إعادة بناء مفصل الورك المعقد لخلع الورك التنموي (DDH) باستخدام ترقيع رأس الفخذ الذاتي في صنعاء

الخلاصة الطبية
ترقيع رأس الفخذ الذاتي هو إجراء جراحي متقدم لإعادة بناء مفصل الورك المتأثر بخلع الورك التنموي (DDH) الشديد، يستخدم عظم المريض نفسه لتعزيز استقرار المفصل. يقدم الأستاذ الدكتور محمد هطيف في صنعاء هذه التقنية لمرضى DDH الذين يحتاجون إلى استبدال مفصل الورك الكلي.
الخلاصة الطبية الموسعة:
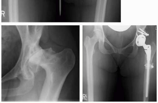
يُعد خلع الورك التنموي (Developmental Dysplasia of the Hip - DDH) حالة معقدة تؤثر على مفصل الورك، وتتطلب غالبًا تدخلات جراحية متقدمة لاستعادة وظيفته وتخفيف الألم. في الحالات الشديدة والمزمنة التي تصيب البالغين، يصبح استبدال مفصل الورك الكلي (Total Hip Replacement - THR) خيارًا حتميًا، لكن التشوهات التشريحية المصاحبة لـ DDH تجعل هذا الإجراء تحديًا استثنائيًا. هنا تبرز أهمية تقنية "ترقيع رأس الفخذ الذاتي"، وهي طريقة جراحية مبتكرة يستخدم فيها عظم رأس الفخذ الخاص بالمريض، والذي يتم استئصاله عادةً أثناء الجراحة، لتعزيز التجويف الحقي (الحُق) الضحل أو المتشوه. هذا النهج لا يوفر قاعدة عظمية قوية ومستقرة للمفصل الصناعي فحسب، بل يقلل أيضًا من مخاطر الرفض أو العدوى المرتبطة بالطعوم الاصطناعية، ويساعد في استعادة مركز دوران الورك الطبيعي، مما يقلل من تفاوت طول الساقين ويحسن الميكانيكا الحيوية للمفصل.
في صنعاء، اليمن، يُعد الأستاذ الدكتور محمد هطيف، أستاذ جراحة العظام والمفاصل في جامعة صنعاء، رائدًا في تطبيق هذه التقنيات المعقدة. بفضل خبرته التي تتجاوز العشرين عامًا والتزامه بأحدث التقنيات العالمية في جراحة المفاصل الصناعية والمناظير 4K والجراحة المجهرية، يقدم الدكتور هطيف حلولًا جراحية متطورة لمرضى DDH الذين يعانون من تشوهات ورك معقدة. يهدف هذا العلاج إلى استعادة وظيفة المفصل الطبيعية، تخفيف الألم المزمن، وتحسين جودة حياة المرضى بشكل جذري، كل ذلك مع التركيز على النزاهة الطبية الصارمة والرعاية الشاملة.


مقدمة فهم خلع الورك التنموي (DDH) وإعادة بناء مفصله المعقد
يُعد خلع الورك التنموي (Developmental Dysplasia of the Hip - DDH) حالة تؤثر على مفصل الورك، حيث لا يتطور التجويف الحقي (الحُق) ورأس عظم الفخذ بشكل صحيح، مما يؤدي إلى عدم استقرار المفصل أو خلع جزئي أو كلي. يمكن أن تتراوح شدة هذه الحالة من خلل بسيط في تطور المفصل إلى خلع كامل ومزمن، مما يسبب الألم، صعوبة في الحركة، وتفاوتًا ملحوظًا في طول الساقين، ويؤثر بشكل كبير على جودة حياة المريض وقدرته على ممارسة الأنشطة اليومية. مع مرور الوقت، يمكن أن تتطور هذه الحالة إلى التهاب مفصل الورك التنكسي (Osteoarthritis) في سن مبكرة، مما يزيد من معاناة المريض ويحد من حركته.
