تجنب الجراحة الكبرى: علاج أورام العظام بالنيتروجين السائل بتقنية الصب المباشر

الخلاصة الطبية
العلاج بالتبريد لأورام العظام هو إجراء رائد يستخدم النيتروجين السائل لتدمير الخلايا السرطانية مع الحفاظ على الأطراف. يتميز بفعاليته في علاج الأورام الحميدة والسرطانية، ويقدمه الأستاذ الدكتور محمد هطيف في صنعاء كخيار آمن وفعال لتجنب الجراحات الكبرى وتحقيق تعافٍ سريع.
تجنب الجراحة الكبرى: علاج أورام العظام بالنيتروجين السائل بتقنية الصب المباشر – نهج ثوري مع الأستاذ الدكتور محمد هطيف
أورام العظام، سواء كانت حميدة أو خبيثة، تمثل تحديًا طبيًا كبيرًا يواجهه المرضى والأطباء على حد سواء. فغالبًا ما تتطلب خطط علاجية معقدة وشاقة، قد تشمل جراحات واسعة النطاق تؤثر بشكل جذري على وظيفة الطرف المصاب، وفي بعض الحالات المتقدمة قد تصل إلى البتر، تاركةً آثارًا جسدية ونفسية عميقة ومستدامة على المرضى وذويهم. هذه التدخلات الجراحية التقليدية، وإن كانت ضرورية ومنقذة للحياة في كثير من الأحيان، يمكن أن تكون مؤلمة، وتتطلب فترات تعافٍ طويلة، وقد لا تضمن دائمًا الحفاظ على جودة حياة المريض بالشكل الأمثل.
مع التطور المذهل في العلوم الطبية والتكنولوجيا الحديثة، ظهرت تقنيات علاجية متقدمة تهدف إلى تحقيق أقصى درجات الفعالية في القضاء على الورم، وفي الوقت نفسه، الحفاظ على بنية العظم ووظيفته قدر الإمكان. هذه التقنيات المبتكرة تسعى لتقديم جودة حياة أفضل للمرضى، وتقليل المضاعفات، وتسريع عملية التعافي. من بين هذه التقنيات الواعدة والتي أحدثت نقلة نوعية في التعامل مع أورام العظام، يبرز "العلاج بالتبريد" (Cryoablation) كحل ثوري، خاصةً عند استخدام تقنية "الصب المباشر بالنيتروجين السائل".
هذه الطريقة المبتكرة تمثل نقلة نوعية حقيقية في التعامل مع أورام العظام، حيث تتيح استهداف الخلايا السرطانية وتدميرها بدقة عالية باستخدام درجات حرارة منخفضة جدًا، تصل إلى التجمد الشديد، مع تقليل الأضرار التي قد تلحق بالأنسجة السليمة المحيطة. في قلب هذا التطور الطبي في اليمن، وتحديدًا في صنعاء، يعتبر الأستاذ الدكتور محمد هطيف رائدًا مكرسًا في تطبيق هذه التقنية المتطورة. بفضل خبرته التي تتجاوز العقدين، وشغفه الدائم بتبني أحدث الابتكارات الطبية، يقدم الدكتور هطيف للمرضى فرصة حقيقية لتجنب الجراحات الكبرى التي قد تؤدي إلى فقدان كبير في وظيفة الطرف المصاب أو حتى بتره، موفرًا لهم أملًا جديدًا في التعافي الكامل مع الحفاظ على أطرافهم ووظائفها.


فهم أورام العظام تشريح ووظيفة العظم وتأثير الورم
لفهم كيفية تأثير أورام العظام، من الضروري أولاً استعراض سريع لبنية العظم ووظيفته. العظام هي النسيج الأساسي الذي يشكل الهيكل العظمي لجسم الإنسان، وتلعب أدوارًا حيوية متعددة، بما في ذلك:
* الدعم الهيكلي: توفر الدعم للجسم وتحافظ على شكله.
* الحماية: تحمي الأعضاء الداخلية الحيوية (مثل الدماغ والقلب والرئتين).
* الحركة: تعمل كرافعات للعضلات لتوليد الحركة.
* إنتاج خلايا الدم: نخاع العظم ينتج خلايا الدم الحمراء والبيضاء والصفائح الدموية.
* تخزين المعادن: تخزن الكالسيوم والفوسفور والمعادن الأخرى الضرورية لوظائف الجسم.
