استئصال الجزء البعيد من عظم العضد: تقنيات آمنة للحفاظ على الطرف في صنعاء مع الأستاذ الدكتور محمد هطيف

الخلاصة الطبية
استئصال عظم العضد البعيد هو إجراء جراحي دقيق يهدف إلى إزالة الأورام الخبيثة من الجزء السفلي لعظم العضد مع الحفاظ على الطرف ووظيفته قدر الإمكان. يقدم الأستاذ الدكتور محمد هطيف في صنعاء خبرة واسعة في هذه الجراحات المعقدة، مستخدمًا تقنيات متقدمة لإعادة البناء وتحقيق أفضل النتائج للمرضى.
الخلاصة الطبية السريعة: استئصال عظم العضد البعيد هو إجراء جراحي دقيق يهدف إلى إزالة الأورام الخبيثة من الجزء السفلي لعظم العضد مع الحفاظ على الطرف ووظيفته قدر الإمكان. يقدم الأستاذ الدكتور محمد هطيف في صنعاء خبرة واسعة في هذه الجراحات المعقدة، مستخدمًا تقنيات متقدمة لإعادة البناء وتحقيق أفضل النتائج للمرضى.
مقدمة عن استئصال عظم العضد البعيد
تُعد الأورام التي تصيب الجزء البعيد من عظم العضد (الطرف السفلي لعظم الذراع العلوي بالقرب من مفصل الكوع) تحديًا طبيًا كبيرًا، نظرًا لحساسية المنطقة وقربها من الأوعية الدموية والأعصاب الحيوية. في الماضي، كانت مثل هذه الحالات غالبًا ما تتطلب بتر الطرف المتأثر. ومع التقدم الهائل في الجراحة العظمية وجراحة الأورام، أصبح استئصال الجزء البعيد من عظم العضد إجراءً آمنًا وفعالًا يهدف إلى إزالة الورم بالكامل مع الحفاظ على الطرف ووظيفته قدر الإمكان.
يتطلب هذا الإجراء خبرة جراحية فائقة وفهمًا عميقًا للتشريح المعقد للمنطقة. في صنعاء، يُعد الأستاذ الدكتور محمد هطيف رائدًا في هذا المجال، حيث يمتلك سجلًا حافلًا بالنجاح في إجراء هذه الجراحات المعقدة، مع التركيز على استخدام أحدث التقنيات لضمان أفضل النتائج الوظيفية للمرضى والحفاظ على جودة حياتهم. يلتزم الدكتور هطيف بتقديم رعاية شاملة تبدأ من التشخيص الدقيق وصولًا إلى إعادة التأهيل بعد الجراحة، مع التركيز دائمًا على خيارات الحفاظ على الأطراف كلما أمكن ذلك.
تهدف هذه الصفحة إلى تزويدك بمعلومات شاملة ومفصلة حول استئصال الجزء البعيد من عظم العضد، بدءًا من فهم طبيعة هذه الأورام وتشريح المنطقة، مرورًا بخيارات التشخيص والعلاج المتاحة، ووصولًا إلى مرحلة التعافي وما يمكن توقعه بعد الجراحة.

التشريح المعقد لمفصل الكوع وعظم العضد البعيد
لفهم جراحة استئصال الجزء البعيد من عظم العضد، من الضروري الإلمام بالتشريح الدقيق لهذه المنطقة الحيوية. يُشكل الجزء البعيد من عظم العضد جزءًا أساسيًا من مفصل الكوع، وهو مفصل معقد يربط عظم العضد بعظمي الساعد (الزند والكعبرة). تتميز هذه المنطقة بوجود شبكة كثيفة من الهياكل الحيوية التي يجب حمايتها أثناء الجراحة.
الهياكل العظمية الرئيسية
- عظم العضد (Humerus): هو العظم الطويل في الذراع العلوي. الجزء البعيد منه يتوسع ليشكل اللقمتين الإنسية والوحشية التي تتمفصل مع عظمي الساعد.
- الزند (Ulna): أحد عظمي الساعد، ويتمفصل مع عظم العضد ليشكل مفصلًا مفصليًا يسمح بالثني والمد.
