English
جزء من الدليل الشامل

تصحيح تشوهات الأطراف السفلية بقطع العظم: دليل مبادئ بالي الشامل

جراحة عظم الفخذ التقويمية للورك: حلول متقدمة لتشوهات الورك مع الأستاذ الدكتور محمد هطيف

07 إبريل 2026 11 دقيقة قراءة 0 مشاهدة
جراحة عظم الفخذ التقويمية للورك: حلول متقدمة لتشوهات الورك مع الأستاذ الدكتور محمد هطيف

الخلاصة الطبية

جراحة عظم الفخذ التقويمية للورك هي إجراء جراحي حيوي لتصحيح تشوهات مفصل الورك، مثل الورك الفحجاء والروحاء، واستعادة المحاذاة الطبيعية. يقدم الأستاذ الدكتور محمد هطيف في صنعاء خبرة رائدة في هذه الجراحات المعقدة لتحسين حركة المريض وتخفيف الألم.

الخلاصة الطبية السريعة: جراحة عظم الفخذ التقويمية للورك هي إجراء جراحي حيوي لتصحيح تشوهات مفصل الورك، مثل الورك الفحجاء والروحاء، واستعادة المحاذاة الطبيعية. يقدم الأستاذ الدكتور محمد هطيف في صنعاء خبرة رائدة في هذه الجراحات المعقدة لتحسين حركة المريض وتخفيف الألم.

مقدمة

يعد مفصل الورك أحد أهم المفاصل في جسم الإنسان، فهو يتحمل وزن الجسم ويوفر نطاقًا واسعًا من الحركة اللازمة للمشي والجري والأنشطة اليومية. عندما يتعرض هذا المفصل للتشوه، سواء كان خلقيًا أو مكتسبًا، يمكن أن يؤدي ذلك إلى ألم شديد، تحديد في الحركة، صعوبة في المشي، وتدهور في جودة الحياة. في مثل هذه الحالات، تصبح جراحة عظم الفخذ التقويمية للورك حلاً ضروريًا وفعالًا لاستعادة وظيفة المفصل وتخفيف المعاناة.

جراحة عظم الفخذ التقويمية هي إجراء جراحي دقيق يهدف إلى إعادة تشكيل عظم الفخذ العلوي (الرأس والعنق) لتصحيح المحاذاة غير الطبيعية لمفصل الورك. يمكن أن تعالج هذه الجراحة مجموعة واسعة من التشوهات، مثل الورك الفحجاء (Coxa Vara) حيث يكون عنق الفخذ مائلاً جدًا للأسفل، أو الورك الروحاء (Coxa Valga) حيث يكون مائلاً جدًا للأعلى. الهدف الأساسي هو تحسين ميكانيكا المفصل، توزيع الأحمال بشكل أفضل، تقليل الألم، ومنع أو إبطاء تطور التهاب المفاصل.

في صنعاء، يعتبر الأستاذ الدكتور محمد هطيف رائدًا في مجال جراحات تقويم العظام، ويقدم خبرة لا مثيل لها في إجراء جراحات عظم الفخذ التقويمية المعقدة. بفضل سنوات من الخبرة والتدريب المتخصص، يلتزم الدكتور هطيف بتقديم أفضل رعاية ممكنة لمرضاه، مستخدمًا أحدث التقنيات الجراحية لضمان أفضل النتائج. إن فهم المريض لهذه الجراحة وإجراءاتها وفوائدها هو خطوة أساسية نحو التعافي الناجح.

صورة توضيحية لـ جراحة عظم الفخذ التقويمية للورك: حلول متقدمة لتشوهات الورك مع الأستاذ الدكتور محمد هطيف

تشوهات مفصل الورك فهم شامل

تنشأ تشوهات مفصل الورك عندما يتغير الشكل الطبيعي أو المحاذاة لعظم الفخذ العلوي (الرأس والعنق) بالنسبة للحوض. هذه التشوهات يمكن أن تؤثر بشكل كبير على وظيفة المفصل وقدرة المريض على الحركة.

