استبدال مفصل الكاحل الكلي ستار STAR لعلاج خشونة الكاحل المتقدمة في صنعاء

الخلاصة الطبية
استبدال مفصل الكاحل الكلي ستار (STAR) هو إجراء جراحي فعال لعلاج خشونة الكاحل في مراحلها المتأخرة، خاصة بعد فشل العلاجات الأخرى. يهدف إلى تخفيف الألم واستعادة وظيفة المفصل. يقوم الأستاذ الدكتور محمد هطيف في صنعاء بإجراء هذه الجراحة بتقنيات متقدمة لضمان أفضل النتائج للمرضى.
الخلاصة الطبية الشاملة: يمثل استبدال مفصل الكاحل الكلي بتقنية ستار (STAR - Scandinavian Total Ankle Replacement) ثورة حقيقية في جراحة العظام الحديثة لعلاج خشونة الكاحل المتقدمة. هذا الإجراء الجراحي الدقيق، الذي يأتي كطوق نجاة بعد استنفاد كافة الخيارات التحفظية، لا يهدف فقط إلى القضاء على الألم المبرح، بل يعيد للمريض القدرة على الحركة والمشي بنمط طبيعي يحاكي وظيفة المفصل الأصلي. في العاصمة اليمنية صنعاء، يتصدر الأستاذ الدكتور محمد هطيف، أستاذ جراحة العظام والمفاصل بجامعة صنعاء، المشهد الطبي كأفضل خبير وجراح في هذا التخصص الدقيق. بفضل خبرته التي تتجاوز العشرين عاماً، واستخدامه لأحدث التقنيات العالمية مثل الجراحة الميكروسكوبية ومناظير المفاصل بدقة 4K، يقدم الدكتور هطيف رعاية طبية متكاملة تتسم بأعلى معايير الأمانة الطبية والاحترافية، مما يجعل صنعاء وجهة طبية موثوقة لإجراء أعقد جراحات المفاصل.

مقدمة شاملة: عبء خشونة الكاحل والتحول نحو استبدال المفصل
مفصل الكاحل ليس مجرد مفصل عادي؛ إنه نقطة الارتكاز الحيوية التي تحمل وزن الجسم كاملاً وتوزع القوى الميكانيكية المعقدة أثناء المشي، الجري، والقفز. عندما يتعرض هذا المفصل للتآكل والخشونة الشديدة (End-Stage Ankle Arthritis)، تنقلب حياة المريض رأساً على عقب. يصبح كل خطوة بمثابة تحدٍ مؤلم، وتضمر العضلات المحيطة، وتتأثر المفاصل المجاورة في القدم والركبة وحتى أسفل الظهر نتيجة لتغير نمط المشي (Gait Alteration).
تاريخياً، كان العلاج الجراحي الذهبي لخشونة الكاحل المتقدمة هو "دمج المفصل" (Ankle Arthrodesis). ورغم فعالية الدمج في تخفيف الألم، إلا أنه يقضي تماماً على حركة المفصل، مما يزيد من العبء الميكانيكي على مفاصل القدم الأخرى ويؤدي إلى تآكلها بمرور الوقت. من هنا، برزت الحاجة الملحة لتطوير تقنيات استبدال مفصل الكاحل الكلي (Total Ankle Arthroplasty - TAA).
تُعد غرسة ستار (STAR) واحدة من أقدم وأنجح الغرسات المستخدمة عالمياً، حيث تتميز بتصميمها "المتحرك" (Mobile-bearing) الذي يحاكي الحركة الفسيولوجية الطبيعية للكاحل بشكل غير مسبوق. إن إجراء هذه الجراحة يتطلب مستوى استثنائياً من المهارة والدقة، وهو ما يوفره الأستاذ الدكتور محمد هطيف في صنعاء، مقدماً أملاً جديداً للمرضى للعودة إلى حياتهم الطبيعية دون ألم أو قيود حركية.


