استبدال مفصل الكاحل الكلي بنظامي سالتو وسالتو تالاريس: دليل شامل من الأستاذ الدكتور محمد هطيف

الخلاصة الطبية
جراحة مفصل الكاحل الصناعي بنظامي سالتو وسالتو تالاريس هي حل متقدم لاستعادة حركة الكاحل وتخفيف الألم الناتج عن التهاب المفاصل الشديد. تهدف هذه العملية إلى استعادة وظيفة المفصل الطبيعية وتحسين جودة الحياة بشكل كبير، مع التركيز على الدقة الجراحية والتثبيت القوي لنتائج طويلة الأمد.
الخلاصة الطبية السريعة: جراحة استبدال مفصل الكاحل الكلي (Total Ankle Replacement) باستخدام نظامي سالتو (Salto) وسالتو تالاريس (Salto-Talaris) تُمثل القمة في تطور جراحة العظام الحديثة. إنها الحل الجراحي المتقدم والنهائي لاستعادة حركة الكاحل الطبيعية وتخفيف الألم المبرح الناتج عن التهاب المفاصل العظمي الشديد، الروماتويدي، أو ما بعد الصدمات. تهدف هذه العملية الدقيقة إلى استعادة الوظيفة الميكانيكية للمفصل، وتحسين جودة الحياة بشكل جذري، مع التركيز التام على الدقة الجراحية المتناهية والتثبيت البيولوجي القوي لضمان نتائج تدوم لعقود.

مقدمة: نحو حياة خالية من ألم الكاحل مع الأستاذ الدكتور محمد هطيف
مرحباً بكم في عالم الطب المتقدم الموثوق، حيث نسعى جاهدين لإعادة الأمل، الوظيفة، والحركة الانسيابية لمرضانا. في عيادات الأستاذ الدكتور محمد هطيف، نؤمن إيماناً راسخاً بأن جودة الحياة تبدأ من القدرة على الحركة باستقلالية ودون ألم. اليوم، سنتناول موضوعاً طبياً بالغ الأهمية والتعقيد لكثير من المرضى الذين يعانون من آلام الكاحل المزمنة والمقعدة: جراحة استبدال مفصل الكاحل الكلي باستخدام أحدث الأنظمة العالمية المتطورة، وهما نظاما سالتو (Salto) وسالتو تالاريس (Salto-Talaris).

إن قرار الخضوع لجراحة استبدال مفصل الكاحل ليس مجرد إجراء روتيني؛ إنه استثمار استراتيجي في مستقبلك الصحي، يهدف إلى استعادة الحركة الفسيولوجية الطبيعية، الحفاظ على وظيفة القدم، وتحسين نوعية حياتك بشكل لا يُقاس مقارنة بالخيارات القديمة مثل "دمج المفصل". تعتبر أنظمة سالتو وسالتو تالاريس طفرة علمية ملحوظة في جراحة المفاصل الصناعية، فهي مبنية على عقود من الأبحاث والتصميمات الهندسية الحيوية للجيل الثالث غير الإسمنتية، والتي تتيح توافقاً تشريحياً مذهلاً.
هدفنا الأسمى في هذا الإجراء، كما هو الحال دائماً في كل تدخل جراحي، هو التنفيذ الميكرو-جراحي الدقيق للوصول إلى التموضع المثالي للمكونات الصناعية، وتحقيق تثبيت أولي صلب، وهو حجر الزاوية لنجاح "التثبيت البيولوجي الثانوي" (حيث ينمو العظم الطبيعي داخل مسام المفصل الصناعي) والذي نعتمد عليه لتحقيق نتائج مستدامة مدى الحياة.

الأستاذ الدكتور محمد هطيف: المرجعية الأولى لجراحة العظام والمفاصل في اليمن
عندما يتعلق الأمر بجراحة دقيقة ومعقدة مثل استبدال مفصل الكاحل، فإن اختيار الجراح هو القرار الأهم على الإطلاق. الأستاذ الدكتور محمد هطيف ليس مجرد طبيب جراح؛ بل هو قامة علمية وطبية رائدة في اليمن والمنطقة.

