تقوس الكعبرة: دليل شامل لاستعادة وظيفة الساعد المثلى مع الأستاذ الدكتور محمد هطيف

الخلاصة الطبية
تقوس الكعبرة هو الانحناء الطبيعي لعظم الكعبرة في الساعد، وهو ضروري لحركة الدوران الكاملة للذراع. يؤدي خلل هذا التقوس، غالبًا بسبب الكسور أو سوء الالتئام، إلى ألم ومحدودية حركة. يعتمد علاجه على استعادة الشكل التشريحي الدقيق، وعادة ما يتم ذلك جراحيًا لتثبيت الكسر واستعادة التقوس.
الخلاصة الطبية السريعة: تقوس الكعبرة هو الانحناء الطبيعي لعظم الكعبرة في الساعد، وهو ضروري لحركة الدوران الكاملة للذراع. يؤدي خلل هذا التقوس، غالبًا بسبب الكسور أو سوء الالتئام، إلى ألم ومحدودية حركة. يعتمد علاجه على استعادة الشكل التشريحي الدقيق، وعادة ما يتم ذلك جراحيًا لتثبيت الكسر واستعادة التقوس.
مقدمة أهمية تقوس الكعبرة لوظيفة الساعد
يُعد الساعد جزءًا حيويًا ومعقدًا من الطرف العلوي، وهو المفتاح للعديد من الحركات اليومية التي نقوم بها، بدءًا من الإمساك بالأشياء ووصولاً إلى الكتابة والقيادة. يتكون الساعد من عظمين رئيسيين: الكعبرة والزند. هذان العظمان، بتفاصيلهما التشريحية الدقيقة، يعملان بتناغم تام لتمكين حركات الدوران المعقدة للساعد، مثل حركة القلب (البرونيشن) وحركة البسط (السوبينيشن).
في قلب هذه الحركات المعقدة يكمن سر تشريحي فريد يُعرف بـ تقوس الكعبرة (Radial Bow). هذا الانحناء الطبيعي في عظم الكعبرة ليس مجرد تفصيل عظمي، بل هو تصميم هندسي مذهل يسمح للكعبرة بالدوران بسلاسة حول عظم الزند الثابت نسبيًا، مما يوفر منصة مستقرة ومرنة في آن واحد لوظيفة اليد. تخيل أنك تحاول تدوير ذراعك بدون هذا التقوس؛ ستكون الحركة مقيدة ومؤلمة للغاية.
عندما يتعرض هذا التقوس الحيوي للاضطراب، سواء نتيجة لكسر حاد، أو التئام الكسر بشكل خاطئ (سوء الالتئام)، أو حتى بسبب خطأ جراحي أثناء تثبيت الكسر، فإن وظيفة دوران الساعد تتأثر حتمًا. وهذا بدوره يؤدي إلى إعاقة كبيرة في وظيفة الطرف العلوي بأكمله، مما يؤثر على جودة حياة المريض وقدرته على أداء أبسط المهام.
تُعتبر كسور الساعد، وخاصة كسور جسم العظم التي تشمل الكعبرة والزند معًا، من الإصابات الشائعة جدًا، حيث تمثل حوالي 10-15% من جميع كسور البالغين. تتطلب هذه الكسور اهتمامًا خاصًا نظرًا للمتطلبات البيوميكانيكية العالية للساعد والحاجة الماسة لاستعادة العلاقات التشريحية الدقيقة. في البالغين، غالبًا ما تنتج هذه الكسور عن صدمات عالية الطاقة، مما يؤدي إلى إزاحة كبيرة وعدم استقرار. تظهر هذه الإصابات نمطًا ثنائي التوزيع، حيث تصيب الشباب النشطين وكبار السن، ولكن بآليات إصابة مختلفة. ففي الشباب، غالبًا ما تكون الإصابات الرياضية وحوادث السيارات هي السبب، بينما تعد السقوط هي الأكثر شيوعًا بين كبار السن.
