تشوهات الانحراف والانزياح العظمية: فهم شامل وعلاج متقدم مع الأستاذ الدكتور محمد هطيف في صنعاء

الخلاصة الطبية
تشوهات الانحراف والانزياح العظمية هي انحرافات في محاذاة العظام بعد التئام خاطئ للكسور. يشمل العلاج تقييمًا دقيقًا باستخدام الأشعة السينية وتحليل CORA، وقد يتطلب التدخل الجراحي مثل عمليات قطع العظم (Osteotomy) لتصحيح المحاذاة واستعادة الوظيفة، ويقدم الأستاذ الدكتور محمد هطيف هذه العلاجات بخبرة عالية.
الخلاصة الطبية السريعة: تشوهات الانحراف والانزياح العظمية هي انحرافات في محاذاة العظام بعد التئام خاطئ للكسور. يشمل العلاج تقييمًا دقيقًا باستخدام الأشعة السينية وتحليل CORA، وقد يتطلب التدخل الجراحي مثل عمليات قطع العظم (Osteotomy) لتصحيح المحاذاة واستعادة الوظيفة، ويقدم الأستاذ الدكتور محمد هطيف هذه العلاجات بخبرة عالية.
مقدمة: فهم تشوهات الانحراف والانزياح العظمية
تُعد إصابات العظام والكسور من الحالات الشائعة التي قد تؤثر بشكل كبير على جودة حياة الأفراد. وفي حين أن معظم الكسور تلتئم بشكل طبيعي، إلا أن بعضها قد يلتئم بطريقة خاطئة، مما يؤدي إلى ما يُعرف بـ "الالتئام الخاطئ" (Malunion). هذا الالتئام الخاطئ يمكن أن يسبب تشوهات معقدة في العظام، أبرزها تشوهات الانحراف (Angulation) والانزياح (Translation). هذه التشوهات لا تؤثر فقط على المظهر الجمالي للطرف المصاب، بل يمكن أن تسبب آلامًا مزمنة، وتحد من الحركة، وتؤدي إلى مشاكل طويلة الأمد مثل التهاب المفاصل التنكسي.
إن فهم هذه التشوهات المعقدة وتشخيصها بدقة أمر بالغ الأهمية لوضع خطة علاج فعالة. يتطلب ذلك خبرة واسعة في جراحة العظام وتقنيات التصوير المتقدمة. في صنعاء، يُعد الأستاذ الدكتور محمد هطيف الرائد في مجال جراحة العظام، بفضل خبرته الطويلة ومهاراته المتقدمة في التعامل مع هذه الحالات المعقدة، وتقديم الحلول الجراحية وغير الجراحية التي تهدف إلى استعادة وظيفة الطرف المصاب وتحسين جودة حياة المرضى.
يهدف هذا الدليل الشامل إلى تزويد المرضى وأسرهم بمعلومات مفصلة حول تشوهات الانحراف والانزياح العظمية، بدءًا من تعريفها وأنواعها، مرورًا بأساليب التشخيص المتقدمة، ووصولًا إلى خيارات العلاج المتاحة، مع التركيز على الخبرة الفريدة التي يقدمها الأستاذ الدكتور محمد هطيف في هذا المجال.
التشوهات الناتجة عن الانحراف والانزياح
تُعرف تشوهات الانحراف والانزياح العظمية بأنها تغيرات في محاذاة العظم بعد التئام الكسر بشكل غير صحيح. هذه التغيرات يمكن أن تحدث في مستويات مختلفة وتتخذ أشكالًا متعددة، مما يجعل كل حالة فريدة وتتطلب تقييمًا دقيقًا ومخصصًا.