عندما تفشل العلاجات التحفظية وغير الجراحية في تخفيف الأعراض أو تصحيح التشوه، يصبح استبدال مفصل الورك الكلي (Total Hip Replacement - THR) خيارًا ضروريًا للكثير من المرضى البالغين المصابين بـ DDH المتقدم. ومع ذلك، فإن إجراء جراحة استبدال مفصل الورك لمرضى DDH يمثل تحديًا خاصًا ومعقدًا للغاية نظرًا للتشوهات التشريحية الفريدة التي تميز هذه الحالة. غالبًا ما يكون التجويف الحقي ضحلًا وصغيرًا، وموضعه غير طبيعي (أعلى وأكثر خلفية)، وقد يكون رأس عظم الفخذ صغيرًا أو مشوهًا، بالإضافة إلى قصر في عظم الفخذ وتشوهات في عظم الحوض. تتطلب هذه التحديات خبرة جراحية فائقة وتقنيات متقدمة لإعادة بناء المفصل بشكل فعال ودائم.

تشريح مفصل الورك الطبيعي مقابل مفصل الورك المصاب بـ DDH
لفهم تعقيدات DDH، من الضروري أولاً استيعاب تشريح مفصل الورك الطبيعي:
مفصل الورك الطبيعي
مفصل الورك هو مفصل كروي حقي (ball-and-socket joint) يربط عظم الفخذ (أو عظم الفخذ) بالحوض. يتكون من:
* رأس عظم الفخذ: الجزء العلوي الكروي من عظم الفخذ.
* التجويف الحقي (الحُق): تجويف عميق على شكل كوب في عظم الحوض يستقبل رأس عظم الفخذ.
* الغضروف المفصلي: طبقة ناعمة ومرنة تغطي رأس الفخذ والتجويف الحقي، مما يقلل الاحتكاك ويسمح بحركة سلسة.
* المحفظة المفصلية والأربطة: مجموعة من الأنسجة القوية التي تحيط بالمفصل وتوفر له الاستقرار.
هذا التركيب يسمح بحركة واسعة في جميع الاتجاهات (الثني، البسط، الدوران، التقريب، التبعيد) ويتحمل أوزانًا كبيرة.
مفصل الورك المصاب بـ DDH
في حالات DDH، لا يتطور مفصل الورك بشكل صحيح، مما يؤدي إلى تشوهات هيكلية تؤثر على استقراره ووظيفته. تشمل هذه التشوهات:
* التجويف الحقي الضحل (Shallow Acetabulum): بدلاً من أن يكون عميقًا وكرويًا، يكون التجويف الحقي مسطحًا أو ضحلًا، مما لا يوفر تغطية كافية لرأس الفخذ.
* نقص التغطية العظمية: يكون جزء كبير من رأس الفخذ خارج التجويف الحقي، مما يزيد من الضغط على حواف التجويف ويؤدي إلى تآكل مبكر.
* خلل في التوجه: قد يكون التجويف الحقي موجهًا بشكل غير طبيعي (عادةً إلى الأمام والخارج)، مما يزيد من عدم الاستقرار.
* رأس عظم الفخذ المشوه: قد يكون رأس الفخذ أصغر من الطبيعي أو مشوهًا، مما لا يتناسب بشكل جيد مع التجويف الحقي.
* قصر عظم الفخذ: في حالات الخلع المرتفع، قد يكون هناك قصر وظيفي في عظم الفخذ.
* تغير مركز دوران الورك: يتحرك مركز المفصل إلى الأعلى والخلف، مما يغير الميكانيكا الحيوية للمشي ويزيد الضغط على المفاصل الأخرى.
هذه التشوهات تجعل المفصل عرضة للخلع الجزئي أو الكلي، وتؤدي إلى تطور التهاب المفاصل التنكسي مبكرًا.


أسباب وعوامل خطر خلع الورك التنموي (DDH)
DDH هو حالة متعددة العوامل، مما يعني أنها تنجم عن مزيج من العوامل الوراثية والبيئية. على الرغم من أن السبب الدقيق لا يزال غير مفهوم بالكامل، إلا أن هناك العديد من عوامل الخطر المعروفة:
- الوراثة والتاريخ العائلي: وجود تاريخ عائلي لـ DDH يزيد بشكل كبير من خطر الإصابة به.
- النوع الاجتماعي: الإناث أكثر عرضة للإصابة بـ DDH بحوالي 4-5 مرات مقارنة بالذكور.
