خلع الورك المفتوح: استعادة الثبات بتقنية اللفافة العريضة مع الأستاذ الدكتور محمد هطيف

الخلاصة الطبية
خلع الورك المفتوح هو إجراء جراحي يعالج عدم استقرار مفصل الورك، خاصة في حالات الاصطدام الفخذي الحقي الخلفي. يتضمن العلاج إعادة تشكيل العظم وترميم الشفا باستخدام زراعة اللفافة العريضة الذاتية لاستعادة الثبات الوظيفي للمفصل، مما يقلل الألم ويحسن الحركة بشكل دائم.
الخلاصة الطبية السريعة: خلع الورك المفتوح هو إجراء جراحي يعالج عدم استقرار مفصل الورك، خاصة في حالات الاصطدام الفخذي الحقي الخلفي. يتضمن العلاج إعادة تشكيل العظم وترميم الشفا باستخدام زراعة اللفافة العريضة الذاتية لاستعادة الثبات الوظيفي للمفصل، مما يقلل الألم ويحسن الحركة بشكل دائم.
مقدمة
يعد مفصل الورك أحد أكبر مفاصل الجسم وأكثرها تعقيدًا، وهو ضروري للحركة ودعم وزن الجسم. عندما يتعرض هذا المفصل للإصابة أو التشوه، يمكن أن يؤثر ذلك بشكل كبير على جودة حياة المريض، مسببًا ألمًا شديدًا وصعوبة في الأنشطة اليومية. من بين الحالات المعقدة التي قد تصيب مفصل الورك هو "الاصطدام الفخذي الحقي الخلفي" (Posterior Femoroacetabular Impingement)، والذي قد يتطلب تدخلًا جراحيًا دقيقًا لاستعادة وظيفته الطبيعية. في مثل هذه الحالات، تبرز جراحة "خلع الورك المفتوح" كحل فعال، خاصة عندما تقترن بتقنيات متقدمة مثل استخدام "اللفافة العريضة الذاتية" (Fascia Lata Autograft) لترميم الشفا الحقي واستعادة ثبات المفصل.
تعتبر هذه الجراحة من الإجراءات المتخصصة التي تتطلب خبرة عالية ودقة متناهية. في صنعاء، يقف الأستاذ الدكتور محمد هطيف في طليعة الجراحين المتخصصين في جراحة العظام، بفضل خبرته الواسعة ومهارته الفائقة في التعامل مع أعقد حالات مفصل الورك. يلتزم الدكتور هطيف بتقديم أحدث العلاجات وأكثرها فعالية، مستخدمًا تقنيات متطورة مثل زراعة اللفافة العريضة لضمان أفضل النتائج لمرضاه واستعادة ثبات مفصل الورك بشكل دائم.
يهدف هذا المقال إلى تقديم دليل شامل ومفصل للمرضى حول خلع الورك المفتوح، وأسباب الاصطدام الفخذي الحقي الخلفي، وكيفية استخدام اللفافة العريضة لاستعادة الثبات، بالإضافة إلى مراحل التشخيص والعلاج والتعافي.
التشريح الأساسي لمفصل الورك
لفهم طبيعة خلع الورك المفتوح وأهمية التدخل الجراحي، من الضروري الإلمام بالتشريح الأساسي لمفصل الورك. يتكون مفصل الورك من التقاء رأس عظم الفخذ (الكرة) مع التجويف الحقي في عظم الحوض (المقبس).
مكونات مفصل الورك الرئيسية
- رأس عظم الفخذ : الجزء الكروي العلوي من عظم الفخذ، والذي يدخل في التجويف الحقي.
- التجويف الحقي (Acetabulum) : تجويف عميق في عظم الحوض يستقبل رأس عظم الفخذ.
- الشفا الحقي (Labrum) : حلقة غضروفية ليفية تحيط بحافة التجويف الحقي، وتعمل على تعميق التجويف وزيادة ثبات المفصل، بالإضافة إلى توزيع السائل الزلالي وتغذية الغضروف.
- الكبسولة المفصلية : غشاء قوي يحيط بالمفصل ويحتوي على السائل الزلالي، ويوفر الثبات للمفصل.
- الأربطة : مجموعة من الأربطة القوية التي تربط عظم الفخذ بالحوض، وتساهم في الحفاظ على استقرار المفصل وتقييد حركته ضمن الحدود الطبيعية.
