English
جزء من الدليل الشامل

تصحيح تشوهات الأطراف السفلية بقطع العظم: دليل مبادئ بالي الشامل

الاستاذ الدكتور محمد هطيف: دليل شامل لتشوهات قصبة الساق البعيدة والكاحل في صنعاء

07 إبريل 2026 12 دقيقة قراءة 0 مشاهدة
الاستاذ الدكتور محمد هطيف: دليل شامل لتشوهات قصبة الساق البعيدة والكاحل في صنعاء

الخلاصة الطبية

تشوهات قصبة الساق البعيدة هي انحرافات في عظم الساق قرب الكاحل، تسبب آلاماً وتحد من الحركة. يعتمد علاجها على تصحيح المحاذاة الدقيق عبر جراحات قطع العظم، مسترشدين بمبادئ بالي المتقدمة، لضمان استعادة وظيفة الكاحل والقدم الطبيعية.

الخلاصة الطبية السريعة: تشوهات قصبة الساق البعيدة هي انحرافات في عظم الساق قرب الكاحل، تسبب آلاماً وتحد من الحركة. يعتمد علاجها على تصحيح المحاذاة الدقيق عبر جراحات قطع العظم، مسترشدين بمبادئ بالي المتقدمة، لضمان استعادة وظيفة الكاحل والقدم الطبيعية.

مقدمة إلى تشوهات قصبة الساق البعيدة والكاحل

تُعد تشوهات قصبة الساق البعيدة، وهي الجزء السفلي من عظم الساق القريب من مفصل الكاحل، من الحالات المعقدة التي تتطلب فهمًا عميقًا للتشريح الدقيق والميكانيكا الحيوية للطرف السفلي. هذه التشوهات، سواء كانت خلقية أو ناتجة عن إصابات سابقة، يمكن أن تؤثر بشكل كبير على جودة حياة المريض، مسببة الألم، وصعوبة في المشي، وتدهورًا تدريجيًا لمفصل الكاحل.

على عكس مفصل الركبة الذي قد يتحمل بعض الانحرافات البسيطة، يتطلب مفصل الكاحل محاذاة دقيقة للغاية بين عظم الساق (القصبة) وعظم الكاحل (السنخ). أي خلل في هذا التوازي المثالي يمكن أن يؤدي إلى عواقب وخيمة، مثل تفاقم التشوه، وتآكل مبكر لغضاريف المفصل، وظهور التهاب المفاصل التنكسي.

يهدف هذا الدليل الشامل، الذي يقدمه لكم الأستاذ الدكتور محمد هطيف، استشاري جراحة العظام والعمود الفقري الأول في صنعاء، إلى تبسيط المفاهيم المعقدة المتعلقة بتشوهات قصبة الساق البعيدة والكاحل، وتحويلها إلى معلومات واضحة ومفيدة للمرضى. سنستعرض هنا كل ما تحتاج معرفته، بدءًا من التشريح الطبيعي، مرورًا بالأسباب والأعراض، وصولاً إلى أحدث طرق التشخيص والعلاج الجراحي، مع التركيز على مبادئ الدكتور درور بالي الرائدة في تصحيح التشوهات.

إن فهم هذه المبادئ سيساعدكم على تقدير أهمية التخطيط الجراحي الدقيق والخبرة المتخصصة التي يقدمها الأستاذ الدكتور محمد هطيف، لضمان أفضل النتائج الممكنة واستعادة وظيفة الكاحل والقدم بشكل طبيعي.

صورة توضيحية لـ الاستاذ الدكتور محمد هطيف: دليل شامل لتشوهات قصبة الساق البعيدة والكاحل في صنعاء

التشريح الطبيعي لمفصل الكاحل والقدم

لفهم تشوهات الكاحل، يجب أولاً استيعاب كيفية عمل الكاحل والقدم في حالتهما الطبيعية. مفصل الكاحل ليس مجرد مفصل بسيط، بل هو شبكة معقدة من العظام والأربطة والعضلات التي تعمل بتناغم لتحمل وزن الجسم وتوفير الحركة والمرونة.

فهم تشريح مفصل الكاحل والقدم

يتكون مفصل الكاحل الأساسي من ثلاثة عظام رئيسية:
1. قصبة الساق (Tibia): العظم الأكبر في الجزء السفلي من الساق.
2. الشظية (Fibula): العظم الأصغر والأقل سمكًا، يقع بجانب القصبة.
3. عظم الكاحل (Talus): العظم الذي يربط الساق بالقدم.

في المستوى الأمامي (عند النظر إلى الكاحل من الأمام)، يتميز عظم الكاحل بشكل مربع تقريبًا في جزئه العلوي. القاعدة الذهبية للمحاذاة الطبيعية هي أن السطح العلوي لعظم الكاحل يجب أن يكون موازيًا تمامًا للسطح السفلي لقصبة الساق (الذي يُعرف باسم "سطح القصبة"). هذا التوازي الصارم هو ما يميز مفصل الكاحل عن مفصل الركبة، حيث يُسمح ببعض التباعد البسيط في الركبة.

عند النظر إلى الكاحل من الجانب (المستوى السهمي)، قد يبدو السطح المفصلي لعظم الكاحل دائريًا، ولكن شكله ثلاثي الأبعاد أكثر تعقيدًا. وصفه العلماء بأنه "جذع مخروطي"، مما يعني أن محور دوران الكاحل ليس مجرد مفصل بسيط، بل يمتد بشكل مائل من الكعب الإنسي (الداخلي) إلى الكعب الوحشي (الخارجي).

وصف طبي دقيق للمريض

أهمية المحاذاة الطبيعية للعظام

إن المحاذاة الدقيقة للعظام في مفصل الكاحل والقدم أمر حيوي لعدة أسباب:
* توزيع الوزن: تضمن المحاذاة الصحيحة توزيعًا متساويًا لوزن الجسم عبر سطح المفصل، مما يقلل من الضغط على أي منطقة معينة.
* الحركة السلسة: تسمح المحاذاة المثالية بحركة طبيعية وسلسة للكاحل والقدم، مما يتيح لنا المشي والجري وأداء الأنشطة اليومية دون ألم.
* الوقاية من التآكل: عندما تكون العظام في محاذاة صحيحة، فإن غضاريف المفصل تحافظ على سلامتها لفترة أطول، مما يقلل من خطر الإصابة بالتهاب المفاصل التنكسي.

يجب أن يمر خط منتصف قصبة الساق بشكل طبيعي عبر مركز دوران مفصل الكاحل، الذي يقع تقريبًا عند البروز الجانبي لعظم الكاحل. أي انحراف عن هذه المحاذاة الطبيعية يضع ضغوطًا غير متوازنة على المفصل، مما يؤدي إلى الألم والتدهور.

