صفائح النمو وتفاوت طول الأطراف: دليل شامل للتنبؤ والعلاج في صنعاء

الخلاصة الطبية
تفاوت طول الأطراف هو اختلاف في طول أحد الأطراف السفلية، غالبًا ما ينشأ عن مشاكل في صفائح النمو. تُستخدم طريقة المضاعف للتنبؤ الدقيق بالتفاوت المستقبلي، مما يوجه خيارات العلاج مثل تثبيت الصفيحة المشاشية، التي يقدمها الأستاذ الدكتور محمد هطيف بخبرة عالية في صنعاء.
الخلاصة الطبية السريعة: تفاوت طول الأطراف هو اختلاف في طول أحد الأطراف السفلية، غالبًا ما ينشأ عن مشاكل في صفائح النمو. تُستخدم طريقة المضاعف للتنبؤ الدقيق بالتفاوت المستقبلي، مما يوجه خيارات العلاج مثل تثبيت الصفيحة المشاشية، التي يقدمها الأستاذ الدكتور محمد هطيف بخبرة عالية في صنعاء.
مقدمة
تعتبر صفائح النمو، أو المشاش، من المكونات الحيوية في الهيكل العظمي للأطفال، فهي المسؤولة عن نمو العظام الطويلة وتحديد طولها النهائي. أي اضطراب في هذه الصفائح يمكن أن يؤدي إلى مشاكل خطيرة، أبرزها تفاوت طول الأطراف (LLD) أو التشوهات الزاوية. هذه الحالات يمكن أن تؤثر بشكل كبير على مشية الطفل، وتوازنه، وصحته العامة إذا لم يتم تشخيصها وعلاجها بشكل صحيح وفي الوقت المناسب.
في صنعاء، يبرز اسم الأستاذ الدكتور محمد هطيف كمرجع أول في جراحة العظام وعلاج تشوهات النمو وتفاوت طول الأطراف. بفضل خبرته الواسعة واستخدامه لأحدث التقنيات التشخيصية والعلاجية، بما في ذلك "طريقة المضاعف" المتقدمة، يضمن الدكتور هطيف تقديم رعاية فائقة ودقيقة للأطفال الذين يعانون من هذه الحالات. يهدف هذا الدليل الشامل إلى تزويد الآباء والمراجعين بالمعلومات الأساسية حول صفائح النمو، أسباب مشاكلها، كيفية تشخيصها، وأحدث طرق التنبؤ والعلاج المتاحة.

فهم صفائح النمو تشريحياً ووظائفها
صفائح النمو هي طبقات من الغضاريف تقع بالقرب من نهايات العظام الطويلة لدى الأطفال والمراهقين. هذه الصفائح هي المناطق التي يحدث فيها نمو العظام، حيث تتكاثر الخلايا الغضروفية وتتحول تدريجياً إلى عظم، مما يؤدي إلى زيادة طول العظم. تستمر هذه العملية حتى يصل الطفل إلى مرحلة النضج الهيكلي، حيث تغلق صفائح النمو وتتصلب، ويتوقف نمو العظم.
تتكون صفائح النمو من عدة مناطق، كل منها يؤدي دوراً محدداً في عملية النمو. إن سلامة هذه الصفائح ووظيفتها المنتظمة ضرورية لنمو متوازن وطبيعي للأطراف. أي إصابة أو اضطراب يؤثر على هذه الصفائح يمكن أن يعيق نمو العظم في منطقة معينة، مما يؤدي إلى تفاوت في الطول أو انحرافات زاوية.

