انسداد رد كسر الكاحل بسبب العضلة الباسطة للأصابع القصيرة (EDB): الحل الجراحي الأمثل في صنعاء

الخلاصة الطبية
انسداد رد كسر الكاحل بسبب العضلة الباسطة للأصابع القصيرة (EDB) هو حالة نادرة تمنع إعادة الكسر لوضعه الطبيعي. يتطلب التشخيص الدقيق والجراحة المفتوحة لفك الانسداد واستعادة استقرار المفصل، ويقدم الأستاذ الدكتور محمد هطيف في صنعاء خبرة واسعة في هذا المجال.
انسداد رد كسر الكاحل بسبب العضلة الباسطة للأصابع القصيرة (EDB): الحل الجراحي الأمثل بخبرة الأستاذ الدكتور محمد هطيف في صنعاء
تُعد كسور الكاحل من الإصابات الشائعة جدًا التي يواجهها جراحو العظام يوميًا، حيث تُقدر نسبة حدوثها بحوالي 100-180 حالة لكل 100,000 شخص سنويًا. تتراوح هذه الإصابات بين كسور بسيطة ومستقرة في عظام الكاحل (الملاوي) إلى كسور معقدة يصاحبها خلع، وتشمل عدة تراكيب عظمية وأربطة. المبدأ الأساسي الذي يوجه العلاج، خاصة للكسور التي تكون فيها العظام متباعدة أو غير مستقرة، هو إعادة الكاحل إلى وضعه التشريحي الصحيح (الرد التشريحي) وتثبيته جراحيًا لضمان استقرار المفصل. هذا النهج ضروري لاستعادة وظيفة الكاحل مبكرًا وتقليل خطر الإصابة بالتهاب المفاصل ما بعد الصدمة.
في حين أن الرد المغلق (إعادة العظام إلى مكانها دون جراحة) غالبًا ما يكون ممكنًا، إلا أن التحدي الكبير يظهر عندما يكون الرد التشريحي صعبًا أو غير مكتمل على الرغم من استخدام تقنيات الرد المناسبة. في مثل هذه الحالات، يجب تقييم الوضع بعناية للبحث عن أي عوائق ميكانيكية. تشمل الأسباب الشائعة لانسداد الرد وجود شظايا عظمية أو غضروفية، أو انحشار الرباط الدالي، أو وتر العضلة الظنبوبية الخلفية، أو وتر العضلة القابضة الطويلة لإبهام القدم، أو حتى الرباط الشظوي الخلفي.
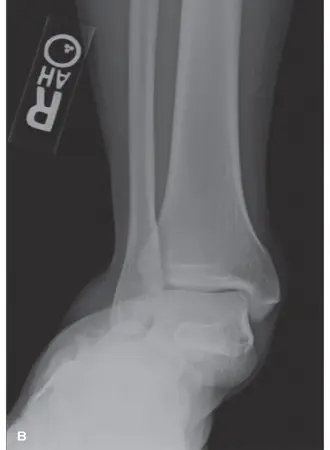
ومع ذلك، هناك سبب أقل شيوعًا ولكن حاسمًا لانسداد الرد، خاصة في أنماط معينة من كسور الكاحل، وهو انحشار العضلة الباسطة للأصابع القصيرة (Extensor Digitorum Brevis - EDB) . هذه الحالة النادرة تتطلب تشخيصًا دقيقًا وفهمًا عميقًا للتشريح، والجراحة المفتوحة هي الحل الأمثل لفك هذا الانسداد واستعادة استقرار المفصل. في صنعاء، يقدم الأستاذ الدكتور محمد هطيف، أستاذ جراحة العظام في جامعة صنعاء، خبرة فريدة ومتقدمة في تشخيص وعلاج هذه الحالات المعقدة، مستخدمًا أحدث التقنيات الجراحية لضمان أفضل النتائج للمرضى.
