دليلك الشامل لتصحيح تشوهات مفصل الورك: من التشخيص إلى التعافي مع الأستاذ الدكتور محمد هطيف في صنعاء

الخلاصة الطبية
تشوهات مفصل الورك هي حالات معقدة تؤثر على حركة المريض وجودة حياته. يتضمن العلاج المتقدم تصحيحًا دقيقًا باستخدام مبادئ بالي وقطع العظم، ويوفر الأستاذ الدكتور محمد هطيف في صنعاء الخبرة اللازمة للتشخيص والعلاج الفعال.
الخلاصة الطبية السريعة: تشوهات مفصل الورك هي حالات معقدة تؤثر على حركة المريض وجودة حياته. يتضمن العلاج المتقدم تصحيحًا دقيقًا باستخدام مبادئ بالي وقطع العظم، ويوفر الأستاذ الدكتور محمد هطيف في صنعاء الخبرة اللازمة للتشخيص والعلاج الفعال.
مقدمة حول تشوهات مفصل الورك
يُعد مفصل الورك أحد أهم المفاصل في جسم الإنسان، فهو يتحمل وزن الجسم ويُمكننا من الحركة والمشي والقيام بالأنشطة اليومية بسلاسة. ولكن، عندما يُصاب هذا المفصل بتشوهات، فإن ذلك قد يؤثر بشكل كبير على جودة حياة المريض، مسببًا الألم وصعوبة في الحركة وقيودًا وظيفية. إن تصحيح تشوهات مفصل الورك يُعد تحديًا كبيرًا في جراحة العظام، خاصةً وأن عظم الفخذ القريب يتميز بتركيب ثلاثي الأبعاد معقد للغاية، مما يجعل أي خلل فيه يؤدي إلى تشوهات متعددة المستويات.
في هذه الصفحة، سنستعرض بشكل تفصيلي وشامل كل ما يتعلق بتشوهات مفصل الورك، بدءًا من فهم التشريح الأساسي، مرورًا بالأسباب والأعراض، وصولًا إلى أحدث طرق التشخيص والعلاج المتقدمة، مثل مبادئ بالي لتقويم التشوهات وإجراءات قطع العظم المختلفة. سنُسلط الضوء أيضًا على حالات خاصة مثل انزلاق مشاش رأس الفخذ (SCFE) وكسور عنق الفخذ.
يُقدم لكم الأستاذ الدكتور محمد هطيف، استشاري جراحة العظام والعمود الفقري الرائد في صنعاء، هذه المعلومات القيمة، مستندًا إلى خبرته الواسعة ومعرفته العميقة بأحدث التقنيات الجراحية لضمان أفضل النتائج لمرضاه. إن فهمك لهذه المعلومات سيُساعدك على اتخاذ قرارات مستنيرة بشأن صحة مفصل الورك لديك.

فهم تشريح مفصل الورك ووظيفته
مفصل الورك هو مفصل كروي حُقّي، يتكون من رأس عظم الفخذ (الجزء الكروي) الذي يستقر داخل تجويف الحُقّ في عظم الحوض. هذا التصميم يسمح بحركة واسعة النطاق في جميع الاتجاهات. يُعد عظم الفخذ القريب هيكلاً معقدًا، حيث يميل عنق الفخذ بزاوية معينة بالنسبة للمحور التشريحي لعمود الفخذ. هذا الميل ضروري لوظيفة الورك الطبيعية، ولكن أي تغيير في هذه الزاوية أو في شكل رأس أو عنق الفخذ يمكن أن يؤدي إلى تشوهات خطيرة.
التشوهات في المستوى السهمي للورك
عند تقييم الورك، غالبًا ما يُركز الأطباء على المستوى الأمامي (التهجّم والتقوّس)، لكن التشوهات في المستوى السهمي (الانثناء والانبساط) لا تقل أهمية عن ذلك في الحفاظ على صحة المفصل ووظيفة المريض على المدى الطويل. غالبًا ما يتم إخفاء هذه التشوهات بواسطة آليات تعويض طبيعية في الجسم، مما يجعل تشخيصها أكثر صعوبة.
