النخر اللاوعائي المتقدم لرأس الفخذ: دليل شامل للعلاج واستبدال مفصل الورك مع الأستاذ الدكتور محمد هطيف في صنعاء

الخلاصة الطبية
النخر اللاوعائي لرأس الفخذ هو حالة خطيرة تتسبب في موت أنسجة العظام بسبب نقص إمداد الدم، مما يؤدي إلى انهيار المفصل. يتطلب العلاج المتقدم عادة استبدال مفصل الورك الكلي، وهي جراحة ناجحة لاستعادة الحركة وتخفيف الألم، يقدمها الأستاذ الدكتور محمد هطيف بخبرة عالية.
الخلاصة الطبية السريعة: النخر اللاوعائي لرأس الفخذ هو حالة خطيرة تتسبب في موت أنسجة العظام بسبب نقص إمداد الدم، مما يؤدي إلى انهيار المفصل. يتطلب العلاج المتقدم عادة استبدال مفصل الورك الكلي، وهي جراحة ناجحة لاستعادة الحركة وتخفيف الألم، يقدمها الأستاذ الدكتور محمد هطيف بخبرة عالية.
مقدمة عن النخر اللاوعائي المتقدم لرأس الفخذ
يُعد النخر اللاوعائي لرأس الفخذ (AVN)، والمعروف أيضًا بنخر العظم، حالة طبية خطيرة تحدث عندما يتوقف إمداد الدم إلى جزء من العظم، مما يؤدي إلى موت الخلايا العظمية وانهيار العظم. عندما يصيب هذا المرض رأس عظم الفخذ، وهو الجزء الكروي الذي يشكل مفصل الورك، فإنه يمكن أن يؤدي إلى ألم شديد وإعاقة حركية كبيرة. في مراحله المتقدمة، كما في الحالة التي سنستعرضها، يصبح النخر اللاوعائي تحديًا كبيرًا يتطلب تدخلًا جراحيًا دقيقًا لاستعادة وظيفة المفصل وتخفيف الألم.
يهدف هذا الدليل الشامل إلى تقديم فهم معمق للنخر اللاوعائي المتقدم لرأس الفخذ، بدءًا من أسبابه وأعراضه وصولًا إلى أساليب التشخيص والعلاج المتطورة. سنستعرض حالة مريض يعاني من نخر لاوعائي متقدم في رأس الفخذ الأيمن، وكيف تم تشخيصه وعلاجه بنجاح من خلال عملية استبدال مفصل الورك الكلي. هذه المعلومات قيّمة للمرضى وعائلاتهم، وتؤكد على أهمية التشخيص المبكر والعلاج الفعال تحت إشراف خبراء مثل الأستاذ الدكتور محمد هطيف ، استشاري جراحة العظام والعمود الفقري، الذي يُعد من الرواد في علاج مثل هذه الحالات المعقدة في صنعاء واليمن.
إن فهم هذه الحالة يُمكّن المرضى من اتخاذ قرارات مستنيرة بشأن صحتهم، ويُبرز الدور الحيوي للخبرة الطبية في تحقيق أفضل النتائج الممكنة.
التشريح الأساسي لمفصل الورك
لفهم النخر اللاوعائي لرأس الفخذ، من الضروري الإلمام بالتشريح الأساسي لمفصل الورك. مفصل الورك هو أحد أكبر المفاصل في الجسم وأكثرها استقرارًا، وهو مفصل كروي حُقّي يربط عظم الفخذ (أطول عظم في الجسم) بعظم الحوض.
مكونات مفصل الورك
- رأس الفخذ (Femoral Head): هو الجزء العلوي الكروي لعظم الفخذ، والذي يدخل في تجويف الحوض.
- الحُقّ (Acetabulum): هو التجويف الكأسي الشكل في عظم الحوض الذي يستقبل رأس الفخذ.
- الغضروف المفصلي (Articular Cartilage): يغطي رأس الفخذ والحُقّ، وهو نسيج أملس ومرن يسمح للعظام بالانزلاق بسلاسة فوق بعضها البعض أثناء الحركة، ويمتص الصدمات.
- المحفظة المفصلية (Joint Capsule): غلاف قوي يحيط بالمفصل ويحتوي على السائل الزليلي (Synovial Fluid) الذي يغذي الغضروف ويزلق المفصل.
- الأربطة (Ligaments): أنسجة قوية تربط العظام ببعضها وتوفر الاستقرار للمفصل.