قوة رد الفعل الأرضي وميكانيكا الكاحل

عند الوقوف على ساق واحدة، تنشأ قوة من الأرض (تُسمى قوة رد الفعل الأرضي) وتمر عبر الطرف السفلي. هذه القوة تقع بشكل طبيعي على الجانب الخارجي للقدم وأمام مركز دوران مفصل الكاحل. هذا التوضع يؤدي إلى:
* عزم تقوس وحشي (Valgus Moment): يدفع الكاحل والقدم إلى الخارج.
* عزم انثناء ظهري (Dorsiflexion Moment): يدفع القدم إلى الأعلى.

لمواجهة هذه القوى الطبيعية والحفاظ على استقرار الكاحل، يجب أن تعمل عضلات معينة في الساق والقدم بجد. على سبيل المثال، تعمل عضلة الظنبوب الخلفية (Tibialis Posterior) وعضلات الساق الخلفية (Gastro-soleus complex) باستمرار للحفاظ على القدم مستقيمة ومسطحة على الأرض.

وصف طبي دقيق للمريض

إن فهم هذه الميكانيكا الحيوية المعقدة هو حجر الزاوية في تشخيص وعلاج تشوهات الكاحل والقدم، وهو ما يتقنه الأستاذ الدكتور محمد هطيف في تقييمه لكل حالة.

صورة توضيحية لـ الاستاذ الدكتور محمد هطيف: دليل شامل لتشوهات قصبة الساق البعيدة والكاحل في صنعاء

الأسباب وعوامل الخطر لتشوهات قصبة الساق البعيدة

يمكن أن تنشأ تشوهات قصبة الساق البعيدة من مجموعة متنوعة من الأسباب، بعضها موجود منذ الولادة، والبعض الآخر يتطور بمرور الوقت نتيجة للإصابات أو الأمراض. فهم هذه الأسباب يساعد في تحديد أفضل خطة علاجية.

التشوهات الخلقية والوراثية

تولد بعض التشوهات مع الطفل، وتُعرف بالتشوهات الخلقية. قد تكون هذه التشوهات جزءًا من متلازمة أوسع أو تحدث بشكل منفصل.
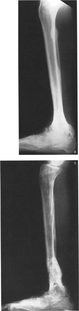
* نقص تنسج الشظية (Fibular Hemimelia): وهي حالة يولد فيها الطفل بشظية (عظم الساق الأصغر) أقصر من الطبيعي أو مفقودة جزئيًا. هذا يؤثر بشكل كبير على نمو قصبة الساق والكاحل، مما يؤدي إلى تشوهات شديدة في المحاذاة منذ الولادة. في هذه الحالات، يكون مركز دوران التشوه (CORA) عادةً عند مستوى المفصل نفسه.

إصابات وكسور الكاحل والساق

تُعد الإصابات الرضحية (Traumatic injuries) السبب الأكثر شيوعًا لتشوهات قصبة الساق البعيدة لدى البالغين.
* الكسور غير الملتئمة أو الملتئمة بشكل خاطئ: إذا لم يتم علاج كسر في الجزء السفلي من قصبة الساق أو الكاحل بشكل صحيح، أو إذا حدث التئام للعظم في وضع غير طبيعي، فقد يؤدي ذلك إلى تشوه دائم. على سبيل المثال، كسر في الكاحل يلتئم مع تقوس (Varus) أو روحبة (Valgus) في قصبة الساق يمكن أن يغير ميكانيكا الكاحل بشكل جذري.
* إصابات صفيحة النمو (Physeal Injuries): لدى الأطفال والمراهقين، يمكن أن تؤدي الإصابات التي تلحق بصفيحة النمو (المنطقة المسؤولة عن نمو العظم) إلى توقف النمو في جزء من الصفيحة، مما يتسبب في نمو العظم بشكل غير متساوٍ وتشوه.

أمراض النمو وتوقف الصفائح النمائية

بالإضافة إلى الإصابات، يمكن أن تؤثر بعض أمراض النمو على الصفائح النمائية، مما يؤدي إلى تشوهات تدريجية.
* توقف النمو الجزئي: يمكن أن يحدث توقف جزئي في نمو صفيحة النمو بسبب العدوى، أو نقص التروية الدموية، أو بعض الحالات الوراثية، مما يؤدي إلى انحراف العظم مع استمرار نمو الجزء غير المتأثر. في هذه الحالات، يكون مركز دوران التشوه عادةً قريبًا من صفيحة النمو المتأثرة.

عوامل أخرى تزيد من المخاطر

  • التهاب المفاصل: بعض أنواع التهاب المفاصل، مثل التهاب المفاصل الروماتويدي، يمكن أن تؤدي إلى تدمير المفاصل وتشوهات تدريجية.
  • الأورام: في حالات نادرة، يمكن أن تؤثر الأورام الحميدة أو الخبيثة في العظام القريبة من الكاحل على نموها أو تتسبب في تشوهات هيكلية.
  • العدوى: العدوى المزمنة في العظام (التهاب العظم والنقي) يمكن أن تلحق الضرر بالعظم وتؤدي إلى تشوهات.

يتطلب تحديد السبب الدقيق للتشوه تقييمًا شاملاً من قبل أخصائي متمرس مثل الأستاذ الدكتور محمد هطيف، الذي يستخدم خبرته الواسعة لتشخيص الحالة بدقة ووضع خطة علاجية مخصصة.

صورة توضيحية لـ الاستاذ الدكتور محمد هطيف: دليل شامل لتشوهات قصبة الساق البعيدة والكاحل في صنعاء

الأعراض والعلامات التي تدل على تشوهات قصبة الساق البعيدة

تتنوع أعراض تشوهات قصبة الساق البعيدة بناءً على شدة التشوه ونوعه، لكنها غالبًا ما تسبب تأثيرًا كبيرًا على القدرة على المشي وأداء الأنشطة اليومية. من المهم الانتباه لهذه العلامات وطلب الاستشارة الطبية المتخصصة.

