الدليل الشامل لتشخيص وعلاج أمراض مفصل الورك بالرنين المغناطيسي

الخلاصة الطبية
يعتبر مفصل الورك من أهم مفاصل الجسم. يتم تشخيص أمراضه مثل تنخر العظام وهشاشة العظام العابرة والكسور الخفية بدقة متناهية عبر التصوير بالرنين المغناطيسي. يعتمد العلاج على التشخيص المبكر ويتراوح بين الراحة والعلاج الطبيعي وصولا إلى التدخل الجراحي.
الخلاصة الطبية السريعة: يعتبر مفصل الورك من أهم مفاصل الجسم. يتم تشخيص أمراضه مثل تنخر العظام وهشاشة العظام العابرة والكسور الخفية بدقة متناهية عبر التصوير بالرنين المغناطيسي. يعتمد العلاج على التشخيص المبكر ويتراوح بين الراحة والعلاج الطبيعي وصولا إلى التدخل الجراحي.
مقدمة
يعد مفصل الورك أحد أكبر المفاصل الحاملة للوزن في جسم الإنسان، ويلعب دورا محوريا في قدرتنا على المشي والجري وأداء الأنشطة اليومية بسلاسة. عندما يتعرض هذا المفصل للإصابة أو المرض، فإن الألم والقيود الحركية الناتجة يمكن أن تؤثر بشكل عميق على جودة حياة المريض. في العقود الأخيرة، أحدث التصوير بالرنين المغناطيسي ثورة طبية حقيقية في تقييم مفصل الورك والحوض، حيث يمتلك قدرة غير مسبوقة على تصوير نخاع العظم في عظم الفخذ القريب واكتشاف مجموعة واسعة من الحالات المرضية في مراحلها الأولى التي قد لا تظهر في صور الأشعة السينية التقليدية.
يهدف هذا الدليل الطبي الشامل إلى تزويد المرضى وعائلاتهم بمعلومات دقيقة وموثوقة حول أمراض مفصل الورك الشائعة، مثل تنخر العظام، وهشاشة العظام العابرة، والكسور الخفية، وإصابات الشفا الحقي. سنستعرض بالتفصيل كيف يساعد التصوير بالرنين المغناطيسي في الوصول إلى تشخيص دقيق، وما هي الخيارات العلاجية المتاحة، وكيف يمكن للمريض إدارة رحلة التعافي بنجاح. نحن نتفهم القلق الذي يصاحب آلام المفاصل، ولذلك صُمم هذا المحتوى ليكون مرجعا علميا مبسطا يضعك على الطريق الصحيح نحو الشفاء.
التشريح
لفهم الأمراض التي تصيب مفصل الورك، من الضروري أولا التعرف على البنية التشريحية المعقدة والمذهلة لهذا المفصل. يُصنف مفصل الورك على أنه مفصل كروي حقي، ويتكون بشكل أساسي من جزأين رئيسيين. الجزء الأول هو الرأس الكروي لعظم الفخذ، والجزء الثاني هو التجويف الحقي الموجود في عظم الحوض والذي يستقر فيه رأس الفخذ.
يُغطى كل من رأس الفخذ والتجويف الحقي بطبقة ناعمة من الغضروف المفصلي، والذي يعمل كوسادة تمنع احتكاك العظام ببعضها البعض وتسمح بحركة انسيابية. يحيط بالتجويف الحقي حلقة من الغضروف الليفي القوي تُعرف باسم الشفا الحقي، وظيفتها زيادة عمق التجويف وتوفير استقرار إضافي للمفصل، بالإضافة إلى الحفاظ على السائل الزلالي داخل المفصل لتليينه.
تحت الغضروف، يوجد العظم الإسفنجي الذي يحتوي على نخاع العظم. يعتمد رأس عظم الفخذ على إمداد دموي دقيق جدا يأتي عبر أوعية دموية صغيرة تمر عبر عنق الفخذ. أي انقطاع أو ضعف في هذا الإمداد الدموي يمكن أن يؤدي إلى مشاكل صحية خطيرة مثل تنخر العظام. تساهم الأربطة القوية والعضلات المحيطة بالورك في دعم المفصل وتوجيه حركته. إن التصوير بالرنين المغناطيسي يتميز بقدرته الفائقة على إظهار كل هذه التفاصيل الدقيقة، بدءا من نخاع العظم وصولا إلى الأربطة والغضاريف، مما يجعله الأداة الأهم في تقييم صحة الورك.
