English
جزء من الدليل الشامل

دكتور عظام أطفال في اليمن - علاج كسور الأطفال وصفيحة النمو

كسر اللقيمة الوحشية عند الأطفال: دليل شامل للآباء والعلاج مع الأستاذ الدكتور محمد هطيف في صنعاء

03 إبريل 2026 14 دقيقة قراءة 3 مشاهدة
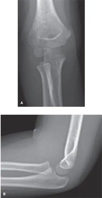
صورة توضيحية لـ كسر اللقيمة الوحشية عند الأطفال: دليل شامل للآباء والعلاج مع الأستاذ الدكتور محمد هطيف في صنعاء

الخلاصة الطبية

كسر اللقيمة الوحشية عند الأطفال هو إصابة شائعة في المرفق تتطلب تشخيصًا دقيقًا باستخدام الأشعة المائلة وعلاجًا فوريًا، غالبًا بالجراحة لتثبيت الكسر بأسلاك معدنية لضمان التئام صحيح وتجنب المضاعفات طويلة الأمد مثل تشوه المرفق.

الخلاصة الطبية الموسعة: كسر اللقيمة الوحشية عند الأطفال هو إصابة مفصلية معقدة وشائعة في المرفق، تتطلب اهتمامًا خاصًا نظرًا لوجود لوحة النمو الحساسة. يُعد التشخيص الدقيق باستخدام الأشعة السينية التقليدية، مع التركيز على الأشعة المائلة الداخلية (Internal Oblique Radiographs)، أمرًا حاسمًا لتحديد مدى الكسر ودرجة إزاحته. العلاج الفوري، الذي غالبًا ما يكون جراحيًا لتثبيت الكسر بأسلاك معدنية (K-wires)، ضروري لضمان التئام صحيح وتجنب المضاعفات الخطيرة طويلة الأمد مثل تشوه المرفق (الذراع القوساء أو الروحاء)، تصلب المفصل، أو توقف النمو. في صنعاء واليمن، يُعتبر الأستاذ الدكتور محمد هطيف الخبير الأول في هذا النوع من الإصابات، مقدمًا رعاية جراحية متقدمة تعتمد على أحدث التقنيات لضمان أفضل النتائج لأطفالنا.

مقدمة شاملة عن كسر اللقيمة الوحشية عند الأطفال: فهم الإصابة ودور الرعاية المتخصصة

يُعد كسر اللقيمة الوحشية (Lateral Condyle Fracture) من كسور المرفق الشائعة التي تصيب الأطفال، ويشكل تحديًا خاصًا للأطباء والآباء على حد سواء. هذه الإصابة، التي تحدث غالبًا نتيجة السقوط على يد ممدودة، قد تبدو بسيطة في البداية، لكنها تحمل في طياتها مخاطر جدية إذا لم يتم تشخيصها وعلاجها بدقة وفورًا. إن حساسية منطقة لوحة النمو (Physis) في مرفق الطفل، وهي منطقة حيوية لنمو العظم، تجعل أي كسر فيها ذا أهمية قصوى، حيث يمكن أن يؤثر على نمو المرفق ووظيفته على المدى الطويل.

في هذا الدليل الشامل والموسع، سنغوص عميقًا في كل جانب يتعلق بكسر اللقيمة الوحشية عند الأطفال. سنبدأ بفهم التشريح المعقد لمرفق الطفل، مرورًا باستعراض دقيق للأسباب والآليات التي تؤدي إلى هذا الكسر، وتحديد الأعراض والعلامات التي يجب على الآباء الانتباه إليها. سنفصل أساليب التشخيص الحديثة، مع التركيز بشكل خاص على الأهمية المحورية للأشعة المائلة (Internal Oblique Radiographs) التي غالبًا ما تكون مفتاحًا لتحديد مدى الكسر بدقة، وهو ما قد يفشل التشخيص التقليدي في كشفه.

كما سنتناول بعمق خيارات العلاج المتاحة، بدءًا من العلاج التحفظي للحالات البسيطة، وصولًا إلى التدخل الجراحي المعقد الذي يُعد ضروريًا لمعظم حالات كسور اللقيمة الوحشية. سنشرح البروتوكولات الجراحية المتبعة، وكيفية تثبيت الكسر بأسلاك معدنية، بالإضافة إلى برامج التعافي وإعادة التأهيل التي تضمن استعادة الطفل لوظيفته الكاملة للمرفق.