فهم تشريح الكاحل والقدم: مفتاح التشخيص الدقيق
لتقدير تعقيد انسداد الرد بسبب العضلة الباسطة للأصابع القصيرة، من الضروري الغوص في التشريح المعقد للكاحل والقدم. يتكون مفصل الكاحل بشكل أساسي من ثلاث عظام: عظم الظنبوب (Tibia)، وعظم الشظية (Fibula)، وعظم الكاحل (Talus). هذه العظام تتفاعل لتشكل مفصلًا رزيًا يسمح بحركات الانثناء الأخمصي والظهري للقدم.
- عظم الظنبوب (Tibia): هو العظم الأكبر في الساق، ويشكل الجزء الإنسي من مفصل الكاحل (الكعب الإنسي).
- عظم الشظية (Fibula): هو العظم الأصغر في الساق، ويشكل الجزء الوحشي من مفصل الكاحل (الكعب الوحشي).
- عظم الكاحل (Talus): هو العظم الذي يقع بين عظمي الظنبوب والشظية من الأعلى وعظم العقب (Calcaneus) من الأسفل، وهو حلقة الوصل الرئيسية بين الساق والقدم.
ترتبط هذه العظام ببعضها البعض بواسطة شبكة معقدة من الأربطة القوية التي توفر الاستقرار للمفصل، مثل الرباط الدالي (Deltoid ligament) على الجانب الإنسي، والأربطة الشظوية (Fibular ligaments) على الجانب الوحشي.
العضلة الباسطة للأصابع القصيرة (EDB): تفاصيل تشريحية ووظيفية
العضلة الباسطة للأصابع القصيرة (EDB) هي عضلة صغيرة ومسطحة تقع في الجزء الظهري الوحشي للقدم. تنشأ هذه العضلة من السطح العلوي والوحشي لعظم العقب (Calcaneus) ومن الرباط الشظوي العقبي (Calcaneofibular ligament). تتجه أليافها إلى الأمام والجانب الإنسي، وتنقسم عادة إلى أربعة أوتار. تندمج الأوتار الثلاثة الإنسية مع أوتار العضلة الباسطة للأصابع الطويلة (Extensor Digitorum Longus - EDL) للأصابع من الثاني إلى الرابع، بينما يشكل الوتر الإنسي للعضلة الباسطة للأصابع القصيرة العضلة الباسطة لإبهام القدم القصيرة (Extensor Hallucis Brevis - EHB) التي تندغم في قاعدة السلامية الدانية لإبهام القدم.
وظيفة العضلة EDB: تتمثل وظيفتها الأساسية في بسط الأصابع من الثاني إلى الرابع، والمساعدة في بسط إبهام القدم. على الرغم من أنها عضلة صغيرة، إلا أن موقعها التشريحي، خاصة قرب مفصل الكاحل، يجعلها عرضة للانحشار في كسور معينة.
آليات كسور الكاحل الشائعة وتحديات الرد
تحدث كسور الكاحل عادة نتيجة قوى التواء أو ضغط عالية على المفصل. يمكن تصنيف هذه الكسور بناءً على آليتها (مثل دوران خارجي، دوران داخلي، اختطاف، تقريب) أو بناءً على تصنيفات تشريحية (مثل تصنيف Lauge-Hansen أو Weber). بغض النظر عن التصنيف، فإن الهدف الأساسي للعلاج هو استعادة التوافق المفصلي الدقيق.
متى يصبح الرد مستعصيًا؟
الرد المستعصي (Irreducible reduction) يعني أن الأجزاء المكسورة من العظم لا يمكن إعادتها إلى وضعها التشريحي الصحيح باستخدام تقنيات الرد المغلق، حتى تحت التخدير ومع تطبيق القوى المناسبة. هذه الحالات تستدعي البحث عن سبب ميكانيكي يعيق الرد.
الأسباب الشائعة لانسداد الرد تشمل:
*
الشظايا العظمية أو الغضروفية:
قطع صغيرة من العظم أو الغضروف تنفصل أثناء الكسر وتستقر بين الأسطح المفصلية.