- الكعبرة (Radius): العظم الآخر في الساعد، ويتمفصل مع عضد العضد والزند، مما يسمح بحركات الدوران للساعد.
الأوعية الدموية والأعصاب الحيوية
تكمن صعوبة جراحة هذه المنطقة في قرب الأورام من الحزمة العصبية الوعائية الرئيسية التي تغذي وتتحكم في الذراع واليد. تشمل هذه الهياكل:
- الشريان العضدي والأوردة العضدية (Brachial Artery and Veins): هي الشرايين والأوردة الرئيسية التي توفر تدفق الدم للذراع والساعد واليد. تقع هذه الأوعية في الجزء الأنسي من الذراع، بالقرب من عظم العضد.
- العصب المتوسط (Median Nerve): يتحكم في معظم عضلات الساعد المسؤولة عن الثني والإبهام، ويوفر الإحساس لجزء كبير من اليد. يقع عادةً أمام الشريان العضدي.
- العصب الزندي (Ulnar Nerve): يُعرف أيضًا باسم "عصب الكوع"، ويمر خلف اللقيمة الإنسية لعظم العضد. يتحكم في بعض عضلات اليد ويوفر الإحساس للخنصر والبنصر.
- العصب الكعبري (Radial Nerve): يتحكم في عضلات مد الساعد والرسغ والأصابع، ويوفر الإحساس لجزء من ظهر اليد. يلتف حول عظم العضد في "التلم الحلزوني".



العضلات المحيطة
توجد عدة مجموعات عضلية مهمة حول الجزء البعيد من عظم العضد ومفصل الكوع، تلعب دورًا حاسمًا في حركة الذراع والساعد. من أهمها:
- العضلة ذات الرأسين (Biceps Muscle): عضلة قوية مسؤولة عن ثني الكوع ودوران الساعد. الحفاظ عليها ضروري لاستعادة وظيفة الكوع بعد الجراحة.
- العضلة العضدية (Brachialis Muscle): تقع تحت العضلة ذات الرأسين وتساعد أيضًا في ثني الكوع.
- العضلة ثلاثية الرؤوس (Triceps Muscle): تقع في الجزء الخلفي من الذراع وهي المسؤولة عن مد الكوع.
- مجموعة عضلات الساعد القابضة والباسطة: تتصل بالجزء البعيد من عظم العضد وتتحكم في حركات الرسغ والأصابع.
إن فهم هذه الهياكل وتشابكها هو المفتاح لنجاح الجراحة، حيث يتطلب استئصال الورم فصلًا دقيقًا لهذه الأوعية والأعصاب والعضلات وحمايتها قبل إزالة الجزء المصاب من العظم. يمتلك الأستاذ الدكتور محمد هطيف المعرفة والخبرة العميقة في هذا التشريح المعقد، مما يمكنه من إجراء الجراحات بأقصى درجات الأمان والدقة.

الأسباب وعوامل الخطر لأورام عظم العضد البعيد
تُعد الأورام التي تصيب الجزء البعيد من عظم العضد نادرة نسبيًا، ولكنها يمكن أن تكون خطيرة وتتطلب تدخلًا طبيًا متخصصًا. يمكن تصنيف هذه الأورام بشكل عام إلى أورام أولية (تنشأ في العظم نفسه) أو أورام ثانوية (تنتشر إلى العظم من مكان آخر في الجسم).
الساركوما العظمية الأولية
الساركوما هي نوع من السرطان ينشأ في الأنسجة الرخوة أو العظام. على الرغم من أنها نادرة في الجزء البعيد من عظم العضد، إلا أنها قد تحدث. تشمل الأنواع الشائعة:
- الساركوما العظمية (Osteosarcoma): هي أكثر أنواع سرطان العظام الأولية شيوعًا، وتصيب غالبًا الشباب والمراهقين.
- الساركوما الغضروفية (Chondrosarcoma): تنشأ من الخلايا المنتجة للغضاريف.
- ساركوما يوينج (Ewing Sarcoma): نوع عدواني من السرطان يصيب غالبًا الأطفال والمراهقين.
