تشوه خط مفصل الركبة: دليل شامل للعلاج وإعادة التأهيل مع الأستاذ الدكتور محمد هطيف

الخلاصة الطبية
تشوه خط مفصل الركبة هو انحراف في محاذاة أسطح المفصل نفسه، وليس فقط في العظام المحيطة. يعتمد علاجه على تصحيح السبب الأساسي، سواء كان فقدان غضروف أو تشوه عظمي، وقد يشمل جراحات دقيقة داخل أو خارج المفصل، بإشراف الأستاذ الدكتور محمد هطيف.
الخلاصة الطبية السريعة: تشوه خط مفصل الركبة هو انحراف في محاذاة أسطح المفصل نفسه، وليس فقط في العظام المحيطة. يعتمد علاجه على تصحيح السبب الأساسي، سواء كان فقدان غضروف أو تشوه عظمي، وقد يشمل جراحات دقيقة داخل أو خارج المفصل، بإشراف الأستاذ الدكتور محمد هطيف.
مقدمة إلى تشوه خط مفصل الركبة واختلال المحاذاة
مرحباً بكم في الدليل الشامل والمفصل حول أحد أكثر المواضيع تعقيداً ودقة في مجال تصحيح تشوهات العظام والمفاصل: تشوه خط مفصل الركبة. هذا الدليل موجه لكل من يعاني من آلام الركبة أو تشوهاتها، ولأسر المرضى الباحثين عن فهم عميق لحالة أحبائهم، وكيف يمكن لأحد أبرز خبراء جراحة العظام في المنطقة، مثل الأستاذ الدكتور محمد هطيف، أن يقدم الحلول المتطورة.
في دراسة شاملة لإعادة محاذاة الطرف السفلي، يركز العديد من الأطباء على الانحرافات في عظام الفخذ والساق، والتي تؤثر على المحور الميكانيكي العام للساق. يتم حساب زوايا معينة لتحديد مركز دوران الانحراف (CORA) بدقة. ومع ذلك، هناك مكون حاسم وغالباً ما يُساء فهمه في محاذاة الطرف السفلي يكمن مباشرة داخل المفصل نفسه: تشوه خط مفصل الركبة.
حتى وقت قريب، كان يُعزى اختلال المحاذاة عادةً إلى تشوهات في عظم الفخذ أو الساق، أو إلى ارتخاء المفاصل وخلعها بين الفخذ والساق. ولكن ماذا يحدث عندما تكون أسطح المفصل نفسها هي المصدر الأساسي للانحراف الزاوي؟ وماذا لو كانت الخريطة التي تستخدمها لتصحيح العظم تقودك مباشرة إلى الفراغ المفصلي؟
إن المصادر المتبقية لاختلال المحاذاة تنبع من فقدان العظام والغضاريف، أو خلل التنسج الخلقي والتنموي لأسطح مفصل الركبة. السبب الأكثر شيوعاً لدى البالغين هو فقدان الغضاريف غير المتماثل من الجزء الإنسي أو الوحشي للركبة، وهو أمر نموذجي في حالات التهاب المفاصل المتقدم أو التنكس ما بعد الصدمة. أما لدى الأطفال، فتسيطر حالات مثل مرض بلونت أو توقف نمو صفيحة النمو.
يهدف هذا الدليل إلى الغوص عميقاً في ميكانيكا الجسم الحي، والتخطيط قبل الجراحة، والتنفيذ الجراحي اللازم لتصحيح تشوهات خط مفصل الركبة داخل المفصل. من خلال دمج المبادئ الأساسية التي وضعها الدكتور بالي (Paley) مع تقنيات قطع العظم المتقدمة داخل المفصل، سيتحول هذا الدليل إلى مصدر لا غنى عنه لفهم كيفية الحفاظ على المفصل وإعادة محاذاة التشوهات المعقدة. يُعد الأستاذ الدكتور محمد هطيف، بخبرته الواسعة وتطبيقه لأحدث التقنيات العالمية، المرجع الأول في صنعاء والمنطقة لعلاج هذه الحالات المعقدة، مقدماً للمرضى أفضل فرص الشفاء والعودة إلى حياة طبيعية.