لماذا الأستاذ الدكتور محمد هطيف هو الخيار الأول في صنعاء واليمن؟
عندما يتعلق الأمر بجراحة دقيقة ومعقدة مثل استبدال مفصل الكاحل، فإن اختيار الجراح هو العامل الأكثر حسماً في نجاح العملية. يبرز اسم الأستاذ الدكتور محمد هطيف كعلامة فارقة في سماء الطب اليمني والعربي لعدة أسباب جوهرية:
- المكانة الأكاديمية والخبرة الطويلة: بصفته أستاذاً لجراحة العظام في جامعة صنعاء، يجمع الدكتور هطيف بين العمق الأكاديمي والبحثي وبين الخبرة السريرية والجراحية التي تمتد لأكثر من 20 عاماً. أجرى خلالها آلاف العمليات الناجحة والمعقدة.
- التخصص الدقيق والتقنيات الحديثة: الدكتور هطيف رائد في استخدام التكنولوجيا الطبية المتقدمة في اليمن. يشمل ذلك الجراحات الميكروسكوبية الدقيقة، استخدام مناظير المفاصل بتقنية العرض فائق الدقة (Arthroscopy 4K)، والتقنيات الحديثة في استبدال المفاصل (Arthroplasty).
- الأمانة الطبية المطلقة: يشتهر الدكتور هطيف بنهجه الصادق والشفاف مع مرضاه. لا يتم اللجوء إلى الجراحة إلا إذا كانت هي الخيار الأمثل والوحيد الذي يخدم مصلحة المريض، مع شرح وافٍ لنسب النجاح والمخاطر المحتملة.
- الرعاية الشاملة: من اللحظة الأولى للتشخيص، مروراً بالتخطيط الجراحي الدقيق باستخدام النماذج ثلاثية الأبعاد، وصولاً إلى برامج التأهيل والمتابعة طويلة الأمد، يوفر فريق الدكتور هطيف رعاية لا تضاهى.


التشريح الدقيق لمفصل الكاحل: تعقيد هندسي إلهي
لفهم مدى تعقيد جراحة استبدال الكاحل، يجب الغوص في التفاصيل التشريحية لهذا المفصل الفريد. الكاحل (المفصل الظنبوبي الشظوي الكاحلي) هو مفصل زلالي بَكَري (Hinge Joint) يسمح بحركتين أساسيتين: الانثناء الظهري (Dorsiflexion) والانثناء الأخمصي (Plantarflexion). ومع ذلك، فهو يسمح أيضاً بدرجة طفيفة من الدوران والانزلاق، مما يجعله مفصلاً معقداً حركياً.
1. العظام المكونة للمفصل (The Bony Architecture)
- السطح المفصلي لعظم الظنبوب (Tibial Plafond): السطح السفلي لعظمة الساق الكبرى (الظنبوب). يمتد من الجهة الإنسية (الداخلية) ليشكل الكعب الإنسي (Medial Malleolus). هذا السطح مقعر ويحتضن عظم الكاحل. في التخطيط الجراحي، يولي الدكتور هطيف اهتماماً بالغاً بميل هذا السطح لضمان وضع الغرسة المعدنية بالزاوية الميكانيكية الصحيحة.
- عظم الشظية (Fibula): العظمة الجانبية للساق، وتمتد لتشكل الكعب الوحشي (Lateral Malleolus). تعمل كدعامة جانبية تمنع انزلاق القدم للخارج، وتتحمل حوالي 16% من وزن الجسم المحوري.
- عظم الكاحل (Talus): هو القبة التي ترتكز عليها الساق. يتميز بأنه مغطى بالغضاريف بنسبة 60% من مساحته السطحية، ولا ترتبط به أي أوتار عضلية، مما يجعل ترويته الدموية حساسة للغاية. شكل قبة الكاحل أعرض من الأمام وأضيق من الخلف، مما يمنح المفصل ثباتاً أكبر أثناء الانثناء الظهري.

