إتقان ميكانيكا المشي الحيوية وتصحيح تشوهات الأطراف السفلية: نهج الأستاذ الدكتور محمد هطيف في صنعاء

الخلاصة الطبية
تصحيح تشوهات الأطراف السفلية ومشاكل المشي يعيد التوازن ويخفف الألم. يعتمد الأستاذ الدكتور محمد هطيف في صنعاء على مبادئ بالي المتقدمة لتشخيص دقيق وتدخل جراحي فعال، مستهدفًا استعادة حركة المفاصل الطبيعية وتحسين نوعية الحياة للمرضى.
الخلاصة الطبية السريعة: تصحيح تشوهات الأطراف السفلية ومشاكل المشي يعيد التوازن ويخفف الألم. يعتمد الأستاذ الدكتور محمد هطيف في صنعاء على مبادئ بالي المتقدمة لتشخيص دقيق وتدخل جراحي فعال، مستهدفًا استعادة حركة المفاصل الطبيعية وتحسين نوعية الحياة للمرضى.
مقدمة في تشوهات الأطراف السفلية ومشاكل المشي
تُعد القدرة على المشي بشكل طبيعي وسلس من أهم جوانب الحياة اليومية التي نأخذها غالبًا كأمر مسلم به. ولكن بالنسبة للعديد من الأشخاص، يمكن أن تؤثر تشوهات الأطراف السفلية بشكل كبير على قدرتهم على الحركة، مما يسبب الألم، ويحد من استقلاليتهم، ويؤثر على جودة حياتهم بشكل عام. إن فهم كيفية تأثير هذه التشوهات على طريقة مشينا ليس مجرد مسألة تحليل لصور الأشعة السينية الثابتة، بل هو فهم عميق للحركة الديناميكية للجسم البشري، وتحديداً دورة المشي.
في هذا الدليل الشامل، سنتعمق في عالم ميكانيكا المشي الحيوية (Gait Biomechanics) وكيف تتأثر بالتشوهات الهيكلية في الأطراف السفلية. سنستكشف الآليات التعويضية المعقدة التي يتبناها الجسم للتكيف مع هذه التشوهات، والتكلفة الباهظة لهذه التعويضات على المفاصل المحيطة، والألم الذي لا مفر منه.
يُعد الأستاذ الدكتور محمد هطيف، استشاري جراحة العظام والعمود الفقري في صنعاء، رائدًا في هذا المجال، حيث يطبق مبادئ الدكتور درور بالي (Dr. Dror Paley) المتقدمة لتقديم تشخيص دقيق وعلاج فعال لتصحيح تشوهات الأطراف السفلية. بفضل خبرته الواسعة والتزامه بالمعايير العالمية، يقدم الدكتور هطيف حلولاً جراحية دقيقة تهدف إلى استعادة الوظيفة الطبيعية للمشي وتحسين نوعية حياة المرضى في اليمن وخارجها.



تشريح المشي الطبيعي ووظيفته
لفهم المشي غير الطبيعي، يجب أولاً أن نفهم المشي الطبيعي بشكل دقيق. المشي الطبيعي هو نمط حركة عالي الكفاءة، حيث تكون خطوات القدمين متساوية تمامًا في الطول، وتكون المعلمات الزمنية والمسافية متماثلة بين الطرفين السفليين. يحقق الجسم أقصى قدر من الكفاءة ويقلل من استهلاك الطاقة عن طريق الحفاظ على مركز ثقله يتحرك في مسار سلس ومنتظم يشبه الموجة الجيبية.
تُعرّف دورة المشي الواحدة بدقة على أنها الفترة الزمنية من لحظة ملامسة كعب قدم واحدة للأرض (Heel Strike) إلى لحظة ملامسة كعب نفس القدم للأرض مرة أخرى.
مراحل دورة المشي
تنقسم كل دورة مشي طبيعية إلى مرحلتين أساسيتين:
- مرحلة الوقوف (Stance Phase): تشكل حوالي 62% من الدورة. وهي الفترة التي تكون فيها القدم على اتصال بالأرض، حاملة للوزن وتمتص الصدمات.
- مرحلة التأرجح (Swing Phase): تشكل حوالي 38% من الدورة. وهي الفترة التي تتقدم فيها القدم في الهواء استعدادًا للخطوة التالية.
تنقسم مرحلة الوقوف بدورها إلى أحداث حيوية لتحمل الوزن. في بداية ونهاية مرحلة الوقوف، تكون كلتا القدمين على الأرض في نفس الوقت. تُعرف هذه الفترة بـ مرحلة الوقوف المزدوج (Double Stance Phase)، وتشكل 12% من الدورة في كل طرف (إجمالي 24%). وبالتالي، تكون كل ساق في مرحلة الوقوف الفردي (Single Limb Stance) لمدة 38% بالضبط من دورة المشي.
خلال مرحلة الوقوف الفردي هذه التي تبلغ 38%، يحدث أقصى تحميل على مفاصل الورك والركبة والكاحل. يتم نقل وزن الجسم بالكامل، بالإضافة إلى قوى التسارع الناتجة عن الجاذبية والزخم الأمامي، عبر الغضروف المفصلي لساق واحدة. أي انحراف في المحور الميكانيكي خلال هذه المرحلة يؤدي إلى زيادات هائلة في الضغط الموضعي على المفصل.