التشريح ووظيفة مفصل الركبة
لفهم تشوه خط مفصل الركبة، يجب علينا أولاً إتقان بيوميكانيكا الزاوية التوافقية لخط المفصل (JLCA). هذه الزاوية هي حجر الزاوية في تحليل التشوهات داخل المفصل.
في الركبة الطبيعية والصحية، يكون خط المفصل لعظم الفخذ البعيد (المرسوم عبر أبعد النقاط الإنسية والوحشية للقمم الفخذية) وخط المفصل لعظم الساق القريب (المرسوم عبر الهضبتين الظنبوبيتين الإنسية والوحشية) متوازيين تقريباً. ينتج عن هذه العلاقة المتوازية فراغ مفصلي متطابق تماماً يوزع الحمل بالتساوي عبر الغضروف المفصلي أثناء دورة المشي. تتراوح الزاوية التوافقية لخط المفصل الطبيعية عادةً بين 0 و 2 درجة.

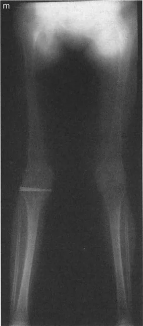
عندما يفقد الغضروف بشكل غير متماثل - كما هو الحال في التهاب المفاصل الكلاسيكي في الجزء الإنسي من الركبة - أو عندما تنخفض الهضبة الظنبوبية جسدياً بسبب صدمة عالية الطاقة أو مرض نمائي، تفقد هذه الخطوط المفصلية علاقتها المتوازية. التأثير البيوميكانيكي هو زيادة مرضية في الزاوية التوافقية لخط المفصل. كلما زادت هذه الزاوية، تتضاعف قوى القص عبر المفصل، مما يسرع المزيد من تدهور الغضروف ويزيد من انحراف المحور الميكانيكي.
التحدي التشخيصي فقدان الغضروف مقابل ارتخاء الأربطة
تعد الزاوية التوافقية لخط المفصل المتزايدة على صورة الأشعة السينية الأمامية الخلفية (AP) التي تحمل الوزن تحدياً تشخيصياً عميقاً لجراح العظام. عندما تنظر إلى صورة أشعة سينية تظهر تضيقاً في الفراغ المفصلي على جانب واحد وانحرافاً زاوياً، يجب أن تسأل نفسك: هل هذا التضيق في الفراغ المفصلي ناتج عن فقدان حقيقي للغضروف والعظم، أم أن المفصل "ينفتح" ببساطة على الجانب المقابل بسبب ارتخاء الأربطة الجانبية؟
على الرغم من أن فقدان الغضروف وارتخاء الأربطة غالباً ما يتواجدان معاً (على سبيل المثال، الركبة المتقوسة الشديدة غالباً ما تظهر مع فقدان الغضروف الإنسي وتمدد الرباط الجانبي الوحشي في نفس الوقت)، إلا أنه يجب التمييز بينهما بدقة خلال مرحلة التخطيط قبل الجراحة.
المعيار الذهبي للتقييم أشعة الإجهاد.
لا تكفي الأفلام القياسية التي تحمل الوزن لهذا التمييز. يجب تقييم كلا مصدري الزاوية التوافقية لخط المفصل المتزايدة عن طريق أشعة الإجهاد التقوسية (varus) والوحشية (valgus)، ويفضل إجراؤها تحت التنظير الفلوري.
- الحد الأدنى للفراغ الغضروفي: يُقاس هذا على جانب التشوه تحت ضغط الانضغاط (على سبيل المثال، تطبيق إجهاد وحشي على ركبة متقوسة لضغط الجانب الوحشي، أو إجهاد تقوسي لضغط الجانب الإنسي). يكشف هذا عن الارتفاع الحقيقي المتبقي للغضروف.
- الحد الأقصى للفراغ الغضروفي: يُقاس هذا تحت إجهاد الشد لتقييم كفاءة الأربطة. إذا انفتح الفراغ المفصلي بشكل مفرط تحت الشد، فإن ارتخاء الأربطة هو عامل مساهم في انحراف المحور الميكانيكي.