2. الأربطة الداعمة (Ligamentous Support)
استقرار الكاحل يعتمد على شبكة قوية من الأربطة:
* المركب الرباطي الجانبي: يشمل الرباط الشظوي الكاحلي الأمامي (ATFL)، الرباط الشظوي العقبي (CFL)، والرباط الشظوي الكاحلي الخلفي (PTFL).
* الرباط الدالي (Deltoid Ligament): رباط قوي جداً في الجهة الإنسية يمنع الانقلاب الخارجي المفرط للقدم.
* الرباط الظنبوبي الشظوي السفلي (Syndesmosis): يربط بين عظمتي الساق السفلية. الحفاظ على سلامة هذا الرباط أثناء الجراحة أمر بالغ الأهمية لضمان ثبات الغرسة.
3. الهياكل العصبية والوعائية (Neurovascular Structures)
يستخدم الدكتور محمد هطيف "النهج الأمامي" (Anterior Approach) في جراحة STAR. هذا النهج يمر عبر فجوة تشريحية دقيقة بين وتر العضلة الظنبوبية الأمامية ووتر العضلة الباسطة لإبهام القدم. تتطلب هذه المنطقة حذراً جراحياً فائقاً (وهنا تبرز أهمية الجراحة الميكروسكوبية) لحماية:
* العصب الشظوي العميق (Deep Peroneal Nerve): المسؤول عن رفع القدم والإحساس في المسافة بين الإصبع الأول والثاني.
* الشريان الظنبوبي الأمامي (Anterior Tibial Artery): المزود الرئيسي للدم لظهر القدم.
* العصب الشظوي السطحي (Superficial Peroneal Nerve): الذي يعبر فوق المفصل ويوفر الإحساس لظهر القدم.


فهم خشونة الكاحل: الأسباب، المراحل، والأعراض
على عكس مفصل الركبة أو الورك، حيث يكون التآكل الأولي (Osteoarthritis) بسبب التقدم في العمر هو السبب الشائع، فإن خشونة مفصل الكاحل غالباً ما تكون ثانوية، وتحديداً نتيجة لصدمات سابقة (Post-Traumatic Arthritis).
أسباب خشونة الكاحل:
- التهاب المفاصل ما بعد الصدمة (Post-Traumatic): يشكل حوالي 70-80% من الحالات. يحدث بعد سنوات أو عقود من كسور الكاحل المعقدة، التواءات الكاحل المتكررة، أو تمزق الأربطة غير المعالج الذي يؤدي إلى عدم استقرار ميكانيكي دقيق (Micro-instability) يطحن الغضروف بمرور الوقت.
- التهاب المفاصل الروماتويدي (Rheumatoid Arthritis): مرض مناعي ذاتي يهاجم الغشاء الزلالي المبطن للمفصل، مما يؤدي إلى تدمير الغضروف والعظام. مرضى الروماتويد هم مرشحون ممتازون لجراحة استبدال الكاحل الكلي.
- التهاب المفاصل العظمي الأولي (Primary Osteoarthritis): نادر الحدوث في الكاحل بسبب الخصائص الميكانيكية للغضروف الكاحلي الذي يتحمل الضغط بشكل أفضل من غضروف الركبة.
- العدوى السابقة أو النقرس: الالتهابات البكتيرية القديمة أو ترسبات بلورات حمض اليوريك المتكررة يمكن أن تدمر المفصل.

الأعراض السريرية لخشونة الكاحل المتقدمة:
المرضى الذين يزورون عيادة الأستاذ الدكتور محمد هطيف يعانون عادة من مجموعة من الأعراض المنهكة:
* ألم عميق ومستمر: ألم يزداد مع حمل الوزن والمشي، وقد يستمر حتى أثناء الراحة في المراحل المتقدمة. يصفه المرضى بأنه ألم "طاحن" داخل المفصل.
* تيبس المفصل (Stiffness): فقدان كبير في نطاق الحركة، خاصة الانثناء الظهري (صعوبة رفع القدم)، مما يجعل صعود أو نزول السلالم أمراً شاقاً.
* تورم مزمن (Chronic Swelling): تجمع السوائل الزلالية والتهاب الأنسجة المحيطة بالمفصل.
* أصوات طقطقة وفرقعة (Crepitus): نتيجة احتكاك العظم بالعظم بعد تآكل الغضروف الواقي.
* تشوه شكل الكاحل: قد يميل الكاحل إلى الداخل (Varus) أو الخارج (Valgus) نتيجة تآكل جانب واحد من المفصل أكثر من الآخر.