آليات الدوران الثلاثة للقدم والكاحل (The Three Rockers)
خلال مرحلة الوقوف، تعمل القدم والكاحل كنظام رافعة ديناميكي، مستخدمين ثلاث آليات "دوارة" (rocker) مميزة للسماح بالتقدم السلس لمركز ثقل الجسم فوق قدم ثابتة.
- دوران الكعب (Heel Rocker) - من ملامسة الكعب الأولية إلى تحمل الحمل: الوظيفة الأساسية هنا هي تحمل الحمل وامتصاص الصدمات. عندما يلامس الكعب الأرض، تكون القدم عادة بزاوية 95 درجة بالنسبة لعظم الساق (5 درجات من الانثناء الأخمصي). يساهم الانقباض اللامركزي المتحكم فيه لعضلات الكاحل الباسطة (خاصة العضلة الظنبوبية الأمامية) في خفض مقدمة القدم بسلاسة إلى الأرض، مما يمنع "صفع القدم".
- دوران الكاحل/منتصف القدم (Ankle/Midfoot Rocker) - منتصف مرحلة الوقوف: تكون القدم الآن مسطحة تمامًا على الأرض. يجب أن يتحرك عظم الساق إلى الأمام فوق عظم الكاحل الثابت، متحركًا في اتجاه البسط الظهري. هذه المرحلة حاسمة لتقدم الجسم إلى الأمام في الفراغ. بحلول نهاية هذا الدوران الثاني، تكون القدم بزاوية 80 درجة بالنسبة لعظم الساق (10 درجات من البسط الظهري).
- دوران مقدمة القدم (Forefoot Rocker) - من نهاية مرحلة الوقوف إلى ما قبل التأرجح: يتم نقل الوزن بسرعة إلى رؤوس عظام الأمشاط (مقدمة القدم). يرتفع الكعب، وتشارك اللفافة الأخمصية (آلية الوندرلاس)، ويتم دفع الطرف بنشاط إلى مرحلة التأرجح بواسطة عضلات الساق الخلفية (triceps surae). تنتقل القدم من 80 درجة إلى 95 درجة بالنسبة لعظم الساق.
عند وجود تشوهات هيكلية، تكون آليات الدوران الدقيقة هذه هي أول ما يتأثر، مما يؤدي إلى تفاعلات حركية عميقة تنتقل إلى الأعلى على طول الطرف.