إذا تم تحديد زيادة في الزاوية التوافقية لخط المفصل بشكل قاطع على أنها ناتجة عن فقدان ارتفاع الغضروف أو انخفاض العظم الفعلي (وليس مجرد رباط رخو غير كفء)، فيجب دمج هذا المكون المحدد من الانحراف في الحجم الكلي للتصحيح الزاوي.
هذا خطأ شائع يقع فيه الجراحون المبتدئون. سيؤدي الفشل في أخذ هذا الانحراف داخل المفصل في الاعتبار إلى تصحيح ناقص للمحور الميكانيكي أثناء قطع العظم القياسي خارج المفصل (مثل قطع العظم الظنبوبي العلوي أو قطع العظم الفخذي السفلي). قد تصحح العظم، لكن المريض سيظل يمشي مع انحراف في المحور الميكانيكي لأن المفصل نفسه منحرف. بفضل خبرة الأستاذ الدكتور محمد هطيف، يتم تجنب هذه الأخطاء الشائعة من خلال التقييم الدقيق والتخطيط الشامل لكل حالة.
التخطيط حول زاوية توافقية غير طبيعية لخط المفصل
عند التخطيط لإعادة محاذاة عظم الساق في الحالات التي تتضمن زاوية توافقية لخط المفصل متزايدة بسبب تضيق الفراغ المفصلي، يمكن أن تصبح حسابات الزاوية الظنبوبية القريبة الإنسية الميكانيكية (mMPTA) مشوهة إذا اعتمدت فقط على السطح المفصلي الظنبوبي المشوه. أنت بحاجة إلى خط مرجعي أفقي موثوق به.
قاعدة بالي لاستبدال خط المفصل:
* إذا كان خط المفصل الظنبوبي مشوهاً (على سبيل المثال، انخفاض شديد في الهضبة) ولكن عظم الفخذ طبيعي تماماً، يمكن استخدام خط مفصل الفخذ البعيد كـ "خط مفصل الركبة" البديل لغرض رسم المحور الميكانيكي وتخطيط تصحيح عظم الساق.
* وبالمثل، بالنسبة لتشوه الفخذ المعزول مع وجود إصابة في سطح المفصل (على سبيل المثال، لقمة ناقصة التنسج)، يمكن استخدام خط مفصل الساق كمرجع أفقي لتخطيط تصحيح الفخذ.
يضمن هذا الاستبدال أن التصحيح الزاوي يستهدف استعادة المحور الميكانيكي الكلي بالنسبة للجانب السليم من المفصل، مما يمنع التصحيح المفرط أو الناقص الكارثي.

خلل التنسج وسوء التوجيه عندما لا يكفي خط واحد
حتى هذه النقطة في التخطيط القياسي للتشوهات، نفترض أن خطاً مستقيماً واحداً يمكن أن يمثل بدقة خط مفصل الساق القريب، وخطاً آخر يمكن أن يمثل عظم الفخذ البعيد. يربط هذا الخط أبعد النقاط الإنسية والوحشية للقمم الفخذية، أو أعلى النقاط الإنسية والوحشية للهضبتين الظنبوبيتين. ونظراً لأن هذه النقاط عادة ما تكون متوازية ومتماثلة نسبياً، فإن خطاً واحداً يكفي.
ومع ذلك، فإن خلل تنسج لقمة أو هضبة واحدة بالنسبة للأخرى - سواء كان من أصل خلقي أو نمائي أو معدي أو رضحي - يدمر هذه العلاقة المتوازية. والنتيجة هي لقمة أو هضبة واحدة منحرفة أو متدرجة أو منخفضة بالنسبة لنظيرتها. يصبح الخط الواحد المرسوم عبر هذا السطح الفوضوي عديم المعنى رياضياً.

الهضبة الظنبوبية خط "أفضل ملاءمة" مقابل خطين
تحدث هذه الظاهرة من التوجيه غير المتماثل لخط المفصل بشكل أكثر شيوعاً في عظم الساق. عند مواجهة هضبة منخفضة أو سيئة التوجيه، يجب على الجراح اتخاذ قرار استراتيجي حاسم خلال مرحلة التخطيط: هل يجب التعامل مع خط المفصل كخط "أفضل ملاءمة" واحد، أم يجب وصفه بخطين مميزين (واحد للهضبة الإنسية، وواحد للهضبة الوحشية)؟
- نهج خط "أفضل ملاءمة" واحد (تخطيط خارج المفصل):
يجب التعامل مع خط مفصل الركبة كخط "أفضل ملاءمة" واحد لعظم الساق القريب فقط إذا لم تكن هناك نية جراحية لتغيير شكل خط المفصل نفسه. هذا يعني أنك تخطط لقطع عظم خارج المفصل (على سبيل المثال، فتح إسفين في عظم الساق القريب) وتقبل التشوه داخل المفصل. يتم رسم خط "أفضل ملاءمة" عادةً مماساً للهضبة عند نقطتها الأكثر تقعراً، أو عن طريق ربط الهضبة غير المشوهة بالحافة المقابلة. ومع ذلك، في الممارسة العملية، غالباً ما يكون خط "أفضل ملاءمة" المفضل هو ببساطة اعتماد خط لقمة الفخذ، بافتراض أن عظم الفخذ طبيعي (قاعدة بالي للاستبدال). - نهج الخطين (تخطيط داخل المفصل):
إذا كان التصحيح داخل المفصل (مثل رفع الهضبة المباشر) قيد النظر لاستعادة تطابق المفصل، فيجب وصف السطح المفصلي بخطين منفصلين - واحد لكل هضبة. يسمح هذا للجراح بحساب بالضبط عدد الملليمترات من الارتفاع ودرجات الميل الزاوي المطلوبة للجزء المنخفض.

