فهم خزعة أورام الجهاز العضلي الهيكلي: دليل شامل للمرضى مع الأستاذ الدكتور محمد هطيف

الخلاصة الطبية
خزعة أورام الجهاز العضلي الهيكلي هي الإجراء التشخيصي الحاسم لتحديد طبيعة الأورام في العظام والأنسجة الرخوة. تتضمن أخذ عينة صغيرة من الورم لتحليلها، وهي ضرورية لوضع خطة علاج دقيقة وفعالة، ويجريها الأستاذ الدكتور محمد هطيف بخبرة عالية في صنعاء.
الخلاصة الطبية السريعة: خزعة أورام الجهاز العضلي الهيكلي هي الإجراء التشخيصي الحاسم والفاصل لتحديد طبيعة الأورام في العظام والأنسجة الرخوة. تتضمن أخذ عينة دقيقة من الورم لتحليلها نسيجياً، وهي الخطوة الأولى والضرورية لوضع خطة علاج دقيقة وفعالة. يُجري هذا الإجراء المعقد الأستاذ الدكتور محمد هطيف، أستاذ جراحة العظام والمفاصل بجامعة صنعاء، بخبرة تتجاوز 20 عاماً، لضمان أعلى نسب النجاح وتجنب المضاعفات الخطيرة في العاصمة اليمنية صنعاء.


مقدمة: الأهمية المصيرية لخزعة أورام العظام والأنسجة الرخوة
أهلاً بكم أيها المرضى الكرام وعائلاتهم في هذا الدليل الطبي الشامل والمفصل حول خزعة أورام الجهاز العضلي الهيكلي. قد تبدو الخزعة (Biopsy) إجراءً جراحياً بسيطاً للوهلة الأولى، لكنها في عالم جراحة أورام العظام هي الخطوة الأكثر حرجاً وحسماً في إدارة أورام العظام والأنسجة الرخوة. إنها ليست مجرد "اختصار" للتشخيص، بل هي الإجراء التشخيصي النهائي والقطعي الذي يحدد مسار حياتكم وعلاجكم.
إن الخزعة التي لا تُجرى بدقة وتخطيط مسبق ليست مجرد خطأ طبي بسيط؛ بل يمكن أن تكون كارثة حقيقية تهدد إمكانية إنقاذ الطرف المصاب (Limb Salvage)، وتزيد بشكل كبير من خطر انتشار الورم وعودته، وتؤثر سلبًا وبشكل مباشر على فرص البقاء على قيد الحياة للمريض.

هدفنا اليوم هو تزويدكم بالمعرفة الطبية الوافية، ولماذا يعتبر الأستاذ الدكتور محمد هطيف، بخبرته الأكاديمية والعملية الواسعة التي تتجاوز عقدين من الزمان في صنعاء، هو الخيار الأمثل والأول لضمان دقة وسلامة هذه الخطوة الحيوية. بصفته أستاذاً في جامعة صنعاء ورائداً في الجراحات الميكروسكوبية ومناظير المفاصل 4K، يطبق أعلى معايير الأمانة الطبية والاحترافية.


الفهم العميق لأورام الجهاز العضلي الهيكلي: التشريح والأساسيات
قبل الخوض في التفاصيل التقنية للخزعة، من الضروري جداً أن نفهم طبيعة أورام الجهاز العضلي الهيكلي. يتكون هذا الجهاز من العظام، الغضاريف، العضلات، الأوتار، الأربطة، والأنسجة الدهنية والضامة. الأورام التي تنشأ في هذه المناطق يمكن أن تكون حميدة (غير سرطانية) أو خبيثة (سرطانية، وتُعرف باللحميات أو الساركوما Sarcoma).

تختلف الأورام في سلوكها البيولوجي بشكل جذري. الأورام الحميدة، رغم أنها قد تسبب ألماً أو تضغط على الأعصاب المجاورة، إلا أنها لا تنتشر إلى أعضاء أخرى. أما الأورام الخبيثة (مثل الساركوما العظمية Osteosarcoma، ساركوما إيوينغ Ewing's Sarcoma، أو الساركوما الغضروفية Chondrosarcoma)، فلها قدرة تدميرية موضعية عالية وقابلية للانتشار (الانبثاث) إلى الرئتين أو عظام أخرى.

