء) قد يكونون أكثر عرضة.
- ضعف العضلات المحيطة بالكتف: ضعف عضلات الكتف وحزام الكتف قد يقلل من الحماية الطبيعية للمفصل ويزيد من تعرضه للإصابة.
- تاريخ سابق لإصابة الكتف: الأفراد الذين تعرضوا لإصابات سابقة في الكتف قد يكونون أكثر عرضة لإصابات متكررة.
يُشدد الأستاذ الدكتور محمد هطيف على أهمية الوعي بهذه الأسباب وعوامل الخطر، خاصة بالنسبة للرياضيين والأشخاص النشطين. يمكن أن يساعد اتخاذ تدابير وقائية، مثل استخدام معدات الحماية المناسبة، وتقنيات السقوط الآمنة، وتقوية عضلات الكتف، في تقليل مخاطر هذه الإصابات. ومع ذلك، في حالة حدوث الإصابة، فإن التشخيص المبكر والعلاج المناسب ضروريان لتحقيق أفضل النتائج.
أعراض إصابات مفصل الترقوة الأخرمي ومتى يجب رؤية الطبيب
تتراوح أعراض إصابات مفصل الترقوة الأخرمي بشكل كبير اعتمادًا على شدة الإصابة. من المهم جدًا التعرف على هذه الأعراض لطلب العناية الطبية في الوقت المناسب، خاصة وأن الأستاذ الدكتور محمد هطيف يؤكد أن التشخيص المبكر يسهل العلاج ويحسن النتائج.
الأعراض الشائعة لإصابات مفصل الترقوة الأخرمي
بشكل عام، تشمل الأعراض الرئيسية لإصابات مفصل الترقوة الأخرمي ما يلي:
-
الألم:
- ألم فوري ومفاجئ: يحدث مباشرة بعد الإصابة، وغالبًا ما يكون حادًا وموضعًا في الجزء العلوي من الكتف، تحديدًا عند التقاء الترقوة والأخرم.
- ألم يزداد مع الحركة: يزداد الألم عند محاولة رفع الذراع فوق مستوى الرأس، أو تحريكه عبر الصدر (تقريب الذراع)، أو عند النوم على الجانب المصاب.
- ألم عند لمس المفصل: يكون المفصل مؤلمًا وحساسًا للمس أو الضغط المباشر.
- التورم والكدمات: قد يظهر تورم واضح وكدمات (تغير لون الجلد) حول منطقة المفصل المصاب، خاصة في الحالات الأكثر شدة.
-
التشوه المرئي:
- في الإصابات الأكثر خطورة (الخلع)، قد يلاحظ المريض أو الطبيب نتوءًا أو "عثرة" واضحة في الجزء العلوي من الكتف، حيث تكون الترقوة مرتفعة فوق الأخرم. يُعرف هذا أحيانًا بـ "علامة مفتاح البيانو"، حيث يمكن دفع الترقوة للأسفل ثم تعود لترتفع مرة أخرى عند إزالة الضغط.
- قد يبدو الكتف المصاب منخفضًا أو "متدليًا" مقارنة بالكتف السليم.
- محدودية حركة الكتف: صعوبة في تحريك الذراع في نطاقها الطبيعي، خاصة عند الرفع أو التدوير. قد تكون هذه المحدودية ناتجة عن الألم أو عن عدم الاستقرار الميكانيكي للمفصل.
- الضعف: قد يشعر المريض بضعف في الذراع أو الكتف، مما يجعل من الصعب حمل الأشياء أو أداء المهام التي تتطلب قوة في الجزء العلوي من الجسم.
- صوت طقطقة أو فرقعة: في بعض الحالات، قد يسمع المريض صوت طقطقة أو فرقعة في وقت الإصابة.
متى يجب رؤية الطبيب
يُوصي الأستاذ الدكتور محمد هطيف بضرورة زيارة الطبيب فورًا في الحالات التالية:
- ألم شديد ومفاجئ في الكتف بعد السقوط أو التعرض لضربة.
- تشوه مرئي واضح في منطقة الكتف، مثل نتوء أو ارتفاع في الترقوة.
- عدم القدرة على تحريك الذراع بشكل طبيعي أو رفعها.
- خدر أو وخز في الذراع أو اليد، مما قد يشير إلى إصابة عصبية (وهي نادرة ولكنها تتطلب فحصًا فوريًا).
- الألم الذي لا يتحسن بالراحة أو مسكنات الألم التي لا تستلزم وصفة طبية خلال يوم أو يومين.
إن التشخيص المبكر والعلاج المناسب، خاصة في الحالات الشديدة، يمكن أن يمنع المضاعفات طويلة الأمد مثل الألم المزمن، وعدم استقرار الكتف، والتهاب المفاصل في مفصل الترقوة الأخرمي. بفضل خبرته الواسعة، يستطيع الأستاذ الدكتور محمد هطيف تقديم التقييم الدقيق ووضع خطة علاجية مخصصة لكل حالة.