- العضلات والأوتار : عضلات قوية تحيط بالمفصل وتوفر القوة اللازمة للحركة والثبات.
اللفافة العريضة (Fascia Lata)
اللفافة العريضة هي طبقة سميكة من النسيج الضام الليفي تقع في الفخذ، وتغطي العضلات المحيطة به. تمتد من الحوض إلى الركبة، وتعتبر من أقوى اللفافات في الجسم. في جراحات ترميم الشفا الحقي، يتم أخذ جزء من هذه اللفافة من نفس المريض (زراعة ذاتية) واستخدامها لإعادة بناء الشفا التالف أو الناقص. اختيار اللفافة العريضة كمصدر للترقيع يعود إلى قوتها ومتانتها وكونها نسيجًا ذاتيًا، مما يقلل من خطر الرفض ويسرع عملية الاندماج.
إمداد رأس عظم الفخذ بالدم
يعد الإمداد الدموي لرأس عظم الفخذ أمرًا حيويًا، خاصة أثناء جراحة خلع الورك المفتوح. يعتمد رأس عظم الفخذ بشكل كبير على الشريان المنعطف الفخذي الإنسي (Medial Femoral Circumflex Artery) وفروعه الصاعدة. الحفاظ على هذا الإمداد الدموي هو التحدي الأكبر والأكثر أهمية لتجنب المضاعفات الخطيرة مثل نخر رأس عظم الفخذ (Osteonecrosis)، وهو ما يحرص عليه الأستاذ الدكتور محمد هطيف بدقة متناهية خلال إجراء الجراحة.
الأسباب وعوامل الخطر لعدم استقرار الورك
يُعد الاصطدام الفخذي الحقي (Femoroacetabular Impingement - FAI) أحد الأسباب الرئيسية لعدم استقرار الورك والألم المزمن، خاصة الاصطدام الخلفي. يحدث هذا الاصطدام عندما يحتك عظم الفخذ بشكل غير طبيعي مع التجويف الحقي، مما يؤدي إلى تلف الشفا الحقي والغضروف المفصلي.
الاصطدام الفخذي الحقي الخلفي
في حالة الاصطدام الخلفي، يكون هناك بروز أو تغطية زائدة للجدار الخلفي للتجويف الحقي. هذا البروز يؤدي إلى احتكاك رأس عظم الفخذ أو عنقه بالجدار الخلفي للحُق أثناء حركات معينة، خاصة عند فرد الورك وتدويره للخارج.
العوامل المؤدية للاصطدام الفخذي الحقي الخلفي:
- التغطية الزائدة للجدار الخلفي للحُق (Posterior Overcoverage) : وهو التشوه الأكثر شيوعًا في هذه الحالة، حيث يكون الجدار الخلفي للحُق بارزًا أكثر من اللازم، مما يحد من حركة رأس الفخذ.
- التجويف الحقي العميق (Deep Socket) : قد يكون التجويف الحقي عميقًا بشكل غير طبيعي، مما يزيد من فرص الاحتكاك.
- تعظم الشفا الحقي (Labral Ossification) : يمكن أن يؤدي الالتهاب المزمن والإجهاد المتكرر إلى تعظم الشفا الحقي، مما يجعله صلبًا وغير مرن، ويزيد من الاصطدام.
- تشوهات عظم الفخذ : في بعض الحالات، قد تكون هناك تشوهات في رأس أو عنق عظم الفخذ (مثل آفة CAM)، على الرغم من أن الحالة المذكورة في النص لم تظهر هذه الآفة.
- العوامل الوراثية والتنموية : قد تكون هناك استعدادات وراثية أو مشكلات في النمو تؤدي إلى هذه التشوهات الهيكلية.
- الأنشطة الرياضية المتكررة : الأنشطة التي تتضمن حركات متكررة للورك مثل الجري، يمكن أن تزيد من الإجهاد على المفصل وتسرع من تطور الاصطدام.
في الحالة المرجعية، كانت المريضة تعاني من بروز كبير في الجدار الخلفي للحُق وتجويف عميق وتعظم في الشفا، مما أدى إلى آلام مزمنة وصعوبة في الحركة. تفهم هذه الأسباب وعوامل الخطر ضروري لتقديم التشخيص الدقيق واختيار خطة العلاج الأنسب، وهو ما يتقنه الأستاذ الدكتور محمد هطيف في ممارسته اليومية.
