علاج آفات القبة الكاحلية العظمية الغضروفية بالزرع الذاتي: خبرة الأستاذ الدكتور محمد هطيف في صنعاء

الخلاصة الطبية
آفات القبة الكاحلية العظمية الغضروفية هي عيوب في غضروف عظم الكاحل وعظمه السفلي تسبب الألم وتقييد الحركة. يعالج الأستاذ الدكتور محمد هطيف هذه الحالات بنجاح باستخدام تقنية الزرع الغضروفي العظمي الذاتي المتقدمة لاستعادة وظيفة الكاحل وتحسين جودة حياة المرضى في صنعاء.
الخلاصة الطبية الشاملة: آفات القبة الكاحلية العظمية الغضروفية (OLTs) هي عيوب وتلفيات معقدة تصيب الغضروف المفصلي لعظم الكاحل والعظم السفلي الداعم له، مما يؤدي إلى آلام مبرحة، تورم مزمن، وتقييد شديد في حركة المفصل. يُعد الأستاذ الدكتور محمد هطيف، أستاذ جراحة العظام والمفاصل بجامعة صنعاء، المرجع الطبي الأول والوجهة الأوثق في اليمن لعلاج هذه الحالات المعقدة. بفضل خبرته التي تتجاوز العشرين عاماً، يعتمد الدكتور هطيف على تقنية "الزرع الغضروفي العظمي الذاتي" (OATS) والمناظير المفصلية بدقة 4K، لتقديم حلول جذرية تعيد بناء سطح المفصل وتستعيد وظيفة الكاحل بالكامل، مما يجنب المرضى الحاجة للسفر للخارج ويوفر لهم أعلى معايير الأمانة الطبية والرعاية الفائقة في العاصمة صنعاء.


الدليل الشامل: فهم آفات القبة الكاحلية العظمية الغضروفية (OLTs)
أهلاً بكم في هذا المرجع الطبي المفصل والأكثر شمولاً باللغة العربية، المخصص لتسليط الضوء على واحدة من أكثر الإصابات الرياضية والتقويمية تعقيداً: آفات القبة الكاحلية العظمية الغضروفية (Osteochondral Lesions of the Talus). إذا كنت تعاني من ألم مزمن في الكاحل لا يستجيب للعلاجات التقليدية، أو إذا تم تشخيصك بوجود تلف غضروفي في مفصل الكاحل، فإن هذا الدليل قد كُتب خصيصاً لك.
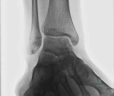
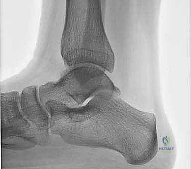
تُعد هذه الآفات بمثابة "حفر" أو عيوب تحدث في السطح الأملس للغضروف المفصلي الذي يغطي الجزء العلوي من عظم الكاحل (القبة الكاحلية)، وغالباً ما يمتد هذا التلف ليشمل جزءاً من العظم الكامن تحته (العظم تحت الغضروفي). نظراً لأن الغضاريف تفتقر إلى التروية الدموية المباشرة، فإن قدرتها على الالتئام الذاتي تكون شبه معدومة، مما يجعل هذه الحالة مصدراً شائعاً للألم المستمر، التورم، والقيود الوظيفية التي تعيق المريض عن ممارسة حياته اليومية والرياضية بشكل طبيعي.

معالجة هذه الآفات لا تحتمل التجربة والخطأ؛ فهي تتطلب دقة متناهية، فهماً عميقاً للميكانيكا الحيوية للكاحل، وخبرة جراحية متقدمة جداً. وهنا يبرز دور التدخل الجراحي الدقيق، وتحديداً تقنية الزرع الغضروفي العظمي الذاتي (Osteochondral Autograft Transfer)، كطوق نجاة حقيقي للمرضى.
في العاصمة اليمنية صنعاء، يقف الأستاذ الدكتور محمد هطيف كقامة علمية وطبية رائدة في هذا المجال الدقيق. بصفته أستاذاً في جامعة صنعاء وجراحاً متمرساً، يجمع الدكتور هطيف بين أحدث التقنيات العالمية (مثل المناظير بدقة 4K والجراحة الميكروسكوبية) وبين الأمانة الطبية الصارمة، ليقدم للمرضى تقييماً دقيقاً وعلاجاً شافياً يعيد لهم حرية الحركة وجودة الحياة.