- الدرجة العلمية المرموقة: أستاذ (بروفيسور) جراحة العظام والمفاصل بكلية الطب، جامعة صنعاء. هذه الدرجة الأكاديمية تعكس التزامه المستمر بالبحث العلمي وتدريب الأجيال الجديدة من الأطباء.
- خبرة تتجاوز العقدين: أكثر من 20 عاماً من الخبرة العملية المتراكمة في غرف العمليات، تعامل خلالها مع أعقد الحالات التشوهية والإصابات المتقدمة.
- التكنولوجيا الحديثة: رائد في استخدام أحدث التقنيات العالمية في اليمن، بما في ذلك الجراحات الميكروسكوبية الدقيقة، ومناظير المفاصل بتقنية 4K عالية الوضوح، وتقنيات استبدال المفاصل المتقدمة.
- الصدق الطبي والأمانة: المبدأ الأساسي في عيادة الدكتور هطيف هو "الصدق الطبي المطلق". لا يتم اللجوء إلى الجراحة إلا إذا كانت هي الخيار الأمثل والوحيد لإنقاذ المريض من الألم وتحسين حياته، بعد استنفاد كافة الطرق التحفظية.

التشريح الدقيق لمفصل الكاحل: لماذا هو مفصل فريد؟
لفهم أهمية وتعقيد جراحة استبدال مفصل الكاحل، يجب أولاً أن نفهم كيف يعمل هذا المفصل الطبيعي المذهل. الكاحل ليس مجرد مفصل مفصلي بسيط (Hinge Joint) يتحرك لأعلى ولأسفل فقط، بل هو هيكل ديناميكي معقد يتحمل ضغوطاً هائلة تفوق وزن الجسم بعدة أضعاف أثناء المشي والجري.

يتكون مفصل الكاحل الأساسي (المفصل الظنبوبي الكاحلي - Tibiotalar joint) من التقاء ثلاث عظام رئيسية:
1. عظمة الظنبوب (Tibia): وهي عظمة الساق الكبرى، وتشكل السقف والجزء الداخلي من الكاحل (الكعب الداخلي - Medial Malleolus).
2. عظمة الشظية (Fibula): وهي عظمة الساق الصغرى، وتشكل الجزء الخارجي من الكاحل (الكعب الخارجي - Lateral Malleolus).
3. عظمة الكاحل (Talus): وهي العظمة السفلية التي تستقر داخل التجويف الذي تشكله عظمتا الساق، وتعمل كنقطة ارتكاز محورية للقدم.

تُغطى نهايات هذه العظام بطبقة ناعمة ومرنة تسمى "الغضروف المفصلي" (Articular Cartilage). هذا الغضروف يعمل كوسادة ممتصة للصدمات ويسمح للعظام بالانزلاق فوق بعضها البعض باحتكاك يكاد يكون معدوماً. علاوة على ذلك، يُفرز المفصل سائلاً زلالياً (Synovial Fluid) يعمل كزيت تشحيم لضمان نعومة الحركة. عندما يتضرر هذا الغضروف لأي سبب، تبدأ العظام بالاحتكاك المباشر، مما يسبب الألم الشديد، التورم، وفقدان القدرة على الحركة؛ وهنا تبرز الحاجة الماسة للتدخل الطبي.

الأسباب الجذرية لتآكل مفصل الكاحل (التهاب المفاصل)
التهاب مفصل الكاحل هو حالة متقدمة ومؤلمة تختلف في أسبابها عن التهاب مفصل الركبة أو الورك. في حين أن التقدم في العمر هو السبب الرئيسي لالتهاب الركبة، فإن الكاحل له قصة مختلفة.

1. التهاب المفاصل ما بعد الصدمة (Post-Traumatic Arthritis)
هذا هو السبب الأكثر شيوعاً لالتهاب مفصل الكاحل (يمثل حوالي 70-80% من الحالات). يحدث نتيجة تعرض الكاحل لإصابة سابقة، مثل:
* كسور الكاحل المعقدة التي لم تلتئم بشكل تشريحي مثالي.
* الالتواءات المتكررة والشديدة التي أدت إلى تمزق الأربطة المزمن وعدم استقرار المفصل (Chronic Instability).
* حتى بعد سنوات أو عقود من الإصابة الأولية، يمكن أن يؤدي التغير في الميكانيكا الحيوية للمفصل إلى تآكل الغضروف بشكل متسارع.
2. التهاب المفاصل الروماتويدي (Rheumatoid Arthritis)
وهو مرض مناعي ذاتي يقوم فيه جهاز المناعة في الجسم بمهاجمة الأغشية المبطنة للمفاصل (الغشاء الزلالي). يؤدي هذا الهجوم إلى التهاب مزمن وتورم، وبمرور الوقت، يقوم هذا الالتهاب بتدمير الغضروف والعظام الكامنة تحته. غالباً ما يؤثر هذا النوع على كلا الكاحلين في نفس الوقت.