- الولادة المقعدية: الأطفال الذين يولدون في وضعية المقعد (المؤخرة أولاً) أكثر عرضة للإصابة بـ DDH بسبب الضغط على مفصل الورك في الرحم.
- الطفل الأول: غالبًا ما يكون الأطفال الأولون أكثر عرضة للإصابة، ربما بسبب ضيق المساحة في الرحم.
- الحمل المتعدد: التوائم أو الولادات المتعددة قد تزيد من خطر الإصابة بسبب محدودية المساحة.
- نقص السائل الأمنيوسي (Oligohydramnios): قلة السائل الأمنيوسي في الرحم يمكن أن يحد من حركة الجنين ويزيد الضغط على الوركين.
- الوضعية بعد الولادة: بعض ممارسات لف الرضع (القماط) التي تقيد حركة الوركين وتجبرهما على البقاء في وضعية التمدد الكامل قد تزيد من خطر تطور DDH.

أعراض وتشخيص خلع الورك التنموي (DDH) لدى البالغين
في حين أن DDH غالبًا ما يتم تشخيصه في مرحلة الرضاعة أو الطفولة، إلا أن الحالات الخفيفة قد لا تظهر عليها أعراض حتى مرحلة البلوغ، حيث تتطور تدريجياً إلى التهاب مفاصل مؤلم.
الأعراض الشائعة لدى البالغين
- الألم: غالبًا ما يكون الألم هو العرض الرئيسي، ويتركز عادةً في منطقة الفخذ، الأربية، أو الأرداف. قد يزداد الألم مع النشاط ويقل مع الراحة.
- العرج (Limp): نمط مشي غير طبيعي ناتج عن عدم استقرار المفصل أو الألم أو تفاوت طول الساقين.
- تفاوت طول الساقين: قد تبدو إحدى الساقين أقصر من الأخرى، مما يؤثر على المشي ويسبب مشاكل في الظهر.
- محدودية نطاق الحركة: صعوبة في تحريك الورك في اتجاهات معينة، خاصةً تبعيد الساق (إبعادها عن الجسم).
- صوت طقطقة أو فرقعة: قد يسمع المريض أو يشعر بصوت طقطقة أو فرقعة في المفصل أثناء الحركة.
- ضعف العضلات: ضعف في العضلات المحيطة بالورك، مما يؤثر على القوة والاستقرار.
التشخيص
يعتمد تشخيص DDH لدى البالغين على مزيج من:
1. التاريخ الطبي والفحص السريري:
* يستفسر الأستاذ الدكتور محمد هطيف عن الأعراض، تاريخ الإصابة، والتاريخ العائلي.
* يشمل الفحص السريري تقييم المشي، نطاق حركة الورك، قياس طول الساقين، والبحث عن علامات مثل علامة ترندلينبورغ (Trendelenburg sign) التي تشير إلى ضعف عضلات الورك.
2. الفحوصات التصويرية:
* الأشعة السينية (X-rays): هي الفحص الأولي والأكثر شيوعًا لتقييم بنية العظام، وعمق التجويف الحقي، ووضعية رأس الفخذ.
* التصوير المقطعي المحوسب (CT Scan): يوفر صورًا ثلاثية الأبعاد مفصلة للعظام، وهو مفيد جدًا لتخطيط الجراحة المعقدة، حيث يحدد بدقة التشوهات العظمية.
* التصوير بالرنين المغناطيسي (MRI): يساعد في تقييم الأنسجة الرخوة مثل الغضاريف والأربطة والعضلات، ويمكن أن يكشف عن علامات التهاب المفاصل أو تلف الغضاريف.
يستخدم الأستاذ الدكتور محمد هطيف أحدث تقنيات التصوير لتحديد التشخيص الدقيق وتخطيط العلاج الأمثل لكل حالة فردية، معتمدًا على خبرته الطويلة في تحليل هذه الصور المعقدة.