أسباب تشوهات النمو وتفاوت طول الأطراف
يمكن تصنيف أسباب تشوهات النمو وتفاوت طول الأطراف إلى ثلاثة أنواع رئيسية: خلقية، تطورية، ومكتسبة. فهم السبب الكامن أمر بالغ الأهمية لتحديد خطة العلاج الأنسب.
التشوهات الخلقية
تحدث التشوهات الخلقية بسبب خلل في التكوين أثناء الحمل (داخل الرحم). هذه التشوهات غالبًا ما تكون موجودة عند الولادة وتكون متقدمة.
* تفاوت طول الأطراف الخلقي: مثل قصر الفخذ الخلقي، أو نقص تنسج الشظية، أو تضخم/ضمور نصفي. هذه الحالات تكون متقدمة بطبيعتها، حيث ينمو الطرف الأقصر بمعدل أبطأ من الطرف الأطول.
* التشوهات الزاوية الخلقية: عادة ما تكون غير متقدمة لأنها مرتبطة بنقص تنسج المشاش وليس الصفيحة المشاشية نفسها.
التشوهات التطورية
تنشأ التشوهات التطورية بعد الولادة وتكون مرتبطة بنمو غير متساوٍ في صفيحة النمو.
* تفاوت طول الأطراف التطوري: يحدث بسبب أمراض مثل مرض أولييه، شلل الأطفال، أو توقف النمو الجزئي بعد إصابة. في هذه الحالات، يزداد تفاوت الطول بمرور الوقت لأن الطرف الأقصر ينمو ببطء.
* التشوهات الزاوية التطورية: تنتج عن النمو التفاضلي للصفيحة المشاشية، مما يجعلها متقدمة مع تقدم العمر خلال فترة الطفولة. تتوقف عن التقدم بعد إغلاق المشاش.
التشوهات المكتسبة
تحدث التشوهات المكتسبة نتيجة لإصابة أو تدخل طبي.
* ما بعد الصدمة: مثل كسور الصفيحة المشاشية التي يمكن أن تؤدي إلى انحرافات زاوية أو توقف نمو جزئي.
* علاجية المنشأ: تحدث نتيجة لمضاعفات جراحية أو تدخلات طبية.
* تشوهات الترجمة: هي تشوهات مكتسبة تحدث عادة بعد الكسور أو قطع العظم مع إزاحة نهايات العظم.
يمكن أن تكون بعض التشوهات مزيجًا من هذه الأنواع. على سبيل المثال، قد يؤدي كسر في الصفيحة المشاشية البعيدة للفخذ إلى انحراف زاوي مكتسب، وإذا تطور توقف نمو جزئي بعد الإصابة، فسيظهر تشوه زاوي تطوري.

أعراض وعلامات مشاكل صفائح النمو
قد لا تكون مشاكل صفائح النمو واضحة دائمًا في مراحلها المبكرة، ولكن هناك بعض الأعراض والعلامات التي يجب على الآباء الانتباه إليها، والتي تتطلب استشارة الأستاذ الدكتور محمد هطيف في صنعاء:
- تفاوت ملحوظ في طول الساقين: قد يلاحظ الطفل أو الوالدان أن إحدى الساقين أقصر من الأخرى، مما يؤثر على المشي أو يتطلب رفع الحذاء.
- العرج: قد يبدأ الطفل بالعرج أو المشي بطريقة غير طبيعية لتعويض فرق الطول.
- تشوهات زاوية: مثل تقوس الساقين للداخل (الركبة الروحاء) أو للخارج (الركبة الفحجاء)، والتي قد تتطور تدريجياً.
- ألم أو عدم راحة: قد يشعر الطفل بألم في الساق أو الركبة أو الكاحل، خاصة بعد النشاط البدني.
- صعوبة في الأنشطة اليومية: قد يجد الطفل صعوبة في الجري، أو القفز، أو ممارسة الرياضة بسبب عدم التوازن أو الألم.
- تغير في وضعية الجسم: قد يميل الطفل إلى جانب واحد، أو يظهر لديه انحناء في العمود الفقري (الجنف) كمحاولة لتعويض تفاوت طول الأطراف.
- تاريخ من الإصابات: إذا كان الطفل قد تعرض لكسر في منطقة قريبة من صفيحة النمو، فيجب مراقبة نموه عن كثب.
التشخيص المبكر لهذه العلامات يمكن أن يمنع تفاقم الحالة ويحسن نتائج العلاج بشكل كبير.

تشخيص تفاوت طول الأطراف وتشوهات النمو
يتطلب تشخيص تفاوت طول الأطراف وتشوهات النمو تقييمًا دقيقًا وشاملاً. يعتمد الأستاذ الدكتور محمد هطيف في صنعاء على مجموعة من الأدوات والتقنيات لضمان التشخيص الصحيح وتحديد خطة العلاج الأمثل.
القياسات الشعاعية الدقيقة
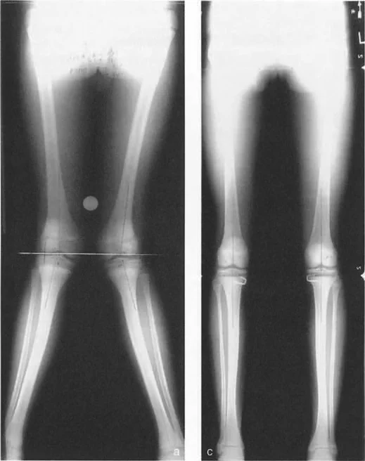
تعتبر الأشعة السينية (Orthoroentgenograms) هي الأداة الأساسية لقياس أطوال العظام بدقة. يتم أخذ صور شعاعية للطرفين السفليين معًا لتقييم طول الفخذ والساق بشكل فردي. هذه القياسات ضرورية لتحديد مقدار التفاوت الحالي.