هنا تبرز أهمية الخزعة؛ فالتصوير الإشعاعي مهما كان متقدماً لا يمكنه تأكيد نوع الخلايا بنسبة 100%. التقييم النسيجي تحت المجهر هو الدليل القاطع الوحيد.


لماذا تُعد الخزعة "لحظة الحقيقة" في علاج الأورام؟
في جراحة العظام والأورام، تُعتبر الخزعة سيفاً ذو حدين. إذا تم إجراؤها بشكل صحيح، فهي تفتح الباب لعلاج شافٍ وتنقذ الطرف من البتر. أما إذا تم إجراؤها بشكل خاطئ (مثل اختيار مسار خاطئ للإبرة أو إحداث شق جراحي ملوث بالخلايا السرطانية)، فقد يؤدي ذلك إلى انتشار الورم في الأنسجة السليمة المحيطة.

يؤكد الأستاذ الدكتور محمد هطيف دائماً على قاعدة ذهبية في جراحة الأورام: "يجب أن يتم إجراء الخزعة بواسطة الجراح الذي سيقوم بإجراء العملية النهائية لاستئصال الورم". لماذا؟ لأن مسار الخزعة (Biopsy Tract) يجب أن يُستأصل بالكامل مع الورم الأصلي لاحقاً لتجنب ترك أي خلايا خبيثة.

التخطيط المسبق للخزعة يتطلب خبرة تشريحية عميقة، ومعرفة دقيقة بمسارات الأعصاب والأوعية الدموية، وهو ما يتميز به الأستاذ الدكتور محمد هطيف بفضل خلفيته الأكاديمية القوية وممارسته الطويلة في أعقد الحالات في اليمن.


أنواع خزعات الجهاز العضلي الهيكلي: مقارنة شاملة
تتعدد طرق أخذ العينات من الأورام، ويتم اختيار الطريقة الأنسب بناءً على موقع الورم، حجمه، والتشخيص المبدئي من الأشعة.
جدول مقارنة: أنواع خزعات أورام العظام والأنسجة الرخوة
| نوع الخزعة | الوصف التقني | المزايا | العيوب/المحددات | متى تُستخدم؟ |
|---|---|---|---|---|
| خزعة الإبرة الدقيقة (FNA) | استخدام إبرة رفيعة جداً لسحب خلايا وسوائل من الورم. | سريعة، غير مؤلمة تقريباً، لا تحتاج لتخدير كلي. | العينة قد تكون غير كافية لتشخيص الأورام المعقدة (الساركوما). | فحص العقد الليمفاوية، أو الأورام السطحية جداً. |
| خزعة الإبرة الأساسية (Core Needle) | استخدام إبرة مجوفة وأكثر سمكاً لأخذ أسطوانة صغيرة من النسيج. | دقة عالية (80-90%)، تدخل جراحي طفيف، تعافي سريع. | قد تخطئ المنطقة الأكثر نشاطاً في الورم الكبير. | الخيار الأول لمعظم أورام العظام والأنسجة الرخوة العميقة. |
| الخزعة المفتوحة الاقتطاعية (Incisional) | شق جراحي صغير لأخذ قطعة من الورم مباشرة. | توفر كمية كبيرة وممتازة من الأنسجة للتحليل الدقيق. | تتطلب تخديراً، خطر أعلى للنزيف أو التلوث الموضعي. | عندما تفشل خزعة الإبرة، أو للأورام المعقدة جداً. |
| الخزعة المفتوحة الاستئصالية (Excisional) | استئصال الورم بالكامل كقطعة واحدة للتشخيص والعلاج معاً. | تشخيص وعلاج في خطوة واحدة. | ممنوعة تماماً إذا كان هناك شك بوجود ورم خبيث (ساركوما). | الأورام السطحية الصغيرة جداً والتي يُرجح بقوة أنها حميدة. |

يقوم الأستاذ الدكتور محمد هطيف بتقييم كل حالة على حدة، وغالباً ما يفضل استخدام خزعة الإبرة الأساسية (Core Needle Biopsy) الموجهة بالأشعة المقطعية أو السونار للحصول على عينة دقيقة بأقل قدر من التدخل الجراحي.