أعراض الاصطدام الفخذي الحقي الخلفي
تتطور أعراض الاصطدام الفخذي الحقي الخلفي عادةً تدريجيًا، وقد تكون في البداية خفيفة ثم تزداد سوءًا بمرور الوقت مع استمرار احتكاك العظام وتلف الأنسجة. من المهم التعرف على هذه الأعراض لطلب المساعدة الطبية في الوقت المناسب.
الأعراض الشائعة:
- ألم في الورك الخلفي أو منطقة المدور الكبير (Posterior Trochanteric Pain) : هذا هو العرض الأكثر شيوعًا، ويتركز الألم عادة في الجزء الخلفي العلوي من الفخذ، بالقرب من المدور الكبير. قد ينتشر الألم إلى الأرداف أو الفخذ. في الحالة المرجعية، اشتكت المريضة من ألم في منطقة المدور الكبير الأيسر.
- صعوبة في الجلوس والمشي : مع تفاقم الألم وتصلب المفصل، يصبح الجلوس لفترات طويلة أو المشي لمسافات صعبة ومؤلمة.
- ألم يزداد مع النشاط : يزداد الألم عادةً مع الأنشطة التي تتضمن حركة الورك، مثل الجري أو صعود الدرج أو حتى الوقوف لفترات طويلة.
- نقص في مجال حركة الورك : قد يلاحظ المريض صعوبة في تحريك الورك في اتجاهات معينة. في حالة الاصطدام الخلفي، غالبًا ما يكون هناك انخفاض في الدوران الخارجي للورك عند تمديده.
- اختبارات إيجابية محددة : أثناء الفحص السريري، قد تظهر بعض الاختبارات إيجابية، مثل اختبار "التمديد-الإبعاد-الدوران الخارجي" (Extension-Abduction-External Rotation test)، والذي يثير الألم ويشير إلى وجود اصطدام خلفي.
- عدم الاستجابة للعلاجات التقليدية : غالبًا ما لا يجد المرضى راحة دائمة من الألم باستخدام العلاج الطبيعي أو حقن الستيرويد في الأنسجة المحيطة بالمفصل (مثل حقنة العضلة الكمثرية).
- تحسن مؤقت مع الحقن داخل المفصل : يمكن أن يكون الحصول على راحة جزئية (مثل 50% في الحالة المرجعية) من الألم بعد حقن مخدر موضعي داخل مفصل الورك مؤشرًا تشخيصيًا قويًا على أن المشكلة تكمن داخل المفصل نفسه.
تعتبر هذه الأعراض مؤشرات هامة تدفع الأستاذ الدكتور محمد هطيف لإجراء فحص شامل وطلب التصوير اللازم لتأكيد التشخيص وتحديد خطة العلاج الأمثل.
تشخيص خلع الورك المفتوح والاصطدام الفخذي الحقي
يتطلب تشخيص الاصطدام الفخذي الحقي الخلفي وتقدير الحاجة لخلع الورك المفتوح نهجًا شاملاً يجمع بين الفحص السريري الدقيق وتقييم الصور الشعاعية المتقدمة. يحرص الأستاذ الدكتور محمد هطيف على اتباع بروتوكول تشخيصي صارم لضمان تحديد المشكلة بدقة واختيار العلاج الأنسب لكل مريض.
الفحص السريري
يبدأ التشخيص بمناقشة مفصلة للتاريخ المرضي للمريض وأعراضه. ثم يقوم الدكتور هطيف بإجراء فحص سريري شامل للورك، يتضمن تقييم:
- الألم : تحديد موقع الألم وشدته والعوامل التي تزيده أو تخففه.
- مدى الحركة (Range of Motion) : قياس مرونة الورك في جميع الاتجاهات (الثني، البسط، الدوران الداخلي والخارجي، الإبعاد، التقريب). في حالات الاصطدام الخلفي، غالبًا ما يلاحظ انخفاض في الدوران الخارجي عند بسط الورك.
- الاختبارات الخاصة : إجراء اختبارات محددة مثل اختبار الاصطدام الخلفي (Extension-Abduction-External Rotation test) لتأكيد وجود الاصطدام.
- التقييم العصبي الوعائي : التأكد من سلامة الأعصاب والأوعية الدموية في الطرف المصاب.
