معالجة الأورام المعقدة في قصبة الساق القريبة حلول الحفاظ على الأطراف

الخلاصة الطبية
أورام قصبة الساق القريبة هي آفات عظمية معقدة تتطلب استئصالاً دقيقاً مع الحفاظ على الطرف. يشمل العلاج إزالة الجزء المصاب من قصبة الساق، ثم إعادة بناء مفصل الركبة باستخدام أطراف صناعية أو طعوم عظمية، مع التركيز على استعادة وظيفة الطرف وتقليل المضاعفات لضمان أفضل النتائج للمريض.
مقدمة شاملة: ثورة في معالجة أورام قصبة الساق القريبة وحلول الحفاظ على الطرف
تُعد أورام قصبة الساق القريبة (التي تقع بالقرب من مفصل الركبة) من التحديات الجراحية المعقدة في مجال جراحة العظام والأورام. تاريخياً، كانت هذه الأورام، خاصة الخبيثة منها، تُشكل تهديداً وجودياً يتطلب في كثير من الأحيان بتر الطرف فوق الركبة لإنقاذ حياة المريض. هذا الخيار، رغم ضرورته في بعض الحالات، كان يترك المرضى بتحديات جسدية ونفسية هائلة، ويؤثر بشكل كبير على جودة حياتهم واستقلاليتهم.
ومع ذلك، شهد العقدان الأخيران ثورة حقيقية في مجال جراحة أورام العظام، مدفوعة بالتقدم الهائل في تقنيات التصوير التشخيصي، والأساليب الجراحية الدقيقة، وتطور المواد المستخدمة في إعادة البناء. لم يعد البتر هو الخيار الوحيد، بل أصبح الحفاظ على الطرف (Limb Salvage) هو المعيار الذهبي للعلاج كلما أمكن ذلك، مما يمنح المرضى فرصة ثمينة للحفاظ على وظيفة أطرافهم، واستعادة حركتهم، وتحسين جودة حياتهم بشكل جذري.
في عيادة الأستاذ الدكتور محمد هطيف في صنعاء، اليمن، نؤمن بأن كل مريض يستحق أفضل فرصة ممكنة للحفاظ على طرفه واستعادة حياته الطبيعية. بفضل خبرته التي تتجاوز 20 عاماً في جراحة أورام العظام وإعادة البناء، وبصفته أستاذاً في جراحة العظام والمفاصل بجامعة صنعاء، يُعد الأستاذ الدكتور هطيف رائداً في تطبيق أحدث وأدق التقنيات الجراحية للحفاظ على الأطراف. يجمع نهجه بين الدقة الجراحية الفائقة، والتكنولوجيا المتطورة (مثل الميكروسكوب الجراحي، ومناظير المفاصل بتقنية 4K، وجراحات المفاصل الصناعية المتقدمة)، والالتزام بمبدأ الأمانة الطبية الصارمة، لتقديم رعاية صحية عالمية المستوى للمرضى الذين يعانون من أورام قصبة الساق القريبة. إن الهدف الأسمى هو استئصال الورم بالكامل مع الحفاظ على أكبر قدر ممكن من وظيفة الطرف وتقليل المضاعفات، لضمان أفضل النتائج الوظيفية والحياتية للمريض.
تتطلب معالجة هذه الأورام المعقدة فهماً عميقاً للتشريح، وخبرة واسعة في التخطيط الجراحي، ومهارة فائقة في التنفيذ، بالإضافة إلى برنامج تأهيل شامل بعد الجراحة. في هذا المقال الشامل، سنستعرض كل جانب من جوانب معالجة أورام قصبة الساق القريبة، بدءاً من التشريح والتشخيص، وصولاً إلى خيارات العلاج المتقدمة، وتقنيات إعادة البناء، وبرامج التأهيل، مع تسليط الضوء على الدور المحوري لعيادة الأستاذ الدكتور محمد هطيف في تقديم هذه الحلول المبتكرة.