التشخيص الدقيق والتقييم قبل الجراحي
لا يتخذ الدكتور محمد هطيف قرار الجراحة بناءً على الأعراض فقط، بل يتبع بروتوكولاً تشخيصياً صارماً وشاملاً:
- الفحص السريري الدقيق: تقييم نطاق الحركة، تحديد نقاط الألم، فحص قوة العضلات، وتقييم التروية الدموية للقدم (النبض المحيطي). يتم أيضاً تقييم نمط مشية المريض (Gait Analysis).
- الأشعة السينية الحاملة للوزن (Weight-Bearing X-rays): هي المعيار الذهبي المبدئي. تظهر تضيق المسافة المفصلية، تكون النتوءات العظمية (Osteophytes)، والتكيسات العظمية (Subchondral cysts).
- الأشعة المقطعية (CT Scan): ضرورية جداً للتخطيط الجراحي، حيث تعطي صورة ثلاثية الأبعاد لحجم العظام وجودتها، وتساعد في تحديد حجم غرسة STAR بدقة.
- التصوير بالرنين المغناطيسي (MRI): يُستخدم لتقييم حالة الأربطة والأوتار المحيطة، والتأكد من عدم وجود نخر انعدام الدم (Avascular Necrosis) في عظم الكاحل، والذي قد يمنع إجراء الاستبدال.



الخيارات العلاجية: متى نلجأ إلى استبدال المفصل؟
يؤمن الأستاذ الدكتور محمد هطيف بمبدأ التدرج في العلاج. لا يتم اللجوء للجراحة إلا بعد استنفاد كافة الخيارات التحفظية.
العلاجات التحفظية (غير الجراحية):
- تعديل نمط الحياة: تقليل الأنشطة عالية التأثير (كالركض) واستبدالها بالسباحة أو ركوب الدراجة.
- الأدوية: مضادات الالتهاب غير الستيرويدية (NSAIDs) لتخفيف الألم والتورم.
- العلاج الطبيعي: لتقوية العضلات المحيطة بالكاحل وتحسين التوازن.
- الدعامات والأحذية الطبية (Orthotics): استخدام أحذية بنعل متأرجح (Rocker-bottom shoes) أو دعامات لتقييد حركة الكاحل المؤلمة.
- الحقن الموضعية: حقن الكورتيزون لتقليل الالتهاب، أو حقن البلازما الغنية بالصفائح الدموية (PRP) وحمض الهيالورونيك (رغم أن فعاليتها محدودة في الخشونة المتقدمة).
العلاج الجراحي: دمج الكاحل مقابل استبدال الكاحل
عندما تفشل العلاجات التحفظية، يقف المريض أمام خيارين جراحيين رئيسيين. يوضح الجدول التالي مقارنة تفصيلية بينهما لمساعدة المرضى على فهم لماذا يعتبر استبدال المفصل (TAA) ثورة طبية.
جدول 1: مقارنة بين دمج مفصل الكاحل (Arthrodesis) واستبدال مفصل الكاحل الكلي (TAA)
| وجه المقارنة | دمج مفصل الكاحل (Ankle Fusion) | استبدال مفصل الكاحل (Total Ankle Replacement - STAR) |
|---|---|---|
| آلية العمل | إزالة الغضروف المتبقي وتثبيت العظام معاً بمسامير حتى تلتحم كعظمة واحدة. | إزالة الأسطح التالفة واستبدالها بأجزاء معدنية وبلاستيكية تحاكي المفصل. |
| الحركة والمرونة | يتم فقدان حركة الكاحل (الرفع والخفض) تماماً. | يحافظ على حركة الكاحل ويحسنها، مما يسمح بمشية طبيعية تقريباً. |
| تخفيف الألم | ممتاز جداً بعد التئام العظام. | ممتاز جداً، وعادة ما يكون أسرع من الدمج. |
| تأثيره على المفاصل المجاورة | يزيد الضغط بشكل كبير على مفاصل القدم الأخرى، مما يؤدي إلى خشونة مبكرة فيها بنسبة تصل إلى 50% خلال 10 سنوات. | يحمي المفاصل المجاورة لأنه يمتص الصدمات ويحافظ على الميكانيكا الحيوية الطبيعية للقدم. |
| فترة التعافي | طويلة (قد تصل إلى 3-6 أشهر حتى يكتمل الالتحام العظمي). | أسرع نسبياً، يبدأ المريض بتحريك المفصل مبكراً. |
| المرشح المثالي | المرضى الأصغر سناً، العمال الذين يقومون بأعمال شاقة جداً، أو من يعانون من تشوهات شديدة وضعف عصبي. | المرضى الأكبر سناً (فوق 50 عادة)، مرضى الروماتويد، الأشخاص ذوي النشاط المعتدل، والذين يرغبون في الحفاظ على حركتهم. |
| موانع الإجراء | الالتهابات النشطة، ضعف الدورة الدموية الشديد. | هشاشة العظام الشديدة، نقص التروية الدموية، تلف الأعصاب (الاعتلال العصبي كمرضى السكري المتقدم)، صغر السن مع نشاط رياضي عنيف. |