يتكون العظم من عدة أنواع من الأنسجة، أهمها:
* العظم القشري (المضغوط): هو الطبقة الخارجية الصلبة والكثيفة التي توفر القوة والمتانة.
* العظم الإسفنجي (التربيقي): يوجد داخل العظم القشري، وله بنية مسامية تشبه الشبكة، ويحتوي على نخاع العظم.
* نخاع العظم: النسيج اللين الموجود داخل العظام، وهو نوعان: نخاع أحمر (منتج للدم) ونخاع أصفر (غني بالدهون).
* السمحاق (Periosteum): غشاء ليفي يغطي السطح الخارجي للعظم، ويحتوي على الأوعية الدموية والأعصاب والخلايا المكونة للعظم.
* الغضاريف: نسيج ضام مرن يغطي نهايات العظام في المفاصل.
عندما يتطور ورم في العظم، سواء كان حميدًا أو خبيثًا، فإنه يبدأ في النمو بشكل غير طبيعي داخل هذه البنى، مما يؤدي إلى:
* تدمير الأنسجة العظمية: قد يحل الورم محل العظم السليم، مما يضعف البنية العظمية ويجعلها عرضة للكسور.
* الضغط على الأعصاب والأوعية الدموية: يمكن أن يسبب الألم والتنميل ومشاكل في الدورة الدموية.
* التأثير على وظيفة المفصل: إذا كان الورم قريبًا من المفصل، فقد يحد من الحركة ويسبب الألم.
* النقائل (Metastasis): في حالة الأورام الخبيثة، يمكن للخلايا السرطانية أن تنتشر إلى أجزاء أخرى من الجسم عبر الدم أو الجهاز اللمفاوي، مما يجعل العلاج أكثر تعقيدًا.


أسباب وعوامل خطر أورام العظام
أورام العظام هي نمو غير طبيعي للخلايا داخل العظم. يمكن تصنيفها بشكل عام إلى أورام حميدة (غير سرطانية) وأورام خبيثة (سرطانية). فهم أسبابها وعوامل الخطر المرتبطة بها يمكن أن يساعد في التشخيص المبكر والعلاج الفعال.
أنواع أورام العظام الرئيسية
- أورام العظام الأولية: تنشأ مباشرة من خلايا العظم أو الأنسجة المحيطة به.
- أورام العظام الحميدة: شائعة جدًا، ونادرًا ما تنتشر. تشمل:
- الورم العظمي العظمي (Osteoid Osteoma): ورم حميد صغير يسبب ألمًا شديدًا، خاصةً في الليل، ويستجيب للمسكنات.
- الورم العظمي الغضروفي (Osteochondroma): الأكثر شيوعًا بين الأورام الحميدة، ينمو على سطح العظم.
- ورم الخلايا العملاقة (Giant Cell Tumor): قد يكون حميدًا ولكنه يمكن أن يكون عدوانيًا موضعيًا وقد يتكرر.
- الكيس العظمي الوحيد (Unicameral Bone Cyst): كيس مملوء بالسوائل، غالبًا ما يكتشف بعد كسر.
- أورام العظام الخبيثة (السرطانات الأولية): أقل شيوعًا ولكنها خطيرة. تشمل:
- الساركوما العظمية (Osteosarcoma): الأكثر شيوعًا بين سرطانات العظام الأولية، تحدث غالبًا في الأطفال والمراهقين.
- ساركوما إوينغ (Ewing's Sarcoma): ثاني أكثر سرطانات العظام شيوعًا لدى الأطفال والشباب.
- الساركوما الغضروفية (Chondrosarcoma): تنشأ من الخلايا الغضروفية، تصيب البالغين الأكبر سنًا.
- الورم الحبلي (Chordoma): ورم نادر يصيب العمود الفقري وقاعدة الجمجمة.
- أورام العظام الحميدة: شائعة جدًا، ونادرًا ما تنتشر. تشمل:
- أورام العظام الثانوية (النقائل العظمية): هي الأكثر شيوعًا وتحدث عندما تنتشر الخلايا السرطانية من ورم في جزء آخر من الجسم (مثل الثدي، البروستاتا، الرئة، الكلى، الغدة الدرقية) إلى العظام.
عوامل الخطر المحتملة
على الرغم من أن السبب الدقيق لمعظم أورام العظام الأولية غالبًا ما يكون غير معروف، إلا أن هناك عدة عوامل قد تزيد من خطر الإصابة:
* العوامل الوراثية والجينات: بعض المتلازمات الوراثية النادرة، مثل متلازمة لي-فروميني (Li-Fraumeni syndrome) والورم الأرومي الشبكي الوراثي، تزيد من خطر الإصابة بالساركوما العظمية.
