جراحة دعم الحوض العظمية: حلول متقدمة للورك غير المستقر وتصحيح التشوهات مع الأستاذ الدكتور محمد هطيف في صنعاء

الخلاصة الطبية
جراحة دعم الحوض العظمية هي إجراء جراحي متقدم يعالج الورك غير المستقر أو المشوه بشدة، خاصة بعد العدوى أو الإصابات. تتضمن الجراحة قطعًا عظميًا مزدوجًا لإعادة بناء مفصل الورك، مما يعيد الاستقرار، ويصحح تفاوت طول الأطراف، ويحسن المشي بشكل كبير.
الخلاصة الطبية السريعة: جراحة دعم الحوض العظمية هي إجراء جراحي متقدم يعالج الورك غير المستقر أو المشوه بشدة، خاصة بعد العدوى أو الإصابات. تتضمن الجراحة قطعًا عظميًا مزدوجًا لإعادة بناء مفصل الورك، مما يعيد الاستقرار، ويصحح تفاوت طول الأطراف، ويحسن المشي بشكل كبير.
مقدمة إلى مشكلات مفصل الورك وتحديات الورك غير المستقر
يُعد مفصل الورك أحد أهم المفاصل في جسم الإنسان، فهو يتحمل وزن الجسم ويساهم في حركته بسلاسة. ولكن في بعض الحالات، قد يتعرض هذا المفصل لتشوهات شديدة أو يصبح غير مستقر، مما يؤدي إلى تحديات كبيرة في الحركة ونوعية الحياة. إن التعامل مع الورك غير المستقر، أو الذي يعاني من خلع مزمن، أو تشوه شديد، يمثل أحد أصعب التحديات التي تواجه جراحي العظام.
تنشأ هذه الحالات المعقدة نتيجة لعدة أسباب، منها التهاب المفاصل الإنتاني عند حديثي الولادة (التهاب مفصل الورك القيحي)، أو الاضطرابات العصبية العضلية الشديدة، أو حتى بعد الفشل في عمليات استبدال مفصل الورك الكلي (مما قد يستدعي إجراء استئصال جيردلستون). غالبًا ما تترك هذه الحالات المرضى يعانون من تفاوت كبير في طول الأطراف، ومشية "ترندلنبرغ" المنهكة (حيث يميل الحوض إلى الأسفل عند المشي على ساق واحدة)، وعدم كفاءة حيوية ميكانيكية شديدة تؤثر على قدرتهم على المشي والحركة بشكل طبيعي.
لسنوات طويلة، كانت الإجراءات الجراحية التقليدية إما غير كافية لاستعادة المشي الوظيفي، أو أنها كانت تتسبب في تشوهات جديدة لا تقل خطورة عن المشكلة الأصلية. ولكن بفضل التقدم العلمي، وتطبيق مبادئ الدكتور درور بالي لتصحيح التشوهات – وخاصة منهجية مركز دوران الزاوية (CORA) – جنبًا إلى جنب مع طريقة إليزاروف، فقد حدثت ثورة حقيقية في مقاربتنا لمفصل الورك.
تعتبر جراحة دعم الحوض العظمية (Pelvic Support Osteotomy - PSO) تقنية جراحية متقدمة تُمكن من تحويل الطرف السفلي الذي يعاني من خلل ميكانيكي حيوي كارثي إلى طرف مستقر، وظيفي، ومتناسق. في هذا الدليل الشامل، سنقوم بتفكيك المبادئ الحيوية الميكانيكية، والتخطيط قبل الجراحة، والتنفيذ الجراحي لهذه العملية المعقدة، لنقدم للمرضى فهمًا عميقًا لكيفية استعادة وظيفة الورك وتحسين جودة حياتهم.
