كسور العظم السمسمي لإبهام القدم: دليل شامل للتثبيت الداخلي الدقيق مع الأستاذ الدكتور محمد هطيف

الخلاصة الطبية
كسور العظم السمسمي لإبهام القدم هي إصابات مؤلمة تؤثر على عظام صغيرة وحيوية في القدم، خاصة لدى الرياضيين. يتضمن العلاج استعادة سلامة ووظيفة هذه العظام بدقة عبر التثبيت الداخلي، مما يضمن الشفاء الكامل والعودة للنشاط.
الخلاصة الطبية الشاملة: تعد كسور العظم السمسمي لإبهام القدم (Sesamoid Bone Fractures) من الإصابات المعقدة والمؤلمة للغاية التي تؤثر بشكل مباشر على قدرة الإنسان على المشي وممارسة الأنشطة الرياضية. تُصيب هذه الكسور عظاماً صغيرة جداً ولكنها حيوية تقبع في أوتار القدم، وتعمل كنظام بكرات لتوزيع الوزن وتسهيل الحركة. يتطلب علاج هذه الحالة دقة متناهية وخبرة جراحية استثنائية لاستعادة وظيفة القدم بالكامل. يُعد التثبيت الداخلي الدقيق (Internal Fixation) الخيار الجراحي الأمثل للحفاظ على العظمة بدلاً من استئصالها، وهو ما يبرع فيه الأستاذ الدكتور محمد هطيف، رائد جراحة العظام والمفاصل في اليمن، مقدماً نسب نجاح عالمية بفضل تقنيات الجراحة المجهرية المتقدمة.

مقدمة شاملة: عندما يعيق الألم خطوتك الأولى
هل تشعر بألم حاد ومستمر في قاعدة إبهام قدمك يزداد سوءاً مع كل خطوة؟ هل أصبحت ممارسة رياضتك المفضلة أو حتى المشي لمسافات قصيرة بمثابة تحدٍ يومي لا يُطاق؟ قد تكون هذه الآلام المبرحة جرس إنذار للإصابة بكسر في العظم السمسمي لإبهام القدم، وهي حالة طبية دقيقة تتطلب تدخلاً فورياً وتشخيصاً احترافياً.
القدم البشرية هي تحفة هندسية معقدة تتكون من 26 عظمة، و33 مفصلاً، وأكثر من 100 وتر وعضلة ورباط. وفي قلب هذه المنظومة الحركية، تلعب العظام السمسمية دوراً محورياً لا غنى عنه. ورغم صغر حجمها الذي لا يتجاوز حجم حبة البازلاء، إلا أن تعرضها للكسر أو الإجهاد يؤدي إلى انهيار الميكانيكا الحيوية للقدم بأكملها، مما ينعكس سلباً على الركبتين، والوركين، وحتى العمود الفقري نتيجة لتغير طريقة المشي لتجنب الألم.

في هذا الدليل الطبي الشامل والمرجعي، نغوص في أعماق التشريح الحيوي للعظام السمسمية، ونستعرض الأسباب الخفية وراء كسورها، مع تفصيل دقيق للأعراض السريرية. والأهم من ذلك، سنسلط الضوء على أحدث بروتوكولات العلاج العالمية، مع التركيز على تقنية "التثبيت الداخلي الدقيق" تحت إشراف القامة الطبية اليمنية، الأستاذ الدكتور محمد هطيف، أستاذ جراحة العظام والمفاصل بجامعة صنعاء، والذي يمثل المرجعية الأولى في هذا التخصص الدقيق.

التشريح الدقيق: ما هي العظام السمسمية (Sesamoid Bones)؟ ولماذا هي مهمة؟
لفهم طبيعة الكسر، يجب أولاً فهم التشريح الفريد لهذه العظام. معظم العظام في جسم الإنسان ترتبط ببعضها البعض عبر المفاصل، لكن العظام السمسمية تختلف تماماً؛ فهي عظام "عائمة" تنمو وتستقر بالكامل داخل الأوتار العضلية. سُميت بهذا الاسم نظراً لتشابه شكلها وحجمها مع بذور السمسم.