*
انحشار الأربطة:
مثل الرباط الدالي الذي يمكن أن ينحشر بين الكعب الإنسي وعظم الكاحل.
*
انحشار الأوتار:
أوتار العضلات مثل وتر العضلة الظنبوبية الخلفية، أو وتر العضلة القابضة الطويلة لإبهام القدم.
*
انحشار الكبسولة المفصلية أو الأنسجة الرخوة الأخرى.
انسداد الرد بسبب العضلة الباسطة للأصابع القصيرة (EDB): حالة نادرة ومعقدة
تحدث هذه الحالة بشكل خاص في كسور الكاحل التي تتضمن كسرًا في الكعب الوحشي (lateral malleolus) مع خلع في الكاحل. في بعض الأحيان، يمكن أن ينحشر الجزء البطني (الجزء العضلي) من العضلة الباسطة للأصابع القصيرة أو أوتارها بين شظايا الكسر، مما يمنع إعادة الكعب الوحشي أو عظم الشظية إلى مكانه الطبيعي.
كيف يحدث هذا؟
عندما يحدث كسر في الكعب الوحشي، خاصة إذا كان مصحوبًا بقوى دوران خارجية، يمكن أن تتسع الفجوة بين الأجزاء المكسورة مؤقتًا. في هذه اللحظة، قد ينزلق جزء من العضلة EDB إلى داخل هذه الفجوة. عند محاولة الرد المغلق، يصبح هذا الجزء من العضلة محتجزًا، ويعمل كحاجز ميكانيكي يمنع إعادة الشظايا العظمية إلى محاذاتها الصحيحة.
الأعراض والتشخيص الدقيق
الاشتباه في انسداد رد الكاحل بسبب العضلة الباسطة للأصابع القصيرة يتطلب مستوى عالياً من الخبرة السريرية والتشخيصية.
الأعراض السريرية:
- فشل الرد المغلق: العلامة الأكثر وضوحًا هي عدم القدرة على تحقيق رد تشريحي كامل للكسر، حتى بعد عدة محاولات تحت التخدير.
- الألم الشديد: قد يستمر الألم بشكل غير متناسب مع درجة الكسر بعد محاولات الرد.
- التورم والكدمات: وهي أعراض شائعة لكسور الكاحل، ولكن استمرارها بشكل مفرط قد يكون مؤشرًا.
- تشوه الكاحل: قد يبقى الكاحل مشوهًا أو غير مستقر على الرغم من محاولات الرد.
التشخيص التصويري:
التصوير هو حجر الزاوية في تشخيص هذه الحالات النادرة.
-
الأشعة السينية (X-rays):
- هي الخطوة الأولى دائمًا.
- يمكن أن تظهر عدم القدرة على تحقيق رد تشريحي كامل للكسر، مع بقاء تباعد بين الشظايا أو عدم استقامة المفصل.
- قد تظهر علامات غير مباشرة على وجود نسيج رخو محتجز، مثل اتساع غير مبرر في المساحة بين الشظايا.
-
التصوير المقطعي المحوسب (CT Scan):
- يوفر صورًا ثلاثية الأبعاد مفصلة للعظام.
- ضروري لتحديد نمط الكسر بدقة، ووجود شظايا عظمية صغيرة، وتقييم مدى التباعد بين الشظايا.
- يمكن أن يكشف عن وجود أنسجة رخوة داخل خط الكسر، ولكن قد لا يكون قادرًا على تحديد نوع النسيج (وتر، عضلة، رباط) بشكل قاطع.
-
التصوير بالرنين المغناطيسي (MRI):
- هو الأداة التشخيصية الأكثر قيمة لتحديد انسداد الرد بسبب الأنسجة الرخوة.
- يمكن أن يصور العضلات والأوتار والأربطة بوضوح فائق.