تشخيص إصابات مفصل الترقوة الأخرمي تصنيف روكوود
يُعد التشخيص الدقيق لإصابات مفصل الترقوة الأخرمي هو الخطوة الأولى نحو العلاج الفعال. يعتمد الأستاذ الدكتور محمد هطيف على تقييم شامل يشمل الفحص السريري الدقيق والتصوير الطبي، مسترشدًا بنظام تصنيف روكوود (Rockwood Classification) الذي يُعد المعيار الذهبي لتحديد شدة الإصابة وتوجيه القرارات العلاجية.
التقييم قبل الجراحة والتصوير التشخيصي
-
التقييم السريري:
- تاريخ الإصابة: يبدأ الأستاذ الدكتور محمد هطيف بسؤال المريض عن آلية الإصابة بالتفصيل، وتوقيت حدوثها، والأنشطة الوظيفية التي يمارسها المريض، وطبيعة الألم.
- الفحص البدني: يتم فحص الكتف لتقييم التشوه (مثل علامة مفتاح البيانو)، وموضع الألم عند اللمس، ومدى استقرار المفصل، ونطاق حركة الذراع. كما يتم تقييم الحالة العصبية الوعائية للذراع للتأكد من عدم وجود إصابات مصاحبة للأعصاب أو الأوعية الدموية.
-
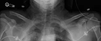
التقييم الإشعاعي (التصوير):
-
الصور الشعاعية القياسية (الأشعة السينية):
تُعد ضرورية لتقييم المفصل. تشمل:
- المنظر الأمامي الخلفي (AP View): للكتف (AP حقيقي مع إمالة ذنبية 30° أو منظر غراشي) ومنظر جانبي إبطي (لتقييم الإزاحة الأمامية الخلفية واستبعاد خلع كسري خلفي للمفصل الحقاني العضدي)، ومنظر Y للكتف.
- منظر زانكا (Zanca View): وهو منظر AP متخصص مع إمالة رأسية 10-15°، يتركز على مفصل الترقوة الأخرمي، مما يقلل من تداخل العظام من الأخرم وشوكة لوح الكتف، ويوفر رؤية أوضح لمساحة مفصل الترقوة الأخرمي.
- صور الإجهاد (Stress Views): كانت تُستخدم تاريخيًا (صور AP ثنائية الجانب مع حمل المريض أوزانًا تتراوح من 10-15 رطلاً في كل يد) للتمييز بين إصابات النوع الثاني والثالث من خلال إبراز الإزاحة الرأسية. ومع ذلك، فقد انخفض استخدامها بسبب مخاوف تتعلق بانزعاج المريض، والنتائج غير المتسقة، والتعرض للإشعاع. غالبًا ما يكون الفحص السريري والصور القياسية كافيين.
- التصوير المقطعي المحوسب (CT Scan): يُشار إليه في إصابات النوع الرابع لتحديد الإزاحة الخلفية للترقوة بدقة داخل العضلة شبه المنحرفة، وتقييم الكسور المصاحبة (مثل كسر الناتئ الغرابي، الترقوة البعيدة، الأخرم)، والمساعدة في الحالات المزمنة المعقدة. يمكن أن تكون إعادة البناء ثلاثية الأبعاد مفيدة بشكل خاص.
- التصوير بالرنين المغناطيسي (MRI): لا يُطلب بشكل روتيني في الإصابات الحادة ولكنه يمكن أن يكون مفيدًا في الحالات المزمنة لتقييم سلامة الأربطة الغرابية الترقوية، والكفة المدورة، والشفا، واستبعاد الأسباب الأخرى لألم الكتف. يمكنه أيضًا تصور درجة تمزق العضلات.
-
الصور الشعاعية القياسية (الأشعة السينية):
تُعد ضرورية لتقييم المفصل. تشمل:
تصنيف روكوود لإصابات مفصل الترقوة الأخرمي
يُعد نظام تصنيف روكوود هو الأساس لتحديد شدة إصابة مفصل الترقوة الأخرمي، ويوجه الأستاذ الدكتور محمد هطيف في اتخاذ القرار العلاجي الأمثل لكل مريض. يعتمد التصنيف على درجة الإزاحة وتلف الأربطة:
-
النوع الأول (Type I):
- الوصف: التواء في الأربطة الأخرمية الترقوية دون تمزق مجهري. يظل مفصل الترقوة الأخرمي مستقرًا، والأربطة الغرابية الترقوية سليمة. لا توجد إزاحة مرئية في الأشعة السينية.
