English
جزء من الدليل الشامل

تصحيح تشوهات الأطراف السفلية بقطع العظم: دليل مبادئ بالي الشامل

تصحيح تشوهات العظام المتقدمة: دليل شامل لخيارات الجراحة والعلاج من الأستاذ الدكتور محمد هطيف

07 إبريل 2026 12 دقيقة قراءة 1 مشاهدة
تصحيح تشوهات العظام المتقدمة: دليل شامل لخيارات الجراحة والعلاج من الأستاذ الدكتور محمد هطيف

الخلاصة الطبية

تصحيح تشوهات العظام هو تخصص دقيق يعيد المحور الميكانيكي الطبيعي للأطراف عبر جراحات دقيقة مثل قطع العظم الإغلاقي أو الفاتح، باستخدام أدوات تثبيت متقدمة لتحقيق الشفاء الأمثل واستعادة الوظيفة والحركة الطبيعية للمريض.

الخلاصة الطبية السريعة: تصحيح تشوهات العظام هو تخصص دقيق يعيد المحور الميكانيكي الطبيعي للأطراف عبر جراحات دقيقة مثل قطع العظم الإغلاقي أو الفاتح، باستخدام أدوات تثبيت متقدمة لتحقيق الشفاء الأمثل واستعادة الوظيفة والحركة الطبيعية للمريض.

مقدمة في تصحيح تشوهات العظام

تُعد تشوهات العظام من الحالات الطبية التي تؤثر بشكل كبير على جودة حياة المرضى، فهي لا تقتصر على مجرد تغيير في شكل الطرف، بل تمتد لتؤثر على وظيفة المفصل، وتسبب الألم، وتحد من القدرة على الحركة والمشاركة في الأنشطة اليومية. إن تصحيح تشوهات العظام هو تخصص دقيق للغاية ضمن جراحة العظام، يعتمد على فهم عميق للميكانيكا الحيوية للجسم، والهندسة الفراغية للعظام والمفاصل، بالإضافة إلى آليات الشفاء البيولوجي للأنسجة.

الهدف الأساسي لأي عملية تصحيح تشوه هو استعادة المحور الميكانيكي الطبيعي للطرف، وضمان توجيه المفصل بشكل صحيح، والحفاظ على طول الطرف أو تحسينه. يتطلب تحقيق هذه الأهداف تخطيطًا دقيقًا للغاية قبل الجراحة وتنفيذًا جراحيًا لا تشوبه شائبة. في هذا السياق، تبرز خبرة الأستاذ الدكتور محمد هطيف، استشاري جراحة العظام والعمود الفقري في صنعاء، كمرجع أساسي في هذا المجال، حيث يطبق أحدث التقنيات والمبادئ العلمية لضمان أفضل النتائج لمرضاه.

تتضمن هذه العملية الجراحية اتخاذ قرارات حاسمة بشأن نوع قطع العظم الذي سيتم إجراؤه – مثل قطع العظم الإغلاقي، أو الفاتح، أو المحايد – واختيار أدوات التثبيت المناسبة. إن التفاعل بين قطع العظم، والأنسجة الرخوة المحيطة (مثل السمحاق واللفافة والعضلات)، وهيكل التثبيت، هو ما يحدد الاستقرار الميكانيكي والبيئة البيولوجية لالتئام العظم. يستكشف هذا الدليل الشامل التفاصيل المعقدة لاعتبارات أدوات التثبيت وقطع العظم، مستندًا إلى المبادئ التأسيسية لتصحيح التشوهات التي وضعها الرواد في هذا المجال، وبتطبيق الأستاذ الدكتور محمد هطيف لهذه المبادئ المتقدمة في ممارسته السريرية.

ما هي تشوهات العظام ولماذا تحتاج للتصحيح؟

تشوهات العظام هي انحرافات عن الشكل الطبيعي أو المحور الطبيعي للعظم أو المفصل. يمكن أن تكون هذه التشوهات خلقية (موجودة منذ الولادة)، أو مكتسبة نتيجة لإصابات، أو أمراض، أو اضطرابات في النمو. تشمل الأمثلة الشائعة تقوس الساقين (الركبة الروحاء أو الركبة الفحجاء)، أو انحرافات في عظام الفخذ أو الساق.