يُعد الأستاذ الدكتور محمد هطيف، استشاري جراحة العظام والعمود الفقري، برتبة أستاذ في جامعة صنعاء، من أبرز الخبراء في علاج كسور الأطفال المعقدة في صنعاء واليمن. بفضل خبرته الواسعة التي تتجاوز العشرين عامًا، وتخصصه الدقيق في جراحة عظام الأطفال، يقدم الدكتور هطيف رعاية طبية متميزة تضمن أفضل النتائج لأطفالنا. يعتمد الأستاذ الدكتور هطيف على أحدث التقنيات العالمية، مثل الجراحة المجهرية (Microsurgery) والتنظير المفصلي بتقنية 4K (Arthroscopy 4K) واستبدال المفاصل (Arthroplasty)، ويتميز بالتزامه الصارم بالصدق الطبي والشفافية مع المرضى وذويهم. إن فهم هذه الإصابة وأهمية التدخل الطبي السريع والدقيق هو أمر حيوي للآباء والأمهات لضمان مستقبل صحي وحياة طبيعية لأطفالهم.

التشريح الأساسي لمرفق الطفل: مفتاح فهم الإصابة

لفهم كسر اللقيمة الوحشية، من الضروري أن نلقي نظرة معمقة على تشريح مرفق الطفل، والذي يختلف جوهريًا عن مرفق البالغين بسبب وجود مناطق النمو النشطة.

مكونات مفصل المرفق الرئيسية

مفصل المرفق هو مفصل زليلي معقد يسمح بحركات الثني والبسْط والدوران، ويربط ثلاث عظام رئيسية:

  1. عظم العضد (Humerus): وهو العظم الطويل في الذراع العلوي. الجزء السفلي (البعيد) من عظم العضد يتكون من نتوءين بارزين:

    • اللقيمة الإنسية (Medial Condyle): تقع على الجانب الداخلي للمرفق.
    • اللقيمة الوحشية (Lateral Condyle): تقع على الجانب الخارجي للمرفق، وهي المنطقة التي نتحدث عن كسرها.
    • تتكون اللقيمة الوحشية من جزء عظمي يُعرف بـ "رأس العضد" (Capitellum) الذي يتمفصل مع رأس الكعبرة، وجزء آخر يُعرف بـ "المدور" (Trochlea) الذي يتمفصل مع الزند.
  2. عظم الزند (Ulna): أحد عظمتي الساعد، ويقع على الجانب الداخلي (الخنصري). يتمفصل الجزء العلوي من الزند (Olecranon و Coronoid Process) مع المدور في عظم العضد لتشكيل مفصل العضد الزندي.

  3. عظم الكعبرة (Radius): العظم الآخر في الساعد، ويقع على الجانب الخارجي (الإبهامي). يتمفصل رأس الكعبرة مع رأس العضد (Capitellum) في عظم العضد، مما يسمح بحركة الدوران (Pronation و Supination).

أهمية لوحات النمو (Physis) عند الأطفال

يكمن الاختلاف الأهم والحيوي في مرفق الطفل في وجود لوحات النمو أو صفائح النمو (Growth Plates / Epiphyseal Plates / Physes). هذه المناطق هي طبقات من الغضروف تقع بالقرب من نهايات العظام الطويلة، وهي المسؤولة عن نمو العظم في الطول. في منطقة المرفق، توجد عدة لوحات نمو حول اللقيمة الوحشية، وهي عرضة للإصابة بشكل خاص.

  • تكوين العظم (Ossification Centers): لا تظهر جميع أجزاء عظم المرفق كعظم صلب عند الولادة. بدلاً من ذلك، تتطور مراكز التعظم تدريجيًا مع تقدم العمر. بالنسبة للقيمة الوحشية، يظهر مركز التعظم الخاص بها حوالي عمر 1-2 سنة ويندمج مع العظم الرئيسي حوالي عمر 12-14 سنة. هذا التطور التدريجي يعني أن اللقيمة الوحشية تكون ضعيفة وهشة نسبيًا خلال سنوات الطفولة.
  • هشاشة لوحة النمو: لوحة النمو أضعف من العظم المحيط بها ومن الأربطة التي تربط المفاصل. هذا يعني أن قوة قد تسبب التواءً أو تمزقًا في الأربطة لدى البالغ، قد تسبب كسرًا في لوحة النمو لدى الطفل.
  • التأثير على النمو: أي ضرر يلحق بلوحة النمو يمكن أن يؤثر على النمو المستقبلي للعظم، مما قد يؤدي إلى تشوهات في المرفق مثل الذراع القوساء (Cubitus Varus) أو الذراع الروحاء (Cubitus Valgus)، أو حتى توقف النمو في العظم المصاب.