الأورام الخبيثة المنتشرة
تُعد الأورام الخبيثة المنتشرة إلى الجزء البعيد من عظم العضد أكثر شيوعًا من الساركوما الأولية. هذا يعني أن السرطان بدأ في مكان آخر من الجسم (مثل الثدي، الرئة، الكلى، البروستاتا) ثم انتشر إلى العظم. في هذه الحالات، يكون العلاج غالبًا تلطيفيًا (يهدف إلى تخفيف الأعراض وتحسين جودة الحياة) بدلًا من الشفاء التام.
ساركوما الأنسجة الرخوة المجاورة
يمكن أن تنشأ الساركوما من العضلات أو الأنسجة الرخوة المحيطة بالجزء البعيد من عظم العضد، ثم تمتد لتشمل العظم نفسه عن طريق الغزو المباشر. على سبيل المثال:
- الساركوما الناشئة من عضلات الساعد القابضة أو الباسطة: قد تنمو هذه الأورام حول عظم العضد أو تغزوه مباشرة.
- الساركوما الناشئة من العضلة العضدية أو العضلة ثلاثية الرؤوس: قد تؤثر هذه الأورام بشكل ثانوي على عظم العضد.
عوامل الخطر
بشكل عام، لا توجد عوامل خطر واضحة ومحددة لمعظم أورام العظام الأولية. ومع ذلك، قد تزيد بعض الحالات من خطر الإصابة، مثل:
- التعرض السابق للعلاج الإشعاعي: قد يزيد من خطر الإصابة بالساركوما العظمية في المنطقة المعالجة.
- بعض المتلازمات الوراثية: مثل متلازمة لي-فراوميني (Li-Fraumeni syndrome) والورم الأرومي الشبكي (retinoblastoma).
- التعرض لبعض المواد الكيميائية: في حالات نادرة جدًا.
من المهم ملاحظة أن وجود عامل خطر لا يعني بالضرورة الإصابة بالمرض، وأن العديد من الأشخاص المصابين بأورام العضد ليس لديهم أي عوامل خطر معروفة. التشخيص المبكر والتعامل مع فريق طبي متخصص مثل الأستاذ الدكتور محمد هطيف في صنعاء أمر بالغ الأهمية لتحقيق أفضل النتائج العلاجية.

أعراض أورام عظم العضد البعيد
تعتمد أعراض أورام الجزء البعيد من عظم العضد على حجم الورم وموقعه ونوعه (حميد أو خبيث) ومدى انتشاره. في كثير من الحالات، قد تكون الأعراض الأولية خفيفة وغير محددة، مما يؤخر التشخيص. ومع نمو الورم، تميل الأعراض إلى التفاقم. يجب على أي شخص يلاحظ هذه الأعراض مراجعة الطبيب المختص على الفور.
الألم
- الألم هو العرض الأكثر شيوعًا: غالبًا ما يكون الألم مستمرًا، وقد يزداد سوءًا في الليل أو مع النشاط.
- لا يتحسن الألم بالراحة: على عكس آلام العضلات أو الإصابات البسيطة التي قد تتحسن بالراحة، فإن ألم الورم غالبًا ما يستمر أو يتفاقم.
- قد يكون الألم عميقًا ومؤلمًا: ويشعر به المريض داخل العظم أو حول مفصل الكوع.
التورم أو الكتلة المحسوسة
- تضخم ملحوظ: قد يلاحظ المريض تورمًا أو كتلة صلبة حول مفصل الكوع أو في الجزء السفلي من الذراع.
- قد تكون الكتلة مؤلمة عند اللمس: أو غير مؤلمة، وذلك يعتمد على طبيعة الورم.
- تغير في محيط الذراع: قد يلاحظ المريض اختلافًا في حجم الذراع المصابة مقارنة بالذراع السليمة.
تقييد حركة مفصل الكوع
- صعوبة في ثني أو مد الكوع بالكامل: قد يؤثر الورم على حركة المفصل، مما يجعل من الصعب أداء الأنشطة اليومية.
- تيبس في المفصل: قد يشعر المريض بتيبس أو تصلب في مفصل الكوع.