الهدف الأساسي في علاج كسور جسم عظم الساعد هو استعادة طول الساعد، ومحوره، والأهم من ذلك، استعادة تقوس الكعبرة الأصلي. إن الفشل في تحقيق هذا التثبيت التشريحي الدقيق، وخاصة استعادة طول الكعبرة وانحنائها، يؤدي إلى سوء الالتئام، والذي يمكن أن يتجلى في ألم مستمر، وتقييد في حركة الدوران (القلب والبسط)، وفي النهاية، إعاقة وظيفية.
يهدف هذا الدليل الشامل إلى تقديم فهم معمق لتقوس الكعبرة، بدءًا من تشريحه المعقد وبيوميكانيكيته، مرورًا بالأسباب الشائعة لاضطرابه، وصولاً إلى أحدث استراتيجيات التشخيص والعلاج الجراحي. كما سنسلط الضوء على دور الأستاذ الدكتور محمد هطيف، استشاري جراحة العظام والعمود الفقري في صنعاء، وخبرته الواسعة في استعادة هذا التقوس الحيوي لضمان أفضل النتائج الوظيفية للمرضى.
فهم التشريح والوظيفة الحيوية لتقوس الكعبرة
لفهم أهمية تقوس الكعبرة، يجب أن نلقي نظرة فاحصة على التشريح المعقد للساعد وكيف تعمل مكوناته معًا لتمكين الحركات الفريدة. الساعد ليس مجرد ذراع بسيط، بل هو تحفة هندسية تسمح بالمرونة والقوة في آن واحد.
ما هو تقوس الكعبرة وما أهميته
تقوس الكعبرة هو الانحناء المميز الذي يظهر في جسم عظم الكعبرة. هذا الانحناء ليس موحدًا، بل يمتلك الكعبرة عادة تقوسًا خلفيًا (ظهريًا) وتقوسًا جانبيًا (وحشيًا). هذا الشكل المزدوج الانحناء ضروري للحفاظ على المسافة بين الكعبرة والزند وتسهيل آليات الدوران المعقدة للساعد.
باختصار، الكعبرة تكون محدبة من الخلف في ثلثها العلوي، ومستقيمة نسبيًا في ثلثها الأوسط، ثم محدبة من الأمام (بطنيًا) في ثلثها السفلي. أما جانبيًا، فللكعبرة انحناء لطيف، حيث تكون محدبة جانبيًا في منتصف جسم العظم. تضمن هذه الانحناءات أن تحافظ الكعبرة على مسافة كافية من الزند طوال قوس حركة الدوران الكامل، مما يمنع انحشار الغشاء بين العظمين والعضلات المحيطة.
أهمية تقوس الكعبرة:
*
الحفاظ على المسافة بين العظمين:
يخلق هذا التقوس مسافة حيوية بين الكعبرة والزند، تستوعب كتلة عضلات الساعد وتمنع انحشار الأنسجة الرخوة أثناء الدوران. بدون هذا التقوس، ستنضغط العضلات، مما يعيق الحركة.
*
حركة المفصل الكعبري الزندي البعيد المثلى:
يحدد الانحناء الدقيق مسار حركة الكعبرة البعيدة حول الزند. أي تغيير في تقوس الكعبرة (مثل استقامة زائدة أو انحناء مفرط) يغير بشكل كبير ميكانيكا هذا المفصل، مما يؤدي إلى الاحتكاك، وتقييد الحركة، وربما تغيرات تنكسية مبكرة.
*
الميزة الميكانيكية:
يوفر التقوس أذرع رافعة مثالية لعضلات القلب والبسط، مما يزيد من كفاءتها إلى أقصى حد.
*
توزيع الأحمال:
على الرغم من أن الغشاء بين العظمين هو الهيكل الأساسي لتوزيع الأحمال، إلا أن السلامة المعمارية الشاملة، بما في ذلك تقوس الكعبرة، تساهم في التوزيع المناسب للقوى المحورية عبر الساعد، الرسغ، والمرفق.
