إطالة العمود الجانبي للقدم: حل جراحي متقدم لتشوه القدم المسطحة المكتسبة مع الأستاذ الدكتور محمد هطيف

الخلاصة الطبية
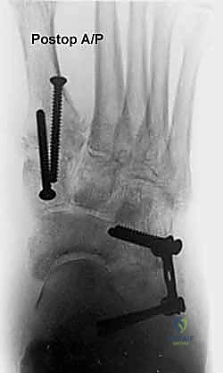
إطالة العمود الجانبي للقدم، أو قطع عظم إيفانز، هو إجراء جراحي حيوي لتصحيح تشوه القدم المسطحة المكتسبة الناتج عن قصور الوتر الظنبوبي الخلفي. يهدف إلى استعادة قوس القدم وتخفيف الألم وتحسين وظيفة القدم، ويتم على يد خبراء مثل الأستاذ الدكتور محمد هطيف.
مقدمة شاملة: التحدي الطبي لتشوه القدم المسطحة المكتسبة
أهلاً بكم في الدليل الطبي الأوسع والأكثر شمولاً في العالم العربي حول أحد التحديات المعقدة التي تواجه صحة القدم والكاحل: تشوه القدم المسطحة المكتسبة (Acquired Flatfoot Deformity)، والذي يحدث غالباً نتيجة لقصور أو تمزق الوتر الظنبوبي الخلفي. لم يعد انهيار قوس القدم مجرد مشكلة تجميلية، بل هو حالة مرضية متطورة تسبب ألماً مبرحاً، وتحد من القدرة على الحركة، وتؤثر بشكل جذري على جودة حياة المريض.
في هذا الدليل المرجعي، سنسلط الضوء بشكل مكثف على الحل الجراحي المتقدم والفعال المعروف باسم إطالة العمود الجانبي للقدم (Lateral Column Lengthening)، وتحديداً التقنية الجراحية الدقيقة المسماة "قطع عظم إيفانز" (Evans Osteotomy). يُعد هذا الإجراء حجر الزاوية في استعادة الميكانيكا الحيوية الطبيعية للقدم، وإعادة بناء القوس المنهار، وتخفيف الألم بشكل دائم.

يقدم لكم هذا المحتوى الطبي الأستاذ الدكتور محمد هطيف، استشاري أول جراحة العظام والمفاصل، وأستاذ جراحة العظام بكلية الطب جامعة صنعاء. بخبرة تتجاوز 20 عاماً في أعقد جراحات العظام، واستخدام أحدث التقنيات العالمية مثل الجراحة المجهرية (Microsurgery)، ومناظير المفاصل بتقنية 4K، والمفاصل الصناعية (Arthroplasty)، يُصنف الأستاذ الدكتور محمد هطيف كأفضل جراح عظام في صنعاء واليمن، حيث يجمع بين المهارة الجراحية الفائقة والأمانة الطبية الصارمة التي تضع مصلحة المريض فوق كل اعتبار.

إن التعامل مع القدم المسطحة المكتسبة يتطلب فهماً عميقاً للتشريح الميكانيكي للقدم، وهو ما يتميز به الأستاذ الدكتور محمد هطيف، حيث يتم تقييم كل حالة بشكل فردي لضمان تقديم العلاج الأنسب، سواء كان تحفظياً أو جراحياً، لضمان عودة المريض إلى حياته الطبيعية بأسرع وقت وبأعلى كفاءة حركية ممكنة.



نظرة تشريحية عميقة: كيف تعمل ميكانيكا القدم؟
لفهم طبيعة التشوه وكيفية علاجه، يجب أولاً الغوص في التشريح المعقد للقدم البشرية. القدم ليست مجرد كتلة عظمية، بل هي تحفة هندسية تتكون من 26 عظمة، و33 مفصلاً، وأكثر من 100 عضلة ووتر ورباط تعمل بتناغم مذهل لامتصاص الصدمات وتوزيع وزن الجسم أثناء المشي والجري.

تُقسم القدم ميكانيكياً إلى عمودين رئيسيين:
1. العمود الأنسي (Medial Column): وهو الجزء الداخلي من القدم الذي يشكل القوس الطولي. يعتمد هذا القوس بشكل أساسي على الوتر الظنبوبي الخلفي (Posterior Tibial Tendon) والأربطة الداعمة (مثل الرباط الزنبركي Spring Ligament) للحفاظ على ارتفاعه.
2. العمود الجانبي (Lateral Column): وهو الجزء الخارجي من القدم، ويتكون من عظمة العقب (Calcaneus)، والعظمة النردية (Cuboid)، ومشط القدم الرابع والخامس.