مقارنة بين خيارات العلاج لخلع الورك التنموي (DDH)
تعتمد خيارات علاج DDH على عمر المريض، شدة التشوه، ومستوى الأعراض. يمكن تقسيمها بشكل عام إلى علاجات تحفظية (غير جراحية) وجراحية.
| ميزة/خاصية | العلاج التحفظي (غير الجراحي) | العلاج الجراحي |
|---|---|---|
| الهدف الرئيسي | تخفيف الألم، تحسين الوظيفة، تأخير التدهور. | تصحيح التشوه التشريحي، استعادة استقرار ووظيفة المفصل، تخفيف الألم بشكل دائم. |
| الحالات المناسبة | حالات DDH الخفيفة إلى المتوسطة، حالات التهاب المفاصل المبكر، المرضى غير المؤهلين للجراحة، أو كإجراء مؤقت. | حالات DDH الشديدة، التهاب المفاصل التنكسي المتقدم، فشل العلاج التحفظي، تشوهات كبيرة. |
| الإجراءات | مسكنات الألم، مضادات الالتهاب، العلاج الطبيعي، تقوية العضلات، تعديل الأنشطة، استخدام العكازات أو المشايات. | بضع العظم (Osteotomy)، رأب التجويف الحقي حول الحوض (Periacetabular Osteotomy)، استبدال مفصل الورك الكلي (THR)، ترقيع رأس الفخذ الذاتي. |
| الفوائد | تجنب الجراحة، تكلفة أقل (مبدئيًا)، لا يوجد وقت تعافٍ جراحي. | حل دائم للتشوه، تخفيف جذري للألم، استعادة كاملة أو شبه كاملة للوظيفة، تصحيح تفاوت طول الساقين. |
| التحديات/القيود | لا يعالج التشوه الهيكلي، قد لا يوفر راحة كاملة من الألم، قد يتطلب الاستمرار مدى الحياة، قد لا يمنع تدهور المفصل. | مخاطر الجراحة (عدوى، نزيف، خلع)، فترة تعافٍ طويلة، تكلفة أعلى، قد يتطلب مراجعة جراحية لاحقًا. |
| النتائج المتوقعة | إدارة الأعراض، إبطاء تقدم المرض. | تحسن كبير في جودة الحياة، استعادة القدرة على المشي والأنشطة اليومية، مفصل مستقر وغير مؤلم. |
تحدي استبدال مفصل الورك الكلي (THR) في حالات DDH
على الرغم من أن THR هو الحل الذهبي لمرضى التهاب مفاصل الورك المتقدم، إلا أن إجراؤه لمرضى DDH يمثل تحديات فريدة ومعقدة للغاية تتطلب خبرة جراحية متخصصة. هذه التحديات تشمل:
- التجويف الحقي الضحل وغير المتطور: التجويف الحقي يكون غالبًا ضحلًا جدًا أو صغيرًا، أو موجودًا في موضع مرتفع وغير طبيعي. هذا يجعل من الصعب تثبيت الكوب الاصطناعي بشكل آمن في الموضع الصحيح.
- نقص العظم في الحُق: قد لا يكون هناك ما يكفي من مخزون العظام لدعم الكوب الاصطناعي، مما يتطلب تقنيات ترقيع العظام.
- تشوه رأس عظم الفخذ: قد يكون رأس الفخذ صغيرًا أو غير منتظم، وقد يكون عنق الفخذ قصيرًا أو مشوهًا، مما يؤثر على اختيار مكونات المفصل الصناعي.
- قصر عظم الفخذ: غالبًا ما يعاني المرضى من قصر وظيفي في الساق المصابة، ويتطلب تصحيح هذا القصر أثناء الجراحة تخطيطًا دقيقًا لتجنب إصابة الأعصاب.
- تقلصات الأنسجة الرخوة: قد تكون العضلات والأربطة المحيطة بالورك متقلصة ومشدودة بسبب الخلع المزمن، مما يجعل الوصول إلى المفصل وإعادة وضعه أمرًا صعبًا.
- مركز دوران الورك المرتفع: في حالات الخلع الشديد، يكون مركز دوران الورك أعلى من الطبيعي، مما يغير الميكانيكا الحيوية ويجب تصحيحه لضمان وظيفة جيدة.