يوجد في قاعدة إبهام القدم (المفصل المشطي السلامي الأول - 1st MTP Joint) عظمتان سمسميتان رئيسيتان:
1. العظمة السمسمية الإنسية (Medial/Tibial Sesamoid): وتقع في الجهة الداخلية للقدم، وهي عادة أكبر حجماً وتتحمل العبء الأكبر من وزن الجسم، ولذلك فهي الأكثر عرضة للكسور.
2. العظمة السمسمية الوحشية (Lateral/Fibular Sesamoid): وتقع في الجهة الخارجية نحو بقية أصابع القدم.
الوظائف الميكانيكية الحيوية للعظام السمسمية:
- نظام البكرة (Pulley System): تعمل العظام السمسمية كبكرة تزيد من القوة الرافعة للأوتار القابضة لإبهام القدم (Flexor Hallucis Brevis)، مما يمنح الإبهام القوة اللازمة لدفع الجسم للأمام أثناء المشي أو الجري.
- امتصاص الصدمات وتوزيع الوزن: أثناء مرحلة الدفع في المشي (Toe-off)، يتحمل إبهام القدم ما يصل إلى 50% من وزن الجسم. تعمل العظام السمسمية كوسائد تمتص هذا الضغط الهائل وتوزعه بالتساوي.
- حماية الأوتار: تقوم بحماية الوتر القابض الطويل لإبهام القدم (Flexor Hallucis Longus) الذي يمر بين العظمتين السمسميتين، وتمنع احتكاكه المباشر بعظام المشطية أثناء الحركة.

أي خلل أو كسر في هذه العظام الدقيقة يؤدي إلى انهيار هذا النظام الميكانيكي المعقد، مما يفسر الألم الشديد والعجز الحركي الذي يصاحب هذه الإصابات.

الأسباب الجذرية وعوامل الخطر لكسور العظم السمسمي
لا تحدث كسور العظم السمسمي من فراغ، بل هي غالباً نتيجة لتفاعل معقد بين القوى الميكانيكية، ونوع النشاط البدني، والتشريح الفردي للقدم. يمكن تقسيم أسباب هذه الكسور إلى فئتين رئيسيتين:
1. الكسور الحادة (Acute Fractures)
تحدث نتيجة صدمة مفاجئة وقوية أو إصابة مباشرة.
* السقوط من ارتفاع: الهبوط بقوة على مقدمة القدم (كرة القدم - Ball of the foot) يؤدي إلى سحق العظمة السمسمية بين عظمة المشطية والأرض.
* التواء الإبهام القوي (Turf Toe): الانثناء الظهري المفرط (Hyperdorsiflexion) لإبهام القدم، وهو شائع في رياضات مثل كرة القدم، الرجبي، والفنون القتالية، يمكن أن يؤدي إلى تمزق الأربطة وسحب العظمة السمسمية بقوة حتى تنكسر.
* إسقاط جسم ثقيل: سقوط جسم ذو وزن كبير مباشرة على منطقة مفصل الإبهام.

2. الكسور الإجهادية (Stress Fractures)
وهي الأكثر شيوعاً، وتحدث نتيجة للإجهاد الميكانيكي المتكرر والضغط المستمر على العظمة بمرور الوقت، مما يؤدي إلى شروخ دقيقة تتطور إلى كسر كامل إذا لم يتم تداركها.
- الأنشطة الرياضية عالية التأثير: العداؤون (خاصة عداؤو المسافات الطويلة والماراثون)، راقصو الباليه (بسبب الوقوف المستمر على أطراف الأصابع)، لاعبو التنس، ولاعبو كرة السلة هم الأكثر عرضة لهذه الإصابات.
- الأحذية غير المناسبة: ارتداء الأحذية ذات الكعب العالي بانتظام يجبر الجسم على نقل معظم وزنه إلى مقدمة القدم والعظام السمسمية. كذلك الأحذية الرياضية ذات النعال الرقيقة أو غير المرنة تزيد من خطر الإصابة.
- التشريح الهيكلي للقدم: الأشخاص ذوي الأقواس العالية (Cavus Foot) يميلون إلى وضع ضغط أكبر على مقدمة القدم. كما أن وجود إبهام قدم أطول من المعتاد يزيد من العبء الميكانيكي على المفصل.
- التهاب العظم السمسمي المزمن (Sesamoiditis): الالتهاب المستمر غير المعالج يضعف بنية العظمة ويجعلها هشة وقابلة للكسر الإجهادي.