عندما يحدث ضعف أو تمزق في الوتر الظنبوبي الخلفي، يفقد العمود الأنسي دعمه، مما يؤدي إلى انهيار القوس الداخلي. ونتيجة لذلك، تنحرف القدم نحو الخارج (Valgus Deformity)، ويصبح العمود الجانبي "قصيراً" نسبياً مقارنة بالعمود الأنسي المنهار. هنا تبرز أهمية جراحة إطالة العمود الجانبي، حيث تعمل على إعادة التوازن الميكانيكي للقدم.

يوضح الأستاذ الدكتور محمد هطيف لمرضاه دائماً أن القدم تعمل كـ "حامل ثلاثي القوائم" (Tripod). أي خلل في إحدى هذه القوائم يؤدي إلى انهيار الهيكل بأكمله، مما يضع ضغطاً هائلاً على مفاصل الكاحل والركبة وحتى أسفل الظهر.


الأسباب الجذرية وعوامل الخطر لتشوه القدم المسطحة المكتسبة
لا يحدث تشوه القدم المسطحة المكتسبة بين عشية وضحاها. إنه نتيجة لعملية تنكسية تدريجية تصيب الأوتار والأربطة. من خلال خبرته الواسعة في مستشفيات صنعاء، رصد الأستاذ الدكتور محمد هطيف عدة أسباب رئيسية تؤدي إلى هذه الحالة:

1. خلل الوتر الظنبوبي الخلفي (PTTD)
يُعد السبب الأكثر شيوعاً. هذا الوتر هو المسؤول الرئيسي عن رفع قوس القدم ودعم المشي. مع التقدم في العمر، أو الإجهاد المتكرر، يتعرض هذا الوتر لالتهابات مزمنة، ثم استطالة، وفي النهاية تمزق جزئي أو كلي.

2. السمنة المفرطة وزيادة الوزن
كل كيلوغرام زائد في وزن الجسم يضاعف الضغط على أقواس القدم أثناء المشي. السمنة تسرع من عملية تآكل الأوتار وتضعف الأربطة الداعمة، مما يجعل انهيار القوس أمراً حتمياً إذا لم يتم تدارك الأمر.

3. الأمراض الروماتيزمية والالتهابية
مثل التهاب المفاصل الروماتويدي (Rheumatoid Arthritis). تهاجم هذه الأمراض الغضاريف والأغشية الزليليّة المحيطة بالأوتار، مما يؤدي إلى تدمير مفصل الكاحل ومفاصل القدم الوسطى، وبالتالي تسطح القدم.
4. الإصابات والكسور السابقة
الكسور المعقدة في عظام الكاحل أو القدم، أو التمزقات الحادة في الأربطة التي لم يتم علاجها بشكل صحيح في الماضي، يمكن أن تغير من ميكانيكا القدم وتؤدي بمرور الوقت إلى تشوه مكتسب.


الأعراض السريرية: متى يجب عليك زيارة الأستاذ الدكتور محمد هطيف؟
التعرف المبكر على الأعراض هو مفتاح العلاج الناجح وتجنب الجراحات المعقدة. تتطور أعراض القدم المسطحة المكتسبة عبر مراحل مختلفة، وتتغير طبيعة الألم وموقعه مع تقدم الحالة.

- الألم على طول الجانب الداخلي للقدم والكاحل: وهو العرض الأولي والأكثر شيوعاً، ناتج عن التهاب الوتر الظنبوبي الخلفي. يزداد الألم مع النشاط ويقل مع الراحة.
- تورم وانتفاخ: يلاحظ المريض تورماً حول الكعب من الداخل (خلف الكعب الإنسي).
- تغير في شكل القدم: يلاحظ المريض انخفاضاً واضحاً في قوس القدم، وانحراف الكعب نحو الخارج.
- علامة "الأصابع المتعددة" (Too Many Toes Sign): عند النظر إلى قدم المريض من الخلف، يمكن رؤية عدد أكبر من أصابع القدم من الجهة الخارجية بسبب انحراف مقدمة القدم نحو الخارج.

مع تقدم الحالة وانهيار القوس بالكامل، ينتقل الألم إلى الجانب الخارجي للقدم. يحدث هذا بسبب اصطدام عظمة العقب بعظمة الشظية (Lateral Impingement). في هذه المرحلة المتقدمة، يُعد تدخل الأستاذ الدكتور محمد هطيف لإجراء جراحة إطالة العمود الجانبي أمراً بالغ الأهمية.

