عملية قطع العظم فوق اللقمة لتصحيح تقوس المرفق (Cubitus Varus) عند الأطفال: دليل شامل

الخلاصة الطبية
تقوس المرفق (Cubitus Varus) هو تشوه شائع في ذراع الأطفال يؤثر على الثقة بالنفس والوظيفة. عملية قطع العظم فوق اللقمة هي الحل الجراحي الفعال الذي يعيد الذراع إلى محاذاتها الطبيعية، ويتم إجراؤها بدقة عالية تحت إشراف الأستاذ الدكتور محمد هطيف في صنعاء.
الخلاصة الطبية السريعة: تقوس المرفق (Cubitus Varus) هو تشوه شائع في ذراع الأطفال يؤثر بشكل كبير على الثقة بالنفس والوظيفة الحركية، وغالباً ما ينتج عن كسور سابقة لم تلتئم بشكل صحيح. عملية قطع العظم فوق اللقمة (Supracondylar Osteotomy) هي الحل الجراحي الجذري والفعال الذي يعيد الذراع إلى محاذاتها واستقامتها الطبيعية. يتم إجراء هذا التدخل الدقيق والمتقدم تحت إشراف الأستاذ الدكتور محمد هطيف في صنعاء، والذي يُعد المرجع الأول في جراحات عظام الأطفال وتقويم التشوهات.
مرحبًا بكم في الدليل الطبي الشامل والأكثر تفصيلاً في العالم العربي حول عملية قطع العظم فوق اللقمة العضدية لتصحيح تقوس المرفق عند الأطفال. هذا الدليل مصمم خصيصاً للآباء والأمهات الذين يبحثون عن إجابات علمية، دقيقة، وموثوقة لحالة طفلهم، ويقدمه لكم الأستاذ الدكتور محمد هطيف، أستاذ جراحة العظام بجامعة صنعاء واستشاري جراحة العظام والمفاصل.


ما هو تقوس المرفق للداخل (Cubitus Varus)؟ الفهم العميق للتشوه
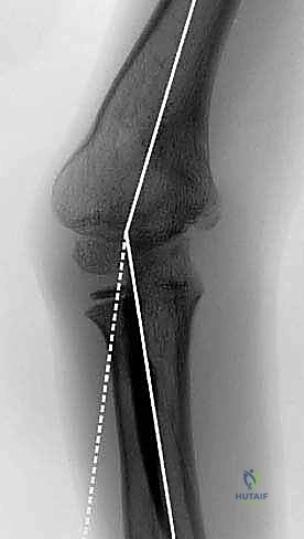
تقوس المرفق، والمعروف طبياً باسم (Cubitus Varus) أو تشوه "عقب البندقية" (Gunstock Deformity)، هو حالة غير طبيعية ينحرف فيها الساعد نحو الداخل (باتجاه الجسم) عندما تكون الذراع ممدودة بالكامل بجانب الجذع.
في الحالة الطبيعية، تمتلك ذراع الإنسان زاوية خفيفة تتجه نحو الخارج تُعرف باسم "زاوية الحمل" (Carrying Angle)، والتي تتراوح عادة بين 5 إلى 15 درجة. وظيفة هذه الزاوية هي السماح للذراع بالتأرجح بحرية دون الاصطدام بالحوض أثناء المشي، وتسهيل حمل الأشياء. عندما تنعكس هذه الزاوية وتصبح سالبة (تتجه للداخل)، يُشخص الطفل بحالة "تقوس المرفق".
هذا التشوه ليس مجرد مشكلة تجميلية بسيطة؛ بل هو تغيير في الميكانيكا الحيوية (Biomechanics) لمفصل المرفق بأكمله، مما قد يؤدي إلى تبعات وظيفية وعصبية على المدى الطويل إذا لم يتم تداركه بخبرة جراحية متقدمة.
التشريح الدقيق لمفصل المرفق عند الأطفال
لفهم كيفية حدوث التشوه وكيفية علاجه، يجب أن نلقي نظرة عميقة على تشريح المرفق، خاصة عند الأطفال حيث لا تزال العظام في مرحلة النمو.
يتكون مفصل المرفق من التقاء ثلاث عظام رئيسية:
1. عظمة العضد (Humerus): وتحديداً الجزء السفلي منها (Distal Humerus).
2. عظمة الزند (Ulna): العظمة الداخلية للساعد.
3. عظمة الكعبرة (Radius): العظمة الخارجية للساعد.