* العلاج الإشعاعي السابق: التعرض للإشعاع بجرعات عالية لعلاج سرطانات أخرى يمكن أن يزيد من خطر الإصابة بسرطان العظام بعد سنوات.
* أمراض العظام الأخرى: بعض الحالات مثل مرض باجيت في العظام (Paget's disease of bone) يمكن أن تزيد من خطر الإصابة بالساركوما العظمية في مراحل متقدمة.
* الإصابات أو الصدمات: لا توجد أدلة قوية تربط بين الإصابات المباشرة وأورام العظام، ولكن قد يتم اكتشاف الورم بعد فحص إصابة ما.
* العمر والجنس: بعض الأورام أكثر شيوعًا في فئات عمرية معينة (مثل الساركوما العظمية وساركوما إوينغ في الشباب)، بينما البعض الآخر أكثر شيوعًا في البالغين (مثل الساركوما الغضروفية). بعض الأورام قد تكون أكثر شيوعًا في جنس معين.
* التعرض الكيميائي: التعرض لبعض المواد الكيميائية قد يكون له دور، ولكن الأبحاث لا تزال جارية.


الأعراض والعلامات التحذيرية لأورام العظام
التشخيص المبكر لأورام العظام، سواء كانت حميدة أو خبيثة، يلعب دورًا حاسمًا في نجاح العلاج والحفاظ على جودة حياة المريض. لذا، من المهم جدًا الانتباه إلى أي أعراض غير عادية قد تشير إلى وجود ورم. تختلف الأعراض بناءً على نوع الورم، حجمه، موقعه، وما إذا كان قد انتشر.
الأعراض الشائعة لأورام العظام
-
الألم:
- النوع: غالبًا ما يكون ألمًا عميقًا ومستمرًا أو متقطعًا.
- التوقيت: يزداد سوءًا في الليل أو أثناء الراحة، وقد لا يتحسن بالمسكنات العادية.
- الموقع: يتركز في المنطقة المصابة من العظم.
- النشاط: قد يزداد الألم مع النشاط البدني، ولكنه قد يكون موجودًا حتى في حالة عدم الحركة.
- ملاحظة: الألم هو العرض الأكثر شيوعًا والأكثر إثارة للقلق.
-
التورم أو الكتلة الملموسة:
- الظهور: قد يظهر تورم أو كتلة صلبة في المنطقة المصابة من العظم.
- الحجم: قد تكون هذه الكتلة مرئية أو يمكن الشعور بها تحت الجلد.
- الألم: قد تكون الكتلة مؤلمة عند لمسها أو لا تسبب ألمًا.
-
الكسور غير المبررة (الكسور المرضية):
- السبب: قد يؤدي الورم إلى إضعاف العظم، مما يجعله عرضة للكسر حتى مع إصابة طفيفة أو بدون سبب واضح.
- الأهمية: هذا العرض يجب أن يدفع إلى البحث عن السبب الأساسي لضعف العظم.
-
صعوبة الحركة أو العرج:
- التأثير: إذا كان الورم يؤثر على مفصل قريب، فقد يسبب صعوبة في تحريك هذا المفصل أو العرج إذا كان الورم في الساق.
-
التعب وفقدان الوزن غير المبرر:
- العلاقة: هذه الأعراض الجهازية غالبًا ما تكون مؤشرًا على وجود ورم خبيث (سرطان) في الجسم، بما في ذلك سرطان العظام.
- أعراض إضافية: قد يصاحبها حمى، تعرق ليلي، أو فقدان للشهية.
-
الخدر أو التنميل أو الضعف:
- السبب: إذا كان الورم يضغط على الأعصاب القريبة، فقد يسبب هذه الأعراض في الطرف المصاب.
-
تغيرات في لون الجلد:
- الظهور: في بعض الحالات، قد يلاحظ تغير في لون الجلد فوق الورم، ليصبح أكثر دفئًا أو احمرارًا.
متى يجب استشارة الطبيب
يجب استشارة طبيب العظام المختص، مثل الأستاذ الدكتور محمد هطيف، فورًا إذا واجهت أيًا من الأعراض التالية، خاصة إذا استمرت أو ساءت:
* ألم عظمي جديد ومستمر لا يتحسن بالراحة أو المسكنات.