ما هي جراحة عظم الفخذ التقويمية للورك

جراحة عظم الفخذ التقويمية (Proximal Femoral Osteotomy) هي عملية جراحية يتم فيها قطع عظم الفخذ العلوي (عادةً تحت المدور الكبير أو بين المدورين) وإعادة محاذاته وتثبيته في وضع جديد. يهدف هذا الإجراء إلى:
* تصحيح المحاذاة: إعادة رأس الفخذ إلى الوضع الأمثل داخل التجويف الحقي.
* تحسين مدى الحركة: إزالة العوائق التي تمنع حركة المفصل الطبيعية.
* توزيع الأحمال: تقليل الضغط على المناطق المتضررة من الغضروف وزيادة مساحة تحمل الوزن.
* تخفيف الألم: بتقليل الضغط والالتهاب داخل المفصل.
* تأخير أو منع جراحة استبدال المفصل: من خلال الحفاظ على المفصل الطبيعي لأطول فترة ممكنة.

لماذا تعتبر جراحة عظم الفخذ ضرورية

تعتبر هذه الجراحة ضرورية في حالات عديدة حيث لا تكون العلاجات غير الجراحية كافية. يمكن أن تؤدي التشوهات غير المصححة إلى:
* ألم مزمن: يؤثر على الأنشطة اليومية والنوم.
* تحديد دائم في الحركة: يقلل من جودة الحياة والاستقلالية.
* التهاب المفاصل التنكسي المبكر: بسبب توزيع الأحمال غير المتكافئ على الغضروف المفصلي.
* العرج واختلاف طول الساق: مما يؤثر على المشية ويسبب مشاكل في مفاصل أخرى (الركبة، العمود الفقري).

الأستاذ الدكتور محمد هطيف يؤكد على أهمية التدخل المبكر في بعض الحالات لمنع تفاقم التشوه وتجنب المضاعفات طويلة الأمد، مما يوفر للمرضى فرصة أفضل للتعافي الكامل واستعادة نمط حياتهم النشط.

صورة توضيحية لـ جراحة عظم الفخذ التقويمية للورك: حلول متقدمة لتشوهات الورك مع الأستاذ الدكتور محمد هطيف

التشريح الأساسي لمفصل الورك

لفهم جراحة عظم الفخذ التقويمية، من المهم معرفة التشريح الأساسي لمفصل الورك وكيف تعمل مكوناته معًا.

مكونات مفصل الورك

مفصل الورك هو مفصل كروي حقي، يتكون بشكل أساسي من:
* رأس عظم الفخذ (Femoral Head): الجزء الكروي العلوي من عظم الفخذ، والذي يتناسب مع التجويف الحقي.
* عنق عظم الفخذ (Femoral Neck): الجزء الذي يربط رأس الفخذ بالجسم الرئيسي لعظم الفخذ.
* المدور الكبير (Greater Trochanter): نتوء عظمي كبير يقع على الجانب الخارجي من عظم الفخذ العلوي، وهو مكان ارتباط العديد من عضلات الورك المهمة (مثل عضلات الألوية).
* المدور الصغير (Lesser Trochanter): نتوء عظمي أصغر يقع على الجانب الداخلي من عظم الفخذ العلوي، وهو مكان ارتباط وتر العضلة القطنية الحرقفية (Psoas Tendon).
* التجويف الحقي (Acetabulum): تجويف في عظم الحوض يستقبل رأس عظم الفخذ.
* الكبسولة المفصلية (Capsule): غشاء ليفي يحيط بالمفصل ويحتوي على السائل الزليلي، مما يساعد على تثبيت المفصل وتغذيته.
* الأربطة والعضلات: مجموعة معقدة من الأربطة والعضلات التي توفر الاستقرار والقوة والحركة للمفصل.