فهم تشريح قصبة الساق القريبة وأهميته في جراحة الأورام
تُعد قصبة الساق القريبة جزءاً حيوياً من الهيكل العظمي، حيث تُشكل الجزء السفلي من مفصل الركبة، وهو أحد أكبر وأكثر المفاصل تعقيداً في الجسم. فهم التشريح الدقيق لهذه المنطقة أمر بالغ الأهمية لأي جراح يتعامل مع أورام العظام، خاصة وأن الأورام في هذا الموقع تُشكل تحديات فريدة.
التركيب العظمي
قصبة الساق (Tibia) هي العظم الأكبر والأقوى في الجزء السفلي من الساق، وتتحمل معظم وزن الجسم. الجزء القريب منها، والذي يقع تحت مفصل الركبة مباشرة، يتكون من:
* الهضبة الظنبوبية (Tibial Plateau): وهي السطح العلوي لقصبة الساق، تتكون من لقمتين (medial and lateral condyles) تتفصلان مع لقمتي عظم الفخذ لتشكيل مفصل الركبة. تُغطى هذه الأسطح بغضاريف مفصلية ناعمة لتقليل الاحتكاك.
* الحدبة الظنبوبية (Tibial Tuberosity): بروز عظمي يقع في الجزء الأمامي العلوي من قصبة الساق، وهو موقع ارتباط الوتر الرضفي (patellar tendon)، الذي يُعد جزءاً أساسياً من آلية المد (extensor mechanism) للركبة.
* جسم قصبة الساق (Tibial Shaft): الجزء الطويل من العظم الذي يمتد نحو الكاحل.
الأنسجة الرخوة المحيطة ومكونات المفصل
تحيط بقصبة الساق القريبة شبكة معقدة من الأنسجة الرخوة التي تُسهم في استقرار ووظيفة الركبة:
* الأربطة:
* الأربطة الصليبية (Cruciate Ligaments): الأمامي والخلفي، تقع داخل المفصل وتوفر الاستقرار الأمامي والخلفي.
* الأربطة الجانبية (Collateral Ligaments): الإنسي والوحشي، تقع على جانبي المفصل وتوفر الاستقرار الجانبي.
* الأوتار والعضلات:
* الوتر الرضفي (Patellar Tendon): يربط الرضفة (patella) بالحدبة الظنبوبية، وهو جزء حيوي من قدرة الساق على المد.
* عضلات الفخذ الأمامية (Quadriceps): تتصل بالرضفة وتُسهم في مد الركبة.
* عضلات الفخذ الخلفية (Hamstrings): تتصل بالجزء الخلفي من قصبة الساق والفخذ وتُسهم في ثني الركبة.
* الأوعية الدموية والأعصاب:
* الشريان المأبضي (Popliteal Artery) وفروعه: يمر خلف الركبة ويُغذي الجزء السفلي من الساق والقدم.
* الوريد المأبضي (Popliteal Vein).
* العصب الظنبوبي (Tibial Nerve) والعصب الشظوي المشترك (Common Peroneal Nerve): يمران بالقرب من قصبة الساق القريبة ويُسهمان في الإحساس والحركة في الساق والقدم.
لماذا تُشكل هذه المنطقة تحدياً جراحياً؟
إن تعقيد قصبة الساق القريبة يجعل جراحة استئصال الأورام فيها وإعادة البناء أمراً صعباً للغاية، وذلك لعدة أسباب:
* القرب من مفصل الركبة: أي استئصال كبير للعظم في هذه المنطقة يؤثر بشكل مباشر على استقرار ووظيفة مفصل الركبة.
* آلية المد (Extensor Mechanism): إزالة الحدبة الظنبوبية تعني فقدان نقطة ارتكاز الوتر الرضفي، وهو ما يتطلب إعادة بناء معقدة للحفاظ على قدرة المريض على مد ركبته.
* قلة التغطية العضلية: الجزء الأمامي الإنسي من قصبة الساق يتميز بقلة الأنسجة الرخوة التي تغطيه، مما يزيد من خطر انكشاف الغرسات أو الطعوم العظمية وحدوث العدوى.
