تثبيت مفصل الورك بدون أسمنت: دليل شامل لمرضى استبدال الورك مع الأستاذ الدكتور محمد هطيف

الخلاصة الطبية
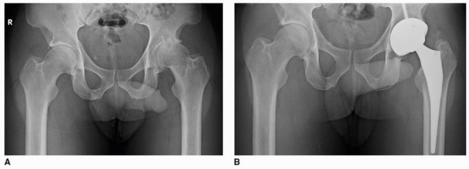
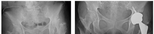
تثبيت مفصل الورك بدون أسمنت هو تقنية حديثة لاستبدال مفصل الورك تعتمد على الاندماج العظمي المباشر، مما يوفر ثباتًا طويل الأمد. يقدم الأستاذ الدكتور محمد هطيف في صنعاء هذه الجراحة المتطورة بدقة متناهية، لضمان تعافٍ سريع ونتائج ممتازة للمرضى الذين يعانون من آلام الورك المزمنة.
الخلاصة الطبية السريعة: تثبيت مفصل الورك بدون أسمنت هو تقنية حديثة لاستبدال مفصل الورك تعتمد على الاندماج العظمي المباشر، مما يوفر ثباتًا طويل الأمد. يقدم الأستاذ الدكتور محمد هطيف في صنعاء هذه الجراحة المتطورة بدقة متناهية، لضمان تعافٍ سريع ونتائج ممتازة للمرضى الذين يعانون من آلام الورك المزمنة.
يعد مفصل الورك الصناعي غير المثبت (Cementless Hip Socket) ثورة في جراحات استبدال مفصل الورك، حيث يمثل قفزة نوعية نحو تحقيق تثبيت طويل الأمد وتقليل مخاطر الفشل المرتبطة بالطرق التقليدية. في هذا الدليل الشامل، سنتعمق في فهم هذه التقنية المتطورة، وكيف تساهم في تحسين جودة حياة المرضى، مع تسليط الضوء على خبرة الأستاذ الدكتور محمد هطيف، الذي يُعد المرجع الأول في هذا المجال بصنعاء، لضمان حصولك على أفضل رعاية ممكنة.
مقدمة عن تثبيت مفصل الورك بدون أسمنت
لطالما كانت جراحة استبدال مفصل الورك الكلي (Total Hip Arthroplasty - THA) حلاً فعالاً لتخفيف الألم واستعادة وظيفة المفصل لدى ملايين المرضى حول العالم. ومع التطور المستمر في التقنيات الطبية، ظهرت طريقة التثبيت بدون أسمنت كخيار مفضل بشكل متزايد، خاصة في أمريكا الشمالية والعديد من المراكز الطبية الرائدة.
تعتمد هذه التقنية على تصميم مكونات الحُق (Acetabular Component) بطريقة تسمح للعظم الطبيعي بالنمو والاندماج مباشرة مع سطح الغرسة، وهي عملية تُعرف بالاندماج العظمي (Osseointegration). هذا الاندماج البيولوجي يوفر تثبيتًا قويًا ومستقرًا يدوم لسنوات طويلة، ويقلل من الحاجة إلى مراجعات جراحية مستقبلية بسبب تراخي المكونات.
يؤكد الأستاذ الدكتور محمد هطيف، بخبرته الواسعة كأستاذ دكتور في جراحة العظام والمفاصل في صنعاء، على أهمية اختيار التقنية المناسبة لكل مريض. وقد أظهرت الدراسات الحديثة أن معدلات فشل تثبيت الحُق بالأسمنت كانت مرتفعة بشكل غير مقبول في بعض الحالات، مما دفع إلى البحث عن بدائل أكثر فعالية. وتعتبر التصميمات الحديثة للغرسات، التي تتضمن أسطحًا مسامية ومواد متوافقة حيوياً، إنجازًا كبيرًا في هذا الصدد.
في عيادات الأستاذ الدكتور محمد هطيف بصنعاء، يتم تطبيق أحدث البروتوكولات والتقنيات لضمان أفضل النتائج للمرضى، مع التركيز على استخدام مكونات الحُق غير المثبتة التي أثبتت كفاءتها العالية ومعدلات بقائها الممتازة، بشرط تحقيق الثبات الأولي الكافي للغرسة، سواء عن طريق التثبيت بالضغط (Press-fit) أو إضافة براغي أو مسامير تثبيت إضافية.