أسباب تشوهات الأطراف السفلية وتأثيرها على المشي
يمكن أن ينجم المشي غير الطبيعي عن مجموعة لا حصر لها من الحالات العضلية الهيكلية والعصبية. ومع ذلك، فإن الأسباب الجذرية الأساسية قليلة نسبيًا: التشوه الهيكلي، الألم، ضعف العضلات، وتغير التحكم العصبي العضلي. كجراحي ترميم، ينصب تركيزنا الأساسي على التشوهات الهيكلية التي تؤدي إلى سوء المحاذاة وسوء التوجيه في مفاصل الورك والركبة والكاحل والقدم.
تعمل تشوهات الأطراف السفلية على تعطيل المشي الطبيعي من خلال ثلاثة أنواع رئيسية من الفشل الميكانيكي: التضحية بحركة المفصل، وإنشاء أوضاع مفصلية ثابتة، وتحفيز تحميل غير طبيعي للمفصل. فهم هذه "الثلاثية" ضروري لأي جراح يخطط لإجراء قطع عظم (osteotomy) أو يستخدم مثبتًا خارجيًا سداسي الأرجل (hexapod external fixator).
1. التضحية بحركة المفصل
الجسم البشري آلة تتكيف بشكل مذهل. عندما يكون العظم مشوهًا، يحاول الجسم التعويض عن طريق التضحية بمدى الحركة المتاح في المفاصل المجاورة مباشرة للتشوه للحفاظ على وضع وظيفي.
لنأخذ على سبيل المثال، تشوه الانحناء الأمامي (procurvatum) في الجزء البعيد من عظم الساق (الظنبوب) بمقدار 20 درجة. في تشوه الانحناء الأمامي (القمة الأمامية)، يميل السطح المفصلي البعيد لعظم الساق (plafond) إلى الأعلى (ظهريًا). لتحقيق قدم مستوية (plantigrade foot) على الأرض أثناء مرحلة الوقوف، يجب على المريض استهلاك مدى حركة البسط الظهري المتاح للكاحل فقط لاستيعاب العظم المنحني.


يتطلب التقدم الأمامي الطبيعي للجسم فوق قدم ثابتة ما لا يقل عن 10 درجات من البسط الظهري للكاحل خلال مرحلة دوران منتصف القدم. إذا استهلك تشوه الانحناء الأمامي بمقدار 20 درجة كل البسط الظهري المتاح لمجرد تسطيح القدم، فلن يتبقى أي بسط ظهري لمرحلة دوران منتصف القدم. سيؤدي ذلك إلى انحشار الحافة الأمامية للسطح المفصلي لعظم الساق البعيد مباشرة ضد عنق عظم الكاحل (talus).
النتيجة الحركية: نظرًا لأن عظم الساق لا يمكنه الدوران إلى الأمام فوق الكاحل، يجب على المريض تقصير طول خطوة الساق الطبيعية المقابلة بشكل مصطنع. علاوة على ذلك، للحفاظ على مركز الثقل يتحرك إلى الأمام دون السقوط، سيدفع المريض ركبة الساق المصابة بقوة إلى الخلف، مما يؤدي إلى فرط تمدد تعويضي (hyperextension) في الركبة من نفس الجانب. بمرور الوقت، يؤدي هذا الفرط الديناميكي في تمدد الركبة إلى تمدد المحفظة الخلفية ويمكن أن يؤدي إلى ألم شديد في الجزء الأمامي من الركبة، وانحشار الوسادة الدهنية، وأمراض الغضروف الهلالي.
2. وضع المفصل الثابت
في العديد من الحالات، يظهر تشوه العظم في منطقة الجدل أو المشاشة سريريًا على شكل انكماش مفصلي ثابت. هذا مفهوم حاسم في مبادئ بالي لتوجيه المفصل. يغير تشوه العظم بالقرب من المفصل خط المحور الميكانيكي ويغير اتجاه خط المفصل بالنسبة للأرض.
لنأخذ على سبيل المثال، تشوه الانحناء الأمامي (procurvatum) في الجزء القريب من عظم الساق. نظرًا لأن قمة التشوه أمامية، يميل سطح عظم الساق القريب (tibial plateau) إلى الخلف (مما يؤدي إلى زيادة في زاوية الظنبوب القريب الخلفية، أو pPTA). عندما يحاول المريض الوقوف مستقيمًا، قد تتمدد مفصل الركبة بالكامل تشريحيًا (0 درجات بين عظم الفخذ البعيد وعظم الساق القريب)، ولكن نظرًا لأن جدل الساق مقوس إلى الأمام، يظل الطرف الكلي مثنيًا بالنسبة للمحور الميكانيكي.