يتطلب التغلب على هذه التحديات تخطيطًا دقيقًا قبل الجراحة باستخدام الأشعة المقطعية ثلاثية الأبعاد، واستخدام تقنيات جراحية متخصصة مثل ترقيع العظام لإنشاء تجويف حقي مناسب، وتقنيات إطالة الأنسجة الرخوة. وهنا يبرز دور الأستاذ الدكتور محمد هطيف، الذي يمتلك الخبرة والمعرفة اللازمة للتعامل مع هذه الحالات المعقدة بنجاح، مستفيدًا من التقنيات الحديثة لضمان أفضل النتائج.

ترقيع رأس الفخذ الذاتي حل ثوري لإعادة بناء الورك المعقد
في مواجهة التحديات المتمثلة في نقص مخزون العظام في التجويف الحقي لمرضى DDH، ظهرت تقنية "ترقيع رأس الفخذ الذاتي" كحل مبتكر وفعال للغاية.
ما هو ترقيع رأس الفخذ الذاتي
"ترقيع رأس الفخذ الذاتي" (Autogenous Femoral Head Graft) هو إجراء جراحي يستخدم جزءًا من رأس عظم الفخذ الخاص بالمريض، والذي يتم استئصاله عادةً كجزء من عملية استبدال مفصل الورك الكلي، لتعزيز التجويف الحقي. بدلاً من التخلص من رأس الفخذ المستأصل، يتم تشكيله ومعالجته ليتم استخدامه كطعم عظمي لملء العيوب أو تعميق التجويف الحقي الضحل.
لماذا هو ضروري في حالات DDH
في حالات DDH المتقدمة، غالبًا ما يكون التجويف الحقي (الحُق) غير مكتمل النمو، ضحلًا جدًا، أو يفتقر إلى الدعم العظمي الكافي لتثبيت الكوب الاصطناعي بشكل آمن. يؤدي هذا النقص في مخزون العظام إلى:
* عدم استقرار الكوب الاصطناعي: خطر كبير لفك أو رخاوة الكوب مع مرور الوقت.
* صعوبة في استعادة مركز دوران الورك الطبيعي: مما يؤدي إلى تفاوت في طول الساقين ومشية غير طبيعية.
* فشل مبكر للمفصل الصناعي: بسبب عدم كفاية الدعم العظمي.
باستخدام ترقيع رأس الفخذ الذاتي، يتمكن الجراح من:
* تعميق وتوسيع التجويف الحقي: إنشاء تجويف عظمي طبيعي وعميق لاستقبال الكوب الاصطناعي.
* استعادة مخزون العظام: توفير دعم عظمي قوي وثابت للمفصل الاصطناعي.
* تصحيح مركز دوران الورك: إعادة المفصل إلى موقعه التشريحي الطبيعي، مما يصحح تفاوت طول الساقين ويحسن الميكانيكا الحيوية.
مزايا ترقيع رأس الفخذ الذاتي
- التوافق الحيوي الأمثل: نظرًا لأنه عظم المريض نفسه، فإن خطر الرفض أو التفاعلات المناعية معدوم.
- الاندماج العظمي (Osteointegration): يندمج الطعم العظمي بشكل طبيعي مع عظم الحوض المحيط، مما يوفر دعمًا بيولوجيًا قويًا ودائمًا.
- تقليل مخاطر العدوى: مقارنة بالطعوم الصناعية أو طعوم المتبرعين.
- قوة ميكانيكية: يوفر دعمًا هيكليًا ممتازًا يمكن أن يتحمل الأحمال الطبيعية.
- تصحيح تفاوت طول الساقين: يساهم في تحقيق طول ساقين متساوٍ، وهو أمر بالغ الأهمية لوظيفة المشي والوقاية من مشاكل الظهر.