الألم وصعوبة الحركة

  • الألم المزمن: يُعد الألم في الكاحل أو القدم هو العرض الأكثر شيوعًا. قد يكون الألم حادًا في البداية ثم يصبح مزمنًا، ويزداد سوءًا مع النشاط البدني أو الوقوف لفترات طويلة. يتركز الألم غالبًا في الجانب الذي يتعرض لضغط أكبر بسبب التشوه (مثل الجانب الخارجي في تشوهات الروحبة، أو الجانب الداخلي في تشوهات التقوس).
  • تصلب الكاحل: يلاحظ المرضى غالبًا صعوبة في تحريك الكاحل بالكامل، سواء في حركة الانثناء الظهري (رفع القدم لأعلى) أو الانثناء الأخمصي (توجيه القدم لأسفل). هذا التصلب يمكن أن يعيق المشي الطبيعي.
  • العرج: بسبب الألم وصعوبة الحركة، قد يطور المريض عرجًا واضحًا أثناء المشي، محاولًا تجنب الضغط على المنطقة المؤلمة.

تغير شكل القدم والكاحل

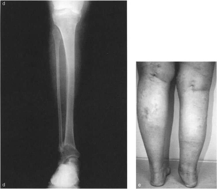
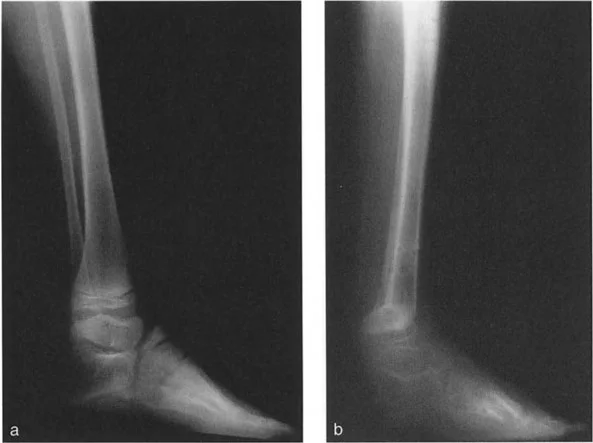
  • تشوه مرئي: في كثير من الحالات، يكون التشوه واضحًا للعين المجردة. قد يظهر الكاحل منحرفًا إلى الداخل (تقوس) أو إلى الخارج (روحبة).
    • تشوه التقوس (Varus): يبدو الكاحل والقدم منحرفين إلى الداخل، مما يجعل القدم تبدو ذات قوس عالٍ (قدم جوفاء). هذا يسبب ضغطًا زائدًا على الحافة الخارجية للقدم.
    • تشوه الروحبة (Valgus): يبدو الكاحل والقدم منحرفين إلى الخارج، مما يؤدي إلى تسطح قوس القدم (قدم مسطحة مرنة). هذا يزيد الضغط على الجانب الخارجي لمفصل الكاحل.
  • تغير في شكل القدم: تتكيف القدم مع تشوه الساق للحفاظ على استواء السطح السفلي على الأرض. في تشوه التقوس، قد تصبح القدم صلبة وذات قوس عالٍ. في تشوه الروحبة، قد تتسطح القدم وتصبح مرنة.
  • تورم أو كدمات: قد يحدث تورم في منطقة الكاحل، خاصة بعد النشاط البدني. في حالات التشوهات الناتجة عن إصابات حديثة، قد تكون هناك كدمات أيضًا.

تأثير المشي والحياة اليومية

  • صعوبة في ارتداء الأحذية: قد يجد المرضى صعوبة في ارتداء الأحذية العادية بسبب التغير في شكل القدم والكاحل، وقد يحتاجون إلى أحذية خاصة أو دعامات تقويمية.
  • عدم الثبات: قد يشعر المريض بعدم الثبات في الكاحل، مما يزيد من خطر السقوط أو الالتواءات المتكررة.
  • تأثير على الأنشطة: تصبح الأنشطة التي تتطلب الوقوف أو المشي لفترات طويلة صعبة ومؤلمة، مما يؤثر على العمل والهوايات ونوعية الحياة بشكل عام.

المضاعفات طويلة الأمد

إذا تُركت تشوهات قصبة الساق البعيدة دون علاج، فإنها يمكن أن تؤدي إلى مضاعفات خطيرة على المدى الطويل:
* التهاب المفاصل التنكسي (Osteoarthritis): الضغط غير المتوازن على مفصل الكاحل يؤدي إلى تآكل سريع لغضاريف المفصل، مما يتسبب في خشونة الكاحل وألم مزمن.
* آلام القدم المزمنة: بسبب محاولة القدم التعويض عن التشوه، قد تتطور آلام في أجزاء مختلفة من القدم، مثل قوس القدم أو الكعب.
* تشوهات ثانوية: قد تتطور تشوهات في الركبة أو الورك أو العمود الفقري مع مرور الوقت، حيث يحاول الجسم تعويض التشوه الأصلي.

عند ملاحظة أي من هذه الأعراض، من الضروري استشارة الأستاذ الدكتور محمد هطيف لتقييم دقيق وتشخيص مبكر، مما يفتح الباب أمام خيارات علاجية أكثر فعالية.

صورة توضيحية لـ الاستاذ الدكتور محمد هطيف: دليل شامل لتشوهات قصبة الساق البعيدة والكاحل في صنعاء

التشخيص الدقيق لتشوهات قصبة الساق البعيدة

يعتمد التشخيص الدقيق لتشوهات قصبة الساق البعيدة على مزيج من الفحص السريري الشامل والتصوير الإشعاعي المتخصص. هذه الخطوات حاسمة لتحديد نوع التشوه، وموقعه، ومدى تأثيره على ميكانيكا الكاحل والقدم. الأستاذ الدكتور محمد هطيف يتبع نهجًا منهجيًا ومفصلاً لضمان التشخيص الأكثر دقة.

الفحص السريري الشامل

يبدأ التقييم بفحص سريري دقيق يقوم به الأستاذ الدكتور محمد هطيف. يتضمن هذا الفحص:
* التاريخ المرضي: سؤال المريض عن الأعراض، متى بدأت، ما الذي يزيدها سوءًا، وما إذا كانت هناك إصابات سابقة أو حالات طبية أخرى.
* المعاينة البصرية: ملاحظة شكل الساق والقدم والكاحل أثناء الوقوف والمشي. يتم تقييم العرج، وتوازن الجسم، وكيفية توزيع الوزن.
* تقييم حركة المفاصل: قياس نطاق حركة مفصل الكاحل والقدم (الانثناء الظهري، الانثناء الأخمصي، الانقلاب، الانقلاب العكسي).
* تقييم القوة العضلية: فحص قوة العضلات المحيطة بالكاحل والقدم.
* فحص المشي (Gait Analysis): ملاحظة نمط مشي المريض لتحديد كيفية تأثير التشوه على حركته.
* تقييم تعويضات القدم: يتم تقييم كيف تحاول القدم تعويض التشوه في الساق. على سبيل المثال، في تشوه التقوس الساقي، قد تظهر القدم بقوس عالٍ وصلب. في تشوه الروحبة، قد تظهر القدم مسطحة ومرنة.