* الأوعية الدموية والأعصاب الرئيسية: مرور الأوعية الدموية والأعصاب الحيوية بالقرب من موقع الورم يزيد من خطر إصابتها أثناء الجراحة، مما قد يؤدي إلى مضاعفات خطيرة مثل فقدان تدفق الدم أو الشلل.
* حجم الأوعية الدموية الدقيقة في الساق: الأوعية الدموية في الساق أصغر حجماً مقارنة بالفخذ، مما يزيد من صعوبة إجراءات الميكروسكوب الجراحي لإصلاحها أو إعادة توصيلها.
تتطلب هذه التحديات خبرة جراحية فائقة ودقة متناهية، وهو ما يتوفر في عيادة الأستاذ الدكتور محمد هطيف، الذي يمتلك المعرفة والمهارة للتعامل مع هذه الحالات المعقدة بنجاح، مستخدماً أحدث التقنيات لضمان أفضل النتائج.


أنواع أورام قصبة الساق القريبة: تشخيص دقيق لعلاج فعال
تتنوع أورام قصبة الساق القريبة بين الحميدة والخبيثة، ويُعد التشخيص الدقيق لنوع الورم ومدى انتشاره الخطوة الأولى والأكثر أهمية في وضع خطة علاج فعالة.
أنواع الأورام الشائعة في قصبة الساق القريبة
-
الأورام الخبيثة (Malignant Tumors):
- الساركوما العظمية (Osteosarcoma): هو أكثر أنواع سرطان العظام الأولية شيوعاً، وغالباً ما يصيب الشباب والمراهقين. يتميز بسرعة النمو وقدرته على الانتشار (النقائل) إلى أجزاء أخرى من الجسم، خاصة الرئتين.
- ورم يوينغ (Ewing's Sarcoma): ثاني أكثر أورام العظام الخبيثة شيوعاً لدى الأطفال والشباب. يتميز بكونه ورماً صغيراً دائري الخلايا.
- الساركوما الغضروفية (Chondrosarcoma): ينشأ من الخلايا الغضروفية، ويُصيب عادةً البالغين في منتصف العمر وكبار السن. يميل إلى النمو ببطء ولكن يمكن أن يكون عدوانياً.
- أورام الخلايا العملاقة الخبيثة (Malignant Giant Cell Tumor): نادرة جداً، وهي تحول خبيث لورم الخلايا العملاقة الحميد.
- النقائل العظمية (Metastatic Bone Tumors): أورام تنتشر إلى العظام من سرطانات أخرى في الجسم (مثل سرطان الرئة، الثدي، الكلى، البروستاتا، الغدة الدرقية). قصبة الساق يمكن أن تكون موقعاً شائعاً للنقائل.
-
الأورام الحميدة (Benign Tumors):
- ورم الخلايا العملاقة (Giant Cell Tumor - GCT): يُعد من الأورام الحميدة ولكنه قد يكون عدوانياً محلياً، ويمكن أن يُسبب تدميراً كبيراً للعظم وقد يتكرر بعد الاستئصال. في حالات نادرة جداً، قد يتحول إلى ورم خبيث.
- الكيس العظمي وحيد الحجرة (Unicameral Bone Cyst): كيس مملوء بالسوائل، غالباً ما يتم اكتشافه بالصدفة أو بعد كسر مرضي.
- الورم الغضروفي العظمي (Osteochondroma): ورم حميد ينمو من سطح العظم.
- الورم الليفي غير العظمي (Non-ossifying Fibroma): آفة حميدة شائعة، غالباً ما تُكتشف بالصدفة وتتراجع تلقائياً.
- الورم الوعائي العظمي (Aneurysmal Bone Cyst - ABC): آفة كيسية حميدة مملوءة بالدم، يمكن أن تكون عدوانية محلياً.
الأعراض الشائعة
تختلف الأعراض باختلاف نوع الورم وحجمه وموقعه، ولكن الأعراض التالية هي الأكثر شيوعاً:
* الألم: غالباً ما يكون الألم هو العرض الأول، وقد يكون خفيفاً في البداية ثم يزداد سوءاً مع مرور الوقت، خاصة في الليل أو مع النشاط.