أهمية حركة مفصل الورك

مدى حركة مفصل الورك (Range of Motion) هو عامل حاسم في وظيفة المفصل. يمكن أن يحد من حركة الورك أسباب داخل المفصل (مثل تيبس الكبسولة، الالتصاقات، أو تشوه شكل السطوح المفصلية) أو أسباب خارج المفصل (مثل تقلص العضلات أو التكلسات العظمية غير الطبيعية). فهم مصدر هذا التحديد هو أمر بالغ الأهمية لتخطيط الجراحة.

صورة توضيحية لـ جراحة عظم الفخذ التقويمية للورك: حلول متقدمة لتشوهات الورك مع الأستاذ الدكتور محمد هطيف

الأسباب وعوامل الخطر لتشوهات الورك

يمكن أن تنشأ تشوهات الورك من مجموعة متنوعة من الأسباب، سواء كانت خلقية (موجودة عند الولادة) أو مكتسبة على مدار الحياة.

أسباب داخل المفصل

تؤثر هذه الأسباب مباشرة على بنية المفصل نفسه:
* التقلص الكبسولي (Capsular Contracture): تيبس وتقلص في الكبسولة المحيطة بالمفصل، مما يحد من حركته.
* الالتصاقات (Adhesions): تكون أنسجة ليفية غير طبيعية داخل المفصل تحد من انزلاق السطوح المفصلية.
* تشوه شكل السطوح المفصلية (Deformity of Articular Surfaces): عندما لا يكون رأس الفخذ كرويًا تمامًا أو عندما يكون التجويف الحقي غير منتظم، مما يعيق الحركة الطبيعية.

أسباب خارج المفصل

تؤثر هذه الأسباب على الأنسجة المحيطة بالمفصل:
* تقلص العضلات (Muscle Contracture): تيبس وقصر في عضلات معينة حول الورك (مثل عضلات المقربة أو المبعدة)، مما يحد من مدى الحركة.
* التكلسات العظمية المغايرة (Heterotopic Ossification): تكون عظم جديد في الأنسجة الرخوة حول المفصل بعد إصابة أو جراحة، مما يمكن أن يحد من الحركة.

تشوهات النمو الخلقية والمكتسبة

  • الورك الفحجاء (Coxa Vara): تشوه يتميز بانخفاض زاوية عنق الفخذ (NSA) إلى أقل من 120 درجة، مما يجعل عنق الفخذ أكثر أفقية. يمكن أن تكون خلقية أو مكتسبة (مثل انزلاق المشاش الرأسي الفخذي SCFE).
  • الورك الروحاء (Coxa Valga): تشوه يتميز بزيادة زاوية عنق الفخذ (NSA) إلى أكثر من 135 درجة، مما يجعل عنق الفخذ أكثر عمودية.
  • انزلاق المشاش الرأسي الفخذي (Slipped Capital Femoral Epiphysis - SCFE): حالة تحدث عادة في المراهقين حيث ينزلق رأس الفخذ عن عنقه عبر لوحة النمو، مما يؤدي إلى تشوه.
  • التهاب المفاصل (Arthritis): يمكن أن تؤدي أنواع مختلفة من التهاب المفاصل (مثل الفصال العظمي) إلى تشوهات ثانوية في المفصل بمرور الوقت.

الأستاذ الدكتور محمد هطيف يتمتع بخبرة واسعة في تحديد السبب الدقيق للتشوه، وهو أمر حيوي لتخطيط العلاج الجراحي الأمثل.

صورة توضيحية لـ جراحة عظم الفخذ التقويمية للورك: حلول متقدمة لتشوهات الورك مع الأستاذ الدكتور محمد هطيف

الأعراض الشائعة لتشوهات الورك

يمكن أن تتراوح أعراض تشوهات الورك من خفيفة إلى شديدة، وتؤثر بشكل كبير على جودة حياة المريض.