ضعف في الذراع أو اليد
- ضعف تدريجي: قد يؤدي الورم إلى ضعف في العضلات المحيطة، مما يؤثر على قوة الذراع والقدرة على رفع الأشياء.
- تأثير على الأعصاب: إذا ضغط الورم على الأعصاب المحيطة (مثل العصب المتوسط أو الزندي أو الكعبري)، فقد يسبب ذلك ضعفًا أو خدرًا أو وخزًا في الساعد أو اليد أو الأصابع.
الكسور المرضية
- كسر يحدث بجهد بسيط: في بعض الحالات، قد يضعف الورم العظم إلى درجة أن كسرًا يحدث نتيجة لإصابة طفيفة أو حتى بدون إصابة واضحة.
- ألم مفاجئ وشديد: يتبع الكسر المرضي عادةً ألمًا حادًا وعدم القدرة على تحريك الذراع.
أعراض أخرى
- فقدان الوزن غير المبرر.
- الحمى أو التعرق الليلي.
- الشعور بالتعب والإرهاق العام.
من الضروري عدم تجاهل هذه الأعراض، خاصة إذا كانت مستمرة أو تتفاقم. التشخيص المبكر يفتح الباب أمام خيارات علاجية أكثر فعالية، ويُعد الأستاذ الدكتور محمد هطيف في صنعاء مرجعًا موثوقًا لتشخيص وعلاج هذه الحالات بدقة واحترافية.

تشخيص أورام عظم العضد البعيد
يتطلب تشخيص أورام الجزء البعيد من عظم العضد نهجًا شاملاً يجمع بين الفحص السريري الدقيق ومجموعة واسعة من الدراسات التصويرية والخزعات. الهدف هو تحديد طبيعة الورم (حميد أم خبيث)، وحجمه، ومدى انتشاره، وعلاقته بالهياكل الحيوية المحيطة، وذلك لوضع خطة علاجية فعالة.
الفحص السريري والتاريخ المرضي
يبدأ التشخيص بمقابلة المريض لجمع تاريخ مرضي مفصل حول الأعراض (متى بدأت، شدتها، العوامل التي تزيدها أو تخففها)، وأي تاريخ عائلي لأمراض السرطان، وأي إصابات سابقة. ثم يقوم الأستاذ الدكتور محمد هطيف بإجراء فحص سريري دقيق للذراع المصابة، يشمل:
- تقييم الألم والتورم والكتلة المحسوسة.
- فحص نطاق حركة مفصل الكوع والذراع.
- تقييم القوة العضلية والإحساس في الذراع واليد للتحقق من أي تأثير على الأعصاب.
- البحث عن أي علامات أخرى مثل تضخم الغدد الليمفاوية.
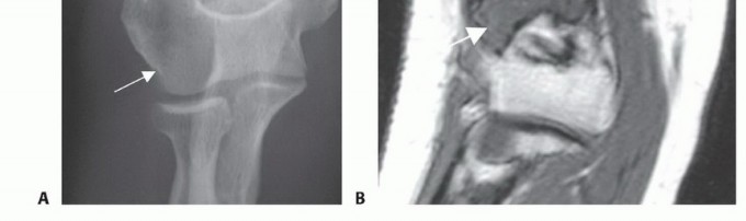
التصوير التشخيصي
تلعب تقنيات التصوير دورًا حاسمًا في تشخيص أورام العضد البعيد وتحديد مدى انتشارها.
الأشعة السينية العادية
- الغرض: هي الخطوة الأولى لتحديد موقع الورم في العظم، وتقدير حجمه الأولي، وتكوين تشخيص تفريقي.
- ما تظهره: يمكن أن تكشف عن التغيرات في بنية العظم، مثل التدمير العظمي، أو تكوين عظم جديد غير طبيعي (التكلس)، أو الكسور المرضية. بعد العلاج الكيميائي، يمكن استخدامها لتقييم استجابة الورم للعلاج.
التصوير المقطعي المحوسب
- الغرض: مفيد بشكل خاص لتقييم التغيرات في قشرة العظم ومدى تدميرها بواسطة الورم.