تُستخدم هذه البيانات، مثل بيانات أندرسون (Anderson data)، لإنشاء جداول مرجعية لأطوال العظام الطبيعية حسب العمر والجنس، والتي تُعد أساسًا لطرق التنبؤ بالنمو.
أهمية التنبؤ المبكر
أحد أكبر التحديات في إدارة تفاوت طول الأطراف هو التنبؤ الدقيق بمقدار التفاوت عند بلوغ الطفل النضج الهيكلي. هذا التنبؤ حاسم لوضع استراتيجية علاج طويلة الأمد، سواء كانت تتضمن مراقبة، أو تدخل جراحي مثل تثبيت الصفيحة المشاشية. بدون تنبؤ دقيق، قد يكون العلاج غير كافٍ أو يؤدي إلى تصحيح مفرط.
في الماضي، اعتمد الأطباء على طرق مثل طريقة أمستوتز وموزلي، والتي كانت تعتمد على بيانات النمو المجمعة. ومع ذلك، قدمت "طريقة المضاعف" تحسينًا كبيرًا في الدقة والبساطة.

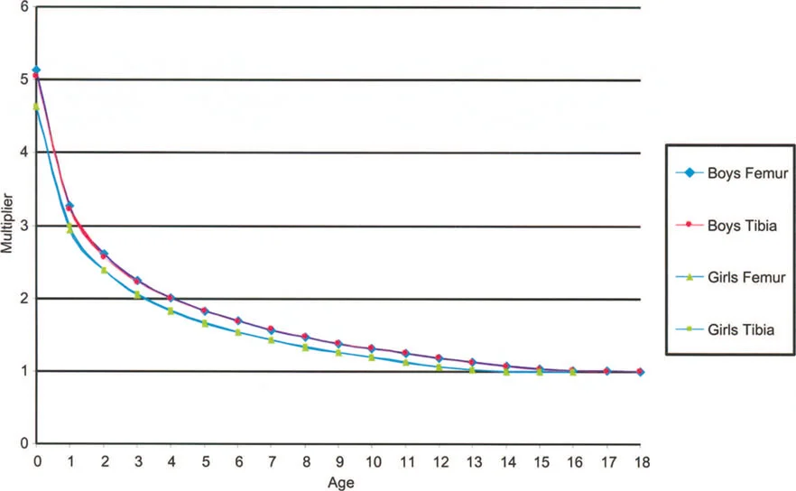
طريقة المضاعف للتنبؤ بتفاوت طول الأطراف
تُعد "طريقة المضاعف" (Multiplier Method) إحدى أكثر الطرق دقة وفعالية للتنبؤ بتفاوت طول الأطراف (LLD) عند الأطفال. تعتمد هذه الطريقة على بيانات نمو موثوقة وتم تطويرها لتبسيط عملية التنبؤ، مما يتيح للأطباء مثل الأستاذ الدكتور محمد هطيف في صنعاء وضع خطط علاجية مخصصة ودقيقة.
كيف تعمل طريقة المضاعف
تعتمد طريقة المضاعف على مفهوم بسيط: يتم حساب "المضاعف" لكل عمر وجنس عن طريق قسمة طول العظم المتوقع عند النضج الهيكلي على طول العظم الحالي. هذا المضاعف يسمح بالتنبؤ بطول العظم عند اكتمال النمو.
- المعادلة الأساسية: الطول عند النضج الهيكلي (Lm) = الطول الحالي (L) × المضاعف (M).
- تحديد المضاعف: يتم استخلاص قيم المضاعف من جداول بيانات نمو واسعة النطاق، مثل تلك التي قدمها أندرسون وزملاؤه (Anderson et al.) وماريش (Maresh)، والتي تغطي قياسات أطوال الفخذ والساق للأولاد والبنات من الولادة حتى النضج الهيكلي.


تظهر هذه الجداول قيم المضاعف لعظم الفخذ والساق للأولاد والبنات في مختلف الأعمار، مما يسمح بحساب دقيق للطول المتوقع.
بيانات أندرسون وماريش كأساس لطريقة المضاعف
تستند طريقة المضاعف بشكل كبير إلى البيانات التي قدمها أندرسون وزملاؤه (1964) وماريش (1955، 1970).
* بيانات أندرسون: توفر قياسات لأطوال عظم الفخذ والساق للأولاد والبنات من عمر 1 إلى 18 عامًا، مقسمة إلى متوسطات وانحرافات معيارية.
* بيانات ماريش: تم استخدامها لتوسيع طريقة المضاعف لتشمل السنة الأولى من الحياة (منذ الولادة)، حيث أن بيانات أندرسون تبدأ من عمر سنة واحدة.