فهم الانحراف والانزياح
- الانحراف (Angulation): يشير إلى وجود زاوية غير طبيعية في العظم. بدلاً من أن يكون العظم مستقيمًا، فإنه ينحني عند نقطة الالتئام الخاطئ. يمكن أن يكون هذا الانحراف في مستويات مختلفة (مثل الأمامي الخلفي أو الجانبي) ويؤثر على كيفية توزيع الوزن عبر المفصل المجاور، مما قد يؤدي إلى إجهاد غير متساوٍ وتآكل مبكر.
- الانزياح (Translation): يشير إلى إزاحة العظم جانبيًا أو أماميًا/خلفيًا دون وجود زاوية واضحة. بمعنى آخر، يكون جزء من العظم متزحزحًا بالنسبة للجزء الآخر، مما يغير من محاذاة الطرف ككل. يمكن أن يؤثر الانزياح على طول الطرف واستقراره.
غالبًا ما تتواجد هاتان التشوهتان معًا، مما يزيد من تعقيد الحالة ويتطلب تخطيطًا جراحيًا دقيقًا.
أنواع تشوهات الانحراف والانزياح
لتصنيف هذه التشوهات وفهمها بشكل أفضل، يتم تحليلها بناءً على المستويات التشريحية (مثل المستوى الأمامي الخلفي والمستوى الجانبي) وزاوية الفصل بين مكونات الانحراف والانزياح. يساعد هذا التصنيف الأطباء، وخاصة الأستاذ الدكتور محمد هطيف، في تحديد مركز الدوران الفعلي للانحراف (CORA) بدقة، وهو أمر حيوي للتخطيط الجراحي.
تشوهات المستوى التشريحي بزاوية 90 درجة
في هذا النوع، يكون الانحراف في مستوى تشريحي واحد (مثل المستوى الأمامي الخلفي)، بينما يكون الانزياح في المستوى التشريحي الآخر العمودي عليه (مثل المستوى الجانبي). لا يوجد انزياح في مستوى الانحراف، ولا يوجد انحراف في مستوى الانزياح. يكون مركز دوران الانحراف (CORA) عند مستوى الكسر.
مثال: التئام خاطئ في عظم الساق الأيسر حيث يوجد انحراف في المستوى الأمامي (الواجهة الأمامية) وانزياح في المستوى السهمي (الجانبي). لا يوجد انزياح في المستوى الأمامي ولا انحراف في المستوى السهمي.


تشوهات المستوى المائل بزاوية 90 درجة
هنا، تحدث التشوهات في مستويين مائلين غير تشريحيين، لكنهما متعامدان (بزاوية 90 درجة) على بعضهما البعض. تظهر الأشعة السينية الأمامية والخلفية (AP) والجانبية (LAT) انحرافًا وانزياحًا. العلامة المميزة هي أن مركز دوران الانحراف (CORA) يقع في مستويات مختلفة على الأشعة السينية الأمامية والخلفية (AP) والجانبية (LAT)؛ أحدهما قريب من الكسر والآخر بعيد عنه.
يمكن أن تظهر الأشعة السينية المائلة، التي تُؤخذ عموديًا على مستوى أقصى انحراف، انحرافًا بدون انزياح. وبالمثل، تظهر الأشعة السينية المائلة الأخرى، العمودية على مستوى أقصى انزياح، انزياحًا بدون انحراف. في هذه الحالة، يكون مركز دوران الانحراف (CORA) على الأشعة المائلة التي تظهر أقصى انحراف عند مستوى الكسر.
مثال: التئام خاطئ لعظم الساق الأيسر يظهر انحرافًا وانزياحًا في مستويين مائلين مختلفين ومتعامدين.



تظهر الأشعة السينية المائلة في هذه الحالات أن في مستوى أقصى انحراف لا يوجد انزياح، وأن في مستوى أقصى انزياح لا يوجد انحراف. وهذا يؤكد تعامد المستويين.