التصوير الإشعاعي المتقدم

التصوير الإشعاعي هو الأداة الأساسية لتأكيد التشخيص وتحديد تفاصيل التشوه.
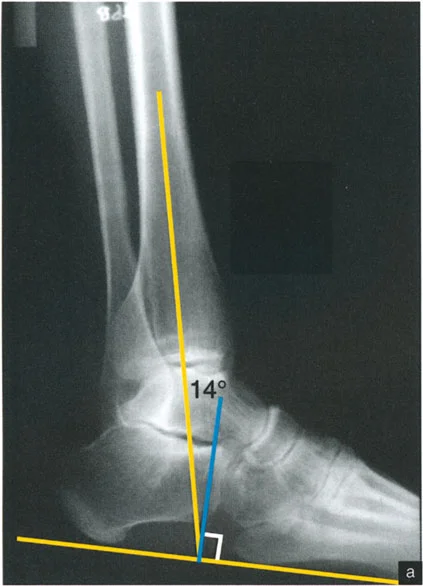
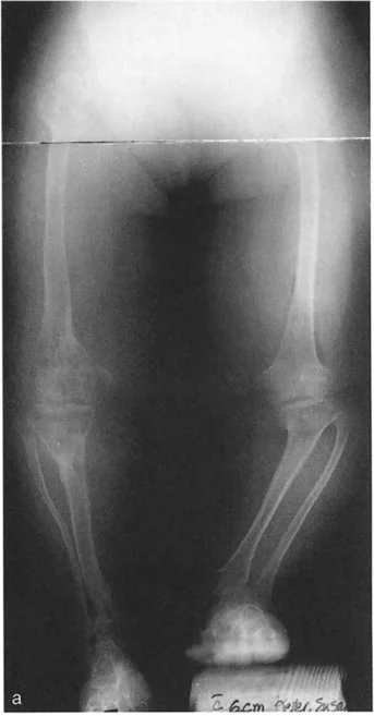
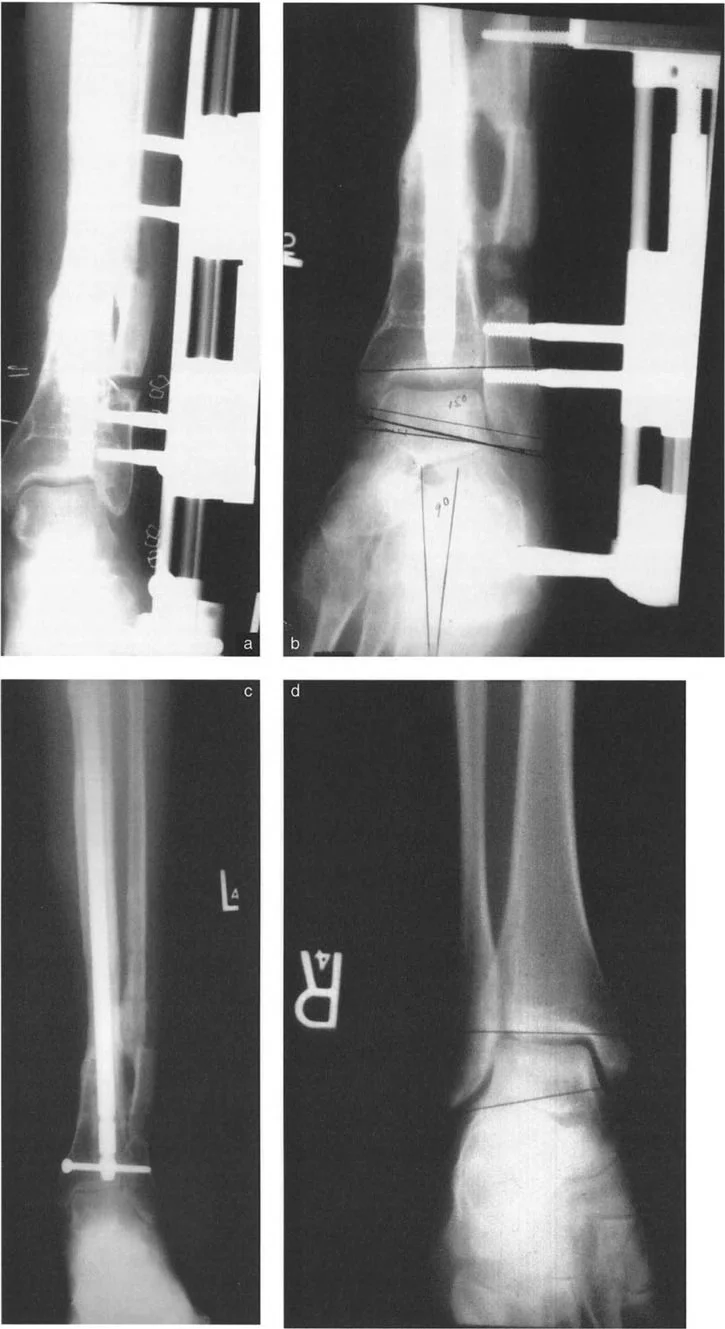
* الأشعة السينية (X-rays) الواقفة لكامل الطرف السفلي: هذه الأشعة ضرورية لتقييم المحاذاة الكلية للطرف السفلي تحت تأثير وزن الجسم. يطلب الأستاذ الدكتور محمد هطيف صورًا شعاعية كاملة الطول للساق أثناء الوقوف (Full-length standing alignment films) لتقييم المحور الميكانيكي للساق وتحديد زوايا المفاصل بدقة.
* الأشعة السينية الجانبية والامامية الخلفية للكاحل: تُظهر هذه الصور تفاصيل مفصل الكاحل نفسه، بما في ذلك زاوية القصبة الأمامية البعيدة (ADTA) وزاوية القصبة الوحشية البعيدة (LDTA)، وهي زوايا حاسمة لتحديد التشوه في المستويين الأمامي والسهمي.
* منظر سولتزمان (Saltzman View): هذا المنظر الإشعاعي الخاص يتم الحصول عليه بزاوية 20 درجة لقياس محاذاة عظم العقب (Calcaneus) بالنسبة لقصبة الساق، وهو أمر بالغ الأهمية لتقييم تعويضات القدم الخلفية.

