ساركوما العظام: دليلك الشامل للتشخيص والعلاج والتعافي في صنعاء مع الأستاذ الدكتور محمد هطيف

الخلاصة الطبية
ساركوما العظام هي سرطان عظمي عدواني يصيب غالبًا المراهقين والشباب. يشمل علاجها الكيميائي والجراحة، مع التركيز على التشخيص المبكر والرعاية المتخصصة لتحسين النتائج. الأستاذ الدكتور محمد هطيف يقدم أحدث طرق العلاج في صنعاء.
ساركوما العظام: دليلك الشامل للتشخيص والعلاج والتعافي في صنعاء مع الأستاذ الدكتور محمد هطيف
الخلاصة الطبية السريعة: ساركوما العظام هي سرطان عظمي عدواني يصيب غالبًا المراهقين والشباب. يشمل علاجها الكيميائي والجراحة، مع التركيز على التشخيص المبكر والرعاية المتخصصة لتحسين النتائج. الأستاذ الدكتور محمد هطيف، بخبرته التي تتجاوز 20 عامًا كأستاذ جامعي وجراح عظام متخصص في الأورام، يقدم أحدث طرق العلاج في صنعاء، مستخدمًا تقنيات متطورة مثل الميكروسكوب الجراحي وتنظير المفاصل 4K وجراحات استبدال المفاصل، مع التزامه بالصدق الطبي والرعاية الشاملة.
مقدمة: فهم ساركوما العظام وأهمية الرعاية المتخصصة
تُعد ساركوما العظام (Osteosarcoma) أحد الأورام الخبيثة الأولية للعظام، وهي نوع من السرطان يبدأ في الخلايا التي تشكل العظام. على الرغم من ندرتها، إلا أنها تُعد من أكثر أنواع سرطان العظام شيوعًا، وتصيب غالبًا المراهقين والشباب الذين تتراوح أعمارهم بين 10 و 25 عامًا، مع وجود ذروة ثانية أصغر في كبار السن. يتميز هذا النوع من السرطان بقدرته على الانتشار السريع إلى أجزاء أخرى من الجسم، خاصة الرئتين، مما يجعل التشخيص المبكر والعلاج الفوري أمرًا حاسمًا.
إن التشخيص المبكر لساركوما العظام والعلاج المتخصص ضروريان لتحقيق أفضل النتائج الممكنة. تتطلب هذه الحالات نهجًا متعدد التخصصات يجمع بين خبرة جراحي العظام المتخصصين في الأورام، وأطباء الأورام، وأخصائيي الأشعة، وأخصائيي علم الأمراض. في صنعاء، يُعد الأستاذ الدكتور محمد هطيف من أبرز الخبراء في علاج أورام العظام، ويقدم رعاية شاملة ومتطورة للمرضى الذين يعانون من ساركوما العظام، مستفيدًا من خبرته الواسعة التي تتجاوز عقدين من الزمن كأستاذ في جامعة صنعاء وجراح عظام متخصص، في التشخيص الدقيق وتطبيق أحدث بروتوكولات العلاج العالمية. يُعرف الأستاذ الدكتور هطيف بالتزامه الشديد بالصدق الطبي وتقديم المشورة الأمينة للمرضى وعائلاتهم، مع التركيز على استخدام أحدث التقنيات مثل الميكروسكوب الجراحي، تنظير المفاصل 4K، وجراحات استبدال المفاصل لتحقيق أفضل النتائج الوظيفية والشفائية.
يهدف هذا الدليل الشامل إلى تزويد المرضى وعائلاتهم بفهم عميق لساركوما العظام، بدءًا من تشريح العظام، مرورًا بالأسباب والأعراض، وصولاً إلى أساليب التشخيص والعلاج المتاحة، وكيفية التعافي والمتابعة بعد العلاج. نأمل أن يكون هذا المصدر مرجعًا قيمًا يساعدكم على اتخاذ قرارات مستنيرة في رحلة علاجكم، مؤكدين أن الرعاية المتخصصة التي يقدمها الأستاذ الدكتور محمد هطيف وفريقه في صنعاء هي مفتاح الأمل والشفاء.
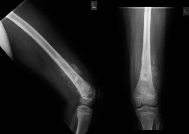
التشريح وعلاقته بالساركوما العظمية: فهم منشأ المرض
لفهم ساركوما العظام، من المهم أولاً فهم أساسيات تشريح العظام وكيف تنمو. العظام هي أنسجة حية ومعقدة توفر الدعم الهيكلي للجسم، وتحمي الأعضاء الداخلية، وتنتج خلايا الدم، وتخزن المعادن. تتكون العظام الطويلة، مثل عظم الفخذ والساق والعضد، من عدة أجزاء رئيسية:
- الرأس (Epiphysis): الأطراف المستديرة للعظم، والتي تتصل بالمفاصل.