تتطلب هذه التشوهات التصحيح لعدة أسباب:
* تخفيف الألم: غالبًا ما تسبب التشوهات توزيعًا غير طبيعي للضغط على المفاصل، مما يؤدي إلى الألم المزمن والتهاب المفاصل المبكر.
* تحسين الوظيفة والحركة: يمكن أن تحد التشوهات من نطاق حركة المفصل وتجعل المشي أو الوقوف صعبًا.
* استعادة المظهر الطبيعي: يساعد التصحيح في استعادة شكل الطرف، مما يعزز الثقة بالنفس ويحسن نوعية الحياة.
* منع المضاعفات المستقبلية: يمكن أن يؤدي ترك التشوهات دون علاج إلى تفاقم الحالة وتطور مشاكل صحية أكثر خطورة على المدى الطويل.

أهمية الخبرة الجراحية في جراحة العظام

تتطلب جراحات تصحيح تشوهات العظام مستوى عالٍ من الخبرة والدقة. فالتخطيط الجراحي المعقد، والتنفيذ الدقيق للقطع العظمي، واختيار أدوات التثبيت المناسبة، كلها عوامل حاسمة لنجاح العملية. بفضل سنوات خبرته الواسعة وتدريبه المتخصص، يُعد الأستاذ الدكتور محمد هطيف في صنعاء، من أبرز الجراحين في هذا المجال، حيث يجمع بين المعرفة الأكاديمية العميقة والمهارة الجراحية الفائقة لتقديم رعاية متميزة لمرضاه. إن التزامه بأحدث الممارسات والتقنيات يضمن للمرضى الحصول على أفضل النتائج الممكنة.

صورة توضيحية لـ تصحيح تشوهات العظام المتقدمة: دليل شامل لخيارات الجراحة والعلاج من الأستاذ الدكتور محمد هطيف

فهم تشوهات العظام: التشخيص الدقيق

قبل أن يلمس المشرط أو منشار العظم العظم، يجب على الجراح تحليل التشوه بدقة باستخدام صور الأشعة السينية الكاملة للطرف مع تحمل الوزن. تعتمد مرحلة التخطيط على مبادئ هندسية صارمة تحدد مكان قطع العظم وكيفية إعادة محاذاته. هذا التخطيط الدقيق هو أساس نجاح عملية تصحيح تشوهات العظام.

المحور الميكانيكي للطرف والانحرافات

يُعرف المحور الميكانيكي للطرف السفلي بأنه خط وهمي يمتد من مركز رأس عظم الفخذ إلى مركز مفصل الكاحل. في الطرف الطبيعي، يمر هذا الخط قليلاً إلى الجانب الإنسي لمركز مفصل الركبة (حوالي 8 مم إنسيًا). يحدث انحراف المحور الميكانيكي عندما يقع هذا الخط خارج المعايير الطبيعية، مما يؤدي إلى توزيع غير طبيعي للضغط عبر مفصل الركبة. يُعد تصحيح هذا الانحراف الهدف الوظيفي الأساسي لجراحة إعادة محاذاة الطرف السفلي.

مركز دوران الزاوية (CORA) حجر الزاوية في التخطيط

يُعد مركز دوران الزاوية (CORA) حجر الزاوية في تحليل التشوهات الحديثة. وهو يُعرّف بأنه نقطة تقاطع المحور التشريحي أو الميكانيكي القريب مع المحور التشريحي أو الميكانيكي البعيد للعظم المشوه.

يُعد تحديد مركز دوران الزاوية أمرًا بالغ الأهمية لأنه يحدد المستوى الأمثل لقطع العظم ومحور تصحيح الزاوية (ACA). محور تصحيح الزاوية هو نقطة الارتكاز التي يدور حولها الجزء العظمي البعيد لتصحيح التشوه الزاوي. تشكل العلاقة بين مركز دوران الزاوية ومستوى قطع العظم ومحور تصحيح الزاوية أساس القواعد الثلاث الأساسية لقطع العظم.