الألم والعرج

  • الألم: غالبًا ما يكون الألم هو العرض الأول والأكثر إزعاجًا. يمكن أن يكون موضعيًا في منطقة الورك أو الفخذ، وقد ينتشر إلى الركبة أو الأرداف. يزداد الألم عادة مع النشاط ويتحسن مع الراحة، ولكنه قد يصبح مزمنًا ويؤثر على النوم في الحالات المتقدمة.
  • العرج (Limp): بسبب الألم أو ضعف العضلات أو اختلاف طول الساق، قد يطور المريض عرجًا واضحًا عند المشي، مما يؤثر على توازنه ويجهد المفاصل الأخرى.

تحديد مدى الحركة

يلاحظ المرضى غالبًا صعوبة في أداء حركات معينة في الورك، مثل:
* التقريب (Adduction): صعوبة في تقريب الساق نحو خط الوسط للجسم.
* التبعيد (Abduction): صعوبة في إبعاد الساق عن خط الوسط للجسم.
* الدوران الداخلي والخارجي: تحديد في قدرة الورك على الدوران.
* الثني والمد: صعوبة في ثني أو مد الورك بالكامل.
هذا التحديد يمكن أن يجعل أنشطة بسيطة مثل ارتداء الجوارب أو ربط الحذاء صعبة للغاية.

اختلاف طول الساق

في بعض التشوهات، قد يصبح هناك اختلاف ملحوظ في طول الساقين (Leg Length Discrepancy)، مما يؤثر على المشية ويسبب مشاكل في الظهر والركبة.

ضعف العضلات

يمكن أن يؤدي الألم وتحديد الحركة إلى ضعف في العضلات المحيطة بالورك، خاصة عضلات الألوية (Gluteus Medius and Minimus) التي تلعب دورًا حاسمًا في استقرار الحوض أثناء المشي. ضعف هذه العضلات يمكن أن يسبب مشية ترندلنبورغ (Trendelenburg Gait)، حيث يميل الحوض إلى الجانب غير المصاب عند رفع الساق المقابلة.

صورة توضيحية لـ جراحة عظم الفخذ التقويمية للورك: حلول متقدمة لتشوهات الورك مع الأستاذ الدكتور محمد هطيف

التشخيص الدقيق لتشوهات الورك

لتقديم العلاج الأمثل، يعتمد الأستاذ الدكتور محمد هطيف على تشخيص دقيق وشامل، يجمع بين الفحص السريري المتقن وأحدث تقنيات التصوير.

الفحص السريري

يبدأ التشخيص بفحص سريري مفصل يشمل:
* مراجعة التاريخ الطبي: للاستفسار عن الأعراض، مدتها، شدتها، وأي إصابات سابقة أو حالات طبية.
* تقييم المشية (Gait Analysis): لملاحظة أي عرج أو أنماط مشي غير طبيعية.
* قياس مدى الحركة (Range of Motion): لتقييم قدرة الورك على الثني، المد، التقريب، التبعيد، والدوران، وتحديد أي قيود.
* اختبارات القوة العضلية: لتقييم قوة العضلات المحيطة بالورك.
* فحص اختلاف طول الساق: لقياس أي تباين بين الساقين.
* الجس: لتحديد مناطق الألم أو الحساسية.

التصوير الإشعاعي

تعد تقنيات التصوير ضرورية لتأكيد التشخيص وتحديد طبيعة التشوه وحجمه:
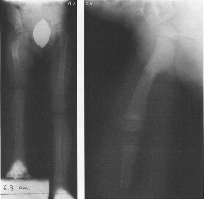
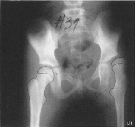
* الأشعة السينية (X-rays): هي الخطوة الأولى والأكثر شيوعًا. توفر صورًا مفصلة للعظام وتسمح بقياس الزوايا المهمة مثل زاوية عنق الفخذ (Neck-Shaft Angle - NSA) وزاوية محاذاة الفخذ القريبة (Proximal Femoral Alignment Angle - PFAA).
* التصوير المقطعي المحوسب (CT Scan): يوفر صورًا ثلاثية الأبعاد للعظام، وهو مفيد بشكل خاص لتقييم التشوهات المعقدة وتخطيط الجراحة بدقة.
* التصوير بالرنين المغناطيسي (MRI): يوفر صورًا مفصلة للأنسجة الرخوة مثل الغضاريف والأربطة والعضلات، ويمكن أن يكشف عن التهاب المفاصل أو الالتصاقات أو التكلسات.