الأعراض السريرية: كيف تكتشف إصابتك بكسر العظم السمسمي؟
تتشابه أعراض كسر العظم السمسمي مع حالات أخرى مثل التهاب الأوتار أو النقرس، مما يجعل التشخيص الذاتي مستحيلاً ويتطلب خبرة طبيب متمرس. ومع ذلك، هناك علامات تحذيرية حاسمة:
- ألم حاد وموضعي أسفل إبهام القدم: هو العرض الأكثر بروزاً. في الكسور الحادة، يظهر الألم فجأة وبقوة. أما في الكسور الإجهادية، فيبدأ الألم كوجع خفيف يزداد تدريجياً مع النشاط ويخف مع الراحة.
- صعوبة بالغة في تحمل الوزن: يجد المريض صعوبة كبيرة في المشي، ويميل إلى نقل وزنه إلى الحافة الخارجية للقدم (المشي مع العرج) لتجنب الضغط على الإبهام.
- تورم واحمرار: انتفاخ ملحوظ في وسادة القدم تحت مفصل الإبهام الكبير، قد يصاحبه احمرار وحرارة في المنطقة.
- كدمات (Ecchymosis): في حالات الكسور الحادة والصدمات المباشرة، قد تظهر كدمات زرقاء أو أرجوانية في باطن القدم.
- محدودية نطاق الحركة: ألم شديد عند محاولة ثني إبهام القدم لأعلى (التمدد) أو لأسفل.
- ألم عند الجس (Palpation): عند قيام الطبيب بالضغط المباشر على منطقة العظمة السمسمية، يشعر المريض بألم نقطي حاد (Pinpoint pain).


التشخيص الدقيق: حجر الزاوية للعلاج الناجح
يُعد التشخيص الخاطئ أو المتأخر لكسور العظم السمسمي مشكلة شائعة تؤدي إلى مضاعفات خطيرة مثل نخر العظام (Avascular Necrosis) أو عدم الالتئام (Non-union). هنا تتجلى أهمية اللجوء إلى خبير بمستوى الأستاذ الدكتور محمد هطيف، حيث يعتمد على بروتوكول تشخيصي متعدد الطبقات:
1. الفحص السريري الشامل
يبدأ الدكتور هطيف بأخذ تاريخ طبي مفصل لفهم آلية الإصابة ونمط النشاط اليومي للمريض. يتبع ذلك فحص سريري دقيق يتضمن:
* اختبار الحركة السلبية والإيجابية: لتقييم سلامة الأوتار ومدى تأثر المفصل.
* تحديد نقطة الألم القصوى: للتمييز بين ألم العظمة الإنسية والوحشية.
* تقييم نمط المشي (Gait Analysis): لملاحظة أي تشوهات تعويضية في الحركة.
2. التصوير الإشعاعي (X-Rays)
الأشعة السينية هي الخطوة الأولى في التصوير. يتطلب الأمر زوايا تصوير خاصة (Axial Sesamoid View) لرؤية العظام السمسمية بوضوح دون تداخل مع عظام المشطية.
* تحدي تشخيصي: حوالي 10% إلى 30% من الناس لديهم عظمة سمسمية مقسمة خلقياً (Bipartite Sesamoid)، والتي تبدو في الأشعة وكأنها مكسورة. يميز الدكتور هطيف بين الكسر الحقيقي والتقسيم الخلقي من خلال فحص حواف العظمة (حواف الكسر تكون حادة وغير منتظمة، بينما حواف التقسيم الخلقي تكون ناعمة ومستديرة) ومقارنتها بالقدم السليمة.

3. التصوير بالرنين المغناطيسي (MRI)
يُعد الرنين المغناطيسي المعيار الذهبي لتشخيص الكسور الإجهادية في مراحلها المبكرة قبل ظهورها في الأشعة السينية. كما يكشف عن وذمة نخاع العظم (Bone Marrow Edema)، وتمزق الأوتار المحيطة، وتلف الغضاريف.