وصف طبي دقيق للمريض
* التصوير المقطعي المحوسب (CT Scan): قد يكون ضروريًا في الحالات المعقدة أو لتحديد تفاصيل الكسور القديمة أو التشوهات ثلاثية الأبعاد، خاصة عند التخطيط الجراحي الدقيق.
* التصوير بالرنين المغناطيسي (MRI): يُستخدم لتقييم الأنسجة الرخوة، مثل الأربطة والأوتار والغضاريف، وتحديد مدى تضررها بسبب التشوه.

أهمية التقييم المتخصص

إن تفسير هذه الصور الإشعاعية وتطبيق مبادئ تصحيح التشوهات (مثل مبادئ بالي) يتطلب خبرة متخصصة. الأستاذ الدكتور محمد هطيف يتميز ببراعته في:
* رسم المحاور الميكانيكية والتشريحية: لتحديد نقطة مركز دوران التشوه (CORA)، وهي النقطة التي يجب أن تتم عندها الجراحة لتصحيح التشوه بأقل قدر من المضاعفات.
* فهم آليات التعويض: تحليل كيف تحاول القدم والكاحل تعويض التشوه في الساق، وما هي حدود هذا التعويض.
* التخطيط الجراحي الدقيق: استخدام هذه البيانات لوضع خطة جراحية مفصلة للغاية، بما في ذلك نوع قطع العظم، وموقعه، وكيفية تحقيق التصحيح المطلوب.

هذا التقييم الشامل والدقيق هو ما يميز نهج الأستاذ الدكتور محمد هطيف، ويضمن أن كل مريض يتلقى خطة علاجية مصممة خصيصًا لحالته، مما يزيد من فرص نجاح الجراحة والتعافي الكامل.

صورة توضيحية لـ الاستاذ الدكتور محمد هطيف: دليل شامل لتشوهات قصبة الساق البعيدة والكاحل في صنعاء

خيارات العلاج المتقدمة لتشوهات قصبة الساق البعيدة

يهدف علاج تشوهات قصبة الساق البعيدة إلى استعادة المحاذاة الطبيعية للطرف السفلي، وتخفيف الألم، وتحسين وظيفة الكاحل والقدم، ومنع تدهور المفصل. غالبًا ما يكون التدخل الجراحي هو الحل الأكثر فعالية، خاصة في الحالات الشديدة أو التي لا تستجيب للعلاج التحفظي. يعتمد الأستاذ الدكتور محمد هطيف على أحدث التقنيات الجراحية والمبادئ العلمية، مثل مبادئ بالي، لضمان أفضل النتائج.

مبادئ بالي لتصحيح التشوهات

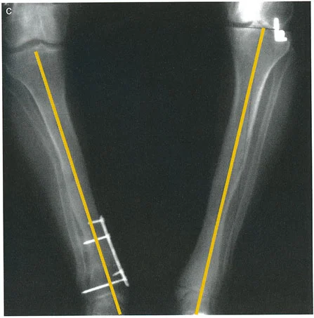
تُعد مبادئ الدكتور درور بالي حجر الزاوية في جراحة تصحيح تشوهات العظام. تركز هذه المبادئ على تحديد "مركز دوران التشوه" (CORA - Center of Rotation of Angulation) بدقة. إن موقع CORA يحدد كيفية تأثير التشوه على المفاصل المجاورة ويوجّه الجراح في اختيار مكان قطع العظم (Osteotomy).

  • فهم CORA:
    • إذا كان CORA قريبًا من مفصل الكاحل، فإن التشوه يؤثر بشكل أساسي على محاذاة الكاحل.
    • إذا كان CORA قريبًا من مفصل الركبة، فإن التشوه يؤثر بشكل أساسي على محاذاة الركبة.
    • إذا كان CORA في منتصف عظم الساق، فإنه يؤثر على كلا المفصلين ولكن بدرجة أقل.

وصف طبي دقيق للمريض

  • قواعد بالي لقطع العظم:
    1. القاعدة الأولى: عندما يمر قطع العظم ومحور تصحيح الزاوية (ACA) عبر CORA، يتم تحقيق تصحيح زاوي نقي دون أي إزاحة.
    2. القاعدة الثانية: عندما يمر ACA عبر CORA، ولكن قطع العظم يتم في مستوى مختلف (غالبًا ما يكون ضروريًا لتوفير مساحة كافية للتثبيت)، يتم تحقيق تصحيح زاوي نقي، ولكن أطراف العظم ستنزاح في موقع قطع العظم. يجب على الجراح توقع هذه الإزاحة وإدارتها.
    3. القاعدة الثالثة: إذا كان ACA وقطع العظم في نفس المستوى، ولكن لا يمر أي منهما عبر CORA، فسيحدث تشوه إزاحة (ترجمة) غير مرغوب فيه. يتطلب هذا الأمر من الجراح إجراء إزاحة متعمدة للقطعة العظمية البعيدة أثناء التصحيح الزاوي لإعادة محاذاة المحور الميكانيكي.

وصف طبي دقيق للمريض

تساعد هذه المبادئ الأستاذ الدكتور محمد هطيف على التخطيط لكل جراحة بدقة متناهية، لتجنب المضاعفات وتحقيق أفضل محاذاة ممكنة.