الأسباب
تتعدد الحالات المرضية التي يمكن أن تصيب مفصل الورك وتسبب الألم والإعاقة. بفضل التطور في تقنيات التصوير، أصبح بإمكان الأطباء التمييز بين هذه الحالات بدقة متناهية. نستعرض فيما يلي أبرز الحالات التي يتم تشخيصها وتقييمها عبر الرنين المغناطيسي.
تنخر العظام
يُعد تنخر العظام أو ما يُعرف بالموت اللاوعائي لرأس الفخذ من أكثر الأسباب شيوعا التي تستدعي تصوير مفصل الورك. تحدث هذه الحالة عندما ينقطع أو يقل الإمداد الدموي المغذي لرأس عظم الفخذ، مما يؤدي إلى موت الخلايا العظمية وانهيار العظم تدريجيا. يعتبر التشخيص المبكر أمرا بالغ الأهمية لتحديد ما إذا كان العلاج التحفظي أو التدخل الجراحي هو الخيار الأنسب.
في المراحل المبكرة، غالبا ما تكون صور الأشعة السينية طبيعية تماما، وهنا يبرز دور الرنين المغناطيسي كأداة أكثر حساسية لاكتشاف المرض وتحديد امتداد تنخر النخاع العظمي. إن تحديد نسبة إصابة القشرة العظمية الحاملة للوزن في رأس الفخذ يساعد الطبيب بشكل كبير في توقع نسبة نجاح العلاج الجراحي.

هشاشة العظام العابرة في الورك
هشاشة العظام العابرة هي حالة أخرى يتم تصويرها بوضوح عبر الرنين المغناطيسي. وهي عملية أحادية الجانب غالبا، وُصفت في البداية لدى النساء الحوامل في الثلث الأخير من الحمل، ولكنها تُشاهد الآن بشكل أكثر شيوعا لدى الرجال في منتصف العمر. إنها حالة مقيدة ذاتيا ومجهولة السبب الدقيق، وقد يعاني بعض المرضى لاحقا من إصابة مفاصل مجاورة مثل الورك المقابل.
بسبب هذه الخصائص، يشير بعض الأطباء إلى أن المرض قد يكون مرتبطا بمتلازمة الحثل الودي الانعكاسي. قد تكون صور الأشعة السينية الأولية طبيعية أو تظهر نقصا عاما في كثافة عظم رأس الفخذ مع الحفاظ على مسافة المفصل. يتميز الرنين المغناطيسي بإظهار وذمة منتشرة في رأس الفخذ تمتد إلى منطقة بين المدورين، دون وجود التشوهات البؤرية المحددة التي نراها في تنخر العظام.


الكسور الخفية وإصابات الصدمات
يلعب الرنين المغناطيسي دورا حاسما في تقييم مفصل الورك بعد التعرض للإصابات أو السقوط. في كثير من الأحيان، تكون صور الأشعة السينية سلبية أو غير واضحة فيما يخص كسور الجزء القريب من عظم الفخذ، خاصة لدى كبار السن. وعلى الرغم من استخدام المسح الذري العظمي لتأكيد أو استبعاد الكسور، إلا أن هذه الدراسة قد تعطي نتائج سلبية خاطئة في أول ثمان وأربعين ساعة بعد الإصابة لدى كبار السن.
في المقابل، تظهر تشوهات الرنين المغناطيسي على الفور، حيث يمكن رؤية خطوط الكسر بوضوح داخل النخاع الدهني، بالإضافة إلى الوذمة المحيطة بالكسر. كما أن المعلومات التشريحية الدقيقة التي يوفرها الرنين تساعد الجراح في تحديد نوع التثبيت الجراحي المطلوب. الجدير بالذكر أن العديد من الكسور التي لا تظهر في الأشعة السينية قد تكون مقتصرة على المدور الكبير أو تعبر عنق الفخذ بشكل غير كامل، ويمكن علاجها تحفظيا في بعض الحالات.