4. التصوير المقطعي المحوسب (CT Scan)
في الحالات المعقدة التي يخطط فيها الدكتور للتدخل الجراحي، يوفر التصوير المقطعي صوراً ثلاثية الأبعاد تفصل حجم الكسر، وعدد الشظايا العظمية، ومدى تباعدها، مما يساعد في وضع خطة التثبيت الداخلي بمنتهى الدقة.

الأستاذ الدكتور محمد هطيف: المرجعية الطبية الأولى في اليمن لجراحات العظام الدقيقة
عندما يتعلق الأمر بجراحة معقدة ودقيقة مثل تثبيت كسور العظم السمسمي، فإن اختيار الجراح هو القرار الأهم الذي سيحدد مستقبل حركتك. في اليمن، يبرز اسم الأستاذ الدكتور محمد هطيف كعلامة فارقة ورمز للتفوق الطبي في مجال جراحة العظام والمفاصل.

لماذا يُعد الدكتور محمد هطيف الخيار الأول والأفضل في صنعاء واليمن؟
- الرتبة الأكاديمية العُليا: يحمل صفة "أستاذ دكتور" (Professor)، وهو أعلى لقب أكاديمي في كلية الطب بجامعة صنعاء. هذا يعني أنه لا يمارس الطب فحسب، بل يقوم بتدريس وتخريج أجيال من الأطباء والجراحين، مما يجعله مطلعاً باستمرار على أحدث الأبحاث والبروتوكولات العالمية.
- خبرة تتجاوز العقدين: أكثر من 20 عاماً من الممارسة الجراحية المكثفة، أجرى خلالها آلاف العمليات المعقدة بنسب نجاح تضاهي كبرى المراكز الطبية في أوروبا وأمريكا.
- ريادة التقنيات الحديثة: الدكتور هطيف هو رائد استخدام الجراحة المجهرية (Microsurgery) في اليمن. في جراحات القدم الدقيقة، يستخدم أدوات مجهرية وتكبير بصري عالي للحفاظ على الأعصاب الدقيقة (مثل العصب الأخمصي الإصبعي) والأوعية الدموية التي تغذي العظمة السمسمية.
- التكنولوجيا المتقدمة: عيادته وغرف العمليات التي يشرف عليها مجهزة بأحدث التقنيات، بما في ذلك مناظير المفاصل بتقنية 4K (Arthroscopy 4K) واستبدال المفاصل المتقدم (Arthroplasty).
- الأمانة الطبية والمصداقية المطلقة: يُعرف الدكتور هطيف في الأوساط الطبية وبين مرضاه بالصدق التام. لا يلجأ للتدخل الجراحي إلا إذا كان هو الخيار العلمي الوحيد والأمثل لحالة المريض، ويحرص على شرح كافة تفاصيل الحالة، المخاطر، والنتائج المتوقعة بشفافية تامة.
- النهج الشامل للعلاج: لا يقتصر دور الدكتور هطيف على إجراء الجراحة، بل يمتد للإشراف الشخصي على بروتوكولات العلاج الطبيعي والتأهيل الميكانيكي الحيوي لضمان عودة المريض لممارسة حياته ورياضته بكفاءة 100%.

استراتيجيات العلاج: من التحفظي إلى الجراحي
يعتمد قرار العلاج على عدة عوامل: نوع الكسر (حاد أم إجهادي)، مدى تباعد أطراف الكسر، التروية الدموية للعظمة، ومستوى النشاط البدني للمريض (رياضي محترف مقابل شخص عادي).

