مراجعة مفصل الركبة الصناعي وفقدان عظم قصبة الساق: دليل شامل للعلاج المتقدم مع الأستاذ الدكتور محمد هطيف

الخلاصة الطبية
مراجعة مفصل الركبة الصناعي هي إجراء جراحي معقد لإصلاح أو استبدال مفصل ركبة صناعي فاشل، خاصة عند وجود تآكل في عظم قصبة الساق. يتضمن العلاج تقنيات ترقيع عظمي متقدمة لاستعادة سلامة العظم، ويوفر الأستاذ الدكتور محمد هطيف في صنعاء خبرة رائدة في هذا المجال.
مقدمة: التحدي المعقد لمراجعة مفصل الركبة وفقدان العظم
يُعد مفصل الركبة الصناعي المراجع (Revision Total Knee Arthroplasty) أحد أكثر الإجراءات الجراحية تعقيدًا وتطورًا في مجال جراحة العظام والمفاصل الحديثة. تبرز هذه الأهمية بشكل خاص عندما تترافق حالة المريض مع فقدان كبير في عظم قصبة الساق (الظنبوب - Tibia)، وهي حالة طبية تُعرف باسم (Tibial Bone Loss). هذه الجراحة ليست مجرد استبدال بسيط أو روتيني للمكونات الصناعية السابقة، بل هي عملية دقيقة واستراتيجية تتطلب إعادة بناء شاملة للمفصل، واستعادة التشريح الطبيعي الدقيق، وضمان استمرارية ونجاح العمل الجراحي على المدى الطويل لتحمل أوزان الجسم وحركته. إنها تتطلب دقة متناهية، رؤية مستقبلية ثاقبة، وفهمًا عميقًا لبيولوجيا العظام وميكانيكا الجسم الحيوي.

في العاصمة اليمنية صنعاء، يبرز اسم الأستاذ الدكتور محمد هطيف، أستاذ جراحة العظام والمفاصل بجامعة صنعاء، كمرجع طبي أول ورائد بلا منازع في التعامل مع هذه الحالات المعقدة والمستعصية. بفضل خبرته الواسعة التي تتجاوز العشرين عامًا، واستخدامه لأحدث التقنيات الجراحية العالمية مثل الجراحة الميكروسكوبية، ومناظير المفاصل بدقة 4K، والمفاصل الصناعية المتقدمة، يضمن الدكتور هطيف تقديم أفضل النتائج الممكنة للمرضى، مع الالتزام التام بالصدق والأمانة الطبية. يهدف هذا الدليل الطبي الشامل والموسوعي إلى توضيح كل ما يتعلق بمراجعة مفصل الركبة الصناعي، مع التركيز العميق على تحدي فقدان عظم قصبة الساق، أسبابه، أعراضه، وطرق علاجه الجراحية المتقدمة.

نظرة تشريحية وبيوميكانيكية: لماذا قصبة الساق مهمة؟
لفهم تعقيدات جراحة مراجعة الركبة، يجب أولاً فهم التشريح الدقيق لمفصل الركبة. يتكون مفصل الركبة من التقاء عظم الفخذ (Femur) مع عظم قصبة الساق (Tibia)، بالإضافة إلى صابونة الركبة (Patella). يُعد الجزء العلوي من قصبة الساق (السطح المفصلي الظنبوبي - Tibial Plateau) هو القاعدة الأساسية التي يرتكز عليها المفصل الصناعي.

يتكون هذا الجزء من العظم الإسفنجي (Cancellous Bone) المحاط بطبقة رقيقة من العظم القشري الصلب (Cortical Bone). في الجراحة الأولية لاستبدال المفصل، يتم قطع جزء من هذا العظم لوضع المكون المعدني الظنبوبي. عندما يفشل هذا المفصل، فإن إزالته، بالإضافة إلى العوامل البيولوجية والميكانيكية التي أدت إلى فشله، تترك الجراح أمام "فجوة" أو نقص في هذا العظم الحيوي. بدون دعم عظمي قوي وثابت في قصبة الساق، لا يمكن لأي مفصل صناعي جديد أن يستقر أو يؤدي وظيفته، مما يجعل إعادة بناء هذا العظم هو حجر الزاوية في نجاح جراحة المراجعة التي يجريها الأستاذ الدكتور محمد هطيف ببراعة فائقة.