يظهر هذا سريريًا على شكل تشوه انثناء ثابت (Fixed Flexion Deformity - FFD) في الركبة. على عكس الجزء البعيد من عظم الساق، فإن مفصل الركبة لديه قدرة محدودة جدًا على فرط التمدد للتعويض عن هذا. نظرًا لأن الساق لا يمكن أن تستقيم بالكامل بالنسبة للأرض، لا يمكن للمريض تحقيق ملامسة كعب طبيعية أثناء الاتصال الأولي. بدلاً من ذلك، يظهرون "قدم مسطحة" أو "ملامسة أصبع القدم" عند الاتصال الأولي، مما يقلل بشكل كبير من امتصاص الصدمات، ويزيد من إجهاد العضلة الرباعية، ويقلل بشكل كبير من طول الخطوة في الجانب المصاب.
3. تحميل المفصل غير الطبيعي ومتجه رد فعل الأرض (GRV)
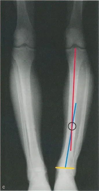
متجه رد فعل الأرض (Ground Reaction Vector - GRV) هو القوة المحصلة التي تؤثر بها الأرض على القدم عند نقل وزن الجسم أثناء الوقوف. يتم تحديدها بواسطة قانون نيوتن الثالث. في طرف سفلي متوافق تمامًا، يمر متجه رد فعل الأرض مباشرة عبر مركز مفاصل الورك والركبة والكاحل في كل من المستويين الأمامي والسهمي. وهذا يضمن توزيعًا متساويًا وفسيولوجيًا لقوى الضغط عبر الغضروف المفصلي.


تزيح تشوهات العظام متجه رد فعل الأرض بعيدًا عن مركز المفصل، مما يخلق عزم دوران مرضيًا.
أمراض المستوى الأمامي (التقوس/الفحج - Varus/Valgus):
إذا كان المريض يعاني من تشوه تقوس (Varus) في عظم الساق أو الفخذ، فإن متجه رد فعل الأرض يتحرك نحو الداخل (إنسيًا). كلما مر متجه رد فعل الأرض أكثر إنسيًا بالنسبة لمركز الركبة، زاد عزم دوران التقريب. وهذا يزيد بشكل كبير من قوى الضغط على الجزء الإنسي من سطح عظم الساق القريب (medial tibial plateau).
بينما يحمل الوقوف على ساق واحدة طبيعيًا الجزء الإنسي بحوالي 75%، فإن تشوه التقوس الشديد (الذي يسبب انحرافًا كبيرًا في المحور الميكانيكي، أو MAD) يمكن أن ينقل 100% من الحمل إلى الجزء الإنسي. على مدى فترات طويلة، يؤدي هذا التحميل الميكانيكي الموضعي المفرط إلى تدهور سريع وتدريجي للغضروف المفصلي، وتصلب تحت الغضروف، وتكون نتوءات عظمية، وفي النهاية إلى التهاب مفصل الركبة في مراحله المتأخرة.


أمراض المستوى السهمي (الركبة الخلفية/الانحناء الأمامي - Recurvatum/Procurvatum):
يحدث التحميل غير الطبيعي أيضًا نتيجة للتضحية بحركة المفصل في المستوى السهمي. لننظر إلى تشوه الركبة الخلفية (recurvatum) في الجزء البعيد من عظم الساق (القمة الخلفية). لتسطيح القدم، يجب على المريض التعويض عن طريق ثني الكاحل بشدة (plantarflexion). يؤدي هذا الانثناء التعويضي إلى كشف الجزء الأمامي من قبة عظم الكاحل.
تظهر الأبحاث أن ما لا يقل عن 5 درجات من الركبة الخلفية مع الانثناء التعويضي يقلل من منطقة التلامس بين عظم الساق وعظم الكاحل بنسبة مذهلة تصل إلى 30%. وفقًا للفيزياء الأساسية (الضغط = القوة / المساحة)، فإن تقليل منطقة تحمل الوزن بنسبة 30% مع الحفاظ على نفس حمل وزن الجسم يزيد بشكل كبير من الضغط لكل وحدة مساحة على الغضروف المتبقي. يؤدي هذا الحمل المركز على الجزء الأمامي من مفصل الكاحل حتمًا إلى تآكل الغضروف الميكانيكي والتهاب مفصل الكاحل المبكر.



أعراض تشوهات المشي وآليات التعويض
لا يتوقف المرضى الذين يعانون من سوء محاذاة الهيكل العظمي عن المشي ببساطة؛ بل يتبنى جهازهم العصبي المركزي بشكل حدسي آليات تعويضية. أهداف هذه الآليات متعددة:
1. محاولة تطبيع المظهر العام لنمط المشي.
2. توفير قاعدة دعم مستقرة لمنع السقوط.
3. السماح بالتقدم المستمر لمركز ثقل الجسم في الفراغ.
4. تقليل استهلاك الطاقة (استهلاك الأكسجين).
5. تقليل الألم الحاد عن طريق تحويل أحمال المفاصل.
ومع ذلك، هناك دائمًا تكلفة ميكانيكية يجب دفعها في كل مرة يتم فيها استخدام آلية تعويضية. تتعب العضلات، وتمتد الأربطة، وتتآكل المفاصل المجاورة. هذه هي التكلفة الخفية للمشي مع التشوهات.