التشريح المعقد لمفصل الكاحل: لماذا يصعب التئام القبة الكاحلية؟
لفهم طبيعة المرض وكيفية علاجه، يجب علينا أولاً الغوص في أعماق التشريح المعقد لمفصل الكاحل. المفصل ليس مجرد مفصلة بسيطة، بل هو نظام هندسي حيوي بالغ الدقة يتحمل وزن الجسم بالكامل أثناء المشي، الجري، والقفز.
بنية عظم الكاحل (Talus)
يُعد عظم الكاحل (Talus) العظمة المحورية في هذا المفصل. ما يميز هذه العظمة عن غيرها في جسم الإنسان هو أن حوالي 60% إلى 70% من سطحها مغطى بالغضروف المفصلي. هذا الغطاء الغضروفي الواسع ضروري لتوفير حركة سلسة وخالية من الاحتكاك، ولكنه في الوقت نفسه يترك مساحة صغيرة جداً لدخول الأوعية الدموية إلى العظم.
يستقر عظم الكاحل بإحكام داخل هيكل عظمي يُعرف بـ "المفصل الكاحلي" (Ankle Mortise)، وهو تجويف مستقر يتكون من النهايات السفلية لعظمتي الساق:
1. الظنبوب (Tibia): العظمة الكبرى في الساق.
2. الشظية (Fibula): العظمة الصغرى الجانبية.

التروية الدموية الهشة (Blood Supply)
السر وراء صعوبة التئام آفات القبة الكاحلية يكمن في "التروية الدموية". الأوعية الدموية التي تغذي عظم الكاحل تدخل من مناطق محددة جداً (عنق الكاحل والجيوب الرصغية). إذا تعرض الغضروف والعظم السفلي للتلف، فإن الدم (الذي يحمل الخلايا الجذعية وعوامل النمو اللازمة للشفاء) لا يستطيع الوصول بكفاءة إلى المنطقة المصابة.
- الشريان الظنبوبي الخلفي: يوفر الإمداد الرئيسي عبر فروع دقيقة.
- نقص الأوعية في الغضروف: الغضروف نفسه نسيج "لا وعائي" (Avascular)، يتغذى فقط عن طريق الانتشار من السائل الزلالي المحيط به. لذلك، إذا قُطع أو تضرر، فإنه لا ينزف ولا يلتئم من تلقاء نفسه.


الأسباب وعوامل الخطر: كيف تحدث آفات القبة الكاحلية؟
لا تحدث آفات القبة الكاحلية من فراغ، بل هي غالباً نتيجة لسلسلة من الأحداث الميكانيكية أو البيولوجية التي تؤثر على المفصل. يصنف الأستاذ الدكتور محمد هطيف الأسباب إلى فئتين رئيسيتين:
1. الأسباب الرضية (Traumatic Causes)
وهي السبب الأكثر شيوعاً، حيث تشير الدراسات إلى أن أكثر من 80% من آفات القبة الكاحلية مرتبطة بتاريخ من الصدمات.
* التواء الكاحل الشديد (Severe Ankle Sprains): عندما يلتوي الكاحل بقوة (خاصة الالتواء للداخل - Inversion)، يمكن أن يصطدم عظم الكاحل بقوة بعظمة الشظية أو الظنبوب، مما يؤدي إلى كدمة شديدة في العظم أو "قشط" للغضروف.
* الكسور الدقيقة (Micro-fractures): التي قد لا تظهر في الأشعة السينية العادية وقت الإصابة.
* الإصابات الرياضية المتكررة: الرياضيون في كرة القدم، كرة السلة، والجري هم الأكثر عرضة لهذه الآفات بسبب الإجهاد المتكرر على المفصل.

2. الأسباب غير الرضية (Non-Traumatic/Idiopathic Causes)
في بعض الحالات، يكتشف المريض وجود الآفة دون أي تذكر لإصابة سابقة.
* الاستعداد الوراثي (Genetics): بعض الأشخاص يولدون بضعف في بنية الغضاريف.
* الاضطرابات الأيضية وانقطاع التروية (Avascular Necrosis): انقطاع الدم عن جزء صغير من العظم تحت الغضروف يؤدي إلى موته وانفصاله.
* اختلال المحاذاة الميكانيكية: مثل القدم المسطحة الشديدة (Flat foot) أو التقوس، مما يضع ضغطاً غير متساوٍ على سطح القبة الكاحلية.