- في حالة انسداد EDB، سيظهر التصوير بالرنين المغناطيسي جزءًا من العضلة أو وترها محتجزًا داخل خط الكسر أو بين الشظايا العظمية، مما يمنع الرد.
- تحت إشراف الأستاذ الدكتور محمد هطيف، يتم استخدام تقنيات التشخيص المتقدمة هذه بدقة متناهية لضمان تحديد السبب الحقيقي لانسداد الرد، مما يمهد الطريق للعلاج الأمثل.
مقارنة أسباب انسداد رد كسور الكاحل
تتعدد الأسباب التي قد تمنع الرد التشريحي لكسور الكاحل، وتختلف استراتيجيات التعامل مع كل سبب. يوضح الجدول التالي مقارنة بين الأسباب الشائعة لانسداد الرد وكيفية التعامل معها:
| سبب الانسداد | الوصف | التشخيص التصويري الرئيسي | الحل الجراحي النموذجي |
|---|---|---|---|
| العضلة الباسطة للأصابع القصيرة (EDB) | انحشار جزء من العضلة أو وترها بين شظايا الكسر، خاصة في الكعب الوحشي. | MRI (يظهر العضلة المحتجزة بوضوح) | شق جراحي مفتوح لتحرير العضلة ورد الكسر وتثبيته. |
| شظايا عظمية/غضروفية | قطع صغيرة من العظم أو الغضروف تنفصل وتستقر داخل المفصل أو خط الكسر. | CT Scan (يحدد حجم وموقع الشظايا بدقة) | إزالة الشظايا المحتجزة عبر شق مفتوح أو بالمنظار، ثم رد الكسر وتثبيته. |
| الرباط الدالي | انحشار الرباط الدالي بين الكعب الإنسي وعظم الكاحل. | MRI (يظهر الرباط المحتجز والضرر اللاحق) | شق جراحي إنسي مفتوح لتحرير الرباط، ثم رد الكسر وتثبيته. |
| وتر العضلة الظنبوبية الخلفية | انحشار الوتر بين الكعب الإنسي وعظم الكاحل. | MRI (يظهر الوتر المحتجز) | شق جراحي إنسي مفتوح لتحرير الوتر، ثم رد الكسر وتثبيته. |
| وتر العضلة القابضة الطويلة لإبهام القدم | انحشار الوتر في الجزء الخلفي الإنسي من الكاحل. | MRI (يظهر الوتر المحتجز) | شق جراحي خلفي إنسي لتحرير الوتر، ثم رد الكسر وتثبيته. |
| الكبسولة المفصلية/أنسجة رخوة أخرى | انحشار جزء من الكبسولة أو الأنسجة المحيطة بين الشظايا. | MRI (يظهر الأنسجة الرخوة المحتجزة) | شق جراحي مفتوح لتحرير الأنسجة، ثم رد الكسر وتثبيته. |
الحل الجراحي الأمثل: خبرة الأستاذ الدكتور محمد هطيف
عندما يكون الرد المغلق غير ممكن، يصبح التدخل الجراحي المفتوح هو الخيار الوحيد والأمثل لفك الانسداد واستعادة التشريح الطبيعي للمفصل. يعتمد نجاح هذه الجراحة بشكل كبير على خبرة الجراح ودقته.
التحضير للجراحة:
- التقييم الشامل للمريض: يشمل التاريخ الطبي الكامل، الفحص السريري، وتقييم شامل للحالة الصحية العامة للمريض للتأكد من ملاءمته للجراحة.
- التصوير المتقدم: كما ذكرنا، يتم استخدام الأشعة السينية، CT Scan، و MRI لتحديد موقع الانسداد ونوعه بدقة متناهية.
- التخطيط الجراحي الدقيق: يقوم الأستاذ الدكتور محمد هطيف بوضع خطة جراحية مفصلة بناءً على صور التشخيص، تحدد الشق الجراحي الأمثل، الأدوات المطلوبة، والخطوات المتوقعة.