يُعد الأستاذ الدكتور محمد هطيف، استشاري جراحة العظام والعمود الفقري، أحد أبرز الخبراء في المنطقة، وفي صنعاء على وجه الخصوص، في تطبيق هذه التقنيات المتقدمة. بخبرته الواسعة ومعرفته العميقة، يقدم الدكتور هطيف أحدث الحلول الجراحية لمثل هذه الحالات المعقدة، ويُعد مرجعًا موثوقًا للمرضى الذين يبحثون عن الأمل والحلول لمشكلات الورك المستعصية.

التشريح الأساسي لمفصل الورك ودوره في جراحة دعم الحوض
لفهم جراحة دعم الحوض العظمية، من المهم أن نتعرف أولاً على التشريح الأساسي لمفصل الورك وكيفية عمله. مفصل الورك هو مفصل كروي حقي يربط عظم الفخذ بالحوض، مما يسمح بحركة واسعة في جميع الاتجاهات. الحوض نفسه هو هيكل عظمي معقد ثلاثي الأبعاد، وهو بمثابة المرجع الأساسي لمفصل الورك.
أهمية خطوط مرجعية الحوض
قبل البدء في أي تخطيط لتصحيح التشوه، يجب تحديد خطوط مرجعية دقيقة على صور الأشعة السينية. يعتبر مفصل الورك فريدًا لأن مرجعه القريب هو الحوض نفسه، وهو هيكل معقد ثلاثي الأبعاد يمكن أن يتعرض للتشوهات الدورانية والميلان على صور الأشعة السينية ثنائية الأبعاد العادية.
الخط الأفقي للحوض
لتقييم استقامة الطرف السفلي بدقة وتخطيط جراحة دعم الحوض العظمية، يجب على الجراح أولاً تحديد الخط الأفقي الحقيقي للحوض. إذا كان الحوض مشوهًا بسبب عيوب خلقية، أو نمو وتطور غير متماثل، أو تدخلات جراحية سابقة، فإن تحديد محور أفقي موثوق به أمر بالغ الأهمية.
تتضمن المعالم الإشعاعية الأكثر دقة لرسم الخط الأفقي للحوض ما يلي:
* المفاصل العجزية الحرقفية (SI Joints): يُعد الخط المرسوم عبر الطرف السفلي للمفاصل العجزية الحرقفية موثوقًا به للغاية.
* ثقوب العجز (Sacral Foramina): بدلاً من ذلك، يمكن رسم خط عبر ثقبين عجزين متماثلين.
* الغضاريف ثلاثية الشعب (Triradiate Cartilages): في الأطفال، يُعد الخط الذي يربط الغضروفين ثلاثيي الشعب مفيدًا جدًا، شريطة عدم إجراء أي قطع عظمي سابق في الحوض (مثل سالتر، ديجا، أو بيمبرتون).
خطوط المحور الميكانيكي القريب والبعيد
بمجرد تحديد الخط الأفقي للحوض، يمكن رسم المحاور الميكانيكية للطرف السفلي.
- خط المحور الميكانيكي القريب (PMA): يُرسم هذا الخط عموديًا تمامًا على الخط الأفقي للحوض، ويمر مباشرة عبر مركز الحُق (أو مركز الدوران المقصود إذا كانت رأس الفخذ غائبة).
- خط المحور الميكانيكي البعيد (DMA): يُرسم هذا الخط من مركز مفصل الكاحل عبر مركز مفصل الركبة، ثم يمتد باتجاه الورك.
إذا كان هناك أي انحراف سابق في استقامة عظم الساق القريب أو عظم الفخذ البعيد، فيجب تحديده فورًا. يتم ذلك عن طريق إجراء اختبار انحراف/توجيه المحور الميكانيكي (MOT) بين خط مفصل الركبة، والمحور التشريحي لعظم الفخذ، والمحور الميكانيكي لعظم الساق.
إذا كان هناك انحراف في الاستقامة ناتج عن عظم الفخذ البعيد أو عظم الساق، فيجب التعامل مع التخطيط الجراحي على أنه تشوه متعدد القمم. الفرق الوحيد عن تخطيط العظام الطويلة القياسي هو أن الخط المرجعي القريب لعظم الفخذ يعتمد كليًا على الحوض بدلاً من عظم الفخذ القريب نفسه.