إن الفهم الدقيق لهذه البنية التشريحية المعقدة، وخاصة دور لوحات النمو، هو حجر الزاوية في تشخيص وعلاج كسر اللقيمة الوحشية، ويسلط الضوء على سبب الحاجة إلى خبرة متخصصة مثل تلك التي يقدمها الأستاذ الدكتور محمد هطيف.

أنواع وتصنيفات كسور اللقيمة الوحشية

تُصنف كسور اللقيمة الوحشية عادةً بناءً على درجة الإزاحة ومشاركة مفصل المرفق، مما يوجه خيارات العلاج. أحد التصنيفات الشائعة هو تصنيف ميلش (Milch Classification) الذي يعتمد على مدى امتداد خط الكسر بالنسبة لمركز التعظم.

تصنيف ميلش (Milch Classification):

  • ميلش النوع الأول (Milch Type I):

    • يُعرف أيضًا بالكسر الذي لا يشمل لوحة النمو بالكامل أو خط الكسر لا يمتد إلى الثلمة البكرية (Trochlear Notch) التي تتمفصل مع الزند.
    • عادة ما يكون الكسر خارج المفصل جزئيًا أو لا يؤثر على استقرار المفصل بشكل كبير.
    • يتم الاحتفاظ بالوصلة الغضروفية بين اللقيمة الوحشية ورأس العضد.
    • غالبًا ما يكون مستقرًا نسبيًا وقابلًا للعلاج التحفظي إذا كان غير مُزاح.
  • ميلش النوع الثاني (Milch Type II):

    • يُعد هذا النوع أكثر شيوعًا وخطورة.
    • يمتد خط الكسر إلى لوحة النمو بأكملها ويصل إلى الثلمة البكرية (Trochlear Notch)، مما يعني أنه كسر داخل المفصل.
    • يؤثر على استقرار المفصل ويحمل خطرًا أكبر للإزاحة.
    • يتطلب غالبًا تدخلًا جراحيًا لضمان التئام صحيح وتجنب المضاعفات.

تصنيفات أخرى بناءً على الإزاحة:

بالإضافة إلى تصنيف ميلش، يمكن تقسيم الكسور بناءً على درجة إزاحة الجزء المكسور:

  1. كسور غير مُزاحة (Undisplaced Fractures):

    • يكون خط الكسر موجودًا، لكن القطع العظمية في مكانها الصحيح أو بإزاحة بسيطة جدًا (أقل من 2 ملم).
    • قد تكون قابلة للعلاج التحفظي تحت إشراف دقيق.
  2. كسور مُزاحة بشكل خفيف (Minimally Displaced Fractures):

    • إزاحة تتراوح بين 2 ملم و 4 ملم.
    • يمكن أن تكون تحديًا، وقد يفضل الأستاذ الدكتور محمد هطيف في بعض الحالات التدخل الجراحي لضمان أفضل النتائج، خاصةً مع وجود لوحة النمو.
  3. كسور مُزاحة بشكل كبير (Significantly Displaced Fractures):

    • إزاحة تزيد عن 4 ملم.
    • تتطلب دائمًا التدخل الجراحي لإعادة القطع العظمية إلى مكانها الصحيح وتثبيتها.

أهمية التصنيف في التخطيط العلاجي:

يُعد التصنيف الدقيق للكسر خطوة حاسمة في تحديد خطة العلاج المناسبة. الخبرة الواسعة للأستاذ الدكتور محمد هطيف في تقييم هذه الكسور، بالاعتماد على الفحص السريري الدقيق والصور الإشعاعية المتخصصة، تمكنه من اتخاذ القرار الأنسب لكل حالة، سواء كان ذلك بالعلاج التحفظي أو بالتدخل الجراحي. إن فهم نوع الكسر ودرجة إزاحته يسمح بتوقع المضاعفات المحتملة وتجنبها من خلال العلاج الفعال.