الزاوية الطبيعية بين عنق وعمود الفخذ الأمامي (ANSA)
لفهم التشوهات، يجب أولاً تحديد التشريح الطبيعي بدقة. في المستوى السهمي، تبلغ الزاوية الطبيعية بين عنق وعمود الفخذ الأمامي (ANSA) حوالي 170 درجة. هذا الانحناء الأمامي الطفيف ليس مجرد تفصيل تشريحي، بل هو مكون حاسم في الميكانيكا الحيوية الطبيعية للورك. تسمح زاوية ANSA البالغة 170 درجة بمرور عنق الفخذ الأمامي بشكل مناسب دون احتكاك مع حافة الحُقّ أثناء الانثناء العميق، كما أنها تُوفر شدًا مثاليًا لعضلات الورك الأمامية، خاصة وتر العضلة الحرقفية القطنية.
عندما تنحرف زاوية ANSA عن هذا المعدل الطبيعي، نواجه تشوهات هيكلية في الانثناء أو الانبساط في الجزء القريب من عظم الفخذ، مما يُغير بشكل كبير قوى رد الفعل على المفصل والشد على محفظة المفصل.
آليات التعويض في العمود الفقري القطني
يمكن أن تنشأ تشوهات الانثناء والانبساط في الورك من ثلاثة مصادر رئيسية:
1. تشوه عظمي هيكلي: ينشأ في الحوض (الحُقّ) أو الجزء القريب من عظم الفخذ.
2. تقلصات الأنسجة الرخوة: تقلصات خارج المفصل في الانثناء أو الانبساط (مثل الشد الشديد في العضلة القطنية الحرقفية أو العضلة المستقيمة الفخذية).
3. أمراض داخل المفصل: تحديد الحركة بسبب التهاب المفاصل، أو النتوءات العظمية، أو متلازمة انحشار الفخذ الحُقّي (FAI).
من النقاط السريرية الهامة لجراح إعادة البناء أن تعويض تحديد الحركة في المستوى السهمي للورك يتم بالكامل تقريبًا من خلال العمود الفقري القطني السفلي وميلان الحوض.
* تشوهات الانثناء الثابتة (FFD): يتم تعويضها بميلان أمامي للحوض وزيادة في تقوّس العمود الفقري القطني (hyperlordosis).
* تشوهات الانبساط: يتم تعويضها بميلان خلفي للحوض ونقص في تقوّس العمود الفقري (متلازمة الظهر المسطح).
نظرًا لأن الجهاز الشوكي الحوضي بارع جدًا في إخفاء هذه القيود، فإن معظم تشوهات انثناء وانبساط الورك تظل بدون أعراض في مفصل الورك نفسه في المراحل المبكرة. بدلاً من ذلك، عادة ما يُراجع المريض العيادة شاكيًا من آلام أسفل الظهر المزمنة بسبب الإجهاد المستمر على مفاصل الفقرات القطنية والعضلات المحيطة بالعمود الفقري.
يُعد تشوه الانثناء الثابت (FFD) من النتائج الشائعة جدًا المرتبطة بالتهاب مفاصل الورك المتقدم. عند التخطيط لقطع عظم يُنتج تقوسًا في الورك المصاب بالتهاب المفاصل، غالبًا ما يكون دمج مكون قطع عظم للانبساط حيويًا لتصحيح تشوه الانثناء الثابت الخفي واستعادة التوازن بين العمود الفقري والحوض.
تشوهات المستوى السهمي للحُقّ يصعب كشفها وتشخيصها على صور الأشعة التقليدية. وعادة ما تُلاحظ بالاشتراك مع خلل التنسج الجهازي، مثل الودانة أو خلل التنسج النمائي الشديد للورك (DDH).