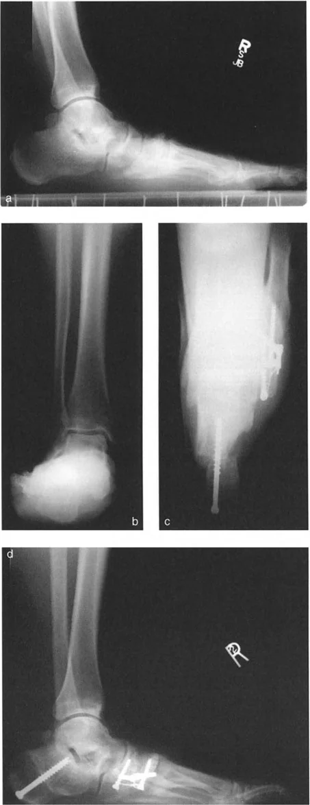
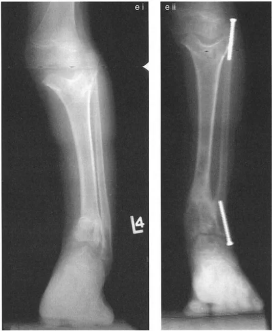
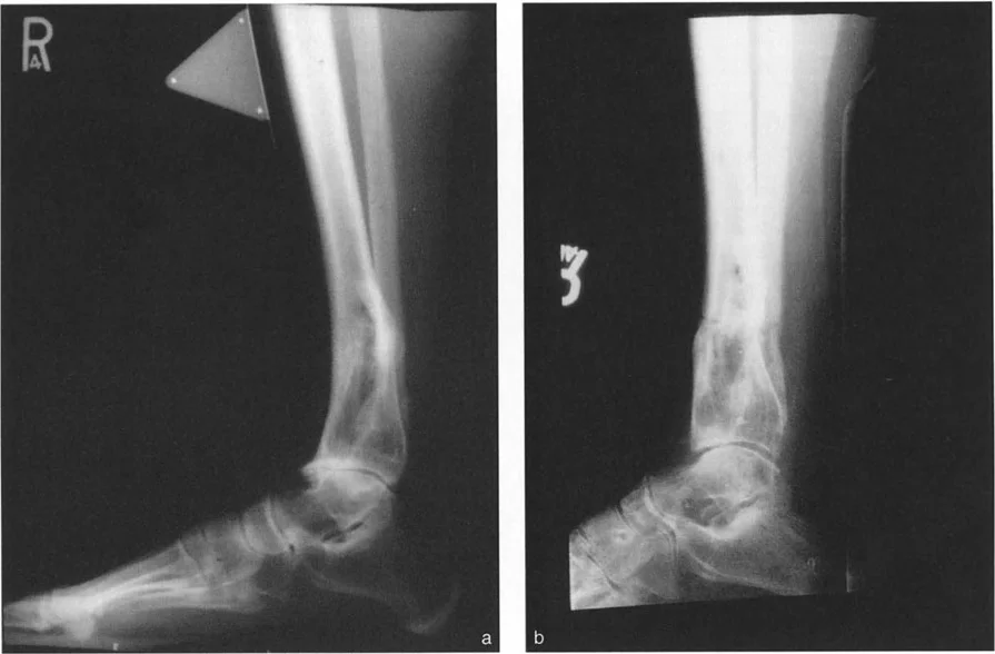
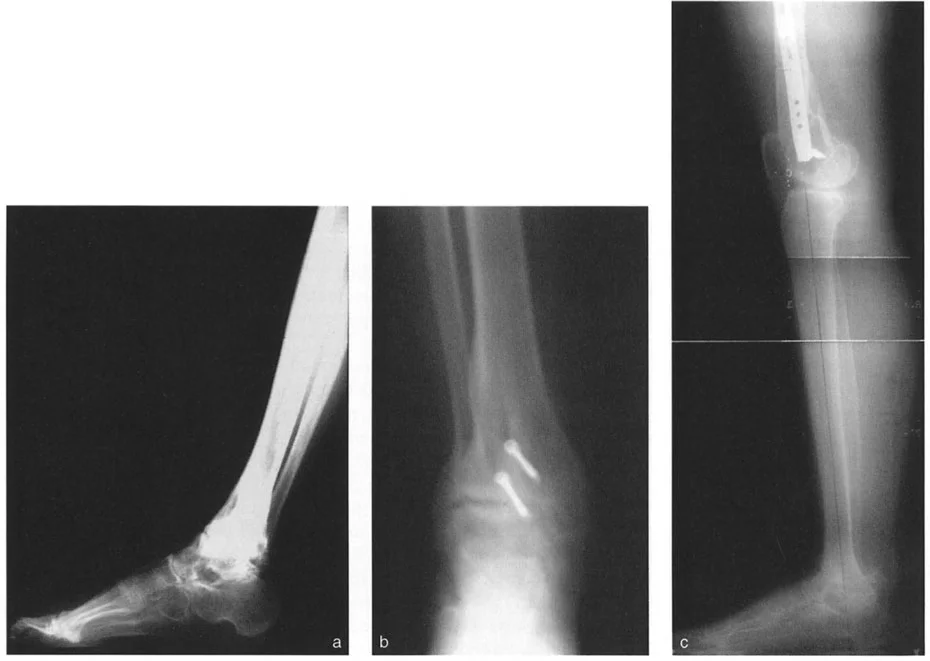
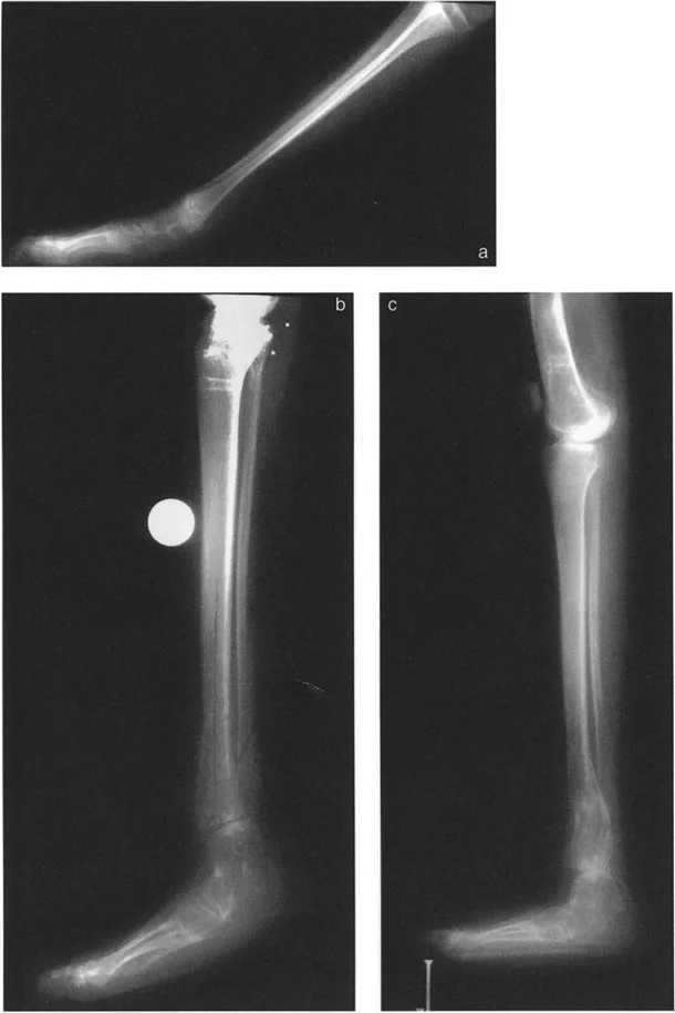
أنواع جراحات قطع العظم فوق الكاحل (Supramalleolar Osteotomy)

جراحة قطع العظم فوق الكاحل (SMO) هي الإجراء الأكثر شيوعًا لتصحيح تشوهات قصبة الساق البعيدة. تتضمن هذه الجراحة قطعًا دقيقًا في عظم الساق (القصبة) فوق مفصل الكاحل مباشرة، ثم إعادة محاذاة العظم وتثبيته في الوضع الصحيح. هناك عدة أنواع من هذه الجراحة:

  1. قطع العظم الإسفيني الفاتح (Opening Wedge Osteotomy):

    • يتم عمل قطع في العظم ثم فتح فجوة صغيرة فيه. تُملأ هذه الفجوة عادةً بترقيع عظمي (من جسم المريض أو من متبرع).
    • المميزات: يحافظ على طول الطرف، وهو مفيد إذا كان المريض يعاني أيضًا من اختلاف في طول الساقين.
    • العيوب: يتطلب ترقيعًا عظميًا، ويستغرق وقتًا أطول للالتئام، وقد يزيد من توتر الأنسجة الرخوة حول العظم.
  2. قطع العظم الإسفيني المغلق (Closing Wedge Osteotomy):

    • يتم إزالة قطعة صغيرة من العظم على شكل إسفين، ثم يتم تقريب أطراف العظم وربطها معًا.
    • المميزات: يوفر استقرارًا عاليًا، ويسمح بالاتصال المباشر بين العظام، مما يسرع الالتئام ويسمح غالبًا بتحميل الوزن مبكرًا.
    • العيوب: يؤدي إلى تقصير طفيف في الطرف، وهو ما قد لا يكون مرغوبًا في بعض الحالات.
  3. قطع العظم القوسي البؤري (Focal Dome Osteotomy):

    • يتم عمل قطع منحني في العظم، مما يسمح بتصحيح

صورة طبية: الاستاذ الدكتور محمد هطيف: دليل شامل لتشوهات قصبة الساق البعيدة والكاحل في صنعاء

صورة طبية: الاستاذ الدكتور محمد هطيف: دليل شامل لتشوهات قصبة الساق البعيدة والكاحل في صنعاء

صورة طبية: الاستاذ الدكتور محمد هطيف: دليل شامل لتشوهات قصبة الساق البعيدة والكاحل في صنعاء

صورة طبية: الاستاذ الدكتور محمد هطيف: دليل شامل لتشوهات قصبة الساق البعيدة والكاحل في صنعاء

صورة طبية: الاستاذ الدكتور محمد هطيف: دليل شامل لتشوهات قصبة الساق البعيدة والكاحل في صنعاء

صورة طبية: الاستاذ الدكتور محمد هطيف: دليل شامل لتشوهات قصبة الساق البعيدة والكاحل في صنعاء

صورة طبية: الاستاذ الدكتور محمد هطيف: دليل شامل لتشوهات قصبة الساق البعيدة والكاحل في صنعاء

صورة طبية: الاستاذ الدكتور محمد هطيف: دليل شامل لتشوهات قصبة الساق البعيدة والكاحل في صنعاء

صورة طبية: الاستاذ الدكتور محمد هطيف: دليل شامل لتشوهات قصبة الساق البعيدة والكاحل في صنعاء

صورة طبية: الاستاذ الدكتور محمد هطيف: دليل شامل لتشوهات قصبة الساق البعيدة والكاحل في صنعاء

صورة طبية: الاستاذ الدكتور محمد هطيف: دليل شامل لتشوهات قصبة الساق البعيدة والكاحل في صنعاء

صورة طبية: الاستاذ الدكتور محمد هطيف: دليل شامل لتشوهات قصبة الساق البعيدة والكاحل في صنعاء

صورة طبية: الاستاذ الدكتور محمد هطيف: دليل شامل لتشوهات قصبة الساق البعيدة والكاحل في صنعاء

صورة طبية: الاستاذ الدكتور محمد هطيف: دليل شامل لتشوهات قصبة الساق البعيدة والكاحل في صنعاء

صورة طبية: الاستاذ الدكتور محمد هطيف: دليل شامل لتشوهات قصبة الساق البعيدة والكاحل في صنعاء

صورة طبية: الاستاذ الدكتور محمد هطيف: دليل شامل لتشوهات قصبة الساق البعيدة والكاحل في صنعاء

صورة طبية: الاستاذ الدكتور محمد هطيف: دليل شامل لتشوهات قصبة الساق البعيدة والكاحل في صنعاء

صورة طبية: الاستاذ الدكتور محمد هطيف: دليل شامل لتشوهات قصبة الساق البعيدة والكاحل في صنعاء

صورة طبية: الاستاذ الدكتور محمد هطيف: دليل شامل لتشوهات قصبة الساق البعيدة والكاحل في صنعاء

صورة طبية: الاستاذ الدكتور محمد هطيف: دليل شامل لتشوهات قصبة الساق البعيدة والكاحل في صنعاء

صورة طبية: الاستاذ الدكتور محمد هطيف: دليل شامل لتشوهات قصبة الساق البعيدة والكاحل في صنعاء

صورة طبية: الاستاذ الدكتور محمد هطيف: دليل شامل لتشوهات قصبة الساق البعيدة والكاحل في صنعاء

صورة طبية: الاستاذ الدكتور محمد هطيف: دليل شامل لتشوهات قصبة الساق البعيدة والكاحل في صنعاء

صورة طبية: الاستاذ الدكتور محمد هطيف: دليل شامل لتشوهات قصبة الساق البعيدة والكاحل في صنعاء

صورة طبية: الاستاذ الدكتور محمد هطيف: دليل شامل لتشوهات قصبة الساق البعيدة والكاحل في صنعاء

صورة طبية: الاستاذ الدكتور محمد هطيف: دليل شامل لتشوهات قصبة الساق البعيدة والكاحل في صنعاء

صورة طبية: الاستاذ الدكتور محمد هطيف: دليل شامل لتشوهات قصبة الساق البعيدة والكاحل في صنعاء

صورة طبية: الاستاذ الدكتور محمد هطيف: دليل شامل لتشوهات قصبة الساق البعيدة والكاحل في صنعاء

صورة طبية: الاستاذ الدكتور محمد هطيف: دليل شامل لتشوهات قصبة الساق البعيدة والكاحل في صنعاء

صورة طبية: الاستاذ الدكتور محمد هطيف: دليل شامل لتشوهات قصبة الساق البعيدة والكاحل في صنعاء

صورة طبية: الاستاذ الدكتور محمد هطيف: دليل شامل لتشوهات قصبة الساق البعيدة والكاحل في صنعاء

صورة طبية: الاستاذ الدكتور محمد هطيف: دليل شامل لتشوهات قصبة الساق البعيدة والكاحل في صنعاء

صورة طبية: الاستاذ الدكتور محمد هطيف: دليل شامل لتشوهات قصبة الساق البعيدة والكاحل في صنعاء