مكونات الساعد الرئيسية
لفهم أعمق، دعنا نستعرض المكونات الرئيسية للساعد:
- جسم عظم الكعبرة: هو العظم الذي يظهر فيه التقوس المميز، ويتميز بانحناء خلفي وجانبي. يبلغ متوسط التقوس الظهري حوالي 10-15 درجة، ويقع ذروته عادة عند التقاء الثلثين العلوي والأوسط.
- عظم الزند: على النقيض من الكعبرة، يكون الزند مستقيمًا نسبيًا، ويعمل كمحور ثابت تدور حوله الكعبرة. يتصل الزند بعظم العضد في مفصل المرفق، مما يساهم في استقرار المرفق.
- الغشاء بين العظمين (IOM): هو صفيحة ليفية تربط الكعبرة والزند، ويلعب دورًا حيويًا في الاستقرار الطولي، وتوزيع الأحمال بين العظمين، وتسهيل ارتباط العضلات. تتجه أليافه بشكل مائل، وهو مسؤول بشكل كبير عن نقل القوى المحورية من الكعبرة إلى الزند.
- المفصل الكعبري الزندي القريب (PRUJ): يتصل رأس الكعبرة بالشق الكعبري للزند، ويثبت بواسطة الرباط الحلقي. يسمح هذا المفصل الدوار بحركة محورية لرأس الكعبرة.
- المفصل الكعبري الزندي البعيد (DRUJ): يتصل الجزء البعيد من الكعبرة برأس الزند، ويثبت بواسطة المركب الغضروفي الليفي المثلثي (TFCC). يُعد هذا المركب حاسمًا لاستقرار المفصل الكعبري الزندي البعيد، ونقل الأحمال عبر الرسغ، وحركة القلب والبسط السلسة.
كيف يعمل تقوس الكعبرة في حركة الساعد
حركتا القلب والبسط هما حركتان معقدتان تتضمنان حركة منسقة في كل من المفصل الكعبري الزندي القريب والبعيد. خلال هذه الحركات، يدور رأس الكعبرة داخل الرباط الحلقي عند المفصل القريب، بينما يدور الجزء البعيد من الكعبرة حول رأس الزند الثابت نسبيًا عند المفصل البعيد.
إن استعادة تقوس الكعبرة تتضمن عادة معالجة ثلاثية الأبعاد: الطول، الدوران، والزاوية. كل درجة من سوء المحاذاة الدورانية أو الزاوية يمكن أن تؤثر بشكل كبير على وظيفة الساعد. يؤدي فقدان تقوس الكعبرة، الذي غالبًا ما يُرى في كسور جسم العظم الملتئمة بشكل خاطئ، إلى تقليل المسافة بين العظمين، مما يؤدي إلى احتكاك بين الكعبرة والزند أثناء الدوران. يمكن أن يتجلى ذلك في تقييد حركة القلب والبسط، غالبًا مع زيادة تعويضية في حركة الكتف والرسغ، ويمكن أن يسبب ألمًا مزمنًا بسبب الانضغاط أو الاحتكاك.
لذلك، فإن التثبيت التشريحي الدقيق والتثبيت الداخلي الصلب ضروريان لاستعادة تقوس الكعبرة الأصلي والحفاظ على دوران الساعد دون عوائق.
أسباب وعوامل خطر إصابات وتقوسات الكعبرة
تعتبر كسور الساعد من الإصابات الشائعة، وتتطلب فهمًا دقيقًا لأسبابها وعوامل الخطر المرتبطة بها لضمان التشخيص والعلاج المناسب. عندما يتعلق الأمر بتقوس الكعبرة، فإن الأسباب الرئيسية لاضطرابه تنبع عادة من إصابات الساعد أو مضاعفاتها.