تطور مفصل الورك الصناعي غير المثبت
لم يأتِ تفضيل تثبيت مفصل الورك بدون أسمنت من فراغ، بل هو نتاج سنوات من البحث والتطوير لتحسين نتائج جراحات استبدال المفصل. في الماضي، كان التثبيت بالأسمنت هو المعيار الذهبي، لكن التقارير أشارت إلى معدلات فشل عالية غير مقبولة لمكونات الحُق المثبتة بالأسمنت، مما دفع الجراحين والباحثين للبحث عن حلول أفضل.
تضمنت هذه الحلول تطوير تصميمات جديدة لمكونات الحُق، تتميز بأسطح مسامية (Porous Surfaces) تسمح للعظم الطبيعي بالنمو داخلها والاندماج معها. هذه العملية، المعروفة بالاندماج العظمي (Osseointegration)، هي المفتاح لضمان ثبات الغرسة على المدى الطويل. وقد أظهرت هذه التصميمات الحديثة معدلات بقاء ممتازة للغرسة، بشرط الحصول على ثبات أولي جيد.
بالإضافة إلى ذلك، كانت مشكلة تآكل البولي إيثيلين التقليدي عالي الوزن الجزيئي (UHMWPE) هي المصدر الرئيسي للفشل في تصميمات المكونات غير المثبتة التي تم زرعها خلال القرن العشرين. ومع إدخال البولي إيثيلين عالي التشابك (Highly Cross-linked Polyethylene) في مكونات الحُق غير المثبتة المعاصرة، انخفضت معدلات التآكل بشكل كبير، حتى بين الأفراد الأكثر نشاطًا. هذا التطور أدى إلى تفاؤل حذر بأن هذا المزيج سيؤدي إلى بقاء أطول لمكونات الحُق، مما يعكس التزام الأستاذ الدكتور محمد هطيف بتبني أحدث المواد والتقنيات لتحقيق أفضل النتائج لمرضاه في صنعاء.
متى يكون تثبيت مفصل الورك غير المثبت هو الخيار الأمثل
يمكن استخدام تقنية التثبيت بدون أسمنت في جميع إجراءات استبدال مفصل الورك الكلي الأولية والمراجعة. يفضل الأستاذ الدكتور محمد هطيف هذه التقنية بشكل خاص في الحالات التي تستفيد من الاندماج العظمي الطبيعي للحصول على تثبيت دائم. تشمل التشخيصات الشائعة التي يتم معالجتها باستخدام الغرسات الأولية غير المثبتة ما يلي:
خشونة مفصل الورك (التهاب المفاصل التنكسي)
تُعد خشونة مفصل الورك، الناتجة عن خلل التنسج الحقي (Acetabular Dysplasia) أو انحشار الورك الفخذي الحقي (Femoroacetabular Impingement)، من الأسباب الرئيسية التي تستدعي استبدال المفصل. في هذه الحالات، يوفر التثبيت بدون أسمنت أساسًا متينًا للغرسة، مما يقلل من احتمالية تراخيها بمرور الوقت.
بروز الحُق (Protrusio Acetabuli)
وهي حالة تتسم بانغماس رأس عظم الفخذ والحُق في الحوض بشكل غير طبيعي. تتطلب هذه الحالات تخطيطًا دقيقًا وتقنيات جراحية متخصصة، حيث يفضل الأستاذ الدكتور محمد هطيف استخدام التثبيت بدون أسمنت لتعزيز الاندماج العظمي في العظم المتبقي.
النخر العظمي (Osteonecrosis)
يحدث النخر العظمي عندما يموت جزء من العظم بسبب نقص إمدادات الدم. عندما يؤثر هذا على رأس عظم الفخذ أو الحُق، يمكن أن يؤدي إلى انهيار المفصل وألم شديد. يوفر التثبيت بدون أسمنت حلاً ممتازًا في هذه الحالات، حيث يدعم نمو العظم الصحي حول الغرسة.
التهاب المفاصل الالتهابي (Inflammatory Arthritis)
مثل التهاب المفاصل الروماتويدي، يمكن أن يسبب تدميرًا واسع النطاق لمفصل الورك. في هذه الحالات، يمكن أن يوفر التثبيت بدون أسمنت حلاً مستقرًا وطويل الأمد، مع الأخذ في الاعتبار الخصائص البيولوجية للعظم المتأثر بالالتهاب.
كسور عنق الفخذ (Femoral Neck Fracture)
في بعض حالات كسور عنق الفخذ، خاصة لدى المرضى الأصغر سنًا أو الأكثر نشاطًا، قد يكون استبدال مفصل الورك الكلي باستخدام مكونات غير مثبتة هو الخيار الأفضل لاستعادة الوظيفة الكاملة وتقليل مخاطر المضاعفات المستقبلية.