تشوهات المستوى التشريحي والمائل بزاوية أقل من 90 درجة
في هذا النوع، يمكن رؤية الانحراف والانزياح معًا في إحدى الأشعة السينية (الأمامية الخلفية أو الجانبية)، بينما يظهر في الأخرى أحد المكونين فقط (إما انحراف أو انزياح). هذا يعني أن أحد مكوني التشوه (الانحراف أو الانزياح) يقع في مستوى مائل، بينما المكون الآخر يقع في مستوى تشريحي. عندما يتم رسم هذه المستويات بيانيًا، تكون مختلفة ولكن بزاوية أقل من 90 درجة.
مثال: التئام خاطئ لعظم الساق الأيسر حيث يظهر الانحراف والانزياح في الأشعة السينية الأمامية الخلفية (AP)، بينما يظهر الانزياح فقط في الأشعة السينية الجانبية (LAT). أو قد يظهر الانحراف فقط في LAT.


في هذه الحالات، إذا كان الانحراف هو المكون التشريحي، فإن مركز دوران الانحراف (CORA) سيظهر إما قريبًا أو بعيدًا عن الالتئام الخاطئ في الأشعة السينية الأمامية الخلفية (AP) أو الجانبية (LAT). أما إذا كان الانحراف هو المكون المائل، فسيظهر مركز دوران الانحراف (CORA) قريبًا أو بعيدًا عن الكسر في المنظر الذي يظهر أقصى انزياح، وعند مستوى الكسر في المنظر الذي لا يظهر فيه انزياح.
تشوهات المستوى المائل بزاوية أقل من 90 درجة
هذا هو النوع الأكثر تعقيدًا، حيث يظهر كل من الانحراف والانزياح في كل من الأشعة السينية الأمامية الخلفية (AP) والجانبية (LAT)، تمامًا كما في النوع الثاني (المستوى المائل بزاوية 90 درجة). ومع ذلك، عندما تُحدد مستويات جميع مكونات التشوه، تكون مختلفة عن بعضها البعض ولكن بزاوية أقل من 90 درجة.
مثل النوع الثاني، تكون مراكز دوران الانحراف (CORAs) على الأشعة السينية الأمامية والخلفية (AP) والجانبية (LAT) في مستويات مختلفة (أحدهما قريب والآخر بعيد عن مستوى الكسر). لأن كلا التشوهين يقعان في مستوى مائل والزاوية بين المستويين أقل من 90 درجة، قد نحتاج إلى أربع صور أشعة سينية مائلة مختلفة لإظهار أقصى وأدنى مكونات الانحراف والانزياح.
الميزة الرئيسية هنا هي أنه لا يوجد مستوى إسقاط شعاعي لا يظهر فيه وجود إما انحراف أو انزياح. أي أنك لن تجد مستوى يظهر فيه الانحراف فقط بدون انزياح، أو الانزياح فقط بدون انحراف، لأن المستويين ليسا متعامدين تمامًا.

مثال: انحراف وانزياح في مستويين مائلين مختلفين بزاوية أقل من 90 درجة. يظهر الانحراف والانزياح في كل من الأشعة السينية الأمامية والخلفية (AP) والجانبية (LAT).


إذا ظهر بعض الانزياح في كلا الأشعتين المائلتين، فهذا يعني أن مستوى الانزياح لا يمكن أن يكون متعامدًا (90 درجة) مع مستوى الانحراف.
تشوهات الانحراف والانزياح في نفس المستوى
في بعض الحالات، قد يحدث الانحراف والانزياح في نفس المستوى التشريحي أو المائل. هذا يسهل عملية التصحيح إلى حد ما، حيث يمكن إجراء عملية قطع العظم (Osteotomy) عند مستوى مركز دوران الانحراف والانزياح (a-t CORA).

تشخيص التشوهات المعقدة في العظام
يعتمد التشخيص الدقيق لتشوهات الانحراف والانزياح العظمية على مزيج من الفحص السريري الشامل، والتاريخ المرضي المفصل، واستخدام تقنيات التصوير المتقدمة، وأخيرًا، التحليل البيوميكانيكي الدقيق لتحديد طبيعة التشوه. الأستاذ الدكتور محمد هطيف يتبع نهجًا منهجيًا وشاملًا لضمان أعلى مستويات الدقة في التشخيص.