كسور الساعد الشائعة
تُعد كسور الساعد السبب الرئيسي لاضطراب تقوس الكعبرة. يمكن تصنيف هذه الكسور بناءً على موقعها ونمطها:
- كسور جسم عظم الكعبرة: أي كسر في جسم عظم الكعبرة، وخاصة تلك التي تؤدي إلى إزاحة كبيرة (أكثر من 10 درجات انحراف، أو 50% إزاحة، أو 5 ملم قصر)، يمكن أن يؤثر مباشرة على تقوس الكعبرة.
- كسور العظمين معًا (الكعبرة والزند): الغالبية العظمى من هذه الكسور في البالغين تتطلب التدخل الجراحي لتثبيت كلا العظمين.
- كسر غالييزي (Galeazzi Fracture-Dislocation): وهو كسر في جسم عظم الكعبرة مصحوبًا بخلع أو انزلاق في المفصل الكعبري الزندي البعيد (DRUJ). يتطلب دائمًا التدخل الجراحي في البالغين لتثبيت الكعبرة، مما يؤدي بشكل غير مباشر إلى تقليل خلع المفصل البعيد.
- كسر مونتيجيا (Monteggia Fracture-Dislocation): وهو كسر في جسم عظم الزند مصحوبًا بخلع في رأس الكعبرة. يعتبر التثبيت الجراحي للزند أمرًا بالغ الأهمية لإعادة رأس الكعبرة إلى مكانه.
- الكسور المفتوحة: حيث يخترق العظم الجلد، وتتطلب تدخلًا جراحيًا عاجلاً لتنظيف الجرح وتثبيت الكسر.
- الكسور المصحوبة بضغط على الأعصاب والأوعية الدموية: تتطلب استكشافًا جراحيًا عاجلاً وتثبيتًا.
- الكسور المصحوبة بخطر متلازمة الحيز: قد تتطلب بضع اللفافة الوقائي والتثبيت.
متى يحدث فقدان تقوس الكعبرة
يمكن أن يفقد تقوس الكعبرة شكله الطبيعي في عدة سيناريوهات:
- الصدمة الحادة (الكسور): كما ذكرنا، الكسر المباشر في الكعبرة هو السبب الأكثر شيوعًا. يمكن أن تؤدي قوى الصدمة إلى كسر العظم وتغيير انحنائه.
- سوء الالتئام (Malunion): يحدث هذا عندما يلتئم الكسر بشكل غير صحيح، مما ينتج عنه تشوه في شكل الكعبرة أو طولها أو دورانها. هذا هو أحد أخطر المضاعفات لأنه يؤثر بشكل مباشر على تقوس الكعبرة ووظيفة الساعد.
- عدم الالتئام (Nonunion): في بعض الحالات، قد لا يلتئم الكسر على الإطلاق، مما يترك العظم غير مستقر وقد يؤدي إلى فقدان تدريجي لتقوس الكعبرة بسبب القوى الميكانيكية.
- التشوه العلاجي المنشأ (Iatrogenic Miscontouring): يمكن أن يحدث هذا أحيانًا أثناء الجراحة إذا لم يتم تحديد تقوس الكعبرة بشكل دقيق عند تثبيت الكسر باستخدام الصفائح والمسامير. قد يؤدي استخدام صفيحة غير مناسبة أو عدم تشكيل الصفيحة لتتناسب مع الانحناء الطبيعي للعظم إلى تغيير في التقوس.
- الكسور المرضية: التي تحدث بسبب أورام أو أمراض عظمية أيضية تضعف العظم.
- إصابات المرفق العائمة: كسور متزامنة في المرفق والساعد.
الفئات الأكثر عرضة للخطر
تظهر كسور الساعد نمطًا ثنائي التوزيع، مما يعني أنها تؤثر على مجموعتين عمريتين رئيسيتين:
-
الشباب والبالغون النشطون:
غالبًا ما تكون هذه الفئة عرضة لكسور الساعد نتيجة للصدمات عالية الطاقة مثل:
- الإصابات الرياضية: وخاصة في الرياضات التي تتضمن الاحتكاك أو السقوط على اليد الممدودة.