التقييم الشعاعي والتصوير
تعتبر الصور الشعاعية حجر الزاوية في تشخيص تشوهات الورك الهيكلية:
-
الأشعة السينية (X-rays)
:
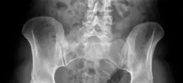
- صورة الحوض الأمامية الخلفية (Anteroposterior pelvic X-ray) : تكشف عن بروز الجدار الخلفي للحُق (Posterior overcoverage) وتغطية الحُق بشكل عام. يمكن أن تظهر أيضًا تعظم الشفا الحقي.
- صورة الورك الجانبية بوضعية الضفدع (Frog leg lateral radiograph) : تساعد في تقييم رأس وعنق عظم الفخذ وتحديد وجود آفة CAM (على الرغم من عدم وجودها في الحالة المرجعية).
- صورة الورك الجانبية المستعرضة (Cross-table lateral X-ray) : توضح بشكل إضافي بروز الجدار الخلفي للحُق وتساعد في تقييم العلاقة بين رأس الفخذ والحُق.
صورة شعاعية أمامية خلفية للحوض تظهر بروز الجدار الحقي الخلفي الأيسر (الأسهم) وتعظم الشفا الحقي الخلفي العلوي.
صورة شعاعية جانبية لوضعية الضفدع تظهر محيط رأس عظم الفخذ الطبيعي.
صورة شعاعية جانبية عبر الطاولة تظهر الجدار الخلفي البارز للحُق الأيسر.
صورة شعاعية جانبية عبر الطاولة توضح بروز الجدار الخلفي للحُق الأيسر.
صورة شعاعية جانبية عبر الطاولة تظهر الجدار الخلفي البارز للحُق الأيسر.
- التصوير بالرنين المغناطيسي (MRI) : يوفر تفاصيل دقيقة للأنسجة الرخوة مثل الشفا الحقي والغضاريف والأربطة، ويساعد في تقييم مدى التلف.
بعد جمع كل هذه المعلومات، يقوم الأستاذ الدكتور محمد هطيف بتحليل النتائج بدقة لتأكيد تشخيص الاصطدام الفخذي الحقي الخلفي وتحديد ما إذا كان خلع الورك المفتوح هو الخيار العلاجي الأنسب، مع الأخذ في الاعتبار حالة المريض الصحية العامة وتوقعاته.
خيارات العلاج المتاحة لخلع الورك المفتوح
عندما يتم تشخيص الاصطدام الفخذي الحقي الخلفي، تبدأ عملية التفكير في أفضل خطة علاجية. في البداية، قد يُلجأ إلى العلاجات غير الجراحية، ولكن في الحالات المعقدة أو التي لا تستجيب للعلاج التحفظي، يصبح التدخل الجراحي ضروريًا.
العلاجات غير الجراحية
- العلاج الطبيعي : يهدف إلى تقوية العضلات المحيطة بالورك وتحسين مدى الحركة وتقليل الألم.
- الأدوية : مسكنات الألم ومضادات الالتهاب غير الستيرويدية (NSAIDs) لتخفيف الأعراض.
- حقن الستيرويد : حقن الكورتيزون داخل المفصل يمكن أن يوفر راحة مؤقتة من الألم والالتهاب، وقد يستخدم كأداة تشخيصية أيضًا.
في الحالة المرجعية، لم تحقق المريضة أي تحسن مع العلاج الطبيعي أو حقن الستيرويد في العضلة الكمثرية، مما يشير إلى أن المشكلة كانت داخل المفصل وتتطلب حلاً جراحيًا.
الخيارات الجراحية
عندما تفشل العلاجات غير الجراحية، أو في حالات التشوهات الهيكلية الواضحة، يوصي الأستاذ الدكتور محمد هطيف بالتدخل الجراحي. الخيارات الجراحية الرئيسية هي:
1. تنظير مفصل الورك (Hip Arthroscopy)
- المزايا : إجراء طفيف التوغل، شقوق صغيرة، فترة تعافٍ أقصر نسبيًا.
- القيود : على الرغم من تطور تنظير الورك، إلا أنه قد لا يكون كافيًا لمعالجة جميع تشوهات الورك، خاصة تلك التي تشمل الجدار الخلفي للحُق أو تتطلب إعادة بناء واسعة للشفا الحقي. يصعب في بعض الأحيان الوصول إلى الجزء الخلفي من الحُق بدقة كافية عبر المنظار.