- المعنى للمريض: إصابة بسيطة جدًا، غالبًا ما تسبب ألمًا خفيفًا وحساسية عند اللمس.
-
النوع الثاني (Type II):
- الوصف: تمزق كامل في الأربطة الأخرمية الترقوية والمحفظة، مع التواء أو تمزق جزئي في الأربطة الغرابية الترقوية. تكون الترقوة مخلوعة جزئيًا علويًا ولكنها ليست مخلوعة بالكامل؛ تزداد الفترة الغرابية الترقوية بأقل من 25% مقارنة بالجانب المقابل. تبقى منشأ العضلة الدالية وشبه المنحرفة سليمة.
- المعنى للمريض: ألم متوسط، وقد يظهر نتوء طفيف في الكتف. قد يشعر بعدم استقرار طفيف.
-
النوع الثالث (Type III):
- الوصف: تمزق كامل في كل من الأربطة الأخرمية الترقوية والغربية الترقوية. تكون الترقوة مخلوعة بشكل واضح علويًا، مع زيادة الفترة الغرابية الترقوية بنسبة 25-100% (أو ما يصل إلى قطر كامل لعظم الترقوة) مقارنة بالجانب المقابل. عادة ما تكون عضلات الدالية وشبه المنحرفة منفصلة عن الترقوة البعيدة.
- المعنى للمريض: ألم شديد، نتوء واضح في الكتف، وصعوبة كبيرة في حركة الذراع.
-
النوع الرابع (Type IV):
- الوصف: تمزق كامل في الأربطة الأخرمية الترقوية والغربية الترقوية، مع إزاحة الترقوة البعيدة خلفيًا داخل أو عبر العضلة شبه المنحرفة. يمكن رؤية هذه الإزاحة بشكل أفضل في المنظر الجانبي الإبطي أو التصوير المقطعي المحوسب.
- المعنى للمريض: ألم شديد، تشوه واضح، وعدم قدرة على تحريك الذراع بشكل طبيعي. قد يكون من الصعب إرجاع الترقوة يدويًا.
-
النوع الخامس (Type V):
- الوصف: تمزق كامل في الأربطة الأخرمية الترقوية والغربية الترقوية، مع إزاحة علوية شديدة للترقوة البعيدة، غالبًا ما تزيد عن 100% من الفترة الغرابية الترقوية الطبيعية أو أكبر من قطر كامل لعظم الترقوة. يوجد تمزق واسع النطاق لعضلات الدالية وشبه المنحرفة من الثلث البعيد للترقوة والأخرم.
- المعنى للمريض: ألم مبرح، تشوه جمالي كبير جدًا، وفقدان شبه كامل لوظيفة الكتف.
-
النوع السادس (Type VI):
- الوصف: نادر للغاية. تمزق كامل في الأربطة الأخرمية الترقوية والغربية الترقوية، مع إزاحة سفلية للترقوة البعيدة إلى وضع تحت الغرابي أو تحت الأخرمي. هذه إصابة عالية الطاقة مع احتمال حدوث مضاعفات عصبية وعائية.
- المعنى للمريض: إصابة خطيرة جدًا تتطلب تدخلًا طبيًا عاجلاً بسبب خطر تلف الأعصاب والأوعية الدموية.
بناءً على هذا التصنيف، يضع الأستاذ الدكتور محمد هطيف خطة علاجية فردية لكل مريض، مع الأخذ في الاعتبار ليس فقط شدة الإصابة ولكن أيضًا عمر المريض، مستوى نشاطه، وظيفته، وأي حالات صحية أخرى.
خيارات علاج إصابات مفصل الترقوة الأخرمي الجراحي وغير الجراحي
يعتمد علاج إصابات مفصل الترقوة الأخرمي بشكل أساسي على شدة الإصابة وفقًا لتصنيف روكوود، بالإضافة إلى عوامل خاصة بالمريض مثل مستوى النشاط، العمر، اليد المهيمنة، والأمراض المصاحبة. يُعد الأستاذ الدكتور محمد هطيف خبيرًا في تحديد أفضل مسار علاجي لكل حالة، سواء كان ذلك علاجًا غير جراحي أو جراحيًا.
دواعي العلاج والإرشادات
| نوع روكوود | دواعي العلاج الجراحي
آلام العظام والمفاصل المزمنة ليس قدراً محتوماً! التشخيص الدقيق والعلاج المتخصص يمكن أن يعيد لك كامل وظيفتك وحريتك في الحركة بدون ألم.
للحصول على استشارة دقيقة وخطة علاجية مخصصة لحالتك، تواصل فوراً مع مركز الأستاذ الدكتور محمد هطيف:
الأستاذ الدكتور محمد هطيف - أفضل دكتور عظام في صنعاء، وخبير في جراحات العظام والمفاصل المتقدمة.
مواضيع أخرى قد تهمك