الأسباب وعوامل الخطر لتشوهات مفصل الورك
تنشأ تشوهات مفصل الورك من مجموعة متنوعة من الأسباب، بعضها وراثي أو خلقي، وبعضها الآخر مكتسب نتيجة للإصابات أو الأمراض. فهم هذه الأسباب يُساعد في التشخيص المبكر والعلاج الفعال.
الأسباب الخلقية والنمائية
- خلل التنسج النمائي للورك (DDH): يحدث عندما لا يتطور مفصل الورك بشكل صحيح عند الرضع والأطفال، مما يؤدي إلى عدم استقرار المفصل أو خلع جزئي أو كلي.
- الودانة (Achondroplasia): اضطراب وراثي يؤثر على نمو العظام، مما قد يسبب تشوهات في الورك.
- أمراض وراثية أخرى: بعض المتلازمات الوراثية يمكن أن تؤثر على تكوين العظام والمفاصل.
الأسباب المكتسبة
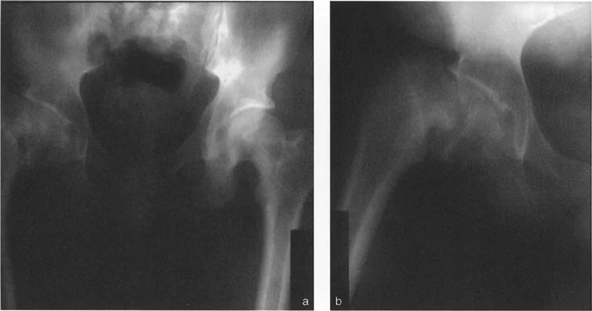
- انزلاق مشاش رأس الفخذ (SCFE): حالة شائعة تحدث غالبًا في مرحلة المراهقة، حيث ينزلق رأس عظم الفخذ عن عنقه عند صفيحة النمو.
- كسور عنق الفخذ: خاصة الكسور تحت الرأس، والتي يمكن أن تؤدي إلى تشوهات إذا لم يتم علاجها بشكل صحيح.
- التهاب المفاصل: مثل التهاب المفاصل التنكسي (الخشونة) أو التهاب المفاصل الروماتويدي، يمكن أن يُغير من شكل المفصل ووظيفته بمرور الوقت.
- النخر اللاوعائي (AVN): موت خلايا العظم بسبب نقص إمداد الدم، مما يؤدي إلى انهيار رأس الفخذ وتشوه المفصل.
- الإصابات الرضحية: الصدمات الشديدة أو الحوادث التي تؤثر على مفصل الورك.
- الأورام: الأورام الحميدة أو الخبيثة التي تنشأ في عظم الفخذ أو الحوض يمكن أن تسبب تشوهات.
- العدوى: الالتهابات البكتيرية أو الفيروسية التي تصيب المفصل والعظم.
عوامل الخطر
تزيد بعض العوامل من خطر الإصابة بتشوهات مفصل الورك:
* العمر: بعض الحالات مثل DDH تحدث عند الأطفال، بينما تكون كسور عنق الفخذ أكثر شيوعًا لدى كبار السن.
* الجنس: بعض التشوهات قد تكون أكثر شيوعًا في جنس معين.
* السمنة: تزيد السمنة من الضغط على مفصل الورك وتُعد عامل خطر لـ SCFE.
* النشاط البدني: الأنشطة التي تتضمن إجهادًا متكررًا على الورك يمكن أن تساهم في تطور بعض التشوهات.
* التاريخ العائلي: وجود تاريخ عائلي لبعض أمراض المفاصل أو العظام.

أعراض تشوهات مفصل الورك ومتى يجب استشارة الطبيب
تختلف أعراض تشوهات مفصل الورك بناءً على نوع التشوه وشدته. ومع ذلك، هناك بعض العلامات والأعراض الشائعة التي يجب الانتباه إليها، والتي تُشير إلى ضرورة استشارة الأستاذ الدكتور محمد هطيف لتقييم حالتك.
الأعراض الشائعة
-
الألم:
- يُعد الألم العرض الأكثر شيوعًا.