في كل هذه الحالات، يحرص الأستاذ الدكتور محمد هطيف على إجراء تقييم شامل للمريض واختيار التقنية الأنسب لضمان أفضل النتائج الجراحية والوظيفية.
التحضير قبل الجراحة لضمان أفضل النتائج
يُعد التخطيط الدقيق قبل الجراحة عنصرًا أساسيًا لنجاح إعادة بناء الحُق، بغض النظر عن طريقة التثبيت المستخدمة. في عيادات الأستاذ الدكتور محمد هطيف بصنعاء، يتم تخصيص وقت كافٍ لكل مريض لإجراء تقييم شامل وتخطيط مفصل للعملية، لضمان الدقة القصوى والنتائج المثلى.
التخطيط العميق لبرد الحُق
يجب تحديد العمق المطلوب لبرد الحُق (Acetabular Reaming) بالنسبة للجدار الإنسي لضمان ملاءمة الغرسة وتغطية علوية جانبية كافية. يمكن أن يختلف وضع وحجم مكونات الحُق اعتمادًا على التشخيص الأساسي للورك.
على سبيل المثال، قد يؤدي وجود النتوءات العظمية (Osteophytes) في قاع الحُق إلى مركز ورك جانبي لدى مرضى خشونة المفاصل، وقد يتطلب ذلك تحريك مركز الورك إلى الداخل (Medialization) أبعد من قاع الحفرة الحُقية (Cotyloid Fossa).
التعامل مع خلل التنسج وبروز الحُق
قد يحدث أيضًا تحرك مركز الورك جانبيًا مع خلل التنسج الحقي (Hip Dysplasia)، ويختلف مقدار التحرك الإنسي (Medialization) اعتمادًا على سمك الحوض ومقدار التحضير اللازم للحصول على تغطية وثبات كافيين للغرسة.
في بعض حالات بروز الحُق الشديد (Acetabular Protrusio)، قد يكون من الضروري تحريك مركز الورك جانبيًا إلى وضع أكثر طبيعية.
أهمية تحريك مركز الورك إنسيًا
يُعد تحريك مكون الحُق إنسيًا أمرًا مهمًا لتقليل القوى الميكانيكية على الورك وتوفير تلامس كافٍ بين الغرسة وعظم الحُق لنجاح الاندماج العظمي. بينما دعت التقنيات التقليدية في استبدال مفصل الورك المثبت بالأسمنت إلى وضع مكون الحُق على بعد 1 إلى 2 ملم من الجدار الإنسي للحُق، فإن هذا قد يؤدي في حالات تحريك الحُق بشكل كبير إلى تقليل توتر عضلات الألوية الوسطى والصغرى، مما قد يساهم في عدم استقرار المفصل الصناعي.
في هذه الحالات، قد يحتاج الأستاذ الدكتور محمد هطيف إلى زيادة إزاحة الفخذ (Femoral Offset) أو طوله لتحسين ثبات الورك. وقد يُفضل قبول وضع مكون الحُق جانبيًا قليلاً بالنسبة للجدار الإنسي في الحالات التي يؤدي فيها التحرك الإنسي بشكل كبير إلى تقليل إزاحة الفخذ. كما أنه اعتبار مقبول لمرضى استبدال مفصل الورك الأصغر سنًا، حيث يسهل الحفاظ على العظم الإنسي والخلفي إزالة المكونات الثابتة جيدًا بأمان إذا لزم الأمر في المستقبل (على سبيل المثال، سوء الوضع، عدم الاستقرار، العدوى).
معرفة تصميم الغرسة
تُعد معرفة تصميم غرسة الحُق أمرًا بالغ الأهمية. قد يختلف تضخم الحافة المحيطية لمكون الحُق باختلاف الشركة المصنعة وتصميم المكون. يجب أن يسمح اختيار المبرد النهائي المناسب بتثبيت مكون الحُق بضغط يتراوح بين 1 إلى 2 ملم ضد عظم الحُق المحضر، وفقًا لمواصفات تصميم الغرسة. مع بعض المعادن المسامية الأحدث، تم الدعوة إلى البرد المتطابق (Line-to-line reaming). ستحدد خصائص السطح وصلابة الغرسة تقنية البرد، وهي تفاصيل يتقنها الأستاذ الدكتور محمد هطيف لضمان أفضل ملاءمة وثبات.