الفحص السريري والتاريخ المرضي
يبدأ التشخيص بمناقشة مفصلة مع المريض حول تاريخ الإصابة (الكسر الأصلي)، وكيفية التئامها، والأعراض الحالية التي يعاني منها، مثل الألم، محدودية الحركة، صعوبة المشي، أو أي تشوه مرئي. يقوم الأستاذ الدكتور محمد هطيف بفحص دقيق للطرف المصاب، لتقييم:
- المحاذاة العامة للطرف: هل هناك انحناء أو إزاحة واضحة؟
- مدى الحركة للمفاصل المجاورة: هل تأثرت حركة المفصل بسبب التشوه؟
- وجود أي تورم أو ألم عند اللمس: قد يشير إلى التهاب أو إجهاد غير طبيعي.
- طول الطرف: هل هناك فرق في الطول بين الطرف المصاب والسليم؟
- وجود أي خشونة أو احتكاك في المفاصل: قد يدل على بداية التهاب المفاصل.
التصوير الشعاعي بالأشعة السينية
تُعد الأشعة السينية (X-rays) الأداة الأساسية لتشخيص تشوهات العظام. يتم أخذ صور متعددة للطرف المصاب من زوايا مختلفة (الأمامية الخلفية، الجانبية، والمائلة) لتقييم التشوه في جميع المستويات. الأستاذ الدكتور محمد هطيف يولي اهتمامًا خاصًا لجودة هذه الصور ودقتها، حيث إنها الأساس الذي يُبنى عليه التحليل البيوميكانيكي.
تساعد الأشعة السينية في:
* تحديد مستوى الكسر الأصلي والالتئام الخاطئ.
* قياس زوايا الانحراف وحجم الانزياح بدقة.
* تقييم حالة المفاصل المجاورة وتحديد أي علامات مبكرة لالتهاب المفاصل.
التصوير المقطعي المحوسب والرنين المغناطيسي
في الحالات الأكثر تعقيدًا، قد يطلب الأستاذ الدكتور محمد هطيف إجراء تصوير مقطعي محوسب (CT scan) أو رنين مغناطيسي (MRI).
- التصوير المقطعي المحوسب (CT scan): يوفر صورًا ثلاثية الأبعاد للعظم، مما يسمح بتقييم دقيق للتشوه في جميع المستويات، خاصة في حالات التشوهات الدورانية (Rotational deformities) التي قد لا تظهر بوضوح في الأشعة السينية التقليدية. كما يساعد في تحديد جودة العظم وتخطيط الجراحة.
- الرنين المغناطيسي (MRI): يُستخدم لتقييم الأنسجة الرخوة المحيطة بالعظم، مثل العضلات والأربطة والأوتار والغضاريف، والتي قد تكون تأثرت بالتشوه أو الالتئام الخاطئ، وهو أمر مهم لتحديد مدى التأثير الكلي على وظيفة الطرف.
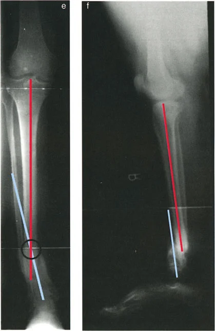
تحليل CORA لتحديد مركز الدوران الفعلي
يُعد تحليل مركز دوران الانحراف (CORA - Center of Rotation of Angulation) حجر الزاوية في التخطيط الجراحي لتصحيح تشوهات العظام. يتطلب هذا التحليل فهمًا عميقًا للبيوميكانيكا العظمية وخبرة كبيرة، وهو ما يتميز به الأستاذ الدكتور محمد هطيف.
- ما هو CORA؟ هو النقطة الافتراضية التي يدور حولها الجزء البعيد من العظم بالنسبة للجزء القريب لتصحيح الانحراف.