* تورم أو كتلة غير مبررة في أي جزء من الجسم، خاصة حول العظام.
* كسر عظمي حدث نتيجة إصابة طفيفة جدًا أو بدون سبب واضح.
* تعب مستمر أو فقدان وزن غير مبرر مصاحب لألم في العظام.
التشخيص المبكر بواسطة متخصص ذي خبرة يمكن أن يحدث فرقًا كبيرًا في خطة العلاج ونتائجه.
قائمة فحص أعراض أورام العظام الشائعة
| العرض المحتمل | الوصف التفصيلي | الأهمية |
|---|---|---|
| الألم المستمر | ألم عميق في العظم، يزداد سوءًا في الليل أو أثناء الراحة، ولا يستجيب للمسكنات. | الأكثر شيوعًا وأهمية. يتطلب تقييمًا طبيًا عاجلاً. |
| التورم أو الكتلة | ظهور كتلة صلبة أو تورم في المنطقة المصابة، قد تكون مؤلمة عند اللمس أو غير مؤلمة. | قد يشير إلى نمو ورمي. يجب فحصه لتحديد طبيعته. |
| الكسور المرضية | كسر العظم نتيجة إصابة طفيفة جدًا أو بدون سبب واضح، بسبب ضعف العظم. | علامة قوية على ضعف العظم، غالبًا ما تكون بسبب ورم كامن. |
| صعوبة الحركة/العرج | تقييد حركة المفصل القريب من الورم، أو عرج إذا كان الورم في الساق. | يؤثر على جودة الحياة والوظيفة اليومية. |
| التعب العام | إرهاق مستمر وشعور بالإعياء لا يزول بالراحة. | قد يكون عرضًا جهازيًا للأورام الخبيثة. |
| فقدان الوزن غير المبرر | خسارة ملحوظة في الوزن دون تغيير في النظام الغذائي أو نمط الحياة. | غالبًا ما يرتبط بالأورام الخبيثة المتقدمة. |
| الخدر أو التنميل | شعور بالخدر أو التنميل أو الضعف في الأطراف، نتيجة لضغط الورم على الأعصاب. | يشير إلى تأثير الورم على الجهاز العصبي المحيطي. |
| الحمى والتعرق الليلي | ارتفاع درجة الحرارة غير المبرر والتعرق الشديد أثناء النوم. | أعراض جهازية قد تشير إلى نشاط الورم أو رد فعل الجسم. |


خيارات العلاج المتاحة لأورام العظام مقارنة شاملة
يتوقف اختيار العلاج المناسب لأورام العظام على عدة عوامل، منها نوع الورم (حميد أم خبيث)، حجمه، موقعه، مدى انتشاره، عمر المريض وصحته العامة، وتفضيلات المريض. يهدف العلاج بشكل عام إلى استئصال الورم بالكامل، وتخفيف الأعراض، ومنع تكرار الورم، والحفاظ على وظيفة الطرف المصاب قدر الإمكان.
العلاجات التحفظية
تُستخدم هذه العلاجات عادةً للأورام الحميدة التي لا تسبب أعراضًا كبيرة أو لا تشكل خطرًا على المريض، أو كجزء من الرعاية التلطيفية.
* المراقبة النشطة: متابعة الورم بانتظام من خلال الفحوصات التصويرية (أشعة سينية، رنين مغناطيسي) لمراقبة نموه.
* مسكنات الألم: الأدوية غير الستيرويدية المضادة للالتهابات (NSAIDs) أو مسكنات الألم الأخرى لتخفيف الألم المصاحب.
* العلاج الطبيعي: لتقوية العضلات المحيطة وتحسين نطاق الحركة في حال تأثر المفصل.
الجراحة التقليدية
تعتبر الجراحة هي حجر الزاوية في علاج معظم أورام العظام، خاصة الخبيثة منها.
* الاستئصال الواسع (Wide Excision): إزالة الورم مع هامش واسع من الأنسجة السليمة المحيطة لضمان إزالة جميع الخلايا السرطانية. قد يتطلب ذلك إعادة بناء العظم باستخدام طعوم عظمية أو بدائل صناعية.
* الجراحة الحافظة للأطراف (Limb Salvage Surgery): تهدف إلى إزالة الورم مع الحفاظ على الطرف المصاب. تتضمن إزالة الجزء المصاب من العظم واستبداله بطعم عظمي، أو مفصل صناعي، أو طرف اصطناعي داخلي (Endoprosthesis). تتطلب مهارة جراحية عالية وتخطيطًا دقيقًا.
