استبدال مفصل الورك الكلي بتقنية الإسمنت للفخذ: دليلك الشامل لنتائج تدوم طويلاً مع الأستاذ الدكتور محمد هطيف في صنعاء

الخلاصة الطبية
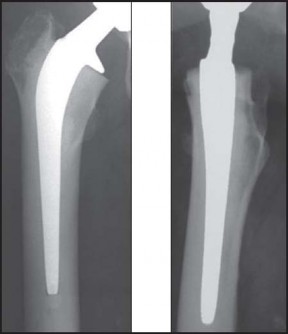
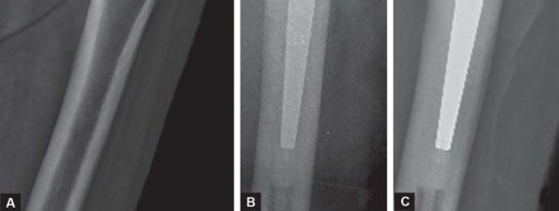
استبدال مفصل الورك الكلي بالإسمنت هو إجراء جراحي ناجح للغاية يعالج آلام الورك الشديدة ويستعيد وظيفة المفصل. يتضمن تثبيت غرسة الفخذ باستخدام إسمنت عظمي خاص، وتعتمد نتائجه الممتازة على دقة الخطوات الجراحية لضمان تثبيت قوي ومستقر يدوم طويلاً.
استبدال مفصل الورك الكلي بتقنية الإسمنت للفخذ: دليلك الشامل لنتائج تدوم طويلاً مع الأستاذ الدكتور محمد هطيف في صنعاء
ألم الورك المزمن، الذي يقيد حركتك ويُسرق منك متعة الحياة اليومية، ليس قدرًا لا مفر منه. في عالم اليوم، ومع التقدم الهائل في الجراحة العظمية، أصبح استبدال مفصل الورك الكلي (Total Hip Replacement - THR) حلًا جذريًا يعيد إليك حريتك في الحركة ويُنهي معاناتك مع الألم. تُعد تقنية الإسمنت للفخذ في جراحة استبدال مفصل الورك من الإجراءات الرائدة التي أثبتت فعاليتها على مدى عقود، خاصة للمرضى الذين تتطلب حالتهم استقرارًا فوريًا وثباتًا طويل الأمد.
في هذا الدليل الشامل، سنغوص عميقًا في تفاصيل هذه التقنية الجراحية المتطورة، وكيف تُمكنك من استعادة جودة حياتك. وسنُسلط الضوء بشكل خاص على الخبرة الاستثنائية للأستاذ الدكتور محمد هطيف في صنعاء، الذي يُعد قامة علمية وجراحية بارزة في مجال جراحة العظام والمفاصل. بصفته أستاذًا في جامعة صنعاء، وخبرة تتجاوز العقدين في استخدام أحدث التقنيات مثل الجراحة المجهرية وتنظير المفاصل بتقنية 4K وجراحات تبديل المفاصل، يُمثل الأستاذ الدكتور هطيف الخيار الأمثل لرحلتك نحو التعافي والعيش بدون ألم، ملتزمًا بأعلى معايير الصدق الطبي والتميز الجراحي.

مقدمة: التخلص من ألم الورك واستعادة الحياة
تخيل أن كل خطوة تخطوها، وكل حركة تقوم بها، تُصاحبها آلام حادة في الورك. هذا هو الواقع اليومي لملايين الأشخاص حول العالم الذين يعانون من تآكل أو تلف مفصل الورك. يؤثر هذا الألم بشكل مباشر على جودة الحياة، ويحد من القدرة على العمل، وممارسة الهوايات، وحتى أبسط الأنشطة اليومية مثل المشي أو صعود الدرج. لحسن الحظ، يوفر الطب الحديث حلولًا فعالة، ويقف استبدال مفصل الورك الكلي في طليعة هذه الحلول كإجراء جراحي آمن وناجح للغاية.
