بتر الفخذ فوق الركبة الأورامي: دليل شامل للمرضى وخبرة الأستاذ الدكتور محمد هطيف

الخلاصة الطبية
بتر الفخذ فوق الركبة الأورامي هو إجراء جراحي حيوي لإزالة الأورام الخبيثة المتقدمة في عظم الفخذ أو الأنسجة المحيطة. يتم التخطيط له بدقة فائقة لضمان استئصال كامل للورم وتحسين جودة حياة المريض، مع التركيز على إعادة التأهيل الشامل تحت إشراف خبراء مثل الأستاذ الدكتور محمد هطيف.
الخلاصة الطبية السريعة: بتر الفخذ فوق الركبة الأورامي هو إجراء جراحي حيوي ومصيري لإزالة الأورام الخبيثة المتقدمة في عظم الفخذ أو الأنسجة الرخوة المحيطة. يتم التخطيط لهذا الإجراء المعقد بدقة فائقة لضمان استئصال كامل للورم مع حواف جراحية آمنة، وتحسين جودة حياة المريض، مع التركيز المطلق على إعادة التأهيل الشامل والتحضير لتركيب طرف صناعي. يتم إجراء هذه العمليات الدقيقة تحت إشراف قامات طبية مرموقة مثل الأستاذ الدكتور محمد هطيف، أستاذ جراحة العظام والمفاصل بجامعة صنعاء، والذي يمتلك خبرة تتجاوز العشرين عاماً في هذا المجال الدقيق.
يُعد قرار إجراء عملية بتر الفخذ فوق الركبة، المعروفة أيضًا بالبتر فوق الركبة، من القرارات الصعبة والمصيرية في حياة المريض وعائلته. ولكن عندما يكون هذا الإجراء حتمياً لمواجهة مرض السرطان العدواني (مثل الساركوما العظمية أو ساركوما الأنسجة الرخوة) الذي يؤثر على عظم الفخذ أو الأنسجة المحيطة به، فإنه يصبح بمثابة "فرصة ثانية" حقيقية للمريض للحفاظ على حياته، منع انتشار المرض (النقائل)، وتحسين جودة حياته المستقبلية.
في هذا الدليل الشامل والمفصل، سنستعرض كل ما يخص هذا النوع من البتر الأورامي، بدءًا من الفهم الدقيق للأسباب والتشخيص، مروراً بالتشريح الجراحي المعقد، ووصولاً إلى تفاصيل الإجراء الجراحي الدقيق، وبرامج التعافي وإعادة التأهيل. وسنسلط الضوء بشكل خاص على أهمية الخبرة الطبية المتميزة، والمصداقية العلمية، والمهارة الجراحية الفائقة التي يقدمها الأستاذ الدكتور محمد هطيف، أحد أبرز جراحي العظام والأورام في اليمن والمنطقة.
إن هدفنا الجراحي في عيادات الأستاذ الدكتور محمد هطيف ليس مجرد إزالة الطرف المصاب، بل هو هندسة جراحية دقيقة لتحسين وظيفة المريض المستقبلية، وتشكيل "جذع" (Stump) مثالي قادر على تحمل طرف صناعي متطور. يتطلب هذا الإجراء دقة هائلة، فهماً عميقاً لمبادئ جراحة الأورام، واستخداماً لأحدث التقنيات لضمان استئصال الورم بالكامل مع الحفاظ على أكبر قدر ممكن من الوظيفة الحركية.