3. الفصال العظمي الأولي (Primary Osteoarthritis)
وهو التآكل الطبيعي الناتج عن التقدم في العمر والاستخدام الطويل (Wear and Tear). على الرغم من أنه شائع جداً في الركبتين والوركين، إلا أنه نادر الحدوث في الكاحل بشكل أولي دون وجود سبب أو إصابة سابقة، وذلك بفضل التصميم التشريحي الفريد للكاحل الذي يوزع الضغط بشكل ممتاز.
4. أسباب أخرى أقل شيوعاً
- النقرس (Gout): تراكم بلورات حمض اليوريك داخل المفصل.
- العدوى البكتيرية السابقة: التي أدت إلى تدمير صديدي للغضروف.
- النخر اللاوعائي (Avascular Necrosis): موت جزء من عظمة الكاحل (Talus) بسبب انقطاع التروية الدموية عنها.

الأعراض والعلامات: متى يجب عليك زيارة الأستاذ الدكتور محمد هطيف؟
التعرف المبكر على أعراض تدهور مفصل الكاحل يمكن أن يفتح الباب لخيارات علاجية أوسع قبل الوصول إلى مرحلة التدمير الكامل للمفصل.

إذا كنت تعاني من واحد أو أكثر من الأعراض التالية، فإن التقييم الطبي المتخصص أصبح ضرورة ملحة:
* ألم مزمن وعميق: ألم يتركز في مقدمة أو جوانب الكاحل، يزداد سوءاً مع المشي، صعود السلالم، أو الوقوف لفترات طويلة. في المراحل المتقدمة، قد يوقظك الألم من النوم.
* تيبس المفصل (Stiffness): صعوبة بالغة في تحريك الكاحل، خاصة في الصباح الباكر عند الاستيقاظ، أو بعد فترة من الجلوس والراحة.
* تورم مستمر: انتفاخ ملحوظ حول مفصل الكاحل لا يستجيب بشكل جيد لمضادات الالتهاب أو رفع القدم.
* طقطقة أو احتكاك (Crepitus): سماع أو الشعور بصوت طحن أو احتكاك خشن داخل المفصل عند تحريكه، وهو دليل قاطع على احتكاك العظم بالعظم.
* تشوه في شكل الكاحل: انحراف القدم إلى الداخل أو الخارج بشكل غير طبيعي نتيجة تآكل الغضروف من جهة واحدة أكثر من الأخرى.
* تدهور جودة الحياة: عدم القدرة على ممارسة الأنشطة اليومية البسيطة، التخلي عن الهوايات الرياضية، والاعتماد المتزايد على المسكنات.

التشخيص الدقيق: حجر الزاوية لنجاح العلاج
في عيادة الأستاذ الدكتور محمد هطيف، نعتمد بروتوكولاً تشخيصياً صارماً لضمان التقييم الشامل والدقيق لحالة الكاحل.

- التاريخ الطبي المفصل: الاستماع بعناية لقصة المريض، متى بدأ الألم؟ ما هي طبيعته؟ هل هناك إصابات سابقة؟ ما هي العلاجات التي تم تجربتها؟
- الفحص السريري الدقيق: فحص مجال الحركة (Range of Motion)، تحديد نقاط الألم بدقة، تقييم قوة العضلات، فحص الأربطة واستقرار المفصل، وملاحظة نمط المشي (Gait Analysis).
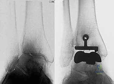
- الأشعة السينية (X-rays) بوضعية الوقوف: وهي الأداة الذهبية للتشخيص. صور الأشعة والوزن محمل على القدم (Weight-bearing X-rays) تظهر بدقة مدى تآكل الغضروف (ضيق المسافة المفصلية)، وجود نتوءات عظمية (Osteophytes)، وأي انحراف في المحور الميكانيكي للساق.
- الأشعة المقطعية (CT Scan): نلجأ إليها لفهم البنية العظمية ثلاثية الأبعاد بشكل أفضل، خاصة في حالات التشوهات المعقدة أو التخطيط الدقيق للقصات العظمية قبل الجراحة.
- الرنين المغناطيسي (MRI): قد يُطلب لتقييم حالة الأنسجة الرخوة (الأربطة والأوتار) أو للتأكد من حيوية عظمة الكاحل (Talus) واستبعاد النخر اللاوعائي.