الأسباب العميقة لفشل مفصل الركبة وتآكل العظام
إن فقدان العظام حول مفصل الركبة الصناعي ليس حدثًا عشوائيًا، بل هو نتيجة لتفاعلات بيولوجية وميكانيكية معقدة تحدث على مدار سنوات. فهم هذه الأسباب هو الخطوة الأولى نحو وضع خطة علاجية ناجحة.
1. التخلخل العقيم (Aseptic Loosening)
يُعد التخلخل العقيم السبب الأكثر شيوعًا لفشل المفاصل الصناعية على المدى الطويل. يحدث هذا عندما ينفصل المفصل الصناعي عن العظم المحيط به دون وجود أي بكتيريا أو عدوى. مع مرور الوقت، وبسبب الإجهاد الميكانيكي المستمر، تضعف الرابطة بين الإسمنت العظمي (أو المفصل نفسه في حال التثبيت غير الإسمنتي) والعظم. تؤدي هذه الحركة المجهرية إلى احتكاك مستمر يولد جزيئات صغيرة، مما يحفز جهاز المناعة على مهاجمة المنطقة، مما يؤدي في النهاية إلى تآكل العظم وضعف الدعم للمفصل.

2. تحلل العظم (Osteolysis) ومرض الجسيمات
هذه ظاهرة بيولوجية خطيرة تحدث كرد فعل لجزيئات التآكل الناتجة عن بطانة البولي إيثيلين (البلاستيك الطبي الفاصل بين الأجزاء المعدنية). مع حركة الركبة ملايين المرات على مر السنين، تتآكل هذه البطانة مفرزة جزيئات دقيقة جدًا. تبتلع الخلايا المناعية (البالعات - Macrophages) هذه الجزيئات، ولكنها لا تستطيع هضمها، فتفرز إنزيمات ومواد كيميائية (سيتوكينات) تؤدي إلى تنشيط الخلايا الناقضة للعظم (Osteoclasts)، والتي تقوم حرفيًا بـ "أكل" العظم المحيط بالمفصل، مما يخلق تجاويف وفجوات عظمية ضخمة في قصبة الساق.

3. العدوى حول المفصل الصناعي (Periprosthetic Joint Infection - PJI)
تُعد العدوى البكتيرية من أشرس الأعداء للمفاصل الصناعية. يمكن للبكتيريا أن تصل إلى المفصل أثناء الجراحة الأولى، أو تنتقل عبر الدم من عدوى في مكان آخر في الجسم (مثل التهاب الأسنان أو المسالك البولية) حتى بعد سنوات من الجراحة. تلتصق البكتيريا بالمعدن وتشكل طبقة واقية تُعرف باسم (Biofilm) تجعل من الصعب على المضادات الحيوية الوصول إليها. تقوم البكتيريا بتدمير العظم المحيط وإذابة الإسمنت العظمي، مما يسبب ألمًا مبرحًا وفقدانًا كارثيًا للعظم يتطلب تدخلاً عاجلاً من خبير مثل الأستاذ الدكتور محمد هطيف.