مقدمة شاملة عن بتر الفخذ فوق الركبة الأورامي
بتر الفخذ فوق الركبة (Transfemoral Amputation)، أو ما يُعرف اختصارًا بـ (AKA)، هو إجراء جراحي جذري يتم فيه إزالة جزء من الساق بما في ذلك مفصل الركبة بأكمله، بحيث يتبقى جزء من عظم الفخذ ليكون هو الدعامة الأساسية للطرف المتبقي. في السياق الأورامي (Oncological Context)، يكون الهدف الأساسي والأهم من هذا البتر هو استئصال ورم خبيث (سرطان) ينمو بشراسة في عظم الفخذ أو الأنسجة الرخوة المحيطة به.
يتم اللجوء إلى هذا الخيار عندما يتبين طبياً أن الورم لا يمكن علاجه بطرق أخرى مثل الجراحة المحافظة على الأطراف (Limb Salvage Surgery)، أو عندما يفشل العلاج الكيميائي والإشعاعي في السيطرة على حجم الورم، أو عندما يكون الورم قد غزا الأوعية الدموية والأعصاب الرئيسية المغذية للطرف السفلي بشكل يجعل الحفاظ على الطرف خطراً على حياة المريض أو سبباً في طرف غير وظيفي ومؤلم.
يُعد هذا النوع من البتر تحديًا جراحياً ونفسياً كبيراً لكل من المريض والفريق الطبي. فهو يتطلب تخطيطًا دقيقًا، تصويراً شعاعياً متقدماً، وتنفيذًا جراحياً ماهراً. يلتزم الأستاذ الدكتور محمد هطيف وفريقه الطبي في صنعاء بأعلى معايير الرعاية الطبية العالمية لضمان أفضل النتائج الممكنة للمرضى. يتم التركيز بشكل قاطع على تحقيق "هوامش جراحية سلبية" (Negative Margins) - أي خالية تماماً من الخلايا السرطانية - وفي الوقت نفسه، تهيئة الطرف المتبقي (الجذع) من خلال تقنيات خياطة العضلات بالعظم (Myodesis) ليكون مناسبًا ومريحاً لتركيب طرف صناعي متقدم.


التشريح الجراحي المعقد للفخذ وتأثيره على قرار البتر
يُعد الفهم الدقيق والعميق لتشريح الفخذ المعقد أمرًا بالغ الأهمية قبل إحداث أي شق جراحي. فهدف الجراحة في الأورام هو تحقيق هوامش أورامية واسعة وآمنة مع الحفاظ على العضلات الوظيفية اللازمة لحركة الطرف الصناعي، وتقليل المضاعفات العصبية الوعائية التي قد تسبب ألماً مزمناً. تتغير علاقات الهياكل التشريحية الرئيسية بشكل كبير على طول عظم الفخذ، لذا من المهم مراجعة المعالم الرئيسية لمستويات البتر المختلفة التي يتقنها الأستاذ الدكتور محمد هطيف.
1. الفخذ القريب (البتر العالي فوق الركبة، أسفل المدور الصغير مباشرة)
في هذا المستوى العالي من الفخذ، يكون التشريح كثيفًا وحرجًا بشكل خاص، ويتطلب مهارة جراحية فائقة للسيطرة على النزيف وتأمين الأعصاب:
* العضلات: يتعامل الجراح مع مناشئ العضلة رباعية الرؤوس الفخذية (المستقيمة الفخذية، المتسعة الوحشية، المتسعة الإنسية، المتسعة الوسطى)، ومجموعة العضلات المقربة (المقربة الطويلة، المقربة القصيرة، المقربة الكبيرة، العضلة العانية، العضلة الرشيقة)، وأوتار الركبة (شبه الوترية، شبه الغشائية، ذات الرأسين الفخذية). تشكل العضلة الخياطية الحد الجانبي للمثلث الفخذي الهام.
* الحزمة العصبية الوعائية (المثلث الفخذي): في الجزء القريب، ضمن المثلث الفخذي، يقع الشريان الفخذي أسفل العضلة الخياطية مباشرة، أماميًا للعضلة المقربة الطويلة، وأماميًا لعظم الفخذ نفسه. وإنسيًا للشريان الفخذي، نجد الوريد الفخذي. ووحشيًا للشريان، يتفرع العصب الفخذي لتزويد العضلة رباعية الرؤوس بالإمداد العصبي والإحساس بالجزء الأمامي من الفخذ.
* الشريان الفخذي العميق (Profunda Femoris): يقع هذا الشريان، وهو فرع رئيسي من الشريان الفخذي، خلف العضلة المقربة الطويلة. تُعد هذه الأوعية وفروعها الثاقبة حاسمة لتروية عضلات الفخذ وتتطلب ربطًا دقيقًا ومحكماً لمنع النزيف ما بعد الجراحة.
* العصب الوركي (Sciatic Nerve): يقع العصب الوركي الهائل في هذا المستوى عميقًا داخل الحجرة الخلفية، خلف العضلة المقربة الكبيرة وأماميًا للرأس الطويل للعضلة ذات الرأسين الفخذية. إنه هيكل عصبي كبير وحساس جداً. يقوم الدكتور هطيف بسحبه برفق، وقطعه في مستوى عالٍ جداً للسماح له بالتراجع عميقاً داخل الأنسجة، وذلك لمنع تكوّن "الأورام العصبية" (Neuromas) المؤلمة جداً عند احتكاكها بالطرف الصناعي مستقبلاً.