- المشاشة (Metaphysis): المنطقة الواقعة بين الرأس والجسم (الجسم)، وهي منطقة نشطة للنمو وتحتوي على صفيحة النمو (Growth Plate) في الأطفال والمراهقين. هذه المنطقة هي الأكثر شيوعًا لنشأة ساركوما العظام، نظرًا للنشاط الخلوي العالي فيها.
- الجسم (Diaphysis): الجزء الأوسط الطويل من العظم.
- السمحاق (Periosteum): الغشاء الخارجي الذي يغطي العظم ويحتوي على الأوعية الدموية والأعصاب والخلايا المنتجة للعظم. يلعب دورًا في نمو العظام وإصلاحها.
- النخاع العظمي (Bone Marrow): النسيج الرخو الموجود داخل العظام، وينتج خلايا الدم الحمراء والبيضاء والصفائح الدموية.
تنشأ ساركوما العظام من الخلايا العظمية الأولية (Osteoblasts) التي تتطور بشكل غير طبيعي وتتكاثر لتشكل ورمًا خبيثًا. نظرًا لأن المشاشة هي منطقة النمو النشط، فإن الخلايا فيها تنقسم بسرعة، مما يجعلها أكثر عرضة للتحولات السرطانية. هذا يفسر سبب شيوع ساركوما العظام في العظام الطويلة وحول مناطق النمو النشط مثل الركبة (عظم الفخذ السفلي والساق العلوي) والكتف (عظم العضد العلوي). إن فهم هذا الجانب التشريحي ضروري لتحديد مواقع الورم المحتملة وتوجيه عمليات التشخيص والعلاج بدقة.
أسباب وعوامل خطر ساركوما العظام: نظرة عميقة
على الرغم من أن السبب الدقيق لساركوما العظام غالبًا ما يكون غير معروف، إلا أن هناك عدة عوامل خطر قد تزيد من احتمالية الإصابة بها. يُعد فهم هذه العوامل أمرًا مهمًا للبحث والوعي، على الرغم من أن معظم الحالات تحدث بشكل عشوائي دون وجود سبب واضح.
1. العمر:
- تُعد ساركوما العظام أكثر شيوعًا بين المراهقين والشباب الذين تتراوح أعمارهم بين 10 و 25 عامًا، وذلك لأنها فترة النمو السريع للعظام.
- هناك ذروة ثانية للإصابة في كبار السن (فوق 60 عامًا)، وغالبًا ما تكون مرتبطة بحالات طبية أخرى.
2. الجنس:
- تُلاحظ ساركوما العظام بشكل طفيف أكثر في الذكور مقارنة بالإناث.
3. التعرض السابق للعلاج الإشعاعي:
- الأشخاص الذين تلقوا علاجًا إشعاعيًا بجرعات عالية لأورام أخرى، خاصة في مرحلة الطفولة، يكونون أكثر عرضة للإصابة بساركوما العظام في المنطقة المُشععة بعد سنوات.
4. بعض المتلازمات الوراثية:
- متلازمة لي-فراوميني (Li-Fraumeni Syndrome): متلازمة وراثية نادرة تزيد بشكل كبير من خطر الإصابة بأنواع مختلفة من السرطان، بما في ذلك ساركوما العظام، بسبب طفرة في جين TP53.
- الورم الأرومي الشبكي الوراثي (Hereditary Retinoblastoma): الأطفال الذين يعانون من هذا النوع من سرطان العين يكونون أكثر عرضة للإصابة بساركوما العظام، خاصة إذا تلقوا علاجًا إشعاعيًا للعين.
- متلازمة روثموند-تومسون (Rothmund-Thomson Syndrome): اضطراب وراثي نادر يتميز بطفح جلدي، ومشاكل في الهيكل العظمي، ويزيد من خطر الإصابة بساركوما العظام.
- متلازمة بلوم (Bloom Syndrome): اضطراب وراثي نادر يتميز بقصر القامة، وحساسية للضوء الشمسي، ويزيد من خطر الإصابة بالسرطان.