- قد يكون الألم في منطقة الورك، الفخذ، الأربية، الأرداف، أو حتى يمتد إلى الركبة.
- يزداد الألم عادة مع النشاط البدني ويقل مع الراحة، ولكنه قد يصبح مستمرًا في الحالات المتقدمة.
- في حالات تشوهات الانثناء الثابت للورك، قد يكون الألم الرئيسي في أسفل الظهر بسبب آليات التعويض، وليس في الورك نفسه.
-
صعوبة في الحركة:
- تقييد نطاق حركة الورك، مما يجعل من الصعب القيام بأنشطة بسيطة مثل المشي، صعود الدرج، الانحناء، أو ربط الحذاء.
- العرج أو المشي غير الطبيعي.
- في حالات انزلاق مشاش رأس الفخذ (SCFE)، قد يلاحظ المريض أو الأهل دورانًا خارجيًا إجباريًا للقدم عند ثني الورك (علامة دريمان).
-
التيبس:
- الشعور بتيبس في مفصل الورك، خاصة بعد فترات الراحة أو في الصباح.
-
عدم التوازن أو عدم الاستقرار:
- الشعور بأن الورك "يخرج" من مكانه أو عدم القدرة على تحمل الوزن بشكل كامل.
-
اختلاف في طول الساقين:
- قد يؤدي بعض التشوهات إلى قصر إحدى الساقين مقارنة بالأخرى، مما يؤثر على المشي ويسبب آلامًا في الظهر.
-
تغيرات في وضعية الجسم:
- قد يُلاحظ المريض أو الآخرون تغيرًا في وضعية الجسم، مثل زيادة تقوس الظهر (hyperlordosis) لتعويض تشوه الانثناء الثابت في الورك.
متى يجب استشارة الأستاذ الدكتور محمد هطيف
يجب عليك استشارة الأستاذ الدكتور محمد هطيف في صنعاء إذا كنت تُعاني من أي من الأعراض المذكورة أعلاه، خاصة إذا:
* كان الألم شديدًا أو لا يتحسن بالراحة والعلاجات المنزلية.
* كان الألم يُعيق أنشطتك اليومية أو يُؤثر على نومك.
* لاحظت تقييدًا واضحًا في حركة الورك أو عرجًا جديدًا.
* كان هناك اختلاف في طول الساقين.
* كنت تُعاني من آلام مزمنة في أسفل الظهر لا تجد لها تفسيرًا واضحًا، فقد تكون مرتبطة بتشوهات الورك الخفية.
* كنت والدًا ولاحظت أي تغير في مشية طفلك أو شكواه من ألم في الورك أو الركبة، خاصة في مرحلة المراهقة (للاشتباه في SCFE).
التشخيص المبكر والعلاج الصحيح، الذي يُقدمه الأستاذ الدكتور محمد هطيف بخبرته العالية، يُمكن أن يُحدث فرقًا كبيرًا في منع تفاقم الحالة وتحسين النتائج على المدى الطويل.

تشخيص تشوهات مفصل الورك بدقة
يُعد التشخيص الدقيق حجر الزاوية في التخطيط لعلاج فعال لتشوهات مفصل الورك. يعتمد الأستاذ الدكتور محمد هطيف على نهج شامل يجمع بين الفحص السريري الدقيق والتقييم الإشعاعي المتقدم لتحديد طبيعة التشوه ومداه.
الفحص السريري
يبدأ التشخيص بفحص سريري شامل، حيث يقوم الأستاذ الدكتور محمد هطيف بتقييم:
* نمط المشي (العرج): ملاحظة أي أنماط مشي غير طبيعية.
* نطاق حركة الورك: قياس مدى قدرة المفصل على الانثناء، الانبساط، الدوران، والتبعيد والتقريب.
* علامة دريمان (Drehmann sign): وهي علامة مميزة لانزلاق مشاش رأس الفخذ (SCFE)، حيث يحدث دوران خارجي إجباري للطرف عند ثني الورك بشكل سلبي.