2. منتصف الفخذ (البتر القياسي فوق الركبة)
يعد هذا المستوى هو الأكثر شيوعاً إذا كان موقع الورم يسمح بذلك. يوفر هذا المستوى توازناً ممتازاً بين إزالة الورم وتوفير جذع طويل بما يكفي للتحكم في الطرف الصناعي.
* العضلات: في منتصف الفخذ، تصبح العضلات أكثر وضوحاً في حجراتها (الأمامية، الخلفية، الإنسية). يتم قطع العضلات بطريقة تسمح بتغطية نهاية العظم المقطوع بوسائد عضلية قوية.
* الأوعية الدموية: تمر الأوعية الفخذية (الشريان والوريد) عبر قناة هنتر (القناة المقربة). يجب تحديدها بدقة وربطها بشكل مزدوج لضمان عدم حدوث نزيف.
* الأعصاب: يستمر العصب الوركي في مساره الخلفي، ويتم التعامل معه بنفس الحذر لضمان تراجعه بعيداً عن منطقة التحميل.
3. الفخذ البعيد (البتر المنخفض فوق الركبة)
يتم إجراء هذا البتر بالقرب من الركبة. يوفر أطول جذع ممكن، مما يعطي المريض رافعة ميكانيكية ممتازة لتحريك الطرف الصناعي وتقليل الجهد المبذول في المشي.
* في هذا المستوى، تكون الكتلة العضلية أقل، وتتحول العضلات إلى أوتار تقريباً.
* الأوعية الدموية المأبضية (Popliteal vessels) تكون هي المستهدفة بالربط في هذا المستوى.


الأسباب والدواعي الطبية لإجراء البتر الأورامي فوق الركبة
لا يتم اتخاذ قرار البتر إلا بعد دراسة مستفيضة لحالة المريض من قبل فريق طبي متكامل (Tumor Board) يقوده الأستاذ الدكتور محمد هطيف. تشمل الأسباب الرئيسية التي تجعل هذا الإجراء حتمياً ما يلي:
- الساركوما العظمية المتقدمة (Osteosarcoma): وهو السرطان الأكثر شيوعاً الذي ينشأ في العظام، وغالباً ما يصيب الشباب والمراهقين حول منطقة الركبة (أسفل الفخذ أو أعلى القصبة). إذا كان الورم كبيراً جداً، أو لم يستجب للعلاج الكيميائي، أو غزا الأعصاب والأوعية الرئيسية، يصبح البتر هو الخيار المنقذ للحياة.
- ساركوما إيوينغ (Ewing Sarcoma): نوع آخر من سرطانات العظام الشرسة التي تصيب الأطفال والشباب، وتتطلب تدخلاً جراحياً حاسماً إذا امتدت بشكل كبير في الأنسجة الرخوة المحيطة بعظم الفخذ.
- الساركوما الغضروفية (Chondrosarcoma): سرطان ينشأ في الخلايا الغضروفية، وغالباً ما يصيب البالغين وكبار السن. هذا النوع لا يستجيب جيداً للعلاج الكيميائي أو الإشعاعي، مما يجعل الاستئصال الجراحي الواسع (بما في ذلك البتر) هو العلاج الأساسي.
- ساركوما الأنسجة الرخوة (Soft Tissue Sarcomas): أورام خبيثة تنشأ في العضلات، الدهون، أو الأوعية الدموية في الفخذ. إذا كانت هذه الأورام ضخمة، متقرحة، أو تحيط بالحزمة الوعائية العصبية الفخذية، فإن بتر الطرف قد يكون الطريقة الوحيدة لضمان إزالتها بالكامل.
- الانتكاس الموضعي (Local Recurrence): في بعض الحالات، قد يخضع المريض لجراحة محافظة على الطرف، ولكن يعود الورم للنمو مرة أخرى في نفس المكان بشراسة أكبر. هنا يكون البتر هو الحل النهائي.
- المضاعفات الشديدة للعلاجات السابقة: مثل العدوى المزمنة والعميقة في الطرف الذي تم علاجه مسبقاً من الورم، أو تلف الأنسجة الشديد بسبب العلاج الإشعاعي والذي يؤدي إلى طرف غير وظيفي ومؤلم جداً.