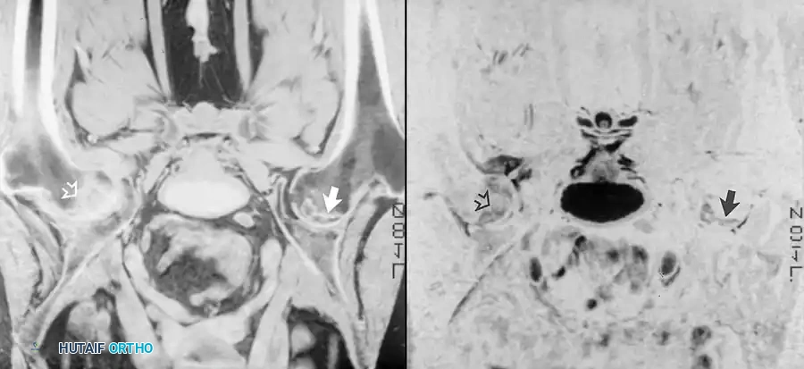
إصابات الشفا الحقي
تم توجيه الكثير من الجهود الطبية لتقييم الشفا الحقي. في الماضي، كانت مراجعات دقة الرنين المغناطيسي التقليدي في تقييم الحالات المرضية للشفا مخيبة للآمال بسبب استخدام مجالات رؤية واسعة تفتقر إلى الدقة الكافية. ومع ظهور تقنية تصوير المفاصل بالرنين المغناطيسي مع حقن الصبغة، تحسنت بشكل كبير رؤية الشفا الغضروفي.
يُظهر الشفا الحقي تباينا طبيعيا واسعا لدى الأفراد الذين لا يعانون من أعراض. أما في المرضى الذين يعانون من أعراض ميكانيكية في الورك أو احتمال وجود انحشار أمامي، فإن إضافة حقنة مخدرة أثناء التصوير تعتبر مفيدة جدا لتقييم ما إذا كان مصدر الألم من داخل المفصل.
الأعراض
تختلف الأعراض التي يختبرها المريض بناء على نوع الحالة المرضية التي تصيب مفصل الورك، ولكن هناك مجموعة من العلامات التحذيرية المشتركة التي يجب الانتباه إليها. غالبا ما يتركز الألم الناتج عن مشاكل مفصل الورك في منطقة الفخذ الأمامية أو المغبن، وقد يمتد إلى الأرداف أو أسفل الفخذ وصولا إلى الركبة.
في حالات تنخر العظام، يبدأ الألم عادة بشكل خفيف ويتزايد تدريجيا مع مرور الوقت، خاصة عند تحميل الوزن على الساق المصابة أو أثناء المشي. مع تقدم المرض وانهيار رأس الفخذ، يصبح الألم شديدا ومستمرا حتى أثناء الراحة، وقد يلاحظ المريض تحددا كبيرا في نطاق حركة المفصل وصعوبة في ارتداء الأحذية أو الجوارب.
أما في حالة هشاشة العظام العابرة، فإن الألم يظهر بشكل مفاجئ أو يتطور بسرعة خلال فترة قصيرة، ويكون مصحوبا بصعوبة في المشي وحاجة ملحة لاستخدام العكازات لتخفيف الوزن عن المفصل. وفي حالات الكسور الخفية، يكون الألم حادا ومباشرا بعد التعرض لسقوط أو إصابة، حتى وإن كانت الإصابة طفيفة لدى كبار السن، ويصاحب ذلك عدم قدرة على الوقوف أو المشي على الساق المصابة. بالنسبة لتمزقات الشفا الحقي، يصف المرضى عادة شعورا بالفرقعة أو الانغلاق داخل المفصل، مع ألم حاد عند القيام بحركات معينة مثل الدوران أو الانحناء العميق.
التشخيص
يعتبر التشخيص الدقيق حجر الأساس في نجاح خطة العلاج. على الرغم من أن التقييم السريري والأشعة السينية هما الخطوة الأولى، إلا أن التصوير بالرنين المغناطيسي يعتبر المعيار الذهبي لتقييم أمراض مفصل الورك.