أمثلة كلاسيكية لتشوه خط مفصل الساق
- مرض بلونت (تقوس الساق): في مرض بلونت الشديد لدى الرضع أو المراهقين، تتميز الحالة بانخفاض شديد وميل إنسي للهضبة الظنبوبية الإنسية. إذا رسمت الخطين، فإن خطي الهضبة الإنسية والوحشية يكونان بزاوية حادة بالنسبة لبعضهما البعض، ويتقاطعان بالقرب من مركز الركبة. وهذا يخلق دفعاً تقوسياً شديداً أثناء المشي.
- متلازمة إليس-فان كريفيلد (خلل التنسج الغضروفي الجلدي): تؤدي هذه الحالة الوراثية إلى انخفاض "متدرج" مميز في الهضبة الظنبوبية الوحشية. ومن المثير للاهتمام أن خطي الهضبة غالباً ما يظلان متوازيين لبعضهما البعض، لكنهما يقعان على مستويات أفقية مختلفة تماماً، مما يخلق فرقاً كبيراً في المستوى وتشوهًا شديدًا في وضعية الركبة (valgus).


سوء توجيه لقمة الفخذ السطح المستدير المتسامح
بينما الهضبتان الظنبوبيتان مسطحتان نسبياً (مما يجعلهما شديدتي الحساسية للدرجات والتغيرات الزاوية)، فإن لقم الفخذ مستديرة تشريحياً. هذا الاختلاف الهندسي الأساسي يغير تماماً كيفية تعاملنا مع تشوهات خط مفصل الفخذ مقارنةً بتشوهات عظم الساق.
في عظم الفخذ، قد تكون اللقم الإنسية أو الوحشية على مستويات أو اتجاهات مختلفة بسبب عدة أمراض خطيرة:
* توقف النمو الإنتاني: عدوى في مرحلة الطفولة (التهاب العظم والنقي / التهاب المفاصل الإنتاني) تدمر صفيحة النمو لقمة الفخذ الوحشية مما يؤدي إلى لقمة وحشية ناقصة التنسج، سيئة التوجيه، و "متدرجة" مقارنة بالجانب الإنسي السليم الذي ينمو.
* التئام العظم بعد الصدمة بشكل خاطئ: كسر سالتر-هاريس لدى الأطفال أو كسر بين اللقمتين لدى البالغين يلتئم بشكل سيء ينتج عنه درجة مميزة و/أو سوء توجيه للقم.
* توقف النمو المركزي (تشوه ذيل السمكة): توقف النمو في المركز الدقيق لصفيحة النمو الفخذية البعيدة يتسبب في سوء توجيه اللقمتين وانحدارهما نحو المنتصف، مما يخلق مظهراً كلاسيكياً "لذيل السمكة" على صور الأشعة السينية الأمامية الخلفية.

لماذا عظم الفخذ أكثر تسامحاً
تؤدي الهضبتان الظنبوبيتان بمستويات أو اتجاهات مختلفة إلى عدم تطابق فوري وشديد في المفصل، وتحميل نقطي، وقص غضروفي، وعدم استقرار سريري. هذه هندسة أساسية: السطح المسطح لا يمكن أن يستوعب درجة.
على العكس من ذلك، يمكن للسطح المفصلي الظنبوبي المطابق أن يستوعب سطح الفخذ المستدير المزاح أو سيء التوجيه بشكل أفضل بكثير. نظراً لأن لقم الفخذ كروية، يمكنها غالباً الاستمرار في التدحرج والانزلاق على عظم الساق المسطح نسبياً حتى لو تغيرت ارتفاعاتها أو زواياها النسبية قليلاً.
على سبيل المثال، يبدو سوء توجيه "ذيل السمكة" الدرامي الناتج عن توقف النمو المركزي مخيفاً على الأشعة السينية، ولكنه غالباً لا يتعارض بشكل كبير مع وظيفة المفصل أو استقرار الأربطة أو نطاق الحركة. قد يعاني المريض من انحراف في المحور الميكانيكي، لكن المفصل نفسه يستمر في الحركة بسلاسة.