الأسباب والأعراض العميقة: متى يجب الشك بوجود ورم؟
الأورام العضلية الهيكلية قد تكون صامتة في بداياتها، ولكن هناك علامات تحذيرية "أعلام حمراء" يجب ألا يتجاهلها المريض أبداً.
أبرز الأعراض تشمل:
* الألم المستمر: ألم لا يزول بالمسكنات العادية، ويزداد سوءاً في الليل أو وقت الراحة.
* التورم أو الكتلة: ظهور كتلة محسوسة تنمو بمرور الوقت، سواء كانت مؤلمة أو غير مؤلمة.
* الكسور المرضية: حدوث كسر في العظم نتيجة إصابة طفيفة جداً لا تسبب كسراً في العظم السليم، مما يدل على ضعف العظم بسبب ورم.
* تحدد الحركة: صعوبة في تحريك المفصل القريب من مكان الورم.

أما عن الأسباب، فمعظم أورام العظام الأولية لا تزال مجهولة السبب الدقيق، ولكن هناك عوامل وراثية وجينية تلعب دوراً. كما أن بعض الأمراض العظمية السابقة (مثل مرض باجيت Paget's disease) أو التعرض السابق للإشعاع قد يزيد من احتمالية الإصابة.

ينصح الأستاذ الدكتور محمد هطيف بالمراجعة الفورية لأي تورم غير مبرر يستمر لأكثر من أسبوعين، فالكشف المبكر هو حجر الزاوية في نجاح العلاج.

مرحلة ما قبل الخزعة: التخطيط الدقيق والتشخيص الإشعاعي
لا يتم أخذ الخزعة بشكل عشوائي أبداً. تسبق هذه الخطوة مرحلة دقيقة من التقييم (Staging) لتحديد موقع الورم، حجمه، وعلاقته بالأنسجة المحيطة.
- الأشعة السينية (X-ray): الخطوة الأولى لتقييم العظام وتحديد نمط التدمير العظمي.
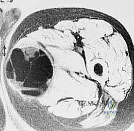
- الرنين المغناطيسي (MRI): هو المعيار الذهبي (Gold Standard) لتقييم الأورام. يوضح بدقة امتداد الورم في النخاع العظمي والأنسجة الرخوة، وعلاقته بالأعصاب والأوعية الدموية.
- الأشعة المقطعية (CT Scan): ضرورية لتقييم القشرة العظمية والتكلسات داخل الورم، وللبحث عن أي انتشار في الرئتين.

يعتمد الأستاذ الدكتور محمد هطيف على دراسة هذه الصور الإشعاعية شخصياً قبل تحديد مسار إبرة الخزعة، لضمان عدم تلويث الحجرات العضلية السليمة (Compartments).


الإجراء الجراحي خطوة بخطوة مع الأستاذ الدكتور محمد هطيف
تُجرى الخزعة في بيئة معقمة تماماً، وتختلف تفاصيل الإجراء بناءً على نوع الخزعة، ولكن الخطوات العامة لخزعة الإبرة الأساسية الموجهة (وهي الأكثر شيوعاً) تتضمن:
1. التحضير والتخدير
يتم تعقيم المنطقة جيداً. غالباً ما يتم استخدام تخدير موضعي (Local Anesthesia) في مكان إدخال الإبرة، مع إمكانية إعطاء مهدئ خفيف للمريض لضمان راحته التامة.

2. التوجيه الإشعاعي الدقيق
لضمان أخذ العينة من الجزء الأكثر تمثيلاً للورم وتجنب المناطق الميتة (Necrotic areas)، يستخدم الدكتور هطيف جهاز الأشعة المقطعية أو جهاز القوس المفلور (C-arm) لتوجيه الإبرة في الوقت الفعلي.

3. إدخال الإبرة واستخراج العينة
يقوم الدكتور بإجراء شق دقيق جداً (لا يتجاوز بضعة ملليمترات) في الجلد. يتم إدخال الإبرة المجوفة عبر مسار تم التخطيط له مسبقاً بعناية فائقة. يتم سحب عدة عينات أسطوانية من أماكن مختلفة داخل الورم لضمان دقة التشخيص.