تحديد مركز دوران الورك (CORA)
إذا لم يكن هناك مركز دوران آخر في الطرف (أي أن عظم الفخذ وعظم الساق مستقيمان)، فإن الخط العمودي على الحوض (PMA) والخط الناتج عن الامتداد القريب للمحور الميكانيكي لعظم الساق (DMA) سوف يتقاطعان. تمثل نقطة التقاطع هذه مركز دوران التشوه الجديد للورك. لاستعادة الاستقامة، يجب على الجراح اتباع قواعد بالي للقطع العظمي عند تصحيح التشوه بالنسبة لمركز الدوران هذا.

الأسباب وعوامل الخطر التي تستدعي جراحة دعم الحوض العظمية
تُعد جراحة دعم الحوض العظمية حلًا متخصصًا للحالات المعقدة التي لا تستجيب للعلاجات التقليدية أو التي لا تكون فيها خيارات أخرى مثل استبدال المفصل الكلي ممكنة. تشمل الحالات التي تستدعي هذه الجراحة ما يلي:
- مضاعفات التهاب المفاصل الإنتاني عند حديثي الولادة: المرضى الذين يعانون من غياب رأس وعنق عظم الفخذ بسبب التهاب مفصل الورك القيحي في الطفولة المبكرة، والذين يحتاجون إلى استقرار المفصل دون الحاجة إلى دمج (تثبيت) المفصل.
- مفصل جيردلستون الصناعي (Girdlestone Arthroplasty): المرضى الذين تم إزالة أجهزة مفصل الورك الكلي الملتهبة لديهم، ولم يعودوا مرشحين لإعادة استبدال المفصل الكلي.
- الحالات العصبية العضلية: المرضى الذين يعانون من حالات مثل شلل الأطفال، أو متلازمة الحبل الشوكي المربوط، أو السنسنة المشقوقة القطنية العجزية، حيث يمكن أن يقلل الإجراء بشكل كبير أو يقضي على مشية ترندلنبرغ.
- الخلع المزمن للورك: المراهقون الذين يعانون من خلع مزمن أحادي أو ثنائي للورك.

الأعراض والعلامات المرتبطة بالورك غير المستقر
عندما يكون مفصل الورك غير مستقر أو مشوه، تظهر مجموعة من الأعراض والعلامات التي تؤثر بشكل كبير على قدرة المريض على الحركة والاستقلالية. من المهم التعرف على هذه الأعراض لطلب المساعدة الطبية المتخصصة.
1. مشية ترندلنبرغ (Trendelenburg Gait)
تُعد مشية ترندلنبرغ من أبرز العلامات وأكثرها إرهاقًا. تحدث هذه المشية عندما يسقط الحوض على الجانب المقابل (غير المدعوم) أثناء الوقوف على ساق واحدة. هذا يعني أنه عندما يرفع المريض ساقه اليمنى، يهبط الجانب الأيسر من الحوض، والعكس صحيح. يحدث هذا لأن عضلات الورك المبعدة (مثل العضلة الألوية الوسطى والصغرى) غير قادرة على توليد قوة كافية لمواجهة وزن الجسم. يمكن أن يكون هذا الفشل بسبب:
* ضعف العضلات (مثل شلل الأطفال).
* قصر ذراع الرافعة (مثل حالة الورك الأفحج).
* فقدان نقطة الارتكاز (مثل غياب رأس الفخذ بسبب العدوى أو الخلع).
عندما يهبط الحوض، تكون الحركة النسبية لعظم الفخذ بالنسبة للحوض هي حركة "التقريب".