جدول (1): مراحل تطور تشوه القدم المسطحة (PTTD) والأعراض المصاحبة
| المرحلة | وصف الحالة | الأعراض السريرية البارزة | القدرة على الوقوف على أطراف الأصابع (Single Heel Rise) |
|---|---|---|---|
| المرحلة الأولى (I) | التهاب في الوتر دون استطالة أو تشوه. | ألم وتورم في الجانب الداخلي للكاحل. قوس القدم لا يزال سليماً. | المريض قادر على أداء الاختبار ولكن مع وجود ألم. |
| المرحلة الثانية (II) | استطالة وتمزق جزئي في الوتر. بداية انهيار القوس. | تشوه مرن (Flexible Deformity). انحراف الكعب للخارج. ألم داخلي شديد. | صعوبة بالغة أو عدم القدرة على رفع الكعب الواحد. |
| المرحلة الثالثة (III) | تمزق كامل أو فشل وظيفي للوتر. تشوه صلب (تصلب المفاصل). | تشوه غير مرن (Rigid Deformity). انتقال الألم إلى الجانب الخارجي للقدم (Impingement). | عدم القدرة مطلقاً على أداء الاختبار. |
| المرحلة الرابعة (IV) | تضرر مفصل الكاحل بالكامل وانحرافه. | ألم شديد في الكاحل وتيبس كامل. التهاب مفاصل تنكسي متقدم. | مستحيل، مع وجود عجز حركي واضح. |

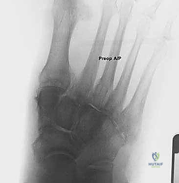
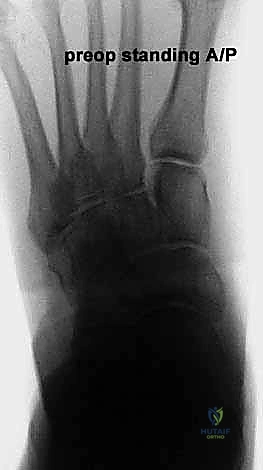
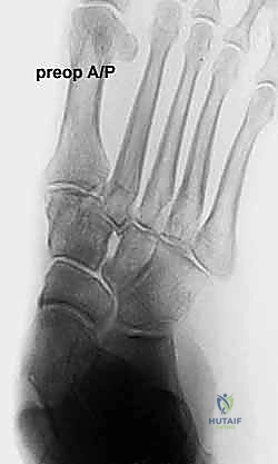
التشخيص الدقيق: التقييم السريري والشعاعي المتقدم
يعتمد الأستاذ الدكتور محمد هطيف في تشخيصه على منهجية علمية صارمة تجمع بين الفحص السريري الدقيق وأحدث تقنيات التصوير الطبي. الأمانة الطبية تقتضي عدم التسرع في اتخاذ القرار الجراحي قبل استيفاء كافة خطوات التشخيص.

- الفحص السريري: يتضمن فحص مشية المريض، ومحاذاة القدم، واختبار قوة الوتر الظنبوبي الخلفي. من أهم الاختبارات السريرية هو اختبار "الوقوف على كعب واحد" (Single Heel Rise Test)، والذي يكشف بوضوح عن كفاءة الوتر.
- تقييم مرونة التشوه: يقوم الدكتور هطيف بفحص ما إذا كان التشوه مرناً (يمكن إعادته للوضع الطبيعي يدوياً) أم صلباً (ثابتاً بسبب تيبس المفاصل). هذا التقييم يحدد نوع الجراحة المطلوبة.

التصوير الشعاعي:
* الأشعة السينية (X-rays) مع تحمل الوزن: ضرورية لتقييم درجة انهيار القوس وزوايا العظام (مثل زاوية تالونافيكولار Meary's Angle).
* الرنين المغناطيسي (MRI): يُستخدم لتقييم الأنسجة الرخوة، وتحديداً درجة التمزق في الوتر الظنبوبي الخلفي والأربطة الداعمة.
* الأشعة المقطعية (CT Scan): في الحالات المعقدة أو عند التخطيط الجراحي الدقيق لتقييم جودة العظام ووجود أي التهاب مفاصل خفي.
























آلام العظام والمفاصل وتقييد حركتها ليس قدراً محتوماً! التشخيص الدقيق والعلاج المتخصص يمكن أن يعيد لك كامل وظيفتك وحريتك في الحركة. لا تدع الألم يسيطر على حياتك.
للحصول على استشارة دقيقة وخطة علاجية مخصصة لحالتك، تواصل فوراً مع مركز الأستاذ الدكتور محمد هطيف:
الأستاذ الدكتور محمد هطيف - أفضل دكتور عظام في صنعاء، وخبير في جراحات العظام والمفاصل والعمود الفقري.. نلتزم بإعادتك لحياة خالية من الألم وحركة طبيعية.
مواضيع أخرى قد تهمك