في الأطفال، يحتوي الجزء السفلي من عظمة العضد على صفائح النمو (Growth Plates). أي إصابة في هذه المنطقة لا تؤثر فقط على العظم الحالي، بل قد تؤثر على كيفية نمو العظم في المستقبل. المنطقة التي تقع مباشرة فوق سطح المفصل تسمى "المنطقة فوق اللقمة" (Supracondylar region)، وهي أضعف نقطة في عظمة العضد عند الأطفال، مما يجعلها عرضة للكسور بشكل كبير.
الأسباب الجذرية للإصابة بتقوس المرفق (Cubitus Varus)
يؤكد الأستاذ الدكتور محمد هطيف، من خلال خبرته التي تتجاوز 20 عاماً في مستشفيات صنعاء، أن تقوس المرفق نادراً ما يكون عيباً خلقياً يولد به الطفل، بل هو في الغالب من المضاعفات المكتسبة. تشمل الأسباب بالتفصيل ما يلي:
1. سوء التئام كسر فوق اللقمة العضدية (Malunion of Supracondylar Fracture)
هذا هو السبب الأول والأكثر شيوعاً (يمثل أكثر من 80% من الحالات). عندما يسقط الطفل على يده الممدودة أثناء اللعب، تنكسر عظمة العضد فوق المرفق مباشرة. إذا لم يتم رد الكسر (إعادته إلى مكانه) بدقة متناهية، أو إذا تحرك الكسر داخل الجبس أثناء فترة الالتئام، فإن العظم يلتئم في وضع مائل (دوران داخلي وميلان للداخل).
2. إصابة صفيحة النمو (Physeal Arrest)
في بعض الأحيان، يمكن أن تؤدي الصدمة إلى إتلاف جزء من صفيحة النمو في الجزء السفلي الخارجي من عظمة العضد. نتيجة لذلك، يتوقف النمو في الجزء الخارجي بينما يستمر الجزء الداخلي في النمو، مما يؤدي إلى انحناء تدريجي للمرفق بمرور الوقت.
3. التهابات العظام والمفاصل في مرحلة الطفولة المبكرة
التهابات المفاصل البكتيرية (Septic Arthritis) أو التهاب العظم والنقي (Osteomyelitis) التي تصيب منطقة المرفق في سن مبكرة جداً يمكن أن تدمر مراكز النمو، مما يؤدي إلى تشوهات زاوية معقدة.