الأسباب والآليات المؤدية لكسر اللقيمة الوحشية عند الأطفال

تُعد كسور اللقيمة الوحشية عند الأطفال ناتجة غالبًا عن آليات إصابة محددة تحدث خلال الأنشطة اليومية للأطفال. فهم هذه الأسباب يساعد الآباء على اتخاذ إجراءات وقائية وفهم كيفية حدوث الإصابة.

الآليات الشائعة للإصابة:

  1. السقوط على يد ممدودة (Fall on an Outstretched Hand - FOOSH):

    • هذه هي الآلية الأكثر شيوعًا. عندما يسقط الطفل ويحاول حماية نفسه بمد يده، تنتقل قوة الصدمة عبر الساعد إلى مفصل المرفق.
    • يمكن أن يؤدي ذلك إلى ضغط على رأس الكعبرة باتجاه اللقيمة الوحشية، مما يسبب كسرًا.
    • أو قد تسبب قوى القص (Shearing forces) كسرًا في اللقيمة الوحشية.
  2. السقوط المباشر على المرفق:

    • أقل شيوعًا، ولكن يمكن أن يحدث كسر مباشر في اللقيمة الوحشية إذا سقط الطفل مباشرة على الجانب الخارجي لمرفقه.
  3. قوى الشد العضلي:

    • في بعض الحالات، يمكن أن تساهم قوى الشد الناتجة عن عضلات الساعد المتصلة باللقيمة الوحشية في إزاحة الكسر أو حتى التسبب فيه، خاصةً إذا كان هناك ضعف مسبق في العظم.

عوامل الخطر:

  • العمر: يُلاحظ كسر اللقيمة الوحشية بشكل شائع عند الأطفال الذين تتراوح أعمارهم بين 6 و 10 سنوات. خلال هذه الفترة، تكون لوحات النمو نشطة ولكنها لم تندمج بعد، مما يجعلها عرضة للإصابة.
  • الأنشطة الرياضية واللعب: الأطفال الذين يمارسون رياضات تتضمن خطر السقوط (مثل الجمباز، كرة القدم، ركوب الدراجات) أو الألعاب النشطة في الملاعب، هم أكثر عرضة لهذه الإصابات.
  • ضعف العظام (نادر): في حالات نادرة جدًا، قد تكون هناك حالات طبية كامنة تؤثر على قوة العظام (مثل نقص فيتامين د الشديد أو بعض الأمراض الوراثية)، مما يزيد من خطر الكسور.

إن معرفة هذه الأسباب والآليات تساعد الآباء على فهم خطورة الإصابة وضرورة طلب الرعاية الطبية الفورية عند حدوث أي سقوط أو إصابة في المرفق، خاصةً عندما يكون الطفل يعاني من ألم أو عدم قدرة على تحريك الذراع.

الأعراض والعلامات الدالة على كسر اللقيمة الوحشية

من الضروري أن يكون الآباء على دراية بالأعراض والعلامات التي قد تشير إلى كسر في اللقيمة الوحشية، حيث أن التشخيص المبكر يحد من المضاعفات بشكل كبير.

الأعراض الشائعة:

  1. الألم الشديد:

    • يُعد الألم هو العرض الأول والأكثر بروزًا. غالبًا ما يكون حادًا ومحددًا في منطقة المرفق، ويزداد سوءًا عند محاولة تحريك الذراع أو لمس المنطقة المصابة.
    • قد يصف الطفل الألم بأنه "ناخز" أو "حاد".
  2. التورم:

    • يظهر تورم ملحوظ حول مفصل المرفق، خاصة على الجانب الخارجي. هذا التورم ناتج عن النزيف الداخلي وتراكم السوائل بعد الكسر.
  3. الكدمات (Discoloration):

    • قد تظهر كدمات (تغير لون الجلد إلى الأزرق أو الأرجواني) حول المرفق بعد فترة وجيزة من الإصابة، نتيجة لتسرب الدم من الأوعية الدموية الصغيرة المتضررة.
  4. التشوه المرئي:

    • في حالات الكسور المزاحة بشكل كبير، قد يلاحظ الآباء تشوهًا واضحًا في شكل المرفق. قد يبدو المرفق غير متناسق أو منحنيًا بشكل غير طبيعي.
  5. صعوبة أو عدم القدرة على تحريك المرفق:

    • يشعر الطفل بألم شديد عند محاولة ثني أو بسط المرفق، وقد يرفض تحريك الذراع المصابة تمامًا.
    • قد يحمل الطفل ذراعه المصابة في وضعية ثابتة ومريحة لتقليل الألم.
  6. الحساسية للمس (Tenderness):

    • تكون المنطقة حول اللقيمة الوحشية حساسة جدًا للمس، حتى بلمسة خفيفة.
  7. صوت "طقطقة" أو "فرقعة" عند الإصابة:

    • قد يصف الطفل أو يشهد الآباء صوت "طقطقة" أو "فرقعة" لحظة وقوع الإصابة، وهذا قد يكون مؤشرًا على حدوث كسر.