تقنيات الرنين المغناطيسي لمفصل الورك
يمكن إجراء فحص الوركين باستخدام الملف المغناطيسي الرئيسي للجهاز. تتيح هذه التقنية تقييم كلا الوركين في وقت واحد، وهو أمر بالغ الأهمية لدى المرضى الذين قد يعانون من عملية مرضية ثنائية الجانب، مثل تنخر العظام. إذا كان التقييم أحادي الجانب كافيا، يتم الحصول على دقة محسنة باستخدام اللفائف السطحية. وعند توفرها، تجمع لفائف الجذع ذات التصميم المصفوفي بين الإشارة المحسنة للصور عالية الدقة مع تغطية مجال رؤية واسع.
عادة ما يتم إجراء تسلسلات الصدى المغزلي في المستويات المحورية والإكليلية. كما يجب الحصول على صور سهمية عند التحقيق في تنخر العظام. تظهر الصور الموزونة بالزمن الأول مظهرا كلاسيكيا لتنخر العظام يتمثل في منطقة جغرافية ذات إشارة نخاع منخفضة داخل الدهون الساطعة الطبيعية لرأس الفخذ. غالبا ما تُحاط هذه المنطقة غير الطبيعية بشريط منخفض الإشارة يمثل العظم الإقفاري. وتكشف الصور الموزونة بالزمن الثاني عن شريط داخلي ثان من الإشارة الساطعة، ويُطلق على هذا المظهر اسم علامة الخط المزدوج، وهي علامة تشخيصية أساسية لتنخر العظام.
في حالات هشاشة العظام العابرة، تُظهر تسلسلات الزمن الأول وذمة منتشرة كإشارة منخفضة نسبيا مقارنة بالنخاع الدهني الخلفي. تصبح هذه الوذمة شديدة السطوع في سلسلة الزمن الثاني وتبرز أكثر عند استخدام تقنيات قمع الدهون. يُطلق على مظهر النخاع هذا اسم نمط وذمة نخاع العظم.
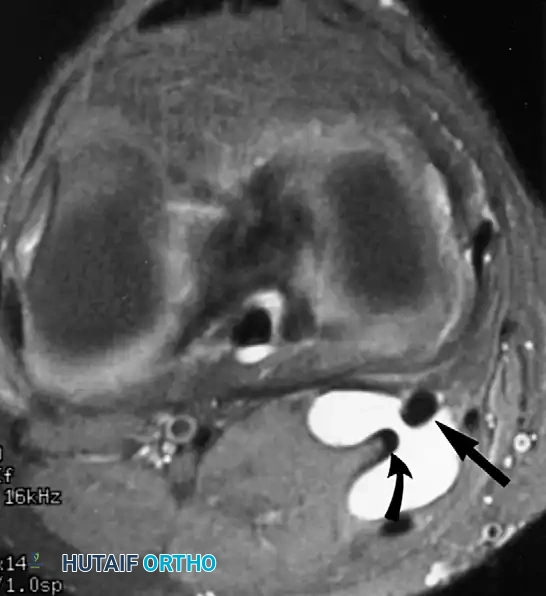
دقة الرنين المغناطيسي في إصابات المفاصل المختلفة
لا تقتصر قوة الرنين المغناطيسي على مفصل الورك فحسب، بل تمتد لتشمل المفاصل الأخرى كالركبة، مما يثبت فعالية هذه التقنية في كشف أدق التفاصيل التشريحية والمرضية في العظام والغضاريف. نستعرض هنا بعض الأمثلة التي توضح دقة الرنين المغناطيسي في تشخيص إصابات المفاصل:





هذه الصور تؤكد بما لا يدع مجالا للشك أن الاعتماد على الرنين المغناطيسي يوفر خريطة طريق واضحة للطبيب المعالج، سواء كان يتعامل مع كيس زلالي، أو كدمة عظمية، أو كسر خفي في صفيحة النمو، أو آفة غضروفية، مما ينعكس إيجابا على دقة التشخيص في مفصل الورك والمفاصل الأخرى.
العلاج
تعتمد الخطة العلاجية لأمراض مفصل الورك بشكل كامل على التشخيص الدقيق الذي يوفره الرنين المغناطيسي، وعلى المرحلة التي تم فيها اكتشاف المرض، بالإضافة إلى العمر والحالة الصحية العامة للمريض.