* التورم: قد يلاحظ المريض تورماً أو كتلة محسوسة حول الركبة، وقد تكون مصحوبة بحرارة موضعية.
* الحد من الحركة: قد يؤثر الورم على مفصل الركبة، مما يُسبب صعوبة في ثني أو مد الركبة.
* الكسور المرضية (Pathological Fractures): قد يُضعف الورم العظم إلى درجة تسمح بحدوث كسر حتى مع إصابة طفيفة أو بدون إصابة واضحة.
* العرج (Limping): بسبب الألم أو ضعف الطرف.
* أعراض جهازية (في حالة الأورام الخبيثة): مثل فقدان الوزن غير المبرر، الحمى، التعرق الليلي، والإرهاق.
عملية التشخيص الدقيق في عيادة الأستاذ الدكتور هطيف
يُعد التشخيص الشامل والدقيق حجر الزاوية في خطة العلاج، ويتبع الأستاذ الدكتور محمد هطيف بروتوكولات عالمية لضمان أعلى مستويات الدقة:
-
التاريخ المرضي والفحص السريري:
- يُجرى تقييم مفصل للأعراض، تاريخ الألم، التورم، وأي أعراض جهازية.
- يُفحص الطرف المصاب لتقييم مدى التورم، الألم عند الجس، نطاق الحركة، وجود كتلة، والحالة العصبية الوعائية للطرف.
-
التصوير التشخيصي (Imaging Studies):
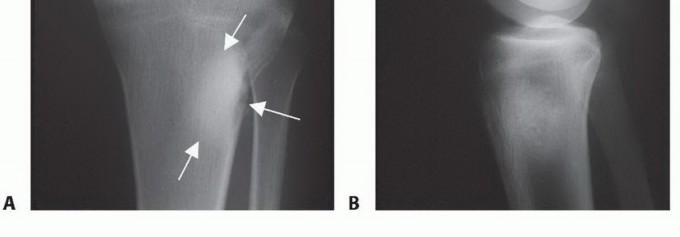
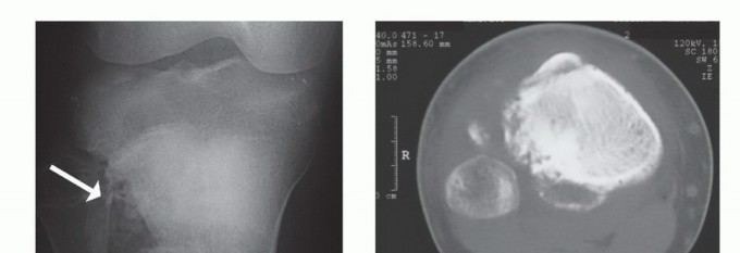
- الأشعة السينية (X-rays): هي الخطوة الأولى، وتُظهر التغيرات في بنية العظم، مثل التدمير العظمي، أو تكوين العظم الجديد، أو رد فعل السمحاق.
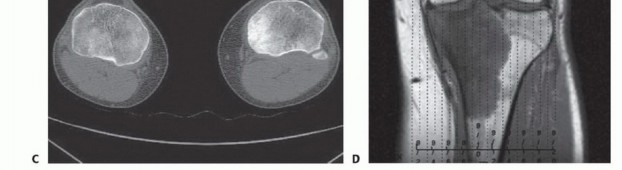
- التصوير بالرنين المغناطيسي (MRI): يُعتبر الأداة الأكثر أهمية لتحديد مدى انتشار الورم داخل العظم، وفي الأنسجة الرخوة المحيطة، وعلاقته بالأوعية الدموية والأعصاب. يُساعد في تحديد هوامش الاستئصال الجراحي.
- التصوير المقطعي المحوسب (CT Scan): يُستخدم لتقييم التدمير العظمي بشكل أفضل، وتحديد وجود أي نقائل في الرئتين أو أجزاء أخرى من الجسم.
- مسح العظام الومضاني (Bone Scintigraphy): يُساعد في البحث عن أورام متعددة أو نقائل عظمية في أجزاء أخرى من الهيكل العظمي.