تقنية الإسمنت للفخذ، التي تُعد محور حديثنا، هي طريقة راسخة لتثبيت المكون الفخذي (الجزء الذي يتم إدخاله في عظم الفخذ) من المفصل الصناعي باستخدام إسمنت عظمي خاص. يضمن هذا الإسمنت استقرارًا فوريًا وقوة تحمل عالية، مما يجعله خيارًا ممتازًا للعديد من المرضى، وخاصة كبار السن وذوي العظام الضعيفة. ستكتشف في هذا الدليل لماذا تُعد هذه التقنية خيارًا موثوقًا به، وكيف يمكن أن تُحدث فرقًا حقيقيًا في حياتك.
فهم مفصل الورك: تشريح ووظيفة
لفهم أهمية جراحة استبدال مفصل الورك، من الضروري أولاً أن نستوعب كيف يعمل هذا المفصل المعقد. مفصل الورك هو أحد أكبر المفاصل في جسم الإنسان وأكثرها تحملًا للوزن. إنه مفصل كروي حُقّي (ball-and-socket joint)، مصمم لتوفير نطاق واسع من الحركة مع الحفاظ على الاستقرار.
- المكونات الرئيسية:
- رأس الفخذ (Femoral Head): هو الجزء العلوي الكروي من عظم الفخذ (أطول عظم في الجسم).
- الحُق (Acetabulum): هو تجويف على شكل كوب في عظم الحوض، يستقبل رأس الفخذ.
- الغضروف المفصلي (Articular Cartilage): يغطي رأس الفخذ والحُق، وهو نسيج أملس ومرن يُقلل الاحتكاك ويسمح بحركة سلسة للمفصل.
- المحفظة المفصلية (Joint Capsule): نسيج ليفي سميك يحيط بالمفصل، ويحتوي على السائل الزليلي.
- السائل الزليلي (Synovial Fluid): سائل لزج يعمل كمادة تشحيم، مما يُقلل الاحتكاك ويوفر التغذية للغضروف.
- الأربطة (Ligaments): أشرطة قوية من الأنسجة تربط العظام ببعضها البعض، وتوفر الاستقرار للمفصل.
- العضلات والأوتار (Muscles and Tendons): تحيط بالمفصل وتُمكنه من الحركة في اتجاهات مختلفة (الثني، البسط، الدوران، التقريب، التبعيد).
يعمل مفصل الورك بتناغم تام بين هذه المكونات ليُمكننا من المشي، الجري، القفز، والقيام بمجموعة واسعة من الحركات. عندما يتضرر الغضروف أو تتآكل العظام، يزداد الاحتكاك، مما يؤدي إلى الألم، التيبس، وصعوبة الحركة، وهي الأعراض التي غالبًا ما تدفع المرضى للبحث عن حلول علاجية.

أسباب آلام الورك المزمنة التي تستدعي التدخل الجراحي
تتعدد الأسباب الكامنة وراء آلام الورك المزمنة التي قد تستدعي في النهاية اللجوء إلى جراحة استبدال المفصل. فهم هذه الأسباب يُساعد في التشخيص الدقيق واختيار العلاج الأمثل.
-
التهاب المفاصل التنكسي (Osteoarthritis): يُعد السبب الأكثر شيوعًا لألم الورك المزمن، ويُعرف أيضًا باسم "تآكل المفاصل". يحدث عندما يتلف الغضروف الواقي الذي يُبطن نهايات العظام، مما يؤدي إلى احتكاك العظام ببعضها البعض، مسببًا الألم، التيبس، والحد من الحركة. غالبًا ما يرتبط بالتقدم في العمر، ولكن يمكن أن يحدث أيضًا نتيجة لإصابات سابقة أو عوامل وراثية.
-
التهاب المفاصل الروماتويدي (Rheumatoid Arthritis): هو مرض مناعي ذاتي مزمن يهاجم فيه الجهاز المناعي الأغشية الزليلية التي تُبطن المفاصل، مما يؤدي إلى التهاب وألم وتلف الغضاريف والعظام. يمكن أن يُصيب مفاصل الورك ويُسبب تآكلًا شديدًا.
-
التهاب المفاصل بعد الصدمات (Post-traumatic Arthritis): يتطور هذا النوع من التهاب المفاصل بعد إصابة خطيرة في الورك، مثل كسر أو خلع. يمكن أن تُتلف الإصابة الغضروف مباشرة، أو تُغير ميكانيكا المفصل، مما يؤدي إلى تآكل مبكر.