الأعراض السريرية: متى يجب عليك زيارة الأستاذ الدكتور محمد هطيف؟
أحد أكبر التحديات في تشخيص OLTs هو أن أعراضها تتشابه كثيراً مع أعراض التواء الكاحل العادي. الكثير من المرضى يراجعون عيادة الدكتور هطيف في صنعاء بعد أشهر أو حتى سنوات من الألم المستمر، معتقدين أنهم يعانون من مجرد "التواء لم يلتئم".
إذا كنت تعاني من العلامات التالية، فإن التقييم الطبي المتخصص أصبح ضرورة قصوى:
- ألم عميق ومزمن (Deep, Chronic Pain): ألم تشعر به "داخل" المفصل، يزداد سوءاً مع حمل الوزن، المشي لمسافات طويلة، أو ممارسة الرياضة، ويخف مع الراحة.
- تورم متكرر (Recurrent Swelling): تورم حول الكاحل يظهر بعد المجهود البدني، ناتج عن التهاب الغشاء الزلالي وتراكم السوائل استجابةً للتهيج الغضروفي.
- أصوات طقطقة أو فرقعة (Clicking or Catching): شعور بأن المفصل "يعلق" أو يصدر صوتاً عند تحريكه، وقد يكون ذلك بسبب وجود قطعة صغيرة من الغضروف السائب (Loose Body) تسبح داخل المفصل.
- الشعور بعدم الاستقرار (Instability): إحساس بأن الكاحل ضعيف أو قد "يخونك" أثناء المشي.
- تصلب المفصل (Stiffness): خاصة في الصباح الباكر أو بعد فترات من عدم الحركة.


التشخيص الدقيق: رحلة استكشاف الآفة الغضروفية
التشخيص المبكر والدقيق هو حجر الزاوية في نجاح العلاج. في عيادة الأستاذ الدكتور محمد هطيف، يتم اتباع بروتوكول تشخيصي صارم يضمن عدم تفويت أي تفصيل، مهما كان صغيراً.
1. التقييم السريري الشامل
يبدأ الدكتور هطيف بالاستماع الدقيق لتاريخ المريض الطبي (كيف بدأت المشكلة، طبيعة الألم، الإصابات السابقة). يتم بعد ذلك فحص الكاحل يدوياً لتحديد نقاط الإيلام الدقيقة، مدى الحركة (Range of Motion)، وتقييم استقرار الأربطة.

2. التصوير الطبي المتقدم
بما أن الغضاريف لا تظهر بوضوح في الأشعة العادية، يعتمد التشخيص النهائي على تقنيات التصوير المتقدمة:
- الأشعة السينية (X-rays): تُستخدم كخطوة أولى لاستبعاد الكسور العظمية الكبيرة والتهاب المفاصل المتقدم. في بعض الأحيان، يمكن رؤية "ظل" أو كيس عظمي يشير إلى وجود آفة.
- التصوير بالرنين المغناطيسي (MRI): هو المعيار الذهبي (Gold Standard) لتشخيص OLTs. يُظهر الرنين المغناطيسي الغضروف بدقة عالية، ويحدد حجم الآفة، عمقها، وحالة العظم تحت الغضروفي (مثل وجود وذمة عظمية - Bone Marrow Edema).
- الأشعة المقطعية (CT Scan): يطلبها الدكتور هطيف أحياناً للحصول على خريطة ثلاثية الأبعاد دقيقة للعظم، مما يساعد في التخطيط الجراحي وتحديد حجم الرقعة العظمية المطلوبة للزرع.

جدول 1: تصنيف آفات القبة الكاحلية (تصنيف بيرندت وهارتي المُعدل)
لتبسيط فهم مدى خطورة الحالة، يستخدم الأطباء أنظمة تصنيف عالمية. إليك الجدول التوضيحي:
| المرحلة (Stage) | الوصف الطبي الدقيق لحالة الغضروف والعظم | الأعراض المتوقعة | التدخل الموصى به غالباً |
|---|---|---|---|
| المرحلة الأولى (I) | انضغاط بسيط في العظم تحت الغضروفي (كدمة عظمية) دون تمزق السطح الغضروفي. | ألم خفيف بعد المجهود، لا يوجد تورم ملحوظ. | علاج تحفظي (راحة، ثلج، علاج طبيعي). |
| المرحلة الثانية (II) | انفصال جزئي لقطعة من الغضروف والعظم، لكنها لا تزال متصلة جزئياً في مكانها. | ألم متوسط، تورم متقطع، ألم عند الضغط المباشر. | علاج تحفظي مكثف، أو تدخل جراحي طفيف. |
| المرحلة الثالثة (III) | انفصال كامل للقطعة الغضروفية العظمية، لكنها باقية في مكانها (لم تتحرك داخل المفصل). | ألم شديد، تصلب، شعور بعدم الاستقرار. | تدخل جراحي (تثقيب دقيق أو زرع). |
| المرحلة الرابعة (IV) | انفصال كامل للقطعة، وخروجها من مكانها لتسبح كـ "جسم حر" (Loose Body) داخل المفصل. | ألم حاد، قفل المفصل (Locking)، عدم القدرة على المشي. | تدخل جراحي فوري (إزالة الجسم الحر + زرع غضروفي). |