2. خلع الورك المفتوح الجراحي (Surgical Hip Dislocation)
-
المزايا :
- رؤية كاملة ومباشرة : يسمح هذا الإجراء برؤية كاملة ومباشرة لرأس عظم الفخذ والتجويف الحقي والشفا الحقي، مما يتيح للجراح إجراء تصحيحات دقيقة وشاملة.
- معالجة التشوهات المعقدة : يعتبر الخيار الأمثل لحالات الاصطدام الفخذي الحقي الخلفي الشديد، والتغطية الزائدة الكبيرة للجدار الخلفي للحُق، وتعظم الشفا الحقي، أو الحاجة إلى إعادة بناء واسعة للشفا.
- القدرة على إصلاح المشاكل المتعددة : يمكن معالجة المشاكل داخل المفصل وخارجه في نفس الوقت.
- تجنب مخاطر طاولة الشد : على عكس تنظير الورك، لا يتطلب خلع الورك المفتوح استخدام طاولة الشد، مما يقلل من مخاطر المضاعفات المرتبطة بها.
-
العيوب :
- إجراء أكثر توغلًا يتطلب شقًا جراحيًا أكبر.
- يتضمن قطع جزء من المدور الكبير (ترقيع المدور الكبير) لإتاحة الوصول، مما قد يؤدي إلى ألم في الأجهزة المزروعة أو تأخر في إعادة تأهيل عضلات الورك المبعدة.
- خطر أعلى لمضاعفات مثل ترقق العظام المتغاير (Heterotopic Ossification).
اختيار طريقة العلاج
في الحالة المرجعية، اختار الأستاذ الدكتور محمد هطيف إجراء خلع الورك المفتوح الجراحي مع عملية إزاحة (offset procedure)، وتقليم حافة الجدار الخلفي للحُق، وإعادة بناء الشفا الحقي باستخدام اللفافة العريضة. كان هذا القرار مبنيًا على:
- حجم التغطية الزائدة الخلفية : كانت هناك منطقة كبيرة من التغطية الزائدة في الجدار الخلفي للحُق.
- مشاكل الشفا الحقي : وجود تعظم في الشفا الحقي، مما يتطلب إعادة بناء بدلاً من مجرد إصلاح.
- الحاجة إلى دقة عالية : لضمان تصحيح دقيق وتجنب الاصطدام المتبقي.
يؤكد الدكتور هطيف أن خلع الورك المفتوح يمثل نهجًا ممتازًا لعلاج أمراض مفصل الورك داخل المفصل، سواء كخيار أول أو عندما يكون تنظير الورك غير كافٍ. إن قدرته على تحقيق تصحيح دقيق وتجنب الاصطدام المستمر في حالات التغطية الزائدة الكبيرة يجعله الخيار المفضل في أيدي الخبراء.
تفاصيل عملية خلع الورك المفتوح وزراعة اللفافة العريضة
تعتبر عملية خلع الورك المفتوح إجراءً جراحيًا معقدًا يتطلب تخطيطًا دقيقًا ومهارة فائقة. يتبع الأستاذ الدكتور محمد هطيف بروتوكولًا صارمًا لضمان سلامة المريض وتحقيق أفضل النتائج الممكنة.
1. التخطيط قبل الجراحة
- التشخيص الدقيق : تأكيد الاصطدام الفخذي الحقي الخلفي بناءً على الفحص السريري والصور الشعاعية.
- تحديد خيارات العلاج : تقييم الجراحة المفتوحة مقابل تنظير الورك.
- اختيار الطريقة : في هذه الحالة، خلع الورك المفتوح مع تقليم الجدار الخلفي للحُق وإعادة بناء الشفا باللفافة العريضة.
- اختيار الغرسات : استخدام مراس خياطة (suture anchors) بحجم 2 مم لترميم الشفا، ومسامير قشرية (cortical screws) بحجم
آلام الورك المبرحة ليس قدراً محتوماً! التشخيص الدقيق والعلاج المتخصص يمكن أن يعيد لك كامل وظيفتك وحريتك في الحركة بدون ألم.
للحصول على استشارة دقيقة وخطة علاجية مخصصة لحالتك، تواصل فوراً مع مركز الأستاذ الدكتور محمد هطيف:
الأستاذ الدكتور محمد هطيف - أفضل دكتور عظام في صنعاء، وخبير في جراحات استبدال مفصل الورك والمراجعة المعقدة.
مواضيع أخرى قد تهمك