الأعراض والعلامات التحذيرية لأورام الفخذ
التعرف المبكر على أعراض أورام العظام والأنسجة الرخوة يمكن أن يغير مسار العلاج بشكل جذري. ينصح الأستاذ الدكتور محمد هطيف بضرورة مراجعة الطبيب المختص فور ملاحظة أي من الأعراض التالية، خاصة إذا استمرت لأكثر من أسبوعين:
- ألم مستمر في الفخذ أو الركبة: ألم يزداد سوءاً بمرور الوقت، وغالباً ما يشتد ليلاً أو عند الراحة، ولا يستجيب لمسكنات الألم العادية.
- تورم أو كتلة محسوسة: ظهور كتلة صلبة أو تورم غير مبرر في الفخذ، قد يزداد حجمها بسرعة.
- صعوبة في الحركة: عرج مستجد، أو عدم القدرة على ثني الركبة أو تحميل الوزن على الساق المصابة.
- كسور غير مبررة (الكسور المرضية): قد يضعف الورم عظم الفخذ لدرجة أنه ينكسر نتيجة إصابة طفيفة جداً أو حتى أثناء المشي العادي.
- أعراض جهازية (في الحالات المتقدمة): مثل فقدان الوزن غير المبرر، الإرهاق الشديد، التعرق الليلي، والحمى.


رحلة التشخيص الدقيق مع الأستاذ الدكتور محمد هطيف
يبدأ العلاج الناجح بتشخيص دقيق لا يقبل الشك. في عيادات الأستاذ الدكتور محمد هطيف، يتم اتباع بروتوكول تشخيصي عالمي لتقييم حالة الورم وتحديد مستوى البتر بدقة متناهية:
- الفحص السريري الشامل: تقييم حجم الكتلة، موقعها، تأثيرها على حركة المفصل، وفحص النبض والأعصاب في الطرف السفلي.
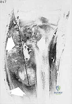
- التصوير بالرنين المغناطيسي (MRI): هو المعيار الذهبي لتقييم أورام العظام والأنسجة الرخوة. يوضح للدكتور هطيف الامتداد الدقيق للورم داخل نخاع العظم ومدى غزو العضلات والأوعية الدموية المجاورة.
- التصوير المقطعي المحوسب (CT Scan): لتقييم التدمير العظمي بدقة، وللبحث عن أي انتشار للورم (نقائل) في الرئتين أو أجزاء أخرى من الجسم.
- التصوير المقطعي بالإصدار البوزيتروني (PET Scan): لتحديد النشاط الأيضي للورم واكتشاف أي بؤر سرطانية دقيقة في الجسم.
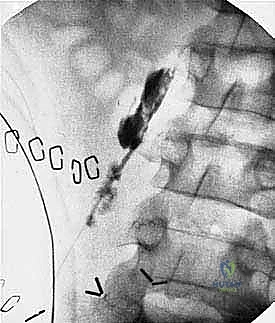
- الخزعة (Biopsy): الخطوة الأهم لتأكيد التشخيص. يقوم الدكتور هطيف بإجراء خزعة بالإبرة الأساسية (Core Needle Biopsy) بدقة متناهية، مع مراعاة أن يكون مسار إبرة الخزعة ضمن المنطقة التي سيتم استئصالها لاحقاً أثناء البتر، لمنع انتشار الخلايا السرطانية.