التنبؤ بتفاوت طول الأطراف الخلقي
في حالات تفاوت طول الأطراف الخلقي (الموجود عند الولادة)، يظل نسبة طول الساق القصيرة إلى الساق الطويلة ثابتة طوال فترة النمو.
* الصيغة: تفاوت الطول عند النضج الهيكلي (Δm) = المضاعف (M) × تفاوت الطول الحالي (Δ).
* مثال: ولد بعمر 7 سنوات يعاني من قصر فخذ خلقي وتفاوت طول 6.3 سم. المضاعف لعمر 7 سنوات هو 1.57. لذا، تفاوت الطول المتوقع عند النضج الهيكلي = 1.57 × 6.3 سم = 9.9 سم.
التنبؤ بتفاوت طول الأطراف التطوري بعد الولادة
في التفاوتات التطورية (مثل مرض أولييه، شلل الأطفال، توقف النمو)، يزداد تفاوت الطول لأن الساق القصيرة تنمو بمعدل أبطأ.
* الصيغة: Δm = Δ + [1 - (S-S')/(L-L')] × L(M-1)
* Δ = تفاوت الطول الحالي.
* S و L = أطوال الساق القصيرة والطويلة الحالية.
* S' و L' = أطوال الساق القصيرة والطويلة من قياسات سابقة.
* M = المضاعف الحالي.
* مثال: فتاة بعمر 8 سنوات تعاني من تفاوت طول 2.7 سم بسبب توقف نمو الفخذ البعيد. بعد حساب النمو المتبقي ومعدل التثبيط، يمكن التنبؤ بتفاوت الطول الكلي عند النضج الهيكلي.
فعالية طريقة المضاعف ودقتها
أظهرت الدراسات السريرية أن طريقة المضاعف دقيقة على الأقل مثل تقنية موزلي، وفي بعض الحالات قد تكون أقل عرضة للخطأ. هذا يؤكد موثوقيتها في التنبؤ بتفاوت طول الأطراف.
استقلالية طريقة المضاعف عن العرق والجنسية
من النتائج المذهلة للأبحاث التي أجريت على طريقة المضاعف أنها أثبتت أن قيم المضاعف تظل ثابتة تقريباً بغض النظر عن العرق، الجنسية، الفترة الزمنية (حتى 3000 قبل الميلاد)، والمستوى الاجتماعي والاقتصادي للمجموعات السكانية المدروسة. هذا يشير إلى أن المضاعف هو "ثابت بيولوجي" ويعزز صلاحيته السريرية. الجنس والعمر هما المتغيران الوحيدان المهمان للمضاعف.

العلاقة بين المضاعفات للذكور والإناث
تختلف قيم المضاعف بين الأولاد والبنات بشكل واضح، حيث ينمو الأولاد لفترة أطول بحوالي 2.4 سنة من البنات. ومع ذلك، فإن نمط النمو متشابه حتى عمر 13.6 سنة تقريبًا. هذه العلاقة مفيدة في تحليل بيانات النمو المجمعة.

العمر العظمي مقابل العمر الزمني
هناك نقاش حول استخدام العمر العظمي بدلاً من العمر الزمني في التنبؤ. بينما يوصي البعض باستخدام العمر العظمي للأطفال الأكبر سنًا (أكثر من 9 سنوات للبنات و12 سنة للأولاد)، فقد أظهرت دراسات أخرى أن دقة التنبؤ لا تزداد بشكل كبير باستخدام العمر العظمي مقارنة بالعمر الزمني، خاصة في الأطفال الأصغر سنًا حيث يكون تحديد العمر العظمي أكثر صعوبة. يوصي الأستاذ الدكتور محمد هطيف باستخدام العمر العظمي للمرضى الذين تبلغ أعمارهم 10 سنوات فما فوق للحصول على أقصى دقة.