متى يجب استشارة الطبيب فورًا؟

يجب على الآباء طلب الرعاية الطبية الطارئة فورًا إذا لاحظوا أيًا من الأعراض التالية بعد سقوط أو إصابة في مرفق الطفل:

  • ألم شديد لا يهدأ.
  • عدم القدرة على تحريك الذراع.
  • تشوه واضح في المرفق.
  • تورم متزايد بسرعة.
  • خدر أو تنميل في اليد أو الأصابع (قد يشير إلى تلف عصبي).
  • برودة أو شحوب في اليد أو الأصابع (قد يشير إلى ضعف في الدورة الدموية).

إن التدخل السريع من قبل متخصص في جراحة عظام الأطفال، مثل الأستاذ الدكتور محمد هطيف، هو المفتاح لضمان أفضل النتائج وتجنب المضاعفات طويلة الأمد.

التشخيص الدقيق لكسر اللقيمة الوحشية: أهمية التفاصيل

يعتمد التشخيص الدقيق لكسر اللقيمة الوحشية على مزيج من الفحص السريري المفصل والتصوير الإشعاعي المتخصص. هذه الخطوات حاسمة لتحديد نوع الكسر، درجته، وإزاحته، مما يوجه خطة العلاج.

1. الفحص السريري:

يبدأ الأستاذ الدكتور محمد هطيف بفحص دقيق وشامل للطفل المصاب. يتضمن ذلك:

  • جمع التاريخ المرضي: سؤال الآباء عن كيفية حدوث الإصابة (آلية السقوط)، ومتى بدأت الأعراض، وأي حالات طبية سابقة للطفل.
  • تقييم الألم والتورم: تحديد موقع الألم بدقة ومدى التورم والكدمات.
  • تقييم حركة المرفق: محاولة تحريك المرفق بلطف لتقييم نطاق الحركة والألم المصاحب.
  • فحص الأعصاب والأوعية الدموية: التأكد من سلامة الأعصاب المحيطة بالمرفق (مثل العصب الزندي والكعبري والمتوسط) وسلامة الدورة الدموية في اليد والأصابع، وذلك لتجنب أي مضاعفات عصبية وعائية.

2. التصوير الإشعاعي:

تُعد الأشعة السينية هي الأداة التشخيصية الأساسية، ولكن يجب أن تكون شاملة ومتخصصة:

  • الأشعة السينية التقليدية (Standard X-rays):

    • تُؤخذ عادةً صور في وضعيتين رئيسيتين: الأمامي الخلفي (AP view) والجانبي (Lateral view).
    • تساعد هذه الصور في الكشف عن معظم الكسور وتحديد مدى الإزاحة.
    • ومع ذلك، في حالات كسر اللقيمة الوحشية، قد يكون الكسر غير مرئي بوضوح في هذه الصور، خاصة إذا كان غير مُزاح أو كانت لوحة النمو غير متعظمة بالكامل.
  • الأشعة المائلة الداخلية (Internal Oblique Radiographs): الأداة التشخيصية الحاسمة

    • هذه الأشعة هي المفتاح لتشخيص كسر اللقيمة الوحشية بدقة.
    • يتم التقاطها بوضع خاص للذراع والمرفق، مما يسمح برؤية أفضل للجانب الوحشي للمرفق ولوحة النمو.
    • يمكن أن تكشف الأشعة المائلة عن خطوط كسر دقيقة أو إزاحات بسيطة قد لا تظهر في الأشعة التقليدية.
    • يُشدد الأستاذ الدكتور محمد هطيف على أهمية هذا النوع من الأشعة لضمان عدم إغفال أي كسر وتجنب التشخيص الخاطئ الذي قد يؤدي إلى مضاعفات خطيرة.
  • الأشعة المقطعية (CT Scan):