التأثير الجراحي: بسبب هذا التسامح الهندسي، يمكن غالباً إعادة محاذاة سوء المحاذاة الناتج عن إزاحة لقمة الفخذ الأحادية أو سوء توجيهها باستخدام قطع عظم الفخذ فوق اللقمي خارج المفصل. لا تحتاج دائماً إلى تقسيم اللقم وإجراء عملية داخل المفصل عالية المخاطر. على النقيض من ذلك، فإن عدم الاستقرار الشديد الناتج عن درجات عظم الساق يتطلب دائماً تقريباً قطع عظم حقيقي داخل المفصل (رفع الهضبة) بدلاً من مجرد تصحيح في الميتافيزيس، لمنع التدمير السريع للمفصل.

التخطيط قبل الجراحة فن التسوية
إذا تم استخدام طريقة "خط أفضل ملاءمة" لتصحيح تشوه داخل المفصل خارج المفصل، فإن خطي مفصل الساق والفخذ لن يكونا متوازيين في النهاية بعد الجراحة. هذه تسوية بيوميكانيكية متعمدة.
يجب إجراء تخطيط تصحيح التشوه بالنسبة لأحد خطي المفصل (عادةً ما يكون عظم الفخذ الطبيعي هو الخيار الأفضل لتمثيل مفصل الركبة، كما نوقش).
- تشوه عظم واحد: استخدم المحور الميكانيكي للجانب الطبيعي من الركبة عندما يكون عظم واحد فقط مشوهاً.
- تشوه عظمين: إذا كان كلا العظمين مشوهين، استخدم خطاً يميل بزاوية 87 درجة على خط مفصل الركبة المفضل الوحيد (يمثل الزاوية الظنبوبية القريبة الإنسية الميكانيكية الطبيعية).
- رسم خرائط مركز دوران الانحراف (CORA): يتم تنفيذ بقية التخطيط كما هو موضح سابقاً لرسم خرائط مركز دوران الانحراف الفخذي أو الظنبوبي القياسية بالنسبة لخط مفصل الركبة المختار حديثاً.

قبول التسوية:
عند تنفيذ هذه المحاذاة خارج المفصل، يملي القرار الجراحي أن هندسة مفصل الركبة (tibiofemoral articulation) "مقبولة" ولا ينبغي العبث بها. يقبل الجراح بعض الميل المتبقي لأحد جانبي حجرة مفصل الركبة في المستوى الأمامي.
بينما هذا ليس مثالياً من الناحية التشريحية، فإنه يعيد بنجاح انحراف المحور الميكانيكي الكلي إلى الوضع المحايد. من خلال تحويل خط تحمل الوزن إلى مركز الركبة (أو قليلاً إلى الحجرة الأكثر صحة)، فإنك تحمي الركبة من التآكل غير المتماثل السريع وتؤخر الحاجة إلى استبدال مفصل الركبة بالكامل. يتمتع الأستاذ الدكتور محمد هطيف بمهارة عالية في تقييم هذه التسويات وتقديم أفضل النتائج للمرضى.

إعادة المحاذاة داخل المفصل رفع الهضبة
إذا قرر الجراح أن هندسة مفصل الركبة غير مقبولة - بسبب عدم استقرار سريري شديد، أو خلع متكرر، أو درجة كبيرة ستدمر الغضروف الهلالي والغضروف المفصلي حتماً - فيجب تحويل التخطيط والتنفيذ إلى تصحيح حقيقي داخل المفصل.
تسلسل التخطيط لرفع الهضبة
تتطلب جراحات قطع العظم داخل المفصل مهارة فنية عالية وتخطيطاً قبل الجراحة لا تشوبه شائبة.
- تحديد مستوى الهدف: ارسم خطاً يمتد من اللقمة أو الهضبة الطبيعية غير المنخفضة مباشرة نحو الجانب المنخفض. يصبح هذا الإ


خشونة الركبة وتمزق الأربطة ليس قدراً محتوماً! التشخيص الدقيق والعلاج المتخصص يمكن أن يعيد لك كامل وظيفتك وحريتك في الحركة بدون ألم.
للحصول على استشارة دقيقة وخطة علاجية مخصصة لحالتك، تواصل فوراً مع مركز الأستاذ الدكتور محمد هطيف:
الأستاذ الدكتور محمد هطيف - أفضل دكتور عظام في صنعاء، وخبير في جراحات منظار الركبة والمفاصل الصناعية.
مواضيع أخرى قد تهمك