زوايا توجيه المفصل ودورها في التقييم

لتقييم التشوه بدقة، يعتمد الجراحون على زوايا توجيه المفصل القياسية. تقيس هذه الزوايا العلاقة بين المحاور التشريحية أو الميكانيكية للعظام الطويلة وخطوط المفاصل الخاصة بها.
* الزاوية الفخذية الأنسية البعيدة الميكانيكية (mLDFA): تتراوح الزاوية الطبيعية من 85 درجة إلى 90 درجة (بمتوسط 87 درجة). تشير الزاوية الأكبر من 90 درجة إلى تشوه فحجي في الجزء البعيد من عظم الفخذ، بينما تشير الزاوية الأقل من 85 درجة إلى تشوه روحاء.
* الزاوية الظنبوبية القريبة الأنسية (MPTA): تتراوح الزاوية الطبيعية من 85 درجة إلى 90 درجة (بمتوسط 87 درجة). تشير الانحرافات هنا إلى تشوه فحجي أو روحاء في الجزء القريب من عظم الظنبوب.
* الزاوية الفخذية الخلفية البعيدة (PDFA): تُستخدم في المستوى السهمي، وتكون الزاوية الطبيعية عادةً حوالي 83 درجة. تشير الانحرافات إلى تشوهات تقوس أمامي أو خلفي.

صورة توضيحية لـ تصحيح تشوهات العظام المتقدمة: دليل شامل لخيارات الجراحة والعلاج من الأستاذ الدكتور محمد هطيف

الأسباب الشائعة لتشوهات العظام

تتعدد الأسباب التي تؤدي إلى تطور تشوهات العظام، ويمكن تقسيمها إلى عدة فئات رئيسية:

أسباب خلقية ووراثية

تولد بعض التشوهات مع الطفل، وتكون ناتجة عن عوامل وراثية أو مشاكل حدثت أثناء التطور الجنيني. من الأمثلة على ذلك:
* القدم الحنفاء: حيث تكون القدم ملتوية للداخل أو للأسفل.
* خلع الورك الخلقي: حيث لا يتطور مفصل الورك بشكل صحيح.
* بعض أنواع تقوس الساقين: التي تظهر منذ الولادة وتتطلب تدخلًا مبكرًا.

إصابات الرضوض والحوادث

يمكن أن تؤدي الكسور الشديدة أو الإصابات التي تؤثر على صفائح النمو (الغضاريف المسؤولة عن نمو العظام في الأطفال) إلى تشوهات إذا لم يتم علاجها بشكل صحيح أو إذا حدث التئام غير سليم.
* الكسور المعقدة: خاصة تلك التي تؤثر على المفاصل.
* إصابات صفائح النمو: يمكن أن تؤدي إلى توقف النمو في جانب واحد من العظم، مما يسبب انحرافًا.

الأمراض المزمنة واضطرابات النمو

تؤثر بعض الأمراض المزمنة واضطرابات النمو على العظام وتسبب تشوهاتها بمرور الوقت:
* الكساح (نقص فيتامين د): يؤدي إلى ضعف العظام وتقوسها.
* مرض باجيت: اضطراب يؤثر على عملية إعادة تشكيل العظام.
* التهاب المفاصل: يمكن أن يؤدي إلى تآكل المفاصل وتغير شكلها.
* العدوى المزمنة في العظام (التهاب العظم والنقي): قد تؤثر على بنية العظم ونموه.

الأعراض التي قد تشير إلى تشوه في العظام

يمكن أن تتراوح أعراض تشوهات العظام من خفيفة إلى شديدة، وتعتمد على نوع التشوه وموقعه وشدته. من المهم الانتباه لهذه الأعراض وطلب المشورة الطبية من متخصص مثل الأستاذ الدكتور محمد هطيف في صنعاء، عند ظهورها:

الألم وصعوبة الحركة

يُعد الألم أحد أكثر الأعراض شيوعًا، وينتج عن توزيع الضغط غير المتوازن على المفاصل والأنسجة المحيطة. قد يزداد الألم مع النشاط ويقل مع الراحة. يمكن أن تؤثر التشوهات أيضًا على نطاق حركة المفصل، مما يجعل من الصعب ثني أو فرد الطرف بشكل كامل.