الخطوات الجراحية لفك انسداد EDB وتثبيت الكسر:
تُجرى الجراحة عادة تحت التخدير العام أو التخدير النصفي (الشوكي)، وقد تستغرق عدة ساعات حسب تعقيد الكسر والانسداد.
-
الوصول الجراحي (Surgical Approach):
- عادة ما يتم استخدام شق جراحي وحشي على طول الكعب الوحشي، مما يسمح بالوصول المباشر إلى منطقة الكسر والعضلة EDB.
- يتم تحديد موقع العضلة EDB بعناية فائقة، حيث تقع في الجزء الظهري الوحشي للقدم.
-
تحديد الانسداد وتحرير العضلة:
- بمجرد الوصول إلى منطقة الكسر، يقوم الأستاذ الدكتور محمد هطيف بتحديد الجزء المحتجز من العضلة الباسطة للأصابع القصيرة (EDB) أو أوتارها.
- يتم تحرير العضلة بلطف من بين الشظايا العظمية باستخدام أدوات جراحية دقيقة، مع الحرص على عدم إلحاق الضرر بالأنسجة المحيطة أو الأوعية الدموية والأعصاب.
- يتميز الأستاذ الدكتور محمد هطيف بخبرة واسعة في الجراحات الدقيقة (Microsurgery) التي تضمن التعامل مع الأنسجة الرخوة بأقصى درجات الحذر والدقة، مما يقلل من خطر المضاعفات.
-
رد الكسر وتثبيته الداخلي (Open Reduction and Internal Fixation - ORIF):
- بعد تحرير العضلة، يتم رد شظايا الكسر إلى وضعها التشريحي الصحيح تحت الرؤية المباشرة.
- يتم تثبيت الكسر باستخدام ألواح ومسامير جراحية خاصة، أو مسامير فقط، حسب نمط الكسر وقوة العظام. يضمن التثبيت الداخلي استقرار الكسر للسماح بالشفاء.
- يعتمد الدكتور هطيف أحدث التقنيات في التثبيت الداخلي، بما في ذلك استخدام ألواح ومسامير ذات تصميمات متقدمة توفر ثباتًا فائقًا وتقلل من الحاجة إلى إزالة المعدات في المستقبل.
-
تقييم استقرار المفصل:
- بعد تثبيت الكسر، يتم فحص استقرار مفصل الكاحل بشكل كامل لضمان عدم وجود تباعد متبقٍ أو عدم استقرار في الأربطة.
- إذا كان هناك ضرر كبير في الأربطة، فقد يتم إصلاحها أو تقويتها في نفس الجراحة.
-
إغلاق الجرح:
- يتم غسل الجرح بعناية، ثم إغلاقه طبقة تلو الأخرى.
- يتم وضع ضمادة معقمة وتثبيت الكاحل بجبيرة أو دعامة للحفاظ على استقراره خلال الفترة الأولية للشفاء.
ما بعد الجراحة وإعادة التأهيل الشاملة
تعتبر مرحلة ما بعد الجراحة وإعادة التأهيل حاسمة لنجاح العلاج واستعادة وظيفة الكاحل بشكل كامل. تحت إشراف الأستاذ الدكتور محمد هطيف وفريقه، يتم وضع خطة تأهيل فردية لكل مريض.
المرحلة الأولى: الحماية وعدم تحميل الوزن (أول 6-8 أسابيع)
- التثبيت: يبقى الكاحل مثبتًا في جبيرة أو دعامة، ويمنع المريض من تحميل أي وزن على القدم المصابة.
- إدارة الألم: يتم وصف مسكنات الألم للتحكم في أي إزعاج بعد الجراحة.
- العناية بالجرح: متابعة دقيقة للجرح لضمان الشفاء الجيد ومنع العدوى.
- تمارين خفيفة: قد تبدأ تمارين خفيفة لبعض المفاصل الأخرى (مثل الأصابع والركبة) للحفاظ على المرونة وتقليل التورم.
