تصحيح تشوهات العظام وتطويلها: خبرة الأستاذ الدكتور محمد هطيف في صنعاء

الخلاصة الطبية
تصحيح تشوهات العظام وتطويلها هو إجراء جراحي يعالج اختلالات محاذاة العظام وتفاوت أطوال الأطراف، مما يحسن الوظيفة ويقلل الألم. يقدم الأستاذ الدكتور محمد هطيف في صنعاء أحدث التقنيات الجراحية باستخدام التثبيت الداخلي والخارجي لضمان أفضل النتائج للمرضى.
الخلاصة الطبية السريعة: تصحيح تشوهات العظام وتطويلها هو إجراء جراحي يعالج اختلالات محاذاة العظام وتفاوت أطوال الأطراف، مما يحسن الوظيفة ويقلل الألم. يقدم الأستاذ الدكتور محمد هطيف في صنعاء أحدث التقنيات الجراحية باستخدام التثبيت الداخلي والخارجي لضمان أفضل النتائج للمرضى.
مقدمة في تصحيح تشوهات العظام وتطويلها
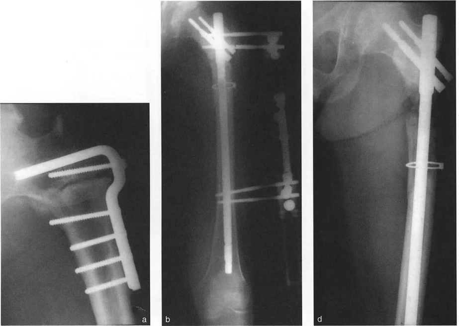
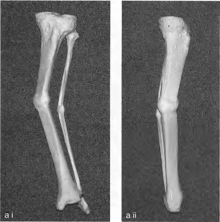
تُعد تشوهات العظام وتفاوت أطوال الأطراف من المشكلات الصحية التي قد تؤثر بشكل كبير على جودة حياة الأفراد، مسببة الألم، وصعوبة في الحركة، وحتى مشكلات نفسية. تتراوح هذه التشوهات من الانحرافات البسيطة إلى الح

























آلام العظام والمفاصل المزمنة ليس قدراً محتوماً! التشخيص الدقيق والعلاج المتخصص يمكن أن يعيد لك كامل وظيفتك وحريتك في الحركة بدون ألم.
للحصول على استشارة دقيقة وخطة علاجية مخصصة لحالتك، تواصل فوراً مع مركز الأستاذ الدكتور محمد هطيف:
الأستاذ الدكتور محمد هطيف - أفضل دكتور عظام في صنعاء، وخبير في جراحات العظام والمفاصل المتقدمة.
مواضيع أخرى قد تهمك