4. حفظ العينة وإغلاق الجرح
توضع العينات فوراً في محاليل حافظة خاصة (مثل الفورمالين) وتُرسل مباشرة إلى مختبر علم الأمراض (Pathology). يتم إغلاق الشق الصغير بضمادة بسيطة، ولا يحتاج المريض عادة إلى غرز جراحية في خزعة الإبرة.

تُظهر هذه الخطوات مدى الدقة التي يتطلبها الإجراء، وهو ما يعكس التزام الأستاذ الدكتور محمد هطيف بتطبيق أحدث المعايير الطبية العالمية في صنعاء.

الرعاية ما بعد الخزعة وبرنامج التأهيل
بعد الإجراء، يبقى المريض تحت الملاحظة لفترة قصيرة (ساعة إلى ساعتين) للتأكد من عدم وجود نزيف أو مضاعفات، ثم يُسمح له بالعودة إلى المنزل في نفس اليوم.
تعليمات ما بعد الخزعة تشمل:
* الراحة: تجنب الأنشطة الشاقة أو رفع الأوزان الثقيلة بالطرف المصاب لعدة أيام.
* إدارة الألم: قد يشعر المريض بألم خفيف إلى متوسط في مكان الخزعة، والذي يمكن السيطرة عليه بسهولة باستخدام المسكنات الموصوفة.
* العناية بالجرح: الحفاظ على الضمادة نظيفة وجافة لمدة 24-48 ساعة.
* مراقبة المضاعفات: الاتصال بالطبيب فوراً في حال حدوث نزيف شديد، تورم مفاجئ، احمرار، أو ارتفاع في درجة الحرارة.

في بعض الأحيان، إذا كان العظم ضعيفاً جداً بسبب الورم، قد يوصي الدكتور هطيف باستخدام عكازات أو جبيرة لحماية الطرف من الكسر حتى تظهر النتائج ويتم تحديد خطة العلاج النهائية.


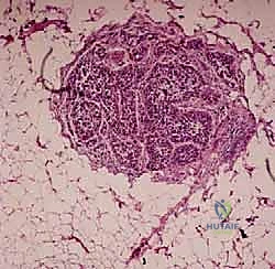
قراءة تقرير علم الأمراض (الباثولوجي): ماذا بعد الخزعة؟
تستغرق نتائج الخزعة عادة من أسبوع إلى أسبوعين. هذه الفترة قد تكون مليئة بالقلق للمريض وعائلته، ولكنها ضرورية لقيام طبيب علم الأمراض (Pathologist) بفحص الخلايا تحت المجهر وإجراء صبغات مناعية كيميائية (Immunohistochemistry) لتحديد النوع الدقيق للورم.

بمجرد صدور التقرير، يقوم الأستاذ الدكتور محمد هطيف بمناقشة النتائج بشفافية وأمانة طبية تامة مع المريض.
- إذا كان الورم حميداً: قد يكتفي بالمراقبة الدورية، أو يوصي باستئصال بسيط إذا كان الورم يسبب ألماً أو يهدد بكسر العظم.
- إذا كان الورم خبيثاً (ساركوما): يتم وضع خطة علاجية شاملة (Multidisciplinary approach) قد تتضمن العلاج الكيميائي، العلاج الإشعاعي، والجراحة الكبرى لاستئصال الورم مع الحفاظ على الطرف (Limb Salvage Surgery).