2. تفاوت طول الأطراف (Limb Length Discrepancy - LLD)
غالبًا ما يعاني المرضى من تفاوت واضح في طول الساقين، مما يجعل المشي صعبًا ويتطلب استخدام أحذية خاصة أو أجهزة تقويمية. يمكن أن يكون هذا التفاوت كبيرًا ويؤثر على محاذاة العمود الفقري.
3. عدم الكفاءة الميكانيكية الحيوية الشديدة
يؤدي عدم استقرار الورك إلى أن يستهلك الجسم طاقة أكبر بكثير للمشي، مما يسبب الإرهاق السريع وصعوبة في أداء الأنشطة اليومية.
4. الألم المزمن
يمكن أن يسبب عدم استقرار الورك والتشوهات المصاحبة له ألمًا مزمنًا في الورك، الظهر، أو الركبة، نتيجة للتعويضات التي يقوم بها الجسم للحفاظ على التوازن.
5. تشوهات تعويضية في العمود الفقري
في حالات خلع الورك المزمن، قد يطور المرضى انحناءً مفرطًا في أسفل الظهر (فرط التقعر القطني) لتعويض تشوه الانثناء في الورك، مما يزيد من آلام الظهر.
6. صعوبة في الوقوف والمشي
يجد المرضى صعوبة في الوقوف بثبات أو المشي لمسافات طويلة، وقد يحتاجون إلى استخدام أدوات مساعدة مثل العكازات أو المشايات.
كل هذه الأعراض تؤثر بشكل مباشر على جودة حياة المريض، وتجعل التدخل الجراحي ضروريًا لاستعادة الوظيفة وتحسين الاستقلالية.

التشخيص الدقيق والتخطيط المسبق لجراحة دعم الحوض العظمية
يُعد التشخيص الدقيق والتخطيط المسبق خطوتين حاسمتين لنجاح جراحة دعم الحوض العظمية. يتطلب هذا الإجراء فهمًا عميقًا للتشوه وتطبيقًا دقيقًا للمبادئ الحيوية الميكانيكية. في عيادة الأستاذ الدكتور محمد هطيف في صنعاء، يتم التركيز على التقييم الشامل لضمان أفضل النتائج للمرضى.
1. التقييم السريري الشامل
يبدأ التقييم بفحص سريري دقيق يقوم به الدكتور محمد هطيف، حيث يتم تقييم:
* نمط مشية المريض (خاصة مشية ترندلنبرغ).
* مدى تفاوت طول الأطراف.
* مدى حركة مفصل الورك (الانثناء، البسط، التقريب، التبعيد، الدوران).
* وجود أي تشوهات أخرى في الطرف السفلي أو العمود الفقري.
* قوة العضلات المحيطة بالورك.
2. التصوير الإشعاعي المتقدم
تُعد الأشعة السينية هي الأداة الرئيسية للتخطيط الجراحي. يتم الحصول على صور أشعة سينية خاصة، بما في ذلك:
* صور الأشعة السينية للطرف السفلي بالكامل (Full-length standing AP radiographs): لتقييم المحاذاة الكلية وتفاوت طول الأطراف.
* صور أشعة سينية للحوض في وضعيات مختلفة:
* صورة استلقاء مع تقريب أقصى للساق المصابة: لقياس أقصى درجة تقريب يمكن تحقيقها في الورك، وهو قياس حاسم لتحديد زاوية التقوس الخارجي (Valgus) المطلوبة.
* صورة وقوف على ساق واحدة: لتقييم درجة هبوط الحوض (drop angle) أثناء الوقوف على الساق المصابة.
3. تحديد الخطوط المرجعية للحوض
كما ذكرنا سابقًا، يتم تحديد الخط الأفقي الحقيقي للحوض باستخدام معالم إشعاعية دقيقة مثل المفاصل العجزية الحرقفية أو ثقوب العجز. في الأطفال، يتم استخدام الغضاريف ثلاثية الشعب.