إمداد الدم لرأس الفخذ
يعتمد رأس الفخذ بشكل كبير على إمداد دموي خاص وحساس للغاية. يأتي هذا الإمداد بشكل أساسي من الشرايين المحيطة بالرقبة الفخذية. أي اضطراب في هذا الإمداد الدموي، حتى لو كان صغيرًا، يمكن أن يؤدي إلى نقص الأكسجين والمغذيات للخلايا العظمية، مما يسبب موتها. هذا هو جوهر مشكلة النخر اللاوعائي. عندما تموت الخلايا العظمية، يصبح العظم ضعيفًا وهشًا، ومع مرور الوقت وتحمل الوزن، يبدأ رأس الفخذ في الانهيار والتشوه، مما يؤدي إلى تلف الغضروف وتطور التهاب المفاصل الثانوي.
الأسباب وعوامل الخطر للنخر اللاوعائي
يحدث النخر اللاوعائي نتيجة لتوقف أو نقص تدفق الدم إلى جزء من العظم. يمكن أن يكون هذا النقص مفاجئًا أو تدريجيًا. في كثير من الحالات، لا يمكن تحديد سبب واحد مباشر، ولكن هناك العديد من عوامل الخطر المعروفة التي تزيد من احتمالية الإصابة بالمرض.
عوامل الخطر الرئيسية
-
الاستخدام المزمن للكورتيكوستيرويدات (الكورتيزون):
- كما في حالة المريض الذي استعرضناه، فإن الاستخدام طويل الأمد لجرعات عالية من الكورتيكوستيرويدات (مثل البريدنيزون) هو أحد الأسباب الرئيسية للنخر اللاوعائي. تُستخدم هذه الأدوية لعلاج العديد من الحالات الالتهابية والمناعية (مثل الذئبة الحمراء)، ولكنها قد تؤثر سلبًا على الأوعية الدموية وتسبب تراكم الدهون داخلها، مما يعيق تدفق الدم.
-
الإفراط في تناول الكحول:
- الاستهلاك المفرط للكحول، حتى لو تم تقليله لاحقًا، هو عامل خطر مهم آخر. يمكن أن يؤدي الكحول إلى زيادة مستويات الدهون في الدم وتلف الأوعية الدموية، مما يعيق إمداد الدم إلى العظام.
-
أمراض المناعة الذاتية (مثل الذئبة الحمراء SLE):
- الذئبة الحمامية الجهازية بحد ذاتها يمكن أن تزيد من خطر النخر اللاوعائي بسبب الالتهاب الوعائي (التهاب الأوعية الدموية) الذي يصاحبها، بالإضافة إلى الحاجة المتكررة لاستخدام الكورتيكوستيرويدات لعلاجها.
-
الإصابات والرضوح:
- كسور الرقبة الفخذية أو خلع مفصل الورك يمكن أن تلحق الضرر المباشر بالأوعية الدموية التي تغذي رأس الفخذ، مما يؤدي إلى النخر اللاوعائي.
-
بعض الحالات الطبية الأخرى:
- فقر الدم المنجلي (Sickle Cell Anemia): يمكن أن تسبب خلايا الدم الحمراء غير الطبيعية انسدادًا في الأوعية الدموية الصغيرة.
- مرض غوشيه (Gaucher's Disease): اضطراب وراثي يؤدي إلى تراكم المواد الدهنية في الأعضاء والعظام.
- التهاب البنكرياس: يمكن أن يؤدي إلى زيادة مستويات الدهون في الدم.
- أمراض تخثر الدم: الحالات التي تزيد من خطر تجلط الدم يمكن أن تسد الأوعية الدموية.
- العلاج الإشعاعي والعلاج الكيميائي: قد تؤثر على الأوعية الدموية والعظام.
- أمراض الكلى المزمنة: خاصة تلك التي تتطلب غسيل الكلى.
-
الضغط داخل العظم:
- في بعض الحالات، قد يؤدي زيادة الضغط داخل رأس الفخذ إلى ضغط الأوعية الدموية الصغيرة ومنع تدفق الدم.
-
الغوص العميق (Decompression Sickness):
- يمكن أن تتكون فقاعات النيتروجين في الدم وتسبب انسدادًا في الأوعية الدموية الصغيرة، خاصة في العظام الطويلة.
من المهم ملاحظة أن النخر اللاوعائي يمكن أن يحدث أيضًا دون وجود أي من عوامل الخطر المعروفة، ويُعرف حينها بالنخر اللاوعائي مجهول السبب. ولكن في أغلب الحالات، يمكن تحديد عامل أو أكثر من العوامل المذكورة أعلاه.