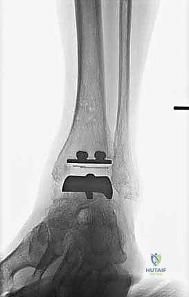
ما هي غرسة ستار (STAR)؟ ولماذا هي الأفضل؟
نظام STAR (Scandinavian Total Ankle Replacement) ليس مجرد غرسة عادية؛ إنه نتاج عقود من البحث والتطوير الميكانيكي الحيوي. تم تصميمه لأول مرة في الدول الاسكندنافية، وحصل على موافقة إدارة الغذاء والدواء الأمريكية (FDA)، ويعتبر من أكثر الغرسات توثيقاً في الأبحاث الطبية العالمية.
التصميم الفريد (Mobile-Bearing Design):
تتكون غرسة STAR من ثلاثة أجزاء رئيسية ولا تستخدم الأسمنت العظمي (Cementless)، بل تعتمد على النمو العظمي الدقيق داخل مسام الغرسة لتثبيتها بشكل دائم:
- المكون الظنبوبي (Tibial Component): صفيحة معدنية مسطحة من سبائك الكوبالت والكروم (Cobalt-Chromium)، تُثبت في أسفل عظمة الساق (الظنبوب) بواسطة أسطوانتين معدنيتين تدخلان في العظم لضمان الثبات المطلق.
- المكون الكاحلي (Talar Component): قطعة معدنية تغطي قبة عظم الكاحل، مصممة بشكل تشريحي منحني يحاكي تماماً شكل العظمة الأصلية، وتحتوي على أخدود طولي.
- الحشوة البلاستيكية المتحركة (Mobile Polyethylene Bearing): هذا هو سر نجاح غرسة STAR. هي قطعة من البلاستيك الطبي عالي الكثافة (UHMWPE) توضع بين القطعتين المعدنيتين. هذه القطعة ليست ثابتة، بل تنزلق بحرية للأمام والخلف، وتسمح بدرجة طفيفة من الدوران. هذا التصميم "المتحرك" يقلل بشكل هائل من إجهاد القص (Shear Stress) على واجهة العظم والمعدن، مما يقلل من احتمالية تخلخل الغرسة (Loosening) على المدى الطويل، ويمنح المريض نطاق حركة فسيولوجي مذهل.