- ما يظهره: يساعد في تحديد مدى انتشار الورم داخل العظم وحول محيطه، ويكشف عن التكلسات أو التمعدنات الدقيقة داخل الورم. كما أنه ضروري للكشف عن النقائل الرئوية (انتشار السرطان إلى الرئتين).


الرنين المغناطيسي
- الغرض: هو الأكثر دقة لتحديد مدى انتشار الورم داخل وخارج العظم (intra- and extraosseous extent)، وكذلك للكشف عن النقائل القافزة (skip metastases).
- ما يظهره: يوفر صورًا مفصلة للأنسجة الرخوة، مما يساعد في تقييم قرب الورم من الأوعية الدموية الرئيسية (الشريان العضدي) والأعصاب (المتوسط، الزندي، الكعبري). يعتبر حاسمًا للتخطيط الجراحي وتحديد طول الجزء العظمي الذي سيتم استئصاله.
مسح العظام
- الغرض: يستخدم لتحديد مدى انتشار الورم داخل العظم والكشف عن أي بؤر أخرى للسرطان في العظام الأخرى (النقائل العظمية).
- ما يظهره: يظهر المناطق ذات النشاط الأيضي العالي في العظم، والتي قد تشير إلى وجود ورم.
التصوير المقطعي بالإصدار البوزيتروني
- الغرض: يجمع بين التصوير الأيضي (PET) والتصوير التشريحي (CT) لقياس مستوى النشاط الأيضي في الأنسجة.
- ما يظهره: مفيد للكشف عن الأورام الأولية أو النقائل أو تكرار الورم بعد العلاج، حيث تظهر الخلايا السرطانية نشاطًا أيضيًا أعلى.
مسح الثاليوم
- الغرض: يستخدم لتقييم حيوية أورام العظام، خاصة الساركوما العظمية، وتحديد مدى استجابتها للعلاج الكيميائي.
- ما يظهره: نسبة الثاليوم في الورم مقارنة بالجانب السليم يمكن أن تشير إلى نسبة نخر الورم (موت الخلايا السرطانية).
تصوير الأوعية الدموية
- الغرض: على الرغم من أنه نادر الاستخدام حاليًا، إلا أنه كان المعيار الذهبي لتقييم وعائية الورم (كمية الأوعية الدموية التي تغذيه) واستجابته للعلاج الكيميائي.
- ما يظهره: يمكن أن يحدد مدى إزاحة الورم للأوعية الدموية الرئيسية (الشريان العضدي والأوردة)، وهو أمر حيوي للتخطيط الجراحي.
الخزعة
الخزعة هي الإجراء الوحيد الذي يؤكد تشخيص الورم. يتم أخذ عينة صغيرة من نسيج الورم وفحصها تحت المجهر بواسطة أخصائي علم الأمراض.
- أنواع الخزعة:
- خزعة بالإبرة (Needle Biopsy): يتم إجراؤها عادة تحت توجيه التصوير (CT أو الموجات فوق الصوتية).
- خزعة جراحية (Incisional Biopsy): يتم فيها إجراء شق صغير لأخذ عينة أكبر.
- الأهمية: تحدد نوع الورم، درجته (مدى عدوانيته)، وتساعد في توجيه خطة العلاج.
- اعتبارات حاسمة: يجب أن يتم إجراء الخزعة بعناية فائقة من قبل جراح أورام عظمية ذي خبرة مثل الأستاذ الدكتور محمد هطيف. يجب أن يكون مسار الخزعة مخططًا بحيث يمكن إزالته بالكامل أثناء الجراحة النهائية لإزالة الورم، لتجنب انتشار الخلايا السرطانية إلى الأنسجة السليمة. يجب تجنب تلوث العضلة ذات الرأسين (Biceps muscle) قدر الإمكان، حيث إنها ضرورية لوظيفة الكوع.
بعد جمع كل هذه المعلومات، يقوم الأستاذ الدكتور محمد هطيف بمراجعة شاملة للنتائج مع فريق متعدد التخصصات (أخصائيي الأورام، أخصائيي العلاج الإشعاعي، أخصائيي علم الأمراض) لوضع خطة علاجية مخصصة لكل مريض.