4. رسم المحاور الميكانيكية
يتم رسم خط المحور الميكانيكي القريب (PMA) عموديًا على الخط الأفقي للحوض ويمر عبر مركز الحُق. يُرسم خط المحور الميكانيكي البعيد (DMA) من مركز الكاحل عبر مركز الركبة ويمتد نحو الورك.
5. تحديد مركز دوران التشوه (CORA)
تُحدد نقطة تقاطع خطي PMA و DMA كمركز دوران التشوه (CORA) الجديد للورك. هذه النقطة هي المفتاح لتحديد موقع القطع العظمي وتخطيط التصحيح.
6. التخطيط التفصيلي للقطع العظمي (Osteotomy Planning)
يُعد التخطيط للقطع العظمي المزدوج هو الجزء الأكثر أهمية. يستخدم الدكتور محمد هطيف تقنيات متقدمة للتخطيط، بما في ذلك القوالب الورقية أو البرامج الرقمية، لمحاكاة الجراحة قبل إجرائها.

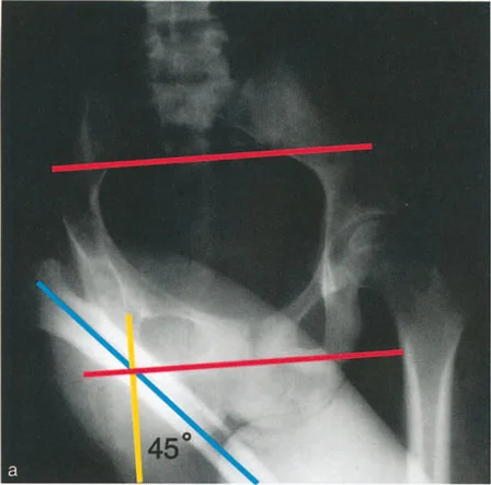
رسم توضيحي لتقييم ما قبل الجراحة لأقصى تقريب لعظم الفخذ (اختبار التقريب المتقاطع للساقين). في هذا المريض، تبلغ زاوية التقريب القصوى 45 درجة بالضبط.

صورة أشعة سينية بعد التخطيط توضح تنفيذ القطع العظمي القريب. تم تطبيق تصحيح تقوس خارجي بزاوية 60 درجة لتوفير دعم قوي للحوض والقضاء على هبوط الحوض.
تخطيط القطع العظمي القريب (العلوي):
* تحديد المستوى: يتم تحديده بدقة عند مستوى الحدبة الإسكية (Ischial Tuberosity) لتحقيق أفضل نقطة ارتكاز وسطية.
* تحديد زاوية التقوس الخارجي (Valgus): تُحسب باستخدام معادلة دقيقة: زاوية هبوط الحوض أثناء الوقوف على ساق واحدة + 15 درجة تصحيح زائد.
* تحديد الإزاحة (Translation): يتم إزاحة الجزء البعيد من العظم بمقدار نصف سمك العظم نحو الداخل لضمان التلامس العظمي المناسب والمحاذاة الميكانيكية.
تخطيط القطع العظمي البعيد (السفلي):
* رسم المحور الميكانيكي القريب الجديد (New PMA): خط عمودي على الخط الأفقي للحوض يمر عبر ثلث إلى نصف المسافة الجانبية للحافة الأنسية للجزء القريب.
* رسم المحور الميكانيكي البعيد (DMA): امتداد لخط المحور الميكانيكي لعظم الساق.
* تحديد مركز دوران التشوه البعيد (Distal CORA): نقطة تقاطع الخطين PMA الجديد و DMA هي المستوى الدقيق للقطع العظمي الثاني.
* تطبيق قواعد القطع العظمي: إذا كان مستوى التقاطع مرتفعًا جدًا، يمكن تحريك القطع العظمي للأسفل، ولكن يجب تعويض ذلك بإزاحة العظم نحو الداخل جنبًا إلى جنب مع التقوس الداخلي (Varus) لاستعادة المحور الميكانيكي، وفقًا لقاعدة بالي الثانية للقطع العظمي.