-
النخر اللاوعائي (Avascular Necrosis - AVN): يحدث عندما ينقطع تدفق الدم إلى رأس عظم الفخذ، مما يؤدي إلى موت الخلايا العظمية وانهيار رأس الفخذ. يمكن أن يكون سببه إصابة، تعاطي الكورتيزون لفترات طويلة، إدمان الكحول، أو بعض الأمراض المزمنة.
-
أمراض الورك الخلقية أو النمائية (Developmental Dysplasia of the Hip - DDH): هي حالات تُولد بها بعض الأفراد، حيث يكون مفصل الورك غير متكون بشكل صحيح، مما يزيد من خطر تآكل المفصل في وقت مبكر من الحياة.
-
كسور الورك (Hip Fractures): خاصة تلك التي تُصيب عنق الفخذ، قد تتطلب استبدال المفصل بشكل عاجل، خاصة في كبار السن، لضمان استعادة الوظيفة وتجنب المضاعفات.
الأعراض الشائعة لآلام الورك التي تستدعي التدخل:
تتطور أعراض تلف مفصل الورك تدريجيًا وتزداد سوءًا بمرور الوقت. تشمل:
- الألم: غالبًا ما يُوصف بأنه ألم عميق في منطقة الأربية (Groin)، الفخذ الخارجي، أو الأرداف. قد ينتشر الألم إلى الركبة. يزداد سوءًا مع النشاط ويتحسن بالراحة في المراحل المبكرة، لكنه يصبح مستمرًا ومؤلمًا حتى أثناء الراحة أو النوم في المراحل المتقدمة.
- التيبس (Stiffness): صعوبة في تحريك المفصل، خاصة بعد فترات من الجلوس أو النوم. قد يكون من الصعب ارتداء الأحذية أو الجوارب.
- نقص نطاق الحركة (Reduced Range of Motion): عدم القدرة على ثني الورك، أو تدويره، أو تبعيده كما كان في السابق.
- العرج (Limping): نمط مشي غير طبيعي لتجنب الوزن على المفصل المصاب.
- صعوبة في الأنشطة اليومية: مواجهة تحديات في المشي، صعود الدرج، النهوض من الكرسي، أو الدخول والخروج من السيارة.
- صوت فرقعة أو طقطقة: قد يُسمع صوت احتكاك العظام أو الغضاريف في المفصل.
الجدول 1: قائمة فحص أعراض آلام الورك ودرجة شدتها
| العرض/الدرجة | خفيف (يمكن تحمله) | متوسط (يؤثر على الأنشطة) | شديد (يعوق الحياة اليومية) |
|---|---|---|---|
| ألم الورك | ألم متقطع بعد النشاط | ألم مستمر، يزداد مع الحركة | ألم دائم حتى أثناء الراحة والنوم |
| تصلب المفصل | تصلب صباحي قصير (أقل من 30 دقيقة) | تصلب صباحي أطول، أو بعد الجلوس | تصلب شديد يعيق الحركة بشكل كبير |
| نطاق الحركة | بعض القيود في الحركات القصوى | صعوبة في بعض الحركات اليومية (مثل ارتداء الجوارب) | قيود كبيرة تحد من معظم الحركات |
| العرج | عرج خفيف غير ملحوظ دائمًا | عرج واضح يؤثر على المشي | عرج شديد يتطلب استخدام عكاز أو مشاية |
| القدرة على المشي | يمكن المشي لمسافات طويلة | صعوبة في المشي لمسافات متوسطة | صعوبة كبيرة في المشي لمسافات قصيرة |
| النوم | نوم متقطع أحيانًا بسبب الألم | صعوبة في إيجاد وضع مريح للنوم | اضطراب شديد في النوم بسبب الألم |
| الاعتماد على المسكنات | مسكنات عند الحاجة فقط | مسكنات يومية للسيطرة على الألم | مسكنات قوية لا تُجدي نفعًا دائمًا |
إذا كنت تُعاني من هذه الأعراض، خاصة بدرجة متوسطة إلى شديدة، فإن استشارة أخصائي جراحة العظام أمر حيوي لتقييم حالتك وتحديد خطة العلاج المناسبة.

تشخيص دقيق: حجر الزاوية في العلاج الفعال
يُعد التشخيص الدقيق الخطوة الأولى والأكثر أهمية في رحلة علاج ألم الورك. في عيادة الأستاذ الدكتور محمد هطيف، يتم اتباع نهج شامل ومُتكامل لتقييم حالة كل مريض، لضمان تحديد السبب الجذري للألم ووضع خطة علاجية مُخصصة وفعالة.