العلاج التحفظي وغير الجراحي
في حالات مثل هشاشة العظام العابرة، يكون العلاج التحفظي هو الخيار الأمثل. نظرا لأن هذه الحالة مقيدة ذاتيا، فإن التركيز ينصب على تخفيف الألم ومنع حدوث كسور إجهادية. يُنصح المريض باستخدام العكازات أو المشاية لتقليل الوزن المحمل على مفصل الورك المصاب. كما يتم وصف الأدوية المسكنة للألم ومضادات الالتهاب غير الستيرويدية للسيطرة على الأعراض. في العادة، تتلاشى هشاشة العظام العابرة دون تدخل جراحي خلال ستة أشهر، وتعود صور الأشعة والرنين المغناطيسي إلى طبيعتها.
بالنسبة للكسور الخفية التي تقتصر على المدور الكبير أو التي لا تخترق عنق الفخذ بالكامل، قد يكتفي الطبيب المعالج بالراحة التامة والمتابعة الدقيقة باستخدام الرنين المغناطيسي لضمان التئام الكسر دون الحاجة لعملية جراحية، خاصة إذا كانت حالة المريض لا تسمح بالتدخل الجراحي.
التدخل الجراحي
في المقابل، يتطلب تنخر العظام تدخلا طبيا أكثر حزما. إذا تم اكتشاف المرض في مراحله المبكرة جدا قبل انهيار رأس الفخذ، قد يلجأ الجراح إلى إجراء عملية إزالة الضغط الأساسي، حيث يتم حفر ثقوب صغيرة في رأس الفخذ لتخفيف الضغط داخل العظم وتحفيز نمو أوعية دموية جديدة. أما في الحالات المتقدمة التي يظهر فيها تسطح رأس الفخذ وفقدان الغضروف، فإن عملية استبدال مفصل الورك بالكامل تصبح الخيار الأكثر فعالية لاستعادة الحركة وتخفيف الألم.
في حالات الكسور الخفية التي تهدد استقرار المفصل، يساعد الرنين المغناطيسي في التخطيط الجراحي الدقيق لتثبيت الكسر باستخدام مسامير أو شرائح معدنية. وبالنسبة لتمزقات الشفا الحقي التي تسبب أعراضا ميكانيكية، يمكن إجراء تنظير لمفصل الورك لإصلاح التمزق أو إزالة الأنسجة التالفة، وهو إجراء طفيف التوغل يحقق نتائج ممتازة.
التعافي
تختلف رحلة التعافي من شخص لآخر بناء على نوع الإصابة وطبيعة العلاج الذي تم تلقيه. تتطلب جميع مسارات التعافي التزاما من المريض بالتعليمات الطبية وبرامج إعادة التأهيل لضمان أفضل النتائج الممكنة.
في الحالات التي يتم علاجها تحفظيا، مثل هشاشة العظام العابرة، يشعر المريض بتحسن تدريجي على مدار عدة أشهر. من الضروري عدم التسرع في التخلي عن العكازات حتى يؤكد الطبيب أن العظم قد استعاد كثافته وقوته لتجنب حدوث كسور مضاعفة.
أما بعد التدخلات الجراحية، فإن العلاج الطبيعي يلعب دورا حاسما. بعد عمليات تثبيت الكسور أو إزالة الضغط، يبدأ المريض بتمارين خفيفة لتحسين الدورة الدموية ومنع تيبس المفصل. يتم التدرج في تحميل الوزن على الساق المصابة وفقا لتعليمات الجراح. في حالات استبدال مفصل الورك، يستطيع العديد من المرضى المشي بمساعدة في اليوم التالي للجراحة، وتستمر جلسات العلاج الطبيعي لعدة أسابيع لتقوية العضلات المحيطة بالورك واستعادة النطاق الكامل للحركة. الدعم النفسي والالتزام بنمط حياة صحي يساهمان بشكل كبير في تسريع عملية الشفاء.