تقييم زوايا التشوه

يستخدم الدكتور هطيف قياسات دقيقة من الأشعة السينية لتحديد مدى التشوه:
* زاوية عنق الفخذ (NSA): الزاوية بين عنق الفخذ وجسم عظم الفخذ. تُشير قيمها المنخفضة إلى الورك الفحجاء، والعالية إلى الورك الروحاء.
* زاوية محاذاة الفخذ القريبة (LPFA): زاوية مهمة لتقييم محاذاة عظم الفخذ.
* مركز دوران الزاوية (Center of Rotation of Angulation - CORA): نقطة افتراضية يتم تحديدها لتخطيط قطع العظم بدقة لضمان أفضل تصحيح للمحاذاة.

يضمن هذا النهج الشامل أن يتمكن الأستاذ الدكتور محمد هطيف من وضع خطة علاجية مخصصة لكل مريض، مع الأخذ في الاعتبار جميع جوانب التشوه وحالة المريض الصحية.

صورة توضيحية لـ جراحة عظم الفخذ التقويمية للورك: حلول متقدمة لتشوهات الورك مع الأستاذ الدكتور محمد هطيف

خيارات العلاج المتقدمة جراحة عظم الفخذ التقويمية

تعتبر جراحة عظم الفخذ التقويمية إجراءً معقدًا يتطلب خبرة جراحية عالية وتخطيطًا دقيقًا. يقدم الأستاذ الدكتور محمد هطيف أحدث التقنيات الجراحية لتصحيح تشوهات الورك.

مبادئ جراحة عظم الفخذ

الهدف الرئيسي من جراحة عظم الفخذ التقويمية هو إعادة محاذاة رأس الفخذ وعنقه بشكل صحيح داخل التجويف الحقي. يتم تحقيق ذلك من خلال:
* إعادة توزيع قوى تحمل الوزن: لتحميل الأجزاء السليمة من الغضروف وتقليل الضغط على الأجزاء المتضررة.
* تحسين التغطية الحقية: لضمان احتواء رأس الفخذ بشكل أفضل داخل التجويف الحقي.
* استعادة مدى الحركة: عن طريق إزالة العوائق العظمية أو الأنسجة الرخوة.
* تصحيح اختلاف طول الساق: إذا كان موجودًا.

جراحة عظم الفخذ الفحجاء (Valgus Osteotomy) لتصحيح الورك الفحجاء (Varus Deformity)

تُجرى هذه الجراحة عندما يكون عنق الفخذ مائلاً جدًا للأسفل (الورك الفحجاء). تهدف العملية إلى زيادة زاوية عنق الفخذ، مما يجعلها أكثر عمودية.