4. حماية الإجهاد (Stress Shielding)
وفقًا لقانون "وولف" الطبي، ينمو العظم ويقوى استجابةً للأحمال الميكانيكية الواقعة عليه. المفصل الصناعي المعدني أكثر صلابة بكثير من العظم الطبيعي. عندما يتم زرع المفصل، فإنه يتحمل معظم وزن الجسم، مما "يحمي" العظم المحيط من الأحمال الطبيعية. نتيجة لعدم استخدام العظم بشكل كافٍ، يبدأ في الضعف والترقق (هشاشة العظام الموضعية)، مما يجعله هشًا وعرضة للكسر أو التآكل عند إجراء جراحة المراجعة.
5. عدم الاستقرار وسوء المحاذاة (Instability & Malalignment)
إذا لم يتم وضع المفصل الأولي بالزوايا الميكانيكية الدقيقة، أو إذا ضعفت الأربطة المحيطة بالركبة، فسيحدث توزيع غير متكافئ للوزن. هذا الضغط غير المتوازن على جانب واحد من قصبة الساق يؤدي إلى هبوط المفصل (Subsidence) وانهيار العظم تحته بمرور الوقت.
6. فقدان العظم الإضافي أثناء الإزالة الجراحية
حتى في غياب التآكل الشديد، فإن مجرد إزالة مفصل صناعي قديم مثبت بقوة بالإسمنت العظمي يتطلب جهدًا جراحيًا قد يؤدي حتمًا إلى فقدان بعض العظم السليم. هنا تتجلى مهارة الأستاذ الدكتور محمد هطيف في استخدام تقنيات إزالة دقيقة (مثل المناشير الدقيقة والأزاميل الخاصة) للحفاظ على كل ملليمتر ممكن من العظم الطبيعي للمريض.

تصنيف عيوب وفقدان العظم في قصبة الساق
لا يتم التعامل مع جميع حالات فقدان العظم بنفس الطريقة. يعتمد الأستاذ الدكتور محمد هطيف على تصنيفات عالمية دقيقة لتقييم حجم الضرر، ومن أشهرها تصنيف معهد أندرسون لأبحاث العظام (AORI Classification):

- النوع الأول (Type 1): عظم الكردوس (Metaphyseal bone) سليم ومحتفظ بشكله. العيوب سطحية وبسيطة ولا تؤثر على استقرار المفصل الجديد.
- النوع الثاني (Type 2): وجود تلف في العظم الإسفنجي يتطلب تعويضًا (ترقيع أو دعامات معدنية)، ولكنه لا يمتد إلى الأربطة الجانبية. ينقسم إلى:
- 2A: عيب في جانب واحد (غالباً الجانب الداخلي).
- 2B: عيب في كلا الجانبين.
- النوع الثالث (Type 3): فقدان عظمي شديد وكارثي يشمل جزءًا كبيرًا من العظم ويؤثر على ارتباط الأربطة، مما يتطلب تقنيات إعادة بناء معقدة للغاية (مثل المخاريط المعدنية أو المفاصل المفصلية الكبيرة).

الأعراض والعلامات السريرية لفشل المفصل
كيف يعرف المريض أنه بحاجة إلى مراجعة مفصل الركبة؟ تظهر مجموعة من الأعراض التي يجب عدم تجاهلها، ويؤكد الأستاذ الدكتور محمد هطيف على ضرورة المراجعة المبكرة عند ظهور الآتي:
- الألم المستمر أو المتزايد: وهو العرض الأكثر شيوعًا. ألم التخلخل العقيم يزداد مع الحركة والمشي، بينما ألم العدوى قد يكون مستمرًا حتى أثناء الراحة والنوم.
- التورم والالتهاب: انتفاخ الركبة وتراكم السوائل المستمر، وقد يصاحبه احمرار وارتفاع في درجة حرارة المفصل (علامة قوية على العدوى).
- عدم الاستقرار (الشعور بالخيانة): يشعر المريض وكأن ركبته تلتوي أو تنثني فجأة تحته أثناء المشي، مما يدل على فشل الأربطة أو تآكل البولي إيثيلين.
- نقص المدى الحركي: تيبس الركبة وصعوبة في ثنيها أو فردها بالكامل مقارنة بالفترة التي تلت الجراحة الأولى.
- أصوات طقطقة أو احتكاك معدني: سماع أصوات غير طبيعية من الركبة يشير إلى تآكل البطانة البلاستيكية بالكامل واحتكاك المعدن بالمعدن.