الخطوات الجراحية التفصيلية لاستبدال مفصل الكاحل بتقنية STAR
تُعد هذه الجراحة من أروع وأدق الإجراءات في عالم جراحة العظام. يقوم الأستاذ الدكتور محمد هطيف وفريقه الطبي في صنعاء بتنفيذها وفق بروتوكول عالمي صارم لضمان نسب نجاح تقارب 100٪. فيما يلي تفصيل دقيق لخطوات العملية، مدعوماً بالصور من داخل غرفة العمليات.
1. التحضير والتخدير (Preparation & Anesthesia)
يتم إخضاع المريض لتخدير نصفي (Spinal Anesthesia) أو تخدير عام بناءً على تقييم طبيب التخدير. يتم استخدام عاصبة (Tourniquet) حول الفخذ لمنع تدفق الدم مؤقتاً، مما يوفر حقلاً جراحياً نظيفاً وخالياً من النزيف. يوضع المريض على ظهره مع رفع الساق قليلاً.
2. الشق الجراحي والنهج الأمامي (Incision & Anterior Approach)
يقوم الدكتور هطيف بعمل شق طولي دقيق في الجزء الأمامي من الكاحل، طوله حوالي 10-15 سم. يتم تشريح الأنسجة بعناية فائقة للوصول إلى المفصل.
* الحماية العصبية الوعائية: هذه هي الخطوة الأكثر حرجاً. يتم تحديد الحزمة الوعائية العصبية (الشريان الظنبوبي الأمامي والعصب الشظوي العميق) وسحبها برفق شديد لحمايتها من أي ضرر جراحي.


3. إزالة النتوءات العظمية وتحضير المفصل (Debridement)
بمجرد كشف المفصل، يقوم الجراح بإزالة الغشاء الزلالي الملتهب والزوائد العظمية (Osteophytes) التي تعيق الحركة. هذه الخطوة ضرورية لاستعادة المعالم التشريحية الطبيعية قبل إجراء القطع العظمي.


4. وضع أدلة القطع (Jig Placement and Alignment)
تعتمد دقة الجراحة على المحاذاة الصحيحة. يتم استخدام أجهزة توجيه متطورة (Jigs) تثبت على عظمة الساق باستخدام دبابيس معدنية. يتم التحقق من صحة الزوايا والمحاور باستخدام جهاز الأشعة السينية المباشر داخل غرفة العمليات (C-arm Fluoroscopy). يضمن الدكتور هطيف أن يكون القطع موازياً للأرض تماماً عند وقوف المريض.



5. القطع العظمي الظنبوبي (Tibial Bone Cut)
باستخدام منشار جراحي دقيق التذبذب، يتم إزالة شريحة رقيقة جداً (بضعة مليمترات) من السطح السفلي التالف لعظمة الظنبوب. يتم القطع بحذر شديد لتجنب إصابة الأوتار الخلفية أو الأوعية الدموية.



6. القطع العظمي الكاحلي (Talar Bone Cut)
بشكل مشابه، يتم توجيه دليل القطع نحو عظمة الكاحل (Talus) وإزالة السطح الغضروفي التالف وت













































آلام العظام والمفاصل وتقييد حركتها ليس قدراً محتوماً! التشخيص الدقيق والعلاج المتخصص يمكن أن يعيد لك كامل وظيفتك وحريتك في الحركة. لا تدع الألم يسيطر على حياتك.
للحصول على استشارة دقيقة وخطة علاجية مخصصة لحالتك، تواصل فوراً مع مركز الأستاذ الدكتور محمد هطيف:
الأستاذ الدكتور محمد هطيف - أفضل دكتور عظام في صنعاء، وخبير في جراحات العظام والمفاصل والعمود الفقري.. نلتزم بإعادتك لحياة خالية من الألم وحركة طبيعية.
مواضيع أخرى قد تهمك