لماذا الأستاذ الدكتور محمد هطيف هو الخيار الأول في اليمن؟ (E-E-A-T)
عندما يتعلق الأمر بجراحات دقيقة ومعقدة مثل الزرع الغضروفي الذاتي، فإن اختيار الجراح هو العامل الأكثر حسماً في نجاح العملية وتجنب الإعاقة الدائمة. في اليمن، يبرز اسم الأستاذ الدكتور محمد هطيف كعلامة فارقة في جراحة العظام والمفاصل.
1. الخبرة الأكاديمية والسريرية (Expertise & Experience)
- أستاذ جراحة العظام والمفاصل - جامعة صنعاء: يجمع الدكتور هطيف بين العمق الأكاديمي البحثي والممارسة السريرية المكثفة.
- خبرة تتجاوز 20 عاماً: أجرى خلالها آلاف العمليات الجراحية الناجحة، بدءاً من الكسور المعقدة وصولاً إلى تبديل المفاصل الدقيق والجراحات الميكروسكوبية.
- تدريب دولي: مطلع بشكل دائم على أحدث البروتوكولات الجراحية العالمية في علاج الإصابات الرياضية.

2. التكنولوجيا المتقدمة (Modern Technology)
لا يعتمد الدكتور هطيف على الأساليب القديمة؛ بل يوظف أحدث ما توصلت إليه التكنولوجيا الطبية في غرف العمليات في صنعاء:
* استخدام مناظير المفاصل بدقة 4K: تتيح له رؤية داخلية فائقة الدقة للمفصل، مما يقلل من حجم الشق الجراحي ويسرع من عملية الاستشفاء.
* الجراحة الميكروسكوبية الدقيقة: للتعامل مع الأنسجة الحساسة والأوعية الدموية الدقيقة المحيطة بالكاحل.
* أدوات الزرع الغضروفي المتطورة (OATS Instrumentation): استخدام أدوات دقيقة لحصد وزرع الغضروف بمليمترات دقيقة لضمان تطابق السطح المفصلي.

3. الموثوقية والأمانة الطبية (Authoritativeness & Trustworthiness)
ما يميز عيادة الدكتور هطيف حقاً هو "الأمانة الطبية". لا يتم اتخاذ قرار الجراحة إلا إذا كان هو الخيار الأوحد والأفضل للمريض. يتم شرح الحالة للمريض بشفافية تامة، مع توضيح نسب النجاح، المخاطر المحتملة، ومتطلبات العلاج الطبيعي. هذه المصداقية جعلته المرجع الأول للمرضى ليس فقط من صنعاء، بل من كافة المحافظات اليمنية.


الخيارات العلاجية: من التحفظي إلى الجراحي
لا يوجد نهج "مقاس واحد يناسب الجميع" في علاج آفات القبة الكاحلية. يحدد الدكتور محمد هطيف خطة العلاج بناءً على:
* حجم وعمق الآفة (يُقاس بالمليمترات عبر الرنين المغناطيسي).
* موقع الآفة (إنسية، وحشية، أو مركزية).
* عمر المريض ومستوى نشاطه البدني.
* مدة استمرار الأعراض.

أولاً: العلاج التحفظي (اللا جراحي)
يُفضل هذا الخيار للآفات الصغيرة جداً (أقل من 1 سم مربع)، للمرضى الأصغر سناً (حيث تكون قدرة الشفاء أعلى)، أو في المراحل الأولى والثانية من الإصابة.
1. إراحة المفصل (Immobilization): استخدام حذاء طبي داعم (CAM boot) أو جبيرة لمدة 4 إلى 6 أسابيع لمنع تحميل الوزن على الكاحل المتضرر.
2. العلاج الطبيعي (Physical Therapy): لتحسين نطاق الحركة، تقوية العضلات المحيطة بالكاحل، وتحسين استقبال الحس العميق (Proprioception).
3. الأدوية: مضادات الالتهاب غير الستيرويدية (NSAIDs) لتقليل الألم والتورم.
4. الحقن الموضعية: مثل حقن البلازما الغنية بالصفائح الدموية (PRP) أو حمض الهيالورونيك لتحفيز الشفاء البيولوجي وتليين المفصل.