- كيف يتم تحديده؟ يتم تحديد CORA برسم خطوط محورية على الأشعة السينية (AP و LAT) لكل جزء من العظم المشوه (القريب والبعيد). نقطة تقاطع هذه الخطوط هي CORA.
- أهميته: تحديد CORA بدقة يُمكّن الجراح من تخطيط قطع العظم (Osteotomy) في الموقع الأمثل. إذا تم إجراء قطع العظم عند مستوى CORA، يمكن تصحيح الانحراف بحركة زاويّة واحدة دون إحداث انزياح جديد أو زيادة الانزياح الموجود. هذا يقلل من تعقيد الجراحة ويحسن النتائج الوظيفية.
يعتمد الأستاذ الدكتور محمد هطيف على أحدث البرمجيات والتقنيات لتحديد CORA بدقة فائقة، مما يضمن تخطيطًا جراحيًا مخصصًا لكل مريض ويحقق أفضل النتائج الممكنة في تصحيح التشوهات العظمية المعقدة.
خيارات علاج تشوهات الانحراف والانزياح
يهدف علاج تشوهات الانحراف والانزياح العظمية إلى استعادة المحاذاة الطبيعية للطرف المصاب، تخفيف الألم، وتحسين الوظيفة. يعتمد اختيار طريقة العلاج على عدة عوامل، بما في ذلك شدة التشوه، عمر المريض، حالته الصحية العامة، وتوقعاته. الأستاذ الدكتور محمد هطيف يتبع نهجًا شخصيًا، حيث يناقش جميع الخيارات مع المريض ويختار الخطة الأنسب.
مبادئ تصحيح التشوه
عند التعامل مع تشوهات الانحراف والانزياح، هناك مبادئ توجيهية أساسية يتبعها الأستاذ الدكتور محمد هطيف:
- التقييم الشامل: لا يقتصر التقييم على التشوه العظمي بحد ذاته، بل يشمل أيضًا تأثيره على المفاصل المحيطة والأنسجة الرخوة.
- التخطيط الدقيق: يتم التخطيط لكل خطوة جراحية بعناية فائقة باستخدام الأشعة السينية وتحليل CORA لضمان التصحيح الأمثل.
- التصحيح المستهدف: في بعض الحالات، قد لا يكون من الضروري تصحيح كل مكون من مكونات التشوه. على سبيل المثال، قد تكون تشوهات الانزياح والانحراف في المستوى السهمي (الجانبي) أكثر تسامحًا من تلك الموجودة في المستوى الأمامي (الواجهة الأمامية)، وبالتالي قد لا تتطلب تصحيحًا جراحيًا ما لم تسبب أعراضًا مهمة. يركز الأستاذ الدكتور محمد هطيف على تصحيح التشوهات ذات الأهمية السريرية التي تؤثر على جودة حياة المريض.
- استعادة الوظيفة: الهدف النهائي هو استعادة وظيفة الطرف المصاب وتمكين المريض من العودة إلى أنشطته اليومية بأقل قدر من القيود.
أهمية التقييم السريري
قبل اتخاذ قرار بشأن الجراحة، يقوم الأستاذ الدكتور محمد هطيف بتقييم دقيق للأعراض السريرية للمريض. فالتشوه الذي لا يسبب ألمًا أو قيودًا وظيفية كبيرة قد لا يتطلب تدخلًا جراحيًا فوريًا. على سبيل المثال، قد يؤدي الانزياح الجانبي في عظم الساق إلى تطور التهاب مفاصل في الركبة بعد سنوات، حتى لو لم يكن هناك انحراف زاوي واضح. هذا يؤكد أن أي انحراف في المحاذاة، سواء كان انحرافًا زاويًا أو انزياحًا، يمكن أن يؤدي إلى تغييرات تنكسية في المفصل بمرور الوقت. لذلك، فإن التقييم الدقيق للمحاذاة الميكانيكية للطرف (MAD) أمر بالغ الأهمية.