جدول مقارنة: استبدال الركبة الأولي مقابل مراجعة الركبة
| الميزة | استبدال الركبة الأولي (Primary TKA) | مراجعة مفصل الركبة (Revision TKA) |
|---|---|---|
| الهدف الجراحي | علاج خشونة المفاصل وتآكل الغضاريف الطبيعية. | إزالة مفصل صناعي فاشل وإصلاح التلف العظمي. |
| مستوى التعقيد | إجراء قياسي، يستغرق عادة 1-2 ساعة. | معقد للغاية، يتطلب تخطيطاً دقيقاً ويستغرق 3-6 ساعات. |
| حالة العظم | العظم غالباً سليم وكافٍ لتثبيت المفصل. | وجود فقدان عظمي ملحوظ (تآكل، تحلل، هشاشة). |
| نوع المفصل المستخدم | مفصل قياسي سطحي. | مفصل مراجعة مع سيقان معدنية (Stems) ودعامات. |
| فترة التعافي | سريعة نسبياً (أسابيع إلى أشهر قليلة). | أطول وأكثر تدرجاً لحماية العظم المعاد بناؤه. |
| الخبرة المطلوبة | جراح عظام عام أو متخصص مفاصل. | خبير متخصص ذو كفاءة عالية مثل أ.د. محمد هطيف. |

التشخيص والتخطيط الجراحي الدقيق
لا يمكن إجراء جراحة مراجعة الركبة دون تخطيط مسبق بالغ الدقة. في عيادة الأستاذ الدكتور محمد هطيف في صنعاء، يتم اتباع بروتوكول تشخيصي صارم لضمان فهم كامل لحالة المريض:

- التقييم السريري الشامل: فحص الركبة، تقييم الأربطة، فحص المشية، ومراجعة التاريخ الطبي الدقيق للجراحة الأولى.
- الأشعة السينية (X-rays): صور متعددة الزوايا لتقييم تخلخل المفصل، هبوط المكونات، وحجم التجاويف العظمية (تحلل العظم).
- الأشعة المقطعية (CT Scan): ضرورية جداً في حالات المراجعة، حيث تعطي صورة ثلاثية الأبعاد دقيقة لحجم وشكل فقدان العظم في قصبة الساق، مما يساعد الجراح في اختيار حجم ونوع الدعامات المطلوبة.
- تحاليل الدم وسحب السوائل (Aspiration): لاستبعاد وجود عدوى خفية. يتم قياس مستويات CRP و ESR في الدم، وسحب سائل من الركبة لتحليله في المختبر للبحث عن البكتيريا وخلايا الدم البيضاء.
- التخطيط الرقمي (Digital Templating): باستخدام برامج حاسوبية متقدمة، يقوم الدكتور هطيف بتركيب المفاصل والدعامات الافتراضية على صور أشعة المريض قبل الجراحة لضمان اختيار المقاسات الدقيقة وتحديد مسار الجراحة.

الخيارات العلاجية المتقدمة لتعويض فقدان عظم قصبة الساق
تكمن براعة الجراح في اختيار التقنية المناسبة لتعويض العظم المفقود بناءً على حجم العيب وموقعه. يوفر الأستاذ الدكتور محمد هطيف كافة التقنيات الحديثة المستخدمة عالمياً:
1. الإسمنت العظمي والبراغي (Bone Cement & Screws)
تُستخدم هذه التقنية في حالات الفقدان العظمي البسيط جداً (عيوب أقل من 5 ملم). يتم ملء الفجوة الصغيرة بالإسمنت العظمي الطبي. وفي بعض الحالات، يتم إدخال براغي معدنية في العظم ثم تغطيتها بالإسمنت لزيادة قوة التحمل وتوزيع الضغط.