التشوه الأساسي مقابل التشوه الديناميكي الثانوي
عند تقييم المريض في العيادة، يجب على جراح الترميم، مثل الأستاذ الدكتور محمد هطيف في صنعاء، أن يعمل كمحقق ميكانيكي حيوي لفصل التشوه الهيكلي الأساسي عن التشوه التعويضي (الديناميكي) الثانوي. إن معالجة التعويض مع تجاهل السبب الجذري هو وصفة مضمونة للفشل الجراحي.
على سبيل المثال، مريض يعاني من انكماش ثابت في الكاحل (equinus contracture) (تشوه أساسي) لا يمكنه تحقيق قدم مستوية بشكل طبيعي. لوضع الكعب على الأرض، سيدفع الركبة إلى فرط تمدد شديد أثناء مرحلة الوقوف (تشوه ديناميكي ثانوي). بعد عقد من المشي بهذه الطريقة، سيحضر المريض إلى العيادة شاكيًا من ألم شديد في الجزء الأمامي من الركبة، وليس ألمًا في الكاحل.
غالبًا ما يكشف التصوير بالرنين المغناطيسي عن تمزقات تنكسية أمامية في الغضروف الهلالي وآفات غضروفية متقابلة في المفصل الظنبوبي الفخذي الأمامي ناتجة عن الانحشار الأمامي المتكرر للركبة المفرطة التمدد. إذا عالج الجراح الركبة فقط (مثل استئصال الغضروف الهلالي أو قطع عظم الساق القريب)، فستفشل الجراحة لأن المحرك الأساسي للمرض - انكماش الكاحل - قد تم تجاهله.


مؤشرات جراحية: تحديد التعويضات
يتطلب تحديد هذه التعويضات عينًا خبيرة وفهمًا عميقًا لميكانيكا المشي. بعض الأمثلة الشائعة تشمل:
- ميلان الحوض (Pelvic Obliquity): غالبًا ما يكون تعويضًا عن اختلاف في طول الساق (LLD). يقوم المريض بخفض الحوض في الجانب الأقصر.
- رفع الكعب (Vaulting): ثني الكاحل للقدم السليمة (plantarflexing) أثناء الوقوف للمساعدة في تجاوز ساق مقابلة طويلة وظيفيًا أو متيبسة خلال مرحلة التأرجح.
- الدوران المحيطي (Circumduction): تأرجح الساق في قوس واسع، عادة ما يكون تعويضًا عن تصلب الركبة أو عدم القدرة على بسط الكاحل (تدلي القدم).
- ميل الجذع (Trunk Lean / Duchenne Gait): إمالة الجذع فوق الساق الواقفة لتحويل مركز الثقل جانبيًا، مما يقلل من عزم دوران العضلات المبعدة. غالبًا ما يُرى في حالات التهاب مفصل الورك الشديد، ومشية ترندلينبرغ، أو الفحج الشديد في الركبة (genu valgum).

سوء المحاذاة في المستوى الأمامي: مجمع القدم والكاحل
تُقدم تشوهات المستوى الأمامي (التقوس والفحج) تحديات فريدة لأن التعويض يعتمد بشكل كبير على المفصل تحت الكاحل (subtalar joint) المعقد ومتعدد المحاور. يُعتبر المفصل تحت الكاحل المعوض الكبير للطرف السفلي.
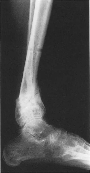
تقوس وفحج الجزء البعيد من عظم الساق
تتحدد درجة الشذوذ في المشي في تشوهات المستوى الأمامي للج





















آلام العظام والمفاصل المزمنة ليس قدراً محتوماً! التشخيص الدقيق والعلاج المتخصص يمكن أن يعيد لك كامل وظيفتك وحريتك في الحركة بدون ألم.
للحصول على استشارة دقيقة وخطة علاجية مخصصة لحالتك، تواصل فوراً مع مركز الأستاذ الدكتور محمد هطيف:
الأستاذ الدكتور محمد هطيف - أفضل دكتور عظام في صنعاء، وخبير في جراحات العظام والمفاصل المتقدمة.
مواضيع أخرى قد تهمك