وصف طبي دقيق للمريض

  • التقنية: تتطلب الجراحة قدرة كافية على تقريب رأس الفخذ. في بعض الحالات، قد يكون هناك تقلص في عضلات التبعيد (مثل العضلة الموترة للفافة اللاتسية والعضلة الألوية الوسطى والصغرى)، مما يحد من التقريب.
  • بضع وتر المقربة (Adductor Tenotomy): قد يكون ضروريًا بعد جراحة عظم الفخذ الفحجاء، خاصة بسبب تأثير إطالة الساق الناتج عن هذه الجراحة.
  • إطالة آلية المبعدة: في حالات الورك الفحجاء الخلقي، قد تتطلب إطالة آلية العضلة المبعدة. الأستاذ الدكتور محمد هطيف، في عام 1998، طور إجراءً جديدًا يتضمن إزالة كامل ارتباط العضلة الألوية الوسطى والصغرى بالتواصل مع العضلة رباعية الرؤوس (العضلة المتسعة الوحشية). هذا الإجراء يحرر المدور الكبير من تقلص التبعيد خارج المفصل، مما يسمح بتقريب عظم الفخذ القريب ضمن قيود الارتباطات الكبسولية. كما يتطلب تحرير العضلة الكمثرية التي يمكن أن تحد من الدوران الداخلي والمد والتقريب. يتم إعادة تثبيت الوتر المشترك لهذه الوحدة إلى المدور الكبير بعد تقريب الورك لتصحيح تشوه الورك الفحجاء.

وصف طبي دقيق للمريض
وصف طبي دقيق للمريض
وصف طبي دقيق للمريض
وصف طبي دقيق للمريض
وصف طبي دقيق للمريض
وصف طبي دقيق للمريض

  • القيود داخل المفصل: إذا كان تحديد التقريب ناتجًا عن تقلص كبسولي أو التصاقات داخل المفصل، فقد يتطلب الأمر بضع كبسولة (Capsulotomy) لتحقيق التصحيح الكامل. إذا كان السطح المفصلي مشوهًا، فقد لا يمكن تحقيق التصحيح الكامل إلا بعد إعادة تشكيل رأس الفخذ.

وصف طبي دقيق للمريض

جراحة عظم الفخذ الروحاء (Varus Osteotomy) لتصحيح الورك الروحاء (Valgus Deformity)

تُجرى هذه الجراحة عندما يكون عنق الفخذ مائلاً جدًا للأعلى (الورك الروحاء). تهدف العملية إلى تقليل زاوية عنق الفخذ، مما يجعلها أكثر أفقية.

وصف طبي دقيق للمريض

  • التقنية: تتطلب الجراحة قدرة كافية على تبعيد رأس الفخذ. عادةً ما لا تحد عضلات المقربة من تبعيد الجزء القريب من الفخذ بعد قطع العظم لأنها ترتبط بعيدًا عن مستوى قطع العظم.
  • تأثير التقصير: تؤدي جراحة عظم الفخذ الروحاء إلى تقصير في طول الساق، مما يريح عضلات المقربة ويقلل الحاجة إلى بضع وتر المقربة.
  • القيود داخل المفصل: إذا كان تحديد التبعيد ناتجًا عن عوامل داخل المفصل، فقد يتطلب الأمر بضع كبسولة وتحرير داخل المفصل. إذا كان السطح المفصلي مشوهًا، فقد لا يمكن تحقيق التصحيح الكامل إلا بعد إعادة تشكيل رأس الفخذ.

وصف طبي دقيق للمريض

اعتبارات تحديد مستوى قطع العظم

يعد اختيار مستوى قطع العظم (Osteotomy Level) أمرًا حاسمًا ويؤثر على جوانب عديدة، بما في ذلك توتر وتر العضلة القطنية الحرقفية (Psoas Tendon) ومسافة القطع عن مركز دوران الزاوية (CORA).

وصف طبي دقيق للمريض

  • مستويات القطع: يمكن أن يكون القطع فوق المدور الصغير (Intertrochanteric) أو تحته (Subtrochanteric).
  • تأثير على وتر العضلة القطنية الحرقفية:
    • جراحة عظم الفخذ الفحجاء: إذا كان القطع تحت المدور الصغير، فإنه يميل إلى إرخاء وتر العضلة القطنية الحرقفية، مما يسهل التصحيح. إذا كان القطع فوق المدور الصغير، فإنه يشد الوتر، مما قد يجعل الجراحة أكثر صعوبة.
    • جراحة عظم الفخذ الروحاء: إذا كان القطع فوق المدور الصغير، فإنه يميل إلى إرخاء الوتر. إذا كان القطع تحت المدور الصغير، فإنه يشد الوتر، مما يزيد من صعوبة الإجراء.
    • لذلك، يفضل الأستاذ الدكتور محمد هطيف إجراء جراحة عظم الفخذ الروحاء فوق المدور الصغير، وجراحة عظم الفخذ الفحجاء تحت المدور الصغير، لتحسين النتائج وتسهيل الجراحة.