اختلاف طول الأطراف والعرج

في بعض الحالات، يمكن أن تسبب التشوهات اختلافًا ملحوظًا في طول الطرفين، مما يؤدي إلى العرج (المشي غير المتوازن). قد يلاحظ المريض أو الأهل أن أحد الساقين أقصر من الأخرى، مما يؤثر على طريقة المشي ويسبب إجهادًا إضافيًا للظهر والورك.

التغيرات المرئية في شكل الطرف

هذه هي الأعراض الأكثر وضوحًا، حيث يمكن رؤية التشوه بالعين المجردة. قد تشمل:
* تقوس الساقين للداخل (الركبة الروحاء) أو للخارج (الركبة الفحجاء).
* انحناء غير طبيعي في عظم الفخذ أو الساق.
* التواء في الطرف.
* مفاصل تبدو أكبر أو مشوهة.

يمكن أن تؤثر هذه التغيرات على المظهر الجمالي للطرف وتسبب ضيقًا نفسيًّا للمريض، بالإضافة إلى تأثيرها الوظيفي.

التخطيط المسبق للجراحة: خارطة طريق الشفاء

قبل إجراء أي عملية جراحية لتصحيح تشوهات العظام، يتبع الأستاذ الدكتور محمد هطيف منهجًا صارمًا ودقيقًا للتخطيط، يضمن أفضل النتائج ويقلل من المخاطر.

الأشعة السينية المحورية وتصوير الأطراف

يبدأ التخطيط بإجراء مجموعة شاملة من صور الأشعة السينية المحورية للطرف بالكامل أثناء تحمل الوزن. تسمح هذه الصور بتقييم دقيق للمحور الميكانيكي للطرف، وتحديد مدى الانحرافات الزاوية، وتحديد موقع مركز دوران الزاوية (CORA) بدقة متناهية. قد يتم أيضًا استخدام التصوير المقطعي المحوسب (CT) أو الرنين المغناطيسي (MRI) لتقييم الأنسجة الرخوة أو التشوهات المعقدة ثلاثية الأبعاد.

التخطيط الهندسي الدقيق للعملية

باستخدام برامج حاسوبية متخصصة أو قوالب ورقية، يتم رسم المحاور وتحديد الزوايا بدقة فائقة على صور الأشعة. يحدد هذا التخطيط:
* الموقع الأمثل لقطع العظم: لضمان تصحيح التشوه دون إحداث تشوهات ثانوية.
* مقدار التصحيح المطلوب: سواء كان ذلك بزاوية معينة أو مقدار معين من الترجمة (الإزاحة).
* نوع قطع العظم: إغلاقي أو فاتح، بناءً على الحاجة إلى تقصير أو إطالة الطرف.
* اختيار أدوات التثبيت: الصفائح والمسامير، المسامير النخاعية، أو المثبتات الخارجية.

دور الأستاذ الدكتور محمد هطيف في التخطيط الجراحي

يُعد التخطيط الجراحي مرحلة حرجة تتطلب خبرة واسعة وفهمًا عميقًا للمبادئ الهندسية والبيولوجية. يمتلك الأستاذ الدكتور محمد هطيف في صنعاء، مهارات استثنائية في تحليل التشوهات المعقدة وتصميم خطط جراحية مخصصة لكل مريض. يعتمد على أحدث التقنيات والبرمجيات لضمان دقة التخطيط، مما يقلل من احتمالية الأخطاء ويحسن من فرص نجاح العملية وشفاء المريض.

العلاج: خيارات الجراحة المتقدمة لتصحيح تشوهات العظام

تتنوع الخيارات الجراحية لتصحيح تشوهات العظام، ويتم اختيار الطريقة الأنسب بناءً على نوع التشوه وموقعه وشدته، بالإضافة إلى الحالة الصحية العامة للمريض وأهدافه العلاجية. يعتمد الأستاذ الدكتور محمد هطيف على مجموعة واسعة من التقنيات المتقدمة لضمان أفضل النتائج.

جراحة قطع العظم الإغلاقي (Closing Wedge Osteotomy)

تتضمن جراحة قطع العظم الإغلاقي إزالة قطعة عظمية على شكل إسفين من قمة (الجانب المحدب) التشوه. ثم يتم إغلاق الفجوة، مما يؤدي إلى تقريب أطراف العظم من بعضها البعض.