الخيارات العلاجية: من التحفظي إلى الجراحي
بناءً على مبدأ "الصدق الطبي"، يبدأ الأستاذ الدكتور محمد هطيف دائماً بالخيارات الأقل توغلاً، ولا ينتقل إلى الجراحة إلا عندما تفشل هذه الطرق في توفير الراحة المطلوبة للمريض.

أولاً: العلاج التحفظي (غير الجراحي)
- تعديل نمط الحياة: تقليل الأنشطة التي تضع ضغطاً كبيراً على الكاحل (مثل الجري أو القفز)، والتحول إلى أنشطة منخفضة التأثير (مثل السباحة أو ركوب الدراجة).
- الأدوية: استخدام مسكنات الألم ومضادات الالتهاب غير الستيرويدية (NSAIDs) لتخفيف الألم والتورم.
- الأحذية الطبية والتقويمات: استخدام أحذية مخصصة ذات نعل صلب ومقوس (Rocker-bottom shoes) لتقليل حركة الكاحل أثناء المشي، أو ارتداء دعامات الكاحل (Ankle Braces) لتوفير الاستقرار.
- العلاج الطبيعي: تمارين مخصصة لتقوية العضلات المحيطة بالكاحل وتحسين مرونة الأوتار.
- الحقن الموضعية: حقن الكورتيزون داخل المفصل لتخفيف الالتهاب الشديد بشكل مؤقت، أو حقن البلازما الغنية بالصفائح الدموية (PRP) في بعض الحالات المبكرة.
ثانياً: التدخل الجراحي (عند فشل العلاج التحفظي)
عندما يصبح الألم غير محتمل ويعيق الحياة اليومية، يصبح التدخل الجراحي هو الخيار الأمثل. تاريخياً، كان هناك خياران رئيسيان:
جدول مقارنة: دمج مفصل الكاحل مقابل استبدال مفصل الكاحل الكلي
| وجه المقارنة | دمج مفصل الكاحل (Ankle Arthrodesis) | استبدال مفصل الكاحل الكلي (Total Ankle Replacement) |
|---|---|---|
| المبدأ الجراحي | إزالة الغضروف التالف وتثبيت العظام معاً بمسامير وشرائح حتى تلتحم لتصبح عظمة واحدة صلبة. | إزالة الأجزاء التالفة من العظم والغضروف واستبدالها بمفصل صناعي معدني وبلاستيكي يحاكي المفصل الطبيعي. |
| الهدف الرئيسي | القضاء التام على الألم من خلال منع أي حركة في المفصل. | القضاء على الألم مع الحفاظ على حركة المفصل الطبيعية. |
| التأثير على الحركة | فقدان كامل لحركة الكاحل (الثني للأعلى والأسفل). يعتمد المريض على المفاصل المجاورة للمشي. | استعادة حركة الكاحل بشكل مقارب جداً للطبيعي، مما يسمح بمشية انسيابية وطبيعية. |
| الضغط على المفاصل المجاورة | مرتفع جداً. بسبب فقدان حركة الكاحل، تنتقل الضغوط إلى مفاصل القدم الأخرى، مما يؤدي غالباً إلى تآكلها (التهاب مفاصل ثانوي) بعد عدة سنوات. | منخفض. يحافظ المفصل الصناعي على الميكانيكا الحيوية السليمة للقدم، مما يحمي المفاصل المجاورة من التآكل المبكر. |
| فترة التعافي الأولية | أطول نسبياً (تتطلب وقتاً حتى يكتمل الالتحام العظمي، عادة 8-12 أسبوعاً دون تحميل وزن). | أقصر نسبياً (يمكن البدء في تحريك المفصل وتحميل الوزن الجزئي في وقت أبكر). |
| المرشح المثالي | المرضى الأصغر سناً، العمال ذوي المهن الشاقة جداً، الرياضيون العنيفون، أو المرضى الذين يعانون من ضعف شديد في العظام أو تشوهات معقدة غير قابلة للإصلاح. | المرضى الأكبر سناً نسبياً، الأشخاص ذوي النشاط المعتدل، والذين يرغبون في الحفاظ على نمط حياة نشط ومستقل دون إجهاد المفاصل المجاورة. |
لماذا يفضل الأستاذ الدكتور محمد هطيف "استبدال المفصل" متى ما كان ذلك ممكناً؟
الهدف في الطب الحديث هو "استعادة الوظيفة"، وليس إلغاءها. دمج الكاحل يحل مشكلة الألم ولكنه يخلق مشكلة ميكانيكية جديدة تدمر المفاصل المجاورة بمرور الوقت. استبدال الكاحل، بفضل التقنيات الحديثة مثل نظامي سالتو، يوفر أفضل ما في العالمين: التخلص من الألم والحفاظ على الحركة.