- رفع القدم: يُنصح برفع القدم المصابة فوق مستوى القلب لتقليل التورم.
المرحلة الثانية: التحميل الجزئي للوزن واستعادة الحركة (من 6-8 أسابيع إلى 12 أسبوعًا)
- إزالة الجبيرة/الدعامة: بعد التأكد من علامات الشفاء العظمي على الأشعة السينية، يتم إزالة الجبيرة أو الانتقال إلى دعامة قابلة للإزالة.
-
العلاج الطبيعي:
يبدأ العلاج الطبيعي المكثف لـ:
- استعادة نطاق الحركة: تمارين لطيفة لزيادة مدى حركة الكاحل (الانثناء الظهري والأخمصي، الانقلاب والانبعاث).
- التحميل الجزئي للوزن: البدء في تحميل الوزن تدريجيًا على القدم المصابة، غالبًا باستخدام عكازات أو مشاية.
- تقوية العضلات: تمارين لتقوية عضلات الساق والقدم.
- المتابعة الدورية: زيارات منتظمة للأستاذ الدكتور محمد هطيف لتقييم التقدم وضبط خطة التأهيل.
المرحلة الثالثة: التحميل الكامل للوزن واستعادة القوة والوظيفة (من 12 أسبوعًا فصاعدًا)
- التحميل الكامل للوزن: يمكن للمريض البدء في تحميل الوزن الكامل على الكاحل المصاب.
- تمارين القوة المتقدمة: تمارين مكثفة لتقوية جميع عضلات الساق والقدم.
- تمارين التوازن (Proprioception): تمارين لتحسين التوازن والتنسيق، وهي ضرورية لاستعادة الثقة في الكاحل ومنع الإصابات المستقبلية.
- العودة للأنشطة: العودة التدريجية للأنشطة اليومية، ثم الأنشطة الرياضية الخفيفة، وصولاً إلى الأنشطة الرياضية الكاملة بعد الحصول على موافقة الطبيب المعالج.
- الصبر والالتزام: عملية الشفاء الكاملة قد تستغرق من 6 أشهر إلى سنة كاملة، والالتزام ببرنامج إعادة التأهيل هو مفتاح النجاح.
يؤكد الأستاذ الدكتور محمد هطيف على أهمية التعاون بين المريض، الجراح، وأخصائي العلاج الطبيعي لضمان أفضل النتائج الممكنة والعودة الآمنة والكاملة للوظيفة.
لماذا الأستاذ الدكتور محمد هطيف هو الخيار الأمثل في صنعاء؟ (E-E-A-T Focus)
عندما يتعلق الأمر بحالة نادرة ومعقدة مثل انسداد رد كسر الكاحل بسبب العضلة الباسطة للأصابع القصيرة، فإن اختيار الجراح المناسب ليس مجرد تفضيل، بل هو ضرورة حتمية لضمان أفضل النتائج الممكنة. في صنعاء، يقف الأستاذ الدكتور محمد هطيف كمرجع لا يضاهى في جراحة العظام، وذلك لعدة أسباب رئيسية:
-
الخبرة الأكاديمية والسريرية المتميزة: الأستاذ الدكتور محمد هطيف ليس فقط جراحًا، بل هو أستاذ في جراحة العظام بجامعة صنعاء . هذا يعني أنه يجمع بين المعرفة الأكاديمية العميقة والبحث العلمي المستمر، بالإضافة إلى الخبرة السريرية الواسعة التي تمتد لأكثر من 20 عامًا في التعامل مع أصعب وأندر حالات العظام والمفاصل. هذه الخلفية المزدوجة تضمن أنه دائمًا على اطلاع بأحدث التطورات والتقنيات في مجال جراحة العظام.