المزايا والعيوب

الميزة الأساسية لقطع العظم الإغلاقي هي الاستقرار الجوهري العالي. نظرًا لأن أطراف العظم تُضغط مباشرة على بعضها البعض، فإن الهيكل يشارك الحمل الميكانيكي مع أدوات التثبيت، مما يسمح بالتئام أولي سريع للعظم. علاوة على ذلك، فإنه يتجنب الحاجة إلى ترقيع عظمي هيكلي.

ومع ذلك، فإن العيب الرئيسي هو تقصير الطرف. فإزالة إسفين من العظم يؤدي حتمًا إلى تقصير الطرف. لذلك، يُمنع عمومًا استخدام قطع العظم الإغلاقي في المرضى الذين يعانون بالفعل من تفاوت وظيفي كبير في طول الساق في الجانب المصاب.

تقنيات التنفيذ الدقيقة

تحدد درجة الزاوية مقدار حجم الإسفين. إذا تم اتباع القاعدة الجراحية الأولى (حيث يمر قطع العظم ومحور تصحيح الزاوية عبر مركز دوران الزاوية)، تُترك القشرة المقعرة سليمة. أثناء إغلاق الإسفين، تخضع هذه القشرة السليمة لتشوه بلاستيكي أو تتشقق، وتعمل كمفصل بيولوجي حي.

الصعوبة التقنية الأكثر شيوعًا أثناء قطع العظم الإغلاقي هي منع إدخال تشوه في مستوى آخر (على سبيل المثال، إحداث انثناء/انبساط عن غير قصد أثناء محاولة تصحيح تشوه فحجي/روحاء). تنشأ هذه المضاعفة من قطع جانبي الإسفين الإغلاقي بطريقة غير متوازية أو غير متماثلة. إذا لم تكن القطوع متوازية تمامًا على طول المحور المخطط له، فإن إغلاق الإسفين سيجبر العظم على تشوه زاوي ثانوي لمجرد الحفاظ على التلامس القشري.

بدلاً من ذلك، إذا أجبر الجراح العظم على البقاء في المستوى الصحيح على الرغم من القطوع غير المتماثلة، فلن تتناسب أطراف العظم بشكل متساوٍ، مما يؤدي إلى تلامس نقطي بدلاً من تلامس مساحات واسعة. وهذا يقلل بشكل كبير من الاستقرار ويزيد من خطر تأخر الالتئام أو عدم الالتئام.

إدارة الترجمة الجانبية في قطع العظم الإغلاقي

إذا كان خط قطع العظم يحتاج إلى ترجمة (إزاحة جانبية) - باتباع القاعدة الجراحية الثانية - فلا يمكن أن تبقى القشرة المقعرة سليمة؛ يجب قطعها بالكامل للسماح لأطراف العظم بالانزياح.

عندما تكون الترجمة مطلوبة جنبًا إلى جنب مع تصحيح قطع العظم الإغلاقي، يصبح تشريح الأنسجة الرخوة الإضافي ضروريًا. يجب رفع السمحاق على الجانب المقعر وتحريره بعناية. إذا ظل السمحاق متصلًا، فسيعمل كشريط شد، مما يمنع أطراف العظم من التحرك بالنسبة لبعضها البعض دون تمزيق الأنسجة بشكل غير متحكم فيه.

الترتيب الحرج للتصحيح: يُعد ترتيب تنفيذ التصحيح أمرًا بالغ الأهمية. في حالة قطع العظم الإغلاقي الحاد مع الترجمة، يجب على الجراح إجراء الترجمة أولاً، ثم التصحيح الزاوي. إذا تم إجراء التصحيح الزاوي أولاً، فإن غلاف الأنسجة الرخوة يشد، وتتثبت نقاط مفصل العظم معًا. يصبح من المستحيل تقنيًا تحريك (ترجمة) أطراف العظم ضد الاحتكاك الهائل وشد الأنسجة الرخوة. على العكس من ذلك، إذا تم إجراء الترجمة أولاً - بينما لا يزال الإسفين مفتوحًا وهناك الحد الأدنى من تلامس العظم - تتحرك أطراف العظم بسهولة. بمجرد ترجمتها، يتم إغلاق الإسفين لإكمال التصحيح الزاوي.