الغوص العميق: فهم نظامي سالتو (Salto) وسالتو تالاريس (Salto-Talaris)
تعتبر أنظمة سالتو وسالتو تالاريس من أعظم الإنجازات الهندسية في مجال المفاصل الصناعية. لقد صُممت خصيصاً للتغلب على مشاكل الأجيال القديمة من مفاصل الكاحل، وهي توفر توافقاً بيولوجياً وميكانيكياً استثنائياً.

1. نظام سالتو لمفصل الكاحل الكلي (Salto Total Ankle Prosthesis - Mobile Bearing)
مفصل سالتو الأصلي هو ثمرة أبحاث أوروبية مكثفة. تم تطويره بين عامي 1994 و 1996، وبدأ استخدامه السريري بنجاح باهر في يناير 1997.
* التصميم الميكانيكي: يُعرف بأنه نظام ذو "مكون متحرك" (Mobile-bearing). يتكون من ثلاثة أجزاء رئيسية:
1. مكون معدني يثبت في أسفل عظمة الساق (Tibia).
2. مكون معدني يثبت في أعلى عظمة الكاحل (Talus).
3. قطعة بلاستيكية من البولي إيثيلين عالي الكثافة (Polyethylene insert): هذه القطعة ليست ثابتة، بل تنزلق بحرية بين المكونين المعدنيين.
* الميزة الكبرى: هذا التصميم يسمح بـ "التموضع الذاتي" (Self-alignment). أثناء الحركة، تتحرك القطعة البلاستيكية لتتكيف مع القوى الميكانيكية، مما يقلل من الضغط الواقع على واجهة التثبيت بين المعدن والعظم، ويحاكي حركة الكاحل المعقدة بشكل رائع.
* التثبيت: هو مفصل "غير إسمنتي". يتم تغطية الأسطح المعدنية الملامسة للعظم بطبقة مسامية من التيتانيوم وهيدروكسي أباتيت (Hydroxyapatite). هذه الطبقة تشجع العظم الطبيعي للمريض على النمو داخل مسام المفصل (Bone Ingrowth)، مما يوفر تثبيتاً بيولوجياً صلباً يدوم لسنوات طويلة.

2. نظام سالتو تالاريس (Salto-Talaris Prosthesis - Fixed Bearing)
بناءً على النجاح الهائل لنظام سالتو، تم تطوير نظام سالتو تالاريس لتلبية متطلبات مدارس جراحية مختلفة (خاصة في الولايات المتحدة).
* التصميم الميكانيكي: يشارك هذا النظام نفس الهندسة التشريحية الممتازة للمكونات المعدنية لنظام سالتو، ولكن مع اختلاف جوهري واحد: المكون البلاستيكي (البولي إيثيلين) هنا ثابت (Fixed-bearing) ويتم قفله بإحكام داخل المكون المعدني العلوي (الظنبوبي).
* الفلسفة وراء التصميم: أثبتت الأبحاث وخبرة الجراحين، بما في ذلك الأستاذ الدكتور محمد هطيف، أنه إذا تم إجراء القصات العظمية أثناء الجراحة بدقة متناهية تتوافق مع التشريح الطبيعي، فإن الحاجة إلى حركة واسعة للمكون البلاستيكي تقل بشكل كبير.
* الميزة الكبرى: نظام سالتو تالاريس يوفر استقراراً
















آلام العظام والمفاصل وتقييد حركتها ليس قدراً محتوماً! التشخيص الدقيق والعلاج المتخصص يمكن أن يعيد لك كامل وظيفتك وحريتك في الحركة. لا تدع الألم يسيطر على حياتك.
للحصول على استشارة دقيقة وخطة علاجية مخصصة لحالتك، تواصل فوراً مع مركز الأستاذ الدكتور محمد هطيف:
الأستاذ الدكتور محمد هطيف - أفضل دكتور عظام في صنعاء، وخبير في جراحات العظام والمفاصل والعمود الفقري.. نلتزم بإعادتك لحياة خالية من الألم وحركة طبيعية.
مواضيع أخرى قد تهمك