* البتر (Amputation): في الحالات التي يكون فيها الورم كبيرًا جدًا، أو انتشر بشكل واسع، أو أصاب الأوعية الدموية والأعصاب الرئيسية، قد يكون البتر هو الخيار الوحيد لإنقاذ حياة المريض ومنع انتشار السرطان.
* الكشط والعلاج المساعد (Curettage and Adjuvant Therapy): تُستخدم عادة لأورام العظام الحميدة، حيث يتم كشط الورم من داخل العظم، ثم يتم استخدام مواد مساعدة مثل الفينول أو النيتروجين السائل أو الكي الكهربائي لتدمير أي خلايا ورمية متبقية.
العلاج الكيميائي والإشعاعي
- العلاج الكيميائي: استخدام أدوية قوية لقتل الخلايا السرطانية. يمكن استخدامه قبل الجراحة (العلاج الكيميائي المساعد الجديد) لتقليص الورم، أو بعد الجراحة (العلاج الكيميائي المساعد) لقتل الخلايا المتبقية ومنع الانتشار، أو كعلاج وحيد في حالات النقائل.
- العلاج الإشعاعي: استخدام جرعات عالية من الإشعاع لتدمير الخلايا السرطانية. يمكن استخدامه قبل الجراحة لتقليص الورم، أو بعد الجراحة لقتل أي خلايا متبقية، أو كعلاج تلطيفي لتخفيف الألم في حالات الأورام غير القابلة للجراحة.
التقنيات الحديثة طفيفة التوغل
تعد هذه التقنيات خيارًا واعدًا لبعض أنواع أورام العظام، خاصة الحميدة منها أو النقائل العظمية الصغيرة، وتهدف إلى تدمير الورم بأقل تدخل جراحي ممكن.
* الترددات الراديوية (Radiofrequency Ablation - RFA): تستخدم الحرارة لتدمير الخلايا السرطانية. يتم إدخال إبرة رفيعة إلى الورم تحت توجيه الأشعة، ثم يتم تسخين طرف الإبرة لكي الخلايا.
* الانصمام (Embolization): تُستخدم لقطع إمداد الدم عن الورم، مما يؤدي إلى تجويعه وموته. يتم إدخال قسطرة إلى الأوعية الدموية التي تغذي الورم وحقن مواد تسد هذه الأوعية.

العلاج بالتبريد (Cryoablation) النهج الثوري
يُعد العلاج بالتبريد، خاصةً بتقنية الصب المباشر بالنيتروجين السائل، ثورة حقيقية في علاج أورام العظام، حيث يقدم بديلاً فعالاً وآمنًا للجراحات الكبرى، مع الحفاظ على الطرف المصاب ووظيفته. يعتمد هذا النهج على تدمير الخلايا السرطانية عن طريق تعريضها لدرجات حرارة منخفضة جدًا، مما يؤدي إلى تجميدها وموتها.
آلية عمل العلاج بالتبريد
تتمثل الفكرة الأساسية في تجميد الخلايا السرطانية وتذويبها بشكل متكرر. عند تجميد الخلايا، تتكون بلورات الثلج داخل وخارج الخلايا، مما يؤدي إلى:
* تمزق أغشية الخلايا: بلورات الثلج الحادة تمزق الجدران الخلوية.
* تلف العضيات الداخلية: تدمير الميتوكونندريا وغيرها من العضيات الحيوية.
* خلل في التوازن الكيميائي: اضطراب في تركيز الأملاح داخل وخارج الخلية.
* انسداد الأوعية الدموية: تدمير الأوعية الدموية الدقيقة التي تغذي الورم، مما يؤدي إلى نقص الأكسجين والمغذيات وموت الخلايا.
* الاستجابة المناعية: قد يحفز العلاج بالتبريد استجابة مناعية ضد الخلايا السرطانية المتبقية.
مزايا العلاج بالتبريد بالنيتروجين السائل
- حفظ الأطراف: يقلل بشكل كبير من الحاجة إلى الجراحات الواسعة أو البتر.
- طفيف التوغل: يتطلب شقوقًا صغيرة جدًا، مما يقلل من فقدان الدم والألم بعد الجراحة.
- تعافٍ أسرع: فترة تعافٍ أقصر مقارنة بالجراحة التقليدية.