* اختلاف طول الساقين: قياس دقيق لتحديد ما إذا كان هناك فرق في الطول.
* تقييم العمود الفقري والحوض: البحث عن آليات التعويض مثل زيادة تقوس الظهر أو ميلان الحوض، والتي قد تخفي تشوهات الورك الأصلية.
* تقييم العضلات والأنسجة الرخوة: للكشف عن أي تقلصات أو ضعف عضلي.
التقييم الإشعاعي وتجنب خطأ الالتواء
تُعد الأشعة السينية (X-rays) هي الخطوة الأولى والأساسية في التقييم الإشعاعي. ومع ذلك، فإن مفصل الورك معقد، وقد تتطلب بعض التشوهات صورًا إشعاعية خاصة.
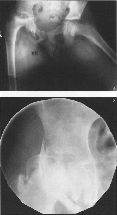
- الأشعة السينية التقليدية: تُظهر صور الأشعة السينية الأمامية الخلفية (AP) والجانبية (Lateral) للورك العظام الرئيسية وتساعد في الكشف عن التشوهات الواضحة.
- صور الأشعة الجانبية عبر الطاولة (Cross-table lateral view): تُعد هذه الصورة حاسمة لتقييم الزاوية الأمامية لعنق الفخذ (ANSA) وتحديد التشوهات في المستوى السهمي. يُشدد الأستاذ الدكتور محمد هطيف على ضرورة الحصول على هذه الصورة بشكل صحيح، بحيث تكون موجهة بالنسبة لـ "المنظر الأمامي الحقيقي للورك" وليس الركبة، لتجنب ما يُسمى "فخ الالتواء".

فخ الالتواء (The Torsional Trap): إذا كان هناك تشوه التوائي شديد في عظم الفخذ (مثل زيادة في الميل الأمامي لعنق الفخذ)، فإن المنظر الأمامي الحقيقي للركبة (الرضفة متجهة للأمام) سيكون مختلفًا تمامًا عن المنظر الأمامي الحقيقي للورك. إذا قام فني الأشعة بالحصول على الصورة الجانبية عبر الطاولة بشكل عمودي على المنظر الأمامي الحقيقي للركبة بدلاً من الورك، فقد تظهر الزاوية الأمامية لعنق الفخذ وكأنها مُنثنية بشكل ملحوظ في الفيلم. هذا يخلق تشوه انثناء ثابت ظاهري للورك، وهو في الواقع خطأ ناتج عن الدوران وليس تشوهًا سهميًا حقيقيًا.
القاعدة التشخيصية: لا يتم تأكيد وجود تشوه انثناء ثابت حقيقي ناتج عن انحناء هيكلي في عنق الفخذ إلا إذا ظهرت الزاوية الأمامية لعنق الفخذ مُنثنية بشكل ملحوظ، وتطابقت الصورة الجانبية عبر الطاولة للورك تمامًا مع المنظر الجانبي الحقيقي للركبة.

التصوير المتقدم
- التصوير بالرنين المغناطيسي (MRI): يُوفر صورًا تفصيلية للأنسجة الرخوة مثل الأربطة، الأوتار، الغضاريف، ويُساعد في الكشف عن النخر اللاوعائي أو أمراض داخل المفصل.
- الأشعة المقطعية (CT Scan): تُوفر صورًا ثلاثية الأبعاد للعظام، وهي ضرورية لتقييم التشوهات المعقدة والالتواءات وتخطيط الجراحة بدقة فائقة.
- التصوير ثلاثي الأبعاد: يُمكن الأستاذ الدكتور محمد هطيف من إعادة بناء المفصل افتراضيًا لتحديد محاور التشوه وتخطيط قطع العظم بدقة متناهية قبل الجراحة.
من خلال هذا النهج التشخيصي الشامل والدقيق، يضمن الأستاذ الدكتور محمد هطيف تحديد السبب الجذري للتشوه ووضع خطة علاجية مُخصصة وفعالة لكل مريض في صنعاء.