- حوادث السيارات والدراجات النارية: التي تنتج عنها قوى تأثير كبيرة.
- حوادث العمل: في البيئات الصناعية أو التي تتطلب مجهودًا بدنيًا عاليًا.
-
كبار السن:
يصبح العظم أكثر هشاشة مع التقدم في العمر بسبب هشاشة العظام، مما يجعلهم عرضة للكسور حتى من الصدمات الخفيفة:
- السقوط من الوقوف: وهو السبب الأكثر شيوعًا لكسور الساعد في هذه الفئة العمرية.
- هشاشة العظام: تزيد بشكل كبير من خطر الكسور في الكعبرة والزند.
فهم هذه الأسباب وعوامل الخطر يساعد في الوقاية من الإصابات وتحديد الحاجة إلى التدخل الطبي المبكر والفعال لاستعادة تقوس الكعبرة والحفاظ على وظيفة الساعد.
الأعراض والعلامات التي تدل على مشكلة في تقوس الكعبرة
عندما يتعرض تقوس الكعبرة للاضطراب، سواء بسبب كسر حديث أو سوء التئام قديم، فإن الجسم يرسل إشارات واضحة تدل على وجود مشكلة. يجب على المرضى الانتباه لهذه الأعراض لطلب المساعدة الطبية في الوقت المناسب.
الألم وعدم الراحة
الألم هو العرض الأكثر شيوعًا والأول الذي يلاحظه المريض. يمكن أن يتراوح الألم في شدته وموقعه:
- الألم الحاد: في حالة الكسر الجديد، يكون الألم شديدًا ومفاجئًا، وغالبًا ما يزداد مع أي محاولة لتحريك الساعد أو اليد.
- الألم المزمن: في حالات سوء الالتئام أو عدم الالتئام، قد يكون الألم مستمرًا، خفيفًا إلى متوسط، ويزداد سوءًا مع النشاط البدني أو حركات الدوران. قد يشعر المريض بألم عميق داخل الساعد أو بالقرب من الرسغ أو المرفق.
- الألم عند اللمس: قد يكون الساعد مؤلمًا عند لمسه، خاصة فوق موقع الكسر أو التشوه.
محدودية حركة الساعد
تُعد محدودية حركة القلب (البرونيشن) والبسط (السوبينيشن) هي العلامة الأكثر دلالة على مشكلة في تقوس الكعبرة، حيث أن هذه الحركات تعتمد بشكل مباشر على الشكل الهندسي الصحيح للكعبرة.
- صعوبة في تدوير الساعد: يجد المريض صعوبة في قلب راحة يده للأسفل (البرونيشن) أو للأعلى (السوبينيشن) بشكل كامل. على سبيل المثال، قد يجد صعوبة في الإمساك بملعقة أو تدوير مقبض الباب.
- نقص في نطاق الحركة: قد يكون نطاق الحركة الفعلي محدودًا بشكل كبير مقارنة بالساعد السليم.
- صوت احتكاك أو طقطقة: قد يسمع المريض أو يشعر بصوت احتكاك أو طقطقة داخل الساعد أثناء محاولة تحريكه، مما يشير إلى احتكاك بين الكعبرة والزند.
- الألم مع الحركة: غالبًا ما تكون الحركات المحدودة مصحوبة بالألم.
ضعف وظيفة اليد والذراع
بما أن الساعد هو الرابط بين المرفق واليد، فإن أي مشكلة فيه ستؤثر على وظيفة اليد والذراع ككل:
- صعوبة في الإمساك بالأشياء: قد يجد المريض صعوبة في الإمساك بالأشياء أو حملها بسبب الألم أو ضعف العضلات الناتج عن عدم الاستخدام.