ثانياً: التدخل الجراحي (متى يصبح ضرورياً؟)
إذا فشل العلاج التحفظي بعد 3 إلى 6 أشهر، أو إذا كانت الآفة كبيرة (أكبر من 1.5 سم مربع)، عميقة، أو تحتوي على جسم حر (المرحلة 3 و 4)، فإن الجراحة تصبح حتمية لمنع تدهور المفصل والإصابة بالخشونة المبكرة (Osteoarthritis).
هناك عدة خيارات جراحية، أهمها:
1. التنظيف بالمنظار والتثقيب الدقيق (Microfracture): يتم إزالة الغضروف التالف، ثم إحداث ثقوب صغيرة جداً في العظم المكشوف للسماح للدم ونخاع العظم بالخروج وتشكيل "جلطة غنية بالخلايا الجذعية". هذه الجلطة تتحول لاحقاً إلى غضروف ليفي (Fibrocartilage). العيب: الغضروف الليفي ليس بقوة الغضروف الزجاجي الأصلي (Hyaline cartilage) وقد يتآكل مع مرور الوقت، لذا يُستخدم للآفات الصغيرة فقط.
2. الزرع الغضروفي العظمي الذاتي (OATS / Autograft): وهو محور حديثنا والتقنية الذهبية التي يبدع فيها الأستاذ الدكتور محمد هطيف لعلاج الآفات المتوسطة والكبيرة.

جدول 2: مقارنة تفصيلية بين تقنية التثقيب الدقيق (Microfracture) والزرع الذاتي (OATS)
يساعد هذا الجدول المرضى في فهم الفروق الجوهرية بين أشهر تقنيتين جراحيتين:
| وجه المقارنة | التثقيب الدقيق (Microfracture) | الزرع الغضروفي الذاتي (OATS / Mosaicplasty) |
|---|---|---|
| حجم الآفة المناسب | الآفات الصغيرة (أقل من 1.5 سم مربع) | الآفات المتوسطة إلى الكبيرة (أكبر من 1.5 سم مربع) |
| نوع الغضروف الناتج | غضروف ليفي (Fibrocartilage) - أقل متانة | غضروف زجاجي أصلي (Hyaline Cartilage) - متانة عالية |
| طبيعة الإجراء | بسيط نسبياً، يتم غالباً بالمنظار بالكامل | معقد، يتطلب أخذ طعم من الركبة وزرعه في الكاحل |
| فترة التعافي | أسرع في المراحل الأولى | أطول نسبياً، تتطلب حماية دقيقة لموقع الزرع وموقع أخذ الطعم |
| النتائج طويلة الأمد | جيدة للآفات الصغيرة، قد تتدهور في الآفات الكبيرة | ممتازة جداً، يوفر حلاً جذرياً وطويل الأمد للمفصل |
| مستوى الخبرة المطلوبة | يتطلب خبرة جيدة في المناظير | يتطلب خبرة جراحية استثنائية (مثل خبرة أ.د. محمد هطيف) لضمان تسوية السطح بدقة |


الغوص العميق: تقنية الزرع الغضروفي العظمي الذاتي (OATS) خطوة بخطوة
تُعد تقنية OATS (Osteochondral Autograft Transfer System) بمثابة "زراعة أعضاء دقيقة" داخل المفصل. الفكرة الأساسية هي أخذ أسطوانة صغيرة من العظم والغضروف السليم من منطقة لا تحمل وزناً كبيراً في جسم المريض (غالباً من مفصل الركبة)، ونقلها وزرعها في مكان الآفة التالفة في الكاحل.
هذه التقنية توفر "غضروفاً زجاجياً حقيقياً" (Hyaline Cartilage)، وهو نفس نوع الغضروف الأصلي الذي خُلق به الإنسان، مما يضمن متانة وقدرة على تحمل الأوزان لا يوفرها أي علاج آخر.

























آلام العظام والمفاصل وتقييد حركتها ليس قدراً محتوماً! التشخيص الدقيق والعلاج المتخصص يمكن أن يعيد لك كامل وظيفتك وحريتك في الحركة. لا تدع الألم يسيطر على حياتك.
للحصول على استشارة دقيقة وخطة علاجية مخصصة لحالتك، تواصل فوراً مع مركز الأستاذ الدكتور محمد هطيف:
الأستاذ الدكتور محمد هطيف - أفضل دكتور عظام في صنعاء، وخبير في جراحات العظام والمفاصل والعمود الفقري.. نلتزم بإعادتك لحياة خالية من الألم وحركة طبيعية.
مواضيع أخرى قد تهمك