خيارات العلاج المتاحة لتصحيح تشوهات الورك
يعتمد علاج تشوهات مفصل الورك على نوع التشوه، شدته، عمر المريض، وحالته الصحية العامة. يهدف العلاج إلى تخفيف الألم، استعادة وظيفة المفصل، ومنع المزيد من التلف. يُقدم الأستاذ الدكتور محمد هطيف في صنعاء مجموعة واسعة من الخيارات العلاجية، بدءًا من التحفظية وصولاً إلى التدخلات الجراحية المتقدمة.
العلاج التحفظي (غير الجراحي)
قد يكون العلاج التحفظي فعالاً في الحالات الخفيفة أو في المراحل المبكرة من التشوه:
* العلاج الطبيعي: تمارين لتقوية العضلات المحيطة بالورك، تحسين نطاق الحركة، وتخفيف الألم.
* الأدوية: مسكنات الألم ومضادات الالتهاب غير الستيرويدية (NSAIDs) لتخفيف الألم والالتهاب.
* تعديل النشاط: تجنب الأنشطة التي تُزيد من الألم أو الإجهاد على الورك.
* حقن المفصل: حقن الكورتيكوستيرويدات أو حمض الهيالورونيك في المفصل لتخفيف الألم والالتهاب.
* أجهزة المساعدة: استخدام العكازات أو المشايات لتقليل الضغط على الورك.
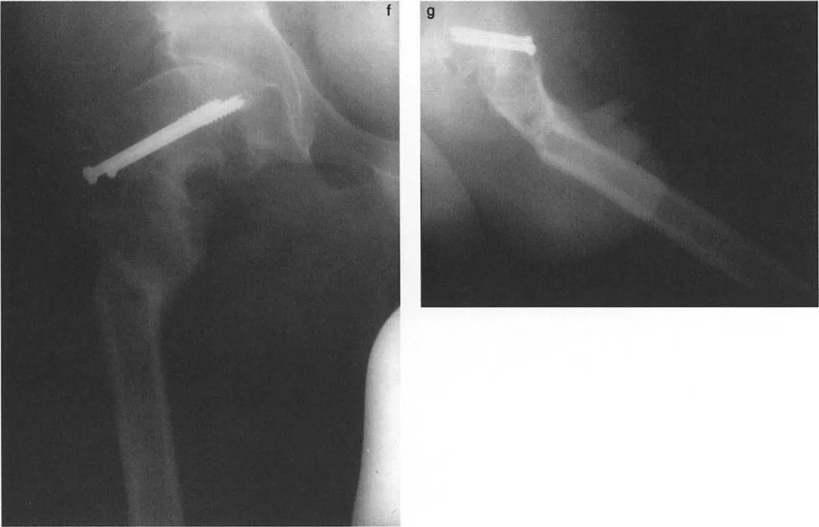
التدخل الجراحي: قطع العظم (Osteotomy)
عندما تفشل العلاجات التحفظية في تخفيف الأعراض أو عندما يكون التشوه شديدًا ويُهدد وظيفة المفصل على المدى الطويل، يُصبح التدخل الجراحي ضروريًا. تُعد عملية قطع العظم (Osteotomy) إجراءً جراحيًا يتم فيه قطع العظم وإعادة تشكيله لتصحيح التشوه وإعادة محاذاة المفصل. يُطبق الأستاذ الدكتور محمد هطيف مبادئ بالي (Paley's Principles) بدقة متناهية لضمان تصحيح مثالي وتجنب المضاعفات.
تنفيذ قطع العظم في المستوى السهمي
تُعالج التشوهات العظمية المصحوبة بأعراض في الجزء القريب من عظم الفخذ والتي تفشل في الاستجابة للعلاج التحفظي عن طريق قطع العظم التصحيحي. يجب أن تتبع عمليات قطع العظم هذه بشكل صارم قواعد بالي لتصحيح التشوهات الزاوية لتجنب إحداث انحرافات ميكانيكية المنشأ.