2. الدعامات المعدنية (Metal Augments / Blocks)
عندما يكون الفقدان العظمي متوسطاً (من 5 إلى 15 ملم) ومحصوراً في جانب واحد أو جانبين من قصبة الساق، يتم استخدام كتل أو أسافين معدنية (مصنوعة من التيتانيوم أو الكروم كوبالت). يتم تثبيت هذه الدعامات بمسامير أو إسمنت في الجزء السفلي من صينية المفصل الصناعي لتعويض الارتفاع المفقود واستعادة الاستواء الميكانيكي للركبة.

3. الترقيع العظمي (Bone Grafting)
يُعد الترقيع العظمي خياراً بيولوجياً ممتازاً، خاصة للمرضى الأصغر سناً، حيث يهدف إلى استعادة الرصيد العظمي للمريض. ينقسم إلى:
* الترقيع العظمي المفروم (Morselized Bone Graft): قطع عظمية صغيرة تُستخدم لملء التجاويف العظمية المحتواة (التي لها جدران سليمة).
* الترقيع العظمي الهيكلي (Structural Allograft): استخدام كتل عظمية كبيرة مأخوذة من متبرع (بنك العظام) لتعويض فقدان عظمي كبير وغير محتوى. يتم تشكيل العظم ليطابق العيب بدقة. يتطلب هذا الخيار مهارة جراحية عالية لضمان التحام العظم المزروع بعظم المريض.

4. المخاريط والأكمام المعدنية المسامية (Porous Metaphyseal Cones & Sleeves)
هذه هي أحدث الثورات في عالم جراحة مراجعة المفاصل، وهي التقنية المفضلة لدى الأستاذ الدكتور محمد هطيف في حالات الفقدان العظمي الشديد (النوع الثاني والثالث من AORI). تُصنع هذه المخاريط من معادن عالية المسامية (مثل التنتالوم أو التيتانيوم المطبوع ثلاثي الأبعاد) التي تحاكي بنية العظم الإسفنجي.
تُزرع هذه المخاريط في التجاويف الكبيرة في قصبة الساق، وبفضل مساميتها العالية، ينمو عظم المريض الطبيعي داخل مسام المعدن (Osseointegration)، مما يوفر ثباتاً حيوياً وميكانيكياً هائلاً ومستداماً مدى الحياة.

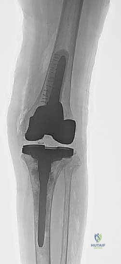
5. السيقان الممتدة (Intramedullary Stems)
في جميع حالات المراجعة تقريباً، لا يمكن الاعتماد فقط على الجزء العلوي من قصبة الساق للتثبيت بسبب ضعف العظم. لذلك، يتم استخدام مفاصل ذات "سيقان" معدنية طويلة تمتد داخل القناة النخاعية لعظم قصبة الساق (Diaphysis). تقوم هذه السيقان بنقل الضغط والوزن من المنطقة الضعيفة في الأعلى إلى العظم القوي في الأسفل، مما يحمي المنطقة المعاد بناؤها ويضمن استقرار المفصل.
جدول مقارنة: طرق بناء وتعويض العظام في قصبة الساق
| التقنية المستخدمة | حجم العيب العظمي المناسب | المميزات | التحديات / العيوب |
|---|---|---|---|
| الإسمنت العظمي | صغير (أقل من 5 ملم) | سريع، رخيص، سهل الاستخدام. | غير مناسب للأوزان الثقيلة أو العيوب الكبيرة (قد يتشقق). |
| الدعامات المعدنية (Augments) | متوسط (5 - 15 ملم) | توفر دعماً ميكانيكياً فورياً، أحجام قياسية جاهزة. | لا تعوض الرصيد العظمي البيولوجي للمريض. |
| الترقيع العظمي (Grafting) | متوسط إلى كبير | حل بيولوجي يعيد بناء عظم المريض الفعلي. | خطر عدم الالتحام، انتقال الأمراض (نادر)، يتطلب وقتاً طويلاً للشفاء. |
| المخاريط المسامية (Cones) | كبير وشديد (Type 2 & 3) | ثبات بيولوجي ممتاز (ينمو العظم بداخلها)، تحمل أوزان عالية. | تكلفة عالية، تتطلب تقنية جراحية دقيقة ومعدات خاصة. |
خطوات الجراحة: رحلة دقيقة داخل غرفة العمليات مع أ.د. محمد هطيف
تستغرق جراحة مراجعة مفصل الركبة مع بناء عظم قصبة الساق وقتاً أطول بكثير من الجراحة الأولية. يتم إجراؤها تحت التخدير النصفي أو العام، وتتضمن الخطوات المعقدة التالية:
الخطوة الأولى: الشق الجراحي والوصول للمفصل
يستخدم الدكتور هطيف الشق الجراحي القديم غالباً، مع تمديده إذا لزم الأمر. يتم فتح الأنسجة بعناية فائقة، حيث تكون الأنسجة متليفة ومندبة من الجراحة السابقة. يتم حماية الأوعية الدموية والأعصاب بدقة باستخدام تقنيات الجراحة الميكروسكوبية إذا لزم الأمر.