- تصوير الأوعية ثنائي المستوى (Digital Subtraction Angiography - DSA): في بعض الحالات، يُستخدم لتقييم إمداد الدم للورم وعلاقته بالأوعية الرئيسية، خاصة عند التخطيط للجراحات المعقدة.

-
الخزعة (Biopsy):
- هي الإجراء الوحيد الذي يُمكنه تأكيد تشخيص نوع الورم (حميد أم خبيث).
- يُجري الأستاذ الدكتور محمد هطيف الخزعة بدقة متناهية، سواء كانت خزعة بالإبرة (Needle Biopsy) تحت توجيه الأشعة، أو خزعة مفتوحة (Open Biopsy).
- يجب أن تُجرى الخزعة بواسطة جراح أورام عظام متخصص، لأن الخزعة غير الصحيحة قد تُسبب انتشاراً للورم أو تُعقد الجراحة اللاحقة للحفاظ على الطرف.
-
تحديد مرحلة الورم (Staging):
- بعد تأكيد التشخيص، تُحدد مرحلة الورم (مداه وانتشاره) باستخدام نظام تصنيف عالمي (مثل نظام Enneking). هذا يُساعد في تحديد أفضل خطة علاجية.
يُشكل هذا النهج التشخيصي المتكامل، الذي يجمع بين الخبرة السريرية المتميزة والتكنولوجيا المتقدمة، الأساس الذي يرتكز عليه الأستاذ الدكتور محمد هطيف لتقديم رعاية دقيقة ومُخصصة لكل مريض.

خيارات العلاج المتاحة: من التحفظي إلى الجراحي المتطور
تتطلب معالجة أورام قصبة الساق القريبة خطة علاجية متعددة التخصصات، تُصمم خصيصاً لكل مريض بناءً على نوع الورم، مرحلته، عمر المريض، وحالته الصحية العامة. في عيادة الأستاذ الدكتور محمد هطيف، يتم التركيز على تقديم أحدث الخيارات العلاجية مع الأخذ في الاعتبار أهمية الحفاظ على وظيفة الطرف وجودة حياة المريض.
1. العلاج التحفظي (Conservative Treatment)
يلعب العلاج التحفظي دوراً محدوداً في معالجة الأورام الخبيثة لقصبة الساق القريبة، ولكنه قد يكون خياراً لبعض الأورام الحميدة أو كجزء من العلاج التلطيفي:
- المراقبة (Observation): لبعض الأورام الحميدة الصغيرة وغير المؤلمة التي لا تُسبب تدميراً كبيراً للعظم.
- مسكنات الألم (Pain Management): للتحكم في الأعراض، خاصة في الحالات التي لا يُمكن فيها إجراء جراحة أو كعلاج تلطيفي.
- العلاج الكيميائي (Chemotherapy): يُعد جزءاً أساسياً من علاج معظم الأورام الخبيثة الأولية للعظام (مثل الساركوما العظمية وساركوما يوينغ). يُعطى عادةً قبل الجراحة (علاج كيميائي مُسبق/Neoadjuvant Chemotherapy) لتقليص حجم الورم وقتل الخلايا السرطانية، وبعد الجراحة (علاج كيميائي مُساعد/Adjuvant Chemotherapy) لقتل أي خلايا متبقية ومنع انتشار الورم.































آلام العظام والمفاصل وتقييد حركتها ليس قدراً محتوماً! التشخيص الدقيق والعلاج المتخصص يمكن أن يعيد لك كامل وظيفتك وحريتك في الحركة. لا تدع الألم يسيطر على حياتك.
للحصول على استشارة دقيقة وخطة علاجية مخصصة لحالتك، تواصل فوراً مع مركز الأستاذ الدكتور محمد هطيف:
الأستاذ الدكتور محمد هطيف - أفضل دكتور عظام في صنعاء، وخبير في جراحات العظام والمفاصل والعمود الفقري.. نلتزم بإعادتك لحياة خالية من الألم وحركة طبيعية.
مواضيع أخرى قد تهمك