عملية تصحيح التشوهات العظمية
تُعد جراحة قطع العظم (Osteotomy) الطريقة الأكثر شيوعًا وفعالية لتصحيح تشوهات الانحراف والانزياح العظمية. تتضمن هذه العملية قطع العظم في مكان محدد وإعادة محاذاته ثم تثبيته في الوضع الصحيح. يختار الأستاذ الدكتور محمد هطيف نوع عملية قطع العظم بناءً على طبيعة التشوه وموقعه.
استئصال العظم الوتدي الفاتح (Opening Wedge Osteotomy)
تُستخدم هذه الطريقة عندما تكون هناك حاجة لإطالة العظم أو تصحيح انحراف معين.
* الآلية: يتم إجراء قطع في العظم، ثم يتم فتح فجوة على جانب واحد من العظم. تُملأ هذه الفجوة غالبًا بطعم عظمي (من جسم المريض أو من متبرع) أو بمادة صناعية، مما يؤدي إلى إطالة العظم وتصحيح زاويته.
* المزايا: تسمح بتصحيح الانحراف والانزياح في نفس الوقت، ويمكن أن تساعد في تصحيح أي قصر في الطرف.
* التطبيق: إذا كان الانحراف والانزياح في نفس المستوى (تشريحي أو مائل)، يمكن إجراء قطع العظم عند مستوى مركز دوران الانحراف والانزياح (a-t CORA). يتم تصحيح التشوه بمناورة زاويّة واحدة. في هذه الطريقة، لا يتم إزعاج موقع الكسر الأصلي، وقد يبقى "نتوء" صغير من الانزياح على العظم، ولكنه عادة ما يكون مغطى بالعضلات ولا يسبب مشكلة.

استئصال العظم الوتدي المغلق (Closing Wedge Osteotomy)
تُستخدم هذه الطريقة عادةً لتصحيح الانحرافات الزاوية عن طريق إزالة جزء وتدي الشكل من العظم.
* الآلية: يتم إزالة قطعة عظمية مثلثة الشكل (وتد) من العظم، ثم يتم إغلاق الفجوة الناتجة وربط طرفي العظم معًا. يؤدي هذا إلى تقصير العظم قليلًا وتصحيح زاويته.
* المزايا: فعالة في تصحيح الانحرافات الزاوية الكبيرة.
* التطبيق: كما في الوتدي الفاتح، إذا كان الانحراف والانزياح في نفس المستوى، يمكن إجراء قطع العظم عند مستوى مركز دوران الانحراف والانزياح (a-t CORA). يتم تصحيح التشوه بمناورة زاويّة واحدة. يبقى نتوء الانزياح على العظم، وغالبًا ما يكون غير مرئي أو غير محسوس.
استخدام جهاز إليزاروف (Ilizarov Apparatus)
في حالات التشوهات المعقدة، أو عندما تكون هناك حاجة لإطالة العظم بشكل كبير، أو لتصحيح تشوهات متعددة تدريجيًا، قد يلجأ الأستاذ الدكتور محمد هطيف إلى استخدام جهاز إليزاروف.
* الآلية: هو جهاز تثبيت خارجي يتكون من حلقات معدنية تُثبت على العظم بواسطة أسلاك رفيعة أو مسامير. يسمح هذا الجهاز للجراح بإجراء تصحيحات دقيقة وتدريجية للانحراف والانزياح، وكذلك إطالة العظم ببطء على مدى أسابيع أو أشهر.
* المزايا: يسمح بتصحيح التشوهات المعقدة جدًا، ويقلل من الحاجة إلى عمليات جراحية متعددة، ويوفر استقرارًا ممتازًا للعظم أثناء عملية الشفاء.