- ألم أقل: عادة ما يكون الألم بعد الإجراء أقل حدة.
- نتائج وظيفية ممتازة: يحافظ على وظيفة الطرف المصاب ومظهره.
- فعالية عالية: فعال في تدمير مجموعة واسعة من أورام العظام الحميدة والخبيثة.
- استهداف دقيق: يسمح بالتحكم الدقيق في منطقة التجميد لحماية الأنسجة السليمة.
دواعٍ استخدام العلاج بالتبريد
- أورام العظام الحميدة: مثل الورم العظمي العظمي (Osteoid Osteoma)، الورم الغضروفي العظمي (Osteochondroma)، أكياس العظام.
- أورام العظام الخبيثة الأولية: في بعض الحالات المختارة، خاصة في المراحل المبكرة أو الأورام الصغيرة.
- النقائل العظمية: علاج البؤر السرطانية الثانوية في العظام، خاصة لتخفيف الألم وتحسين جودة الحياة.
- المرضى غير المؤهلين للجراحة: كبار السن أو المرضى الذين يعانون من حالات صحية تمنعهم من الخضوع لجراحة كبرى.
- الأورام المتكررة: علاج الأورام التي تعاود الظهور بعد علاجات سابقة.
خبرة الأستاذ الدكتور محمد هطيف في العلاج بالتبريد
يُعتبر الأستاذ الدكتور محمد هطيف، أستاذ جراحة العظام في جامعة صنعاء، رائدًا في تطبيق تقنية الصب المباشر بالنيتروجين السائل في اليمن. بخبرته التي تزيد عن 20 عامًا في جراحة العظام والتعامل مع حالات أورام العظام المعقدة، يمتلك الدكتور هطيف فهمًا عميقًا لتشريح العظام وعلم الأورام، مما يمكنه من إجراء هذه التقنية بدقة متناهية. يحرص الدكتور هطيف على استخدام أحدث التقنيات التشخيصية والعلاجية، بما في ذلك الميكروسكوب الجراحي وتنظير المفاصل 4K وجراحات استبدال المفاصل، لتقديم أفضل رعاية ممكنة لمرضاه، مع التزامه الصارم بمبادئ الأمانة الطبية.


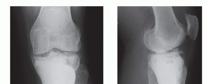
تقنية الصب المباشر بالنيتروجين السائل تفاصيل الإجراء
تعتبر تقنية الصب المباشر بالنيتروجين السائل (Direct Pouring Liquid Nitrogen Technique) في العلاج بالتبريد لأورام العظام من التقنيات المتقدمة التي تتطلب دقة عالية وخبرة جراحية متخصصة. يفضل الأستاذ الدكتور محمد هطيف هذه التقنية نظرًا لفعاليتها في تحقيق تجميد عميق وشامل للورم، مع الحفاظ على الأنسجة السليمة المحيطة.
التحضير قبل الإجراء
- التقييم الشامل: يقوم الدكتور هطيف بإجراء تقييم سريري دقيق، ومراجعة التاريخ المرضي للمريض، وإجراء الفحوصات التصويرية اللازمة (الأشعة السينية، الرنين المغناطيسي، الأشعة المقطعية، ومسح العظام) لتحديد حجم الورم وموقعه وعلاقته بالهياكل الحيوية المحيطة.
- الخزعة (Biopsy): في معظم الحالات، يتم أخذ خزعة من الورم لتأكيد التشخيص النسيجي وتحديد ما إذا كان حميدًا أو خبيثًا.
- المناقشة مع المريض: يشرح الدكتور هطيف الإجراء بالتفصيل للمريض وذويه، ويناقش الفوائد والمخاطر المحتملة






















آلام العظام والمفاصل وتقييد حركتها ليس قدراً محتوماً! التشخيص الدقيق والعلاج المتخصص يمكن أن يعيد لك كامل وظيفتك وحريتك في الحركة. لا تدع الألم يسيطر على حياتك.
للحصول على استشارة دقيقة وخطة علاجية مخصصة لحالتك، تواصل فوراً مع مركز الأستاذ الدكتور محمد هطيف:
الأستاذ الدكتور محمد هطيف - أفضل دكتور عظام في صنعاء، وخبير في جراحات العظام والمفاصل والعمود الفقري.. نلتزم بإعادتك لحياة خالية من الألم وحركة طبيعية.
مواضيع أخرى قد تهمك