صورة طبية: الاستاذ الدكتور محمد هطيف: دليل شامل لتشوهات قصبة الساق البعيدة والكاحل في صنعاء

صورة طبية: الاستاذ الدكتور محمد هطيف: دليل شامل لتشوهات قصبة الساق البعيدة والكاحل في صنعاء

صورة طبية: الاستاذ الدكتور محمد هطيف: دليل شامل لتشوهات قصبة الساق البعيدة والكاحل في صنعاء

صورة طبية: الاستاذ الدكتور محمد هطيف: دليل شامل لتشوهات قصبة الساق البعيدة والكاحل في صنعاء

صورة طبية: الاستاذ الدكتور محمد هطيف: دليل شامل لتشوهات قصبة الساق البعيدة والكاحل في صنعاء

صورة طبية: الاستاذ الدكتور محمد هطيف: دليل شامل لتشوهات قصبة الساق البعيدة والكاحل في صنعاء

صورة طبية: الاستاذ الدكتور محمد هطيف: دليل شامل لتشوهات قصبة الساق البعيدة والكاحل في صنعاء

صورة طبية: الاستاذ الدكتور محمد هطيف: دليل شامل لتشوهات قصبة الساق البعيدة والكاحل في صنعاء

صورة طبية: الاستاذ الدكتور محمد هطيف: دليل شامل لتشوهات قصبة الساق البعيدة والكاحل في صنعاء

صورة طبية: الاستاذ الدكتور محمد هطيف: دليل شامل لتشوهات قصبة الساق البعيدة والكاحل في صنعاء

صورة طبية: الاستاذ الدكتور محمد هطيف: دليل شامل لتشوهات قصبة الساق البعيدة والكاحل في صنعاء

صورة طبية: الاستاذ الدكتور محمد هطيف: دليل شامل لتشوهات قصبة الساق البعيدة والكاحل في صنعاء

صورة طبية: الاستاذ الدكتور محمد هطيف: دليل شامل لتشوهات قصبة الساق البعيدة والكاحل في صنعاء

صورة طبية: الاستاذ الدكتور محمد هطيف: دليل شامل لتشوهات قصبة الساق البعيدة والكاحل في صنعاء

صورة طبية: الاستاذ الدكتور محمد هطيف: دليل شامل لتشوهات قصبة الساق البعيدة والكاحل في صنعاء

صورة طبية: الاستاذ الدكتور محمد هطيف: دليل شامل لتشوهات قصبة الساق البعيدة والكاحل في صنعاء

صورة طبية: الاستاذ الدكتور محمد هطيف: دليل شامل لتشوهات قصبة الساق البعيدة والكاحل في صنعاء

صورة طبية: الاستاذ الدكتور محمد هطيف: دليل شامل لتشوهات قصبة الساق البعيدة والكاحل في صنعاء

صورة طبية: الاستاذ الدكتور محمد هطيف: دليل شامل لتشوهات قصبة الساق البعيدة والكاحل في صنعاء

صورة طبية: الاستاذ الدكتور محمد هطيف: دليل شامل لتشوهات قصبة الساق البعيدة والكاحل في صنعاء

صورة طبية: الاستاذ الدكتور محمد هطيف: دليل شامل لتشوهات قصبة الساق البعيدة والكاحل في صنعاء

صورة طبية: الاستاذ الدكتور محمد هطيف: دليل شامل لتشوهات قصبة الساق البعيدة والكاحل في صنعاء

صورة طبية: الاستاذ الدكتور محمد هطيف: دليل شامل لتشوهات قصبة الساق البعيدة والكاحل في صنعاء

صورة طبية: الاستاذ الدكتور محمد هطيف: دليل شامل لتشوهات قصبة الساق البعيدة والكاحل في صنعاء

صورة طبية: الاستاذ الدكتور محمد هطيف: دليل شامل لتشوهات قصبة الساق البعيدة والكاحل في صنعاء

صورة طبية: الاستاذ الدكتور محمد هطيف: دليل شامل لتشوهات قصبة الساق البعيدة والكاحل في صنعاء

صورة طبية: الاستاذ الدكتور محمد هطيف: دليل شامل لتشوهات قصبة الساق البعيدة والكاحل في صنعاء

صورة طبية: الاستاذ الدكتور محمد هطيف: دليل شامل لتشوهات قصبة الساق البعيدة والكاحل في صنعاء

صورة طبية: الاستاذ الدكتور محمد هطيف: دليل شامل لتشوهات قصبة الساق البعيدة والكاحل في صنعاء

صورة طبية: الاستاذ الدكتور محمد هطيف: دليل شامل لتشوهات قصبة الساق البعيدة والكاحل في صنعاء

صورة طبية: الاستاذ الدكتور محمد هطيف: دليل شامل لتشوهات قصبة الساق البعيدة والكاحل في صنعاء

صورة طبية: الاستاذ الدكتور محمد هطيف: دليل شامل لتشوهات قصبة الساق البعيدة والكاحل في صنعاء

صورة طبية: الاستاذ الدكتور محمد هطيف: دليل شامل لتشوهات قصبة الساق البعيدة والكاحل في صنعاء

صورة طبية: الاستاذ الدكتور محمد هطيف: دليل شامل لتشوهات قصبة الساق البعيدة والكاحل في صنعاء

صورة طبية: الاستاذ الدكتور محمد هطيف: دليل شامل لتشوهات قصبة الساق البعيدة والكاحل في صنعاء

صورة طبية: الاستاذ الدكتور محمد هطيف: دليل شامل لتشوهات قصبة الساق البعيدة والكاحل في صنعاء

صورة طبية: الاستاذ الدكتور محمد هطيف: دليل شامل لتشوهات قصبة الساق البعيدة والكاحل في صنعاء


آلام العظام والمفاصل المزمنة ليس قدراً محتوماً! التشخيص الدقيق والعلاج المتخصص يمكن أن يعيد لك كامل وظيفتك وحريتك في الحركة بدون ألم.

للحصول على استشارة دقيقة وخطة علاجية مخصصة لحالتك، تواصل فوراً مع مركز الأستاذ الدكتور محمد هطيف:

الأستاذ الدكتور محمد هطيف - أفضل دكتور عظام في صنعاء، وخبير في جراحات العظام والمفاصل المتقدمة.

مواضيع أخرى قد تهمك

Dr. Mohammed Hutaif
محتوى موثق طبياً بإشراف
أ.د. محمد هطيف
استشاري جراحة العظام والمفاصل والعمود الفقري
محتويات الفصل