وصف طبي دقيق للمريض
وصف طبي دقيق للمريض
وصف طبي دقيق للمريض
وصف طبي دقيق للمريض
وصف طبي دقيق للمريض
وصف طبي دقيق للمريض
وصف طبي دقيق للمريض
وصف طبي دقيق للمريض
وصف طبي دقيق للمريض

تأثير التشوه على المدور الكبير

يمكن أن يساهم فر

صورة طبية: جراحة عظم الفخذ التقويمية للورك: حلول متقدمة لتشوهات الورك مع الأستاذ الدكتور محمد هطيف

صورة طبية: جراحة عظم الفخذ التقويمية للورك: حلول متقدمة لتشوهات الورك مع الأستاذ الدكتور محمد هطيف

صورة طبية: جراحة عظم الفخذ التقويمية للورك: حلول متقدمة لتشوهات الورك مع الأستاذ الدكتور محمد هطيف

صورة طبية: جراحة عظم الفخذ التقويمية للورك: حلول متقدمة لتشوهات الورك مع الأستاذ الدكتور محمد هطيف

صورة طبية: جراحة عظم الفخذ التقويمية للورك: حلول متقدمة لتشوهات الورك مع الأستاذ الدكتور محمد هطيف

صورة طبية: جراحة عظم الفخذ التقويمية للورك: حلول متقدمة لتشوهات الورك مع الأستاذ الدكتور محمد هطيف

صورة طبية: جراحة عظم الفخذ التقويمية للورك: حلول متقدمة لتشوهات الورك مع الأستاذ الدكتور محمد هطيف

صورة طبية: جراحة عظم الفخذ التقويمية للورك: حلول متقدمة لتشوهات الورك مع الأستاذ الدكتور محمد هطيف

صورة طبية: جراحة عظم الفخذ التقويمية للورك: حلول متقدمة لتشوهات الورك مع الأستاذ الدكتور محمد هطيف

صورة طبية: جراحة عظم الفخذ التقويمية للورك: حلول متقدمة لتشوهات الورك مع الأستاذ الدكتور محمد هطيف

صورة طبية: جراحة عظم الفخذ التقويمية للورك: حلول متقدمة لتشوهات الورك مع الأستاذ الدكتور محمد هطيف

صورة طبية: جراحة عظم الفخذ التقويمية للورك: حلول متقدمة لتشوهات الورك مع الأستاذ الدكتور محمد هطيف

صورة طبية: جراحة عظم الفخذ التقويمية للورك: حلول متقدمة لتشوهات الورك مع الأستاذ الدكتور محمد هطيف

صورة طبية: جراحة عظم الفخذ التقويمية للورك: حلول متقدمة لتشوهات الورك مع الأستاذ الدكتور محمد هطيف


آلام الورك المبرحة ليس قدراً محتوماً! التشخيص الدقيق والعلاج المتخصص يمكن أن يعيد لك كامل وظيفتك وحريتك في الحركة بدون ألم.

للحصول على استشارة دقيقة وخطة علاجية مخصصة لحالتك، تواصل فوراً مع مركز الأستاذ الدكتور محمد هطيف:

الأستاذ الدكتور محمد هطيف - أفضل دكتور عظام في صنعاء، وخبير في جراحات استبدال مفصل الورك والمراجعة المعقدة.

مواضيع أخرى قد تهمك

Dr. Mohammed Hutaif
محتوى موثق طبياً بإشراف
أ.د. محمد هطيف
استشاري جراحة العظام والمفاصل والعمود الفقري
محتويات الفصل