الخطوة الثانية: إزالة المفصل القديم بأمان
هذه من أدق الخطوات. يجب إزالة المكونات المعدنية القديمة والإسمنت العظمي دون كسر العظم المتبقي الرقيق. يستخدم الدكتور هطيف أدوات متخصصة مثل المناشير الرفيعة والأزاميل الدقيقة لفصل الإسمنت عن العظم بأقل قدر من الخسائر العظمية.

الخطوة الثالثة: التنظيف والتحضير (Debridement)
يتم إزالة جميع الأنسجة الملتهبة، والأكياس العظمية، وبقايا البولي إيثيلين. يتم غسل المفصل بمحاليل مطهرة قوية لضمان بيئة معقمة تماماً. ثم يتم تقييم حجم الفجوات العظمية في قصبة الساق بشكل مباشر.

الخطوة الرابعة: إعادة بناء قصبة الساق
بناءً على التقييم، يبدأ الجراح في تعويض العظم. إذا تم اختيار المخاريط المسامية (Cones)، يتم تحضير التجويف العظمي باستخدام مبشرة خاصة لتطابق شكل المخروط. يتم إدخال المخروط المعدني وتثبيته بقوة داخل العظم، ليصبح قاعدة صلبة ومستوية.

الخطوة الخامسة: زراعة المفصل المراجع الجديد
يتم إدخال المكون الظنبوبي الجديد (Tibial Tray) مع الساق الممتدة (Stem) التي تدخل في القناة النخاعية. يتم تثبيت هذه الأجزاء إما بالضغط الميكانيكي (Press-fit) أو باستخدام الإسمنت العظمي في مناطق محددة. يتم تكرار نفس العملية لعظم الفخذ إذا لزم الأمر.
الخطوة السادسة: اختبار الاستقرار والإغلاق
يتم وضع بطانة بولي إيثيلين تجريبية لاختبار حركة الركبة، ثباتها، وتوازن الأربطة. بمجرد التأكد من المحاذاة المثالية، يتم وضع البطانة النهائية. تُغلق الأنسجة في طبقات متتالية مع وضع أنابيب
خشونة الركبة وآلامها المزمنة ليس قدراً محتوماً! التشخيص الدقيق والعلاج المتخصص يمكن أن يعيد لك كامل وظيفتك وحريتك في الحركة. لا تدع الألم يسيطر على حياتك.
للحصول على استشارة دقيقة وخطة علاجية مخصصة لحالتك، تواصل فوراً مع مركز الأستاذ الدكتور محمد هطيف:
الأستاذ الدكتور محمد هطيف - أفضل دكتور عظام في صنعاء، وخبير في جراحات منظار الركبة والمفاصل الصناعية.. نلتزم بإعادتك لحياة خالية من الألم وحركة ركبة طبيعية.
مواضيع أخرى قد تهمك