-
المهارة الجراحية المتقدمة والتقنيات الحديثة: يتميز الأستاذ الدكتور محمد هطيف بإتقانه لأحدث التقنيات الجراحية التي ترفع من دقة وفعالية العمليات الجراحية وتقلل من فترة التعافي:
- الجراحات المجهرية (Microsurgery): ضرورية للتعامل مع الأنسجة الدقيقة مثل الأوتار والأعصاب والأوعية الدموية الصغيرة، مما يقلل من الصدمة الجراحية ويحسن نتائج الشفاء.
- جراحة المناظير (Arthroscopy 4K): يستخدم أحدث أجهزة المناظير بتقنية 4K لتقديم رؤية فائقة الوضوح داخل المفصل، مما يسمح بتشخيص وعلاج دقيق للعديد من مشاكل المفاصل بأقل تدخل جراحي.
- جراحة استبدال المفاصل (Arthroplasty): خبرته في هذا المجال تمكنه من التعامل مع المضاعفات طويلة الأمد لكسور الكاحل المعقدة، مثل خشونة المفاصل.
-
الالتزام بالصدق الطبي والأمانة: يشتهر الأستاذ الدكتور محمد هطيف بنهجه الأخلاقي الصارم والتزامه بالصدق الطبي. يقدم للمرضى تقييمًا واقعيًا وصريحًا لحالتهم، ويشرح جميع الخيارات العلاجية المتاحة، مع التركيز على ما هو الأفضل للمريض، وليس ما هو الأكثر ربحًا. هذه الأمانة تبني الثقة وتطمئن المرضى بأنهم في أيدٍ أمينة.
-
النتائج السريرية الممتازة: تتحدث سجلات الأستاذ الدكتور محمد هطيف عن نفسها، حيث حقق نسب نجاح عالية في علاج الحالات المعقدة، وساعد عددًا لا يحصى من المرضى على استعادة وظيفتهم ونوعية حياتهم بعد إصابات العظام الصعبة.
باختصار، اختيار الأستاذ الدكتور محمد هطيف يعني اختيار جراح يمتلك المعرفة الأكاديمية، والخبرة العملية الواسعة، والمهارات الجراحية المتقدمة، والأخلاقيات المهنية العالية. إنه الشريك الأمثل في رحلة التعافي من إصابات الكاحل المعقدة.
قصص نجاح المرضى: استعادة الحركة والأمل
لا شيء يروي قصة الشفاء أفضل من تجارب المرضى أنفسهم. على الرغم من أن هذه القصص هي أمثلة توضيحية، إلا أنها تعكس نوع النتائج التي يحرص الأستاذ الدكتور محمد هطيف على تحقيقها لمرضاه.
قصة أحمد: العودة إلى الحياة النشطة بعد كسر كاحل عنيد
كان أحمد، شاب في الثلاثينيات من عمره، تعرض لكسر معقد في الكاحل الأيمن أثناء ممارسة كرة القدم. بعد محاولات عديدة لرد الكسر في مستشفى محلي، فشل الأطباء في إعادته إلى وضعه الطبيعي. كان الألم مستمرًا، والقدم مشوهة، مما سبب له إحباطًا كبيرًا. نصحه أحد الأصدقاء بالتوجه إلى الأستاذ الدكتور محمد هطيف في صنعاء.
بعد الفحص الدقيق وإجراء تصوير بالرنين المغناطيسي، اكتشف الدكتور هطيف أن جزءًا من العضلة الباسطة للأصابع القصيرة (EDB) قد انحشر بين شظايا الكسر، مما كان يمنع الرد. شرح الدكتور هطيف لأحمد وعائلته طبيعة المشكلة النادرة وخطة العلاج الجراحي المفتوح بالتفصيل، مؤكدًا على ضرورة التدخل الجراحي لفك الانسداد وتثبيت الكسر.