    • في بعض الحالات المعقدة، أو عندما تكون هناك شكوك حول مدى الكسر أو مشاركته للمفصل، قد يطلب الدكتور هطيف أشعة مقطعية.
    • توفر الأشعة المقطعية صورًا ثلاثية الأبعاد للعظام، مما يسمح بتقييم تفصيلي لخط الكسر، وحالة لوحة النمو، ووجود أي قطع عظمية صغيرة.
  • التصوير بالرنين المغناطيسي (MRI):

    • نادرًا ما يكون ضروريًا لكسور اللقيمة الوحشية الحادة، ولكنه قد يُستخدم في حالات معينة لتقييم الأنسجة الرخوة المحيطة، مثل الأربطة أو الغضاريف، أو في حالات الشك في إصابة لوحة النمو التي لا تظهر بوضوح في الأشعة السينية.

إن خبرة الأستاذ الدكتور محمد هطيف في تفسير هذه الصور الإشعاعية، وخاصة الأشعة المائلة، هي عامل حاسم في اتخاذ القرار العلاجي الصائب. يعتمد الدكتور هطيف على أحدث المعايير التشخيصية لضمان عدم إغفال أي تفصيل يمكن أن يؤثر على مستقبل المرفق.

جدول مقارنة بين العلاج التحفظي والجراحي لكسر اللقيمة الوحشية عند الأطفال

يُحدد اختيار خطة العلاج المناسبة لكسر اللقيمة الوحشية بناءً على عدة عوامل، أبرزها درجة إزاحة الكسر ونوع الكسر (حسب تصنيف ميلش). يتميز الأستاذ الدكتور محمد هطيف بقدرته على تقييم كل حالة بعناية فائقة لتحديد المسار الأنسب.

المعيار العلاج التحفظي (Conservative Treatment) العلاج الجراحي (Surgical Treatment)
الحالات المناسبة - كسور غير مُزاحة (إزاحة أقل من 2 ملم). - كسور مُزاحة (إزاحة 2 ملم أو أكثر).
- كسور مستقرة (ميلش النوع الأول غير المُزاح). - كسور غير مستقرة أو داخل المفصل (ميلش النوع الثاني).
- الأطفال الصغار جدًا الذين يصعب إجراء الجراحة لهم (نادرًا). - فشل العلاج التحفظي (تفاقم الإزاحة).
الإجراء - تثبيت المرفق بجبيرة أو قالب جصي (جبس) في وضعية معينة (عادةً مثنيًا). - تثبيت مفتوح ورد داخلي (ORIF) بأسلاك معدنية (K-wires).
- متابعة دورية بالأشعة السينية للتأكد من عدم حدوث إزاحة. - قد يتطلب جراحة مفتوحة لإعادة القطع العظمية إلى مكانها بدقة.
فترة التعافي التقريبية - 3 إلى 6 أسابيع في الجبيرة. - 4 إلى 6 أسابيع في الجبيرة بعد الجراحة.
- بعدها تبدأ تمارين إعادة التأهيل لاستعادة نطاق الحركة. - إزالة الأسلاك بعد 3-6 أسابيع.
- بعدها تبدأ تمارين إعادة التأهيل المكثفة.
المخاطر المحتملة - إزاحة الكسر بعد التجبير. - مخاطر التخدير والجراحة (نزيف، عدوى).
- سوء الالتئام (Malunion) أو عدم الالتئام (Nonunion). - إصابة الأعصاب أو الأوعية الدموية أثناء الجراحة.
- تصلب المرفق. - هجرة الأسلاك أو انكسارها.
- الحاجة إلى جراحة ثانية لإزالة الأسلاك.
النتائج المتوقعة - جيدة جدًا إذا كان الكسر غير مُزاح وتمت المتابعة الدقيقة. - ممتازة مع استعادة كاملة للوظيفة إذا تم التدخل الجراحي بدقة ومهارة.
- خطر أعلى للمضاعفات إذا لم يتم التشخيص الدقيق للإزاحة. - يقلل بشكل كبير من مخاطر سوء الالتئام والتشوهات طويلة الأمد.
دور د. هطيف - يتابع الحالة بدقة فائقة ويُجري فحوصات إشعاعية متكررة. - يُجري الجراحة بأعلى مستويات الدقة والمهارة باستخدام أحدث التقنيات.
- يتدخل جراحيًا فورًا عند ظهور أي علامة على الإزاحة. - يضمن تثبيتًا مستقرًا للكسر ويخطط لبرنامج تأهيل شامل.