الأعراض والمضاعفات: لماذا يجب ألا نتجاهل تقوس المرفق؟
غالباً ما يعتقد الآباء أن المشكلة تقتصر على شكل الذراع، ولكن الحقيقة الطبية أعمق من ذلك بكثير. يمكن تقسيم الأعراض والمضاعفات إلى عدة محاور:
أ. التأثيرات الشكلية والنفسية
- التشوه الواضح: يظهر المرفق منحنياً للداخل بشكل غريب، خاصة عند فرد الذراع. هذا التشوه يصبح أكثر وضوحاً كلما كبر الطفل.
- الأثر النفسي: الأطفال في سن المدرسة يمكن أن يكونوا عرضة للتنمر بسبب شكل ذراعهم المختلف، مما يؤدي إلى انخفاض احترام الذات، العزلة الاجتماعية، وتجنب المشاركة في الأنشطة الرياضية أو ارتداء الملابس ذات الأكمام القصيرة.
ب. المضاعفات الميكانيكية والوظيفية
- عدم استقرار المرفق (Instability): التغير في محور الذراع يؤدي إلى شد غير طبيعي على الأربطة الجانبية للمرفق، مما قد يسبب ارتخاءً مزمناً (Posterolateral Rotatory Instability).
- خطر الكسور الثانوية: الأطفال المصابون بتقوس المرفق هم أكثر عرضة للإصابة بكسور جديدة في اللقمة الجانبية (Lateral Condyle Fractures) بسبب التغير في مركز الجاذبية وتوزيع القوى عند السقوط.
- الفرقعة أو الطقطقة: قد يشعر المريض أو يسمع صوت طقطقة عند ثني وفرد المرفق نتيجة انزلاق الوتر الثلاثي الرؤوس (Triceps snapping) فوق العظمة البارزة.
ج. المضاعفات العصبية المتأخرة (Tardy Nerve Palsy)
في حين أن التشوه المعاكس (تقوس المرفق للخارج - Cubitus Valgus) يشتهر بالتسبب في مشاكل العصب الزندي، إلا أن الأبحاث الحديثة والخبرة السريرية للأستاذ الدكتور محمد هطيف تثبت أن الـ Cubitus Varus الشديد يمكن أن يؤدي أيضاً إلى شد أو انضغاط العصب الزندي بمرور الوقت، مما يسبب تنميلاً في الأصابع وضعفاً في قبضة اليد في مرحلة البلوغ.
جدول 1: مقارنة بين المرفق الطبيعي والمرفق المصاب بتقوس (Cubitus Varus)
| وجه المقارنة | المرفق الطبيعي (Normal) | المرفق المتقوس (Cubitus Varus) |
|---|---|---|
| زاوية الحمل (Carrying Angle) | 5 إلى 15 درجة للخارج | زاوية سالبة (منحرف للداخل) |
| المظهر عند فرد الذراع | استقامة مع ميل طفيف للخارج | تشوه يشبه "عقب البندقية" |
| خطر الإصابة بكسور ثانوية | طبيعي | مرتفع جداً (خاصة كسر اللقمة الخارجية) |
| وظيفة الأربطة الجانبية | مشدودة ومتوازنة | مرتخية أو معرضة لإجهاد مزمن |
| التأثير النفسي على الطفل | لا يوجد | كبير (بسبب الشكل غير الطبيعي والتنمر) |
التشخيص الدقيق: خطوة حاسمة قبل الجراحة
التشخيص السليم هو حجر الزاوية لنجاح أي تدخل جراحي. في عيادة الأستاذ الدكتور محمد هطيف في صنعاء، يتم اتباع بروتوكول تشخيصي صارم لتقييم حالة الطفل:
- الفحص السريري الشامل:
- يتم فحص كلا الذراعين لمقارنة زاوية الحمل.
- تقييم نطاق الحركة (مدى قدرة الطفل على ثني وفرد الذراع).
- فحص الأعصاب والأوعية الدموية للتأكد من عدم وجود أي انضغاط عصبي.
-
تقييم استقرار المرفق (Testing for Instability).
-
التصوير الإشعاعي المتقدم:
- الأشعة السينية (X-rays): يتم أخذ صور أمامية وجانبية للمرفق. من خلال هذه الصور، يقوم الدكتور هطيف بقياس زوايا محددة، أهمها "زاوية بومان" (Baumann's Angle) و"الزاوية العضدية البكرية" (Humerotrochlear Angle). هذه القياسات الدقيقة هي التي تحدد مقدار العظم الذي يجب إزالته أثناء الجراحة.
- الأشعة المقطعية ثلاثية الأبعاد (3D CT Scan): في الحالات المعقدة التي تتضمن تشوهات دورانية (Rotational Deformity) بالإضافة إلى التشوه الزاوي، يتم استخدام التصوير ثلاثي الأبعاد للتخطيط الجراحي الدقيق.

خيارات العلاج: لماذا الجراحة هي الحل الوحيد؟
من الأسئلة الشائعة التي يطرحها الآباء: "هل يمكن علاج تقوس المرفق بالعلاج الطبيعي أو الجبائر؟"
الإجابة الطبية القاطعة هي: لا. بمجرد أن يلتئم العظم في وضع خاطئ (سوء الالتحام)، لا يمكن لأي علاج طبيعي، أو تدليك، أو جبائر، أو أدوية أن تعيد تشكيل العظم الصلب وتعديل الزاوية. العلاج الطبيعي ممتاز لاستعادة حركة المفصل بعد الجراحة، ولكنه لا يصحح التشوه العظمي الهيكلي.
لذلك، التدخل الجراحي (عملية قطع العظم فوق اللقمة - Supracondylar Osteotomy) هو الحل الطبي الوحيد والنهائي لتصحيح هذه الحالة.
عملية قطع العظم فوق اللقمة (Supracondylar Osteotomy): الدليل الجراحي التفصيلي
تُعد هذه العملية من أدق العمليات في جراحة عظام الأطفال، وتتطلب جراحاً متمرساً يجمع بين الفهم العميق للتشريح والميكانيكا الحيوية، والمهارة اليدوية العالية. الأستاذ الدكتور محمد هطيف يُعد رائداً في هذه العمليات في اليمن، حيث يستخدم أحدث التقنيات لضمان أعلى نسب النجاح.
التخطيط ما قبل الجراحة (Pre-operative Templating)
قبل دخول غرفة العمليات، يقوم الدكتور هطيف برسم تخطيط دقيق على صور الأشعة السينية للطفل. يتم حساب الزاوية الدقيقة للتشوه، وتحديد حجم ونوع "الوتد" العظمي الذي يجب إزالته بدقة المليمتر والدرجة، لضمان عودة الذراع إلى استقامتها الطبيعية تماماً.