أجرى الأستاذ الدكتور محمد هطيف الجراحة بدقة متناهية، قام بتحرير العضلة EDB المحتجزة، ثم رد الكسر وثبته باستخدام ألواح ومسامير جراحية حديثة. كانت الجراحة ناجحة تمامًا. بدأت رحلة التعافي الطويلة والشاقة لأحمد، والتي شملت فترة تثبيت طويلة ثم برنامجًا مكثفًا للعلاج الطبيعي تحت إشراف فريق الدكتور هطيف.
بعد ستة أشهر من الجراحة، كان أحمد قادرًا على المشي دون عكازات، وبعد عام واحد، عاد تدريجيًا لممارسة الأنشطة الرياضية الخفيفة. اليوم، أحمد يمارس كرة القدم مرة أخرى، وإن كان بحذر، ويشعر بالامتنان العميق للأستاذ الدكتور محمد هطيف الذي أعاد له الأمل في استعادة حياته النشطة.
قصة فاطمة: كسر الكاحل المعقد والعودة إلى الاستقلالية
فاطمة، سيدة في الخمسينيات من عمرها، تعرضت لسقوط أدى إلى كسر معقد في كاحلها الأيسر. كانت تعاني من مرض السكري، مما زاد من تعقيد حالتها ومخاطر الجراحة. بعد محاولات الرد المغلق التي باءت بالفشل، أصبحت فاطمة تشعر باليأس من قدرتها على استعادة استقلاليتها في الحركة.
أحالتها طبيبتها إلى الأستاذ الدكتور محمد هطيف، الذي قام بتقييم شامل لحالتها، مع الأخذ في الاعتبار تاريخها الطبي ومرض السكري. بعد التصوير المقطعي والرنين المغناطيسي، تم تشخيص انسداد رد الكسر بسبب انحشار العضلة الباسطة للأصابع القصيرة. شرح الدكتور هطيف لفاطمة أن الجراحة هي الخيار الوحيد، ولكنه طمأنها بوجود خطة دقيقة للتحكم في مرض السكري قبل وأثناء وبعد الجراحة لتقليل المخاطر.
أجرى الدكتور هطيف الجراحة بنجاح، محررًا العضلة ومثبتًا الكسر بدقة. كان اهتمامه الفائق بالتفاصيل والعناية بالجرح أمرًا حاسمًا في حالة فاطمة بسبب مرض السكري. بفضل الرعاية المركزة بعد الجراحة وبرنامج العلاج الطبيعي المخصص، بدأت فاطمة في استعادة قدرتها على المشي تدريجيًا.
اليوم، تستطيع فاطمة المشي بحرية داخل منزلها، وتقوم بمهامها اليومية دون مساعدة، وقد استعادت جزءًا كبيرًا من استقلاليتها. تعرب فاطمة عن شكرها العميق للأستاذ الدكتور محمد هطيف على مهارته الجراحية الفائقة ورعايته الشاملة التي مكنتها من التغلب على هذا التحدي الكبير.
قائمة التحقق من أعراض انسداد رد كسر الكاحل
إذا كنت قد تعرضت لكسر في الكاحل وتواجه صعوبة في العلاج أو الشفاء، فقد تساعدك قائمة التحقق التالية في فهم ما إذا كانت حالتك قد تتطلب تقييمًا متخصصًا لانسداد الرد:
| العرض/المؤشر | نعم / لا | ملاحظات
آلام العظام والمفاصل وتقييد حركتها ليس قدراً محتوماً! التشخيص الدقيق والعلاج المتخصص يمكن أن يعيد لك كامل وظيفتك وحريتك في الحركة. لا تدع الألم يسيطر على حياتك.
للحصول على استشارة دقيقة وخطة علاجية مخصصة لحالتك، تواصل فوراً مع مركز الأستاذ الدكتور محمد هطيف:
الأستاذ الدكتور محمد هطيف - أفضل دكتور عظام في صنعاء، وخبير في جراحات العظام والمفاصل والعمود الفقري.. نلتزم بإعادتك لحياة خالية من الألم وحركة طبيعية.
مواضيع أخرى قد تهمك