أولاً: العلاج التحفظي (غير الجراحي)
يُفضل الدكتور هطيف البدء بالعلاج التحفظي في حالات الكسور غير المتباعدة (Non-displaced fractures) والكسور الإجهادية المبكرة. يستمر هذا العلاج عادة من 6 إلى 8 أسابيع، ويشمل:
- تثبيت القدم (Immobilization): استخدام حذاء المشي الطبي القصير (CAM Walker Boot) أو جبيرة مخصصة لمنع حركة مفصل الإبهام وتخفيف الضغط.
- تخفيف الوزن (Off-loading): استخدام العكازات لعدة أسابيع لمنع أي ضغط مباشر على العظمة السمسمية المكسورة.
- التعديلات الميكانيكية: استخدام دعامات مقوسة (Orthotics) أو وسائد مخصصة (J-pads) لتفريغ الضغط عن منطقة العظمة السمسمية ونقله إلى أجزاء أخرى من القدم.
- العلاج الدوائي: مسكنات الألم ومضادات الالتهاب غير الستيرويدية (NSAIDs) في الأيام الأولى، مع الانتباه إلى أن الاستخدام المفرط لها قد يبطئ التئام العظام.
- العلاج الطبيعي (Physiotherapy): بعد فترة التثبيت، يتم البدء بتمارين لطيفة لاستعادة نطاق الحركة وقوة العضلات.
ثانياً: التدخل الجراحي (متى يكون ضرورياً؟)
إذا فشل العلاج التحفظي بعد 3-6 أشهر، أو إذا كان الكسر متباعداً بشكل كبير (Displaced fracture)، أو في حالة الرياضيين المحترفين الذين يحتاجون لعودة سريعة ومضمونة، يصبح التدخل الجراحي حتمياً.
هنا يبرز سؤال هام: هل يتم استئصال العظمة السمسمية المكسورة (Sesamoidectomy) أم تثبيتها (Internal Fixation)؟
تاريخياً، كان الاستئصال هو الحل الشائع. لكن الأستاذ الدكتور محمد هطيف يتبنى المدرسة الحديثة التي تؤكد على ضرورة الحفاظ على العظمة السمسمية متى ما كان ذلك ممكناً عبر التثبيت الداخلي. استئصال العظمة يؤدي إلى خلل دائم في ميكانيكا القدم، يضعف قوة الإبهام بنسبة تصل إلى 30%، ويزيد من خطر تشوه إصبع القدم المطرقية (Cock-up toe deformity).
جدول مقارنة: العلاج التحفظي مقابل التثبيت الجراحي
| وجه المقارنة | العلاج التحفظي (بدون جراحة) | التثبيت الداخلي الجراحي (مع د. هطيف) |
|---|---|---|
| الحالات المناسبة | الكسور غير المتباعدة، الكسور الإجهادية المبكرة. | الكسور المتباعدة، فشل العلاج التحفظي، الرياضيين. |
| مدة العلاج الأساسية | 6 إلى 12 أسبوعاً من التثبيت. | جراحة يوم واحد + تأهيل تدريجي. |
| المزايا | تجنب التخدير والجراحة، لا يوجد جروح. | استعادة التشريح الدقيق، شفاء أسرع وأكثر موثوقية، الحفاظ على قوة المفصل. |
| العيوب/المخاطر | احتمالية عالية لعدم الالتئام (Non-union)، استمرار الألم، ضعف التروية. | مخاطر الجراحة العامة (التهاب، تندب)، يتطلب جراحاً فائق المهارة. |
| معدل العودة للرياضة | متغير، قد يكون بطيئاً جداً أو غير مكتمل. | مرتفع جداً ومحدد بجدول زمني واضح، عودة لكامل اللياقة. |

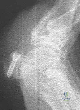
الغوص العميق: جراحة التثبيت الداخلي الدقيق للعظم السمسمي (التقنية الجراحية)
تُعد جراحة التثبيت الداخلي للعظم السمسمي (Internal Fixation of Sesamoid Bone) واحدة من أدق وأعقد جراحات القدم، وتتطلب جراحاً متمرساً في الجراحة المجهرية مثل الأستاذ الدكتور محمد هطيف. الهدف من الجراحة هو إعادة شظايا العظم إلى مكانها التشريحي الدقيق وتثبيتها ميكانيكياً لتسهيل الالتئام الطبيعي، مع الحفاظ على الأنسجة الرخوة المحيطة.


كسور العظام المعقدة وإصابات الحوادث ليس قدراً محتوماً! التشخيص الدقيق والعلاج المتخصص يمكن أن يعيد لك كامل وظيفتك وحريتك في الحركة. لا تدع الألم يسيطر على حياتك.
للحصول على استشارة دقيقة وخطة علاجية مخصصة لحالتك، تواصل فوراً مع مركز الأستاذ الدكتور محمد هطيف:
الأستاذ الدكتور محمد هطيف - أفضل دكتور عظام في صنعاء، وخبير في جراحات الكسور المعقدة وإنقاذ الأطراف.. نلتزم بإعادتك لحياة خالية من الألم وعظام قوية وملتئمة.
مواضيع أخرى قد تهمك