التقنيات الجراحية المتقدمة لتثبيت مفصل الورك غير المثبت
تعتبر التقنيات الجراحية المتبعة في تثبيت مفصل الورك بدون أسمنت حجر الزاوية في نجاح العملية. يتبع الأستاذ الدكتور محمد هطيف في صنعاء بروتوكولات جراحية دقيقة ومتقدمة لضمان أفضل تثبيت للغرسة وسلامة المريض.
الوصول الجراحي لمفصل الورك
تتوفر عدة طرق تشريحية للوصول إلى مفصل الورك، ويمكن اختيارها بناءً على حالة المريض وخبرة الجراح. يضمن الأستاذ الدكتور محمد هطيف اختيار النهج الأمثل الذي يوفر أفضل رؤية للحُق مع تقليل التدخل الجراحي. يتضمن كشف الحُق وضع رافعات حسب الضرورة لتوفير رؤية كافية للحُق والرباط الحقي المستعرض.
يجب استئصال الشفة الحُقية (Acetabular Labrum) للسماح للمبرد نصف الكروي بالدخول بشكل مركزي إلى الحُق. يجب إزالة الأنسجة الرخوة من الحفرة الحُقية للسماح برؤية قاع الحُق الطبيعي. يمكن أن يكون الملقط الرفيع ذو الطرف المنحني مفيدًا في تحديد عمق الحفرة الحُقية قبل البرد، ويمكن استخدامه لاختبار عمق العظم الحقي الإنسي قبل ملامسة الجدار الإنسي أثناء البرد، إذا رغبت في ذلك.
تحضير العظم لضمان الاندماج الأمثل
يتضمن تحضير عظم الحُق مزيجًا من التحريك الإنسي والتوسيع التدريجي لإعادة إنشاء سرير عظمي نصف كروي لإدخال المكون. يجب أن يتم البرد الأولي لتحديد العمق المطلوب للبرد.
قد يتأثر الاتجاه الأولي لبرد الحُق بعمق الحُق الأصلي ومقدار التحريك الإنسي المطلوب للحصول على تلامس لا يقل عن 75% إلى 80% من مكون الحُق مع الحُق الأصلي. بعد تحديد العمق المطلوب للبرد، يتم التوسيع التدريجي بمبارد إضافية حتى يتم الحصول على تلامس جيد للمبرد بين الأعمدة الأمامية والخلفية للحُق الأصلي. سيحدث الامتلاء المرئي للمبرد عادةً عندما يتم تحريك الحُق إنسيًا.
يجب توخي الحذر لتجنب البرد المفرط للجدار الجانبي والجدار الخلفي والعمود الخلفي للحُق لتجنب احتمال المساس بتثبيت الغرسة. يمكن أن يحدث البرد غير المتوازن للجدار الخلفي من خلال نهج خلفي إذا لم يتم تحريك عظم الفخذ إلى الأمام بشكل كافٍ. يمكن أن يحدث البرد غير المتوازن للجدار الجانبي إذا لم يتم تثبيت مبرد الحُق بشكل كافٍ في الحُق وتم توجيه البرد في اتجاه علوي نحو الحوض. يمكن أن يحدث البرد غير المتوازن للعمود الخلفي إذا تم وضع المبرد في وضع زيادة الميل الأمامي وتم برد الحُق إلى عمق زائد. يجب تقييم الجدران الأمامية والجانبية والخلفية على فترات أثناء تحضير الحُق، خاصة عند الاقتراب من حجم مكون الحُق المخطط له أو تجاوزه.
يجب وضع مكون الحُق للتثبيت بزاوية اختطاف تتراوح بين 40 و 45 درجة وزاوية ميل أمامي تتراوح بين 15 و 20 درجة.
بينما ركز الاعتبار الأساسي للمرضى الذين يتم وضعهم في وضع جانبي لجراحة استبدال مفصل الورك الكلي على تسوية الطاولة والحد من سوء دوران المريض، فإن التباين في محاذاة المستوى الإكليلي (ميل الحوض) أو حركة المستوى السهمي (الحداب/القعس) يمكن أن يؤثر على الوضع النسبي لحوض المريض ويساهم في سوء وضع مكون الحُق، والذي تم الإبلاغ عن حدوثه في 12% إلى 50% من حالات استبدال مفصل الورك الكلي. قد يكون التصوير أثناء الجراحة مفيدًا لتقليل الأخطاء في محاذاة المكون ويجب أخذه في الاعتبار في الحالات التي لا يعكس فيها وضع/تغطية المكون مع المحاذاة المستهدفة وضع وتغطية المكون المتوقعة مع التخطيط قبل الجراحة. يعتمد الأستاذ الدكتور محمد هطيف على خبرته الواسعة وأحيانًا على التصوير المتقدم لضمان الدقة المطلقة.