تقنيات القطع العظمي (Osteotomy Techniques)
هناك عدة طرق جراحية لإجراء هذه العملية، ويختار الدكتور هطيف التقنية الأنسب بناءً على عمر الطفل، شدة التشوه، وما إذا كان هناك تشوه دوراني مصاحب.
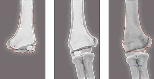
- القطع الإسفيني الجانبي المغلق (Lateral Closing Wedge Osteotomy):
- هي التقنية الأكثر شيوعاً والأكثر كفاءة.
- يتم فيها إزالة قطعة من العظم على شكل مثلث (إسفين) من الجزء الخارجي لعظمة العضد.
-
بعد إزالة الإسفين، يتم إغلاق الفجوة، مما يؤدي إلى تعديل محور الذراع وإعادتها للاستقامة.
-
القطع القبي (Dome Osteotomy):
- يتم عمل قطع عظمي على شكل نصف دائرة (قبة).
-
ميزة هذه الطريقة أنها تسمح بتعديل الزاوية دون التسبب في بروز عظمي جانبي، وتحافظ على التناسق التشريحي للعضد.
-
القطع المتدرج (Step-Cut Translation Osteotomy):
- تقنية متقدمة جداً، يتم فيها قطع العظم على شكل درجات السلم.
- توفر ثباتاً ذاتياً ممتازاً وتسمح بتصحيح التشوهات المعقدة ثلاثية الأبعاد (الزاوية والدورانية معاً).
جدول 2: مقارنة بين تقنيات القطع العظمي لتصحيح تقوس المرفق
| التقنية الجراحية | آلية العمل | المميزات | التحديات |
|---|---|---|---|
| القطع الإسفيني الجانبي (Lateral Closing Wedge) | إزالة مثلث عظمي من الخارج وإغلاق الفراغ | نسبة نجاح عالية، تقنية قياسية وموثوقة | قد تترك بروزاً عظمياً صغيراً في الجانب الخارجي |
| القطع القبي (Dome Osteotomy) | قطع نصف دائري لتدوير العظم | لا يترك بروزاً عظمياً، يحافظ على الشكل التشريحي | يتطلب مهارة جراحية عالية جداً لضبط القطع الدائري |
| القطع المتدرج (Step-Cut) | قطع على شكل درجات متداخلة | ثبات عالي جداً، ممتاز للتشوهات المعقدة | عملية أطول نسبياً، تتطلب تخطيطاً ثلاثي الأبعاد |
خطوات إجراء العملية بالتفصيل
- التخدير: تخضع العملية للتخدير العام لضمان راحة الطفل التامة وعدم حركته.
- الشق الجراحي: يتم عمل شق جراحي دقيق (عادة من الجهة الخارجية للمرفق) للوصول إلى عظمة العضد مع حماية تامة للأعصاب الحساسة (العصب الكعبري والزندي والمتوسط) والأوعية الدموية.
- تنفيذ القطع العظمي: باستخدام مناشير جراحية دقيقة جداً (Micro-saws)، يتم تنفيذ القطع العظمي بناءً على التخطيط المسبق.
- تعديل المحاذاة: يتم تعديل وضعية العظم وإغلاق الفجوة لتعود الذراع إلى استقامتها التامة مع زاوية الحمل الطبيعية.

- التثبيت الداخلي (Internal Fixation):
بمجرد الوصول إلى الاستقامة المثالية، يجب تثبيت العظم بقوة حتى يلتئم. يعتمد نوع التثبيت على التقنية وعمر المريض، ويشمل: - الأسلاك المعدنية (K-wires): تُستخدم بكثرة في الأطفال الصغار. يتم إدخالها عبر الجلد لتثبيت العظم، وتُزال بسهولة في العيادة بعد التئام العظم (عادة بعد 4-6 أسابيع).
- الشرائح والمسامير الخاصة بالأطفال (Pediatric Plates and Screws): توفر ثباتاً أقوى، وتُستخدم غالباً في الأطفال الأكبر سناً أو المراهقين، أو في تقنيات القطع المتدرج.