- ضعف القوة: قد تضعف قوة قبضة اليد أو قوة الذراع بشكل عام.
- صعوبة في أداء المهام اليومية: تتأثر الأنشطة التي تتطلب التنسيق بين اليد والساعد، مثل الكتابة، استخدام الأدوات، أو حتى تناول الطعام.
- التعويض: قد يحاول المريض تعويض محدودية حركة الساعد باستخدام حركة الكتف أو الرسغ بشكل مفرط، مما قد يؤدي إلى ألم أو مشاكل في هذه المفاصل.
التشوه الواضح
في بعض الحالات، خاصة مع سوء الالتئام الشديد، قد يلاحظ المريض أو الطبيب تشوهًا بصريًا في شكل الساعد:
- تغير في محيط الساعد: قد يبدو الساعد أقصر أو منحنيًا بشكل غير طبيعي.
- بروز غير طبيعي للعظام: قد يبرز عظم الزند أو الكعبرة بشكل غير طبيعي تحت الجلد.
- اختلاف في الطول: قد يكون الساعد المصاب أقصر من الساعد السليم.
إذا كنت تعاني من أي من هذه الأعراض بعد إصابة في الساعد أو لاحظت تغيرًا في وظيفة ذراعك، فمن الضروري استشارة طبيب متخصص في جراحة العظام، مثل الأستاذ الدكتور محمد هطيف، لتقييم حالتك بدقة وتقديم العلاج المناسب.
كيف يتم تشخيص مشاكل تقوس الكعبرة بدقة
يتطلب تشخيص مشاكل تقوس الكعبرة، سواء كانت ناتجة عن كسر حديث أو سوء التئام، نهجًا دقيقًا وشاملاً يجمع بين الفحص السريري والتصوير الطبي المتقدم. الهدف هو تحديد مدى الضرر الذي لحق بالتقوس والعلاقات التشريحية للساعد.
الفحص السريري الشامل
يبدأ التشخيص دائمًا بفحص سريري دقيق يقوم به جراح العظام. يتضمن هذا الفحص:
- أخذ التاريخ المرضي: يسأل الطبيب عن كيفية حدوث الإصابة (آلية الصدمة)، والأعراض التي يعاني منها المريض (الألم، محدودية الحركة، التشوه)، والتاريخ الطبي السابق.
- تقييم الألم: تحديد موقع الألم وشدته والعوامل التي تزيده أو تخففه.
- فحص نطاق الحركة: يقوم الطبيب بتقييم مدى حركة القلب (البرونيشن) والبسط (السوبينيشن) في الساعد، بالإضافة إلى حركة المرفق والرسغ. يتم مقارنة نطاق الحركة بالساعد السليم.
- تقييم التشوه: يلاحظ الطبيب أي تشوهات مرئية في الساعد، مثل القصر أو الانحناء غير الطبيعي.
- فحص الأعصاب والأوعية الدموية: يتم التحقق من سلامة الأعصاب والأوعية الدموية في اليد والساعد، حيث يمكن أن تتأثر هذه الهياكل في حالات الكسور الشديدة.
- الجس: يقوم الطبيب بلمس الساعد لتحديد مناطق الألم أو التورم أو عدم الاستقرار.
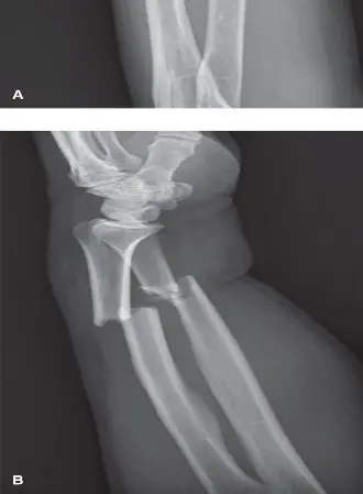
الأشعة السينية X-ray
تُعد الأشعة السينية هي الخطوة الأولى والأساسية في تشخيص كسور الساعد ومشاكل تقوس الكعبرة.