خيارات العلاج لكسر اللقيمة الوحشية عند الأطفال: تفصيل الإجراءات

يُعد اختيار طريقة العلاج المناسبة لكسر اللقيمة الوحشية قرارًا حاسمًا يتخذه الأستاذ الدكتور محمد هطيف بناءً على عوامل متعددة، أهمها درجة إزاحة الكسر، عمر الطفل، والخبرة الجراحية.

1. العلاج التحفظي (Conservative Management)

يُعتبر هذا الخيار مناسبًا فقط للكسور غير المزاحة أو ذات الإزاحة البسيطة جدًا (أقل من 2 ملم) التي لا تؤثر على استقرار المفصل.

  • الإجراء:
    • التثبيت بالجبس (Casting/Splinting): يتم وضع جبيرة أو قالب جصي على المرفق والذراع، عادةً في وضعية ثني خفيف، لتقييد حركة المرفق وتثبيت الكسر.
    • المتابعة الدورية: يتطلب العلاج التحفظي متابعة دقيقة وشاملة بالأشعة السينية كل بضعة أيام في البداية، ثم أسبوعيًا، للتأكد من عدم حدوث إزاحة للكسر أثناء فترة الالتئام.
  • المخاطر: في حال حدوث إزاحة للكسر بعد التجبير، فإنه قد يتطلب التدخل الجراحي الفوري، وقد يكون أكثر تعقيدًا حينها.
  • دور د. هطيف: يشدد الأستاذ الدكتور محمد هطيف على أن العلاج التحفظي يتطلب تقييمًا صارمًا جدًا، وإذا كان هناك أدنى شك في استقرار الكسر أو إزاحته، فإنه يميل إلى التدخل الجراحي لضمان أفضل النتائج وتجنب المضاعفات.

2. العلاج الجراحي (Surgical Management): الخيار الأكثر شيوعًا وفعالية

يُعد العلاج الجراحي هو الخيار المفضل والأكثر شيوعًا لمعظم حالات كسور اللقيمة الوحشية، خاصة تلك المزاحة (إزاحة 2 ملم أو أكثر) أو غير المستقرة، وذلك لضمان إعادة الوضع التشريحي الصحيح للكسر وتثبيته بشكل فعال.

  • أهداف الجراحة:

    • إعادة القطع العظمية إلى مكانها التشريحي الصحيح (Reduction).
    • تثبيت الكسر بشكل مستقر للسماح بالالتئام (Fixation).
    • استعادة وظيفة المرفق الطبيعية وتجنب المضاعفات.
  • الإجراء الجراحي: التثبيت المفتوح ورد داخلي (Open Reduction and Internal Fixation - ORIF) بأسلاك معدنية (K-wires)

    تُعد هذه التقنية هي المعيار الذهبي لعلاج كسور اللقيمة الوحشية المزاحة، ويُجريها الأستاذ الدكتور محمد هطيف بمهارة ودقة فائقة.

    1. التحضير قبل الجراحة:
      • التقييم الشامل: يُجري الدكتور هطيف تقييمًا كاملاً لحالة الطفل الصحية، بما في ذلك الفحوصات المخبرية وتخطيط القلب (إذا لزم الأمر).
      • التخدير: يُجرى الإجراء تحت التخدير العام، لضمان راحة الطفل وعدم شعوره بالألم.
        *

آلام العظام والمفاصل وتقييد حركتها ليس قدراً محتوماً! التشخيص الدقيق والعلاج المتخصص يمكن أن يعيد لك كامل وظيفتك وحريتك في الحركة. لا تدع الألم يسيطر على حياتك.

للحصول على استشارة دقيقة وخطة علاجية مخصصة لحالتك، تواصل فوراً مع مركز الأستاذ الدكتور محمد هطيف:

الأستاذ الدكتور محمد هطيف - أفضل دكتور عظام في صنعاء، وخبير في جراحات العظام والمفاصل والعمود الفقري.. نلتزم بإعادتك لحياة خالية من الألم وحركة طبيعية.

مواضيع أخرى قد تهمك

Dr. Mohammed Hutaif
محتوى موثق طبياً بإشراف
أ.د. محمد هطيف
استشاري جراحة العظام والمفاصل والعمود الفقري
محتويات الفصل

العودة للدليل الرئيسي