- الإغلاق والجبس: يتم خياطة الجرح بطرق تجميلية لتقليل الندبات، ثم يتم وضع الذراع في جبيرة أو جبس لحمايتها خلال الأسابيع الأولى من الشفاء.
لماذا تختار الأستاذ الدكتور محمد هطيف لإجراء هذه العملية؟
عندما يتعلق الأمر بجراحة عظام الأطفال وتصحيح التشوهات، فإن اختيار الجراح هو القرار الأهم الذي يتخذه الآباء. الأستاذ الدكتور محمد هطيف ليس مجرد طبيب عظام تقليدي، بل هو قامة علمية وطبية في اليمن والمنطقة:
- المرتبة الأكاديمية: أستاذ جراحة العظام والمفاصل في كلية الطب بجامعة صنعاء، مما يعني أنه مطلع ومساهم في أحدث الأبحاث العلمية العالمية.
- الخبرة الطويلة: أكثر من 20 عاماً من الخبرة السريرية والجراحية، أجرى خلالها آلاف العمليات الناجحة المعقدة.
- التخصص الدقيق: خبير في جراحات المناظير المتقدمة (Arthroscopy 4K)، الطب الرياضي، زراعة المفاصل الصناعية، والجراحات الميكروسكوبية الدقيقة التي تتطلب حماية قصوى للأعصاب أثناء تعديل التشوهات.
- الأمانة الطبية (Medical Ethics): يُعرف الدكتور هطيف بشفافيته التامة؛ فهو لا يوصي بالجراحة إلا إذا كانت هي الحل الأنسب والأكثر أماناً للمريض، ويشرح للآباء كافة التفاصيل والمخاطر والنتائج المتوقعة بصدق تام.
- التقنيات الحديثة: يستخدم مركزه في صنعاء أحدث أجهزة التخطيط الجراحي والأشعة لضمان دقة "المليمتر" في عمليات القطع العظمي.

الرعاية ما بعد الجراحة وبرنامج إعادة التأهيل (Rehabilitation)
نجاح العملية لا ينتهي في غرفة العمليات؛ بل يستمر من خلال التزام المريض ببرنامج التأهيل. تنقسم مرحلة التعافي إلى:
المرحلة الأولى (أول 3 إلى 4 أسابيع): الحماية والالتئام
* تكون ذراع الطفل موضوعة في جبيرة أو جبس.
* الهدف في هذه المرحلة هو السماح للعظم بالالتئام الأولي.
* يتم وصف مسكنات الألم ومضادات الالتهاب لضمان راحة الطفل.
* يُنصح برفع الذراع لتقليل التورم.
المرحلة الثانية (الأسابيع 4 إلى 6): إزالة التثبيت وبدء الحركة
* في هذه المرحلة، يتم فحص الطفل سريرياً وإشعاعياً.
* إذا تم استخدام أسلاك (K-wires)، يتم إزالتها في العيادة (إجراء سريع وبسيط لا يتطلب تخديراً عاماً في الغالب).
* يتم إزالة الجبس، ويبدأ الطفل في تحريك المرفق تدريجياً.
* يتم توجيه الطفل لعمل تمارين لطيفة لثني وفرد المرفق لاستعادة نطاق الحركة (Range of Motion).
المرحلة الثالثة (بعد 6 أسابيع فصاعداً): التقوية والعودة للنشاط
* يلتئم العظم بشكل صلب، ويُسمح للطفل باستخدام ذراعه في الأنشطة اليومية العادية.
* يبدأ برنامج العلاج الطبيعي المكثف لتقوية العضلات المحيطة بالمرفق (ذات الرأسين وذات الثلاثة رؤوس).
* العودة إلى الرياضات العنيفة أو التي تتطلب احتكاكاً قد تستغرق من 3 إلى 6 أشهر، بناءً على تقييم الدكتور هطيف.
![النتيجة النهائية والتعافي الكامل لمفصل المرفق واستعادة الشكل الطبيعي بعد الجراحة](/media/hutaif_opertive/hutaif-ch8-supracondylar-h-
آلام العظام والمفاصل وتقييد حركتها ليس قدراً محتوماً! التشخيص الدقيق والعلاج المتخصص يمكن أن يعيد لك كامل وظيفتك وحريتك في الحركة. لا تدع الألم يسيطر على حياتك.
للحصول على استشارة دقيقة وخطة علاجية مخصصة لحالتك، تواصل فوراً مع مركز الأستاذ الدكتور محمد هطيف:
الأستاذ الدكتور محمد هطيف - أفضل دكتور عظام في صنعاء، وخبير في جراحات العظام والمفاصل والعمود الفقري.. نلتزم بإعادتك لحياة خالية من الألم وحركة طبيعية.
مواضيع أخرى قد تهمك