- أورام العظام المتعددة الوراثية (Hereditary Multiple Exostoses): حالة وراثية تتسبب في نمو أورام عظمية حميدة (عظام غضروفية)، والتي يمكن أن تتحول في حالات نادرة إلى ساركوما العظام.
5. حالات عظمية أخرى:
- مرض باجيت في العظام (Paget's Disease of Bone): في كبار السن، يمكن أن يزيد مرض باجيت الشديد والمتقدم من خطر تطور ساركوما العظام في العظام المصابة.
- الاحتشاء العظمي (Bone Infarcts): موت نسيج العظم بسبب نقص إمداد الدم، قد يزيد من خطر ساركوما العظام في حالات نادرة.
يُشدد الأستاذ الدكتور محمد هطيف على أهمية أخذ التاريخ المرضي الكامل للمريض وعائلته لتحديد أي عوامل خطر محتملة، مما يساعد في توجيه الفحوصات والتشخيص بشكل أكثر دقة، خاصة في الحالات التي لا تكون فيها الأعراض واضحة بشكل مباشر.
الأعراض والعلامات: متى يجب أن تشك؟
تتطور أعراض ساركوما العظام تدريجيًا، وقد تتشابه في البداية مع آلام النمو أو الإصابات الرياضية الشائعة، مما يؤخر التشخيص أحيانًا. لذلك، من الضروري الانتباه لأي أعراض مستمرة أو متفاقمة، خاصة لدى المراهقين والشباب. يؤكد الأستاذ الدكتور محمد هطيف على أن الوعي بهذه الأعراض واللجوء إلى التقييم الطبي المتخصص في الوقت المناسب هو حجر الزاوية في التشخيص المبكر.
1. الألم:
- الموقع: غالبًا ما يكون الألم في العظم المصاب أو حول المفصل القريب.
- النمط: يبدأ الألم خفيفًا ومتقطعًا، ثم يصبح مستمرًا وشديدًا بمرور الوقت.
- التوقيت: يزداد الألم سوءًا في الليل أو مع النشاط البدني، وقد لا يزول بمسكنات الألم العادية.
- الطبيعة: قد يوصف بأنه ألم عميق، مؤلم، أو نابض.
2. التورم أو الكتلة الملموسة:
- قد يظهر تورم أو كتلة صلبة حول المنطقة المصابة، والتي قد تكون مؤلمة عند اللمس أو لا تكون.
- يزداد حجم التورم تدريجيًا مع نمو الورم.
- في بعض الحالات، قد يكون التورم هو العرض الأول الملحوظ.
3. تقييد حركة المفصل:
- إذا كان الورم قريبًا من مفصل (مثل الركبة أو الكتف)، فقد يؤدي إلى صعوبة في تحريك المفصل المصاب أو تقييد نطاق حركته.
- قد يلاحظ المريض أو الأهل عرجًا أو تغييرًا في طريقة المشي إذا كان الورم في الساق.
4. الكسور المرضية:
- في بعض الحالات، قد يضعف الورم العظم إلى درجة أن كسرًا يحدث بإصابة طفيفة جدًا أو حتى بدون إصابة واضحة. يُعرف هذا بالكسر المرضي.
- قد يكون هذا الكسر هو العرض الأول الذي يدفع المريض لطلب الرعاية الطبية.
5. الأعراض الجهازية (أقل شيوعًا):
- التعب والإرهاق غير المبرر.
- فقدان الوزن غير المبرر.
- الحمى الخفيفة أو التعرق الليلي.
- هذه الأعراض تكون أقل شيوعًا في المراحل المبكرة لساركوما العظام مقارنة بأنواع السرطان الأخرى، ولكنها قد تظهر في المراحل المتقدمة أو عند وجود انتشار.
جدول: قائمة فحص أعراض ساركوما العظام
| العرض الرئيسي | الوصف التفصيلي | مؤشر للاستشارة الطبية
آلام العظام والمفاصل وتقييد حركتها ليس قدراً محتوماً! التشخيص الدقيق والعلاج المتخصص يمكن أن يعيد لك كامل وظيفتك وحريتك في الحركة. لا تدع الألم يسيطر على حياتك.
للحصول على استشارة دقيقة وخطة علاجية مخصصة لحالتك، تواصل فوراً مع مركز الأستاذ الدكتور محمد هطيف:
الأستاذ الدكتور محمد هطيف - أفضل دكتور عظام في صنعاء، وخبير في جراحات العظام والمفاصل والعمود الفقري.. نلتزم بإعادتك لحياة خالية من الألم وحركة طبيعية.
مواضيع أخرى قد تهمك