تطبيق مبادئ بالي على جراحة الورك
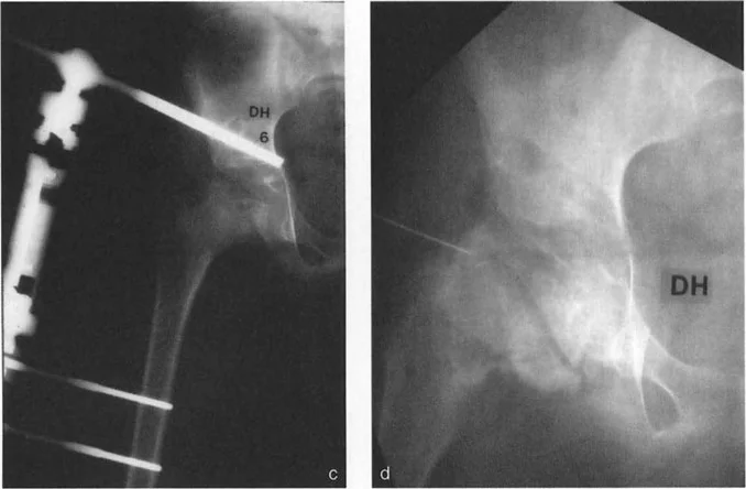
يُعد فهم العلاقة بين مركز دوران الانحراف (CORA) ومستوى قطع العظم أمرًا بالغ الأهمية.
- قاعدة قطع العظم 1: إذا تم إجراء قطع العظم بالضبط عند مستوى CORA، فإن تصحيحًا زاويًا فقط (بفتح أو إغلاق وتد) يكون مطلوبًا. يتم استعادة المحور الميكانيكي، ولن يحدث أي إزاحة لقطعي العظم.
- قاعدة قطع العظم 2: إذا كان CORA يقع قريبًا (أو بعيدًا) عن المستوى الفعلي لقطع العظم، فيجب إزاحة الجزء البعيد لاستعادة المحور الميكانيكي. سيؤدي التقويم الزاوي البحت عند مستوى بعيد عن CORA إلى تشوه إزاحة ثانوي.
في الجزء القريب من عظم الفخذ، غالبًا ما يقع CORA لتشوه سهمي في الجزء العلوي من عنق الفخذ أو حتى داخل رأس الفخذ. ومع ذلك، لأسباب تتعلق بالشفاء البيولوجي وتثبيت الأجهزة، غالبًا ما يتم إجراء قطع العظم في مستوى أدنى بكثير، عادة في منطقة ما بين المدورين أو تحت المدور.
نظرًا لأن CORA يقع قريبًا من خط قطع العظم، فإن الإزاحة إلزامية تمامًا أثناء التصحيح:
* لتشوهات الانبساط (التي تتطلب قطع عظم للانثناء): يجب إزاحة عمود الفخذ للأمام.
* لتشوهات الانثناء (التي تتطلب قطع عظم للانبساط): يجب إزاحة عمود الفخذ للخلف.
سيؤدي الفشل في إزاحة عمود الفخذ بشكل مناسب إلى تشوه إزاحة ثانوي، مما يُغير المحور الميكانيكي للطرف السفلي (انحراف المحور الميكانيكي - MAD) وقد يسبب ميلان خط المفصل عند الركبة.















آلام الورك المبرحة ليس قدراً محتوماً! التشخيص الدقيق والعلاج المتخصص يمكن أن يعيد لك كامل وظيفتك وحريتك في الحركة بدون ألم.
للحصول على استشارة دقيقة وخطة علاجية مخصصة لحالتك، تواصل فوراً مع مركز الأستاذ الدكتور محمد هطيف:
الأستاذ الدكتور محمد هطيف - أفضل دكتور عظام في صنعاء، وخبير في جراحات استبدال مفصل الورك والمراجعة المعقدة.
مواضيع أخرى قد تهمك