تُعد هذه الدقة في التخطيط هي ما يميز جراحة دعم الحوض العظمية، وتضمن أن كل خطوة يتم اتخاذها تهدف إلى استعادة الوظيفة الطبيعية وتقليل المضاعفات. يُشرف الأستاذ الدكتور محمد هطيف شخصيًا على كل مرحلة من مراحل التشخيص والتخطيط لضمان أعلى مستويات الرعاية للمرضى في صنعاء.
العلاج: جراحة دعم الحوض العظمية المزدوجة (Ilizarov/Paley PSO)
تُمثل جراحة دعم الحوض العظمية المزدوجة، التي طورتها طرق إليزاروف وبالي، ثورة في علاج تشوهات الورك المعقدة. لقد تطورت هذه الجراحة بشكل كبير لتتغلب على عيوب الإجراءات المبكرة.
تطور جراحة دعم الحوض العظمية
في النصف الأول من القرن العشرين، حاول رواد مثل هاس (1951) وميلش (1941) أنواعًا مختلفة من جراحات دعم الحوض العظمية. كان المنطق الأصلي بسيطًا: إذا كان الورك مخلوعًا وغير مستقر، قم بتقويس الجزء القريب من عظم الفخذ بشكل كبير نحو الخارج (تقوس خارجي شديد) بحيث يستقر على الحوض، مما يوفر دعامة عظمية لدعم وزن جسم المريض.
ومع ذلك، كانت هذه القطوع العظمية أحادية المستوى المبكرة معيبة بشكل أساسي. فبينما وفرت بعض الدعم للحوض، إلا أنها خلقت مشكلات ثانوية ضخمة:
1. تقوس خارجي شديد في الركبة: أدى التقوس الخارجي الشديد لعظم الفخذ القريب إلى تحويل المحور الميكانيكي بشكل كبير إلى الجانب الوحشي لمفصل الركبة.
2. تفاقم قصر الطرف: أدى التقوس إلى زيادة قصر الطرف الذي كان بالفعل قصيرًا.
مع ظهور جراحة استبدال مفصل الورك الكلي (THA)، تم التخلي عن هذه القطوع العظمية إلى حد كبير. ومع ذلك، فإن استبدال مفصل الورك الكلي ليس خيارًا قابلاً للتطبيق للمرضى الشباب الذين يعانون من التهاب مفصل الورك القيحي في الطفولة، أو الالتهابات النشطة، أو الشلل العصبي العضلي الشديد.
تعديل إليزاروف: الحل المزدوج المستوى
أشعلت طريقة إليزاروف اهتمامًا متجددًا بجراحة دعم الحوض العظمية من خلال حل العيوب الحرجة لإجراء ميلش. أحدث إليزاروف ثورة في المفهوم من خلال إدخال تعديلين رئيسيين:
1. التصحيح ثلاثي الأبعاد: لم يأخذ في الاعتبار المستوى الأمامي (الإكليلي) فقط، بل أيضًا المستويين السهمي والمحوري.
2. القطع العظمي الثاني (البعيد): أضاف إليزاروف قطعًا عظميًا ثانيًا، يقع بعيدًا عن الأول. الغرض الوحيد من هذا القطع العظمي البعيد هو إعادة محاذاة المحور الميكانيكي (علاج التقوس الخارجي للركبة) ومساواة طول الطرف من خلال إطالة العظم بالشد التدريجي.
لا يزال هذا النهج المزدوج المستوى هو الطريقة الحاسمة، وربما الوحيدة، لتثبيت الورك المصاب بالتهاب قيحي عند حديثي الولادة دون اللجوء إلى دمج المفصل.
الميكانيكا الحيوية لمشية ترندلنبرغ وكيف تعالجها PSO
لفهم سبب نجاح جراحة دعم الحوض العظمية، يجب إتقان الميكانيكا الحيوية لآلية عضلات الورك المبعدة.