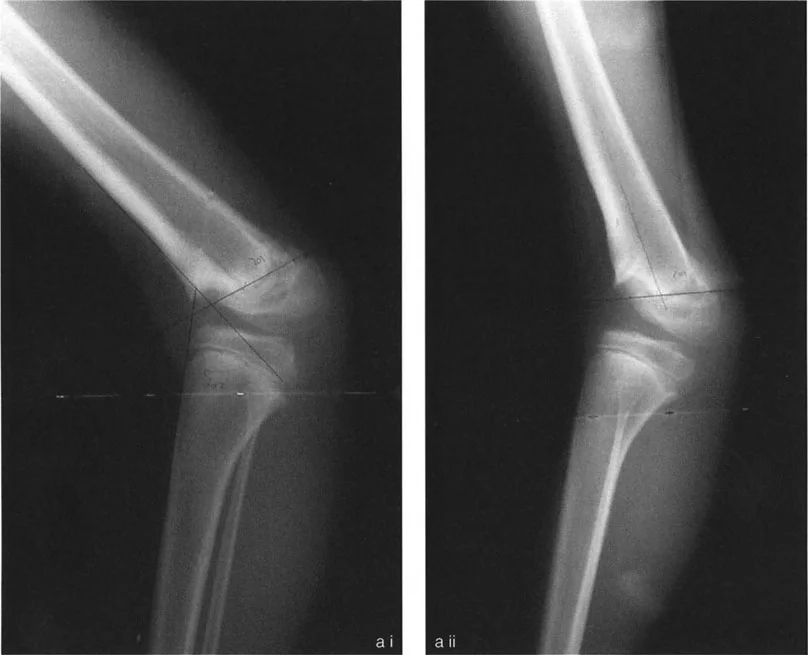
دراسة حالة سريرية: انحراف الركبة الخلفي (Recurvatum)

لنأخذ مثالًا سريريًا لتشوه الركبة الخلفي (recurvatum) في الجزء البعيد من عظم الفخذ. يتطلب تشوه الركبة الخلفي (وهو تشوه في المستوى السهمي حيث تفرط الركبة في التمدد) تصحيحًا دقيقًا لاستعادة حركة الركبة الطبيعية.

صورة توضح تشوه الركبة الخلفي في عظم الفخذ مع زاوية فخذية خلفية بعيدة غير طبيعية (PDFA = 108°). يظهر المريض انكماشًا في آلية العضلة الرباعية. يقع مركز دوران الزاوية (CORA) عند تقاطع القشرة الأمامية وصفيحة النمو.
صورة توضح تشوه الركبة الخلفي في عظم الفخذ مع زاوية فخذية خلفية بعيدة غير طبيعية (PDFA = 108°). يظهر المريض انكماشًا في آلية العضلة الرباعية. يقع مركز دوران الزاوية (CORA) عند تقاطع القشرة الأمامية وصفيحة النمو.

في هذا السيناريو، يتم التخطيط لقطع عظم إغلاقي. بناءً على مركز دوران الزاوية (CORA)، ستعمل القشرة الأمامية كمفصل سليم.

صورة توضح إزالة إسفين عظمي بزاوية 24° مع توجيه القاعدة خلفيًا. الأهم من ذلك، تبقى القشرة الأمامية سليمة لتعمل كمحور تصحيح الزاوية (ACA).
صورة توضح إزالة إسفين عظمي بزاوية 24° مع توجيه القاعدة خلفيًا. الأهم من ذلك، تبقى القشرة الأمامية سليمة لتعمل كمحور تصحيح الزاوية (ACA).

جراحة قطع العظم الفاتح (Opening Wedge Osteotomy)

تتضمن جراحة قطع العظم الفاتح إجراء قطع واحد مستعرض أو مائل عبر العظم ثم فتح هذا القطع لتصحيح التشوه الزاوي.

دور القشرة الخارجية والمفصل الحيوي

مع قطع العظم الفاتح، يجب تحديد مركز دوران الزاوية (CORA) بدقة وعناية. إذا تم إجراء قطع العظم بالضبط عند مستوى مركز دوران الزاوية (القاعدة الأولى)، فإن القشرة المحدبة تعمل كمحور تصحيح الزاوية (ACA).