-
التاريخ الطبي الشامل (Comprehensive Medical History): يبدأ التقييم بسؤال المريض عن تاريخه الصحي الكامل، بما في ذلك طبيعة الألم (متى بدأ، شدته، ما الذي يُخففه أو يُزيده)، أي إصابات سابقة، حالات طبية مزمنة (مثل السكري أو أمراض القلب)، الأدوية التي يتناولها، ونمط حياته. هذه المعلومات تُقدم أدلة قيمة حول طبيعة المشكلة.
-
الفحص السريري الدقيق (Thorough Clinical Examination): يقوم الأستاذ الدكتور هطيف بإجراء فحص سريري مُفصل للورك، بما في ذلك:
- تقييم المشية (Gait Analysis): ملاحظة كيفية مشي المريض لتحديد أي عرج أو أنماط مشي غير طبيعية.
- فحص نطاق الحركة (Range of Motion): قياس مدى قدرة المفصل على الحركة في جميع الاتجاهات (الثني، البسط، الدوران، التقريب، التبعيد) لتحديد أي قيود أو ألم.
- تقييم القوة العضلية (Muscle Strength): فحص قوة العضلات المحيطة بالورك.
- جس المفصل (Palpation): للتحقق من وجود أي نقاط ألم أو تورم.
- اختبارات خاصة (Special Tests): إجراء مناورات محددة لتقييم سلامة الأربطة، الأوتار، والغضاريف.
-
الدراسات التصويرية المتقدمة (Advanced Imaging Studies): تُعد الأشعة التصويرية ضرورية لتأكيد التشخيص وتحديد مدى الضرر في المفصل.
- الأشعة السينية (X-rays): هي الفحص الأول والأكثر شيوعًا. تُظهر صورًا للعظام وتُساعد في الكشف عن تضيق المسافة المفصلية، وجود نتوءات عظمية (Osteophytes)، أو أي تشوهات في بنية العظام، مما يُشير إلى تآكل المفاصل.
- التصوير بالرنين المغناطيسي (MRI): يُستخدم لتقييم الأنسجة الرخوة مثل الغضاريف، الأربطة، الأوتار، والعضلات، وكذلك للكشف عن حالات مثل النخر اللاوعائي أو الالتهابات.
- الأشعة المقطعية (CT Scan): تُقدم صورًا تفصيلية ثلاثية الأبعاد للعظام، وتُستخدم أحيانًا للتخطيط الجراحي الدقيق، خاصة في الحالات المعقدة.
-
الفحوصات المخبرية (Laboratory Tests): قد تُطلب بعض تحاليل الدم لاستبعاد الأسباب الالتهابية (مثل التهاب المفاصل الروماتويدي) أو العدوى.
يُولي الأستاذ الدكتور محمد هطيف اهتمامًا بالغًا لكل تفصيلة في عملية التشخيص. بفضل خبرته الواسعة التي تتجاوز العقدين في مجال جراحة العظام، وقدرته على دمج النتائج السريرية مع أحدث تقنيات التصوير، يضمن الأستاذ الدكتور هطيف تشخيصًا دقيقًا لا لبس فيه، وهو الأساس الذي يُبنى عليه العلاج الناجح. هذا النهج الدقيق يعكس التزامه بالصدق الطبي وتقديم أفضل رعاية ممكنة لمرضاه في صنعاء واليمن.

خيارات العلاج: من التحفظي إلى الجراحي
عندما تُشخص آلام الورك، تبدأ رحلة العلاج التي تتدرج من الخيارات الأقل توغلًا إلى التدخل الجراحي عند الضرورة. يُؤمن الأستاذ الدكتور محمد هطيف بأهمية استنفاد جميع الخيارات العلاجية التحفظية قبل اللجوء إلى الجراحة، مع الالتزام بمبدأ "الصدق الطبي" الذي يضمن تقديم أفضل وأنسب علاج لكل مريض.
العلاجات التحفظية (Conservative Treatments)
تهدف هذه العلاجات إلى تخفيف الألم وتحسين وظيفة المفصل دون الحاجة إلى جراحة. قد تكون فعالة في المراحل المبكرة من تآكل المفصل أو في الحالات الأقل شدة.