الأعراض والعلامات للنخر اللاوعائي
تتطور أعراض النخر اللاوعائي لرأس الفخذ عادة بشكل تدريجي وتزداد سوءًا مع مرور الوقت. في المراحل المبكرة، قد لا يلاحظ المريض أي أعراض، ولكن مع تقدم المرض وتلف العظم والغضروف، تصبح الأعراض واضحة ومؤلمة.
الأعراض الشائعة
-
الألم الشديد والمستمر في الورك:
- يُعد الألم هو العرض الرئيسي. عادة ما يكون ألمًا عميقًا ومزعجًا، ويتركز في منطقة الفخذ (المنطقة الأربية)، الأرداف، والجانب الخارجي للورك.
- يزداد الألم سوءًا مع الأنشطة التي تتطلب تحمل الوزن، مثل الوقوف والمشي، خاصة لمسافات طويلة.
- قد يزداد الألم عند تحريك الورك، خاصة عند الدوران الداخلي (لف الساق إلى الداخل).
- الألم الليلي شائع جدًا، ويمكن أن يوقظ المريض من النوم ويؤثر سلبًا على جودة الحياة.
- في حالة المريض الذي استعرضناه، كان الألم 8/10 على مقياس الألم، مما يشير إلى شدته القصوى.
-
العرج (Antalgic Gait):
- بسبب الألم، يبدأ المريض في المشي بطريقة غير طبيعية لتجنب تحميل الوزن على الورك المصاب. يُعرف هذا بالعرج المسكن، حيث تكون مرحلة وقوف القدم على الأرض أقصر في الجانب المصاب.
- قد يحتاج المريض إلى استخدام عكاز أو أي وسيلة مساعدة أخرى للمشي، حتى لمسافات قصيرة.
-
تقييد حركة مفصل الورك (Restricted Range of Motion - ROM):
- مع تقدم المرض وانهيار رأس الفخذ، تصبح حركة الورك محدودة ومؤلمة.
- يُعد تقييد الدوران الداخلي للورك من العلامات المميزة جدًا للنخر اللاوعائي المتقدم.
- تتأثر أيضًا حركات الثني (رفع الساق)، البسط (مد الساق للخلف)، والتبعيد (إبعاد الساق عن الجسم).
- في حالة المريض، كان الثني محدودًا إلى 70 درجة (مقارنة بـ 110 درجة في الجانب السليم)، والدوران الداخلي شبه معدوم مع ألم شديد.
-
تصلب وتيبس المفصل:
- قد يشعر المريض بتصلب في مفصل الورك، خاصة بعد فترات الراحة أو في الصباح.
-
ضعف العضلات وضمورها:
- بسبب قلة الاستخدام والألم، قد تضعف العضلات المحيطة بالورك والفخذ في الجانب المصاب وتظهر عليها علامات الضمور (نقص الحجم) مقارنة بالجانب السليم.
تطور الأعراض
تبدأ الأعراض عادة بشكل خفي وتتفاقم تدريجيًا على مدى أشهر أو سنوات. في البداية، قد يكون الألم متقطعًا، ولكنه يصبح مستمرًا وشديدًا مع انهيار رأس الفخذ وتطور التهاب المفاصل الثانوي. في المراحل المتقدمة (مثل المرحلة الرابعة حسب تصنيف فيكات-أرلت)، يكون الألم مزمنًا وموهنًا، ويؤثر بشكل كبير على قدرة المريض على أداء الأنشطة اليومية البسيطة.
التشخيص الدقيق للنخر اللاوعائي
يتطلب التشخيص الدقيق للنخر اللاوعائي لرأس الفخذ مزيجًا من التقييم السريري الشامل، مراجعة التاريخ الطبي للمريض، واستخدام تقنيات التصوير المتقدمة. يهدف التشخيص إلى تأكيد وجود النخر، تحديد مرحلته، وتقييم مدى تلف المفصل.
الفحص السريري
يقوم الطبيب بإجراء فحص شامل للورك، والذي يتضمن:
- ملاحظة المشية: تقييم وجود العرج (المشية المسكنة) أو أي أنماط مشي غير طبيعية.
- الجس: البحث عن مناطق الألم أو التورم أو الحرارة حول مفصل الورك.
- تقييم مدى الحركة (ROM): قياس مدى قدرة المريض على تحريك الورك في جميع الاتجاهات (الثني، البسط، التبعيد، التقريب، الدوران الداخلي والخارجي). يُعد التقييد الشديد في الدوران الداخلي مع الألم علامة مميزة.
- اختبارات خاصة: مثل اختبار FADDIR (Flexion-Adduction-Internal Rotation) الذي يثير الألم في المنطقة الأربية، مما يشير إلى مشاكل في رأس الفخذ أو الحُقّ.