مزايا وتحديات استخدام ترقيع رأس الفخذ الذاتي في إعادة بناء الورك
| الميزة | التحدي/الاعتبار |
|---|---|
| التوافق الحيوي المثالي | يتطلب وجود رأس فخذ بحالة جيدة وكافية للاستخدام كطعم. |
| اندماج عظمي قوي ودائم | قد يستغرق الاندماج العظمي بعض الوقت (عدة أشهر). |
| تقليل مخاطر الرفض أو العدوى | يتطلب تقنية جراحية دقيقة لضمان التثبيت الصحيح. |
| استعادة مخزون العظام الطبيعي | قد لا يكون كافيًا في حالات النقص الشديد جدًا. |
| تصحيح مركز دوران الورك | يتطلب تخطيطًا دقيقًا قبل الجراحة. |
| تحسين استقرار المفصل الاصطناعي | الجراحة أكثر تعقيدًا وتستغرق وقتًا أطول. |
| نتائج طويلة الأمد ممتازة | يتطلب جراحًا ذا خبرة عالية في هذه التقنية. |
يعتبر الأستاذ الدكتور محمد هطيف من الخبراء القلائل في المنطقة الذين يتقنون هذه التقنية المعقدة، مستخدمًا خبرته الواسعة وأحدث الأدوات الجراحية لضمان تثبيت الطعم العظمي بدقة وفعالية، مما يمهد الطريق لنجاح طويل الأمد للمفصل الصناعي.
الرحلة الجراحية مع د. محمد هطيف التحضير والتعافي
تعتبر عملية إعادة بناء مفصل الورك المعقدة باستخدام ترقيع رأس الفخذ الذاتي رحلة تتطلب تخطيطًا دقيقًا، مهارة جراحية عالية، ورعاية شاملة بعد الجراحة. يقود الأستاذ الدكتور محمد هطيف هذه الرحلة بخبرته التي تزيد عن 20 عامًا، وهو أستاذ في جامعة صنعاء، ومشهور بتطبيقه لأحدث التقنيات الجراحية مثل جراحة المفاصل الصناعية والمناظير 4K والجراحة المجهرية.
التقييم والتحضير قبل الجراحة
تعتبر هذه المرحلة حاسمة لنجاح الجراحة. يقوم الدكتور هطيف بإجراء تقييم شامل يشمل:
* مراجعة التاريخ الطبي الكامل: بما في ذلك أي حالات طبية سابقة أو حالية، الأدوية، والحساسية.
* فحص سريري دقيق: لتقييم نطاق حركة الورك، قوة العضلات، أي تفاوت في طول الساقين، والحالة العامة للمريض.
* فحوصات تصويرية متقدمة:
* الأشعة السينية (X-rays): لتقييم بنية العظام العامة.
* التصوير المقطعي المحوسب (CT Scan): غالبًا ما يتم إجراء تصوير مقطعي ثلاثي الأبعاد لتقييم دقيق للتشوهات العظمية في الحوض وعظم الفخذ، وتحديد حجم وموضع التجويف الحقي الحالي، وتخطيط استراتيجية الترقيع بدقة.
* التصوير بالرنين المغناطيسي (MRI): لتقييم الأنسجة الرخوة.
* الاستشارات الطبية: قد يحتاج المريض إلى استشارة أطباء آخرين (مثل طبيب القلب أو طبيب التخدير) لضمان لياقته البدنية للجراحة.
* تثقيف المريض: يشرح الدكتور هطيف العملية بالتفصيل، المخاطر والفوائد المتوقعة، وما يمكن توقعه خلال فترة التعافي، مؤكدًا على مبدأ النزاهة الطبية الصارمة التي يلتزم بها.
الإجراء الجراحي (الخطوات التفصيلية)
تُجرى الجراحة تحت التخدير العام وتستغرق عادةً عدة ساعات نظرًا لتعقيدها. يستخدم الدكتور هطيف أساليب جراحية دقيقة لتقليل فقدان الدم وتسريع التعافي.
- التخدير والتحضير: يُعطى المريض تخديرًا عامًا، ويتم تنظيف وتعقيم منطقة الجراحة.
- **الشق الجرا
آلام الورك وتقييد حركته ليس قدراً محتوماً! التشخيص الدقيق والعلاج المتخصص يمكن أن يعيد لك كامل وظيفتك وحريتك في الحركة. لا تدع الألم يسيطر على حياتك.
للحصول على استشارة دقيقة وخطة علاجية مخصصة لحالتك، تواصل فوراً مع مركز الأستاذ الدكتور محمد هطيف:
الأستاذ الدكتور محمد هطيف - أفضل دكتور عظام في صنعاء، وخبير في جراحات استبدال مفصل الورك.. نلتزم بإعادتك لحياة خالية من الألم وورك قوي ووظيفي.
مواضيع أخرى قد تهمك