- صور متعددة الزوايا: يتم أخذ صور بالأشعة السينية من زوايا مختلفة (أمامية خلفية وجانبية) للساعد، بما في ذلك المرفق والرسغ، لتقييم الكسر بشكل كامل.
- تقييم التقوس والطول: تساعد الأشعة السينية في تحديد موقع الكسر، ودرجة الإزاحة، وأي قصر في العظم، وأي تغيير في تقوس الكعبرة.
- متابعة الالتئام: تُستخدم الأشعة السينية أيضًا لمتابعة عملية التئام الكسر بعد العلاج.
الأشعة المقطعية ثلاثية الأبعاد CT Scan
في الحالات الأكثر تعقيدًا، أو عند وجود شك في سوء الالتئام أو عدم الالتئام، تُصبح الأشعة المقطعية (CT Scan) أداة تشخيصية لا غنى عنها.
- صور تفصيلية للعظام: توفر الأشعة المقطعية صورًا أكثر تفصيلاً للعظام مقارنة بالأشعة السينية، مما يسمح بتقييم دقيق لنمط الكسر ومدى تفتته.
- إعادة البناء ثلاثي الأبعاد (3D Reconstruction): هذه الميزة بالغة الأهمية لتقييم تقوس الكعبرة. يمكن للأشعة المقطعية ثلاثية الأبعاد أن تظهر بوضوح أي تشوه في التقوس، أو الدوران غير الصحيح، أو القصر الذي قد لا يكون واضحًا في الأشعة السينية العادية. كما أنها تساعد الجراح في التخطيط الدقيق للجراحة التصحيحية.
- تقييم المفصل الكعبري الزندي البعيد (DRUJ): تُعد الأشعة المقطعية مفيدة بشكل خاص لتقييم استقرار المفصل الكعبري الزندي البعيد، والذي غالبًا ما يتأثر في كسور الكعبرة.
الرنين المغناطيسي MRI
على الرغم من أن الرنين المغناطيسي (MRI) ليس التصوير الأساسي لتقييم كسور العظام، إلا أنه قد يكون مفيدًا في بعض الحالات:
- تقييم الأنسجة الرخوة: يمكن أن يُظهر الرنين المغناطيسي إصابات الأنسجة الرخوة المحيطة، مثل الأربطة (خاصة المركب الغضروفي الليفي المثلثي TFCC في الرسغ) أو الأوتار أو العضلات، والتي قد تكون مصاحبة للكسر أو سوء الالتئام.
- الكشف عن مضاعفات: قد يساعد في الكشف عن مضاعفات مثل متلازمة الحيز أو إصابات الأوعية الدموية.
بناءً على نتائج هذه الفحوصات، يمكن للأستاذ الدكتور محمد هطيف وفريقه تحديد الخطة العلاجية الأنسب لاستعادة تقوس الكعبرة ووظيفة الساعد.
خيارات العلاج المتقدمة لاستعادة تقوس الكعبرة الأمثل
يعتمد علاج كسور الساعد، وخاصة تلك التي تؤثر على تقوس الكعبرة، بشكل كبير على نوع الكسر، درجته، عمر المريض، وحالته الصحية العامة. في البالغين، غالبًا ما يكون التدخل الج
آلام العظام والمفاصل المزمنة ليس قدراً محتوماً! التشخيص الدقيق والعلاج المتخصص يمكن أن يعيد لك كامل وظيفتك وحريتك في الحركة بدون ألم.
للحصول على استشارة دقيقة وخطة علاجية مخصصة لحالتك، تواصل فوراً مع مركز الأستاذ الدكتور محمد هطيف:
الأستاذ الدكتور محمد هطيف - أفضل دكتور عظام في صنعاء، وخبير في جراحات العظام والمفاصل المتقدمة.
مواضيع أخرى قد تهمك