جراحيًا، غالبًا ما يكون هذا الإجراء أبسط من قطع العظم الإغلاقي لأنه يتطلب قطعًا مستقيمًا واحدًا فقط يمتد من القشرة المقعرة باتجاه القشرة المحدبة. يتوقف القطع قبل القشرة المحدبة بقليل، مع الحفاظ على شريحة رقيقة من العظم لتعمل كمفصل مرن.

تحديات التئام العظم واستراتيجيات التطعيم

العيب الرئيسي لقطع العظم الفاتح هو إنشاء فراغ عظمي. يقلل هذا التلامس المحدود للعظم بشكل كبير من خطر تأخر الالتئام، أو عدم الالتئام، أو منطقة التئام ذات مساحة مقطعية منخفضة تكون عرضة للكسر في المستقبل.

للتخفيف من هذه المخاطر، غالبًا ما يتطلب الأمر ترقيعًا عظميًا، خاصة في مناطق العظم الطويلة (حيث يكون التئام العظم أبطأ من مناطق المفاصل القريبة) وفي المرضى البالغين.
* الطعوم العظمية الذاتية الإسفنجية: يُفضل استخدام الطعوم الذاتية المجزأة (التي تُجمع غالبًا من عظم الحوض أو الجزء القريب من عظم الظنبوب) عندما توفر الصفائح الداخلية أو أجهزة التثبيت الخارجية استقرارًا صلبًا.
* الطعوم الهيكلية: إذا كان هيكل أدوات التثبيت يتطلب دعمًا ميكانيكيًا إضافيًا لمنع انهيار الإسفين، يُستخدم إسفين عظم الحوض ثلاثي القشرة أو طعم عظم الشظية.
* كشط النخاع العظمي: يُعد "كشط النخاع العظمي" مصدرًا ممتازًا وغنيًا بيولوجيًا للطعوم الذاتية. إذا تم اختيار مسمار نخاعي للتثبيت، يمكن للجراح إجراء قطع العظم الفاتح قبل كشط القناة. عندما يمر الكاشط عبر موقع قطع العظم، ستخرج الكشط العظمية المكونة للعظم بشكل طبيعي إلى فراغ قطع العظم الفاتح، مما يؤدي إلى ترقيع ذاتي فعال للفراغ.
* البيولوجيا العظمية: تلعب بدائل الطعوم العظمية، ومصفوفة العظم منزوعة المعادن (DBM)، والبروتينات المورفوجينية العظمية (BMPs) دورًا حيويًا متزايدًا في ملء هذه العيوب دون المضاعفات المرتبطة بموقع المتبرع المرتبطة بجمع الطعوم الذاتية.

طريقة الزاوية-الترجمة (a-t) لتقليل الفجوة

لتقليل فقدان تلامس العظم المتأصل في تصحيحات قطع العظم الفاتح الضخمة، قد يستخدم الجراحون طريقة الزاوية-الترجمة (a-t). بدلاً من مجرد تدوير العظم لفتحه على مفصل، تتضمن طريقة الزاوية-الترجمة إزاحة جزء من العظم بحيث يتم دفع القشرة الحادة لأحد الطرفين أو إدخالها مباشرة في القناة النخاعية للطرف الآخر.

تحول هذه التقنية الفجوة الضخمة بشكل فعال إلى هيكل مستقر ومتشابك. بينما تتطلب التضحية بالمفصل القش


آلام العظام والمفاصل المزمنة ليس قدراً محتوماً! التشخيص الدقيق والعلاج المتخصص يمكن أن يعيد لك كامل وظيفتك وحريتك في الحركة بدون ألم.

للحصول على استشارة دقيقة وخطة علاجية مخصصة لحالتك، تواصل فوراً مع مركز الأستاذ الدكتور محمد هطيف:

الأستاذ الدكتور محمد هطيف - أفضل دكتور عظام في صنعاء، وخبير في جراحات العظام والمفاصل المتقدمة.

مواضيع أخرى قد تهمك

Dr. Mohammed Hutaif
محتوى موثق طبياً بإشراف
أ.د. محمد هطيف
استشاري جراحة العظام والمفاصل والعمود الفقري
محتويات الفصل

العودة للدليل الرئيسي