حالات استبدال مفصل الورك الأولية غير المعقدة
في غياب نقص كبير في الحُق، يفضل الأستاذ الدكتور محمد هطيف تقنية تحضير عظم الحُق التي تتضمن البرد الإنسي والمحيطي المتماثل باستخدام عدد محدود من المبارد للعمق المطلوب لتغطية الحُق. يتم اختيار مبرد الحُق الأولي بحجم يتراوح بين 3 و 5 ملم أصغر من حجم الغرسة المخطط لها (مع هدف تثبيت بضغط 1 ملم) ويتم وضعه في الاتجاه المطلوب للبرد بينما يتم البرد عرضيًا نحو القاع (الجدار الإنسي)، بدلاً من الاتجاه العلوي بشكل أساسي. يجب الاستمرار في برد الحُق حتى يتم الوصول إلى قاع الحفرة الحُقية.
يتم إجراء برد إضافي حسب الضرورة حتى يتم الحصول على تغطية كافية لمبرد الحُق. طالما بقي عظم الحُق الخلفي والجانبي كافيًا، يستمر البرد بشكل عام حتى حجم أكبر بمقدار واحد من حجم المكون المخطط له حتى يتم ملاحظة المقاومة بين المبرد النهائي والحُق الأصلي. يتم تثبيت مكون الحُق في الوضع المستهدف ويتم تقييم ثبات التركيب. إذا كان هناك ثبات كافٍ بالضغط، يمكن للجراح أن يختار ما إذا كان سيكمل التثبيت ببراغي إضافية أم لا. يفضل الأستاذ الدكتور محمد هطيف استخدام تثبيت إضافي بالبراغي في جميع عمليات إعادة بناء الحُق.
التعامل مع حالات خلل التنسج الحقي
في حالات خلل التنسج الحقي، يجب مراعاة وضع مكون الحُق بالقرب من الجدار الحقي الإنسي لتحسين القوى الميكانيكية عبر عملية إعادة البناء. عند اختيار مركز ورك منخفض، قد يكون التصوير الفلوروسكوبي أثناء الجراحة مفيدًا لتأكيد موقع الحُق الأصلي. يبدأ التحضير الأولي بمبرد صغير (36 إلى 40 ملم) إلى عمق الجدار الحقي الإنسي مع توسيع لاحق حتى يحقق المبرد تلامسًا مستقرًا بين الأعمدة الأمامية والخلفية.
يمكن استخدام تحريك الحُق إنسيًا بشكل متحكم فيه بمقدار 1 إلى 2 ملم بما يتجاوز جدار الحُق من أجل تحقيق تغطية كافية للغرسة الجانبية في حالات خلل التنسج الحقي. يمكن معالجة عيوب الجدار الجانبي الهيكلية باستخدام طعوم هيكلية أو مواد معدنية مساعدة متوفرة تجاريًا، ولكن هذه لم تُستخدم بشكل شائع في ممارسات الأستاذ الدكتور محمد هطيف. عند استخدام طعم هيكلي، يمكن تحضير عظم الحُق الجانبي باستخدام مبرد عالي السرعة أو مبرد الحُق لمطابقة محيط الطعم أو المادة المساعدة المختارة. يجب إدخال الطعوم الهيكلية وتثبيتها مؤقتًا بمسامير كبيرة لتثبيت الثبات حيث يشترك المبرد النهائي في كل من الحُق المضيف والجزء المحمل من الطعم الهيكلي.
يتم تحقيق التثبيت النهائي للطعم الهيكلي ببراغي عظمية كبيرة مدع         ---
آلام الورك المبرحة ليس قدراً محتوماً! التشخيص الدقيق والعلاج المتخصص يمكن أن يعيد لك كامل وظيفتك وحريتك في الحركة بدون ألم.
للحصول على استشارة دقيقة وخطة علاجية مخصصة لحالتك، تواصل فوراً مع مركز الأستاذ الدكتور محمد هطيف:
الأستاذ الدكتور محمد هطيف - أفضل دكتور عظام في صنعاء، وخبير في جراحات استبدال مفصل الورك والمراجعة المعقدة.
مواضيع أخرى قد تهمك