- التقييم العصبي والوعائي: للتأكد من عدم وجود أي مشاكل في الأعصاب أو الأوعية الدموية في الطرف السفلي.
التصوير والتشخيص
تُعد الفحوصات التصويرية حجر الزاوية في تشخيص النخر اللاوعائي وتحديد مرحلته.
1. الأشعة السينية (X-rays)
-
الأشعة السينية التقليدية:
غالبًا ما تكون طبيعية في المراحل المبكرة جدًا من النخر اللاوعائي. ولكن في المراحل المتقدمة، تظهر عليها علامات مميزة:
- تسطح وانهيار رأس الفخذ: يفقد رأس الفخذ شكله الكروي الطبيعي.
- علامة الهلال (Crescent Sign): وهي عبارة عن منطقة شفافة تحت الغضروف، تشير إلى كسر تحت الغضروف، وتُعد علامة على المرحلة الثالثة أو الرابعة من المرض (حسب تصنيف فيكات-أرلت).
- تصلب وتكيسات داخل رأس الفخذ: تظهر مناطق ذات كثافة عظمية أعلى (تصلب) ومناطق ذات كثافة أقل (تكيسات).
- تضيق المسافة المفصلية وتكون النتوءات العظمية (Osteophytes): هذه علامات على التهاب المفاصل الثانوي الذي يتطور نتيجة لانهيار رأس الفخذ.
2. التصوير بالرنين المغناطيسي (MRI)
- المعيار الذهبي للتشخيص المبكر والدقيق: يُعد الرنين المغناطيسي هو الفحص الأكثر حساسية لتشخيص النخر اللاوعائي، حتى في مراحله المبكرة قبل ظهور التغيرات على الأشعة السينية.
- علامة الخط المزدوج (Double-Line Sign): هي علامة مميزة جدًا للنخر اللاوعائي تظهر على صور الرنين المغناطيسي T2، وتشير إلى منطقة النخر محاطة بحدود واضحة.
- تقييم مدى النخر: يوضح الرنين المغناطيسي حجم المنطقة المتنخرة، وجود الوذمة (التورم) داخل العظم، ومدى تضرر الغضروف المفصلي.
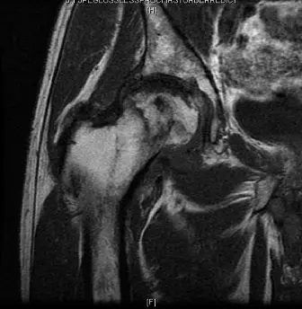
- في حالة المريض الذي استعرضناه، أكد الرنين المغناطيسي وجود نخر لاوعائي واسع النطاق في رأس الفخذ الأيمن (المرحلة الرابعة)، مع علامة الخط المزدوج وانهيار كبير تحت الغضروف.
الشكل 1: صورة رنين مغناطيسي قبل الجراحة للورك الأيمن تُظهر نخرًا لاوعائيًا واسعًا في رأس الفخذ (المرحلة الرابعة حسب فيكات-أرلت) مع علامة الخط المزدوج المميزة، وانهيار كبير تحت الغضروف، وتغيرات تنكسية مبكرة في الحُقّ.
3. الأشعة المقطعية (CT Scan)
- توفر الأشعة المقطعية صورًا تفصيلية للعظم، وتُستخدم لتقييم مدى انهيار رأس الفخذ، وحجم التكيسات والتصلب، وسلامة عظم الحُقّ.
- تُعد الأشعة المقطعية مفيدة جدًا في التخطيط للجراحة، حيث تساعد على قياس أبعاد القناة الفخذية وتقييم مخزون العظم في الحُقّ، مما يساعد الجراح على اختيار الغرسات المناسبة وتحديد أي تحديات محتملة.
التشخيص التفريقي
من المهم أن يميز الطبيب النخر اللاوعائي عن حالات أخرى تسبب ألم الورك، خاصة وأن بعض الأعراض قد تتداخل.
| التشخيص | السمات الرئيسية
آلام الورك المبرحة ليس قدراً محتوماً! التشخيص الدقيق والعلاج المتخصص يمكن أن يعيد لك كامل وظيفتك وحريتك في الحركة بدون ألم.
للحصول على استشارة دقيقة وخطة علاجية مخصصة لحالتك، تواصل فوراً مع مركز الأستاذ الدكتور محمد هطيف:
الأستاذ الدكتور محمد هطيف - أفضل دكتور عظام في صنعاء، وخبير في جراحات استبدال مفصل الورك والمراجعة المعقدة.
مواضيع أخرى قد تهمك