خيارات علاج تشوهات النمو وتفاوت طول الأطراف
بعد التشخيص الدقيق باستخدام طريقة المضاعف، يحدد الأستاذ الدكتور محمد هطيف في صنعاء خطة العلاج الأنسب. تعتمد الخيارات العلاجية على نوع التشوه، ومقداره، وعمر الطفل، ومقدار النمو المتبقي.
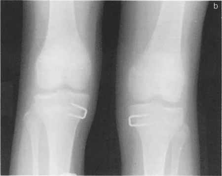
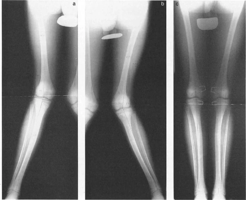
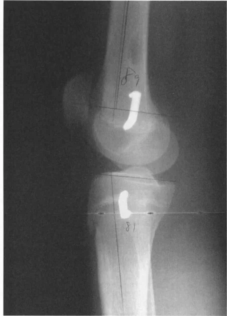
تثبيت الصفيحة المشاشية المؤقت بالدبابيس (Hemi-epiphysiodesis)
تعتبر عملية تثبيت الصفيحة المشاشية المؤقت بالدبابيس (Hemi-epiphysiodesis) خيارًا علاجيًا فعالًا لتصحيح التشوهات الزاوية أو تفاوت طول الأطراف في الأطفال الذين لا يزالون في طور النمو. هذه العملية أقل تدخلاً من عمليات قطع العظم وتثبيته.
- المبدأ: يتم وضع دبابيس معدنية على جانب واحد من صفيحة النمو (في حالة التشوهات الزاوية) أو على صفيحة النمو بأكملها في الطرف الأطول (لتصحيح تفاوت الطول). تعمل هذه الدبابيس كـ "مرساة" أو "نقطة تثبيت" تبطئ النمو في تلك المنطقة، بينما يستمر النمو الطبيعي في الجانب الآخر من الصفيحة أو في الطرف الأقصر.
- المميزات:
- تدخل جراحي بسيط.
- لا يتطلب تثبيتًا داخليًا أو خارجيًا معقدًا.
- يمكن إزالة الدبابيس للسماح باستئناف النمو، مما يجعل التصحيح مؤقتًا وقابلًا للتعديل.
- مؤشرات الاستخدام:
- تصحيح الانحرافات الزاوية حول الركبة أو الكاحل (مثل الركبة الروحاء أو الفحجاء).
- تقليل تفاوت طول الأطراف في الطرف الأطول.
- تُجرى للمرضى الذين لديهم نمو متبقٍ كافٍ لتحقيق التصحيح المطلوب.
- القيود:
- غير مناسبة لتصحيح انحرافات كبيرة جدًا (أكثر من 25 درجة) بسبب الحاجة إلى بقاء الدبابيس لفترة طويلة.
- قد تكون هناك صعوبات فنية في تثبيت الدبابيس لدى الأطفال الصغار جدًا (أقل من 5 سنوات) بسبب طبيعة المشاش الغضروفية.

متى يتم إجراء تثبيت الصفيحة المشاشية
يعتبر التوقيت هو المفتاح لنجاح عملية تثبيت الصفيحة المشاشية. تستخدم طريقة المضاعف لحساب العمر الأمثل لإجراء العملية لضمان تحقيق التصحيح المطلوب بحلول وقت النضج الهيكلي دون تصحيح مفرط.
- الصيغة: المضاعف عند عمر تثبيت الصفيحة المشاشية (ME) = (L × M) / (L × M - E/K)
- L = طول العظم الحالي.
- M = المضاعف الحالي.
- E = مقدار التصحيح المطلوب.
- K = ثابت المساهمة النسبية لصفيحة النمو (0.71 للفخذ، 0.57 للساق، 0.67 للفخذ والساق معًا).
- بعد حساب ME، يتم الرجوع إلى جدول المضاعفات لتحديد العمر الزمني المقابل.

متى تتم إزالة دبابيس تثبيت الصفيحة المشاشية
في بعض الحالات، قد يختار الجراح إجراء تثبيت الصفيحة المشاشية في سن مبكرة مع خطة لإزالة الدبابيس بمجرد تحقيق التصحيح المطلوب، مما يسمح باستئناف النمو الطولي. يمكن استخدام طريقة المضاعف للتنبؤ بتوقيت إزالة الدبابيس.
- الصيغة: المضاعف عند وقت إزالة الدبوس (M2) = L1 × M1 / (L1 + E/K)
- L1 = طول العظم الحالي.
- M1 = المضاعف الحالي.
آلام العظام والمفاصل المزمنة ليس قدراً محتوماً! التشخيص الدقيق والعلاج المتخصص يمكن أن يعيد لك كامل وظيفتك وحريتك في الحركة بدون ألم.
للحصول على استشارة دقيقة وخطة علاجية مخصصة لحالتك، تواصل فوراً مع مركز الأستاذ الدكتور محمد هطيف:
الأستاذ الدكتور محمد هطيف - أفضل دكتور عظام في صنعاء، وخبير في جراحات العظام والمفاصل المتقدمة.
مواضيع أخرى قد تهمك