* التطبيق: يُستخدم جهاز إليزاروف بشكل فعال في حالات التئام الكسور الخاطئ الذي أدى إلى تشوهات شديدة، أو في حالات عدم التئام العظم (non-union) المصحوب بتشوه. يتطلب استخدام هذا الجهاز متابعة دقيقة من قبل الأستاذ الدكتور محمد هطيف وفريق الرعاية الصحية.
يتمتع الأستاذ الدكتور محمد هطيف بخبرة واسعة في جميع هذه التقنيات الجراحية، ويستخدم أحدث الأدوات والأساليب لضمان تحقيق أفضل النتائج الممكنة لمرضاه في صنعاء.
التعافي وإعادة التأهيل بعد جراحة تصحيح التشوهات
تُعد مرحلة التعافي وإعادة التأهيل جزءًا لا يتجزأ من نجاح جراحة تصحيح تشوهات الانحراف والانزياح العظمية. يلتزم الأستاذ الدكتور محمد هطيف بتقديم خطة رعاية شاملة تبدأ من ما بعد الجراحة مباشرة وتستمر حتى استعادة المريض كامل قوته ووظيفته.
الرعاية بعد الجراحة
بعد عملية قطع العظم، يُنقل المريض إلى غرفة الإفاقة للمراقبة الدقيقة. تشمل الرعاية الأولية:
* إدارة الألم: يتم التحكم في الألم بفعالية باستخدام الأدوية المناسبة لضمان راحة المريض.
* العناية بالجرح: تُعطى تعليمات واضحة حول كيفية العناية بالجرح لمنع العدوى.
* التثبيت: يتم تثبيت العظم المصحح باستخدام جبيرة، أو جهاز تثبيت خارجي (مثل جهاز إليزاروف)، أو صفائح ومسامير داخلية، حسب نوع الجراحة.
* التحميل على الطرف: يتم تحديد متى يمكن للمريض البدء في تحميل الوزن على الطرف المصاب، والذي قد يكون فوريًا في بعض الحالات أو تدريجيًا على مدى أسابيع أو أشهر في حالات أخرى، خاصة مع جهاز إليزاروف.
يُقدم الأستاذ الدكتور محمد هطيف وفريقه تعليمات مفصلة للمريض وعائلته حول كيفية التعامل مع هذه المرحلة، بما في ذلك علامات الخطر التي تستدعي الاتصال الفوري بالطبيب.
العلاج الطبيعي والتأهيل
يُعد العلاج الطبيعي حاسمًا لاستعادة القوة والمرونة ومدى الحركة في الطرف المصاب. تبدأ جلسات العلاج الطبيعي عادة بعد فترة وجيزة من الجراحة، وقد تشمل:
* تمارين المدى الحركي: للمحافظة على مرونة المفاصل المجاورة ومنع التيبس.
* تمارين تقوية العضلات: لاستعادة القوة العضلية التي قد تكون ضعفت بسبب الإصابة أو الجراحة.
* تمارين التوازن والتنسيق: لتحسين استقرار الطرف المصاب والمساعدة في المشي والأنشطة اليومية.
* إعادة تدريب المشي: في حال تأثرت قدرة المريض على المشي، يتم تدريبه على استخدام أدوات المساعدة مثل العكازات أو المشاية، ثم الانتقال تدريجيًا إلى المشي الطبيعي.
يُصمم برنامج العلاج الطبيعي بشكل فردي لكل مريض من قبل أخصائيي العلاج
آلام العظام والمفاصل المزمنة ليس قدراً محتوماً! التشخيص الدقيق والعلاج المتخصص يمكن أن يعيد لك كامل وظيفتك وحريتك في الحركة بدون ألم.
للحصول على استشارة دقيقة وخطة علاجية مخصصة لحالتك، تواصل فوراً مع مركز الأستاذ الدكتور محمد هطيف:
الأستاذ الدكتور محمد هطيف - أفضل دكتور عظام في صنعاء، وخبير في جراحات العظام والمفاصل المتقدمة.
مواضيع أخرى قد تهمك