-
الأدوية (Medications):
- مضادات الالتهاب غير الستيرويدية (NSAIDs): مثل الإيبوبروفين والنابروكسين، لتقليل الألم والالتهاب.
- مسكنات الألم: مثل الباراسيتامول لتخفيف الألم.
- مكملات الغضروف: مثل الجلوكوزامين والكوندرويتين، قد تُساعد بعض المرضى في تخفيف الأعراض، لكن فعاليتها لا تزال محل نقاش علمي.
-
العلاج الطبيعي والتأهيل (Physical Therapy and Rehabilitation):
- تمارين التقوية (Strengthening Exercises): لتقوية العضلات المحيطة بالورك لدعم المفصل وتحسين استقراره.
- تمارين المرونة (Flexibility Exercises): لتحسين نطاق حركة المفصل وتقليل التيبس.
- العلاج اليدوي (Manual Therapy): تقنيات يقوم بها أخصائي العلاج الطبيعي لتحسين حركة المفصل.
-
الحقن (Injections):
- حقن الكورتيكوستيرويد (Corticosteroid Injections): تُحقن مباشرة في المفصل لتقليل الالتهاب والألم، وتُوفر راحة مؤقتة.
- حقن حمض الهيالورونيك (Hyaluronic Acid Injections): تُعرف أيضًا باسم "حقن الزيت"، تُساعد في تليين المفصل وتحسين حركته.
- حقن البلازما الغنية بالصفائح الدموية (PRP Injections): تُستخدم أحيانًا لتحفيز الشفاء وتقليل الالتهاب.
-
تعديل نمط الحياة (Lifestyle Modifications):
- فقدان الوزن (Weight Loss): يُقلل من الضغط على مفصل الورك، مما يُخفف الألم ويُبطئ تقدم التآكل.
- تعديل الأنشطة (Activity Modification): تجنب الأنشطة عالية التأثير التي تُزيد من الضغط على المفصل (مثل الجري والقفز) واستبدالها بأنشطة منخفضة التأثير (مثل السباحة وركوب الدراجات).
- الأجهزة المساعدة (Assistive Devices): استخدام العكاز أو المشاية لتقليل الحمل على المفصل المصاب.
متى يصبح استبدال مفصل الورك ضرورة؟ (When THR becomes necessary)
على الرغم من فعالية العلاجات التحفظية في كثير من الحالات، إلا أنها لا تُقدم حلًا دائمًا لتآكل المفصل الشديد. يُصبح استبدال مفصل الورك ضرورة عندما:
- فشل العلاجات التحفظية: عندما لا تُجدي الأدوية، العلاج الطبيعي، أو الحقن في تخفيف الألم وتحسين الوظيفة بعد فترة كافية من التجربة.
- الألم الشديد والمُعوق: عندما يكون الألم مستمرًا، حادًا، ويُؤثر بشكل كبير على جودة الحياة، ويُعيق النوم، ويحد من القدرة على القيام بالأنشطة اليومية الأساسية.
- القيود الوظيفية الكبيرة: عندما يُصبح المريض غير قادر على المشي لمسافات قصيرة، أو صعود الدرج، أو القيام بالمهام اليومية البسيطة بسبب التيبس ونقص نطاق الحركة.
- الدليل الشعاعي على التآكل الشديد: تُظهر الأشعة السينية تآكلًا كبيرًا في الغضروف، وتضيق






































آلام الورك وتقييد حركته ليس قدراً محتوماً! التشخيص الدقيق والعلاج المتخصص يمكن أن يعيد لك كامل وظيفتك وحريتك في الحركة. لا تدع الألم يسيطر على حياتك.
للحصول على استشارة دقيقة وخطة علاجية مخصصة لحالتك، تواصل فوراً مع مركز الأستاذ الدكتور محمد هطيف:
الأستاذ الدكتور محمد هطيف - أفضل دكتور عظام في صنعاء، وخبير في جراحات استبدال مفصل الورك.. نلتزم بإعادتك لحياة خالية من الألم وورك قوي ووظيفي.
مواضيع أخرى قد تهمك