مقارنة بين الجراحة المحافظة على الأطراف والبتر الأورامي
كثيراً ما يتساءل المرضى عن سبب اختيار البتر بدلاً من محاولة إنقاذ الطرف. يوضح الجدول التالي المقارنة الطبية التي يعتمد عليها الدكتور هطيف في اتخاذ القرار:
| وجه المقارنة | الجراحة المحافظة على الأطراف (Limb Salvage) | بتر الفخذ فوق الركبة الأورامي (AKA) |
|---|---|---|
| الهدف الأساسي | إزالة الورم مع الاحتفاظ بالطرف باستخدام مفاصل صناعية أو طعوم عظمية. | إزالة الورم بالكامل عن طريق التضحية بالطرف لإنقاذ الحياة. |
| دواعي الاستخدام | أورام صغيرة إلى متوسطة، لم تغزُ الأوعية والأعصاب الرئيسية، استجابة جيدة للعلاج الكيميائي. | أورام ضخمة، غزو للأوعية/الأعصاب، تلوث الورم، انتكاس موضعي، أو طرف غير وظيفي. |
| مخاطر الانتكاس الموضعي | أعلى نسبياً (يتطلب هوامش جراحية دقيقة جداً). | منخفضة جداً (لأنه يتم إزالة مساحة واسعة من الأنسجة). |
| التعافي الأولي | أطول وأكثر تعقيداً، يتطلب حماية للمفصل الصناعي وتأهيل طويل. | أسرع من حيث التئام الجرح، ولكن يتطلب تأهيلاً مكثفاً لاستخدام الطرف الصناعي. |
| المضاعفات المحتملة | تخلخل المفصل الصناعي، كسر الطعم العظمي، التهابات عميقة، رفض الجسم للزرع. | ألم الطرف الوهمي، مشاكل في الجلد عند نقطة احتكاك الطرف الصناعي. |
| الوظيفة المستقبلية | جيدة، ولكن مع قيود على الأنشطة الرياضية العنيفة وحمل الأوزان. | ممتازة مع الأطراف الصناعية الحديثة، يمكن للمريض العودة للرياضة والمشي لمسافات طويلة. |


التحضير النفسي والجسدي قبل الجراحة
يؤمن الأستاذ الدكتور محمد هطيف أن نجاح الجراحة يبدأ قبل دخول المريض إلى غرفة العمليات. التحضير الشامل يشمل:
- الدعم النفسي: إبلاغ المريض بضرورة البتر هو لحظة قاسية. يتم توفير دعم نفسي متخصص لمساعدة المريض وعائلته على تقبل الوضع وفهم أن البتر هو خطوة نحو الحياة وليس نهاية لها.
- التقييم الطبي الشامل: فحوصات الدم، تقييم وظائف القلب والرئتين، للتأكد من قدرة المريض على تحمل التخدير العام والجراحة الكبرى.
- العلاج الطبيعي الاستباقي: تدريب المريض على استخدام العكازات، وتقوية عضلات الساق السليمة والذراعين والجذع، فهذه العضلات ستتحمل عبئاً أكبر بعد الجراحة.
- استشارة أخصائي الأطراف الصناعية: مقابلة أخصائي الأطراف قبل الجراحة تعطي المريض أملاً وتصوراً واضحاً عن شكل حياته المستقبلية والتقنيات المتاحة للتعويض عن الطرف المفقود.


خطوات الإجراء الجراحي: دقة متناهية بقيادة د. محمد هطيف
تُعد جراحة البتر الأورامي من الجراحات الكبرى التي تستغرق عدة ساعات، وتتطلب فريقاً متكاملاً من أطباء التخدير، الجراحين، والممرضين. يطبق الأستاذ الدكتور محمد هطيف أحدث البروتوكولات الجراحية لضمان استئصال الورم وتشكيل جذع مثالي:
1. التخدير والوضعية
يتم إجراء الجراحة تحت التخدير العام أو التخدير النصفي (فوق الجافية) مع تسكين قوي للألم. يوضع المريض على ظهره، ويتم تعقيم الساق بالكامل وتغطيتها بمفارش جراحية معقمة، مع إبقاء منطقة الورم معزولة لتجنب أي تلوث.
2. تصميم الشق الجراحي (السدائل الجلدية - Flaps)
في حالات الأورام، لا يعتمد الجراح دائماً على الشق التقليدي (فم السمكة - Fish Mouth). بل يقوم الدكتور هطيف بتصميم شقوق غير نمطية (Atypical Flaps) بناءً على موقع الورم، لضمان إزالة الجلد والأنسجة الملوثة بالخلايا السرطانية بالكامل، مع ترك جلد سليم كافٍ لتغطية نهاية العظم بدون شد.





آلام الورك وتقييد حركته ليس قدراً محتوماً! التشخيص الدقيق والعلاج المتخصص يمكن أن يعيد لك كامل وظيفتك وحريتك في الحركة. لا تدع الألم يسيطر على حياتك.
للحصول على استشارة دقيقة وخطة علاجية مخصصة لحالتك، تواصل فوراً مع مركز الأستاذ الدكتور محمد هطيف:
الأستاذ الدكتور محمد هطيف - أفضل دكتور عظام في صنعاء، وخبير في جراحات استبدال مفصل الورك.. نلتزم بإعادتك لحياة خالية من الألم وورك قوي ووظيفي.
مواضيع أخرى قد تهمك