الأسئلة الشائعة
أهمية الرنين المغناطيسي مقارنة بالأشعة السينية
تُظهر الأشعة السينية العظام فقط ولا يمكنها كشف التغيرات المبكرة في نخاع العظم أو الأنسجة الرخوة. بينما يمتلك الرنين المغناطيسي قدرة فائقة على تصوير النخاع، الغضاريف، والأربطة، مما يجعله قادرا على اكتشاف أمراض مثل تنخر العظام والكسور الخفية في مراحلها الأولى التي تعجز الأشعة السينية عن رؤيتها.
علامة الخط المزدوج في التصوير
هي علامة تشخيصية تظهر في صور الرنين المغناطيسي الموزونة بالزمن الثاني لمفصل الورك. تظهر كشريطين متوازيين، أحدهما منخفض الإشارة يمثل العظم الميت، والآخر عالي الإشارة يمثل الأنسجة الحبيبية. وجود هذه العلامة يؤكد بشكل قاطع تشخيص الإصابة بتنخر العظام.
مدة التعافي من هشاشة العظام العابرة
تعتبر هشاشة العظام العابرة في الورك حالة مقيدة ذاتيا، وتتحسن عادة بشكل تدريجي مع الراحة واستخدام العكازات لتخفيف الوزن. في الغالب، تختفي الأعراض وتعود صور الرنين المغناطيسي إلى طبيعتها في غضون ستة أشهر من بداية ظهور الأعراض.
الفئة الأكثر عرضة لهشاشة العظام العابرة
على الرغم من أن الحالة وُصفت في البداية لدى النساء الحوامل في الثلث الأخير من الحمل، إلا أن الإحصاءات الطبية الحديثة تشير إلى أنها تُشاهد الآن بشكل أكثر شيوعا لدى الرجال في منتصف العمر.
إمكانية الشفاء التام من تنخر العظام
يعتمد الشفاء على مرحلة اكتشاف المرض. إذا تم التشخيص مبكرا عبر الرنين المغناطيسي وتم إجراء تدخل جراحي مثل إزالة الضغط، يمكن الحفاظ على المفصل. أما في المراحل المتأخرة التي يحدث فيها انهيار لرأس الفخذ، فإن استبدال المفصل يكون ضروريا لاستعادة القدرة على الحركة بدون ألم.
دور حقن الصبغة في تصوير الورك
يُستخدم تصوير المفاصل بالرنين المغناطيسي مع حقن الصبغة (Arthrography) لتحسين رؤية الهياكل الداخلية للمفصل، وخاصة الشفا الحقي. تساعد هذه التقنية في تمدد المفصل وإبراز التمزقات أو التشوهات الدقيقة التي قد لا تظهر بوضوح في التصوير العادي.
أسباب ألم الورك المفاجئ بعد السقوط الخفيف
لدى كبار السن، يمكن أن يؤدي السقوط الخفيف إلى حدوث كسور خفية في الجزء القريب من عظم الفخذ لا تظهر في الأشعة السينية العادية. يُنصح بإجراء رنين مغناطيسي فوري إذا استمر الألم وعدم القدرة على المشي لاستبعاد أو تأكيد وجود هذه الكسور.
كيفية التحضير لفحص الرنين المغناطيسي للورك
لا يتطلب الفحص تحضيرات معقدة. يُطلب من المريض إزالة أي أجسام معدنية، وإبلاغ الطبيب بوجود أي أجهزة طبية مزروعة مثل أجهزة تنظيم ضربات القلب. الفحص غير مؤلم ويستغرق عادة ما بين 30 إلى 45 دقيقة.
الفرق بين تنخر العظام وهشاشة العظام العابرة
تنخر العظام ينتج عن انقطاع الدم ويؤدي إلى موت دائم للخلايا العظمية وانهيار المفصل إذا لم يُعالج. بينما هشاشة العظام العابرة هي حالة مؤقتة تتميز بوجود وذمة في
آلام الورك المبرحة ليس قدراً محتوماً! التشخيص الدقيق والعلاج المتخصص يمكن أن يعيد لك كامل وظيفتك وحريتك في الحركة بدون ألم.
للحصول على استشارة طبية دقيقة وخطة علاجية مخصصة لحالتك، تواصل فوراً مع العيادة المتخصصة:
رعاية صحية موثوقة بمعايير عالمية.. وخبرة استثنائية في جراحات استبدال مفصل الورك والمراجعة المعقدة.
مواضيع أخرى قد تهمك