يعمل مفصل الورك كنظام رافعة من الفئة الأولى أثناء الوقوف على ساق واحدة. نقطة الارتكاز هي رأس الفخذ المستقرة في الحُق. الحمولة هي وزن الجسم الذي يعمل عبر مركز الثقل (أنسي للورك). الجهد يتولد بواسطة عضلات الورك المبعدة (العضلة الألوية الوسطى والصغرى) التي تسحب المدور الكبير.
تحدث مشية ترندلنبرغ عندما يهبط الحوض على الجانب المقابل (غير المدعوم) أثناء الوقوف على ساق واحدة. يحدث هذا لأن العضلات المبعدة غير قادرة على توليد قوة كافية لمواجهة وزن الجسم. يمكن أن يكون هذا الفشل بسبب:
1. ضعف العضلات (مثل شلل الأطفال).
2. قصر ذراع الرافعة (مثل حالة الورك الأفحج).
3. فقدان نقطة الارتكاز (مثل غياب رأس الفخذ من العدوى أو الخلع).
عندما يهبط الحوض، فإن الحركة النسبية لعظم الفخذ بالنسبة للحوض هي حركة التقريب.
المنطق وراء القطع العظمي القريب بتقوس خارجي (Valgus)
تكمن عبقرية جراحة دعم الحوض العظمية في أنها تستخدم عمدًا كل التقريب المتاح لمفصل الورك.
إذا كان الورك لا يستطيع التقريب، فإن الحوض لا يستطيع الهبوط.
يتم تحقيق هذا القفل الميكانيكي عن طريق إجراء قطع عظمي قريب في عظم الفخذ بتقوس خارجي شديد – وهو مقدار يساوي أقصى مدى حركة تقريب للورك.
* شد العضلات المبعدة: يؤدي القطع العظمي بتقوس خارجي إلى تقريب الجزء القريب من عظم الفخذ إلى أقصى حد. يدفع هذا الإجراء المدور الكبير إلى الأسفل والجانب، مما يشد بشكل كبير عضلات الورك المبعدة المرتخية ويعيد طولها وذراع الرافعة الخاص بها.
* إزاحة نقطة الارتكاز للداخل: كلما كان القطع العظمي القريب أكثر بعدًا (مثاليًا عند مستوى الحدبة الإسكية)، كلما أصبحت نقطة الارتكاز الجديدة لعظم الفخذ على الحوض أقرب إلى خط الوسط. هذا الإزاحة الأنسية تقصر ذراع رافعة وزن الجسم، مما يزيد من الميزة الميكانيكية للعضلات المبعدة.
التصحيح ثلاثي الأبعاد: المستويات الأمامي، السهمي، والمحوري
يتطلب نجاح جراحة دعم الحوض العظمية اهتمامًا دقيقًا بجميع المستويات الثلاثة للتشوه في موقع القطع العظمي القريب.
1. المستوى الأمامي (التقوس الخارجي Valgus)
يتم تحديد مقدار التقوس الخارجي المطلوب من خلال قياسين حاسمين قبل الجراحة:
1. أقصى تقريب سلبي: يتم قياسه على صورة أشعة سينية للمريض مستلقيًا مع تقاطع الساق المصابة فوق الفخذ المقابل إلى أقصى حد.
2. زاوية هبوط الحوض عند الوقوف على ساق واحدة: يتم قياسها على صورة
آلام الورك المبرحة ليس قدراً محتوماً! التشخيص الدقيق والعلاج المتخصص يمكن أن يعيد لك كامل وظيفتك وحريتك في الحركة بدون ألم.
للحصول على استشارة دقيقة وخطة علاجية مخصصة لحالتك، تواصل فوراً مع مركز الأستاذ الدكتور محمد هطيف:
الأستاذ الدكتور محمد هطيف - أفضل دكتور عظام في صنعاء، وخبير في جراحات استبدال مفصل الورك والمراجعة المعقدة.
مواضيع أخرى قد تهمك