لماذا الأستاذ الدكتور محمد هطيف هو الخيار الأول في اليمن؟
عندما يتعلق الأمر بأورام العظام، لا مجال للخطأ. اختيار الجراح المناسب هو أهم قرار يتخذه المريض. الأستاذ الدكتور محمد هطيف ليس مجرد طبيب عظام تقليدي؛ بل هو مرجعية علمية وجراحية في اليمن.
جدول: مقارنة بين الرعاية القياسية والرعاية المتقدمة مع أ.د. محمد هطيف
| معيار المقارنة | الرعاية القياسية في العيادات العادية | الرعاية المتقدمة مع أ.د. محمد هطيف |
|---|---|---|
| الخبرة والمؤهل | أخصائي جراحة عظام عامة. | أستاذ دكتور (بروفيسور) بجامعة صنعاء، خبرة +20 عاماً في أعقد الحالات. |
| التخطيط للخزعة | قد يتم بشكل عشوائي أو مباشر. | تخطيط إشعاعي دقيق يضمن عدم تلويث الأنسجة السليمة والحفاظ على فرصة إنقاذ الطرف. |
| التقنيات المستخدمة | جراحة تقليدية. | استخدام الجراحة الميكروسكوبية، مناظير 4K، وأحدث تقنيات توجيه الإبرة. |
| الأمانة الطبية | تفاوت في مستوى الشفافية. | التزام صارم بالأمانة الطبية، شرح مفصل للمريض، وعدم إجراء تداخلات غير مبررة. |
| القدرة على العلاج النهائي | قد يحيل المريض لجراح آخر بعد التشخيص. | قدرة فائقة على إجراء جراحات استئصال الأورام الكبرى، زراعة المفاصل الصناعية، وإنقاذ الأطراف. |

إن الجمع بين الرتبة الأكاديمية الرفيعة (أستاذ بجامعة صنعاء)، المهارة الجراحية الفائقة، والتكنولوجيا المتقدمة يجعل من عيادة الدكتور هطيف الوجهة الأكثر أماناً وموثوقية لمرضى أورام العظام في اليمن.


قصص نجاح حقيقية: إنقاذ الأطراف والأرواح
تعكس قصص المرضى الأثر الحقيقي للتشخيص الدقيق والعلاج السليم:
الحالة الأولى: إنقاذ ركبة رياضي شاب
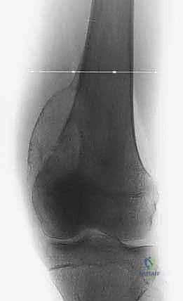
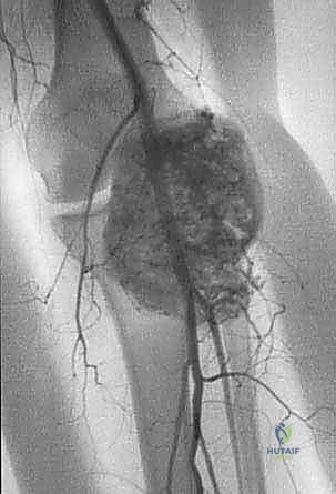
شاب يبلغ من العمر 19 عاماً عانى من ألم مستمر في الركبة وتورم لم يستجب للمسكنات. بعد الفحص السريري الدقيق وإجراء الرنين المغناطيسي، اشتبه الأستاذ الدكتور محمد هطيف بوجود ورم. تم إجراء خزعة إبرة أساسية دقيقة جداً. أظهرت النتائج وجود "ساركوما عظمية" في مراحلها الأولى. بفضل الخزعة الدقيقة التي لم تلوث الأنسجة المحيطة، تمكن الدكتور هطيف لاحقاً من استئصال الورم بالكامل وتركيب مفصل صناعي خاص بالأورام، مما أنقذ ساق الشاب من البتر ومكنه من العودة للمشي بشكل طبيعي.
![شاب يتعافى بعد جراحة استئصال ورم العظام](/media/hutaif_opertive/hutaif-ch
آلام العظام والمفاصل وتقييد حركتها ليس قدراً محتوماً! التشخيص الدقيق والعلاج المتخصص يمكن أن يعيد لك كامل وظيفتك وحريتك في الحركة. لا تدع الألم يسيطر على حياتك.
للحصول على استشارة دقيقة وخطة علاجية مخصصة لحالتك، تواصل فوراً مع مركز الأستاذ الدكتور محمد هطيف:
الأستاذ الدكتور محمد هطيف - أفضل دكتور عظام في صنعاء، وخبير في جراحات العظام والمفاصل والعمود الفقري.. نلتزم بإعادتك لحياة خالية من الألم وحركة طبيعية.
مواضيع أخرى قد تهمك