خيارات علاج استئصال عظم العضد البعيد والحفاظ على الطرف
يعتمد علاج أورام الجزء البعيد من عظم العضد على نوع الورم، درجته، مرحلته، عمر المريض وصحته العامة. الهدف الأساسي هو إزالة الورم بالكامل مع الحفاظ على أكبر قدر ممكن من وظيفة الطرف المصاب، وهو ما يُعرف بـ "جراحة الحفاظ على الطرف" (Limb-Sparing Surgery). يُعد الأستاذ الدكتور محمد هطيف في صنعاء خبيرًا في تنفيذ هذه الجراحات المعقدة.
التخطيط قبل الجراحة
التخطيط الدقيق هو حجر الزاوية لنجاح هذه الجراحات. يتضمن ذلك:
- مراجعة شاملة لدراسات التصوير: يتم تقييم صور الرنين المغناطيسي (T1-weighted MRI) للذراع بالكامل لتحديد مدى انتشار الورم داخل العظم وتحديد مستوى القطع العظمي لضمان هامش آمن (عادة 2-3 سم من العظم السليم). كما يتم مراجعة صور الأشعة المقطعية والرنين المغناطيسي لتقييم امتداد الورم في الأنسجة الرخوة وقربه من الهياكل العصبية الوعائية.
- تقييم تصوير الأوعية الدموية (Arteriogram): يوفر "خريطة طريق" توضح اتجاه إزاحة الهياكل العصبية الوعائية وأي تشوهات تشريحية قد يواجهها الجراح.
- التخطيط لإعادة البناء: يتم تحديد طول الجزء الذي سيتم استئصاله لتتناسب مع مكونات الطرف الاصطناعي (التعويض الصناعي) التي ستستخدم لإعادة بناء مفصل الكوع والعضد. تُستخدم الأطراف الاصطناعية المعيارية التي يمكن تجميعها وتعديل حجمها أثناء الجراحة.
- التنسيق مع فريق متعدد التخصصات: يتضمن أخصائيي الأورام، أخصائيي العلاج الإشعاعي، وأخصائيي العلاج الطبيعي لضمان أفضل رعاية للمريض قبل وبعد الجراحة.
الأهداف الرئيسية للجراحة
جراحة استئصال الجزء البعيد من عظم العضد تتكون من ثلاثة مكونات رئيسية:
- الاستئصال الورمي (Oncologic Resection): إزالة الورم بالكامل كقطعة واحدة (en bloc) مع الجزء المصاب من عظم العضد، مع هامش آمن من الأنسجة السليمة.
- إعادة بناء الهيكل العظمي (Skeletal Reconstruction): استبدال الجزء المستأصل من العظم والمفصل بطرف صناعي معياري.
- إعادة بناء أو تغطية الأنسجة الرخوة (Soft Tissue Reconstruction or Coverage): إعادة ربط العضلات والأنسجة الرخوة لحماية الطرف الصناعي واستعادة وظيفة الكوع.
تقنيات استئصال عظم العضد البعيد
تُجرى الجراحة تحت التخدير العام وتتطلب دقة متناهية.
وضعية المريض والشق الجراحي
- وضعية المريض: يوضع المريض مستلقيًا مع إبعاد الذراع المصابة ووضعها على مسند مبطن ومعقم.
- الشق الجراحي (S-shaped incision): يبدأ الشق عادة في منتصف الذراع على طول الجانب الأنسي للعضلة ذات الرأسين، ويمتد نزولًا إلى ثنية الكوع، ثم ينحني جانبيًا على طول الجانب الأمامي للكوع. يتم تضم



















آلام العظام والمفاصل المزمنة ليس قدراً محتوماً! التشخيص الدقيق والعلاج المتخصص يمكن أن يعيد لك كامل وظيفتك وحريتك في الحركة بدون ألم.
للحصول على استشارة دقيقة وخطة علاجية مخصصة لحالتك، تواصل فوراً مع مركز الأستاذ الدكتور محمد هطيف:
الأستاذ الدكتور محمد هطيف - أفضل دكتور عظام في صنعاء، وخبير في جراحات العظام والمفاصل المتقدمة.
مواضيع أخرى قد تهمك